In Vitro Digestibility Assessment of Whey from Goat and Camel Milk Fermented with Lactobacillus helveticus for Use as a Base in Formulating Follow-On Formula
Abstract
1. Introduction
| Component (%) | Bovine | Non-Bovine | Human | |||
|---|---|---|---|---|---|---|
| Cow | Buffalo | Camel | Small Ruminants | |||
| Goat | Sheep | |||||
| TS | 12.73 | 18.64 | 12.81 | 12.4 | 17.1 | 11.5 |
| Protein | 3.42 | 4.70 | 2.33 | 3.70 | 5.50 | 0.9 |
| Casein:whey | 82:18 | 82.18 | 73:27 | 78:22 | 76:24 | 27:73 |
| Fat | 4.09 | 8.30 | 4.10 | 3.80 | 5.90 | 3.4 |
| Lactose | 4.82 | 4.80 | 4.81 | 4.10 | 4.80 | 7 |
| Ash | 0.72 | 0.84 | 0.73 | 0.80 | 0.90 | 0.2 |
2. Materials and Methods
2.1. Materials
2.2. Study Design
2.3. Preparation Methods
2.3.1. Preparation of Whey from Different Milk Sources
2.3.2. Starter Culture Preparation and Activation
2.3.3. Milk Fat Separation and Different Fat Blend Formulation
2.3.4. Preparation of Different Follow-On Formulas
2.3.5. Preparation of Soluble Nitrogen Extract (SNE) from Whey and Prepared Follow-On Formulas
2.4. Methods of Analysis
2.4.1. Whey Yield %, Chemical Composition, pH, and Titratable Acidity (TA%)
2.4.2. Proteolytic Activity
2.4.3. SDS-PAGE Electrophoresis
2.4.4. Antioxidant Activity Assay
2.4.5. Gas Chromatography–Mass Spectrometry (GC-Mass)
2.4.6. The In Vitro Digestibility
2.4.7. Statistical Analysis
3. Results and Discussion
3.1. Whey Sample Preparation and Fermentation by L. helveticus
3.1.1. Whey Sample Yield, Chemical Composition, and Fermentation Behavior
3.1.2. Proteolytic Degree and Antioxidant Activity of Whey Samples during Fermentation
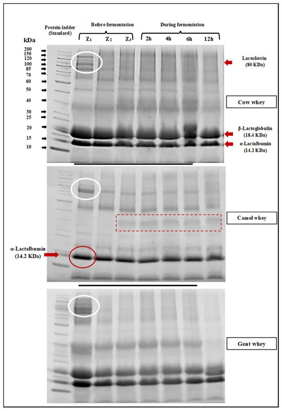
3.1.3. SDS-PAGE Electrophoretic Assay of Whey Samples during Fermentation
3.2. Preparation of Suggested Fat and Oil Blends That Mimic FA Content and Type in Human Milk
3.3. Formulation of Different Fermented Whey-Based Follow-On Formulas and Their Properties
3.3.1. Formulation of Different Fermented Whey-Based Follow-On Formulas
3.3.2. Proteolytic Degree and Antioxidant Activity of Different Prepared Fermented and Non-Fermented Follow-On Formulas before and after In Vitro Digestibility
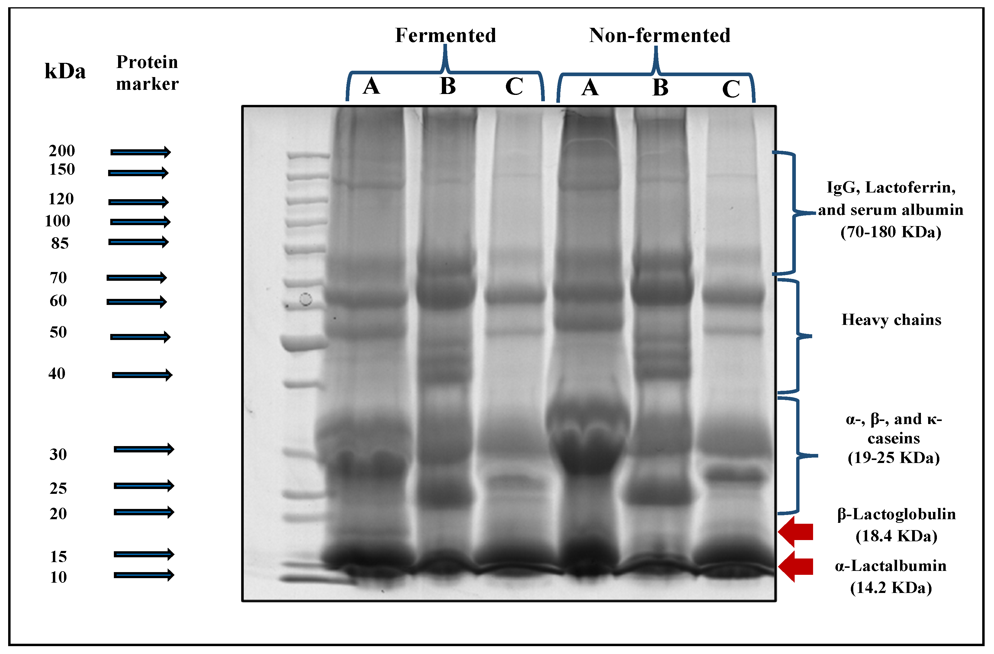
SDS-PAGE Electrophoretic Patterns of Different Prepared Fermented and Non-Fermented Follow-On Formulas
Proteolytic Degree and Antioxidant Activity of Different Non-Fermented and Fermented Prepared Follow-On Formulas against Infant Formulas from Market and Human Milk before and after In Vitro Digestibility
4. Conclusions
Author Contributions
Funding
Institutional Review Board Statement
Informed Consent Statement
Data Availability Statement
Acknowledgments
Conflicts of Interest
References
- Drapala, K.P.; Auty, M.A.; Mulvihill, D.M.; O’Mahony, J.A. Improving thermal stability of hydrolysed whey protein-based infant formula emulsions by protein–carbohydrate conjugation. Food Res. Int. 2016, 88, 42–51. [Google Scholar] [CrossRef] [PubMed]
- Huet, F.; Abrahamse-Berkeveld, M.; Tims, S.; Simeoni, U.; Beley, G.; Savagner, C.; Vandenplas, Y.; Hourihane, J.O.B. Partly fermented infant formulae with specific oligosaccharides support adequate infant growth and are well-tolerated. J. Pediatr. Gastroenterol. Nutr. 2016, 63, e43. [Google Scholar] [CrossRef]
- Mosquera, P.S.; Lourenço, B.H.; Gimeno, S.G.; Malta, M.B.; Castro, M.C.; Cardoso, M.A.; Group, M.-B.W. Factors affecting exclusive breastfeeding in the first month of life among Amazonian children. PLoS ONE 2019, 14, e0219801. [Google Scholar] [CrossRef] [PubMed]
- Saffari, M.; Pakpour, A.H.; Chen, H. Factors influencing exclusive breastfeeding among Iranian mothers: A longitudinal population-based study. Health Promot. Perspect. 2017, 7, 34. [Google Scholar] [CrossRef]
- Alyousefi, N.A.; Alharbi, A.A.; Almugheerah, B.A.; Alajmi, N.A.; Alaiyashi, S.M.; Alharbi, S.S.; Alnoumasi, Z.K. Factors influencing Saudi mothers’ success in exclusive breastfeeding for the first six months of infant life: A cross-sectional observational study. Int. J. Med. Res. Health Sci. 2017, 6, 68–78. [Google Scholar]
- Khresheh, R.M.; Ahmed, N.M. Breastfeeding self efficacy among pregnant women in Saudi Arabia. Saudi Med. J. 2018, 39, 1116. [Google Scholar] [CrossRef]
- Alsulaimani, N.A. Exclusive breastfeeding among Saudi mothers: Exposing the substantial gap between knowledge and practice. J. Fam. Med. Prim. Care 2019, 8, 2803. [Google Scholar] [CrossRef] [PubMed]
- Bakshi, S.; Paswan, V.K.; Yadav, S.P.; Bhinchhar, B.K.; Kharkwal, S.; Rose, H.; Kanetkar, P.; Kumar, V.; Al-Zamani, Z.A.S.; Bunkar, D.S. A comprehensive review on infant formula: Nutritional and functional constituents, recent trends in processing and its impact on infants’ gut microbiota. Front. Nutr. 2023, 10, 1194679. [Google Scholar] [CrossRef]
- Pescuma, M.; Hébert, E.M.; Bru, E.; de Valdez, G.F.; Mozzi, F. Diversity in growth and protein degradation by dairy relevant lactic acid bacteria species in reconstituted whey. J. Dairy Res. 2012, 79, 201–208. [Google Scholar] [CrossRef]
- Martin, C.R.; Ling, P.-R.; Blackburn, G.L. Review of infant feeding: Key features of breast milk and infant formula. Nutrients 2016, 8, 279. [Google Scholar] [CrossRef]
- Talarico, V.; Mazza, G.; Rubino, M.; Monti, G.; Giancotti, L.; Bua, A.; Mohamed, A.M.; Miniero, R. Camel milk: A possible alternative for children with cow’s milk allergy? Minerva Pediatr. 2021, 73, 289–293. [Google Scholar] [CrossRef] [PubMed]
- Ye, A.; Cui, J.; Carpenter, E.; Prosser, C.; Singh, H. Dynamic in vitro gastric digestion of infant formulae made with goat milk and cow milk: Influence of protein composition. Int. Dairy J. 2019, 97, 76–85. [Google Scholar] [CrossRef]
- Szajewska, H.; Skorka, A.; Pieścik-Lech, M. Fermented infant formulas without live bacteria: A systematic review. Eur. J. Pediatr. 2015, 174, 1413–1420. [Google Scholar] [CrossRef] [PubMed]
- Abrahamse, E.; Huybers, S.; Alles, M.S.; Renes, I.B.; Knol, J.; Bouritius, H.; Ludwig, T. Fermented Infant Formula Increases Ileal Protein Digestibility and Reduces Ileal Proteolytic Activity Compared with Standard and Hydrolyzed Infant Formulas in Piglets1, 2, 3. J. Nutr. 2015, 145, 1423–1428. [Google Scholar] [CrossRef] [PubMed]
- Agostoni, C.; Goulet, O.; Kolacek, S.; Koletzko, B.; Moreno, L.; Puntis, J.; Rigo, J.; Shamir, R.; Szajewska, H.; Turck, D. Fermented infant formulae without live bacteria. J Pediatr Gastroenterol Nutr 2007, 44, 392–397. [Google Scholar] [CrossRef] [PubMed]
- Salminen, S.; Stahl, B.; Vinderola, G.; Szajewska, H. Infant Formula Supplemented with Biotics: Current Knowledge and Future Perspectives. Nutrients 2020, 12, 1952. [Google Scholar] [CrossRef] [PubMed]
- De Oliveira, I.K.C.P.; Salles, H.O.; Dos Santos, K.M.O.; Veras, G.; Buriti, F.C.A. Proximate composition determination in goat cheese whey by near infrared spectroscopy (NIRS). PeerJ 2020, 8, e8619. [Google Scholar]
- Osman, A.; Goda, H.A.; Abdel-Hamid, M.; Badran, S.M.; Otte, J. Antibacterial peptides generated by Alcalase hydrolysis of goat whey. LWT-Food Sci. Technol. 2016, 65, 480–486. [Google Scholar] [CrossRef]
- Maryniak, N.Z.; Sancho, A.I.; Hansen, E.B.; Bøgh, K.L. Alternatives to cow’s milk-based infant formulas in the prevention and management of cow’s milk allergy. Foods 2022, 11, 926. [Google Scholar] [CrossRef]
- Billeaud, C.; Adamon, L.; Piloquet, H.; Hays, N.P.; Dupuis, L.; Metreau, I.; Léké, A. A new partially hydrolyzed whey-based follow-on formula with age-adapted protein content supports healthy growth during the first year of life. Front. Pediatr. 2022, 10, 937882. [Google Scholar] [CrossRef] [PubMed]
- Biadała, A.; Szablewski, T.; Lasik-Kurdyś, M.; Cegielska-Radziejewska, R. Antimicrobial activity of goat’s milk fermented by single strain of kefir grain microflora. Eur. Food Res. Technol. 2020, 246, 1231–1239. [Google Scholar] [CrossRef]
- Jrad, Z.; Oussaief, O.; Khorchani, T.; El-Hatmi, H. Microbial and enzymatic hydrolysis of dromedary whey proteins and caseins: Techno-functional, radical scavenging, antimicrobial properties and incorporation in beverage formulation. J. Food Meas. Charact. 2020, 14, 1–10. [Google Scholar] [CrossRef]
- Oussaief, O.; Jrad, Z.; Adt, I.; Khorchani, T.; El-Hatmi, H. Dromedary Milk Protein Hydrolysates Show Enhanced Antioxidant and Functional Properties. Food Technol. Biotechnol. 2020, 58, 147. [Google Scholar] [CrossRef]
- Hochwallner, H.; Schulmeister, U.; Swoboda, I.; Spitzauer, S.; Valenta, R. Cow’s milk allergy: From allergens to new forms of diagnosis, therapy and prevention. Methods 2014, 66, 22–33. [Google Scholar] [CrossRef] [PubMed]
- Zibaee, S.; Yousefi, M.; Taghipour, A.; Kiani, M.A.; Noras, M.R. Nutritional and therapeutic characteristics of camel milk in children: A systematic review. Electron. Physician 2015, 7, 1523. [Google Scholar] [CrossRef] [PubMed]
- Badr, G.; Ramadan, N.K.; Sayed, L.H.; Badr, B.M.; Omar, H.M.; Selamoglu, Z. Why whey? Camel whey protein as a new dietary approach to the management of free radicals and for the treatment of different health disorders. Iran. J. Basic Med. Sci. 2017, 20, 338. [Google Scholar] [PubMed]
- Kalla, K.; Manthani, V.; Keerthi, S. Camel milk a white gold of dessert: A review. Inter Arch App Sci Technol 2017, 8, 74–83. [Google Scholar]
- Zhou, S.J.; Sullivan, T.; Gibson, R.A.; Lönnerdal, B.; Prosser, C.G.; Lowry, D.J.; Makrides, M. Nutritional adequacy of goat milk infant formulas for term infants: A double-blind randomised controlled trial. Br. J. Nutr. 2014, 111, 1641–1651. [Google Scholar] [CrossRef] [PubMed]
- Penhaligan, J.; Poppitt, S.D.; Miles-Chan, J.L. The Role of Bovine and Non-Bovine Milk in Cardiometabolic Health: Should We Raise the “Baa”? Nutrients 2022, 14, 290. [Google Scholar] [CrossRef]
- Wang, S.; Naumovski, N.; Ajlouni, S.; Ayyash, M.; Silva, R.; Balthazar, C.F.; Esmerino, E.A.; Freitas, M.Q.; da Silva, M.C.; Sant’Ana, A.S.; et al. Nonbovine milk and its products as sources of probiotics delivery: An overview of its viability, functionality and product quality characteristics. Int. J. Dairy Technol. 2023, 76, 482–511. [Google Scholar] [CrossRef]
- Jenness, R. The composition of human milk. Semin. Perinatol. 1979, 3, 225–239. [Google Scholar]
- Carter, B.; DiMarzo, L.; Pranata, J.; Barbano, D.M.; Drake, M. Efficiency of removal of whey protein from sweet whey using polymeric microfiltration membranes. J. Dairy Sci. 2021, 104, 8630–8643. [Google Scholar] [CrossRef]
- Abd El-Fattah, A.; Sakr, S.; El-Dieb, S.M.; Elkashef, H. Biological activities of lactobacilli relevant to cardiovascular health in skim milk. Food Sci. Biotechnol. 2017, 26, 1613–1623. [Google Scholar] [CrossRef] [PubMed]
- Koletzko, B.; Baker, S.; Cleghorn, G.; Neto, U.F.; Gopalan, S.; Hernell, O.; Hock, Q.S.; Jirapinyo, P.; Lonnerdal, B.; Pencharz, P. Global standard for the composition of infant formula: Recommendations of an ESPGHAN coordinated international expert group. J. Pediatr. Gastroenterol. Nutr. 2005, 41, 584–599. [Google Scholar] [CrossRef] [PubMed]
- Minekus, M.; Alminger, M.; Alvito, P.; Ballance, S.; Bohn, T.; Bourlieu, C.; Carrière, F.; Boutrou, R.; Corredig, M.; Dupont, D. A standardised static in vitro digestion method suitable for food–an international consensus. Food Funct. 2014, 5, 1113–1124. [Google Scholar] [CrossRef] [PubMed]
- Bourlieu-Lacanal, C.; Deglaire, A.; de Oliveira, S.C.; Ménard, O.; Le Gouar, Y.; Carrière, F.; Dupont, D. Towards infant formula biomimetic of human milk structure and digestive behaviour. OCL Oilseeds Fats Crops Lipids 2017, 24, D206. [Google Scholar]
- Mudgil, P.; Baba, W.N.; Alneyadi, M.; Redha, A.A.; Maqsood, S. Production, characterization, and bioactivity of novel camel milk-based infant formula in comparison to bovine and commercial sources. LWT 2022, 154, 112813. [Google Scholar] [CrossRef]
- Lievore, P.; Simões, D.R.; Silva, K.M.; Drunkler, N.L.; Barana, A.C.; Nogueira, A.; Demiate, I.M. Chemical characterisation and application of acid whey in fermented milk. J. Food Sci. Technol. 2015, 52, 2083–2092. [Google Scholar] [CrossRef]
- AOAC. Official Method of ANALYSIS; Association of Officiating Analytical Chemists: Washington, DC, USA, 2005. [Google Scholar]
- Ling, E.R. Textbook of Dairy Chemistry; Daya Publishing House: New Delhi, India, 1963. [Google Scholar]
- Laemmli, U.K. Cleavage of structural proteins during the assembly of the head of bacteriophage T4. Nature 1970, 227, 680–685. [Google Scholar] [CrossRef]
- Ménard, O.; Bourlieu, C.; De Oliveira, S.C.; Dellarosa, N.; Laghi, L.; Carrière, F.; Capozzi, F.; Dupont, D.; Deglaire, A. A first step towards a consensus static in vitro model for simulating full-term infant digestion. Food Chem. 2018, 240, 338–345. [Google Scholar] [CrossRef]
- Skrzypczak, K.; Gustaw, W.; Fornal, E.; Kononiuk, A.; Michalak-Majewska, M.; Radzki, W.; Waśko, A. Functional and Technological Potential of Whey Protein Isolate in Production of Milk Beverages Fermented by New Strains of Lactobacillus helveticus. Appl. Sci. 2020, 10, 7089. [Google Scholar] [CrossRef]
- Abdallah, L.A.; Sawafta, A.M.; Ali, S.A.B.; Baradia, H.A. Cytotoxic potential of camel whey and milk on cervix cancer (HeLa) cell line. Asian J. Med. Biol. Res. 2019, 5, 231–236. [Google Scholar] [CrossRef]
- García-Burgos, M.; Moreno-Fernández, J.; Alférez, M.J.; Díaz-Castro, J.; López-Aliaga, I. New perspectives in fermented dairy products and their health relevance. J. Funct. Foods 2020, 72, 104059. [Google Scholar] [CrossRef]
- Hageman, J.H.; Danielsen, M.; Nieuwenhuizen, A.G.; Feitsma, A.L.; Dalsgaard, T.K. Comparison of bovine milk fat and vegetable fat for infant formula: Implications for infant health. Int. Dairy J. 2019, 92, 37–49. [Google Scholar] [CrossRef]
- Teng, F.; Wang, P.; Yang, L.; Ma, Y.; Day, L. Quantification of fatty acids in human, cow, buffalo, goat, yak, and camel milk using an improved one-step GC-FID method. Food Anal. Methods 2017, 10, 2881–2891. [Google Scholar] [CrossRef]
- Lindmark Månsson, H. Fatty acids in bovine milk fat. Food Nutr. Res. 2008, 52, 1821. [Google Scholar] [CrossRef] [PubMed]
- Abdel-Ghany, I.; Sakr, S.S.; Sleem, M.; Shaaban, H. The effect of milk fat replacement by some edible oils on chemical composition, antioxidant activity and oxidative stability of spreadable processed cheese analogues. Int. Res. J. Food Nutr. 2020, 2, 6–14. [Google Scholar]
- Kostik, V.; Memeti, S.; Bauer, B. Fatty acid composition of edible oils and fats. J. Hyg. Eng. Des. 2013, 4, 112–116. [Google Scholar]
- Roy, D.; Ye, A.; Moughan, P.J.; Singh, H. Composition, structure, and digestive dynamics of milk from different species—A review. Front. Nutr. 2020, 7, 577759. [Google Scholar] [CrossRef]
- Meng, F.; Uniacke-Lowe, T.; Ryan, A.C.; Kelly, A.L. The composition and physico-chemical properties of human milk: A review. Trends Food Sci. Technol. 2021, 112, 608–621. [Google Scholar] [CrossRef]
- El-Sayed, M.I.; Awad, S.; Abou-Soliman, N.H.I. Improving the antioxidant properties of fermented Camel milk using some strains of Lactobacillus. Food Nutr. Sci. 2021, 12, 352–371. [Google Scholar]
- Griffiths, M.W.; Tellez, A.M. Lactobacillus helveticus: The proteolytic system. Front. Microbiol. 2013, 4, 30. [Google Scholar] [CrossRef] [PubMed]
- Skrzypczak, K.; Gustaw, W.; Kononiuk, A.; Sołowiej, B.; Waśko, A. Estimation of the antioxidant properties of milk protein preparations hydrolyzed by Lactobacillus helveticus T80, T105 and B734. Czech J. Food Sci. 2019, 37, 8. [Google Scholar] [CrossRef]





| Whey Type | Moisture % | TS % | Protein % | Fat % | Ash % | Lactose % |
|---|---|---|---|---|---|---|
| Cow milk-whey | 92.85 ± 0.11 a | 7.15 ± 0.11 a | 2.00 ± 0.00 a | 0.50 ± 0.00 c | 0.79 ± 0.01 b | 3.87 ± 0.11 a |
| Camel milk-whey | 92.22 ± 0.24 a | 7.79 ± 0.24 a | 1.15 ± 0.06 c | 2.27 ± 0.13 a | 0.87 ± 0.01 a | 3.83 ± 0.11 a |
| Goat milk-whey | 93.59 ± 0.80 a | 6.41 ± 0.80 a | 1.43 ± 0.06 b | 1.20 ± 0.06 b | 0.67 ± 0.00 c | 3.11 ± 0.79 a |
| Whey Type | Fermentation Time (h) | ||||||
|---|---|---|---|---|---|---|---|
| Before Fermentation | During Fermentation | ||||||
| Z1 | Z2 | Z3 | 2 h | 4 h | 6 h | 12 h | |
| Cow milk-whey | 2.47 ± 0.06 aE | 3.51 ± 0.25 aD | 3.41 ± 0.06 aD | 3.98 ± 0.06 aC | 4.90 ± 0.11 aB | 4.88 ± 0.14 bB | 6.15 ± 0.04 aA |
| Camel milk-whey | 1.64 ± 0.04 bB | 1.57 ± 0.08 cB | 1.57 ± 0.07 cB | 1.59 ± 0.14 bB | 1.67 ± 0.01 cB | 1.77 ± 0.05 cB | 2.17 ± 0.17 cA |
| Goat milk -whey | 1.17 ± 0.15 cE | 2.89 ± 0.12 bD | 3.08 ± 0.42 bD | 3.92 ± 0.09 aC | 3.75 ± 0.30 bC | 5.06 ± 0.12 aB | 5.74 ± 0.15 bA |
| Whey Type | Fermentation Time (h) | |||||
|---|---|---|---|---|---|---|
| Before Fermentation | During Fermentation | |||||
| Z1 | Z2 | 2 h | 4 h | 6 h | 12 h | |
| Cow milk-whey | 1.04 ± 0.12 aABC | 0.92 ± 0.02 aC | 1.01 ± 0.13 aBC | 1.08 ± 0.04 aAB | 1.17 ± 0.07 aA | 1.17 ± 0.03 aA |
| Camel milk-whey | 0.94 ± 0.19 bAB | 0.86 ± 0.14 aB | 0.97 ± 0.00 aAB | 0.97 ± 0.03 bAB | 0.97 ± 0.00 bAB | 1.01 ± 0.07 bA |
| Goat milk-whey | 0.88 ± 0.04 bAB | 0.76 ± 0.01 bB | 0.84 ± 0.01 bAB | 0.89 ± 0.02 bAB | 0.92 ± 0.06 bA | 0.95 ± 0.06 bA |
| Fatty Acids | Fat and Oil Type | ||||||
|---|---|---|---|---|---|---|---|
| Milk Fat Sources | Edible Vegetable Oils | ||||||
| Cow | Camel | Goat | Human | Rice Bran | Coconut | Canola | |
| Saturated fatty acids | |||||||
| Caprylic acid (C8:0) | 3.05 | - | 2.92 | 1.19 | - | 15.35 | - |
| Capric acid (C10:0) | 7.16 | - | 13.71 | 7.91 | - | 15.27 | - |
| Lauric acid (C12:0) | 8.73 | 2.47 | 6.63 | 25.75 | 2.28 | 25.29 | - |
| Myristic acid (C14:0) | 18.75 | 16.92 | 12.10 | 12.57 | 3.10 | 28.25 | 0.43 |
| Pentadecanoic acid (C15:0) | 3.90 | 1.45 | 1.32 | - | - | - | - |
| Palmitic acid (C16:0) | 27.97 | 37.68 | 32.95 | 21.47 | 37.53 | 9.61 | 17.68 |
| Stearic acid (C18:0) | 3.92 | 6.10 | 5.79 | 3.22 | 2.84 | 1.41 | 2.52 |
| Arachidic acid (C20:0) | - | - | - | - | 0.79 | - | 0.8 |
| Unsaturated fatty acids | |||||||
| Palmitoleic (Cis-9, C16:1) | 1.05 | 10.17 | 0.79 | 3.06 | - | - | 0.98 |
| Oleic acid (C18:1n-9c) | 11.88 | 25.21 | 17.47 | 24.84 | 53.47 | 4.82 | 74.82 |
| Octadecanoic acid (cis-9,10, C18:2) | - | - | - | - | - | - | 0.8 |
| Gadoleic acid (cis-11, C20:1) | - | - | - | - | - | - | 1.97 |
| ∑ SFAs | 73.48 | 64.62 | 75.42 | 72.11 | 46.54 | 95.18 | 20.24 |
| ∑USFAs | 12.93 | 35.38 | 18.26 | 27.90 | 53.47 | 4.82 | 78.57 |
| Different Fat Blends | Fat and Oil (g 100 g−1) | |||||
|---|---|---|---|---|---|---|
| Cow MF | Camel MF | Goat MF | Rice Bran Oil | Coconut Oil | Canola Oil | |
| Cow MF-based | 45 | - | - | 30 | 5 | 20 |
| Camel MF-based | - | 55 | - | 25 | 5 | 15 |
| Goat MF-based | - | - | 45 | 30 | 5 | 20 |
| Fatty Acid | Different Fat Blends | ||
|---|---|---|---|
| Cow MF-Based | Camel MF-Based | Goat MF-Based | |
| Saturated fatty acids | |||
| Butyric acid (C4:0) | 1.394 | - | 0.973 |
| Caproic acid (C6:0) | 0.766 | - | 1.027 |
| Caprylic acid (C8:0) | 1.013 | 0.705 | 1.734 |
| Capric acid (C10:0) | 1.339 | 0.586 | 4.233 |
| Undecanoic acid (C11:0) | - | 4.286 | - |
| Lauric acid (C12:0) | 4.621 | - | 5.883 |
| Tridecanoic acid (C13:0) | 0.030 | 0.024 | - |
| Myristic acid (C14:0) | 5.129 | 6.256 | 5.583 |
| Pentadecanoic acid (C15:0) | 0.529 | 0.374 | 0.389 |
| Palmitic acid (C16:0) | 18.779 | 20.803 | 18.062 |
| Margaric acid (C17:0) | 0.321 | 0.244 | 0.227 |
| Stearic acid (C18:0) | 4.028 | 5.195 | 3.713 |
| Arachidic acid (C20:0) | 0.053 | - | - |
| Heneicosylic acid (C21:0) | 0.025 | - | - |
| Tricosylic acid (C23:0) | 0.033 | 0.032 | 0.031 |
| Unsaturated fatty acids | |||
| Myristoleic acid (C14:1n5) | 0.369 | 0.494 | 0.135 |
| Pentadecanoic acid (C15:1n5c) | 0.090 | 0.138 | 0.090 |
| Palmitoleic acid (C16:1n7c) | 0.622 | 3.533 | 0.344 |
| Heptadecenoic acid (C17:1) | 0.148 | 0.162 | 0.104 |
| Elaidic acid (C18:1n-9t) | 0.911 | 0.748 | 0.572 |
| Oleic acid (C18:1n-9c) | 36.648 | 34.526 | 34.467 |
| Linolelaidic acid (C18:2n6t) | 0.098 | 0.092 | 0.069 |
| Linoleic acid (LA: cis-9,10, C18:2) | 17.951 | 17.132 | 17.468 |
| Linolenic acid (C18:3n3) | 0.510 | 0.524 | 0.507 |
| α-Linolenic acid (ALA: cis-,12,15 C18:3n3) | 3.433 | 3.089 | 3.348 |
| Cetoleic acid (C20:1n9) | 0.535 | 0.527 | 0.544 |
| Gadoleic acid (cis-11, C20:1) | - | - | 0.014 |
| Eicosadienoic acid (C20:2n6) | 0.032 | - | - |
| EicosatrienoicS acid (C20:3n3) | 0.220 | 0.202 | 0.219 |
| Eicosatetraenoic acid (EPA: C20:5n3) | 0.220 | 0.214 | 0.204 |
| Erucic acid (C22:1n9c) | - | 0.066 | - |
| Docosadienoic acid (C22:2n6) | 0.026 | - | - |
| Nervonic acid (C24:1n9) | 0.047 | 0.046 | 0.055 |
| ∑ SFAs | 38.148 | 38.508 | 41.860 |
| ∑ MUSFAs | 38.459 | 39.493 | 53.739 |
| ∑ PUSFAs | 22.385 | 21.161 | 21.760 |
| ∑ Trans FAs | 1.008 | 0.840 | 0.641 |
| Different Based Follow-On Formula | Component (g 100 mL−1) | |||||||||
|---|---|---|---|---|---|---|---|---|---|---|
| Required Protein (2.9% or 1.9%) a | Required Fat (4%) | Required Lactose (7%) | Lecithin (0.5%) | |||||||
| Milk Fat Source | Vegetable Edible Oil | |||||||||
| Casein Powder | Freeze Dried Whey | Cow MF | Camel MF | Goat MF | Rice Bran Oil | Coconut Oil | Canola Oil | |||
| Follow-on formula 1 ▪ | 0.9 | - | 1.3 | - | - | 1.2 | 0.2 | 0.8 | 3.7 | 0.5 |
| Follow-on formula 2 ▪▪ | 0.6 | 0.3 | - | - | - | 1.0 | 0.2 | 0.6 | 3.4 | 0.5 |
| Follow-on formula 3 ▪▪▪ | 0.6 | - | - | - | 0.6 | 1.2 | 0.2 | 0.8 | 3.9 | 0.5 |
| Follow-On Formula and Human Milk | Total Free Amino Acids (mmol Tyrosine Equivalent mL−1) | DPPH Radical Scavenging Activity (μmol Trolox Equivalent mL−1) | Reducing Power (μg Ascorbic Acid Equivalent mL−1) | |||
|---|---|---|---|---|---|---|
| Before and after In Vitro Digestion | ||||||
| Before Digestion | After Digestion | Before Digestion | After Digestion | Before Digestion | After Digestion | |
| Non-fermented follow-on formula | ||||||
| Cow whey-based: (2.9% protein) | 0.80 ± 0.0 1 bB | 1.07 ± 0.08 cA | 3.90 ± 0.14 cdB | 20.58 ± 0.12 eB | 8.30 ± 0.24 eB | 12.66 ± 0.23 fA |
| Camel whey-based: (2% protein) | 0.71 ± 0.16 bcB | 1.33 ± 0.05 bA | 4.25 ± 0.12 bcB | 21.09 ± 0.2 1b cA | 7.63 ± 0.12 fB | 9.84 ± 0.12 bA |
| Goat whey-based: (2% protein) | 0.54 ± 0.05 cdA | 0.58 ± 0.05 dA | 5.49 ± 0.09 aB | 20.70 ± 0.12 cA | 9.84 ± 0.12 cB | 19.09 ± 0.12 dA |
| fermented follow-on formula | ||||||
| Cow whey-based: (2.9% protein) | 1.21 ± 0.02 aB | 1.35 ± 0.14 bA | 4.62 ± 0.10 bB | 21.35 ± 0.29 abA | 8.63 ± 0.31 dB | 11.98 ± 0.13 gA |
| Camel whey-based: (2% protein) | 1.14 ± 0.06 aB | 1.33 ± 0.14 bA | 4.27 ± 0.10 bcB | 21.04 ± 0.25 bcA | 8.83 ± 0.12 dB | 9.91 ± 0.35 hA |
| oat whey-based: (2% protein) | 0.84 ± 0.13 bA | 0.94 ± 0.12 cA | 5.70 ± 0.06 aB | 21.47 ± 0.28 abA | 11.18 ± 0.24 bB | 20.10 ± 0.23 cA |
| Commercial follow-on formula | ||||||
| Commercial formula 1 | 0.50 ± 0.07 cdB | 0.93 ± 0.11 cA | 1.47 ± 0.27 eB | 21.81 ± 0.31 aA | 4.94 ± 0.18 gB | 20.97 ± 0.14 bA |
| Commercial formula 2 | 0.17 ± 0.02 eB | 1.86 ± 0.11 aA | 4.57 ± 0.13 bB | 21.65 ± 0.37 aA | 7.11 ± 0.39 gB | 17.89 ± 0.12 eA |
| Human milk | 0.40 ± 0.20 deB | 0.58 ± 0.27 dA | 3.43 ± 0.20 dB | 20.75 ± 0.78 cA | 18.02 ± 0.25 aB | 22.58 ± 0.18 aA |
Disclaimer/Publisher’s Note: The statements, opinions and data contained in all publications are solely those of the individual author(s) and contributor(s) and not of MDPI and/or the editor(s). MDPI and/or the editor(s) disclaim responsibility for any injury to people or property resulting from any ideas, methods, instructions or products referred to in the content. |
© 2024 by the authors. Licensee MDPI, Basel, Switzerland. This article is an open access article distributed under the terms and conditions of the Creative Commons Attribution (CC BY) license (https://creativecommons.org/licenses/by/4.0/).
Share and Cite
Al-Nassir, N.S.M.; Sakr, S.S. In Vitro Digestibility Assessment of Whey from Goat and Camel Milk Fermented with Lactobacillus helveticus for Use as a Base in Formulating Follow-On Formula. Foods 2024, 13, 570. https://doi.org/10.3390/foods13040570
Al-Nassir NSM, Sakr SS. In Vitro Digestibility Assessment of Whey from Goat and Camel Milk Fermented with Lactobacillus helveticus for Use as a Base in Formulating Follow-On Formula. Foods. 2024; 13(4):570. https://doi.org/10.3390/foods13040570
Chicago/Turabian StyleAl-Nassir, Noura S. M., and Sally S. Sakr. 2024. "In Vitro Digestibility Assessment of Whey from Goat and Camel Milk Fermented with Lactobacillus helveticus for Use as a Base in Formulating Follow-On Formula" Foods 13, no. 4: 570. https://doi.org/10.3390/foods13040570
APA StyleAl-Nassir, N. S. M., & Sakr, S. S. (2024). In Vitro Digestibility Assessment of Whey from Goat and Camel Milk Fermented with Lactobacillus helveticus for Use as a Base in Formulating Follow-On Formula. Foods, 13(4), 570. https://doi.org/10.3390/foods13040570

