Effects of Cassava and Modified Starch on the Structural and Functional Characteristics of Peanut Protein-Based Meat Analogs
Abstract
1. Introduction
2. Materials and Methods
2.1. Materials
2.2. High-Moisture Extrusion
2.3. Low-Field Nuclear Magnetic Resonance
2.4. Ultraviolet Spectra
2.5. Intrinsic Fluorescence Spectra
2.6. Thermal Property Determination
2.7. Sodium Dodecyl Sulfate–Polyacrylamide Gel Electrophoresis
2.8. Thawing Loss
2.9. Emulsifying Properties
2.10. In Vitro Protein Digestibility
2.11. Statistical Analysis
3. Results and Discussion
3.1. Water Distribution in Meat Analogs
3.2. UV Spectral Analysis
3.3. Intrinsic Fluorescence Spectral Analysis
3.4. Thermal Characteristic Analysis
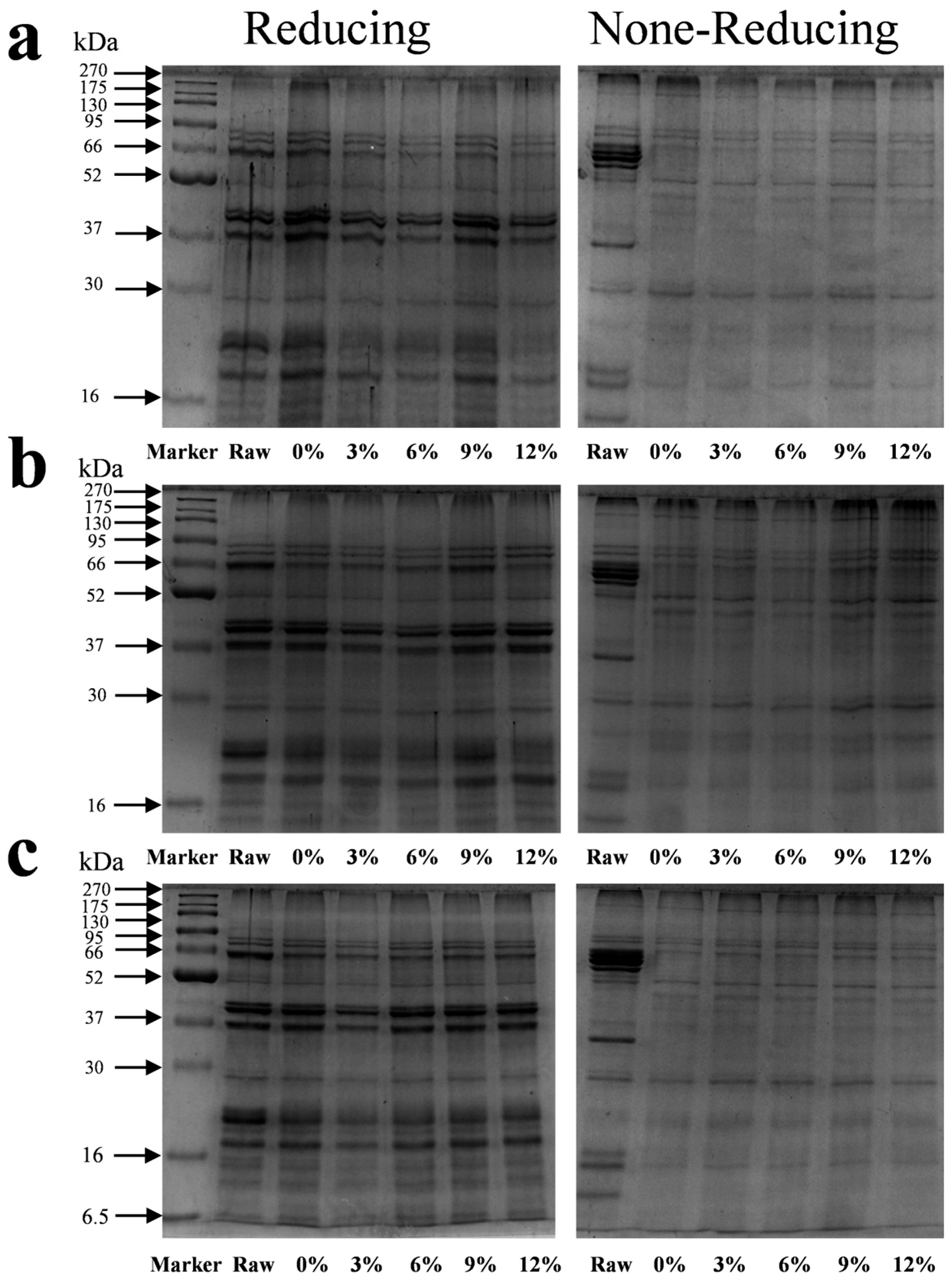
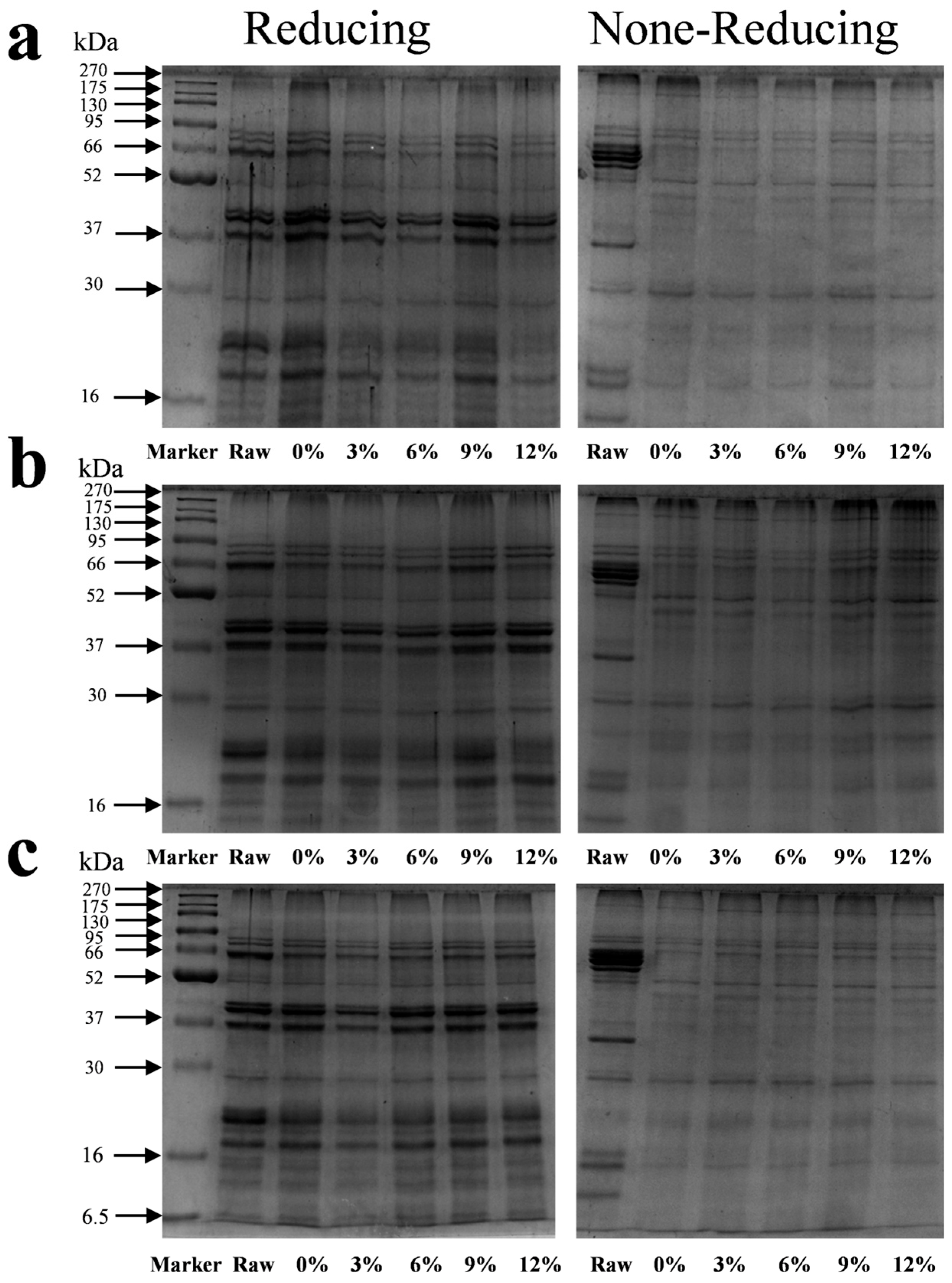
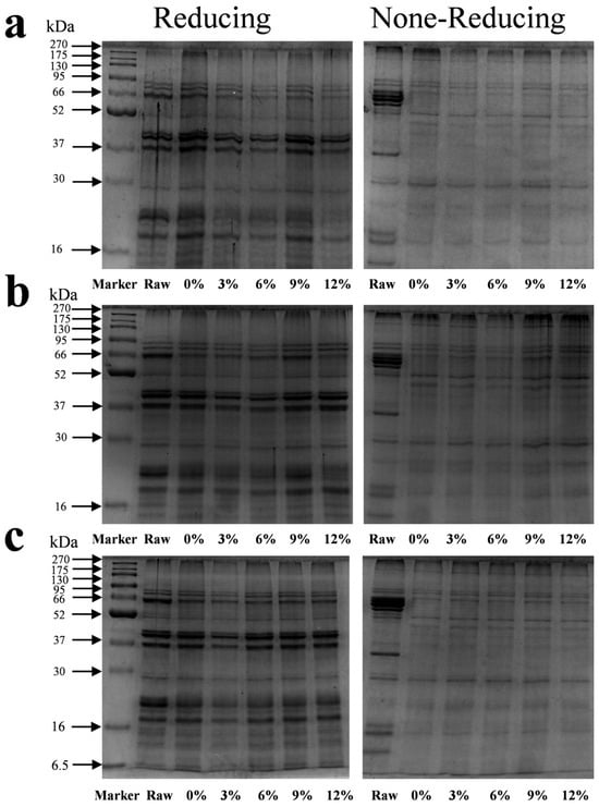
3.5. SDS-PAGE Analysis
3.6. Thawing Loss
3.7. Emulsifying Properties
3.8. IVPD
4. Conclusions
Author Contributions
Funding
Institutional Review Board Statement
Informed Consent Statement
Data Availability Statement
Conflicts of Interest
Abbreviations
| ADSP | acetyl distarch phosphate |
| CS | cassava starch |
| EAI | emulsifying activity index |
| ESI | emulsifying stability index |
| HME | high-moisture extrusion |
| HS | hydroxypropyl starch |
| IVPD | in vitro protein digestibility |
| LF-NMR | low-field nuclear magnetic resonance |
| SDS-PAGE | sodium dodecyl sulfate–polyacrylamide gel electrophoresis |
| Tp | peak temperature |
| UV | ultraviolet |
References
- The United Nations Department of Economic and Social Affairs. World Population Prospects 2024; United Nations Population Division: New York, NY, USA, 2024. [Google Scholar]
- Kell, S. Editorial foreword for “environment, development and sustainability” journal. Environ. Dev. Sustain. 2022, 24, 2983–2985. [Google Scholar] [CrossRef]
- Oh, Y.-N.; Kim, H.-Y. Exploring Sustainable Future Protein Sources. Food Sci. Anim. Resour. 2024, 45, 81–108. [Google Scholar] [CrossRef]
- Kolev, N.; Vlahova-Vangelova, D.; Balev, D.; Dragoev, S.; Dimov, K.; Petkov, E.; Popova, T. Effect of the addition of soybean protein and insect flours on the quality of cooked sausages. Foods 2024, 13, 2194. [Google Scholar] [CrossRef] [PubMed]
- Jiang, W.; Yang, X.; Li, L. Flavor of extruded meat analogs: A review on composition, influencing factors, and analytical techniques. Curr. Res. Food Sci. 2024, 8, 100747. [Google Scholar] [CrossRef]
- Schmid, E.-M.; Farahnaky, A.; Adhikari, B.; Torkey, P.J. High moisture extrusion cooking of meat analogs: A review of mechanisms of protein texturization. Compr. Rev. Food Sci. Food Saf. 2022, 21, 4573–4609. [Google Scholar] [CrossRef] [PubMed]
- Zhang, J.; Chen, Q.; Liu, L.; Zhang, Y.; He, N.; Wang, Q. High-moisture extrusion process of transglutaminase-modified peanut protein: Effect of transglutaminase on the mechanics of the process forming a fibrous structure. Food Hydrocoll. 2021, 112, 106346. [Google Scholar] [CrossRef]
- Sui, X.; Zhang, T.; Zhang, X.; Jiang, L. High-Moisture Extrusion of Plant Proteins: Fundamentals of Texturization and Applications. Annu. Rev. Food Sci. Technol. 2024, 15, 125–149. [Google Scholar] [CrossRef]
- Pathiraje, D.; Carlin, J.; Der, T.; Wanasundara, J.P.D.; Shand, P.J. Generating Multi-Functional Pulse Ingredients for Processed Meat Products—Scientific Evaluation of Infrared-Treated Lentils. Foods 2023, 12, 1722. [Google Scholar] [CrossRef]
- Mohamed, I.O. Interaction of starch with some food macromolecules during the extrusion process and its effect on modulating physicochemical and digestible properties. A review. Carbohydr. Polym. Technol. Appl. 2023, 5, 100294. [Google Scholar] [CrossRef]
- Zhang, R.; Yang, Y.; Liu, Q.; Xu, L.; Bao, H.; Ren, X.; Jin, Z.; Jiao, A. Effect of wheat gluten and peanut protein ratio on the moisture distribution and textural quality of high-moisture extruded meat analogs from an extruder response perspective. Foods 2023, 12, 1696. [Google Scholar] [CrossRef]
- Huang, X.; Liu, H.; Ma, Y.; Mai, S.; Li, C. Effects of extrusion on starch molecular degradation, order–gisorder structural transition and digestibility—A Review. Foods 2022, 11, 2538. [Google Scholar] [CrossRef]
- Bassinello, P.Z.; Bento, J.A.C.; de Oliveria Froes Gomes, L.; Caliari, M.; Oomah, B.D. Nutritional value of gluten-free rice and bean based cake mix. Ciência Rural 2020, 50, e20190653. [Google Scholar] [CrossRef]
- Kristiawan, M.; Micard, V.; Maladira, P.; Alchamieh, C.; Maigret, J.E.; Réguerre, A.L.; Emin, M.A.; Della Valle, G. Multi-scale structural changes of starch and proteins during pea flour extrusion. Food Res. Int. 2018, 108, 203–215. [Google Scholar] [CrossRef]
- Guo, F.; Zhang, J.; Hu, H.; Hu, A.; Zhou, H.; Wang, J.; Wang, Q. Effects of starches on the expansion structure and quality properties of peanut protein extrudates during extrusion processing. Trans. Chin. Soc. Agric. Eng. 2025, 41, 280–289. [Google Scholar] [CrossRef]
- Dobson, S.; Laredo, T.; Marangoni, A.G. Particle filled protein-starch composites as the basis for plant-based meat analogues. Curr. Res. Food Sci. 2022, 5, 892–903. [Google Scholar] [CrossRef]
- Yu, B.; Zheng, L.; Cui, B.; Zhao, H.; Liu, P. The effects of acetylated distarch phosphate from tapioca starch on rheological properties and microstructure of acid-induced casein gel. Int. J. Biol. Macromol. 2020, 159, 1132–1139. [Google Scholar] [CrossRef]
- Kong, W.; Zhang, T.; Feng, D.; Xue, Y.; Wang, Y.; Li, Z.; Yang, W.; Xue, C. Effects of modified starches on the gel properties of Alaska Pollock surimi subjected to different temperature treatments. Food Hydrocoll. 2016, 56, 20–28. [Google Scholar] [CrossRef]
- Sun, C.; Fu, J.; Chang, Y.; Li, S.; Fang, Y. Structure Design for Improving the Characteristic Attributes of Extruded Plant-Based Meat Analogues. Food Biophys. 2022, 17, 137–149. [Google Scholar] [CrossRef]
- Zhang, J.; Liu, L.; Jiang, Y.; Faisal, S.; Wang, Q. A new insight into the high-moisture extrusion process of peanut protein: From the aspect of the orders and amount of energy input. J. Food Eng. 2020, 264, 109668. [Google Scholar] [CrossRef]
- Zhang, J.; Liu, L.; Zhu, S.; Wang, Q. Texturisation behaviour of peanut–soy bean/wheat protein mixtures during high moisture extrusion cooking. Int. J. Food Sci. Technol. 2018, 53, 2535–2541. [Google Scholar] [CrossRef]
- Zheng, Y.; Gao, Y.; Sun, C.; Zhao, Y.; Cao, Y.; Lu, W.; Guo, Z.; Fang, Y. Amyloid fibrils-regulated high-moisture extruded soy proteins: Texture, structure, and taste. Food Hydrocoll. 2023, 144, 109026. [Google Scholar] [CrossRef]
- Agyare, K.K.; Xiong, Y.L.; Addo, K. Influence of salt and pH on the solubility and structural characteristics of transglutaminase-treated wheat gluten hydrolysate. Food Chem. 2008, 107, 1131–1137. [Google Scholar] [CrossRef]
- Dai, T.; Li, R.; Liu, C.; Liu, W.; Li, T.; Chen, J.; Kharat, M.; McClements, D.J. Effect of rice glutelin-resveratrol interactions on the formation and stability of emulsions: A multiphotonic spectroscopy and molecular docking study. Food Hydrocoll. 2019, 97, 105234. [Google Scholar] [CrossRef]
- Hossain Brishti, F.; Chay, S.Y.; Muhammad, K.; Rashedi Ismail-Fitry, M.; Zarei, M.; Karthikeyan, S.; Caballero-Briones, F.; Saari, N. Structural and rheological changes of texturized mung bean protein induced by feed moisture during extrusion. Food Chem. 2021, 344, 128643. [Google Scholar] [CrossRef]
- An, D.; Zhai, S.; Li, L. Characteristics of soy protein hydrolysate nanofibrils and their stabilization mechanism for Pickering emulsion: Interfacial properties, Rheology and stability. LWT 2023, 189, 115473. [Google Scholar] [CrossRef]
- Li, L.; Zhao, X.; Xu, X. Trace the difference driven by unfolding-refolding pathway of myofibrillar protein: Emphasizing the changes on structural and emulsion properties. Food Chem. 2022, 367, 130688. [Google Scholar] [CrossRef]
- Wang, K.; Li, C.; Wang, B.; Yang, W.; Luo, S.; Zhao, Y.; Jiang, S.; Mu, D.; Zheng, Z. Formation of macromolecules in wheat gluten/starch mixtures during twin-screw extrusion: Effect of different additives. J. Sci. Food Agric. 2017, 97, 5131–5138. [Google Scholar] [CrossRef] [PubMed]
- Liu, L.; Zhou, Y.; Wan, J.; Zhu, Q.; Bi, S.; Zhou, Y.; Gu, S.; Chen, D.; Huang, Y.; Hu, B. Mechanism of polyhydroxy alcohol-mediated curing on moisture migration of minced pork tenderloin: On the basis of molecular docking. Food Chem. X 2022, 15, 100401. [Google Scholar] [CrossRef]
- Han, Y.; Liu, H.; Li, Q.; Zhao, D.; Shan, K.; Ke, W.; Zhang, M.; Li, C. The degree of doneness affected molecular changes and protein digestibility of pork. Front. Nutr. 2023, 9, 1084779. [Google Scholar] [CrossRef] [PubMed]
- Guo, Z.; Teng, F.; Huang, Z.; Lv, B.; Lv, X.; Babich, O.; Yu, W.; Li, Y.; Wang, Z.; Jiang, L. Effects of material characteristics on the structural characteristics and flavor substances retention of meat analogs. Food Hydrocoll. 2020, 105, 105752. [Google Scholar] [CrossRef]
- Punia Bangar, S.V.; Muhammed, N.; Yuthana, P.; Whiteside, W.S. Recent advancements in cross-linked starches for food applications- a review. Int. J. Food Prop. 2024, 27, 411–430. [Google Scholar] [CrossRef]
- Baig, M.A.; Mostafa, H.; Sivapragasam, N.; Aslam, R.; Zhou, W.; Maqsood, S. Investigating the role of starch in the structuring of meat alternatives from mung bean and pea protein isolates via heat-induced gelation. Front. Sustain. Food Syst. 2024, 8, 1473663. [Google Scholar] [CrossRef]
- Guan, J.; Zhang, Y.; Zhu, J.; Liang, C.; Zhu, M.; Xiao, Z. Effects of different starches on qualities of high moisture textured peanut protein. J. Chin. Cereals Oils Assoc. 2022, 37, 115–123, (In Chinese with English abstract). [Google Scholar] [CrossRef]
- Tang, C.; YANG, X.Q.; Chen, Z.; Wu, H.; Peng, Z.Y. Physicochemical and structural characteristics of sodium caseinate biopolymers induced by microbial transglutaminase. J. Food Biochem. 2005, 29, 402–421. [Google Scholar] [CrossRef]
- Hao, S.; Zheng, Y.; Li, M.; Feng, X.; Yang, X. Effects of heat-moisture extrusion on the structure and functional properties of protein-fortified whole potato flour. Food Chem. X 2024, 24, 102048. [Google Scholar] [CrossRef]
- Zhao, M.; Wei, X.; Wu, X.; Lin, L.; Wu, W. Epigallocatechin-3-gallate improved rheological properties of rice bran protein-soybean protein isolate conjugates emulsions by regulating interface protein conformation. Food Chem. X 2025, 27, 102369. [Google Scholar] [CrossRef] [PubMed]
- Li, Q.; Wang, Z.; Dai, C.; Wang, Y.; Chen, W.; Ju, X.; Yuan, J.; He, R. Physical stability and microstructure of rapeseed protein isolate/gum Arabic stabilized emulsions at alkaline pH. Food Hydrocoll. 2019, 88, 50–57. [Google Scholar] [CrossRef]
- dos Santos Rodrigues, F.H.; Delgado, G.G.; da Costa, T.S.; Tasic, L. Applications of fluorescence spectroscopy in protein conformational changes and intermolecular contacts. BBA Adv. 2023, 3, 100091. [Google Scholar] [CrossRef]
- Hu, A.; Li, L. Effects of ultrasound pretreatment on functional property, antioxidant activity, and digestibility of soy protein isolate nanofibrils. Ultrason. Sonochemistry 2022, 90, 106193. [Google Scholar] [CrossRef]
- Zhang, J.; Liu, Y.; Wang, P.; Zhao, Y.; Zhu, Y.; Xiao, X. The effect of protein–starch interaction on the structure and properties of starch, and its application in flour products. Foods 2025, 14, 778. [Google Scholar] [CrossRef]
- Singh, P.; Roy, A.; Kundu, A.; Mondal, F.; Sarkar, M.; Saha, S. Ultrasound-assisted Maillard reaction for the preparation of whey protein-fructooligosaccharide conjugates. Front. Nutr. 2025, 12, 1531089. [Google Scholar] [CrossRef]
- Jiang, X.; Wang, J.; Li, L.; Bodjrenou, D.M.; Lu, X.; Zheng, B. Effect of chlorogenic acid on lotus seed starch gelatinization behavior and complexation mode during microwave treatment. Food Hydrocoll. 2023, 144, 108925. [Google Scholar] [CrossRef]
- Kingsbury, R.; Hegde, M.; Wang, J.; Kusoglu, A.; You, W.; Coronell, O. Tunable anion exchange membrane conductivity and permselectivity via non-covalent, hydrogen bond cross-linking. ACS Appl. Mater. Interfaces 2021, 13, 52647–52658. [Google Scholar] [CrossRef] [PubMed]
- Scott, G.; Awika, J.M. Effect of protein–starch interactions on starch retrogradation and implications for food product quality. Compr. Rev. Food Sci. Food Saf. 2023, 22, 2081–2111. [Google Scholar] [CrossRef]
- Kim, T.-K.; Yong, H.I.; Kang, M.-C.; Cha, J.Y.; Choi, Y.-S. Effect of hydrocolloids on functionality of Protaetia brevitarsis proteins. Food Sci. Biotechnol. 2022, 31, 243–251. [Google Scholar] [CrossRef]
- Wagner, C.E.; Smith, B.; Ganjyal, G.M. Individual contribution of extrusion processing parameters and protein type on high-moisture meat analogue texture, integrity, anisotropy, and protein chemistry. ACS Food Sci. Technol. 2025, 5, 1561–1577. [Google Scholar] [CrossRef]
- Xiao, R.; Flory, J.; Alavi, S.; Li, Y. Physicochemical and functional properties of plant proteins before and after extrusion texturization. Food Hydrocoll. 2025, 163, 111119. [Google Scholar] [CrossRef]
- Santamaria, M.; Montes, L.; Garzon, R.; Moreira, R.; Rosell, C.M. Unraveling the impact of viscosity and starch type on the in vitro starch digestibility of different gels. Food Funct. 2022, 13, 7582–7590. [Google Scholar] [CrossRef] [PubMed]
- Kuang, J.; Zhang, W.; Yang, X.; Ma, P. Controlling pea starch gelatinization behavior and rheological properties by modulating granule structure change with pea protein isolate. Food Chem. X 2025, 25, 102218. [Google Scholar] [CrossRef]
- Zhang, J.; Liu, L.; Jiang, Y.; Shah, F.; Xu, Y.; Wang, Q. High-moisture extrusion of peanut protein-/carrageenan/sodium alginate/wheat starch mixtures: Effect of different exogenous polysaccharides on the process forming a fibrous structure. Food Hydrocoll. 2020, 99, 105311. [Google Scholar] [CrossRef]
- Tang, C.-H.; Sun, X. Physicochemical and structural properties of 8S and/or 11S globulins from mungbean [Vigna radiata (L.) Wilczek] with various polypeptide constituents. J. Agric. Food Chem. 2010, 58, 6395–6402. [Google Scholar] [CrossRef]
- Khorasgani, M.D.; Nasirpour, A.; Keramat, J.; Barekat, S. Enhancing emulsifying properties of soy protein isolate-wheat starch conjugates: Exploring the influence of starch ratio and hydrolysis time. J. Food Meas. Charact. 2025, 19, 492–504. [Google Scholar] [CrossRef]
- Zhang, X.; Wang, Q.; Liu, Z.; Zhi, L.; Jiao, B.; Hu, H.; Ma, X.; Agyei, D.; Shi, A. Plant protein-based emulsifiers: Mechanisms, techniques for emulsification enhancement and applications. Food Hydrocoll. 2023, 144, 109008. [Google Scholar] [CrossRef]
- Almeida, F.S.; Dias, F.F.G.; Ford, M.W.; Bogusz Junior, S.; Sato, A.C.K.; de Moura Bell, J.M.L.N. Exploring the nutritional and biological properties of green coffee extracts: A comparative study of aqueous and enzymatic extraction processes. Curr. Res. Food Sci. 2024, 9, 100890. [Google Scholar] [CrossRef] [PubMed]
- del Rio, A.R.; Boom, R.M.; Janssen, A.E.M. Effect of fractionation and processing conditions on the digestibility of plant proteins as food ingredients. Foods 2022, 11, 870. [Google Scholar] [CrossRef] [PubMed]
- Norsuwan, T.; Kumrungsee, T.; Yanaka, N.; Nagao, T.; Thongngam, M. Effects of RBX oleogel and heat–moisture-treated rice flour in food matrices on digestibility and microbiota. npj Sci. Food 2025, 9, 54. [Google Scholar] [CrossRef]







| Starch Contents (%) | Starch-Free | 6% CS | 6% ADSP | 6% HS |
|---|---|---|---|---|
| T2b (ms) | 0.45 ± 0.01 a | 0.44 ± 0.02 ab | 0.37 ± 0.01 c | 0.43 ± 0.01 b |
| T21 (ms) | 15.71 ± 0.04 a | 14.71 ± 0.06 b | 13.69 ± 0.95 c | 15.6 ± 0.30 ab |
| T22 (ms) | 205.61 ± 3.73 b | 251.42 ± 0.93 a | 175.30 ± 3.71 c | 252.76 ± 2.49 a |
| M2b (%) | 6.15 ± 0.08 b | 7.03 ± 0.06 a | 4.74 ± 0.10 d | 5.55 ± 0.11 c |
| M21 (%) | 91.87 ± 0.10 b | 91.38 ± 0.11 b | 93.16 ± 0.11 a | 93.04 ± 0.08 a |
| M22 (%) | 2.04 ± 0.07 a | 1.52 ± 0.08 b | 2.12 ± 0.09 a | 1.46 ± 0.09 b |
| Different Starch Contents | Tp (°C) | ΔH (J/g) | |
|---|---|---|---|
| CS (%) | 0 | 123.58 ± 2.72 a | 28.69 ± 0.06 ab |
| 3 | 123.05 ± 0.77 a | 29.54 ± 1.15 a | |
| 6 | 123.68 ± 2.53 a | 29.94 ± 1.29 a | |
| 9 | 123.55 ± 0.93 a | 27.65 ± 0.19 b | |
| 12 | 123.42 ± 1.27 a | 28.89 ± 0.01 ab | |
| ADSP (%) | 0 | 123.58 ± 2.72 a | 28.69 ± 0.06 d |
| 3 | 122.12 ± 0.62 a | 38.1 ± 0.25 a | |
| 6 | 122.07 ± 1.42 a | 34.49 ± 1.19 bc | |
| 9 | 123.69 ± 1.59 a | 35.18 ± 1.67 b | |
| 12 | 121.71 ± 0.36 a | 32.94 ± 0.8 c | |
| HS (%) | 0 | 123.58 ± 2.72 b | 28.69 ± 0.06 a |
| 3 | 123.53 ± 1.16 b | 28.52 ± 0.87 a | |
| 6 | 125.71 ± 1.61 a | 29.04 ± 2.16 a | |
| 9 | 122.70 ± 1.05 b | 27.25 ± 1.02 ab | |
| 12 | 124.57 ± 0.20 ab | 27.56 ± 0.33 ab | |
Disclaimer/Publisher’s Note: The statements, opinions and data contained in all publications are solely those of the individual author(s) and contributor(s) and not of MDPI and/or the editor(s). MDPI and/or the editor(s) disclaim responsibility for any injury to people or property resulting from any ideas, methods, instructions or products referred to in the content. |
© 2025 by the authors. Licensee MDPI, Basel, Switzerland. This article is an open access article distributed under the terms and conditions of the Creative Commons Attribution (CC BY) license (https://creativecommons.org/licenses/by/4.0/).
Share and Cite
Su, Y.; Guan, J.; Liu, S.; Zhu, Y.; Hu, L.; Zhang, Y.; Lu, F.; Zhu, M. Effects of Cassava and Modified Starch on the Structural and Functional Characteristics of Peanut Protein-Based Meat Analogs. Foods 2025, 14, 2849. https://doi.org/10.3390/foods14162849
Su Y, Guan J, Liu S, Zhu Y, Hu L, Zhang Y, Lu F, Zhu M. Effects of Cassava and Modified Starch on the Structural and Functional Characteristics of Peanut Protein-Based Meat Analogs. Foods. 2025; 14(16):2849. https://doi.org/10.3390/foods14162849
Chicago/Turabian StyleSu, Yuhan, Jiale Guan, Shuhong Liu, Yiqun Zhu, Liangyan Hu, Yifan Zhang, Fei Lu, and Minpeng Zhu. 2025. "Effects of Cassava and Modified Starch on the Structural and Functional Characteristics of Peanut Protein-Based Meat Analogs" Foods 14, no. 16: 2849. https://doi.org/10.3390/foods14162849
APA StyleSu, Y., Guan, J., Liu, S., Zhu, Y., Hu, L., Zhang, Y., Lu, F., & Zhu, M. (2025). Effects of Cassava and Modified Starch on the Structural and Functional Characteristics of Peanut Protein-Based Meat Analogs. Foods, 14(16), 2849. https://doi.org/10.3390/foods14162849

