A New Duplex Recombinase Polymerase Amplification (D-RPA) Method for the Simultaneous and Rapid Detection of Shigella and Bacillus cereus in Food
Abstract
1. Introduction
2. Materials and Methods
2.1. Materials
2.2. DNA Extraction
2.3. Primer Design and Screening
2.4. D-RPA Reaction
2.5. Condition Optimization
2.6. Specificity and Sensitivity Analysis
2.7. Application of D-RPA in Food Samples
3. Results
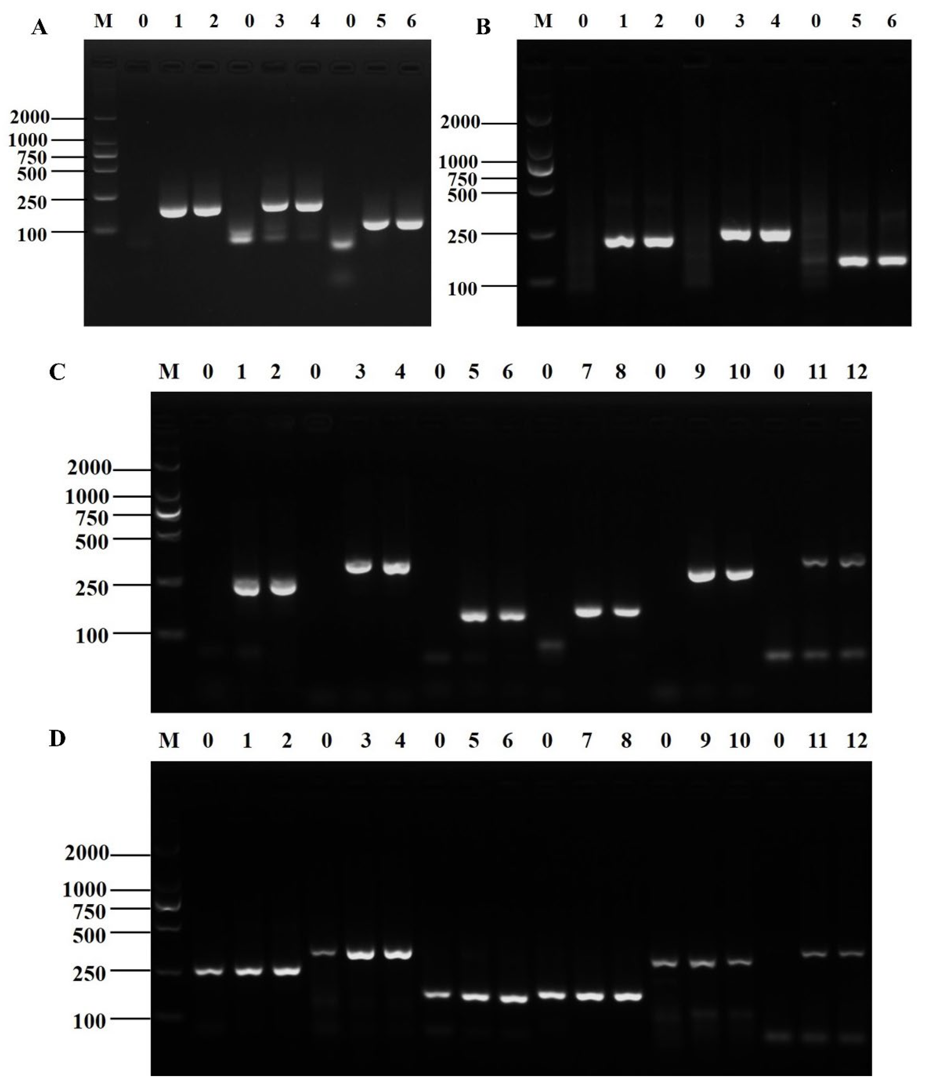
3.1. Primer Screening for Shigella and B. cereus
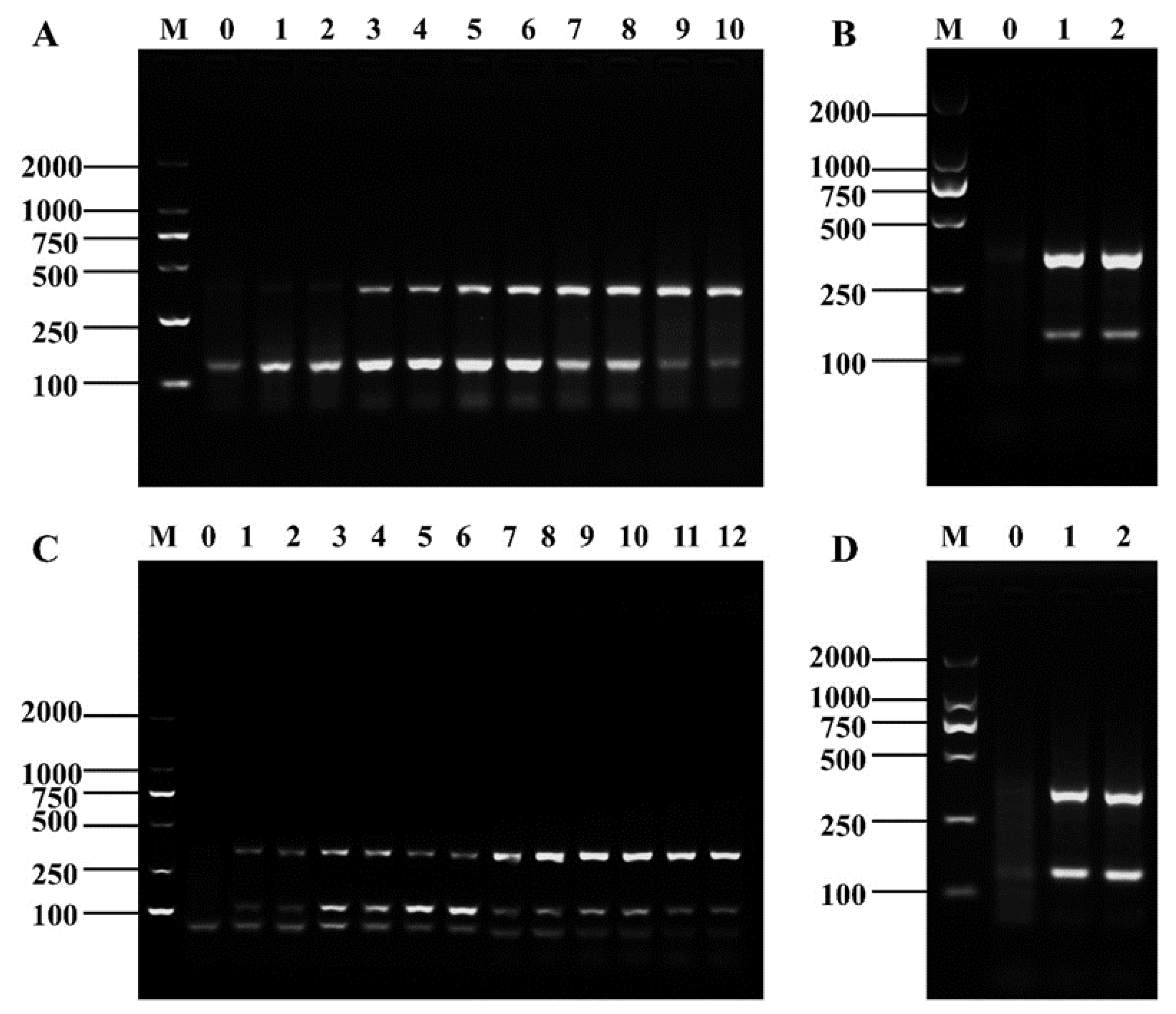
3.2. Establishment of D-RPA Reaction System for Shigella and B. cereus
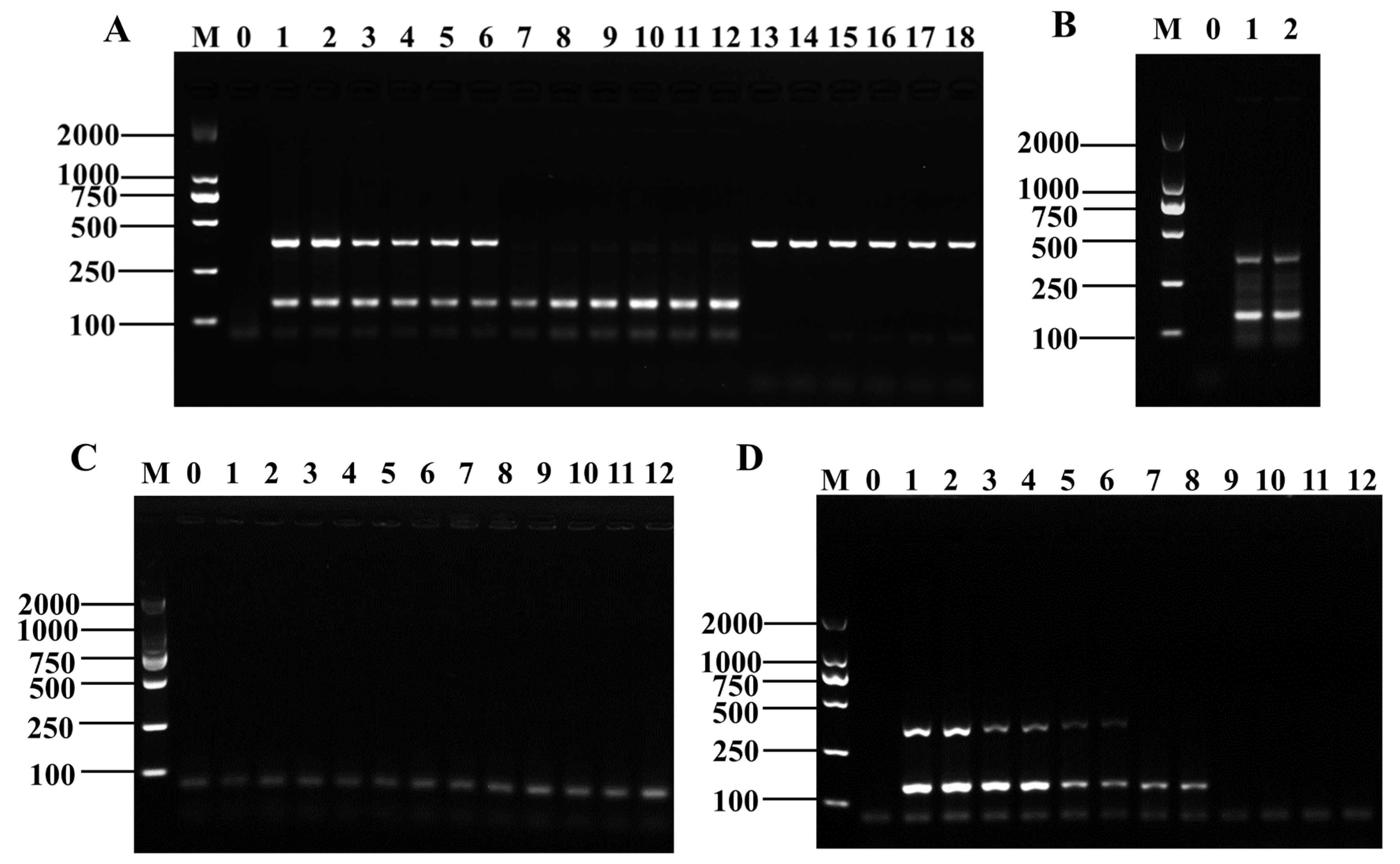
3.3. Optimization of D-RPA Reaction Conditions
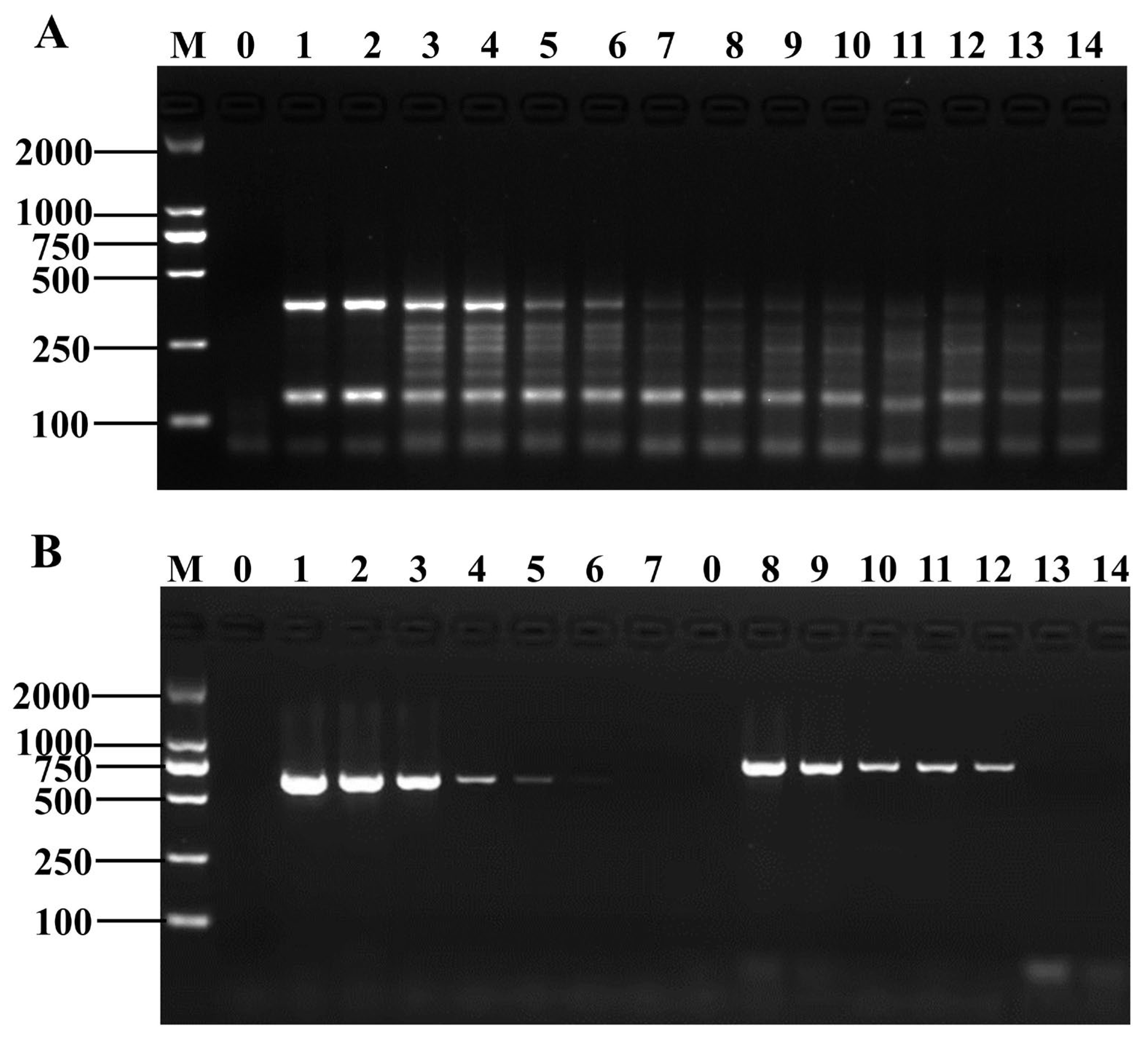
3.4. Specificity and Sensitivity of the Method
3.5. Application of D-RPA in Actual Sample Detection
4. Discussion
5. Conclusions
Supplementary Materials
Author Contributions
Funding
Data Availability Statement
Conflicts of Interest
References
- Ang, B.; Xu, X.; Liu, L.; Xu, L.; Kuang, H.; Xu, C. A colloidal gold immunochromatographic strip assay for the rapid detection of Shigella in milk and meat products. New J. Chem. 2021, 46, 103–109. [Google Scholar] [CrossRef]
- Lin, X.; Lai, W.; Zhang, L. Recent Advances in Detection of Shigella Species in Food. Food Sci. 2009, 30, 271–275. [Google Scholar]
- Kotloff, K.L.; Winickoff, J.P.; Ivanoff, B.; Clemens, J.D.; Swerdlow, D.L.; Sansonetti, P.J.; Adak, G.K.; Levine, M.M. Global burden of Shigella infections: Implications for vaccine development and implementation of control strategies. Bull. WHO 1999, 77, 651–666. [Google Scholar]
- Arnesen, L.P.S.; Fagerlund, A.; Granum, P.E. From soil to gut: Bacillus cereus and its food poisoning toxins. FEMS Microbiol. Rev. 2008, 32, 579–606. [Google Scholar] [CrossRef] [PubMed]
- Grutsch, A.A.; Nimmer, P.S.; Pittsley, R.H.; Kornilow, K.G.; McKillip, J.L. Molecular Pathogenesis of Bacillus spp., with Emphasis on the Dairy Industry. Fine Focus 2018, 4, 203–222. [Google Scholar] [CrossRef]
- Cao, F.; Wang, P.; Jiang, L.; Chen, Y. Advances in Methods for Bacillus cereus Typing. Food Sci. 2017, 38, 286–290. [Google Scholar]
- Zhang, Z.; Feng, L.; Xu, H.; Liu, C.; Shah, N.P.; Wei, H. Detection of viable enterotoxin-producing Bacillus cereus and analysis of toxigenicity from ready-to-eat foods and infant formula milk powder by multiplex PCR. J. Dairy Sci. 2016, 99, 1047–1055. [Google Scholar] [CrossRef] [PubMed]
- Cetin-Karaca, H.; Newman, M.C. Antimicrobial efficacy of phytochemicals against Bacillus cereus in reconstituted infant rice cereal. Food Microbiol. 2018, 69, 189–195. [Google Scholar] [CrossRef]
- RamaRao, N.; Tran, S.-L.; Marin, M.; Vidic, J. Advanced Methods for Detection of Bacillus cereus and Its Pathogenic Factors. Sensors 2020, 20, 2667. [Google Scholar] [CrossRef]
- Hu, J.; Wang, Y.; Su, H.; Ding, H.; Sun, X.; Gao, H.; Geng, Y.; Wang, Z. Rapid analysis of Escherichia coli O157:H7 using isothermal recombinase polymerase amplification combined with triple-labeled nucleotide probes. Mol. Cell. Probes 2020, 50, 101501. [Google Scholar] [CrossRef]
- Yao, L.; Lu, J.; Qu, M.; Jiang, Y.; Li, F.; Guo, Y.; Wang, L.; Zhai, Y. Methodology and application of PCR-RFLP for species identification in tuna sashimi. Food Sci. Nutr. 2020, 8, 3138–3146. [Google Scholar] [CrossRef] [PubMed]
- Kim, J.Y.; Lee, J.-L. Development of a multiplex real-time recombinase polymerase amplification (RPA) assay for rapid quantitative detection of Campylobacter coli and jejuni from eggs and chicken products. Food Control. 2017, 73, 1247–1255. [Google Scholar] [CrossRef]
- Liu, H.; Wang, J.; Zeng, H.; Liu, X.; Jiang, W.; Wang, Y.; Ouyang, W.; Tang, X. RPA-Cas12a-FS: A frontline nucleic acid rapid detection system for food safety based on CRISPR-Cas12a combined with recombinase polymerase amplification. Food Chem. 2021, 334, 127608. [Google Scholar] [CrossRef]
- Chang, C.-C.; Chen, C.-C.; Wei, S.-C.; Lu, H.-H.; Liang, Y.-H.; Lin, C.-W. Diagnostic Devices for Isothermal Nucleic Acid Amplification. Sensors 2012, 12, 8319–8337. [Google Scholar] [CrossRef] [PubMed]
- Crannell, Z.A.; Rohrman, B.; Richards-Kortum, R. Equipment-Free Incubation of Recombinase Polymerase Amplification Reactions Using Body Heat. PLoS ONE 2014, 9, e112146. [Google Scholar] [CrossRef]
- Deng, H.; Gao, Z. Bioanalytical applications of isothermal nucleic acid amplification techniques. Anal. Chim. Acta 2015, 853, 30–45. [Google Scholar] [CrossRef]
- Li, J.; Ma, B.; Fang, J.; Zhi, A.; Chen, E.; Xu, Y.; Yu, X.; Sun, C.; Zhang, M. Recombinase Polymerase Amplification (RPA) Combined with Lateral Flow Immunoassay for Rapid Detection of Salmonella in Food. Foods 2020, 9, 27. [Google Scholar] [CrossRef]
- Yang, X.; Zhang, X.; Wang, Y.; Shen, H.; Jiang, G.; Dong, J.; Zhao, P.; Gao, S. A Real-Time Recombinase Polymerase Amplification Method for Rapid Detection of Vibrio vulnificus in Seafood. Front. Microbiol. 2020, 11, 586981. [Google Scholar] [CrossRef]
- Du, X.-J.; Zang, Y.-X.; Liu, H.-B.; Li, P.; Wang, S. Rapid Detection of Staphylococcus aureus Via Recombinase Polymerase Amplification Combined with Lateral Flow Strip. Food Anal. Methods 2018, 11, 2296–2306. [Google Scholar] [CrossRef]
- Gao, W.; Huang, H.; Zhang, Y.; Zhu, P.; Yan, X.; Fan, J.; Chen, X. Recombinase Polymerase Amplification-Based Assay for Rapid Detection of Listeria monocytogenes in Food Samples. Food Anal. Methods 2017, 10, 1972–1981. [Google Scholar] [CrossRef]
- Choi, G.; Jung, J.H.; Park, B.H.; Oh, S.J.; Seo, J.H.; Choi, J.S.; Kim, D.H.; Seo, T.S. A centrifugal direct recombinase polymerase amplification (direct-RPA) microdevice for multiplex and real-time identification of food poisoning bacteria. Lab Chip 2016, 16, 2309–2316. [Google Scholar] [CrossRef]
- Ahn, H.; Batule, B.S.; Seok, Y.; Kim, M.-G. Single-Step Recombinase Polymerase Amplification Assay Based on a Paper Chip for Simultaneous Detection of Multiple Foodborne Pathogens. Anal. Chem. 2018, 90, 10211–10216. [Google Scholar] [CrossRef] [PubMed]
- Ma, B.; Li, J.; Chen, K.; Yu, X.; Sun, C.; Zhang, M. Multiplex Recombinase Polymerase Amplification Assay for the Simultaneous Detection of Three Foodborne Pathogens in Seafood. Foods 2020, 9, 278. [Google Scholar] [CrossRef]
- Li, K.; Luo, Y.; Huang, K.; Yang, Z.; Wan, Y.; Xu, W. Single universal primer recombinase polymerase amplification-based lateral flow biosensor (SUP-RPA-LFB) for multiplex detection of genetically modified maize. Anal. Chim. Acta 2020, 1127, 217–224. [Google Scholar] [CrossRef] [PubMed]
- Hu, J.; Wei, X.; Huang, R.; Sun, X.; Jing, J.; Gao, H.; Geng, Y.; Dong, C.; Jiang, C. Advance in RPA detection technologies of foodborne pathogenic bacteria. Sci. Technol. Food Ind. 2018, 39, 329–334. [Google Scholar]
- Frank, J.A.; Reich, C.I.; Sharma, S.; Weisbaum, J.S.; Wilson, B.A.; Olsen, G.J. Critical Evaluation of Two Primers Commonly Used for Amplification of Bacterial 16S rRNA Genes. Appl. Environ. Microbiol. 2008, 74, 2461–2470. [Google Scholar] [CrossRef]
- Ran, D.D.; Yu, X.-H.; Song, D.Z.; Jian, L.I. Advances in research on virulence-related factors in Shigella. J. Southwest Univ. Natl. (Nat. Sci. Ed.) 2012, 38, 390–395. [Google Scholar]
- Guinebretière, M.-H.; Broussolle, V.; Nguyen-The, C. Enterotoxigenic Profiles of Food-Poisoning and Food-Borne Bacillus cereus Strains. J. Clin. Microbiol. 2002, 40, 3053–3056. [Google Scholar] [CrossRef]
- General Administration of Quality Supervision, Inspection and Quarantine of the People’s Republic of China. Rapid Detection of Many Pathogenic Bacteria in Food PCR Method. Available online: https://hbba.sacinfo.org.cn/attachment/onlineRead/a904658c962953ee3986d2a1be3c08e1 (accessed on 6 March 2023).
- Hansen, B.M.; Hendriksen, N.B. Detection of enterotoxic Bacillus cereus and Bacillus thuringiensis strains by PCR analysis. Appl. Environ. Microbiol. 2001, 67, 185–189. [Google Scholar] [CrossRef]
- Bian, Z.; Liu, W.; Jin, J.; Hao, Y.; Jiang, L.; Xie, Y.; Zhang, H. Development of a recombinase polymerase amplification assay with lateral flow dipstick (RPA-LFD) for rapid detection of Shigella spp. and enteroinvasive Escherichia coli. PLoS ONE 2022, 17, e0278869. [Google Scholar] [CrossRef]
- Liu, L.; Nan, H.; Sun, X.; Jiang, Y.; Wang, J.; Wang, J. Development and Application of Real-Time Recombinase Polymerase Amplification Assay for Detection of Bacillus cereus in Food. J. Food Sci. Technol. 2018, 36, 89–94. [Google Scholar]
- Shi, Y.; Xu, C.; Yu, B.; Lu, Y.; Mei, L. Research Progress in Recombinase Polymerase Amplification(RPA). Chin. J. Virol. 2020, 36, 522–532. [Google Scholar]
- Cheng, N.; Song, Y.; Shi, Q.; Du, D.; Liu, D.; Luo, Y.; Xu, W.; Lin, Y. Au@Pd Nanopopcorn and Aptamer Nanoflower Assisted Lateral Flow Strip for Thermal Detection of Exosomes. Anal. Chem. 2019, 91, 13986–13993. [Google Scholar] [CrossRef]
- Wei, Y.; Li, L.; Liu, Y.; Xiang, S.; Zhang, H.; Yi, L.; Shang, Y.; Xu, W. Identification techniques and detection methods of edible fungi species. Food Chem. 2022, 374, 131803. [Google Scholar] [CrossRef] [PubMed]






| Species | ID of Strains |
|---|---|
| Shigella | CMCC[B] 51105 |
| 72 * | |
| 92 * | |
| Bacillus cereus | CMCC[B] 63303 |
| 121 * | |
| 124 * | |
| Escherichia coli O157:H7 | NCTC 12900 |
| Salmonella | CMCC[B] 50094 |
| Vibrio parahaemolyticus | ATCC 17802 |
| Enterobacter sakazakii | ATCC 29544 |
| Listeria monocytogenes | CMCC[B] 54002 |
| Staphylococcus aureus | CMCC[B] 26003 |
Disclaimer/Publisher’s Note: The statements, opinions and data contained in all publications are solely those of the individual author(s) and contributor(s) and not of MDPI and/or the editor(s). MDPI and/or the editor(s) disclaim responsibility for any injury to people or property resulting from any ideas, methods, instructions or products referred to in the content. |
© 2023 by the authors. Licensee MDPI, Basel, Switzerland. This article is an open access article distributed under the terms and conditions of the Creative Commons Attribution (CC BY) license (https://creativecommons.org/licenses/by/4.0/).
Share and Cite
Xiang, S.; Zhang, H.; Cha, X.; Lin, Y.; Shang, Y. A New Duplex Recombinase Polymerase Amplification (D-RPA) Method for the Simultaneous and Rapid Detection of Shigella and Bacillus cereus in Food. Foods 2023, 12, 1889. https://doi.org/10.3390/foods12091889
Xiang S, Zhang H, Cha X, Lin Y, Shang Y. A New Duplex Recombinase Polymerase Amplification (D-RPA) Method for the Simultaneous and Rapid Detection of Shigella and Bacillus cereus in Food. Foods. 2023; 12(9):1889. https://doi.org/10.3390/foods12091889
Chicago/Turabian StyleXiang, Shuna, Hanyue Zhang, Xiaoyan Cha, Yingting Lin, and Ying Shang. 2023. "A New Duplex Recombinase Polymerase Amplification (D-RPA) Method for the Simultaneous and Rapid Detection of Shigella and Bacillus cereus in Food" Foods 12, no. 9: 1889. https://doi.org/10.3390/foods12091889
APA StyleXiang, S., Zhang, H., Cha, X., Lin, Y., & Shang, Y. (2023). A New Duplex Recombinase Polymerase Amplification (D-RPA) Method for the Simultaneous and Rapid Detection of Shigella and Bacillus cereus in Food. Foods, 12(9), 1889. https://doi.org/10.3390/foods12091889
