Genotoxic and Anti-Genotoxic Assessments of Fermented Houttuynia cordata Thunb. Leaf Ethanolic Extract and Its Anti-Cancer Effect in a Dual-Organ Carcinogenesis Model of Colon and Liver in Rats
Abstract
1. Introduction
2. Materials and Methods
2.1. Chemicals and Reagents
2.2. Preparation of Fermented Houttuynia cordata Leaf (FHCL) Extract and Its Fractions
2.3. The Determination of Phytochemicals in the Crude Extract and Its Fractions
2.4. Cell Culture and Culture Condition
2.5. A Cytotoxicity Assessment of the Crude Extract and Its Fractions on RAW 264.7 Macrophages
2.6. The Determination of the Anti-Inflammatory Activity of the Crude Extract and Its Fractions
2.7. An Evaluation of the In Vitro Genotoxicity and Anti-Genotoxicity of the Crude Extract and Its Fractions Using an Ames Test
2.8. Animals
2.9. In Vivo Genotoxicity Assessment Using Micronucleus Test
2.10. Measurement of Xenobiotic-Metabolizing Enzyme Activities in the Livers of Rats Receiving Crude FHCL
2.11. Anti-Carcinogenicity Assessment of Crude FHCL Using a Dual-Organ Model in Rats
2.12. Determination of Preneoplastic Lesions in Liver and Colon Tissues
2.13. Determination of Cell Proliferation Marker Using Immunohistochemical Staining
2.14. Determination of Apoptotic Cells Using Terminal Deoxynucleotidyltransferase (TdT)–dUTP Nick End Labeling (TUNEL) Assay
2.15. Statistics Analysis
3. Results
3.1. Phytochemical Components in FHCL and Its Fractions
3.2. Anti-Inflammatory Activities of FHCL Extract and Its Fractions on Lipopolysaccharide (LPS)-Stimulated RAW 264.7 Macrophage Cell Lines
3.3. In Vitro Genotoxic Properties of FHCL Crude Extract and Its Fractions
3.4. Anti-Genotoxicity Properties of FHCL Crude Extract and Its Fraction in Salmonella typhimurium
3.5. In Vivo Genotoxicity Assessment of FHCL Crude Extract
3.6. Effect of FHCL Crude Extract on Xenobiotic-Metabolizing Enzymes Activities in Rat Livers
3.7. The Anti-Carcinogenic Potential of FHCL Crude Extract in a Dual-Organ Carcinogenesis Model in Rats
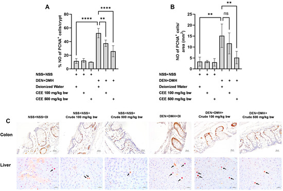
3.8. Effect of Crude FHCL Extract on Cell Proliferation and Cell Apoptosis
4. Discussion
5. Conclusions
Supplementary Materials
Author Contributions
Funding
Institutional Review Board Statement
Informed Consent Statement
Data Availability Statement
Acknowledgments
Conflicts of Interest
References
- Vogt, A.; Schmid, S.; Heinimann, K.; Frick, H.; Herrmann, C.; Cerny, T.; Omlin, A. Multiple primary tumours: Challenges and approaches, a review. ESMO Open 2017, 2, e000172. [Google Scholar] [CrossRef] [PubMed]
- Zhang, B.; He, L.; Zhou, C.; Cheng, X.; Li, Q.; Tang, Y.; Li, F.; Huang, T.; Tu, S. A pancancer analysis of the clinical and genomic characteristics of multiple primary cancers. Sci. Rep. 2024, 14, 2367. [Google Scholar] [CrossRef] [PubMed]
- Cheng, H.Y.; Chu, C.H.; Chang, W.H.; Hsu, T.C.; Lin, S.C.; Liu, C.C.; Yang, A.M.; Shih, S.C. Clinical analysis of multiple primary malignancies in the digestive system: A hospital-based study. World J. Gastroenterol. 2005, 11, 4215–4219. [Google Scholar] [CrossRef] [PubMed]
- Tanjak, P.; Suktitipat, B.; Vorasan, N.; Juengwiwattanakitti, P.; Thiengtrong, B.; Songjang, C.; Therasakvichya, S.; Laiteerapong, S.; Chinswangwatanakul, V. Risks and cancer associations of metachronous and synchronous multiple primary cancers: A 25-year retrospective study. BMC Cancer 2021, 21, 1045. [Google Scholar] [CrossRef]
- Wang, X.; Zeng, M.; Ju, X.; Lin, A.; Zhou, C.; Shen, J.; Liu, Z.; Tang, B.; Cheng, Q.; Wang, Y.; et al. Correlation between second and first primary cancer: Systematic review and meta-analysis of 9 million cancer patients. Br. J. Surg. 2023, 111, znad377. [Google Scholar] [CrossRef]
- Wynder, E.L.; Mushinski, M.H.; Spivak, J.C. Tobacco and alcohol consumption in relation to the development of multiple primary cancers. Cancer 1977, 40, 1872–1878. [Google Scholar] [CrossRef] [PubMed]
- Travis, L.B.; Rabkin, C.S.; Brown, L.M.; Allan, J.M.; Alter, B.P.; Ambrosone, C.B.; Begg, C.B.; Caporaso, N.; Chanock, S.; DeMichele, A. Cancer survivorship—Genetic susceptibility and second primary cancers: Research strategies and recommendations. J. Natl. Cancer Inst. 2006, 98, 15–25. [Google Scholar] [CrossRef]
- Anand, P.; Kunnumakara, A.B.; Sundaram, C.; Harikumar, K.B.; Tharakan, S.T.; Lai, O.S.; Sung, B.; Aggarwal, B.B. Cancer is a preventable disease that requires major lifestyle changes. Pharm. Res. 2008, 25, 2097–2116. [Google Scholar] [CrossRef]
- Copur, M.S.; Manapuram, S. Multiple primary tumors over a lifetime. Oncology 2019, 33, 629384. [Google Scholar]
- Tricker, A.; Preussmann, R. Carcinogenic N-nitrosamines in the diet: Occurrence, formation, mechanisms and carcinogenic potential. Mutat. Res./Genet. Toxicol. 1991, 259, 277–289. [Google Scholar] [CrossRef]
- Cao, W.; Yu, P.; Yang, K.; Cao, D. Aflatoxin B1: Metabolism, toxicology, and its involvement in oxidative stress and cancer development. Toxicol. Mech. Methods 2022, 32, 395–419. [Google Scholar] [CrossRef] [PubMed]
- Butler, L.M.; Sinha, R.; Millikan, R.C.; Martin, C.F.; Newman, B.; Gammon, M.D.; Ammerman, A.S.; Sandler, R.S. Heterocyclic Amines, Meat Intake, and Association with Colon Cancer in a Population-based Study. Am. J. Epidemiol. 2003, 157, 434–445. [Google Scholar] [CrossRef]
- Newaz, S.; Fang, W.F.; Strobel, H.W. Metabolism of the carcinogen 1, 2-dimethylhydrazine by isolated human colon microsomes and human colon tumor cells in culture. Cancer 1983, 52, 794–798. [Google Scholar] [CrossRef] [PubMed]
- Reuter, S.; Gupta, S.C.; Chaturvedi, M.M.; Aggarwal, B.B. Oxidative stress, inflammation, and cancer: How are they linked? Free. Radic. Biol. Med. 2010, 49, 1603–1616. [Google Scholar] [CrossRef] [PubMed]
- Kang, J.S.; Wanibuchi, H.; Morimura, K.; Gonzalez, F.J.; Fukushima, S. Role of CYP2E1 in diethylnitrosamine-induced hepatocarcinogenesis in vivo. Cancer Res. 2007, 67, 11141–11146. [Google Scholar] [CrossRef]
- Rosenberg, D.W.; Giardina, C.; Tanaka, T. Mouse models for the study of colon carcinogenesis. Carcinogenesis 2009, 30, 183–196. [Google Scholar] [CrossRef]
- Federico, A.; Morgillo, F.; Tuccillo, C.; Ciardiello, F.; Loguercio, C. Chronic inflammation and oxidative stress in human carcinogenesis. Int. J. Cancer 2007, 121, 2381–2386. [Google Scholar] [CrossRef]
- Singai, C.; Pitchakarn, P.; Taya, S.; Phannasorn, W.; Wongpoomchai, R.; Wongnoppavich, A. Chemopreventive Potential of Phyllanthus emblica Fruit Extract against Colon and Liver Cancer Using a Dual-Organ Rat Carcinogenesis Model. Pharmaceuticals 2024, 17, 818. [Google Scholar] [CrossRef]
- Ito, N.; Hasegawa, R.; Imaida, K.; Hirose, M.; Shirai, T. Medium-term liver and multi-organ carcinogenesis bioassays for carcinogens and chemopreventive agents. Exp. Toxicol. Pathol. 1996, 48, 113–119. [Google Scholar] [CrossRef]
- Shivapurkar, N.; Tang, Z.C.; Frost, A.; Alabaster, O. A rapid dual organ rat carcinogenesis bioassay for evaluating the chemoprevention of breast and colon cancer. Cancer Lett. 1996, 100, 169–179. [Google Scholar] [CrossRef]
- Hirose, M.; Hoshiya, T.; Akagi, K.; Takahashi, S.; Hara, Y.; Ito, N. Effects of green tea catechins in a rat multi-organ carcinogenesis model. Carcinogenesis 1993, 14, 1549–1553. [Google Scholar] [CrossRef] [PubMed]
- Ushida, Y.; Sekine, K.; Kuhara, T.; Takasuka, N.; Iigo, M.; Maeda, M.; Tsuda, H. Possible chemopreventive effects of bovine lactoferrin on esophagus and lung carcinogenesis in the rat. Jpn. J. Cancer Res. 1999, 90, 262–267. [Google Scholar] [CrossRef] [PubMed]
- Laldinsangi, C. The therapeutic potential of Houttuynia cordata: A current review. Heliyon 2022, 8, e10386. [Google Scholar] [CrossRef] [PubMed]
- Kang, H.; Koppula, S. Houttuynia cordata alleviates high-fat diet-induced non-alcoholic fatty liver in experimental rats. Pharm. Biol. 2015, 53, 414–422. [Google Scholar] [CrossRef] [PubMed]
- Chen, Y.-Y.; LIU, T.-F.; Chen, C.-M.; Chao, P.-Y.; Chang, T.-J. A study of the antioxidative and antimutagenic effects of Houttuynia cordata Thunb. using an oxidized frying oil-fed model. J. Nutr. Sci. Vitaminol. 2003, 49, 327–333. [Google Scholar] [CrossRef]
- Shin, S.; Joo, S.S.; Jeon, J.H.; Park, D.; Jang, M.-J.; Kim, T.-O.; Kim, H.-K.; Hwang, B.Y.; Kim, K.-Y.; Kim, Y.-B. Anti-inflammatory effects of a Houttuynia cordata supercritical extract. J. Vet. Sci. 2010, 11, 273–275. [Google Scholar] [CrossRef]
- Kang, H.; Koppula, S. Houttuynia cordata attenuates lipid accumulation via activation of AMP-activated protein kinase signaling pathway in HepG2 cells. Am. J. Chin. Med. 2014, 42, 651–664. [Google Scholar] [CrossRef]
- Kim, J.M.; Hwang, I.-H.; Jang, I.-S.; Kim, M.; Bang, I.S.; Park, S.J.; Chung, Y.-J.; Joo, J.-C.; Lee, M.-G. Houttuynia cordata Thunb promotes activation of HIF-1A–FOXO3 and MEF2A pathways to induce apoptosis in human HepG2 hepatocellular carcinoma cells. Integr. Cancer Ther. 2017, 16, 360–372. [Google Scholar] [CrossRef]
- Tang, Y.-J.; Yang, J.-S.; Lin, C.-F.; Shyu, W.-C.; Tsuzuki, M.; Lu, C.-C.; Chen, Y.-F.; Lai, K.-C. Houttuynia cordata Thunb extract induces apoptosis through mitochondrial-dependent pathway in HT-29 human colon adenocarcinoma cells. Oncol. Rep. 2009, 22, 1051–1056. [Google Scholar]
- Yang, L.; Jiang, J.-G. Bioactive components and functional properties of Hottuynia cordata and its applications. Pharm. Biol. 2009, 47, 1154–1161. [Google Scholar] [CrossRef]
- Wu, Z.; Deng, X.; Hu, Q.; Xiao, X.; Jiang, J.; Ma, X.; Wu, M. Houttuynia cordata Thunb: An ethnopharmacological review. Front. Pharmacol. 2021, 12, 714694. [Google Scholar] [CrossRef] [PubMed]
- Naselli, F.; Bellavia, D.; Costa, V.; De Luca, A.; Raimondi, L.; Giavaresi, G.; Caradonna, F. Osteoarthritis in the Elderly Population: Preclinical Evidence of Nutrigenomic Activities of Flavonoids. Nutrients 2023, 16, 112. [Google Scholar] [CrossRef] [PubMed]
- Kopustinskiene, D.M.; Jakstas, V.; Savickas, A.; Bernatoniene, J. Flavonoids as Anticancer Agents. Nutrients 2020, 12, 457. [Google Scholar] [CrossRef] [PubMed]
- Sekar, S.; Mariappan, S. Traditionally fermented biomedicines, arishtas and asavas from Ayurveda. Indian J. Trad. Know. 2008, 7, 548–556. [Google Scholar]
- Hussain, A.; Bose, S.; Wang, J.-H.; Yadav, M.K.; Mahajan, G.B.; Kim, H. Fermentation, a feasible strategy for enhancing bioactivity of herbal medicines. Food Res. Int. 2016, 81, 1–16. [Google Scholar] [CrossRef]
- Kwon, R.H.; Ha, B.J. Increased flavonoid compounds from fermented Houttuynia cordata using isolated six of Bacillus from traditionally fermented Houttuynia cordata. Toxicol. Res. 2012, 28, 117–122. [Google Scholar] [CrossRef]
- Senawong, T.; Khaopha, S.; Misuna, S.; Komaikul, J.; Senawong, G.; Wongphakham, P.; Yunchalard, S. Phenolic acid composition and anticancer activity against human cancer cell lines of the commercially available fermentation products of Houttuynia cordata. Sci. Asia 2014, 40, 420–427. [Google Scholar] [CrossRef]
- Woranam, K.; Senawong, G.; Utaiwat, S.; Yunchalard, S.; Sattayasai, J.; Senawong, T. Anti-inflammatory activity of the dietary supplement Houttuynia cordata fermentation product in RAW264. 7 cells and Wistar rats. PLoS ONE 2020, 15, e0230645. [Google Scholar] [CrossRef]
- Kumnerdkhonkaen, P.; Saenglee, S.; Asgar, M.A.; Senawong, G.; Khongsukwiwat, K.; Senawong, T. Antiproliferative activities and phenolic acid content of water and ethanolic extracts of the powdered formula of Houttuynia cordata Thunb. fermented broth and Phyllanthus emblica Linn. fruit. BMC Complement. Altern. Med. 2018, 18, 130. [Google Scholar] [CrossRef]
- Woranam, K.; Mootsikapun, P.; Senawong, G.; Prompipak, J.; Promdee, L.; Pintaraks, K.; Ketterman, A.J.; Senawong, T. Safety and immunomodulatory activity of Houttuynia cordata fermentation product in healthy volunteers and its effect on antiretroviral-drug level in rats. Food Agric. Immunol. 2022, 33, 80–96. [Google Scholar] [CrossRef]
- Inboot, W.; Taya, S.; Chailungka, A.; Meepowpan, P.; Wongpoomchai, R. Genotoxicity and antigenotoxicity of the methanol extract of Cleistocalyx nervosum var. paniala seed using a Salmonella mutation assay and rat liver micronucleus tests. Mol. Cell. Toxicol. 2012, 8, 19–24. [Google Scholar] [CrossRef]
- Hartzfeld, P.W.; Forkner, R.; Hunter, M.D.; Hagerman, A.E. Determination of Hydrolyzable Tannins (Gallotannins and Ellagitannins) after Reaction with Potassium Iodate. J. Agric. Food Chem. 2002, 50, 1785–1790. [Google Scholar] [CrossRef]
- Insuan, O.; Chariyakornkul, A.; Rungrote, Y.; Wongpoomchai, R. Antimutagenic and Antioxidant Activities of Thai Rice Brans. J. Cancer Prev. 2017, 22, 89–97. [Google Scholar] [CrossRef] [PubMed]
- Guo, H.; Chariyakornkul, A.; Phannasorn, W.; Mahatheeranont, S.; Wongpoomchai, R. Phytochemical Profile and Chemopreventive Properties of Cooked Glutinous Purple Rice Extracts Using Cell-Based Assays and Rat Model. Foods 2022, 11, 2333. [Google Scholar] [CrossRef]
- Punvittayagul, C.; Sringarm, K.; Chaiyasut, C.; Wongpoomchai, R. Mutagenicity and antimutagenicity of hydrophilic and lipophilic extracts of Thai northern purple rice. Asian Pac. J. Cancer Prev. 2014, 15, 9517–9522. [Google Scholar] [CrossRef]
- Toxicity–Up, Acute Oral. In OECD Guideline for Testing of Chemicals; Organisation for Economic Co-Operation and Development: Paris, France, 2001; pp. 1–14.
- Chariyakornkul, A.; Punvittayagul, C.; Taya, S.; Wongpoomchai, R. Inhibitory effect of purple rice husk extract on AFB1-induced micronucleus formation in rat liver through modulation of xenobiotic metabolizing enzymes. BMC Complement. Altern. Med. 2019, 19, 237. [Google Scholar] [CrossRef]
- Charoensin, S.; Punvittayagul, C.; Pompimon, W.; Mevatee, U.; Wongpoomchai, R. Toxicological and clastogenic evaluation of pinocembrin and pinostrobin isolated from Boesenbergia pandurata in Wistar rats. Thai J. Toxicol. 2020, 25, 29. [Google Scholar]
- Cliet, I.; Fournier, E.; Melcion, C.; Cordier, A. In vivo micronucleus test using mouse hepatocytes. Mutat. Res./Environ. Mutagen. Relat. Subj. 1989, 216, 321–326. [Google Scholar] [CrossRef]
- Phannasorn, W.; Chariyakornkul, A.; Sookwong, P.; Wongpoomchai, R. Comparative Studies on the Hepatoprotective Effect of White and Coloured Rice Bran Oil against Acetaminophen-Induced Oxidative Stress in Mice through Antioxidant- and Xenobiotic-Metabolizing Systems. Oxidative Med. Cell. Longev. 2021, 2021, 5510230. [Google Scholar] [CrossRef]
- Waterborg, J.H. The Lowry Method for Protein Quantitation. In The Protein Protocols Handbook; Walker, J.M., Ed.; Humana Press: Totowa, NJ, USA, 2009; pp. 7–10. [Google Scholar]
- Suwannakul, N.; Punvittayagul, C.; Jarukamjorn, K.; Wongpoomchai, R. Purple rice bran extract attenuates the aflatoxin B1-induced initiation stage of hepatocarcinogenesis by alteration of xenobiotic metabolizing enzymes. Asian Pac. J. Cancer Prev. 2015, 16, 3371–3376. [Google Scholar] [CrossRef]
- Punvittayagul, C.; Chariyakornkul, A.; Chewonarin, T.; Jarukamjorn, K.; Wongpoomchai, R. Augmentation of diethylnitrosamine–induced early stages of rat hepatocarcinogenesis by 1, 2-dimethylhydrazine. Drug Chem. Toxicol. 2019, 42, 641–648. [Google Scholar] [CrossRef] [PubMed]
- Punvittayagul, C.; Chariyakornkul, A.; Sankam, P.; Wongpoomchai, R. Inhibitory Effect of Thai Purple Rice Husk Extract on Chemically Induced Carcinogenesis in Rats. Molecules 2021, 26, 360. [Google Scholar] [CrossRef] [PubMed]
- Thumvijit, T.; Taya, S.; Punvittayagul, C.; Peerapornpisal, Y.; Wongpoomchai, R. Cancer chemopreventive effect of Spirogyra neglecta (Hassall) Kützing on diethylnitrosamine-induced hepatocarcinogenesis in rats. Asian Pac. J. Cancer Prev. 2014, 15, 1611–1616. [Google Scholar] [CrossRef]
- DeMarini, D.M. The Role of Genotoxicity in Carcinogenesis; IARC Scientific Publications: Lyon, France, 2021. [Google Scholar]
- Resende, F.A.; Vilegas, W.; Dos Santos, L.C.; Varanda, E.A. Mutagenicity of flavonoids assayed by bacterial reverse mutation (Ames) test. Molecules 2012, 17, 5255–5268. [Google Scholar] [CrossRef] [PubMed]
- Sanz-Serrano, J.; Vettorazzi, A.; Muruzabal, D.; López de Cerain, A.; Azqueta, A. In vitro genotoxicity assessment of functional ingredients: DHA, rutin and α-tocopherol. Food Chem. Toxicol. 2021, 153, 112237. [Google Scholar] [CrossRef]
- Kanakis, C.D.; Tarantilis, P.A.; Polissiou, M.G.; Diamantoglou, S.; Tajmir-Riahi, H.A. DNA Interaction with Naturally Occurring Antioxidant Flavonoids Quercetin, Kaempferol, and Delphinidin. J. Biomol. Struct. Dyn. 2005, 22, 719–724. [Google Scholar] [CrossRef]
- Sha, Y.; Chen, X.; Niu, B.; Chen, Q. The Interaction Mode of Groove Binding Between Quercetin and Calf Thymus DNA Based on Spectrometry and Simulation. Chem. Biodivers. 2017, 14, e1700133. [Google Scholar] [CrossRef]
- Janjua, N.K.; Siddiqa, A.; Yaqub, A.; Sabahat, S.; Qureshi, R.; Haque, S.u. Spectrophotometric analysis of flavonoid–DNA binding interactions at physiological conditions. Spectrochim. Acta Part A Mol. Biomol. Spectrosc. 2009, 74, 1135–1137. [Google Scholar] [CrossRef]
- Czeczot, H.; Tudek, B.; Kusztelak, J.; Szymczyk, T.; Dobrowolska, B.; Glinkowska, G.; Malinowski, J.; Strzelecka, H. Isolation and studies of the mutagenic activity in the Ames test of flavonoids naturally occurring in medical herbs. Mutat. Res./Genet. Toxicol. 1990, 240, 209–216. [Google Scholar] [CrossRef]
- Das, A.; Majumder, D.; Saha, C. Correlation of binding efficacies of DNA to flavonoids and their induced cellular damage. J. Photochem. Photobiol. B Biol. 2017, 170, 256–262. [Google Scholar] [CrossRef]
- Song, X.; Wang, Y.; Gao, L. Mechanism of antioxidant properties of quercetin and quercetin-DNA complex. J. Mol. Model. 2020, 26, 133. [Google Scholar] [CrossRef] [PubMed]
- Kanakis, C.D.; Tarantilis, P.A.; Polissiou, M.G.; Diamantoglou, S.; Tajmir-Riahi, H.A. An Overview of DNA and RNA Bindings to Antioxidant Flavonoids. Cell Biochem. Biophys. 2007, 49, 29–36. [Google Scholar] [CrossRef] [PubMed]
- Geetha, T.; Malhotra, V.; Chopra, K.; Kaur, I.P. Antimutagenic and antioxidant/prooxidant activity of quercetin. Indian J. Exp. Biol. 2005, 43, 61–67. [Google Scholar]
- Alvi, N.; Rizvi, R.; Hadi, S. Interaction of quercetin with DNA. Biosci. Rep. 1986, 6, 861–868. [Google Scholar] [CrossRef]
- Utesch, D.; Feige, K.; Dasenbrock, J.; Broschard, T.H.; Harwood, M.; Danielewska-Nikiel, B.; Lines, T.C. Evaluation of the potential in vivo genotoxicity of quercetin. Mutat. Res./Genet. Toxicol. Environ. Mutagen. 2008, 654, 38–44. [Google Scholar] [CrossRef]
- Okamoto, T. Safety of quercetin for clinical application (Review). Int. J. Mol. Med. 2005, 16, 275–278. [Google Scholar] [CrossRef]
- Vijay, U.; Gupta, S.; Mathur, P.; Suravajhala, P.; Bhatnagar, P. Microbial Mutagenicity Assay: Ames Test. Bio-protocol 2018, 8, e2763. [Google Scholar] [CrossRef]
- Jenssen, D.; Ramel, C. The micronucleus test as part of a short-term mutagenicity test program for the prediction of carcinogenicity evaluated by 143 agents tested. Mutat. Res./Rev. Genet. Toxicol. 1980, 75, 191–202. [Google Scholar] [CrossRef] [PubMed]
- Chaiyasut, C.; Sivamaruthi, B.S.; Duangjitcharoen, Y.; Kesika, P.; Sirilun, S.; Chaiyasut, K.; Peerajan, S. Assessment of subchronic toxicity of fermented Houttuynia cordata Thunb. using rodent model system. Asian J. Pharm. Clin. Res. 2018, 11, 307–311. [Google Scholar] [CrossRef]
- Rushing, B.R.; Selim, M.I. Aflatoxin B1: A review on metabolism, toxicity, occurrence in food, occupational exposure, and detoxification methods. Food Chem. Toxicol. 2019, 124, 81–100. [Google Scholar] [CrossRef]
- Mori, Y.; Koide, A.; Kobayashi, Y.; Furukawa, F.; Hirose, M.; Nishikawa, A. Effects of cigarette smoke and a heterocyclic amine, MeIQx on cytochrome P-450, mutagenic activation of various carcinogens and glucuronidation in rat liver. Mutagenesis 2003, 18, 87–93. [Google Scholar] [CrossRef] [PubMed]
- Ayed-Boussema, I.; Pascussi, J.-M.; Maurel, P.; Bacha, H.; Hassen, W. Effect of Aflatoxin B1 on Nuclear Receptors PXR, CAR, and AhR and Their Target Cytochromes P450 mRNA Expression in Primary Cultures of Human Hepatocytes. Int. J. Toxicol. 2012, 31, 86–93. [Google Scholar] [CrossRef] [PubMed]
- Deng, J.; Zhao, L.; Zhang, N.-Y.; Karrow, N.A.; Krumm, C.S.; Qi, D.-S.; Sun, L.-H. Aflatoxin B1 metabolism: Regulation by phase I and II metabolizing enzymes and chemoprotective agents. Mutat. Res./Rev. Mutat. Res. 2018, 778, 79–89. [Google Scholar] [CrossRef]
- Punvittayagul, C.; Chariyakornkul, A.; Jarukamjorn, K.; Wongpoomchai, R. Protective Role of Vanillic Acid against Diethylnitrosamine- and 1,2-Dimethylhydrazine-Induced Hepatocarcinogenesis in Rats. Molecules 2021, 26, 2718. [Google Scholar] [CrossRef]
- Altay, A.; Kartal, D.İ.; Sadi, G.; Güray, T.; Yaprak, A.E. Modulation of mRNA expression and activities of xenobiotic metabolizing enzymes, CYP1A1, CYP1A2, CYP2E1, GPx and GSTP1 by the Salicornia freitagii extract in HT-29 human colon cancer cells. Arch. Biol. Sci. 2017, 69, 439–448. [Google Scholar] [CrossRef]
- Pang, C.Y.; Mak, J.W.; Ismail, R.; Ong, C.E. In vitro modulatory effects of flavonoids on human cytochrome P450 2C8 (CYP2C8). Naunyn-Schmiedeberg’s Arch. Pharmacol. 2012, 385, 495–502. [Google Scholar] [CrossRef] [PubMed]
- Ferguson, L.R.; Zhu, S.t.; Harris, P.J. Antioxidant and antigenotoxic effects of plant cell wall hydroxycinnamic acids in cultured HT-29 cells. Mol. Nutr. Food Res. 2005, 49, 585–593. [Google Scholar] [CrossRef]
- Moon, Y.J.; Wang, X.; Morris, M.E. Dietary flavonoids: Effects on xenobiotic and carcinogen metabolism. Toxicol. Vitr. 2006, 20, 187–210. [Google Scholar] [CrossRef]
- Pavek, P.; Dvorak, Z. Xenobiotic-induced transcriptional regulation of xenobiotic metabolizing enzymes of the cytochrome P450 superfamily in human extrahepatic tissues. Curr. Drug Metab. 2008, 9, 129–143. [Google Scholar] [CrossRef]
- Kiraly, O.; Gong, G.; Olipitz, W.; Muthupalani, S.; Engelward, B.P. Inflammation-induced cell proliferation potentiates DNA damage-induced mutations in vivo. PLoS Genet. 2015, 11, e1004901. [Google Scholar] [CrossRef]
- Cendrowicz, E.; Sas, Z.; Bremer, E.; Rygiel, T.P. The role of macrophages in cancer development and therapy. Cancers 2021, 13, 1946. [Google Scholar] [CrossRef] [PubMed]
- Kim, M.-C.; Kim, S.-J.; Kim, D.-S.; Jeon, Y.-D.; Park, S.J.; Lee, H.S.; Um, J.-Y.; Hong, S.-H. Vanillic acid inhibits inflammatory mediators by suppressing NF-κB in lipopolysaccharide-stimulated mouse peritoneal macrophages. Immunopharmacol. Immunotoxicol. 2011, 33, 525–532. [Google Scholar] [CrossRef] [PubMed]
- Ferreira, J.C.; Reis, M.B.; Coelho, G.D.; Gastaldello, G.H.; Peti, A.P.F.; Rodrigues, D.M.; Bastos, J.K.; Campo, V.L.; Sorgi, C.A.; Faccioli, L.H. Baccharin and p-coumaric acid from green propolis mitigate inflammation by modulating the production of cytokines and eicosanoids. J. Ethnopharmacol. 2021, 278, 114255. [Google Scholar] [CrossRef]
- García-Mediavilla, V.; Crespo, I.; Collado, P.S.; Esteller, A.; Sánchez-Campos, S.; Tuñón, M.J.; González-Gallego, J. The anti-inflammatory flavones quercetin and kaempferol cause inhibition of inducible nitric oxide synthase, cyclooxygenase-2 and reactive C-protein, and down-regulation of the nuclear factor kappaB pathway in Chang Liver cells. Eur. J. Pharmacol. 2007, 557, 221–229. [Google Scholar] [CrossRef]
- Camuesco, D.; Comalada, M.; Rodríguez-Cabezas, M.E.; Nieto, A.; Lorente, M.D.; Concha, A.; Zarzuelo, A.; Gálvez, J. The intestinal anti-inflammatory effect of quercitrin is associated with an inhibition in iNOS expression. Br. J. Pharmacol. 2004, 143, 908–918. [Google Scholar] [CrossRef] [PubMed]
- Burke, A.J.; Sullivan, F.J.; Giles, F.J.; Glynn, S.A. The yin and yang of nitric oxide in cancer progression. Carcinogenesis 2013, 34, 503–512. [Google Scholar] [CrossRef]
- Rasoanaivo, P.; Wright, C.W.; Willcox, M.L.; Gilbert, B. Whole plant extracts versus single compounds for the treatment of malaria: Synergy and positive interactions. Malar. J. 2011, 10, S4. [Google Scholar] [CrossRef]






| Crude | HEX | DCM | ETAC | nBA | Residue | |
|---|---|---|---|---|---|---|
| % yield | ||||||
| % yield/dried powder | 17.94 | 2.29 | 0.67 | 1.58 | 2.82 | 8.65 |
| % yield/crude | − | 12.75 | 3.75 | 8.82 | 15.72 | 48.20 |
| Spectrophotometric analysis | ||||||
| Total phenolic | ||||||
| mg GAE/g of extract | 117.54 ± 2.32 | 82.15 ± 2.73 | 158.24 ± 3.90 | 287.21 ± 7.27 | 160.68 ± 0.36 | 37.83 ± 2.19 |
| mg/g of dried powder | 21.09 | 1.88 | 1.06 | 4.54 | 4.53 | 3.27 |
| mg/g of crude | − | 10.47 | 5.93 | 25.33 | 25.26 | 18.23 |
| Total flavonoid | ||||||
| mg CE/g | 92.41 ± 4.07 | 81.41 ± 2.55 | 121.43 ± 5.53 | 263.60 ± 8.22 | 126.91 ± 4.62 | 26.09 ± 2.81 |
| mg/g of dried powder | 16.58 | 1.86 | 0.81 | 4.16 | 3.58 | 2.26 |
| mg/g of crude | − | 10.38 | 4.55 | 23.25 | 19.95 | 12.58 |
| Total hydrolysable tannin | ||||||
| mg MGE/g | 22.59 ± 4.22 | 25.45 ± 3.47 | 30.27 ± 4.25 | 128.44 ± 18.40 | 72.68 ± 10.72 | 14.50 ± 3.00 |
| mg/g of dried powder | 4.05 | 0.58 | 0.20 | 2.03 | 2.05 | 1.25 |
| mg/g of crude | − | 3.24 | 1.14 | 11.33 | 11.43 | 6.99 |
| HPLC analysis | ||||||
| Protocatechuic acid | ||||||
| mg/g of extract | ND | ND | 7.96 ± 0.01 | 19.74 ± 0.02 | ND | ND |
| mg/g of dried powder | − | − | 0.053 | 0.312 | − | − |
| mg/g of crude | − | − | 0.299 | 1.741 | − | − |
| Chlorogenic acid | ||||||
| mg/g of extract | ND | ND | ND | 32.85 ± 0.13 | ND | ND |
| mg/g of dried powder | − | − | − | 0.519 | − | − |
| mg/g of crude | − | − | − | 2.897 | − | − |
| Vanillic acid | ||||||
| mg/g of extract | ND | ND | 12.70 ± 0.02 | ND | ND | ND |
| mg/g of dried powder | − | − | 0.009 | − | − | − |
| mg/g of crude | − | − | 0.048 | − | − | − |
| p-Coumaric acid | ||||||
| mg/g of extract | ND | ND | 13.54 ± 0.04 | ND | ND | ND |
| mg/g of dried powder | − | − | 0.091 | − | − | − |
| mg/g of crude | − | − | 0.508 | − | − | − |
| Rutin | ||||||
| mg/g of extract | 3.59 ± 0.01 | ND | ND | 55.94 ± 0.01 | 11.72 ± 0.01 | ND |
| mg/g of dried powder | 0.644 | − | − | 0.884 | 0.331 | − |
| mg/g of crude | − | − | − | 4.934 | 1.842 | − |
| Quercetin | ||||||
| mg/g of extract | 0.49 ± 0.01 | 0.31 ± 0.00 | 57.41 ± 0.00 | 16.36 ± 0.00 | 0.34 ± 0.00 | ND |
| mg/g of dried powder | 0.088 | 0.007 | 0.385 | 0.258 | 0.010 | − |
| mg/g of crude | − | 0.040 | 2.153 | 1.443 | 0.053 | − |
| Quercitrin | ||||||
| mg/g of extract | 0.28 ± 0.01 | ND | 0.16 ± 0.01 | 0.26 ± 0.01 | 0.24 ± 0.02 | ND |
| mg/g of dried powder | 0.050 | − | 0.001 | 0.004 | 0.007 | − |
| mg/g of crude | − | − | 0.006 | 0.023 | 0.038 | − |
| Sample | Dose (mg/Plate) | Average of His+ Revertant Colonies per Plate (MI) | |||
|---|---|---|---|---|---|
| TA98 | TA100 | ||||
| +S9 | −S9 | +S9 | −S9 | ||
| DMSO | 28.4 ± 3.6 | 29.1 ± 0.3 | 127.3 ± 22.6 | 122.4 ± 4.7 | |
| 2-AA | 0.0005 | 840.7 ± 70.5 (29.5) | − | 1496.3 ± 17.2 (12.4) | − |
| AF-2 | 0.0001 | − | 337.6 ± 15.6 (11.6) | − | − |
| AF-2 | 0.00001 | − | − | − | 842.2 ± 25.0 (6.9) |
| Crude | 0.2 | 38.1 ± 0.7 (1.3) | 31.8 ± 1.9 (1.1) | 127.2 ± 18.4 (1.0) | 127.0 ± 3.7 (1.0) |
| 1 | 76.3 ± 3.6 (2.7) | 65.8 ± 1.8 (2.3) | 166.7 ± 19.9 (1.3) | 135.2 ± 13.0 (1.1) | |
| 5 | 186.9 ± 1.6 (6.6) | 152.3 ± 2.8 (5.2) | 271.2 ± 33.3 (2.2) | 159.4 ± 7.4 (1.3) | |
| HEX | 0.2 | 33.3 ± 1.2 (1.1) | 36.2 ± 3.6 (1.2) | 133.0 ± 13.1 (1.1) | 125.0 ± 8.7 (1.0) |
| 1 | 49.7 ± 1.7 (1.8) | 46.7 ± 1.9 (1.6) | 166.2 ± 19.7 (1.3) | 115.8 ± 2.5 (1.0) | |
| 5 | 139.6 ± 16.5 (4.9) | 84.3 ± 15.1 (2.9) | 211.2 ± 19.7 (1.7) | 131.7 ± 8.2 (1.1) | |
| DCM | 0.2 | 170.3 ± 7.5 (6.0) | 73.3 ± 2.6 (2.5) | 243.5 ± 53.8 (1.9) | 163.2 ± 4.5 (1.3) |
| 1 | 382.1 ± 15.7 (13.5) | 180.0 ± 13.1 (6.2) | 340.3 ± 21.0 (2.8) | 197.6 ± 7.5 (1.6) | |
| 5 | 715.6 ± 11.2 (25.2) | 311.3 ± 24.5 (10.7) | 420.3 ± 0.8 (3.5) | 250.4 ± 15.7 (2.0) | |
| ETAC | 0.2 | 141.3 ± 9.8 (5.0) | 79.8 ± 5.7 (2.7) | 240.3 ± 12.3 (2.0) | 198.8 ± 2.2 (1.6) |
| 1 | 456.0 ± 8.7 (16.1) | 238.1 ± 12.5 (8.2) | 380.3 ± 34.0 (3.1) | 241.3 ± 19.6 (2.0) | |
| 5 | 827.1 ± 14.3 (29.1) | 390.8 ± 32.3 (13.4) | 459.3 ± 11.4 (3.8) | 254.6 ± 7.7 (2.1) | |
| nBA | 0.2 | 30.7 ± 1.1 (1.1) | 28.1 ± 1.1 (1.0) | 112.5 ± 17.6 (0.9) | 123.7 ± 5.3 (1.0) |
| 1 | 34.6 ± 1.1 (1.2) | 37.2 ± 4.2 (1.3) | 116.7 ± 5.7 (1.0) | 128.8 ± 12.2 (1.0) | |
| 5 | 50.7 ± 3.2 (1.8) | 78.6 ± 2.2 (2.7) | 146.8 ± 17.8 (1.2) | 145.7 ± 2.4 (1.2) | |
| Residue | 0.2 | 26.4 ± 2.1 (0.9) | 29.7 ± 1.5 (1.1) | 97.7 ± 10.1 (0.8) | 111.0 ± 3.7 (1.0) |
| 1 | 29.6 ± 0.9 (1.0) | 31.2 ± 2.4 (1.1) | 108.2 ± 13.2 (0.9) | 120.0 ± 8.2 (1.0) | |
| 5 | 31.0 ± 1.2 (1.1) | 45.6 ± 2.5 (1.6) | 126.5 ± 21.9 (1.0) | 125.9 ± 5.1 (1.0) | |
| Sample | Dose (mg/Plate) | Average of His+ Revertant Colonies per Plate (%Inhibition) | |||
|---|---|---|---|---|---|
| TA98 | TA100 | ||||
| +S9 | −S9 | +S9 | −S9 | ||
| DMSO | 29.2 ± 8.2 a | 13.2 ± 3.2 a | 125.1 ± 16.7 a | 116.4 ± 7.2 a | |
| AFB1 | 0.00005 | 1034.9 ± 101.67 | − | − | − |
| AF-2 | 0.0001 | − | 385.0 ± 25.5 | − | − |
| MeIQ | 0.000025 | − | − | 1185.8 ± 94.7 | − |
| NaN3 | 0.001 | − | − | − | 526.4 ± 57.5 |
| Crude | 0.04 | 893.1 ± 100.9 (13.7) b | 325.8 ± 24.5 (16.4) b | 954.4 ± 6.69 (20.7) b | 498.1 ± 45.1 (6.2) b |
| 0.2 | 419.0 ± 107.4 (57.3) a,b | 329.8 ± 20.6 (15.1) b | 477.8 ± 29.6 (66.4) a,b | 515.3 ± 65.2 (3.6) b | |
| 1 | 128.9 ± 31.8 (88.1) a,b | 340.7 ± 23.0 (12.3) b | 242.0 ± 32.1 (89.3) a,b | 506.7 ± 64.0 (5.6) b | |
| 5 | 178.7 ± 53.6 (87.1) a,b | 324.1 ± 12.3 (15.3) b | 246.0 ± 57.8 (88.8) a,b | 420.0 ± 34.5 (23.8) b | |
| HEX | 0.04 | 737.8 ± 104.9 (28.7) b | 346.5 ± 12.7 (10.0) b | 779.1 ± 33.4 (34.3) a,c | 473.8 ± 29.3 (13.0) b |
| 0.2 | 64.4 ± 4.8 (96.4) a,c | 336.9 ± 24.4 (13.4) b | 250.9 ± 16.9 (88.1) a,c | 473.6 ± 55.5 (13.4) b | |
| 1 | 48.6 ± 8.9 (97.9) a,b | 324.9 ± 32.8 (15.6) b | 196.8 ± 57.5 (93.8) a,b | 407.1 ± 49.5 (29.4) b | |
| 5 | 96.4 ± 27.3 (92.7) a,b | 321.9 ± 48.0 (16.4) b | 161.7 ± 56.9 (96.0) a,b | 429.8 ± 31.1 (22.7) b | |
| DCM | 0.04 | 343.6 ± 3.3 (66.8) a,c | 273.4 ± 23.3 (29.0) b | 579.9 ± 62.5 (51.1) a,d | 500.1 ± 44.7 (5.0) b |
| 0.2 | 135.4 ± 14.6 (88.9) a,c | 301.6 ± 34.6 (23.7) b | 219.6 ± 25.8 (90.5) a,c | 492.7 ± 56.5 (8.6) b | |
| 1 | 274.7 ± 48.9 (74.8) a,c | 322.3 ± 20.5 (17.3) b | 274.9 ± 62.6 (78.8) a,c | 448.7 ± 31.8 (17.7) b | |
| 5 | 572.0 ± 52.1 (42.1) a,c | 336.0 ± 32.7 (13.4) b | 348.6 ± 70.7 (73.1) a,c | 430.1 ± 31.1 (21.6) b | |
| ETAC | 0.04 | 924.2 ± 45.7 (10.7) b | 350.4 ± 12.7 (9.0) b | 750.4 ± 35.5 (36.7) a,c | 452.2 ± 62.2 (14.1) b |
| 0.2 | 488.7 ± 30.1 (51.6) a,b | 353.3 ± 19.8 (8.6) b | 445.0 ± 86.5 (64.7) a,b | 428.4 ± 33.3 (22.8) b | |
| 1 | 397.1 ± 6.9 (60.5) a,c | 374.2 ± 26.6 (3.0) b | 328.9 ± 35.3 (76.5) a,c | 419.6 ± 36.9 (25.4) b | |
| 5 | 532.8 ± 14.0 (46.0) a,c | 378.5 ± 38.6 (1.7) b | 370.2 ± 90.1 (67.1) a,c | 429.8 ± 64.1 (22.7) b | |
| nBA | 0.04 | 877.7 ± 36.7 (15.1) b | 377.3 ± 30.0 (2.0) b | 957.9 ± 62.2 (19.2) b | 495.9 ± 29.3 (6.8) b |
| 0.2 | 875.8 ± 110.2 (13.4) d | 375.1 ± 34.0 (2.7) b | 1124.4 ± 87.5 (4.9) d | 490.0 ± 43.8 (8.0) b | |
| 1 | 671.8 ± 28.7 (30.0) a,d | 338.4 ± 38.7 (12.7) b | 775.8 ± 53.1 (37.8) a,d | 450.2 ± 38.2 (16.8) b | |
| 5 | 195.3 ± 39.46 (86.5) a,b | 304.3 ± 55.2 (22.5) b | 319.7 ± 62.8 (82.3) a,b | 454.4 ± 55.8 (16.2) b | |
| Residue | 0.04 | 1004.5 ± 103.1 (2.9) b | 374.2 ± 31.8 (3.2) b | 1148.7 ± 75.9 (3.1) b | 483.8 ± 55.6 (11.1) b |
| 0.2 | 1022.2 ± 190.2 (1.0) d | 370.8 ± 26.6 (3.9) b | 956.0 ± 75.9 (19.3) d | 486.7 ± 69.5 (10.0) b | |
| 1 | 886.2 ± 106.7 (14.4) d | 370.0 ± 22.1 (4.0) b | 959.8 ± 53.8 (19.7) e | 507.8 ± 68.4 (5.6) b | |
| 5 | 914.7 ± 160.0 (11.3) d | 370.0 ± 38.3 (4.0) b | 1026.2 ± 91.7 (13.5) d | 436.7 ± 55.1 (20.8) b | |
Disclaimer/Publisher’s Note: The statements, opinions and data contained in all publications are solely those of the individual author(s) and contributor(s) and not of MDPI and/or the editor(s). MDPI and/or the editor(s) disclaim responsibility for any injury to people or property resulting from any ideas, methods, instructions or products referred to in the content. |
© 2024 by the authors. Licensee MDPI, Basel, Switzerland. This article is an open access article distributed under the terms and conditions of the Creative Commons Attribution (CC BY) license (https://creativecommons.org/licenses/by/4.0/).
Share and Cite
Singai, C.; Pitchakarn, P.; Taya, S.; Wongpoomchai, R.; Wongnoppavich, A. Genotoxic and Anti-Genotoxic Assessments of Fermented Houttuynia cordata Thunb. Leaf Ethanolic Extract and Its Anti-Cancer Effect in a Dual-Organ Carcinogenesis Model of Colon and Liver in Rats. Foods 2024, 13, 3645. https://doi.org/10.3390/foods13223645
Singai C, Pitchakarn P, Taya S, Wongpoomchai R, Wongnoppavich A. Genotoxic and Anti-Genotoxic Assessments of Fermented Houttuynia cordata Thunb. Leaf Ethanolic Extract and Its Anti-Cancer Effect in a Dual-Organ Carcinogenesis Model of Colon and Liver in Rats. Foods. 2024; 13(22):3645. https://doi.org/10.3390/foods13223645
Chicago/Turabian StyleSingai, Chonikarn, Pornsiri Pitchakarn, Sirinya Taya, Rawiwan Wongpoomchai, and Ariyaphong Wongnoppavich. 2024. "Genotoxic and Anti-Genotoxic Assessments of Fermented Houttuynia cordata Thunb. Leaf Ethanolic Extract and Its Anti-Cancer Effect in a Dual-Organ Carcinogenesis Model of Colon and Liver in Rats" Foods 13, no. 22: 3645. https://doi.org/10.3390/foods13223645
APA StyleSingai, C., Pitchakarn, P., Taya, S., Wongpoomchai, R., & Wongnoppavich, A. (2024). Genotoxic and Anti-Genotoxic Assessments of Fermented Houttuynia cordata Thunb. Leaf Ethanolic Extract and Its Anti-Cancer Effect in a Dual-Organ Carcinogenesis Model of Colon and Liver in Rats. Foods, 13(22), 3645. https://doi.org/10.3390/foods13223645

