Influence of Peanut Flour Enrichment and Eggs on Muffin Protein Aggregation
Abstract
1. Introduction
2. Materials and Methods
2.1. Muffin Preparation
2.2. Protein Extraction
2.3. Sodium Dodecyl Sulfate Polyacrylamide Gel Electrophoresis (SDS-PAGE) and Western Blot
2.4. Chromatographic Protein Separation (SE-HPLC)
2.5. Statistical Analysis
3. Results
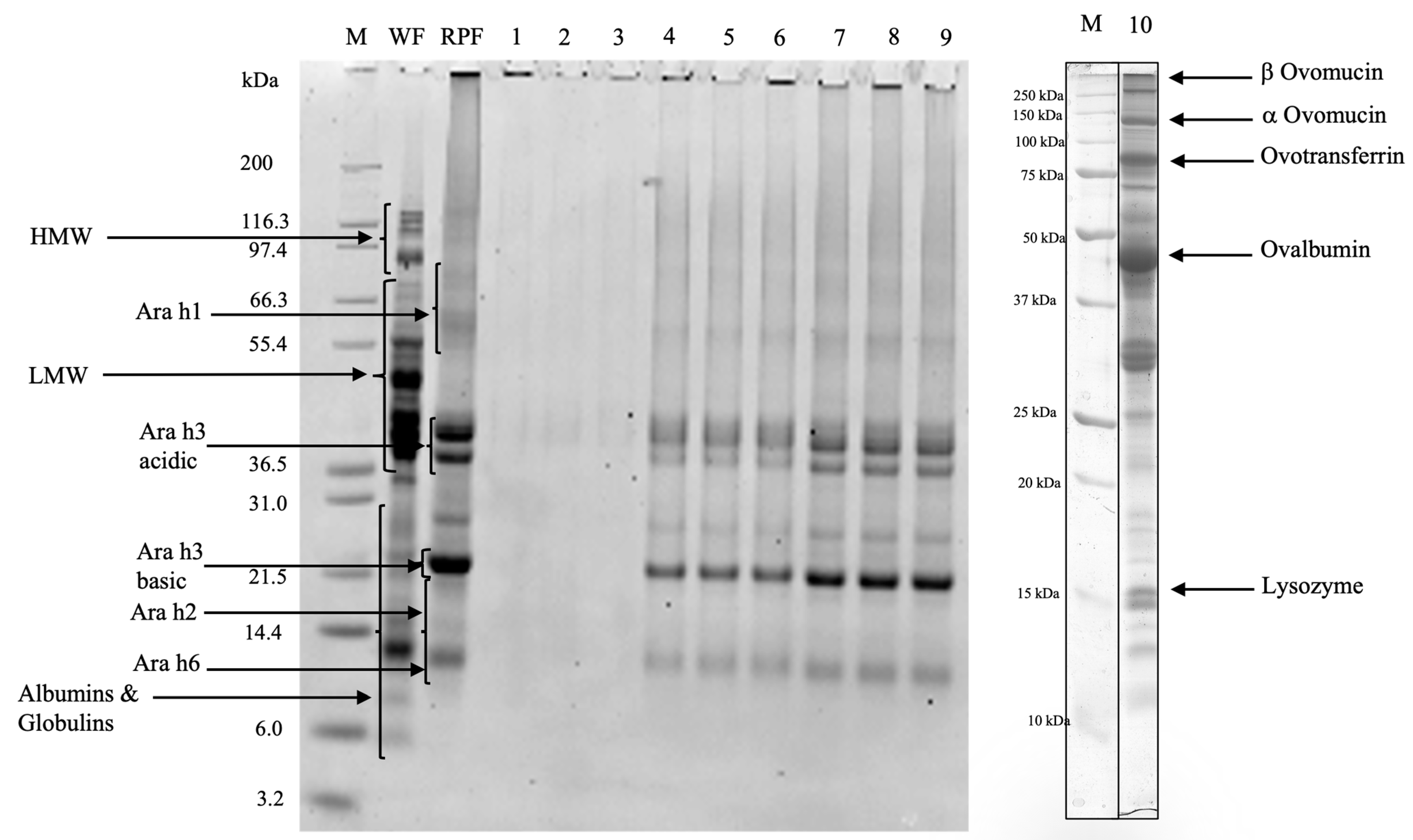
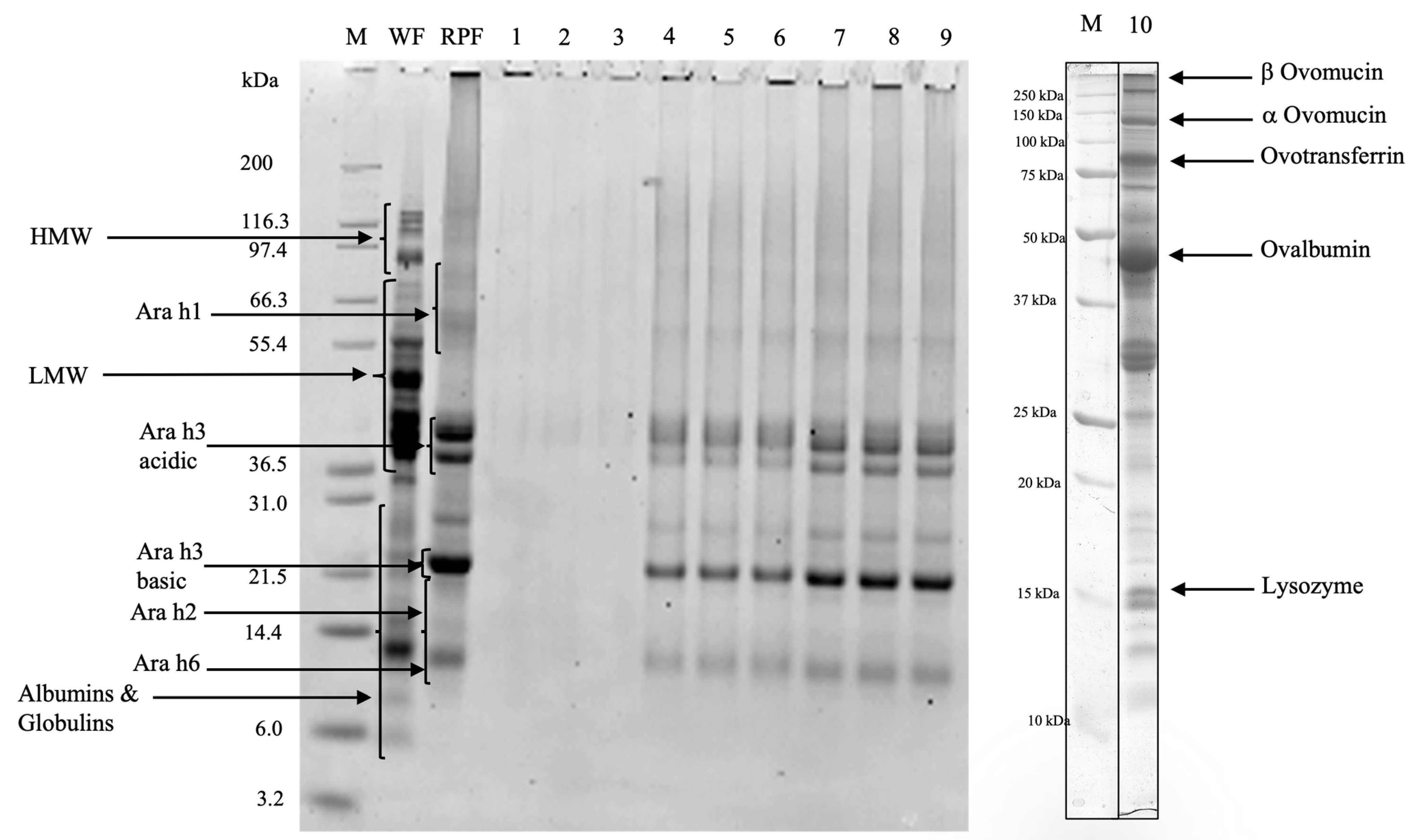
3.1. Electrophoresis and Western Blot of Raw Matter and Muffin Samples
3.2. Study on Protein Extractability Through a Chromatographic Approach
- the not well-resolved peaks obtained with the use of Buffer A were grouped on the basis of the retention time and, therefore, on the basis of their proximity to the estimated molecular weight.

4. Discussion
5. Conclusions
Supplementary Materials
Author Contributions
Funding
Data Availability Statement
Acknowledgments
Conflicts of Interest
Abbreviations
References
- Dalby, A. The Breakfast Book; Reaktion Books Ltd.: London, UK, 2013. [Google Scholar]
- Belorio, M.; Gómez, M. Gluten-free muffins versus gluten containing muffins: Ingredients and nutritional differences. Trends Food Sci. Technol. 2020, 102, 249–253. [Google Scholar] [CrossRef]
- Cross, N. Muffins and bagels. In Handbook of Food Products Manufacturing, Volume 1: Principles, Bakery, Beverages, Cereals, Cheese, Confectionary, Fats, Fruits, and Functional Foods; Hui, Y.H., Ed.; John Wiley & Sons, Inc.: Hoboken, NJ, USA, 2007; Volume 1, pp. 279–306. [Google Scholar]
- Benson, R.C. Muffins. Technical Bulletin; American Instiutute of Baking: Manhattan, KS, USA, 1988; Volume 10, pp. 1–4. [Google Scholar]
- Cauvain, S.P.; Young, L.S. Baked Products: Science, Technology and Practice; Blackwell Publishing Ltd.: Oxford, UK, 2006; Volume 1. [Google Scholar]
- Teterycz, D.; Sobota, A.; Kozłowicz, K.; Zarzycki, P. Substitution of semolina durum with common wheat flour in egg and eggless pasta. Acta Sci. Pol. Technol. Aliment. 2019, 18, 439–451. [Google Scholar] [CrossRef] [PubMed]
- Guo, X.N.; Gao, F.; Zhu, K.X. Effect of fresh egg white addition on the quality characteristics and protein aggregation of oat noodles. Food Chem. 2020, 330, 127319. [Google Scholar] [CrossRef] [PubMed]
- Mattar, H.; Padfield, P.; Simpson, A.; Mills, E.N.C. The impact of a baked muffin matrix on the bioaccessibility and IgE reactivity of egg and peanut allergens. Food Chem. 2021, 362, 129879. [Google Scholar] [CrossRef] [PubMed]
- Razi, S.M.; Fahim, H.; Amirabadi, S.; Rashidinejad, A. An overview of the functional properties of egg white proteins and their application in the food industry. Food Hydrocoll. 2023, 135, 108183. [Google Scholar] [CrossRef]
- Mine, Y.; Sasaki, E.; Zhang, J.W. Reduction of antigenicity and allergenicity of genetically modified egg white allergen, ovomucoid third domain. Biochem. Biophys. Res. Commun. 2003, 302, 133–137. [Google Scholar] [CrossRef] [PubMed]
- Wouters, A.G.; Rombouts, I.; Lagrain, B.; Delcour, J.A. Impact of casein and egg white proteins on the structure of wheat gluten-based protein-rich food. J. Sci. Food Agric. 2016, 96, 757–763. [Google Scholar] [CrossRef]
- Udeh, C.C.; Malomo, S.A.; Ijarotimi, O.S. In vitro antioxidants and anti-inflammatory potentials of high protein-fibre cookies produced from whole wheat, sweet potato, rice bran and peanut composite flour blends. Food Prod. Process. Nutr. 2024, 6, 73. [Google Scholar] [CrossRef]
- Adeboye, A.S.; Fayemi, O.E.; Bamgbose, A.; Adewunmi, A.; Sobowale, S.S. Towards the development of peanut–wheat flour composite dough: Influence of reduced-fat peanut flour on bread quality. J. Food Process. Preserv. 2018, 42, e13385. [Google Scholar] [CrossRef]
- Guy, R.C.E.; Pithawala, H.R. Rheological studies of high ratio cake batters to investigate the mechanism of improvement of flours by chlorination or heat treatment. Int. J. Food Sci. Technol. 1981, 16, 153–166. [Google Scholar] [CrossRef]
- Martínez-Cervera, S.; Salvador, A.; Sanz, T. Cellulose ether emulsions as fat replacers in muffins: Rheological, thermal and textural properties. LWT-Food Sci. Technol. 2015, 63, 1083–1090. [Google Scholar] [CrossRef]
- Banu, I.; Patrașcu, L.; Vasilean, I.; Dumitrașcu, L.; Aprodu, I. Influence of the protein-based emulsions on the rheological, thermo-mechanical and baking performance of muffin formulations. Appl. Sci. 2023, 13, 3316. [Google Scholar] [CrossRef]
- El Sohaimy, S.A.; Brennan, M.; Darwish, A.M.; Brennan, C.S. Chickpea protein isolation, characterization and application in muffin enrichment. Int. J. Food Stud. 2021, 10, 57–71. [Google Scholar] [CrossRef]
- Bender, A.B.; Speroni, C.S.; Salvador, P.R.; Loureiro, B.B.; Lovatto, N.M.; Goulart, F.R.; Lovatto, M.T.; Miranda, M.Z.; Silva, L.P.; Penna, N.G. Grape pomace skins and the effects of its inclusion in the technological properties of muffins. J. Culin. Sci. Technol. 2017, 15, 143–157. [Google Scholar] [CrossRef]
- Ortega-Heras, M.; Gómez, I.; de Pablos-Alcalde, S.; González-Sanjosé, M.L. Application of the Just-About-Right Scales in the Development of New Healthy Whole-Wheat Muffins by the Addition of a Product Obtained from White and Red Grape Pomace. Foods 2019, 8, 419. [Google Scholar] [CrossRef] [PubMed]
- Mehta, D.; Prasad, P.; Sangwan, R.S.; Yadav, S.K. Tomato processing byproduct valorization in bread and muffin: Improvement in physicochemical properties and shelf life stability. J. Food Sci. Technol. 2018, 55, 2560–2568. [Google Scholar] [CrossRef]
- Zielińska, E.; Pankiewicz, U.; Sujka, M. Nutritional, physiochemical, and biological value of muffins enriched with edible insects flour. Antioxidants 2021, 10, 1122. [Google Scholar] [CrossRef]
- Rutigliano, M.; Liberatore, M.T.; Dilucia, F.; Di Luccia, A.; la Gatta, B. Study on the induced polymeric protein aggregation and immunoreactivity in biscuits enriched with peanut flour. Food Chem. 2024, 460, 140568. [Google Scholar] [CrossRef] [PubMed]
- Gupta, R.B.; Khan, K.; Macritchie, F. Biochemical basis of flour properties in bread wheats. I. Effects of variation in the quantity and size distribution of polymeric protein. J. Cereal Sci. 1993, 18, 23–41. [Google Scholar] [CrossRef]
- Nadeem, M.; Anjum, F.M.; Khan, M.R.; Sajjad, M.; Hussain, S.; Arshad, M.S. Electrophoretic characteristics of gluten proteins as influenced by crop year and variety. Int. J. Food Prop. 2016, 19, 897–910. [Google Scholar] [CrossRef]
- Shewry, P.R. Wheat. J. Exp. Bot. 2009, 60, 1537–1553. [Google Scholar] [CrossRef]
- Meng, S.; Li, J.; Chang, S.; Maleki, S.J. Quantitative and kinetic analyses of peanut allergens as affected by food processing. Food Chem. X 2019, 1, 100004. [Google Scholar] [CrossRef]
- Uysal, R.S.; Acar-Soykut, E.; Boyaci, I.H. Determination of yolk: White ratio of egg using SDS-PAGE. Food Sci. Biotechnol. 2020, 29, 179–186. [Google Scholar] [CrossRef]
- Galić, A.; Pliestić, S.; Filipović, D.; Janječić, Z.; Bedeković, D. Effect of Hen Breed and Production System on the Egg Weight, Egg Components Percentage and Yolk to Albumen Ratio. In Brka, M., et al. 10th Central European Congress on Food: Proceedings of CE-Food 2020; Springer: Cham, Switzerland, 2022. [Google Scholar] [CrossRef]
- Huopalahti, R.; Fandino, R.L.; Anton, M.; Schade, R. (Eds.) Bioactive Egg Compounds; Springer: New York, NY, USA, 2007; Volume 5, pp. 293–389. [Google Scholar]
- Guha, S.; Majumder, K.; Mine, Y. Egg proteins. Encycl. Food Chem. 2019, 1, 74–84. [Google Scholar] [CrossRef]
- Kahlenberg, F.; Sanchez, D.; Lachmann, I.; Tuckova, L.; Tlaskalova, H.; Méndez, E.; Mothes, T. Monoclonal antibody R5 for detection of putatively coeliac-toxic gliadin peptides. Eur. Food Res. Technol. 2006, 222, 78–82. [Google Scholar] [CrossRef]
- Sousa, C.; Real, A.; de Lourdes Moreno, M.; Comino, I. Sensitive Detection of Cereal Fractions that Are Toxic to Coeliac Disease Patients, Using Monoclonal Antibodies to a Main Immunogenic Gluten Peptide. In Celiac Disease–From Pathophysiology to Advanced Therapies; Kruzliak, P., Bhagat, G., Eds.; BoD–Books on Demand: Norderstedt, Germany, 2012; pp. 115–136. [Google Scholar] [CrossRef]
- Brett, G.M.; Mills, E.N.C.; Goodfellow, B.J.; Fido, R.J.; Tatham, A.S.; Shewry, P.R.; Morgan, M.R.A. Epitope mapping studies of broad specificity monoclonal antibodies to cereal prolamins. J. Cereal Sci. 1999, 29, 117–128. [Google Scholar] [CrossRef]
- Kuktaite, R.; Larsson, H.; Johansson, E. Variation in protein composition of wheat flour and its relationship to dough mixing behaviour. J. Cereal Sci. 2004, 40, 31–39. [Google Scholar] [CrossRef]
- Singh, H. A study of changes in wheat protein during bread baking using SE-HPLC. Food Chem. 2005, 90, 247–250. [Google Scholar] [CrossRef]
- Deleu, L.J.; Wilderjans, E.; Van Haesendonck, I.; Brijs, K.; Delcour, J.A. Protein network formation during pound cake making: The role of egg white proteins and wheat flour gliadins. Food Hydrocoll. 2016, 61, 409–414. [Google Scholar] [CrossRef]
- Bean, S.R.; Lookhart, G.L. Factors influencing the characterization of gluten proteins by size-exclusion chromatography and multiangle laser light scattering (SEC-MALLS). Cereal Chem. 2001, 78, 608–618. [Google Scholar] [CrossRef]
- la Gatta, B.; Rutigliano, M.; Rusco, G.; Petrella, G.; Di Luccia, A. Evidence for different supramolecular arrangements in pasta from durum wheat (Triticum durum) and einkorn (Triticum monococcum) flours. J. Cereal Sci. 2017, 73, 76–83. [Google Scholar] [CrossRef]
- Wieser, H. Chemistry of gluten proteins. Food Microbiol. 2007, 24, 115–119. [Google Scholar] [CrossRef] [PubMed]
- Abedi, E.; Pourmohammadi, K. Chemical modifications and their effects on gluten protein: An extensive review. Food Chem. 2021, 343, 128398. [Google Scholar] [CrossRef] [PubMed]
- Alamprese, C.; Iametti, S.; Rossi, M.; Bergonzi, D. Role of pasteurisation heat treatments on rheological and protein structural characteristics of fresh egg pasta. Eur. Food Res. Technol. 2005, 221, 759–767. [Google Scholar] [CrossRef]
- Lambrecht, M.A.; Rombouts, I.; Nivelle, M.A.; Delcour, J.A. The role of wheat and egg constituents in the formation of a covalent and non-covalent protein network in fresh and cooked egg noodles. J. Food Sci. 2017, 82, 24–35. [Google Scholar] [CrossRef] [PubMed]
- Pareyt, B.; Wilderjans, E.; Goesaert, H.; Brijs, K.; Delcour, J.A. The role of gluten in a sugar-snap cookie system: A model approach based on gluten–starch blends. J. Cereal Sci. 2008, 48, 863–869. [Google Scholar] [CrossRef]
- Schirmer, T.M.; Scherf, K.A. Influence of baking conditions on the extractability and immunochemical detection of wheat gluten proteins. Curr. Res. Food Sci. 2023, 6, 100431. [Google Scholar] [CrossRef] [PubMed]
- Rombouts, I.; Lambrecht, M.A.; Carpentier, S.C.; Delcour, J.A. Identification of lanthionine and lysinoalanine in heat-treated wheat gliadin and bovine serum albumin using tandem mass spectrometry with higher-energy collisional dissociation. Amino Acids 2016, 48, 959–971. [Google Scholar] [CrossRef] [PubMed]
- Deleu, L.J.; Melis, S.; Wilderjans, E.; Van Haesendonck, I.; Brijs, K.; Delcour, J.A. Protein network formation during pound cake baking: The role of egg yolk and its fractions. Food Hydrocoll. 2017, 63, 226–232. [Google Scholar] [CrossRef]
- Gerrard, J.A. Protein–protein crosslinking in food: Methods, consequences, applications. Trends Food Sci. Technol. 2002, 13, 391–399. [Google Scholar] [CrossRef]
- Westphal, C.D.; Pereira, M.R.; Raybourne, R.B.; Williams, K.M. Evaluation of extraction buffers using the current approach of detecting multiple allergenic and nonallergenic proteins in food. J. AOAC Int. 2004, 87, 1458–1465. [Google Scholar] [CrossRef]
- van Hengel, A.J. Food allergen detection methods and the challenge to protect food-allergic consumers. Anal. Bioanal. Chem. 2007, 389, 111–118. [Google Scholar] [CrossRef]
- Liu, E.G.; Tan, J.; Munoz, J.S.; Shabanova, V.; Eisenbarth, S.C.; Leeds, S. Food Matrix Composition Affects the Allergenicity of Baked Egg Products. J. Allergy Clin. Immunol. Pract. 2024, 12, 2111–2117. [Google Scholar] [CrossRef] [PubMed]
- Burks, A.W.; Cockrell, G.; Stanley, J.S.; Helm, R.M.; Bannon, G.A. Recombinant peanut allergen Ara h I expression and IgE binding in patients with peanut hypersensitivity. J. Clin. Investig. 1995, 96, 1715–1721. [Google Scholar] [CrossRef]
- Maleki, S.J.; Viquez, O.; Jacks, T.; Dodo, H.; Champagne, E.T.; Chung, S.-Y.; Landry, S.J. The major peanut allergen, Ara h 2, functions as a trypsin inhibitor, and roasting enhances this function. J. Allergy Clin. Immunol. 2003, 112, 190–195. [Google Scholar] [CrossRef] [PubMed]
- Koppelman, S.; Wensing, M.; Ertmann, M.; Knulst, A.; Knol, E. Relevance of Ara h1, Ara h2 and Ara h3 in peanut-allergic patients, as determined by immunoglobulin E Western blotting, basophil–histamine release and intracutaneous testing: Ara h2 is the most important peanut allergen. Clin. Exp. Allergy 2004, 34, 583–590. [Google Scholar] [CrossRef] [PubMed]
- Ogilvie, O.; Roberts, S.; Sutton, K.; Gerrard, J.; Larsen, N.; Domigan, L. The effect of baking time and temperature on gluten protein structure and celiac peptide digestibility. Food Res. Int. 2021, 140, 109988. [Google Scholar] [CrossRef] [PubMed]
- Li, M.; Zhu, K.X.; Guo, X.N.; Brijs, K.; Zhou, H.M. Natural additives in wheat-based pasta and noodle products: Opportunities for enhanced nutritional and functional properties. Compr. Rev. Food Sci. Food Saf. 2014, 13, 347–357. [Google Scholar] [CrossRef]
- Nogueira, A.D.C.; Steel, C.J. Protein enrichment of biscuits: A review. Food Rev. Int. 2018, 34, 796–809. [Google Scholar] [CrossRef]






| Ingredients | Control Muffins (g) | 4% Peanut Muffins (g) | 20% Peanut Muffins (g) |
|---|---|---|---|
| Soft Wheat Flour | 400 (40%) | 360 (36%) | 200 (20%) |
| Roasted Peanut Flour | 0 | 40 (4%) | 200 (20%) |
| Soft Caster Sugar | 200 (20%) | 200 (20%) | 150 (15%) |
| Vegetable Oil | 90 (9%) | 90 (9%) | 90 (9%) |
| Medium Eggs | 100 (10%) | 100 (10%) | 100 (10%) |
| Sodium Bicarbonate | 6.5 (0.65%) | 6.5 (0.65%) | 6.5 (0.65%) |
| Vanilla Essence | 0.5 (0.05%) | 0.5 (0.05%) | 0.5 (0.05%) |
| Salt | 3 (0.3%) | 3 (0.3%) | 3 (0.3%) |
| Warm Water | 200 (20%) | 200 (20%) | 250 (25%) |
| Total | 1000 (100%) | 1000 (100%) | 1000 (100%) |
Disclaimer/Publisher’s Note: The statements, opinions and data contained in all publications are solely those of the individual author(s) and contributor(s) and not of MDPI and/or the editor(s). MDPI and/or the editor(s) disclaim responsibility for any injury to people or property resulting from any ideas, methods, instructions or products referred to in the content. |
© 2025 by the authors. Licensee MDPI, Basel, Switzerland. This article is an open access article distributed under the terms and conditions of the Creative Commons Attribution (CC BY) license (https://creativecommons.org/licenses/by/4.0/).
Share and Cite
Rutigliano, M.; Liberatore, M.T.; Dilucia, F.; Quinto, M.; Kacmaz, S.; Di Luccia, A.; la Gatta, B. Influence of Peanut Flour Enrichment and Eggs on Muffin Protein Aggregation. Foods 2025, 14, 710. https://doi.org/10.3390/foods14040710
Rutigliano M, Liberatore MT, Dilucia F, Quinto M, Kacmaz S, Di Luccia A, la Gatta B. Influence of Peanut Flour Enrichment and Eggs on Muffin Protein Aggregation. Foods. 2025; 14(4):710. https://doi.org/10.3390/foods14040710
Chicago/Turabian StyleRutigliano, Mariacinzia, Maria Teresa Liberatore, Flavia Dilucia, Maurizio Quinto, Sibel Kacmaz, Aldo Di Luccia, and Barbara la Gatta. 2025. "Influence of Peanut Flour Enrichment and Eggs on Muffin Protein Aggregation" Foods 14, no. 4: 710. https://doi.org/10.3390/foods14040710
APA StyleRutigliano, M., Liberatore, M. T., Dilucia, F., Quinto, M., Kacmaz, S., Di Luccia, A., & la Gatta, B. (2025). Influence of Peanut Flour Enrichment and Eggs on Muffin Protein Aggregation. Foods, 14(4), 710. https://doi.org/10.3390/foods14040710

