Nutraceutical Potential and Food Safety of Fructose in Soda and Diet Beverages
Abstract
1. Introduction
2. Materials and Methods
2.1. Samples
2.2. In Vivo Fly Stocks
2.3. In Vitro Cell Culture Conditions
2.4. In Vivo Safety Studies
2.4.1. Toxicity Assays
2.4.2. Genotoxicity Assay
2.5. In Vivo Evaluation of Nutraceutical Potential
2.5.1. Antitoxicity Assay
2.5.2. Antigenotoxicity Assay
2.5.3. Chronic Treatments: Lifespan and Healthspan Assays
2.6. In Vitro Evaluation of Nutraceutical Potential
2.6.1. Cytotoxicity Assay
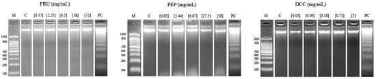
2.6.2. DNA Fragmentation Status
2.6.3. Clastogenicity: Single-Cell Gel Electrophoresis (SCGE, Comet Assay)
2.6.4. Methylation Status of HL-60 Cells
| Primer | Forward Primer Sequence 5′ to 3′ (N) | Reverse Primer Sequence 5′ to 3′ (N) |
|---|---|---|
| ALU-C4 | GGTTAGGTATAGTGGTTTATATTTGTAATTTTAGTA (−36) | ATTAACTAAACTAATCTTAAACTCCTAACCTCA (−33) |
| ALUM1 | ATTATGTTAGTTAGGATGGTTTCGATTTT (−29) | CAATCGACCGAACGCGA (−17) |
| LINE-1-M1 | GGACGTATTTGGAAAATCGGG (−21) | AATCTCGCGATACGCCGTT (−19) |
| SAT-α-M1 | TGATGGAGTATTTTTAAAATATACGTTTTGTAGT (−34) | AATTCTAAAAATATTCCTCTTCAATTACGTAAA (−33) |
3. Results
3.1. In Vivo Assays
3.2. In Vitro Assays
4. Discussion
4.1. In Vivo Safety Studies
4.2. Evaluation of Nutraceutical Potential
5. Conclusions
Author Contributions
Funding
Institutional Review Board Statement
Informed Consent Statement
Data Availability Statement
Conflicts of Interest
References
- Cavagnari, B.M. Regulación de la expresión génica: Cómo operan los mecanismos epigenéticos. Arch. Pediatría 2012, 110, 132–136. [Google Scholar] [CrossRef]
- Tiffon, C. The impact of nutrition and environmental epigenetics on human health and disease. Int. J. Mol. Sci. 2018, 19, 3425. [Google Scholar] [CrossRef] [PubMed]
- Ford, D.; Ions, L.J.; Alatawi, F.; Wakeling, L.A. The potential role of epigenetic responses to diet in ageing. Proc. Nutr. Soc. 2011, 70, 374–384. [Google Scholar] [CrossRef] [PubMed]
- Fabiani, R.; Minelli, L.; Bertarelli, G.; Bacci, S. A western dietary pattern increases prostate cancer risk: A systematic review and meta-analysis. Nutrients 2016, 8, 626. [Google Scholar] [CrossRef] [PubMed]
- Allen, R.G.; Tresini, M. Oxidative stress and gene regulation. Free Radic. Biol. Med. 2000, 28, 463–499. [Google Scholar] [CrossRef] [PubMed]
- Hrncir, T.; Trckova, E.; Hrncirova, L. Synergistic Effects of Fructose and Food Preservatives on Metabolic Dysfunction-Associated Steatotic Liver Disease (MASLD): From Gut Microbiome Alterations to Hepatic Gene Expression. Nutrients 2024, 16, 3722. [Google Scholar] [CrossRef]
- Haro, D.; Marrero, P.F.; Relat, J. Nutritional Regulation of Gene Expression: Carbohydrate, Fat, and Amino Acid-Dependent Modulation of Transcriptional Activity. Int. J. Mol. Sci. 2019, 20, 1386. [Google Scholar] [CrossRef] [PubMed]
- Abubakar, B.; Usman, D.; Sanusi, K.O.; Azmi, N.H.; Imam, M.U. Preventive epigenetic mechanisms of functional foods for type 2 diabetes. Diabetology 2023, 4, 259–277. [Google Scholar] [CrossRef]
- Graf, U.; Wurgler, F.E.; Katz, A.J.; Frei, H.; Juon, H.; Hall, C.B.; Kale, P.G. Somatic mutation and recombination test in Drosophila melanogaster. Environ. Mutagen. 1984, 6, 153–188. [Google Scholar] [CrossRef] [PubMed]
- Reiter, L.T.; Potocki, L.; Chien, S.; Gribskov, M.; Bier, E. A systematic analysis of human disease-associated gene sequences in Drosophila melanogaster. Genome Res. 2001, 11, 1114–1125. [Google Scholar] [CrossRef] [PubMed]
- Anter, J.; Fernandez-Bedmar, Z.; Villatoro-Pulido, M.; Demyda-Peyras, S.; Moreno-Millan, M.; Alonso-Moraga, A.; Munoz-Serrano, A.; Luque de Castro, M.D. A pilot study on the DNA-protective, cytotoxic, and apoptosis-inducing properties of olive-leaf extracts. Mutat. Res. 2011, 723, 165–170. [Google Scholar] [CrossRef] [PubMed]
- Merinas-Amo, T.; Tasset-Cuevas, I.; Díaz-Carretero, A.M.; Alonso-Moraga, Á.; Calahorro, F. In vivo and in vitro studies of the role of lyophilised blond lager beer and some bioactive components in the modulation of degenerative processes. J. Funct. Foods. 2016, 27, 274–294. [Google Scholar] [CrossRef]
- Mateo-Fernández, M.; Merinas-Amo, T.; Moreno-Millán, M.; Alonso-Moraga, Á.; Demyda-Peyrás, S. In vivo and in vitro genotoxic and epigenetic effects of two types of cola beverages and caffeine: A multi assay approach. BioMed Res. Int. 2016, 2016, 7574843. [Google Scholar] [CrossRef] [PubMed]
- Fleming, J.E.; Reveillaud, I.; Niedzwiecki, A. Role of oxidative stress in Drosophila aging. Mutat. Res. 1992, 275, 267–279. [Google Scholar] [CrossRef] [PubMed]
- Li, S.; Chen, K.; Li, X.; Zhang, X.; Liu, S.V. A new cultivation system for studying chemical effects on the lifespan of the fruit fly. Exp. Gerontol. 2010, 45, 158–162. [Google Scholar] [CrossRef] [PubMed]
- Beckingham, K.M.; Armstrong, J.D.; Texada, M.J.; Munjaal, R.; Baker, D.A. Drosophila melanogaster-the model organism of choice for the complex biology of multi-cellular organisms. Gravit. Space Res. Bull. 2007, 18, 17–29. [Google Scholar]
- Balls, M. Progressing toward the reduction, refinement and replacement of laboratory animal procedures: Thoughts on some encounters with Dr Iain purchase. Toxicol. Vitro 2004, 18, 165–170. [Google Scholar] [CrossRef] [PubMed]
- Leszczyniecka, M.; Roberts, T.; Dent, P.; Grant, S.; Fisher, P.B. Differentiation therapy of human cancer: Basic science and clinical applications. Pharmacol. Ther. 2001, 90, 105–156. [Google Scholar] [CrossRef]
- Fesus, L.; Szondy, Z.; Uray, I. Probing the molecular program of apoptosis by cancer chemo preventive agents. J. Cell. Biochem. Suppl. 1995, 22, 151–161. [Google Scholar] [CrossRef]
- Hong, W.K.; Sporn, M.B. Recent advances in chemoprevention of cancer. Science 1997, 278, 1073–1077. [Google Scholar] [CrossRef]
- Suzuki, M.M.; Bird, A. DNA methylation landscapes: Provocative insights from epigenomics. Nat. Rev. Genet. 2008, 9, 465. [Google Scholar] [CrossRef] [PubMed]
- Roman-Gomez, J.; Jimenez-Velasco, A.; Agirre, X.; Castillejo, J.A.; Navarro, G.; San Jose-Eneriz, E.; Garate, L.; Cordeu, L.; Cervantes, F.; Prosper, F.; et al. Repetitive DNA hypomethylation in the advanced phase of chronic myeloid leukemia. Leuk. Res. 2008, 32, 487–490. [Google Scholar] [CrossRef] [PubMed]
- Ishidate, M., Jr.; Sofuni, T.; Yoshikawa, K.; Hayashi, M.; Nohmi, T.; Sawada, M.; Matsuoka, A. Primary mutagenicity screening of food additives currently used in Japan. Food Chem. Toxicol. 1984, 22, 623–636. [Google Scholar] [CrossRef] [PubMed]
- Tsubono, Y.; Ogawa, K.; Watanabe, Y.; Nishino, Y.; Tsuji, I.; Watanabe, T.; Nakatsuka, H.; Takahashi, N.; Kawamura, M.; Hisamichi, S. Food frequency questionnaire as a screening test. Nutr. Cancer 2001, 39, 78–84. [Google Scholar] [CrossRef] [PubMed]
- Ventura, E.E.; Davis, J.N.; Goran, M.I. Sugar content of popular sweetened beverages based on objectives laboratory analysis: Focus on fructose content. Obesity 2011, 19, 868–874. [Google Scholar] [CrossRef]
- Ja, W.W.; Carvalho, G.B.; Mak, E.M.; de la Rosa, N.N.; Fang, A.Y.; Liong, J.C.; Brummel, T.; Benzer, S. Prandiology of Drosophila and the CAFE assay. Proc. Natl. Acad. Sci. USA 2007, 104, 8253–8256. [Google Scholar] [CrossRef]
- Yan, J.; Huen, D.; Morely, T.; Johnson, G.; Gubb, D.; Roote, J.; Adler, P.N. The multiple-wing-hairs gene encodes a novel gbd-fh3 domain-containing protein that functions both prior to and after wing hair initiation. Genetics 2008, 180, 219–228. [Google Scholar] [CrossRef]
- Ren, N.; Charlton, J.; Adler, P.N. The flare gene, which encodes the aip1 protein of Drosophila, functions to regulate f-actin disassembly in pupal epidermal cells. Genetics 2007, 176, 2223–2234. [Google Scholar] [CrossRef]
- Maes, P.; Monakhova, Y.B.; Kuballa, T.; Reusch, H.; Lachenmeier, D.W. Qualitative and quantitative control of carbonated cola beverages using 1h NMR spectroscopy. J. Agric. Food Chem. 2012, 60, 2778–2784. [Google Scholar] [CrossRef]
- Mateo-Fernández, M.; Alves-Martínez, P.; Del Río-Celestino, M.; Font, R.; Merinas-Amo, T.; Alonso-Moraga, A. Food safety and nutraceutical potential of caramel colour class IV using in vivo an in vitro assay. Foods 2019, 8, 392. [Google Scholar] [CrossRef]
- Frei, H.; Wurgler, F.E. Optimal experimental design and sample size for the statistical evaluation of data from somatic mutation and recombination tests (smart) in Drosophila. Mutat. Res. 1995, 334, 247–258. [Google Scholar] [CrossRef]
- Fernández-Bedmar, Z.; Arenas-Chaparro, R.; Merinas-Amo, T.; Mateo-Fernández, M.; Tasset-Cuevas, I.; Lozano-Baena, M.; de Haro-Bailón, A.; Campos-Sánchez, J. Modulator role of trilinolein/triolein and resveratrol on the health promoting effects of processed foods: Edible oils and red wine. Toxicol. Lett. 2016, 258, S159. [Google Scholar] [CrossRef]
- Tasset-Cuevas, I.; Fernandez-Bedmar, Z.; Dolores Lozano-Baena, M.; Campos-Sanchez, J.; de Haro-Bailon, A.; Munoz-Serrano, A.; Alonso-Moraga, A. Protective effect of borage seed oil and gamma linolenic acid on DNA: In vivo and in vitro studies. PLoS ONE 2013, 8, e56986. [Google Scholar] [CrossRef] [PubMed]
- Abraham, S.K.; Singh, S.P. Anti-genotoxicity and glutathione s-transferase activity in mice pretreated with caffeinated and decaffeinated coffee. Food Chem. Toxicol. 1999, 37, 733–739. [Google Scholar] [CrossRef]
- Fernandez-Bedmar, Z.; Anter, J.; de La Cruz-Ares, S.; Munoz-Serrano, A.; Alonso-Moraga, A.; Perez-Guisado, J. Role of citrus juices and distinctive components in the modulation of degenerative processes: Genotoxicity, antigenotoxicity, cytotoxicity, and longevity in Drosophila. J. Toxicol. Environ. Health A 2011, 74, 1052–1066. [Google Scholar] [CrossRef]
- Anter, J.; Tasset, I.; Demyda-Peyrás, S.; Ranchal, I.; Moreno-Millán, M.; Romero-Jimenez, M.; Muntané, J.; Luque de Castro, M.D.; Muñoz-Serrano, A.; Alonso-Moraga, Á. Evaluation of potential antigenotoxic, cytotoxic and proapoptotic effects of the olive oil by-product “alperujo”, hydroxytyrosol, tyrosol and verbascoside. Mutat. Res. Genet. Toxicol. Environ. Mutagen. 2014, 772, 25–33. [Google Scholar] [CrossRef] [PubMed]
- Gyori, B.M.; Venkatachalam, G.; Thiagarajan, P.S.; Hsu, D.; Clement, M.V. Opencomet: An automated tool for comet assay image analysis. Redox Biol. 2014, 2, 457–465. [Google Scholar] [CrossRef] [PubMed]
- Nikolaidis, G.; Raji, O.Y.; Markopoulou, S.; Gosney, J.R.; Bryan, J.; Warburton, C.; Walshaw, M.; Sheard, J.; Field, J.K.; Liloglou, T. DNA methylation biomarkers offer improved diagnostic efficiency in lung cancer. Cancer Res. 2012, 72, 5692–5701. [Google Scholar] [CrossRef]
- Liloglou, T.; Bediaga, N.G.; Brown, B.R.; Field, J.K.; Davies, M.P. Epigenetic biomarkers in lung cancer. Cancer Lett. 2014, 342, 200–212. [Google Scholar] [CrossRef] [PubMed]
- Weisenberger, D.J.; Campan, M.; Long, T.I.; Kim, M.; Woods, C.; Fiala, E.; Ehrlich, M.; Laird, P.W. Analysis of repetitive element DNA methylation by methylight. Nucleic Acids Res. 2005, 33, 6823–6836. [Google Scholar] [CrossRef] [PubMed]
- Frei, H.; Wurgler, F.E. Statistical methods to decide whether mutagenicity test data from Drosophila assays indicate a positive, negative, or inconclusive result. Mutat. Res. 1988, 203, 297–308. [Google Scholar] [CrossRef] [PubMed]
- Branen, A.; Davidson, P.; Salminen, S.; Thorngate, J., III. Food Additives, 2nd ed.; CRC Press: Boca Raton, FL, USA, 2001. [Google Scholar]
- Carocho, M.; Barreiro, M.F.; Morales, P.; Ferreira, C. Adding molecules to food, pros and cons: A review on synthetic and natural food additives. Compr. Rev. Food Sci. Food Saf. 2014, 13, 377–399. [Google Scholar] [CrossRef]
- Speed, M.; Mancini, D.P. Health Fears Over Aspartame Make Life Less Sweet for Sugar-Shy Drinks Makers. In Food & Beverage; The Financial Times: New York, NY, USA, 2023; p. 10. [Google Scholar]
- Rodrigues, K.; Hussain, R.; Cooke, S.; Zhang, G.; Zhang, D.; Yin, L.; Tong, X. Fructose as a novel nutraceutical for acetaminophen (APAP)-induced hepatotoxicity. Metab. Target Organ Damage 2023, 3, 20. [Google Scholar] [CrossRef]
- Rizkalla, S.W. Health implications of fructose consumption: A review of recent data. Nutr. Metab. 2010, 7, 82. [Google Scholar] [CrossRef] [PubMed]
- Teff, K.L.; Elliott, S.S.; Tschöp, M.; Kieffer, T.J.; Rader, D.; Heiman, M.; Townsend, R.R.; Keim, N.L.; D’Alessio, D.; Havel, P.J. Dietary fructose reduces circulating insulin and leptin, attenuates postprandial suppression of ghrelin, and increases triglycerides in women. J. Clin. Endocrinol. Metab. 2004, 89, 2963–2972. [Google Scholar] [CrossRef] [PubMed]
- MacKenzie, K.; Boysen, B.; Field, W.; Petsel, S.; Chappel, C.; Emerson, J.; Stanley, J. Toxicity studies of caramel colour iii and 2-acetyl-4 (5)-tetrahydroxybutylimidazole in f344 rats. Food Chem. Toxicol. 1992, 30, 417–425. [Google Scholar] [CrossRef] [PubMed]
- Hwang, I.-S.; Ho, H.; Hoffman, B.B.; Reaven, G.M. Fructose-induced insulin resistance and hypertension in rats. Hypertension 1987, 10, 512–516. [Google Scholar] [CrossRef]
- Nyby, M.D.; Abedi, K.; Smutko, V.; Eslami, P.; Tuck, M.L. Vascular Angiotensin type 1 receptor expression is associated with vascular dysfunction, oxidative stress and inflammation in fructose-fed rats. Hypertens. Res. 2007, 30, 451. [Google Scholar] [CrossRef] [PubMed]
- Nomura, K.; Yamanouchi, T. The role of fructose-enriched diets in mechanisms of non-alcoholic fatty liver disease. J. Nutr. Biochem. 2012, 23, 203–208. [Google Scholar] [CrossRef] [PubMed]
- Busserolles, J.; Gueux, E.; Rock, E.; Demigné, C.; Mazur, A.; Rayssiguier, Y. Oligofructose protects against the hyper triglyceridemic and pro-oxidative effects of a high fructose diet in rats. J. Nutr. 2003, 133, 1903–1908. [Google Scholar] [CrossRef]
- Hininger-Favier, I.; Benaraba, R.; Coves, S.; Anderson, R.A.; Roussel, A.M. Green tea extract decreases oxidative stress and improves insulin sensitivity in an animal model of insulin resistance, the fructose-fed rat. J. Am. Coll. Nutr. 2009, 28, 355–361. [Google Scholar] [CrossRef] [PubMed]
- Jung, S.; Bae, H.; Song, W.S.; Jang, C. Dietary fructose and fructose-induced pathologies. Ann. Rev. Nutr. 2022, 42, 45–66. [Google Scholar] [CrossRef] [PubMed]
- Flisiński, M.; Brymora, A.; Skoczylas-Makowska, N.; Stefańska, A.; Manitius, J. Fructose-Rich Diet Is a Risk Factor for Metabolic Syndrome, Proximal Tubule Injury and Urolithiasis in Rats. Int. J. Mol. Sci. 2022, 23, 203. [Google Scholar] [CrossRef] [PubMed]
- İlhan, İ.; Ascı, H.; Buyukbayram, H.İ.; BerkImeci, O.; AbdulkadirSevuk, M.; Erol, Z.; Aksoy, F.; Milletsever, A. The Impact of the High-Fructose Corn Syrup on Cardiac Damage via SIRT1/PGC1-α Pathway: Potential Ameliorative Effect of Selenium. Biol. Trace Elem. Res. 2024, 202, 5166–5176. [Google Scholar] [CrossRef] [PubMed]
- Cui, C.; Wang, C.; Han, S.; Yu, D.; Zhu, L.; Jiang, P. Impact of a long-term high-fructose diet on systemic metabolic profiles of mice. FASEB Bio Adv. 2022, 4, 560–572. [Google Scholar] [CrossRef]
- Mirzaei, R.; Bidgoli, S.A.; Khosrokhavar, R.; Shoeibi, S.; Ahmadi Ashtiani, H. Increased risk of primary ovarian insufficiency by high-fructose diet consumption: A 90-day study in female rats. Environ. Sci. Pollut. Res. 2023, 30, 7415–7426. [Google Scholar] [CrossRef] [PubMed]
- Sasaki, K.; Takeda, M.; Uchiyama, M. Toxicity, absorption and elimination of phosphoric acid triesters by killifish and goldfish. Bull. Environ. Contam. Toxicol. 1981, 27, 775–782. [Google Scholar] [CrossRef]
- Eluwa, M.; Inyangmme, I.; Akpantah, A.; Ekanem, T.; Ekong, M.; Asuquo, O.R.; Nwakanma, A.A. A comparative study of the effect of diet and soda carbonated drinks on the histology of the cerebellum of adult female albino Wistar rats. Afr. Health Sci. 2013, 13, 541–545. [Google Scholar] [CrossRef]
- Abd El-Wahed, N.A.A.E.L.; Geith, E.Z.; Kalleny, N.K.; AbdKhalek, H.A. The Effect of Diet Coke and Monosodium Glutamate on the Cerebellar Cortex of Adult Male Albino Rats. Histological and Immuno-histochemical Study. Egypt. J. Hystol. 2019, 42, 437–451. [Google Scholar] [CrossRef]
- Ferre-Aracil, C.; González-Haba, M.; Tormo-Lanseros, B.; Giménez-Alvira, L.; Jiménez-Garrido, M. Distal Intestinal Obstruction Syndrome resolved by dissolution with Coca-Cola® via colonoscopy in a cystic fibrosis patient. J. Cyst. Fibros. 2020, 19, e43–e44. [Google Scholar] [CrossRef] [PubMed]
- Korayem, H.E.; Refaat, G.N.; Awny, M.; Fekry, E. Evaluation of Neuroprotective Role of Coenzyme Q 10 in Attenuating Changes of Hippocampus Induced by Diet Coke Consumption in Adult Male Albino Rats. Suez Canal Univ. Med. J. 2024, 27. [Google Scholar] [CrossRef]
- Machtinger, R.; Gaskins, A.J.; Mansur, A.; Adir, M.; Racowsky, C.; Baccarelli, A.A.; Hauser, R.; Chavarro, J.E. Association between preconception maternal beverage intake and in vitro fertilization outcomes. Fertil. Steril. 2017, 108, 1026–1033. [Google Scholar] [CrossRef]
- Gong, Z.; Lai, L.; Deng, Y. Coca Cola and Pepsi Cola impact burns repair and serum levels of endothelial growth factor and vascular endothelial growth factor receptor in rabbits. Biomed. Res. 2018, 29, 1073–1077. [Google Scholar]
- Hansen, M.; Baunsgaard, D.; Autrup, H.; Vogel, U.B.; Møller, P.; Lindecrona, R.; Wallin, H.; Poulsen, H.E.; Loft, S.; Dragsted, L.O. Sucrose, glucose and fructose have similar genotoxicity in the rat colon and affect the metabolome. Food Chem. Toxicol. 2008, 46, 752–760. [Google Scholar] [CrossRef] [PubMed]
- Migliore, L.; Barale, R.; Bosco, E.; Giorgelli, F.; Minunni, M.; Scarpato, R.; Loprieno, N. Genotoxicity of methylglyoxal: Cytogenetic damage in human lymphocytes in vitro and in intestine cells of mice. Carcinogenesis 1990, 11, 1503–1507. [Google Scholar] [CrossRef]
- Roberts, M.J.; Wondrak, G.T.; Laurean, D.C.; Jacobson, M.K.; Jacobson, E.L. DNA damage by carbonyl stress in human skin cells. Mutat. Res. 2003, 522, 45–56. [Google Scholar] [CrossRef] [PubMed]
- Lummertz Magenis, M.; Paganini Damiani, A.; de Oliveira Monteiro, I.; Salvan Dagostin, L.; dos Santos Silva, N.; Scussel, R.; Nagashima, S.; Langie, S.; Aurino Pinho, R.; Moraes de Andrade, V. Maternal exercise during pregnancy modulates genotoxicity caused by high fructose consumption in mice offspring. Mutagenesis 2024, 39, 119–140. [Google Scholar] [CrossRef]
- MacGregor, J.; Tucker, J.; Ziderman, I.; Wehr, C.; Wilson, R.; Friedman, M. Non-clastogenicity in mouse bone marrow of fructose/lysine and other sugar/amino acid browning products with in vitro genotoxicity. Food Chem. Toxicol. 1989, 27, 715–721. [Google Scholar] [CrossRef] [PubMed]
- Demir, F.T. Assessing the genotoxic effects of d-glucose and sucrose in Drosophila melanogaster. In International Marmara Science Congress IMASCON, 4–5 December, İzmit, Türkiye; Kocaeli University: İzmit, Türkiye, 2020; p. 516. [Google Scholar]
- Puri, V.; Nagpal, M.; Singh, I.; Singh, M.; Dhingra, G.A.; Huanbutta, K.; Dheer, D.; Sharma, A.; Sangnim, T. A comprehensive review on nutraceuticals: Therapy support and formulation challenges. Nutrients 2022, 14, 4637. [Google Scholar] [CrossRef] [PubMed]
- Celec, P.; Behuliak, M. Behavioural and endocrine effects of chronic cola intake. J. Psychopharmacol. 2010, 24, 1569–1572. [Google Scholar] [CrossRef]
- Elsherif, M.; Tawfik, M.; Gomaa, R.; Elmalkey, N. Evaluation of Chronic Cola Consumption Effect on the Liver and Kidney Functions in Adult Male Rats: Role of Serum 25-hydroxyvitamin D. Zagazig Univ. Med. J. 2021, 27, 305–315. [Google Scholar] [CrossRef]
- El-Terras, A.; Soliman, M.M.; Alkhedaide, A.; Attia, H.F.; Alharthy, A.; Banaja, A.E. Carbonated soft drinks induce oxidative stress and alter the expression of certain genes in the brains of Wistar rats. Mol. Med. Rep. 2016, 13, 3147–3154. [Google Scholar] [CrossRef][Green Version]
- Hong, M.; Mansour, Y.L.; Klarich, D.L.; Copp, L.; Bloem, K. Comparison of antioxidant capacity of commonly consumed youth beverages in the United States. Int. J. Food Sci Technol. 2016, 51, 1409–1416. [Google Scholar] [CrossRef]
- Feng, C.; Wong, S.; Dong, Q.; Bruce, J.; Mehta, R.; Bruce, W.R.; O’Brien, P.J. Hepatocyte inflammation model for cytotoxicity research: Fructose or glycolaldehyde as a source of endogenous toxins. Arch. Physiol. Biochem. 2009, 115, 105–111. [Google Scholar] [CrossRef] [PubMed]
- Nieminen, A.L.; Dawson, T.L.; Gores, G.J.; Kawanishi, T.; Herman, B.; Lemasters, J.J. Protection by acidotic pH and fructose against lethal injury to rat hepatocytes from mitochondrial inhibitors, ionophores and oxidant chemicals. Biochem. Biophys. Res. Commun. 1990, 167, 600–606. [Google Scholar] [CrossRef]
- McCord, J.M. Superoxide dismutase, lipid peroxidation, and bell-shaped dose response curves. Dose Response 2008, 6, 223–238. [Google Scholar] [CrossRef] [PubMed]
- Lushchak, O.V.; Rovenko, B.M.; Gospodaryov, D.V.; Lushchak, V.I. Drosophila melanogaster larvae fed by glucose and fructose demonstrate difference in oxidative stress markers and antioxidant enzymes of adult flies. Comp. Biochem. Physiol. A Mol. Integr. Physiol. 2011, 160, 27–34. [Google Scholar] [CrossRef] [PubMed]
- Chan, R.I.M.; Stich, H.F.; Rosin, M.P.; Powrie, W.D. Antimutagenic activity of browning reaction products. Cancer Lett. 1982, 15, 27–33. [Google Scholar] [CrossRef] [PubMed]
- Shah, T.; Purohit, G.; Nair, S.P.; Patel, B.; Rawal, Y.; Shah, R.M. Assessment of obesity, overweight and its association with the fast-food consumption in medical students. J. Clin. Diagn. Res. 2014, 8, CC05–CC07. [Google Scholar] [CrossRef]
- Nikitin, A.G.; Navitskas, S.; Gordon, L.A. Effect of varying doses of caffeine on life span of Drosophila melanogaster. J. Gerontol. A Biol. Sci. Med. Sci. 2008, 63, 149–150. [Google Scholar] [CrossRef]
- Driver, C.J.; Cosopodiotis, G. The effect of dietary fat on longevity of Drosophila melanogaster. Exp. Gerontol. 1979, 14, 95–100. [Google Scholar] [CrossRef]
- Bross, T.G.; Rogina, B.; Helfand, S.L. Behavioral, physical, and demographic changes in Drosophila populations through dietary restriction. Aging Cell 2005, 4, 309–317. [Google Scholar] [CrossRef] [PubMed]
- Hannah, C.; Priya, E.; Mammen, A. Duration dependent mutagenic study of cola drinks on Allium cepa L. Biosci. Biotech. Res. Asia 2010, 7, 807–812. [Google Scholar]
- Farhan, E.M.; Tawfiq, R.F. Detection of Cytotoxicity and Carcinogenicity of Soft Drink” Cola” on Allium Cepa Root Cells. Int. J. Adv. Agric. Environ. Eng. 2016, 3, 2349. [Google Scholar]
- Kapicioglu, S.; Baki, A.; Tekelioglu, Y.; Arslan, M.; Sari, M.; Ovali, E. The inhibiting effect of cola on gastric mucosal cell cycle proliferation in humans. Scand. J. Gastroenterol. 1998, 33, 701–703. [Google Scholar] [PubMed]
- Düsman, E.; Berti, A.P.; Soares, L.C.; Vicentini, V.E.P. Cytotoxicity and mutagenicity of cola and grape flavored soft drinks in bone marrow cells of rodents. Food Sci. Tech. 2013, 33, 122–126. [Google Scholar] [CrossRef]
- Ekmekcioglu, C.; Strauss-Blasche, G.; Leibetseder, V.J.; Marktl, W. Toxicological and biochemical effects of different beverages on human intestinal cells. Food Res. Int. 1999, 32, 421–427. [Google Scholar] [CrossRef]
- Nowacki, M.; Adamowicz, J.; Olkowska, J.; Pietkun, K.; Kloskowski, T.; Bajek, A.; Drewa, T. Non-alcoholic beverages, unknown influence on cell proliferation—An in vitro study. Ann. Agric. Environ. Med. 2014, 21, 112–113. [Google Scholar]
- Gold, E.B.; Gordis, L.; Diener, M.D.; Seltser, R.; Boitnott, J.K.; Bynum, T.E.; Hutcheon, D.F. Diet and other risk factors for cancer of the pancreas. Cancer 1985, 55, 460–467. [Google Scholar] [CrossRef]
- Jing, Q.; Xin, S.M.; Cheng, Z.J.; Zhang, W.B.; Zhang, R.; Qin, Y.W.; Pei, G. Activation of p38 Mitogen-Activated Protein Kinase by Oxidized LDL in Vascular Smooth Muscle Cells Mediation via Pertussis Toxin–Sensitive G Proteins and Association with Oxidized LDL-Induced Cytotoxicity. Circ. Res. 1999, 84, 831–839. [Google Scholar] [CrossRef]
- Kanazawa, J.; Kakisaka, K.; Suzuki, Y.; Yonezawa, T.; Abe, H.; Wang, T.; Takikawa, Y. Excess fructose enhances oleatic cytotoxicity via reactive oxygen species production and causes necroptosis in hepatocytes. J. Nutr. Biochem. 2022, 107, 109052. [Google Scholar] [CrossRef] [PubMed]
- Su, C.; Li, H.; Gao, W. GLUT5 increases fructose utilization and promotes tumor progression in glioma. Biochem. Biophys. Res. Commun. 2018, 500, 462–469. [Google Scholar] [CrossRef] [PubMed]
- Febbraio, M.A.; Karin, M. “Sweet death”: Fructose as a metabolic toxin that targets the gut-liver axis. Cell. Metab. 2021, 33, 2316–2328. [Google Scholar] [CrossRef] [PubMed]
- Frenzel, J.; Richter, J.; Eschrich, K. Fructose inhibits apoptosis induced by reoxygenation in rat hepatocytes by decreasing reactive oxygen species via stabilization of the glutathione pool. Biochim. Biophys. Acta Mol. Cell Res. 2002, 1542, 82–94. [Google Scholar] [CrossRef] [PubMed][Green Version]
- Morana, O.; Wood, W.; Gregory, C.D. The apoptosis paradox in cancer. Int. J. Mol. Sci. 2022, 23, 1328. [Google Scholar] [CrossRef]
- Forchhammer, L.; Ersson, C.; Loft, S.; Möller, L.; Godschalk, R.W.; van Schooten, F.J.; Jones, G.D.; Higgins, J.A.; Cooke, M.; Mistry, V. Inter-laboratory variation in DNA damage using a standard comet assay protocol. Mutagenesis 2012, 27, 665–672. [Google Scholar] [CrossRef]
- Olive, P.L.; Banáth, J.P. The comet assay: A method to measure DNA damage in individual cells. Nat. Protoc. 2006, 1, 23–29. [Google Scholar] [CrossRef] [PubMed]
- Fairbairn, D.W.; O’Neill, K.L. Necrotic DNA degradation mimics apoptotic nucleosomal fragmentation comet tail length. Vitro Cell. Dev. Biol. Anim. 1995, 31, 171–173. [Google Scholar] [CrossRef]
- Fabiani, R.; Rosignoli, P.; De Bartolomeo, A.; Fuccelli, R.; Morozzi, G. Genotoxicity of alkene epoxides in human peripheral blood mononuclear cells and hl60 leukaemia cells evaluated with the comet assay. Mutat. Res. 2012, 747, 1–6. [Google Scholar] [CrossRef]
- Nehlig, A.; Debry, G. Potential genotoxic, mutagenic and antimutagenic effects of coffee: A review. Mutat. Res. 1994, 317, 145–162. [Google Scholar] [CrossRef]
- Rayes, A.A. Effect of some drinks on the beneficial probiotic bacteria and the structure of testis of male albino mice. J. App. Sci. Res. 2008, 4, 803–813. [Google Scholar]
- Gong, Z.; Wei, S.; Wei, L.; Liang, H. Effect of carbonated drinks on uterine development: An experimental study. Biomedica 2020, 36, 23–29. [Google Scholar]
- Marzio, A.; Merigliano, C.; Gatti, M.; Vernì, F. Sugar and Chromosome Stability: Clastogenic Effects of Sugars in Vitamin B6-Deficient Cells. PLoS Genet. 2014, 10, e1004199. [Google Scholar] [CrossRef]
- Levi, B.; Werman, M.J. Fructose and related phosphate derivatives impose DNA damage and apoptosis in L5178Y mouse lymphoma cells. J. Nutr. Biochem. 2003, 14, 49–60. [Google Scholar] [CrossRef] [PubMed]
- Pasqualli, T.; Chaves, P.E.E.; da Veiga Pereira, L.; Serpa, É.A.; Flávio Souza de Oliveira, L.; Mansur Machado, M. The use of fructose as a sweetener. Is it a safe alternative for our immune system? J. Food Biochem. 2020, 44, e13496. [Google Scholar] [CrossRef]
- Bulbul, S.N.; Mamur, S.; Yuzbasioglu, D.; Unal, F. Safety assessment of high fructose corn syrup and fructose used as sweeteners in foods. Toxicol. Mech. Methods 2024, 34, 584–595. [Google Scholar] [CrossRef] [PubMed]
- Lopez-Serra, L.; Esteller, M. Proteins that bind methylated DNA and human cancer: Reading the wrong words. Br. J. Cancer 2008, 98, 1881–1885. [Google Scholar] [CrossRef] [PubMed]
- Qin, T.; Jelinek, J.; Si, J.; Shu, J.; Issa, J.P.J. Mechanisms of resistance to 5-aza-2′-deoxycytidine in human cancer cell lines. Blood 2009, 113, 659–667. [Google Scholar] [CrossRef]
- Boissinot, S.; Entezam, A.; Furano, A.V. Selection against deleterious line-1-containing loci in the human lineage. Mol. Biol. Evol. 2001, 18, 926–935. [Google Scholar] [CrossRef] [PubMed]
- Lander, E.S.; Linton, L.M.; Birren, B.; Nusbaum, C.; Zody, M.C.; Baldwin, J.; Devon, K.; Dewar, K.; Doyle, M.; Fitz Hugh, W. Initial sequencing and analysis of the human genome. Nature 2001, 409, 860–921. [Google Scholar]
- Grover, D.; Majumder, P.P.; Rao, C.B.; Brahmachari, S.K.; Mukerji, M. Non-random distribution of alu elements in genes of various functional categories: Insight from analysis of human chromosomes 21 and 22. Mol. Biol. Evol. 2003, 20, 1420–1424. [Google Scholar] [CrossRef]
- Waye, J.; Willard, H. Structure, organization, and sequence of alpha satellite DNA from human chromosome 17: Evidence for evolution by unequal crossing-over and an ancestral pentamer repeat shared with the human x chromosome. Mol. Cell. Biol. 1986, 6, 3156–3165. [Google Scholar] [PubMed]
- Martínez, J.G.; Pérez-Escuredo, J.; Castro-Santos, P.; Marcos, C.Á.; Pendás, J.L.L.; Fraga, M.F.; Hermsen, M.A. Hypomethylation of line-1, and not centromeric sat-α, is associated with centromeric instability in head and neck squamous cell carcinoma. Cell. Oncol. 2012, 35, 259–267. [Google Scholar] [CrossRef] [PubMed]
- Wilson, A.S.; Power, B.E.; Molloy, P.L. DNA hypomethylation and human diseases. Biochim. Biophys. Acta Rev. Cancer 2007, 1775, 138–162. [Google Scholar] [CrossRef] [PubMed]
- Ting, D.T.; Lipson, D.; Paul, S.; Brannigan, B.W.; Akhavanfard, S.; Coffman, E.J.; Contino, G.; Deshpande, V.; Iafrate, A.J.; Letovsky, S. Aberrant overexpression of satellite repeats in pancreatic and other epithelial cancers. Science 2011, 331, 593–596. [Google Scholar] [CrossRef] [PubMed]
- Wild, L.; Flanagan, J.M. Genome-wide hypomethylation in cancer may be a passive consequence of transformation. BBA Rev. Cancer 2010, 1806, 50–57. [Google Scholar] [CrossRef]
- Di Stefano, J.K. Fructose-mediated effects on gene expression and epigenetic mechanisms associated with NAFLD pathogenesis. Cell. Mol. Life Sci. 2020, 77, 2079–2090. [Google Scholar] [CrossRef] [PubMed]





| FRU | Survival | PEP | Survival | DCC (mg/mL) | Survival (%) | |||
|---|---|---|---|---|---|---|---|---|
| (mg/mL) | (%) | (mg/mL) | (%) | |||||
| Simple | Combined | Simple | Combined | Simple | Combined | |||
| Treatment | Treatment | Treatment | Treatment | Treatment | Treatment | |||
| 0 | 100 | 100 | 0 | 100 | 100 | 0 | 100 | 100 |
| H2O2 | - | 49 | H2O2 | - | 42 | H2O2 | - | 52.3 |
| 0.57 | 87.7 | 56 | 0.8 | 89.33 | 50 | 0.023 | 91 | 55 |
| 2.25 | 96 | 54 | 3.4 | 89.33 | 47 | 0.09 | 91 | 56 |
| 4.5 | 88.35 | 56 | 6.87 | 86 * | 47 | 0.18 | 89 | 47 |
| 18 | 100 | 71 * | 27.5 | 80 * | 44 | 0.75 | 96 | 51.65 |
| 72 | 99.34 | 48.35 | 110 | 65.33 * | 34 | 3 | 94 | 45 |
| Clones per Wings (Number of Spots) 1 | |||||||
|---|---|---|---|---|---|---|---|
| Compound | Wing Number | Small Single Spots (1–2Cells) m = 2 | Large Simple Spots (>2 Cells) m = 5 | Twin Spots m = 5 | Total Spots m = 2 | Mann–Whitney Test 2 | IP (%) 3 |
| H2O | 41 | 0.147 (6) | 0.048 (2) | 0 | 0.195 (8) | ||
| H2O2 (0.15 M) | 40 | 0.375 (15) | 0.05 (2) | 0 | 0.425 (17) + | ||
| Simple Treatment | |||||||
| FRU (mg/mL) | |||||||
| 2.25 | 38 | 0.28 (11) | 0.1 (1) | 0 | 0.32 (12) i | λ | |
| 72 | 33 | 0.24 (8) | 0.03 (1) | 0.03 (1) | 0.3 (10) i | λ | |
| PEP (mg/mL) | |||||||
| 3.4 | 42 | 0.071 (3) | 0 | 0 | 0.071 (3) − | ||
| 110 | 44 | 0.18 (8) | 0.022 (1) | 0 | 0.204 (9) − | ||
| DCC (mg/mL) | |||||||
| 0.09 | 40 | 0.175 (7) | 0.075 (3) | 0 | 0.25 (10) i | λ | |
| 3 | 36 | 0.25 (9) | 0 | 0 | 0.25 (9) i | λ | |
| Combined Treatment | |||||||
| FRU (mg/mL) | |||||||
| 2.25 | 50 | 0.18 (9) | 0.08 (4) | 0 | 0.26 (13) β | ω | |
| 72 | 40 | 0.275 (11) | 0.125 (5) | 0 | 0.4 (16) β | ω | |
| PEP (mg/mL) | |||||||
| 3.4 | 44 | 0.11 (5) | 0.023 (1) | 0 | 0.136 (6) * | 68 | |
| 110 | 40 | 0.1 (4) | 0 | 0 | 0.1 (4) * | 76.5 | |
| DCC (mg/mL) | |||||||
| 0.09 | 40 | 0.05 (2) | 0.05 (2) | 0 | 0.1 (4) * | 76.4 | |
| 3 | 44 | 0.227 (10) | 0.068 (3) | 0 | 0.3 (13) β | ω | |
| Mean Lifespan (Days) | Mean Lifespan Difference (%) a | Healthspan (80th Percentile) (Days) | Healthspan Difference (%) a | |
|---|---|---|---|---|
| FRU (mg/mL) | ||||
| Control | 59.67 ± 2.9 | 0 | 32.63 ± 1.48 | 0 |
| 0.57 | 68.37 ± 2.8 * | 14.58 | 33.66 ± 1.69 | 3.15 |
| 2.25 | 67.76 ± 2.27 | 13.5 | 44.58 ± 3.9 | 36.62 |
| 4.5 | 73.8 ± 2.35 *** | 23.7 | 41.68 ± 2.81 * | 27.73 |
| 18 | 70.6 ± 1.7 ** | 18.31 | 46.87 ± 1.87 ** | 43.64 |
| 72 | 59.334 ± 2.25 | −0.6 | 27.7 ± 3.42 | −15.1 |
| PEP (mg/mL) | ||||
| Control | 64 ± 3.12 | 0 | 31.21 ± 2.37 | 0 |
| 0.8 | 60.5 ± 2.9 | −5.5 | 31.18 ± 1.67 | −0.1 |
| 3.4 | 58.2 ± 2.7 | −9.1 | 30.6 ± 1.8 | −1.96 |
| 6.87 | 52.3 ± 2.3 *** | −18.3 | 31.5 ± 1.52 | 0.92 |
| 27.5 | 52.34 ± 2.8 ** | −18.3 | 27.9 ± 1.05 | −10.6 |
| 110 | 51.9 ± 2.7 ** | −18.9 | 28.62 ± 1.13 | −8.3 |
| DCC (mg/mL) | ||||
| Control | 59.67 ± 2.92 | 0 | 32.62 ± 1.48 | 0 |
| 0.023 | 66.4 ± 3.3 | 11.27 | 31.62 ± 1.88 | −1 |
| 0.09 | 62 ± 2.8 | 3.9 | 31.14 ± 1.7 | −4.5 |
| 0.18 | 57.2 ± 2.4 | −4.2 | 32.85 ± 1.66 | 0.7 |
| 0.75 | 68.27 ± 2.26 * | 14.41 | 40.68 ± 2.43 | 24.7 |
| 3 | 65.14 ± 2.55 | 9.16 | 40.23 ± 2.3 | 23.33 |
Disclaimer/Publisher’s Note: The statements, opinions and data contained in all publications are solely those of the individual author(s) and contributor(s) and not of MDPI and/or the editor(s). MDPI and/or the editor(s) disclaim responsibility for any injury to people or property resulting from any ideas, methods, instructions or products referred to in the content. |
© 2025 by the authors. Licensee MDPI, Basel, Switzerland. This article is an open access article distributed under the terms and conditions of the Creative Commons Attribution (CC BY) license (https://creativecommons.org/licenses/by/4.0/).
Share and Cite
Mateo-Fernández, M.; Alves-Martínez, P.; Del Río-Celestino, M.; Font, R.; Merinas-Amo, T.; Alonso-Moraga, Á. Nutraceutical Potential and Food Safety of Fructose in Soda and Diet Beverages. Foods 2025, 14, 648. https://doi.org/10.3390/foods14040648
Mateo-Fernández M, Alves-Martínez P, Del Río-Celestino M, Font R, Merinas-Amo T, Alonso-Moraga Á. Nutraceutical Potential and Food Safety of Fructose in Soda and Diet Beverages. Foods. 2025; 14(4):648. https://doi.org/10.3390/foods14040648
Chicago/Turabian StyleMateo-Fernández, Marcos, Pilar Alves-Martínez, Mercedes Del Río-Celestino, Rafael Font, Tania Merinas-Amo, and Ángeles Alonso-Moraga. 2025. "Nutraceutical Potential and Food Safety of Fructose in Soda and Diet Beverages" Foods 14, no. 4: 648. https://doi.org/10.3390/foods14040648
APA StyleMateo-Fernández, M., Alves-Martínez, P., Del Río-Celestino, M., Font, R., Merinas-Amo, T., & Alonso-Moraga, Á. (2025). Nutraceutical Potential and Food Safety of Fructose in Soda and Diet Beverages. Foods, 14(4), 648. https://doi.org/10.3390/foods14040648

