Enhancing the Hydrolysis and Acyl Transfer Activity of Carboxylesterase DLFae4 by a Combinational Mutagenesis and In-Silico Method
Abstract
1. Introduction
2. Materials and Methods
2.1. Bacterial Strains, Plasmids, Enzymes, and Chemicals
2.2. Construction of Random Mutagenesis Library
2.3. Construction of Site-Directed Saturation Mutagenesis Library
2.4. Screening of Mutant Libraries
2.5. Expression and Purification of DLFae4 and Mutants
2.6. Characterization of DLFae4 and Mutants
2.7. Calculation of Enzyme Kinetic Parameters
2.8. Structural Modeling and Molecular Docking
2.9. Multiple Sequence Alignments of DLFae4
2.10. Identification and Characterization of the Acyltransferase Activity
2.11. Acylation of Cyanidin-3-O-Glucoside
2.12. Statistical Analysis
3. Results
3.1. Construction of Random Mutagenesis Library and Site-Saturation Mutagenesis Library and Screening
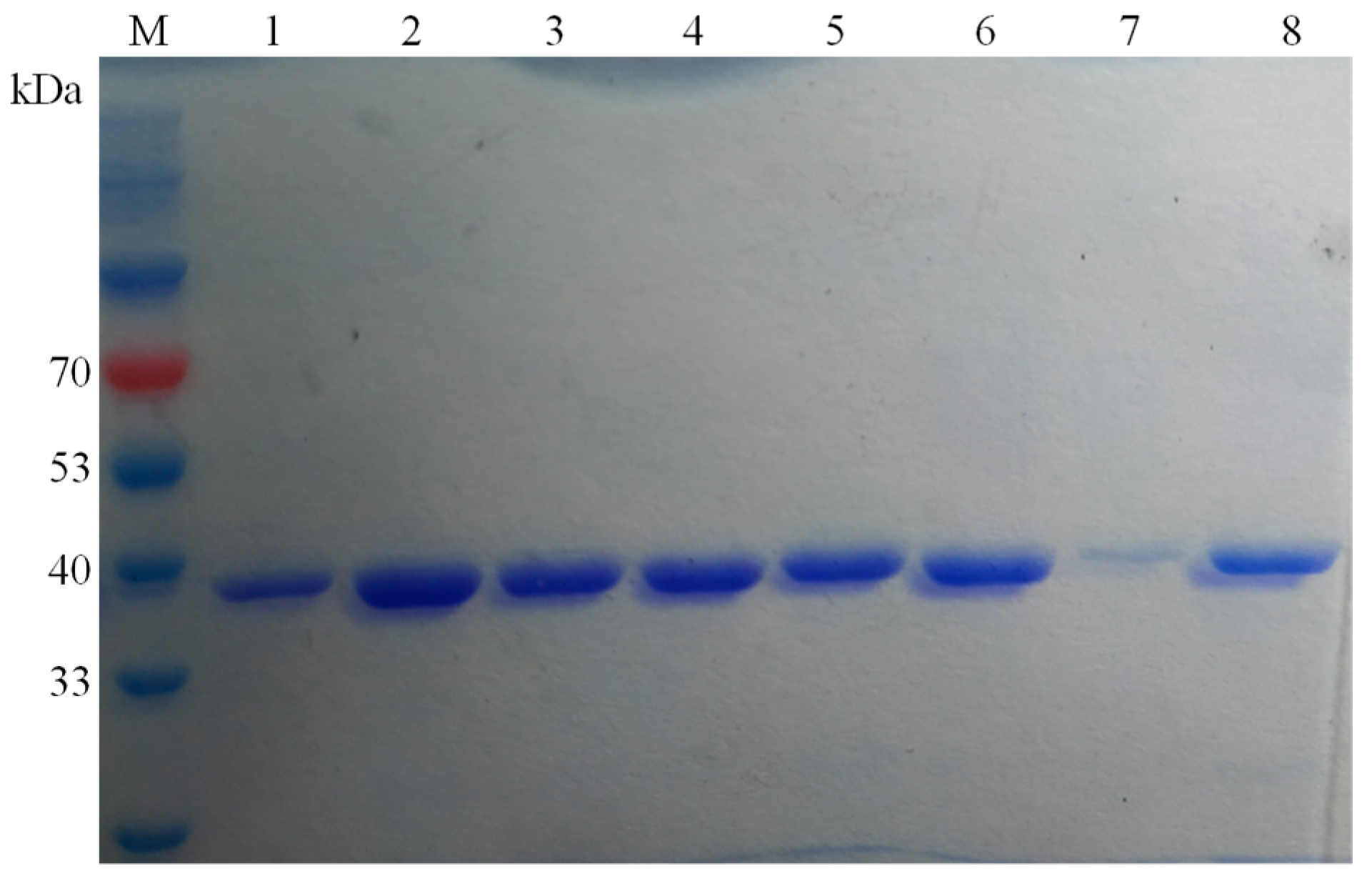
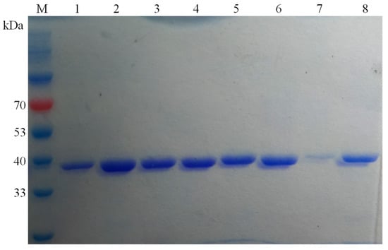
3.2. Expression and Purification of Recombinant Enzymes
3.3. Biochemical Characterization of DLFae4 and Variants
3.4. Enzymatic Kinetic Parameters of DLFae4 and Variants
3.5. Structural Modeling and Molecular Docking
3.6. Preliminary Identification of Acyltransferase Activity
3.7. Site-Directed Mutagenesis and Characterization of the Acyltransferase Activity
3.8. Acylation of Cyanidin-3-O-Glucoside
4. Discussion
5. Conclusions
Supplementary Materials
Author Contributions
Funding
Data Availability Statement
Conflicts of Interest
References
- Cha, S.-S.; An, Y.J. Crystal structure of EstSRT1, a family VIII carboxylesterase displaying hydrolytic activity toward oxyimino cephalosporins. Biochem. Biophys. Res. Commun. 2016, 478, 818–824. [Google Scholar] [CrossRef] [PubMed]
- Rashamuse, K.; Magomani, V.; Ronneburg, T.; Brady, D. A novel family VIII carboxylesterase derived from a leachate metagenome library exhibits promiscuous β-lactamase activity on nitrocefin. Appl. Microbiol. Biotechnol. 2009, 83, 491–500. [Google Scholar] [CrossRef]
- Kim, G.-J.; Choi, G.-S.; Kim, J.-Y.; Lee, J.-B.; Jo, D.-H.; Ryu, Y.-W. Screening, production and properties of a stereospecific esterase from Pseudomonas sp. S34 with high selectivity to (S)-ketoprofen ethyl ester. J. Mol. Catal. B Enzym. 2002, 17, 29–38. [Google Scholar] [CrossRef]
- Shen, D.; Xu, J.-H.; Wu, H.-Y.; Liu, Y.-Y. Significantly improved esterase activity of Trichosporon brassicae cells for ketoprofen resolution by 2-propanol treatment. J. Mol. Catal. B Enzym. 2002, 18, 219–224. [Google Scholar] [CrossRef]
- Gopalan, N.; Rodríguez-Duran, L.V.; Saucedo-Castaneda, G.; Nampoothiri, K.M. Review on technological and scientific aspects of feruloyl esterases: A versatile enzyme for biorefining of biomass. Bioresour. Technol. 2015, 193, 534–544. [Google Scholar] [CrossRef]
- Choi, Y.J.; Lee, B. Culture conditions for the production of esterase from Lactobacillus casei CL96. Bioprocess Biosyst. Eng. 2001, 24, 59–63. [Google Scholar] [CrossRef]
- Lai, O.-M.; Lee, Y.-Y.; Phuah, E.-T.; Akoh, C.C. Lipase/Esterase: Properties and Industrial Applications. In Encyclopedia of Food Chemistry; Melton, L., Shahidi, F., Varelis, P., Eds.; Academic Press: Oxford, UK, 2019; pp. 158–167. [Google Scholar]
- Martinez, C.A.; Hu, S.; Dumond, Y.; Tao, J.; Kelleher, P.; Tully, L. Development of a chemoenzymatic manufacturing process for pregabalin. Org. Process Res. Dev. 2008, 12, 392–398. [Google Scholar] [CrossRef]
- Bornscheuer, U.T.; Pohl, M. Improved biocatalysts by directed evolution and rational protein design. Curr. Opin. Chem. Biol. 2001, 5, 137–143. [Google Scholar] [CrossRef]
- Qiu, J.; Yang, H.; Shao, Y.; Li, L.; Sun, S.; Wang, L.; Tan, Y.; Xin, Z. Enhancing the activity and thermal stability of a phthalate-degrading hydrolase by random mutagenesis. Ecotoxicol. Environ. Saf. 2021, 209, 111795. [Google Scholar] [CrossRef]
- Nakatani, K.; Katano, Y.; Kojima, K.; Takita, T.; Yatsunami, R.; Nakamura, S.; Yasukawa, K. Increase in the thermostability of Bacillus sp. strain TAR-1 xylanase using a site saturation mutagenesis library. Biosci. Biotechnol. Biochem. 2018, 82, 1715–1723. [Google Scholar] [CrossRef] [PubMed]
- Reetz, M.T.; Bocola, M.; Carballeira, J.D.; Zha, D.; Vogel, A. Expanding the range of substrate acceptance of enzymes: Combinatorial active-site saturation test. Angew. Chem. Int. Ed. 2005, 44, 4192–4196. [Google Scholar] [CrossRef]
- Jo, C.; Kim, H.; Jo, S.A. Application of the recombination of β-Lactamase gene to PCR-Based site-directed mutagenesis. BioTechniques 2002, 33, 284–288. [Google Scholar] [CrossRef]
- Stemmer, W.P.C. Rapid evolution of a protein in vitro by DNA shuffling. Nature 1994, 370, 389–391. [Google Scholar] [CrossRef]
- Zhao, H.; Giver, L.; Shao, Z.; Affholter, J.A.; Arnold, F.H. Molecular evolution by staggered extension process (StEP) in vitro recombination. Nat. Biotechnol. 1998, 16, 258–261. [Google Scholar] [CrossRef]
- Basit, A.; Tajwar, R.; Sadaf, S.; Zhang, Y.; Akhtar, M.W. Improvement in activity of cellulase Cel12A of Thermotoga neapolitana by error prone PCR. J. Biotechnol. 2019, 306, 118–124. [Google Scholar] [CrossRef] [PubMed]
- Gao, X.; Xie, X.; Pashkov, I.; Sawaya, M.R.; Laidman, J.; Zhang, W.; Cacho, R.; Yeates, T.O.; Tang, Y. Directed evolution and structural characterization of a simvastatin synthase. Chem. Biol. 2009, 16, 1064–1074. [Google Scholar] [CrossRef]
- Müller, H.; Godehard, S.P.; Palm, G.J.; Berndt, L.; Badenhorst, C.P.S.; Becker, A.-K.; Lammers, M.; Bornscheuer, U.T. Discovery and design of family VIII carboxylesterases as highly efficient acyltransferases. Angew. Chem. Int. Ed. 2021, 60, 2013–2017. [Google Scholar] [CrossRef]
- Müller, J.; Sowa, M.A.; Dörr, M.; Bornscheuer, U.T. The acyltransferase activity of lipase CAL-A allows efficient fatty acid esters formation from plant oil even in an aqueous environment. Eur. J. Lipid Sci. Technol. 2015, 117, 1903–1907. [Google Scholar] [CrossRef]
- Mathews, I.; Soltis, M.; Saldajeno, M.; Ganshaw, G.; Sala, R.; Weyler, W.; Cervin, M.A.; Whited, G.; Bott, R. Structure of a novel enzyme that catalyzes acyl transfer to alcohols in aqueous conditions. Biochemistry 2007, 46, 8969–8979. [Google Scholar] [CrossRef] [PubMed]
- Elend, C.; Schmeisser, C.; Leggewie, C.; Babiak, P.; Carballeira, J.D.; Steele, H.L.; Reymond, J.L.; Jaeger, K.E.; Streit, W.R. Isolation and biochemical characterization of two novel metagenome-derived esterases. Appl. Environ. Microbiol. 2006, 72, 3637–3645. [Google Scholar] [CrossRef]
- Nan, F.; Jiang, J.; Wu, S.; Zhang, Y.; Qiu, J.; Qiao, B.; Li, S.; Xin, Z. A novel VIII carboxylesterase with high hydrolytic activity against ampicillin from a soil metagenomic library. Mol. Biotechnol. 2019, 61, 892–904. [Google Scholar] [CrossRef] [PubMed]
- Cheng, F.; Sheng, J.; Cai, T.; Jin, J.; Liu, W.; Lin, Y.; Du, Y.; Zhang, M.; Shen, L. A protease-insensitive feruloyl esterase from China holstein cow rumen metagenomic library: Expression, characterization, and utilization in ferulic acid release from wheat straw. J. Agric. Food Chem. 2012, 60, 2546–2553. [Google Scholar] [CrossRef] [PubMed]
- Li, X.; Guo, J.; Hu, Y.; Yang, Y.; Jiang, J.; Nan, F.; Wu, S.; Xin, Z. Identification of a novel feruloyl esterase by functional screening of a soil metagenomic library. Appl. Biochem. Biotechnol. 2019, 187, 424–437. [Google Scholar] [CrossRef]
- Sumbalova, L.; Stourac, J.; Martinek, T.; Bednar, D.; Damborsky, J. HotSpot Wizard 3.0: Web server for automated design of mutations and smart libraries based on sequence input information. Nucleic Acids Res. 2018, 46, W356–W362. [Google Scholar] [CrossRef] [PubMed]
- Jumper, J.; Evans, R.; Pritzel, A.; Green, T.; Figurnov, M.; Ronneberger, O.; Tunyasuvunakool, K.; Bates, R.; Žídek, A.; Potapenko, A.; et al. Highly accurate protein structure prediction with AlphaFold. Nature 2021, 596, 583–589. [Google Scholar] [CrossRef]
- Tunyasuvunakool, K.; Adler, J.; Wu, Z.; Green, T.; Zielinski, M.; Žídek, A.; Bridgland, A.; Cowie, A.; Meyer, C.; Laydon, A.; et al. Highly accurate protein structure prediction for the human proteome. Nature 2021, 596, 590–596. [Google Scholar] [CrossRef]
- Ruenroengklin, N.; Yang, B.; Lin, H.; Chen, F.; Jiang, Y. Degradation of anthocyanin from litchi fruit pericarp by H2O2 and hydroxyl radical. Food Chem. 2009, 116, 995–998. [Google Scholar] [CrossRef]
- Yang, W.; Kortesniemi, M.; Ma, X.; Zheng, J.; Yang, B. Enzymatic acylation of blackcurrant (Ribes nigrum) anthocyanins and evaluation of lipophilic properties and antioxidant capacity of derivatives. Food Chem. 2019, 281, 189–196. [Google Scholar] [CrossRef] [PubMed]
- Verma, S.; Mehta, R.K.; Maiti, P.; Röhm, K.-H.; Sonawane, A. Improvement of stability and enzymatic activity by site-directed mutagenesis of E. coli asparaginase II. Biochim. Et Biophys. Acta (BBA)—Proteins Proteom. 2014, 1844, 1219–1230. [Google Scholar] [CrossRef]
- Ben Mabrouk, S.; Zouari Ayadi, D.; Ben Hlima, H.; Bejar, S. Thermostability improvement of maltogenic amylase MAUS149 by error prone PCR. J. Biotechnol. 2013, 168, 601–606. [Google Scholar] [CrossRef] [PubMed]
- Liu, Y.H.; Hu, B.; Xu, Y.J.; Bo, J.X.; Fan, S.; Wang, J.L.; Lu, F.P. Improvement of the acid stability of Bacillus licheniformis alpha amylase by error-prone PCR. J. Appl. Microbiol. 2012, 113, 541–549. [Google Scholar] [CrossRef] [PubMed]
- Cerullo, G.; Varriale, S.; Bozonnet, S.; Antonopoulou, I.; Christakopoulos, P.; Rova, U.; Gherbovet, O.; Fauré, R.; Piechot, A.; Jütten, P.; et al. Directed evolution of the type C feruloyl esterase from Fusarium oxysporum FoFaeC and molecular docking analysis of its improved variants. New Biotechnol. 2019, 51, 14–20. [Google Scholar] [CrossRef]
- Zheng, L.; Baumann, U.; Reymond, J.-L. An efficient one-step site-directed and site-saturation mutagenesis protocol. Nucleic Acids Res. 2004, 32, e115. [Google Scholar] [CrossRef]
- Zhang, H.; Wen, B.; Liu, Y.; Du, G.; Wei, X.; Imam, K.M.S.U.; Zhou, H.; Fan, S.; Wang, F.; Wang, Y.; et al. A reverse catalytic triad Asp containing loop shaping a wide substrate binding pocket of a feruloyl esterase from Lactobacillus plantarum. Int. J. Biol. Macromol. 2021, 184, 92–100. [Google Scholar] [CrossRef] [PubMed]
- Liu, S.; Soomro, L.; Wei, X.; Yuan, X.; Gu, T.; Li, Z.; Wang, Y.; Bao, Y.; Wang, F.; Wen, B.; et al. Directed evolution of feruloyl esterase from Lactobacillus acidophilus and its application for ferulic acid production. Bioresour. Technol. 2021, 332, 124967. [Google Scholar] [CrossRef] [PubMed]
- Lima, A.H.; Lameira, J.; Alves, C.N. Protein–ligand interaction of T. cruzi trans-sialidase inhibitors: A docking and QM/MM MD study. Struct. Chem. 2012, 23, 147–152. [Google Scholar] [CrossRef]
- Reisky, L.; Srinivasamurthy, V.S.T.; Badenhorst, C.P.S.; Godehard, S.P.; Bornscheuer, U.T. A novel high-throughput assay enables the direct identification of acyltransferases. Catalysts 2019, 9, 64. [Google Scholar] [CrossRef]
- Neugnot, V.; Moulin, G.; Dubreucq, E.; Bigey, F. The lipase/acyltransferase from Candida parapsilosis. Eur. J. Biochem. 2002, 269, 1734–1745. [Google Scholar] [CrossRef]
- Müller, H.; Becker, A.-K.; Palm, G.J.; Berndt, L.; Badenhorst, C.P.S.; Godehard, S.P.; Reisky, L.; Lammers, M.; Bornscheuer, U.T. Sequence-based prediction of promiscuous acyltransferase activity in hydrolases. Angew. Chem. Int. Ed. 2020, 59, 11607–11612. [Google Scholar] [CrossRef]
- Godehard, S.P.; Badenhorst, C.P.S.; Müller, H.; Bornscheuer, U.T. Protein engineering for enhanced acyltransferase activity, substrate scope, and selectivity of the Mycobacterium smegmatis Acyltransferase MsAcT. ACS Catal. 2020, 10, 7552–7562. [Google Scholar] [CrossRef]






| Enzyme | Specific Activity (U/mg) | Km (mM) | Kcat (S−1) | Kcat/Km (Mm−1 s−1) |
|---|---|---|---|---|
| DLFae4 | 123.78 ± 3.23 | 0.23 ± 0.012 | 79.01 ± 2.06 | 343 |
| DLFae4-m1 | 150.13 ± 2.05 | 0.086 ± 0.011 | 37.27 ± 1.02 | 429 |
| DLFae4-m2 | 168.03 ± 1.19 | 0.051 ± 0.013 | 60.24 ± 0.46 | 1172 |
| DLFae4-m3 | 132.33 ± 2.24 | 0.069 ± 0.008 | 46.95 ± 1.23 | 675 |
| DLFae4-m4 | 191.44 ± 0.78 | 0.047 ± 0.010 | 77.36 ± 0.06 | 1612 |
| DLFae4-m5 | 270.97 ± 0.95 | 0.037 ± 0.002 | 79.10 ± 0.07 | 2089 |
| Enzyme | Acyl Doner | AT in U/mg | Hydrolysis in U/mg | AT:H |
|---|---|---|---|---|
| DLFae4 | pNP-C2 | 1550.796 ± 53.98 | 91.135 ± 7.57 | 17.016 |
| pNP-C4 | 232.218 ± 18.93 | 71.009 ± 3.21 | 3.270 | |
| pNP-C6 | 175.146 ± 10.32 | 14.763 ± 1.09 | 11.864 | |
| pNP-C8 | 0.171 ± 0.012 | 0.496 ± 0.01 | 0.3448 | |
| DLFae4 (A341G) | pNP-C2 | 5823.172 ± 221.87 | 44.314 ± 2.38 | 131.407 |
| pNP-C4 | 408.194 ± 33.86 | 38.897 ± 2.21 | 10.494 | |
| pNP-C6 | 279.415 ± 18.93 | 10.799 ± 0.97 | 25.874 | |
| pNP-C8 | 0.0888 ± 0.01 | 0.713 ± 0.01 | 0.1245 |
Disclaimer/Publisher’s Note: The statements, opinions and data contained in all publications are solely those of the individual author(s) and contributor(s) and not of MDPI and/or the editor(s). MDPI and/or the editor(s) disclaim responsibility for any injury to people or property resulting from any ideas, methods, instructions or products referred to in the content. |
© 2023 by the authors. Licensee MDPI, Basel, Switzerland. This article is an open access article distributed under the terms and conditions of the Creative Commons Attribution (CC BY) license (https://creativecommons.org/licenses/by/4.0/).
Share and Cite
Li, L.; Ding, L.; Shao, Y.; Sun, S.; Wang, M.; Xiang, J.; Zhou, J.; Wu, G.; Song, Z.; Xin, Z. Enhancing the Hydrolysis and Acyl Transfer Activity of Carboxylesterase DLFae4 by a Combinational Mutagenesis and In-Silico Method. Foods 2023, 12, 1169. https://doi.org/10.3390/foods12061169
Li L, Ding L, Shao Y, Sun S, Wang M, Xiang J, Zhou J, Wu G, Song Z, Xin Z. Enhancing the Hydrolysis and Acyl Transfer Activity of Carboxylesterase DLFae4 by a Combinational Mutagenesis and In-Silico Method. Foods. 2023; 12(6):1169. https://doi.org/10.3390/foods12061169
Chicago/Turabian StyleLi, Longxiang, Liping Ding, Yuting Shao, Shengwei Sun, Mengxi Wang, Jiahui Xiang, Jingjie Zhou, Guojun Wu, Zhe Song, and Zhihong Xin. 2023. "Enhancing the Hydrolysis and Acyl Transfer Activity of Carboxylesterase DLFae4 by a Combinational Mutagenesis and In-Silico Method" Foods 12, no. 6: 1169. https://doi.org/10.3390/foods12061169
APA StyleLi, L., Ding, L., Shao, Y., Sun, S., Wang, M., Xiang, J., Zhou, J., Wu, G., Song, Z., & Xin, Z. (2023). Enhancing the Hydrolysis and Acyl Transfer Activity of Carboxylesterase DLFae4 by a Combinational Mutagenesis and In-Silico Method. Foods, 12(6), 1169. https://doi.org/10.3390/foods12061169

