Sex-Based Differences in the In Vitro Digestibility of MCT Emulsions Stabilized by Various Emulsifiers
Abstract
1. Introduction
2. Materials and Methods
2.1. Materials
2.2. Methods
2.2.1. Preparation of Emulsions
2.2.2. Physical Stability Assessment of Emulsions Using Analytical Centrifugation
2.2.3. In Vitro Digestion of the Emulsions and Sampling
2.2.4. Analysis of Digestive Effluents
3. Results and Discussion
3.1. Sex-Specific Differences in Emulsion Digestive Behavior
3.2. Impact of Emulsifier Type on Emulsion Digestion in Males in Females
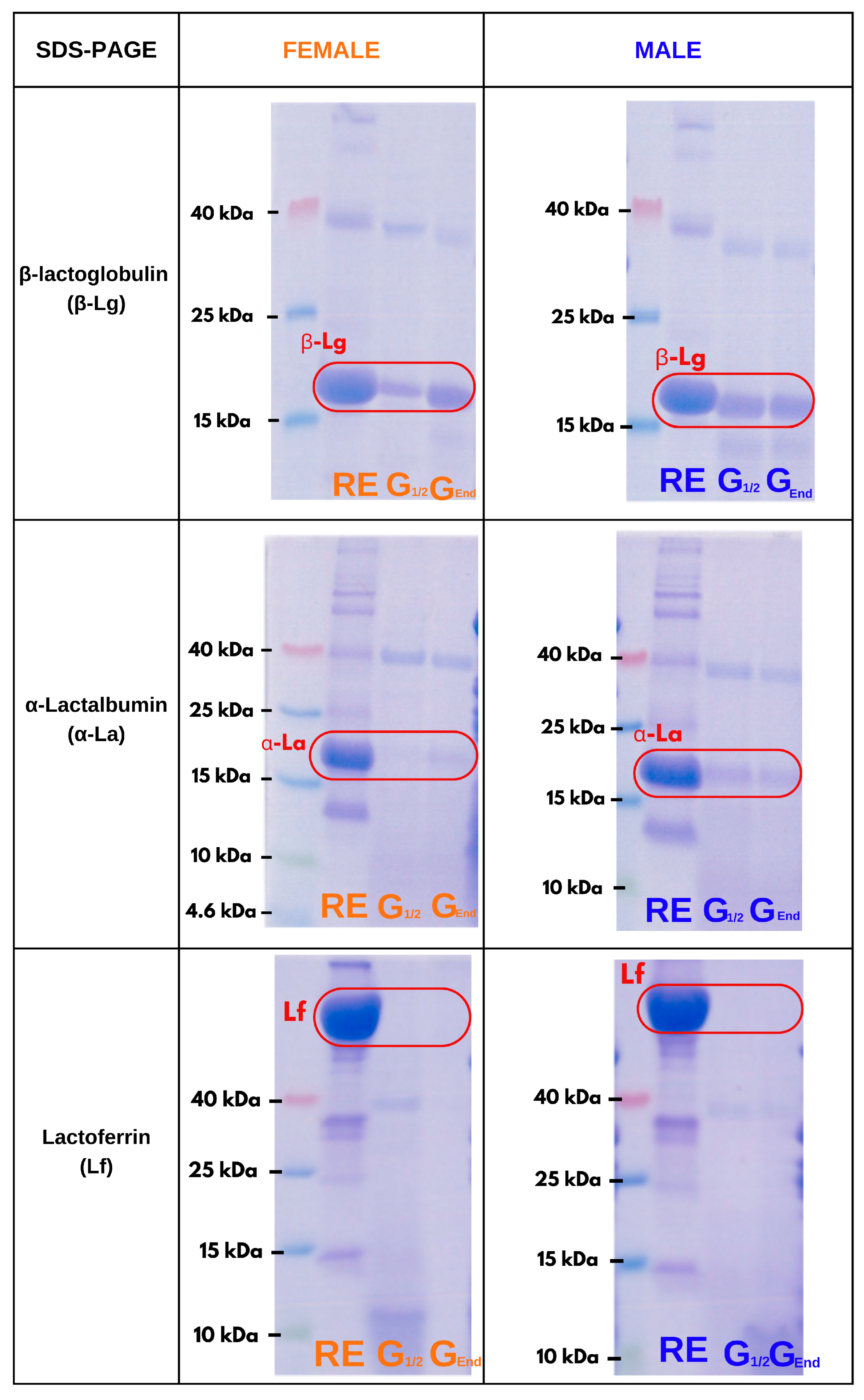
3.3. Sex-Based Differences in Breakdown of Protein Emulsifiers
4. Conclusions
Author Contributions
Funding
Institutional Review Board Statement
Informed Consent Statement
Data Availability Statement
Acknowledgments
Conflicts of Interest
References
- Walther, B.; Lett, A.M.; Bordoni, A.; Tomás-Cobos, L.; Nieto, J.A.; Dupont, D.; Danesi, F.; Shahar, D.R.; Echaniz, A.; Re, R.; et al. GutSelf: Interindividual Variability in the Processing of Dietary Compounds by the Human Gastrointestinal Tract. Mol. Nutr. Food Res. 2019, 63, 1900677. [Google Scholar] [CrossRef] [PubMed]
- Grundy, M.M.L.; Moughan, P.J.; Wilde, P.J. Bioaccessibility and associated concepts: Need for a consensus. Trends Food Sci. Technol. 2024, 145, 104373. [Google Scholar] [CrossRef]
- Chen, Y.; Kim, M.; Paye, S.; Benayoun, B.A. Sex as a Biological Variable in Nutrition Research: From Human Studies to Animal Models. Annu. Rev. Nutr. 2022, 42, 227–250. [Google Scholar] [CrossRef]
- Rémond, D.; Shahar, D.R.; Gille, D.; Pinto, P.; Kachal, J.; Peyron, M.-A.; Dos Santos, C.N.; Walther, B.; Bordoni, A.; Dupont, D.; et al. Understanding the gastrointestinal tract of the elderly to develop dietary solutions that prevent malnutrition. Oncotarget 2015, 6, 13858–13898. [Google Scholar] [CrossRef] [PubMed]
- Soldin, O.P.; Mattison, D.R. Sex Differences in Pharmacokinetics and Pharmacodynamics. Clin. Pharmacokinet. 2009, 48, 143–157. [Google Scholar] [CrossRef]
- Freire, A.C.; Basit, A.W.; Choudhary, R.; Piong, C.W.; Merchant, H.A. Does sex matter? The influence of gender on gastrointestinal physiology and drug delivery. Int. J. Pharm. 2011, 415, 15–28. [Google Scholar] [CrossRef]
- Mai, Y.; Madla, C.M.; Shao, H.; Qin, Y.; Merchant, H.A.; Murdan, S.; Basit, A.W. Sex-specific effects of excipients on oral drug bioavailability. Int. J. Pharm. 2022, 629, 122365. [Google Scholar] [CrossRef]
- Acevedo-Fani, A.; Singh, H. Biophysical insights into modulating lipid digestion in food emulsions. Prog. Lipid Res. 2022, 85, 101129. [Google Scholar] [CrossRef] [PubMed]
- Berton-Carabin, C.; Schroën, K. Towards new food emulsions: Designing the interface and beyond. Curr. Opin. Food Sci. 2019, 27, 74–81. [Google Scholar] [CrossRef]
- Bertsch, P.; Steingoetter, A.; Arnold, M.; Scheuble, N.; Bergfreund, J.; Fedele, S.; Liu, D.; Parker, H.L.; Langhans, W.; Rehfeld, J.F.; et al. Lipid emulsion interfacial design modulates human in vivo digestion and satiation hormone response. Food Funct. 2022, 13, 9010–9020. [Google Scholar] [CrossRef]
- McClements, D.J. The biophysics of digestion: Lipids. Curr. Opin. Food Sci. 2018, 21, 1–6. [Google Scholar] [CrossRef]
- Meynier, A.; Genot, C. Molecular and structural organization of lipids in foods: Their fate during digestion and impact in nutrition. Oléagineux Corps Gras Lipides 2017, 24, D202. [Google Scholar] [CrossRef]
- Wilde, P.J.; Chu, B.S. Interfacial & colloidal aspects of lipid digestion. Adv. Colloid. Interface Sci. 2011, 165, 14–22. [Google Scholar] [CrossRef]
- Lesmes, U. In vitro digestion models for the design of safe and nutritious foods. In Advances in Food and Nutrition Research; Toldrá, F., Ed.; Academic Press: Cambridge, MA, USA, 2023; Volume 104, pp. 179–203. [Google Scholar]
- Bohn, T.; Carriere, F.; Day, L.; Deglaire, A.; Egger, L.; Freitas, D.; Golding, M.; Le Feunteun, S.; Macierzanka, A.; Menard, O.; et al. Correlation between in vitro and in vivo data on food digestion. What can we predict with static in vitro digestion models? Crit. Rev. Food Sci. Nutr. 2018, 58, 2239–2261. [Google Scholar] [CrossRef]
- Sarkar, A.; Zhang, S.; Holmes, M.; Ettelaie, R. Colloidal aspects of digestion of Pickering emulsions: Experiments and theoretical models of lipid digestion kinetics. Adv. Colloid Interface Sci. 2019, 263, 195–211. [Google Scholar] [CrossRef] [PubMed]
- Shani Levi, C.; Goldstein, N.; Portmann, R.; Lesmes, U. Emulsion and protein degradation in the elderly: Qualitative insights from a study coupling a dynamic in vitro digestion model with proteomic analyses. Food Hydrocoll. 2017, 69, 393–401. [Google Scholar] [CrossRef]
- Wang, Y.; Shi, J.; Xu, Y.-J.; Tan, C.-P.; Liu, Y. The digestion fates of lipids with different unsaturated levels in people with different age groups. Food Chem. 2024, 438, 137400. [Google Scholar] [CrossRef]
- Ketel, E.C.; de Wijk, R.A.; de Graaf, C.; Stieger, M. Relating oral physiology and anatomy of consumers varying in age, gender and ethnicity to food oral processing behavior. Physiol. Behav. 2020, 215, 112766. [Google Scholar] [CrossRef] [PubMed]
- Duijsens, D.; Pälchen, K.; Guevara-Zambrano, J.M.; Verkempinck, S.H.E.; Infantes-Garcia, M.R.; Hendrickx, M.E.; Van Loey, A.M.; Grauwet, T. Strategic choices for in vitro food digestion methodologies enabling food digestion design. Trends Food Sci. Technol. 2022, 126, 61–72. [Google Scholar] [CrossRef]
- Dean, A.E.; Reichardt, F.; Anakk, S. Sex differences feed into nuclear receptor signaling along the digestive tract. Biochim. Biophys. Acta BBA Mol. Basis Dis. 2021, 1867, 166211. [Google Scholar] [CrossRef] [PubMed]
- Lajterer, C.; Shani Levi, C.; Lesmes, U. An in vitro digestion model accounting for sex differences in gastro-intestinal functions and its application to study differential protein digestibility. Food Hydrocoll. 2022, 132, 107850. [Google Scholar] [CrossRef]
- Lampe, J.W.; Fredstrom, S.B.; Slavin, J.L.; Potter, J.D. Sex differences in colonic function: A randomised trial. Gut 1993, 34, 531–536. [Google Scholar] [CrossRef] [PubMed]
- Braverman, D.Z.; Johnson, M.L.; Kern, F. Effects of Pregnancy and Contraceptive Steroids on Gallbladder Function. N. Engl. J. Med. 1980, 302, 362–364. [Google Scholar] [CrossRef]
- Degen, L.P.; Phillips, S.F. Variability of gastrointestinal transit in healthy women and men. Gut 1996, 39, 299–305. [Google Scholar] [CrossRef] [PubMed]
- Everson, G.T.; Mckinley, C.; Lawson, M.; Johnson, M.; Kern, F. Gallbladder function in the human female: Effect of the ovulatory cycle, pregnancy, and contraceptive steroids. Gastroenterology 1982, 82, 711–719. [Google Scholar] [CrossRef]
- Fisher, R.S.; Roberts, G.S.; Grabowski, C.J.; Cohen, S. Altered lower esophageal sphincter function during early pregnancy. Gastroenterology 1978, 74, 1233–1237. [Google Scholar] [CrossRef]
- Kern, F.; Everson, G.T.; DeMark, B.; McKinley, C.; Showalter, R.; Erfling, W.; Braverman, D.Z.; Leeuwen, P.S.; Klein, P.D. Biliary lipids, bile acids, and gallbladder function in the human female. Effects of pregnancy and the ovulatory cycle. J. Clin. Investig. 1981, 68, 1229–1242. [Google Scholar] [CrossRef] [PubMed]
- Nagler, R.; Spiro, H.M. Heartburn in Late Pregnancy. Manometric Studies of Esophageal Motor Function*. J. Clin. Investig. 1961, 40, 954–970. [Google Scholar] [CrossRef] [PubMed]
- Nuriel-Ohayon, M.; Neuman, H.; Koren, O. Microbial Changes during Pregnancy, Birth, and Infancy. Front. Microbiol. 2016, 7, 1031. [Google Scholar] [CrossRef] [PubMed]
- Wald, A.; Van Thiel, D.H.; Hoechstetter, L.; Gavaler, J.S.; Egler, K.M.; Verm, R.; Scott, L.; Lester, R. Gastrointestinal transit: The effect of the menstrual cycle. Gastroenterology 1981, 80, 1497–1500. [Google Scholar] [CrossRef]
- Wald, A.; Van Thiel, D.H.; Hoechstetter, L.; Gavaler, J.S.; Egler, K.M.; Verm, R.; Scott, L.; Lester, R. Effect of pregnancy on gastrointestinal transit. Dig. Dis. Sci. 1982, 27, 1015–1018. [Google Scholar] [CrossRef]
- YLöSTALO, P.; Kirkinen, P.; Heikkinen, J.; Mäentausta, O.; Järvinen, P.A. Gall bladder volume and serum bile acids in cholestasis of pregnancy. BJOG Int. J. Obstet. Gynaecol. 1982, 89, 59–61. [Google Scholar] [CrossRef] [PubMed]
- Brodkorb, A.; Egger, L.; Alminger, M.; Alvito, P.; Assunção, R.; Ballance, S.; Bohn, T.; Bourlieu-Lacanal, C.; Boutrou, R.; Carrière, F.; et al. INFOGEST static in vitro simulation of gastrointestinal food digestion. Nat. Protoc. 2019, 14, 991–1014. [Google Scholar] [CrossRef] [PubMed]
- Shani Levi, C.; Lesmes, U. Bi-compartmental elderly or adult dynamic digestion models applied to interrogate protein digestibility. Food Funct. 2014, 5, 2402–2409. [Google Scholar] [CrossRef] [PubMed]
- Dupont, D.; Mandalari, G.; Molle, D.; Jardin, J.; Léonil, J.; Faulks, R.M.; Wickham, M.S.J.; Mills, C.E.N.; Mackie, A.R. Comparative resistance of food proteins to adult and infant in vitro digestion models. Mol. Nutr. Food Res. 2010, 54, 767–780. [Google Scholar] [CrossRef] [PubMed]
- Hoffmann, M.A.M.; van Miltenburg, J.C.; van der Eerden, J.P.; van Mil, P.J.J.M.; de Kruif, C.G. Isothermal and Scanning Calorimetry Measurements on β-Lactoglobulin. J. Phys. Chem. B 1997, 101, 6988–6994. [Google Scholar] [CrossRef]
- Hoffmann, M.A.M.; van Mil, P.J.J.M. Heat-Induced Aggregation of β-Lactoglobulin: Role of the Free Thiol Group and Disulfide Bonds. J. Agric. Food Chem. 1997, 45, 2942–2948. [Google Scholar] [CrossRef]
- Luisa, B.G. Handbook of Milk Composition; Elsevier: Amsterdam, The Netherlands, 1995; ISBN 978-0-08-053311-7. [Google Scholar]
- Gutiérrez-Méndez, N.; Chavez-Garay, D.R.; Leal-Ramos, M.Y. Lecithins: A comprehensive review of their properties and their use in formulating microemulsions. J. Food Biochem. 2022, 46, e14157. [Google Scholar] [CrossRef]
- Golodnizky, D.; Davidovich-Pinhas, M. The Effect of the HLB Value of Sucrose Ester on Physiochemical Properties of Bigel Systems. Foods 2020, 9, 1857. [Google Scholar] [CrossRef]
- Hasenhuettl, G.L. Overview of Food Emulsifiers. In Food Emulsifiers and Their Applications; Hasenhuettl, G.L., Hartel, R.W., Eds.; Springer International Publishing: Cham, Switzerland, 2019; pp. 1–9. ISBN 978-3-030-29187-7. [Google Scholar]
- McClements, D.J. Emulsion Stability. In Food Emulsions; CRC Press: Boca Raton, FL USA, 2015; ISBN 978-0-429-15403-4. [Google Scholar]
- Lesmes, U.; McClements, D.J. Controlling lipid digestibility: Response of lipid droplets coated by β-lactoglobulin-dextran Maillard conjugates to simulated gastrointestinal conditions. Food Hydrocoll. 2012, 26, 221–230. [Google Scholar] [CrossRef]
- Macierzanka, A.; Sancho, A.I.; Mills, E.C.; Rigby, N.M.; Mackie, A.R. Emulsification alters simulated gastrointestinal proteolysis of β-casein and β-lactoglobulin. Soft Matter 2009, 5, 538–550. [Google Scholar] [CrossRef]
- Sarkar, A.; Goh, K.K.T.; Singh, H. Colloidal stability and interactions of milk-protein-stabilized emulsions in an artificial saliva. Food Hydrocoll. 2009, 23, 1270–1278. [Google Scholar] [CrossRef]
- Singh, H.; Ye, A. Structural and biochemical factors affecting the digestion of protein-stabilized emulsions. Curr. Opin. Colloid Interface Sci. 2013, 18, 360–370. [Google Scholar] [CrossRef]
- Hur, S.J.; Decker, E.A.; McClements, D.J. Influence of initial emulsifier type on microstructural changes occurring in emulsified lipids during in vitro digestion. Food Chem. 2009, 114, 253–262. [Google Scholar] [CrossRef]
- li Zhai, J.; Day, L.; Aguilar, M.I.; Wooster, T.J. Protein folding at emulsion oil/water interfaces. Curr. Opin. Colloid Interface Sci. 2013, 18, 257–271. [Google Scholar] [CrossRef]
- David-Birman, T.; Mackie, A.; Lesmes, U. Impact of dietary fibers on the properties and proteolytic digestibility of lactoferrin nano-particles. Food Hydrocoll. 2013, 31, 33–41. [Google Scholar] [CrossRef]
- Furlund, C.B.; Ulleberg, E.K.; Devold, T.G.; Flengsrud, R.; Jacobsen, M.; Sekse, C.; Holm, H.; Vegarud, G.E. Identification of lactoferrin peptides generated by digestion with human gastrointestinal enzymes. J. Dairy Sci. 2013, 96, 75–88. [Google Scholar] [CrossRef] [PubMed]
- Grosvenor, A.J.; Haigh, B.J.; Dyer, J.M. Digestion proteomics: Tracking lactoferrin truncation and peptide release during simulated gastric digestion. Food Funct. 2014, 5, 2699–2705. [Google Scholar] [CrossRef] [PubMed]
- Moscovici, A.M.; Joubran, Y.; Briard-Bion, V.; Mackie, A.; Dupont, D.; Lesmes, U. The impact of the Maillard reaction on the in vitro proteolytic breakdown of bovine lactoferrin in adults and infants. Food Funct. 2014, 5, 1898–1908. [Google Scholar] [CrossRef]
- Troost, F.J.; Steijns, J.; Saris, W.H.M.; Brummer, R.-J.M. Gastric Digestion of Bovine Lactoferrin In Vivo in Adults. J. Nutr. 2001, 131, 2101–2104. [Google Scholar] [CrossRef] [PubMed]
- McCarthy, N.A.; Kelly, A.L.; O’Mahony, J.A.; Fenelon, M.A. Sensitivity of emulsions stabilised by bovine β-casein and lactoferrin to heat and CaCl2. Food Hydrocoll. 2014, 35, 420–428. [Google Scholar] [CrossRef]
- Meshulam, D.; Lesmes, U. Responsiveness of emulsions stabilized by lactoferrin nano-particles to simulated intestinal conditions. Food Funct. 2014, 5, 65–73. [Google Scholar] [CrossRef]
- Sarkar, A.; Goh, K.K.T.; Singh, R.P.; Singh, H. Behaviour of an oil-in-water emulsion stabilized by β-lactoglobulin in an in vitro gastric model. Food Hydrocoll. 2009, 23, 1563–1569. [Google Scholar] [CrossRef]
- Shimoni, G.; Shani Levi, C.; Levi Tal, S.; Lesmes, U. Emulsions stabilization by lactoferrin nano-particles under in vitro digestion conditions. Food Hydrocoll. 2013, 33, 264–272. [Google Scholar] [CrossRef]
- Singh, H.; Sarkar, A. Behaviour of protein-stabilised emulsions under various physiological conditions. Adv. Colloid Interface Sci. 2011, 165, 47–57. [Google Scholar] [CrossRef]
- Egger, L.; Ménard, O.; Baumann, C.; Duerr, D.; Schlegel, P.; Stoll, P.; Vergères, G.; Dupont, D.; Portmann, R. Digestion of milk proteins: Comparing static and dynamic in vitro digestion systems with in vivo data. Food Res. Int. 2019, 118, 32–39. [Google Scholar] [CrossRef]
- Ye, A.; Cui, J.; Dalgleish, D.; Singh, H. The formation and breakdown of structured clots from whole milk during gastric digestion. Food Funct. 2016, 7, 4259–4266. [Google Scholar] [CrossRef] [PubMed]






| Phase | Female | Male |
|---|---|---|
| Mouth Emulsion: SSF (1:1) | SSF: NaCl 16.8 mM | SSF: NaCl 13.5 mM |
| Gastric Oral Bolus: SGF (1:1) | Pepsin 1600 U/mL pH gradient 4.5 to 2.1 Duration: 3 h | Pepsin 2000 U/mL pH gradient 3.2 to 1.5 Duration: 2 h |
| Intestine Gastric bolus: SDF (1:1) Pancreatin (2000 U/mL) | Bile salts: 10 mM (Taurocholic acid sodium salt: Sodium Glycodeoxycholate) (1:1) | Bile salts: 15 mM (Taurocholic acid sodium salt: Sodium Glycodeoxycholate) (3:2) |
Disclaimer/Publisher’s Note: The statements, opinions and data contained in all publications are solely those of the individual author(s) and contributor(s) and not of MDPI and/or the editor(s). MDPI and/or the editor(s) disclaim responsibility for any injury to people or property resulting from any ideas, methods, instructions or products referred to in the content. |
© 2025 by the authors. Licensee MDPI, Basel, Switzerland. This article is an open access article distributed under the terms and conditions of the Creative Commons Attribution (CC BY) license (https://creativecommons.org/licenses/by/4.0/).
Share and Cite
Perez, M.; Shani Levi, C.; Lesmes, U. Sex-Based Differences in the In Vitro Digestibility of MCT Emulsions Stabilized by Various Emulsifiers. Foods 2025, 14, 131. https://doi.org/10.3390/foods14010131
Perez M, Shani Levi C, Lesmes U. Sex-Based Differences in the In Vitro Digestibility of MCT Emulsions Stabilized by Various Emulsifiers. Foods. 2025; 14(1):131. https://doi.org/10.3390/foods14010131
Chicago/Turabian StylePerez, Mijal, Carmit Shani Levi, and Uri Lesmes. 2025. "Sex-Based Differences in the In Vitro Digestibility of MCT Emulsions Stabilized by Various Emulsifiers" Foods 14, no. 1: 131. https://doi.org/10.3390/foods14010131
APA StylePerez, M., Shani Levi, C., & Lesmes, U. (2025). Sex-Based Differences in the In Vitro Digestibility of MCT Emulsions Stabilized by Various Emulsifiers. Foods, 14(1), 131. https://doi.org/10.3390/foods14010131

