Effects of Stocking Density and Pre-Slaughter Handling on the Fillet Quality of Largemouth Bass (Micropterus salmoides): Implications for Fish Welfare
Abstract
1. Introduction
2. Materials and Methods
2.1. Ethical Statement
2.2. Fish Rearing under Different Densities
2.3. Slaughtering Method
2.4. Sample Collection
2.5. Analytical Procedures
2.5.1. pH
2.5.2. Rigor Index
2.5.3. Analysis of Glucose and Cortisol Concentrations
2.5.4. Antioxidant Capacity
2.5.5. Hardness Analysis
2.5.6. Thiobarbituric Acid Reactive Substances (TBARS)
2.5.7. Proteomics Sample Preparation
Muscle Protein Extraction
SDS–PAGE
Immunoblotting
2.6. Statistical Analysis
3. Results
3.1. pH
3.2. Rigor Mortis Index
3.3. Blood Glucose and Cortisol
3.4. Antioxidant Enzymes Activity
3.5. Hardness
3.6. Thiobarbituric Acid Reactive Substances (TBARS)
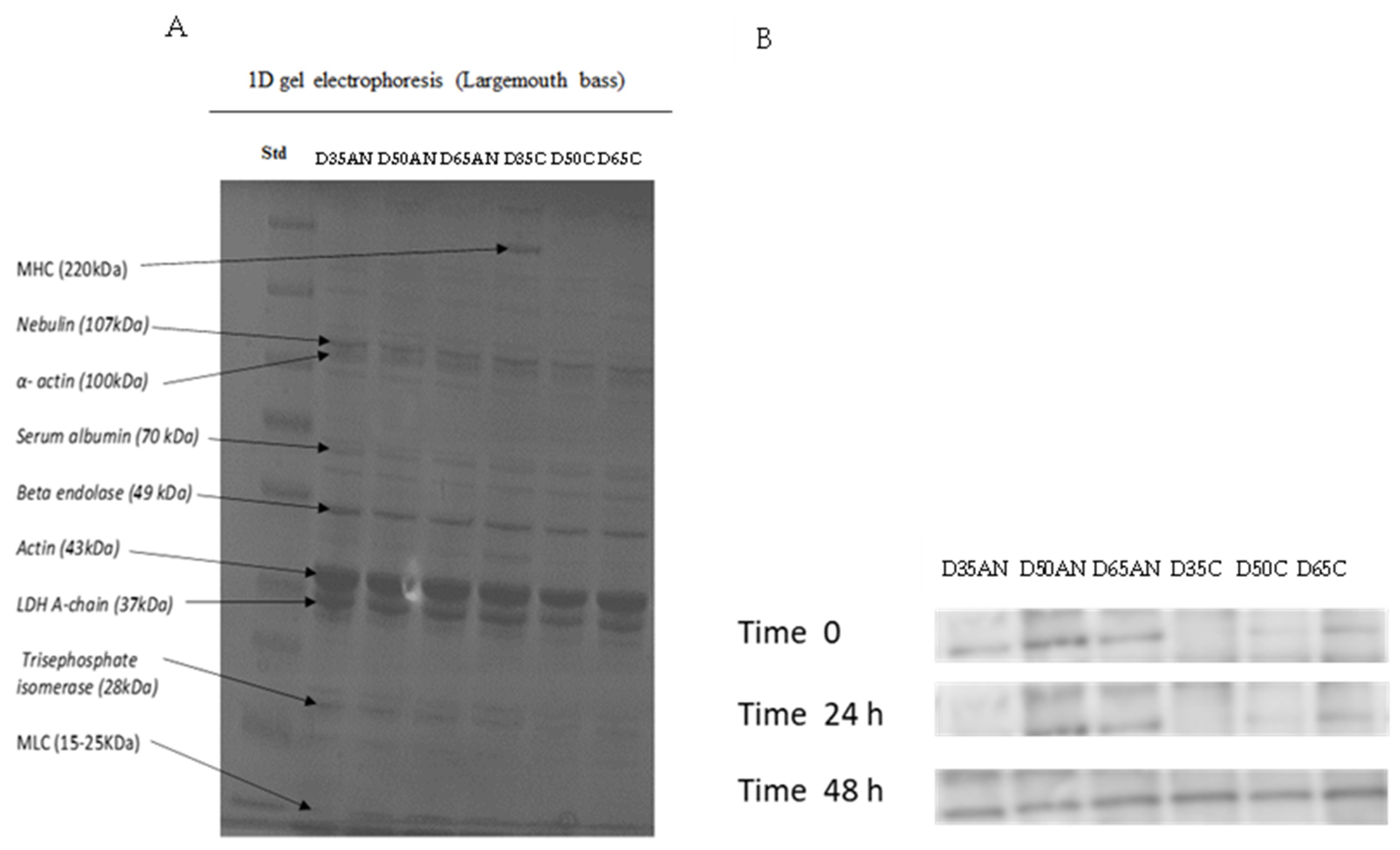
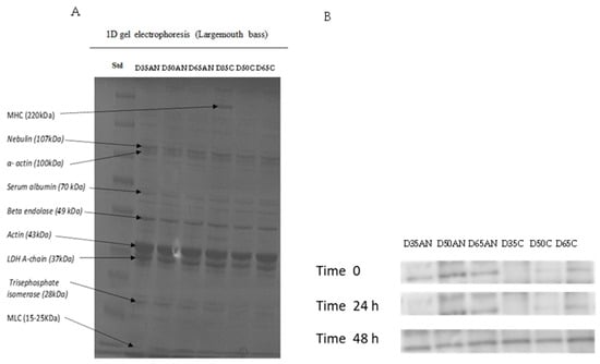
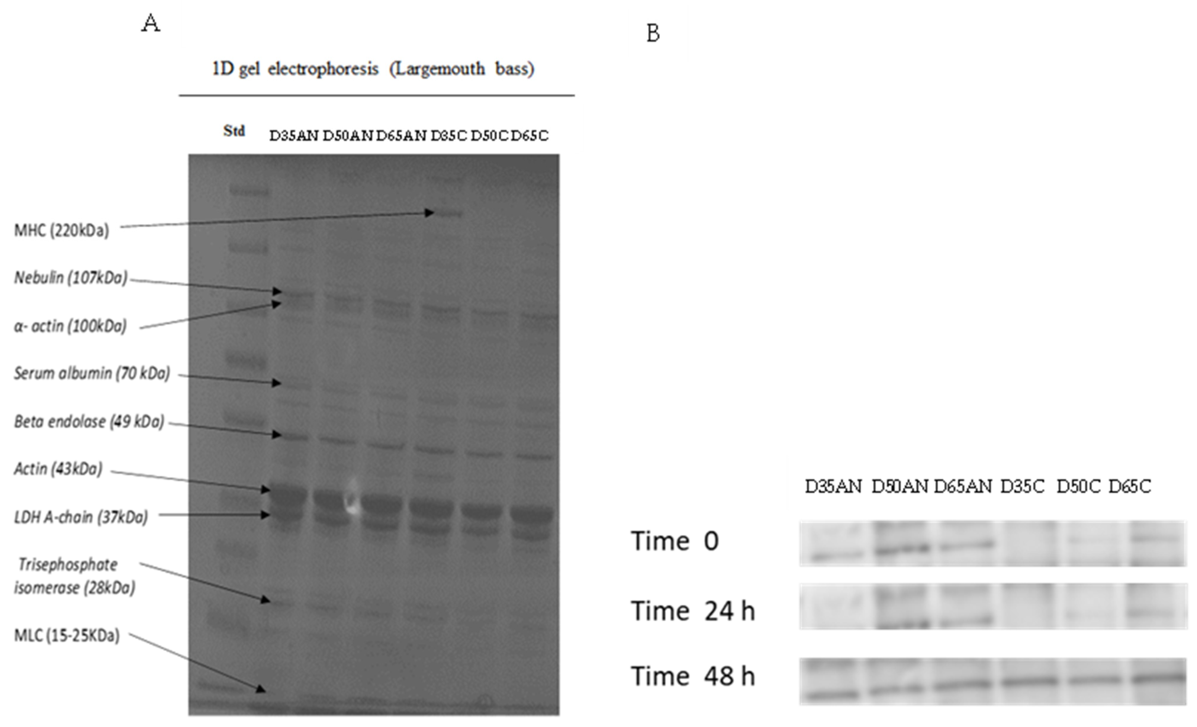
3.7. Protein Changes during Postmortem
4. Discussion
5. Conclusions
Supplementary Materials
Author Contributions
Funding
Institutional Review Board Statement
Informed Consent Statement
Data Availability Statement
Acknowledgments
Conflicts of Interest
Abbreviations
References
- Wang, D.; Yao, H.; Li, Y.-H.; Xu, Y.-J.; Ma, X.-F.; Wang, H.-P. Global diversity and genetic landscape of natural populations and hatchery stocks of largemouth bass micropterus salmoides across American and Asian regions. Sci. Rep. 2019, 9, 16697. [Google Scholar] [CrossRef] [PubMed]
- Wang, Y.; Ni, J.; Nie, Z.; Gao, J.; Sun, Y.; Shao, N.; Li, Q.; Hu, J.; Xu, P.; Xu, G. Effects of stocking density on growth, serum parameters, antioxidant status, liver and intestine histology and gene expression of largemouth bass (Micropterus salmoides) farmed in the in-pond raceway system. Aquac. Res. 2020, 51, 5228–5240. [Google Scholar] [CrossRef]
- Pěnka, T.; Malinovskyi, O.; Křišťan, J.; Imentai, A.; Policar, T. Effect of density and mixed culture of largemouth bass (Micropterus salmoides) and pikeperch (Sander lucioperca) on growth, survival and feed conversion rate in intensive culture. Czech J. Anim. Sci. 2021, 66, 428–440. [Google Scholar] [CrossRef]
- Olafsdottir, G.; Nesvadba, P.; Di Natale, C.; Careche, M.; Oehlenschläger, J.; Tryggvadóttir, S.a.V.; Schubring, R.; Kroeger, M.; Heia, K.; Esaiassen, M.; et al. Multisensor for fish quality determination. Trends Food Sci. Technol. 2004, 15, 86–93. [Google Scholar] [CrossRef]
- Adzitey, F. Effect of pre-slaughter animal handling on carcass and meat quality. Int. Food Res. J. 2011, 18, 485–491. [Google Scholar]
- Warner, R.; Ferguson, D.; Cottrell, J.; Knee, B.W. Acute stress induced by the preslaughter use of electric prodders causes tougher beef meat. Aust. J. Exp. Agric. 2007, 47, 782–788. [Google Scholar] [CrossRef]
- Castro, P.; Lewandowski, V.; Souza, M.; Coradini, M.; Alexandre, A.; Sary, C.; Ribeiro, R. Effect of different periods of pre-slaughter stress on the quality of the Nile tilapia meat. Food Sci. Technol. 2016, 37, 52–58. [Google Scholar] [CrossRef]
- Daskalova, A. Farmed fish welfare: Stress, post-mortem muscle metabolism, and stress-related meat quality changes. Int. Aquat. Res. 2019, 11, 113–124. [Google Scholar] [CrossRef]
- Gatica, M.C.; Monti, G.; Knowles, T.G.; Gallo, C. Effects of crowding on blood constituents and flesh quality variables in Atlantic salmon (Salmo salar L.). Arch. Med. Vet. 2010, 42, 187–193. [Google Scholar] [CrossRef]
- Zuanazzi, J.S.G.; Lara, J.A.F.d.; Goes, E.S.d.R.; Almeida, F.L.A.d.; Oliveira, C.A.L.d.; Ribeiro, R.P. Anoxia stress and effect on flesh quality and gene expression of tilapia. Food Sci. Technol. 2019, 39, 195–202. [Google Scholar] [CrossRef]
- Tornberg, E.; Wahlgren, M.; Brøndum, J.; Engelsen, S. Pre-rigor conditions in beef under varying temperature- and pH-falls studied with rigometer, NMR and NIR. Food Chem. 2000, 69, 407–418. [Google Scholar] [CrossRef]
- Fu, L.; Zhang, S.; Zhou, J.; Liu, C.; Lin, J.; Wang, Y. Alterations of Protein Expression in the Muscle of Pacific White Shrimp (Litopenaeus vannamei) Contribute to Postmortem Changes. J. Shellfish Res. 2014, 33, 815–823. [Google Scholar] [CrossRef]
- Mei, J.; Ma, X.; Xie, J. Review on Natural Preservatives for Extending Fish Shelf Life. Foods 2019, 8, 490. [Google Scholar] [CrossRef] [PubMed]
- Tejada, M.; Huidobro, A. Quality of farmed gilthead seabream (Sparus aurata) during ice storage related to the slaughter method and gutting. Eur. Food Res. Technol. 2002, 215, 1–7. [Google Scholar] [CrossRef]
- Hematyar, N.; Imentai, A.; Křišťan, J.; Gorakh Waghmare, S.; Policar, T. Considering Two Aspects of Fish Welfare on African Catfish (Clarias gariepinus) Fillet throughout Postmortem Condition: Efficiency and Mechanisms. Foods 2022, 11, 4090. [Google Scholar] [CrossRef] [PubMed]
- Stara, A.; Kristan, J.; Zuskova, E.; Velisek, J. Effect of chronic exposure to prometryne on oxidative stress and antioxidant response in common carp (Cyprinus carpio L.). Pestic. Biochem. Physiol. 2013, 105, 18–23. [Google Scholar] [CrossRef] [PubMed]
- Bito, M. Studies on rigor mortis of fish. I. Defference in the mode of rigor mortis among some varieties of fish by modified Cutting’s method. Bull. Tokai Reg. Fish. Res. Lab. 1983, 109, 89–96. [Google Scholar]
- Beers, R.F.; Sizer, I.W. A spectrophotometric method for measuring the breakdown of hydrogen peroxide by catalase. J. Biol. Chem. 1952, 195, 133–140. [Google Scholar] [CrossRef] [PubMed]
- Marklund, S.; Marklund, G. Involvement of the superoxide anion radical in the autoxidation of pyrogallol and a convenient assay for superoxide dismutase. Eur. J. Biochem. 1974, 47, 469–474. [Google Scholar] [CrossRef]
- Flohé, L.; Günzler, W.A. Assays of glutathione peroxidase. In Methods in Enzymology; Elsevier: Amsterdam, The Netherlands, 1984; Volume 105, pp. 114–120. [Google Scholar]
- Miller, B.C.; Lau, H.W.; Tyler, N.E.; Cottam, G.L. Liver Composition and Lipid-Metabolism in NZB/W F1 Female Mice Fed Dehydroisoandrosterone. Biochim. Biophys. Acta 1988, 962, 25–36. [Google Scholar] [CrossRef]
- Laemmli, U.K.; Eiserling, F.A. Studies on Morphopoiesis of Head of Phage T-even V. formation of polyheads. Mol. Gen. Genet. 1968, 101, 333–345. [Google Scholar] [CrossRef]
- Seki, N.; Watanabe, T. Changes in morphological and biochemical properties of the myofibrils from carp muscle during postmortem storage [Cyprinus carpio]. Bull.-Jpn. Soc. Sci. Fish. 1982, 48, 517–524. [Google Scholar] [CrossRef]
- Terlouw, C.; Picard, B.; Deiss, V.; Berri, C.; Hocquette, J.-F.; Lebret, B.; Lefèvre, F.; Hamill, R.; Gagaoua, M. Understanding the Determination of Meat Quality Using Biochemical Characteristics of the Muscle: Stress at Slaughter and Other Missing Keys. Foods 2021, 10, 84. [Google Scholar] [CrossRef]
- Hultmann, L.; Phu, T.M.; Tobiassen, T.; Aas-Hansen, Ø.; Rustad, T. Effects of pre-slaughter stress on proteolytic enzyme activities and muscle quality of farmed Atlantic cod (Gadus morhua). Food Chem. 2012, 134, 1399–1408. [Google Scholar] [CrossRef] [PubMed]
- Kristoffersen, S.; Tobiassen, T.; Steinsund, V.; Olsen, R.L. Slaughter stress, postmortem muscle pH and rigor development in farmed Atlantic cod (Gadus morhua L.). Int. J. Food Sci. Technol. 2006, 41, 861–864. [Google Scholar] [CrossRef]
- Barrasso, R.; Ceci, E.; Tufarelli, V.; Casalino, G.; Luposella, F.; Fustinoni, F.; Dimuccio, M.M.; Bozzo, G. Religious slaughtering: Implications on pH and temperature of bovine carcasses. Saudi J. Biol. Sci. 2022, 29, 2396–2401. [Google Scholar] [CrossRef]
- Lefevre, F.; Cos, I.; Pottinger, T.G.; Bugeon, J. Selection for stress responsiveness and slaughter stress affect flesh quality in pan-size rainbow trout, Oncorhynchus mykiss. Aquaculture 2016, 464, 654–664. [Google Scholar] [CrossRef]
- Strasburg, G.; Xiong, Y.L.; Chiang, W. Physiology and chemistry of edible muscle tissues. In Fennema’s Food Chemistry; CRC Press: Boca Raton, FL, USA, 2007; pp. 935–986. [Google Scholar]
- Wilkinson, R.J.; Paton, N.; Porter, M.J.R. The effects of pre-harvest stress and harvest method on the stress response, rigor onset, muscle pH and drip loss in barramundi (Lates calcarifer). Aquaculture 2008, 282, 26–32. [Google Scholar] [CrossRef]
- Roth, B.; Moeller, D.; Veland, J.O.; Imsland, A.; Slinde, E. The Effect of Stunning Methods on Rigor Mortis and Texture Properties of Atlantic Salmon (Salmo salar). J. Food Sci. 2002, 67, 1462–1466. [Google Scholar] [CrossRef]
- Wu, H.; Arai, M.; Ohnuki, H.; Yoshiura, Y.; Endo, H. Development of a Flow Injection Biosensor System Enables Glucose and Cortisol Simultaneous Measurement for the Evaluation of Fish Stress. In Electrochemical Society Meeting Abstracts; The Electrochemical Society, Inc.: Pennington, NJ, USA, 2016. [Google Scholar]
- Sadhu, N.; Sharma, S.K.; Joseph, S.; Dube, P.; Philipose, K. Chronic stress due to high stocking density in open sea cage farming induces variation in biochemical and immunological functions in Asian seabass (Lates calcarifer, Bloch). Fish Physiol. Biochem. 2014, 40, 1105–1113. [Google Scholar] [CrossRef]
- Refaey, M.M.; Li, D.; Tian, X.; Zhang, Z.; Zhang, X.; Li, L.; Tang, R. High stocking density alters growth performance, blood biochemistry, intestinal histology, and muscle quality of channel catfish Ictalurus punctatus. Aquaculture 2018, 492, 73–81. [Google Scholar] [CrossRef]
- Ellis, T.; Yildiz, H.Y.; López-Olmeda, J.; Spedicato, M.T.; Tort, L.; Øverli, Ø.; Martins, C.I.M. Cortisol and finfish welfare. Fish Physiol. Biochem. 2012, 38, 163–188. [Google Scholar] [CrossRef] [PubMed]
- O’Connor, E.A.; Pottinger, T.G.; Sneddon, L.U. The effects of acute and chronic hypoxia on cortisol, glucose and lactate concentrations in different populations of three-spined stickleback. Fish Physiol. Biochem. 2011, 37, 461–469. [Google Scholar] [CrossRef] [PubMed]
- Zhang, T.; Zhang, L.; Yin, T.; You, J.; Liu, R.; Huang, Q.; Shi, L.; Wang, L.; Liao, T.; Wang, W.; et al. Recent understanding of stress response on muscle quality of fish: From the perspective of industrial chain. Trends Food Sci. Technol. 2023, 140, 104145. [Google Scholar] [CrossRef]
- Roque, A.; Gras, N.; Rey-Planellas, S.; Fatsini, E.; Pallisera, J.; Duncan, N.; Muñoz, I.; Velarde, A.; Hernandez, M.D. The feasibility of using gas mixture to stun seabream (Sparus aurata) before slaughtering in aquaculture production. Aquaculture 2021, 545, 737168. [Google Scholar] [CrossRef]
- Macedo, A.B.; Moraes, L.H.R.; Mizobuti, D.S.; Fogaça, A.R.; Moraes, F.d.S.R.; Hermes, T.d.A.; Pertille, A.; Minatel, E. Low-Level Laser Therapy (LLLT) in Dystrophin-Deficient Muscle Cells: Effects on Regeneration Capacity, Inflammation Response and Oxidative Stress. PLoS ONE 2015, 10, e0128567. [Google Scholar] [CrossRef]
- Hochachka, P.W.; Land, S.C.; Buck, L.T. Oxygen sensing and signal transduction in metabolic defense against hypoxia: Lessons from vertebrate facultative anaerobes. Comp. Biochem. Physiol. Part A Physiol. 1997, 118, 23–29. [Google Scholar] [CrossRef] [PubMed]
- Yang, Z.; Xu, G.; Ge, X.; Liu, B.; Xu, P.; Song, C.; Zhou, Q.; Zhang, H.; Zhang, W.; Shan, F.; et al. The effects of crowding stress on the growth, physiological response, and gene expression of the Nrf2-Keap1 signaling pathway in blunt snout bream (Megalobrama amblycephala) reared under in-pond raceway conditions. Comp. Biochem. Physiol. Part A Mol. Integr. Physiol. 2019, 231, 19–29. [Google Scholar] [CrossRef] [PubMed]
- Green, B.W.; Rawles, S.D.; Fuller, S.A.; Beck, B.H.; McEntire, M.E. Hypoxia affects performance traits and body composition of juvenile hybrid striped bass (Morone chrysops × M. saxatilis). Aquac. Res. 2016, 47, 2266–2275. [Google Scholar] [CrossRef]
- Yu, D.; Li, P.; Xu, Y.; Jiang, Q.; Xia, W. Physicochemical, microbiological, and sensory attributes of chitosan-coated grass carp (Ctenopharyngodon idellus) fillets stored at 4 °C. Int. J. Food Prop. 2017, 20, 390–401. [Google Scholar] [CrossRef]
- Li, H.; Xu, B. Advanced Materials Researches and Application; Trans Tech Publication Ltd.: Zürich, Switzerland, 2013. [Google Scholar]
- Çagiltay, F.; Erkan, N.; Ulusoy, Ş.; Selcuk, A.; Özden, Ö. Effects of Stock Density on Texture-Colour Quality and Chemical Composition of Rainbow Trout (Oncorhynchus mykiss); AquaDocs: Edmond, OK, USA, 2015. [Google Scholar]
- Sigholt, T.; Erikson, U.; Rustad, T.; Johansen, S.; Nordtvedt, T.S.; Seland, A. Handling Stress and Storage Temperature Affect Meat Quality of Farmed-raised Atlantic Salmon (Salmo salar). J. Food Sci. 1997, 62, 898–905. [Google Scholar] [CrossRef]
- Bahuaud, D.; Mørkøre, T.; Østbye, T.K.; Veiseth-Kent, E.; Thomassen, M.S.; Ofstad, R. Muscle structure responses and lysosomal cathepsins B and L in farmed Atlantic salmon (Salmo salar L.) pre- and post-rigor fillets exposed to short and long-term crowding stress. Food Chem. 2010, 118, 602–615. [Google Scholar] [CrossRef]
- Bjørnevik, M.; Solbakken, V. Preslaughter stress and subsequent effect on flesh quality in farmed cod. Aquac. Res. 2010, 41, e467–e474. [Google Scholar] [CrossRef]
- Trenzado, C.E.; Morales, A.E.; Palma, J.M.; de la Higuera, M. Blood antioxidant defenses and hematological adjustments in crowded/uncrowded rainbow trout (Oncorhynchus mykiss) fed on diets with different levels of antioxidant vitamins and HUFA. Comp. Biochem. Physiol. Part C Toxicol. Pharmacol. 2009, 149, 440–447. [Google Scholar] [CrossRef] [PubMed]
- Secci, G.; Serra, A.; Concollato, A.; Conte, G.; Mele, M.; Olsen, R.E.; Parisi, G. Carbon monoxide as stunning/killing method on farmed Atlantic salmon (Salmo salar): Effects on lipid and cholesterol oxidation. J. Sci. Food Agric. 2016, 96, 2426–2432. [Google Scholar] [CrossRef]
- Bayır, M.; Bayır, A.; Aras, N.M. A comparison of the effect of long-term starvation on responses to low-temperature stress by juvenile rainbow (Oncorhynchus mykiss) and brown (Salmo trutta) trout reveal different responses in the two species. Mar. Freshw. Behav. Physiol. 2014, 47, 239–251. [Google Scholar] [CrossRef]
- Pérez-Sánchez, J.; Borrel, M.; Bermejo-Nogales, A.; Benedito-Palos, L.; Saera-Vila, A.; Calduch-Giner, J.A.; Kaushik, S. Dietary oils mediate cortisol kinetics and the hepatic mRNA expression profile of stress-responsive genes in gilthead sea bream (Sparus aurata) exposed to crowding stress. Implications on energy homeostasis and stress susceptibility. Comp. Biochem. Physiol. Part D Genom. Proteom. 2013, 8, 123–130. [Google Scholar] [CrossRef] [PubMed]
- Lushchak, V.I.; Lushchak, L.P.; Mota, A.A.; Hermes-Lima, M. Oxidative stress and antioxidant defenses in goldfish Carassius auratus during anoxia and reoxygenation. Am. J. Physiol.-Regul. Integr. Comp. Physiol. 2001, 280, R100–R107. [Google Scholar] [CrossRef]
- Soladoye, O.P.; Juárez, M.L.; Aalhus, J.L.; Shand, P.; Estévez, M. Protein Oxidation in Processed Meat: Mechanisms and Potential Implications on Human Health. Compr. Rev. Food Sci. Food Saf. 2015, 14, 106–122. [Google Scholar] [CrossRef]
- Hematyar, N.; Rustad, T.; Sampels, S.; Kastrup Dalsgaard, T. Relationship between lipid and protein oxidation in fish. Aquac. Res. 2019, 50, 1393–1403. [Google Scholar] [CrossRef]
- Liu, P.; Zhang, Z.; Guo, X.; Zhu, X.; Mao, X.; Guo, X.; Deng, X.; Zhang, J. μ-Calpain oxidation and proteolytic changes on myofibrillar proteins from Coregonus Peled in vitro. Food Chem. 2021, 361, 130100. [Google Scholar] [CrossRef] [PubMed]
- Bugeon, J.; Lefevre, F.; Fauconneau, B. Fillet texture and muscle structure in brown trout (Salmo trutta) subjected to long-term exercise. Aquac. Res. 2003, 34, 1287–1295. [Google Scholar] [CrossRef]










Disclaimer/Publisher’s Note: The statements, opinions and data contained in all publications are solely those of the individual author(s) and contributor(s) and not of MDPI and/or the editor(s). MDPI and/or the editor(s) disclaim responsibility for any injury to people or property resulting from any ideas, methods, instructions or products referred to in the content. |
© 2024 by the authors. Licensee MDPI, Basel, Switzerland. This article is an open access article distributed under the terms and conditions of the Creative Commons Attribution (CC BY) license (https://creativecommons.org/licenses/by/4.0/).
Share and Cite
Hematyar, N.; Rahimnejad, S.; Gorakh Waghmare, S.; Malinovskyi, O.; Policar, T. Effects of Stocking Density and Pre-Slaughter Handling on the Fillet Quality of Largemouth Bass (Micropterus salmoides): Implications for Fish Welfare. Foods 2024, 13, 1477. https://doi.org/10.3390/foods13101477
Hematyar N, Rahimnejad S, Gorakh Waghmare S, Malinovskyi O, Policar T. Effects of Stocking Density and Pre-Slaughter Handling on the Fillet Quality of Largemouth Bass (Micropterus salmoides): Implications for Fish Welfare. Foods. 2024; 13(10):1477. https://doi.org/10.3390/foods13101477
Chicago/Turabian StyleHematyar, Nima, Samad Rahimnejad, Swapnil Gorakh Waghmare, Oleksandr Malinovskyi, and Tomas Policar. 2024. "Effects of Stocking Density and Pre-Slaughter Handling on the Fillet Quality of Largemouth Bass (Micropterus salmoides): Implications for Fish Welfare" Foods 13, no. 10: 1477. https://doi.org/10.3390/foods13101477
APA StyleHematyar, N., Rahimnejad, S., Gorakh Waghmare, S., Malinovskyi, O., & Policar, T. (2024). Effects of Stocking Density and Pre-Slaughter Handling on the Fillet Quality of Largemouth Bass (Micropterus salmoides): Implications for Fish Welfare. Foods, 13(10), 1477. https://doi.org/10.3390/foods13101477

