Preparation, Identification and Preliminary Application of the Fenvalerate Monoclonal Antibody in Six Kinds of Dark Tea
Abstract
1. Introduction
2. Materials and Methods
2.1. Chemicals
2.2. Synthesis and Identification of Fenvalerate Haptens
2.3. Synthesis of Immunogens
2.3.1. MA Method
2.3.2. EDC Method
2.4. Synthesis of Coating Antigen
2.4.1. MA Method
2.4.2. EDC Method
2.5. Identification of the Complete Antigen of Fenvalerate
2.6. Preparation and Evaluation of Anti-Fenvalerate Monoclonal Antibody (McAb)
2.7. Application of Fenvalerate Enzyme-Linked Immunosorbent Assay
2.8. Preparation and Evaluation of Fenvalerate Immunochromatographic Strip
2.9. Statistical Analysis
3. Results
3.1. Identification of Fenvalerate Hapten and Complete Antigen
3.2. Animal Immunity and Screening of the Positive Cell
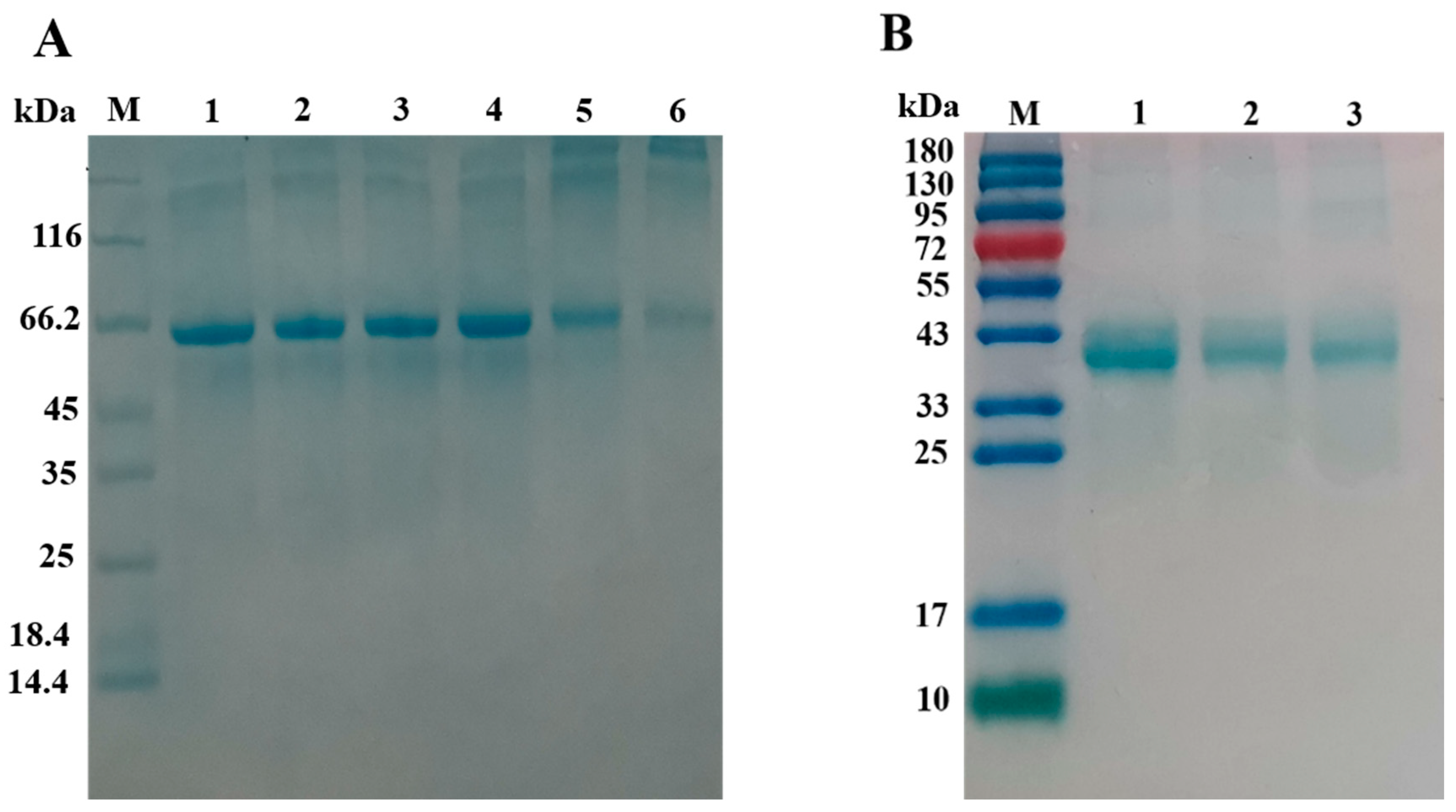
3.3. Characterization of McAb against Fenvalerate
3.4. Application of McAb in the Fenvalerate Detection of Dark Tea
3.5. Sensitivity Evaluation of the Latex Microsphere Immunochromatographic Test Strip
4. Discussion
5. Conclusions
Supplementary Materials
Author Contributions
Funding
Institutional Review Board Statement
Informed Consent Statement
Data Availability Statement
Acknowledgments
Conflicts of Interest
References
- Miao, S.; Wei, Y.; Chen, J.; Wei, X. Extraction Methods, Physiological Activities and High Value Applications of Tea Residue and Its Active Components: A Review. Crit. Rev. Food Sci. Nutr. 2022, 1–19. [Google Scholar] [CrossRef] [PubMed]
- Wei, Y.; Xu, J.; Miao, S.; Wei, K.; Peng, L.; Wang, Y.; Wei, X. Recent Advances in the Utilization of Tea Active Ingredients to Regulate Sleep through Neuroendocrine Pathway, Immune System and Intestinal Microbiota. Crit. Rev. Food Sci. Nutr. 2022, 1–29. [Google Scholar] [CrossRef] [PubMed]
- Huang, Y.; Wei, Y.; Xu, J.; Wei, X. A Comprehensive Review on the Prevention and Regulation of Alzheimer’s Disease by Tea and Its Active Ingredients. Crit. Rev. Food Sci. Nutr. 2022, 1–25. [Google Scholar] [CrossRef] [PubMed]
- Zhu, J.; Wu, M.; Zhou, H.; Cheng, L.; Wei, X.; Wang, Y. Liubao Brick Tea Activates the PI3K-Akt Signaling Pathway to Lower Blood Glucose, Metabolic Disorders and Insulin Resistance via Altering the Intestinal Flora. Food Res. Int. 2021, 148, 110594. [Google Scholar] [CrossRef] [PubMed]
- Sanaeifar, A.; Li, X.; He, Y.; Huang, Z.; Zhan, Z. A Data Fusion Approach on Confocal Raman Microspectroscopy and Electronic Nose for Quantitative Evaluation of Pesticide Residue in Tea. Biosyst. Eng. 2021, 210, 206–222. [Google Scholar] [CrossRef]
- Wei, G.; Huang, J.; Yang, J. The Impacts of Food Safety Standards on China’s Tea Exports. China Econ. Rev. 2012, 23, 253–264. [Google Scholar] [CrossRef]
- Crombie, L.; Elliott, M. Chemistry of the Natural Pyrethrins. Fortschritte der Chemie Org. Naturstoffe. Prog. Chem. Org. Nat. Prod. Progrès Dans La Chim. Des Subst. Org. Nat. 1961, 19, 120–164. [Google Scholar] [CrossRef]
- Ohno, N.; Fujimoto, K.; Okuno, Y.; Mizutani, T.; Hirano, M.; Itaya, N.; Honda, T.; Yoshioka, H. 2-Arylalkanoates, a New Group of Synthetic Pyrethroid Esters Not Containing Cyclopropanecarboxylates. Pestic. Sci. 1976, 7, 241–246. [Google Scholar] [CrossRef]
- World Health Organization (WHO). Environmental Health Criteria for Fenvalerate; World Health Organization: Geneva, Switzerland, 1990; pp. 67–74. [Google Scholar]
- Bhattacharya, M.; Kaviraj, A. Toxicity of the Pyrethroid Pesticide Fenvalerate to Freshwater Catfish Clarias Gariepinus: Lethality, Biochemical Effects and Role of Dietary Ascorbic Acid. J. Environ. Sci. Health—Part B Pestic. Food Contam. Agric. Wastes 2009, 44, 578–583. [Google Scholar] [CrossRef] [PubMed]
- Liu, J.; Zhang, Q.; Zhang, W.; Ding, X.; Hu, X.; Zhao, F.; Li, P. Development of a Fluorescence-Linked Immunoassay Based on Quantum Dots for Fenvalerate. Food Agric. Immunol. 2014, 25, 82–93. [Google Scholar] [CrossRef]
- Ravula, A.R.; Yenugu, S. Pyrethroid Based Pesticides—Chemical and Biological Aspects. Crit. Rev. Toxicol. 2021, 51, 117–140. [Google Scholar] [CrossRef] [PubMed]
- Zhang, H.; Wang, H.; Ji, Y.L.; Ning, H.; Yu, T.; Zhang, C.; Zhang, Y.; Zhao, X.F.; Wang, Q.; Liu, P.; et al. Lactational Fenvalerate Exposure Permanently Impairs Testicular Development and Spermatogenesis in Mice. Toxicol. Lett. 2009, 191, 47–56. [Google Scholar] [CrossRef] [PubMed]
- Moniz, A.C.; Cruz-Casallas, P.E.; Salzgeber, S.A.; Varoli, F.M.F.; Spinosa, H.S.; Bernardi, M.M. Behavioral and Endocrine Changes Induced by Perinatal Fenvalerate Exposure in Female Rats. Neurotoxicol. Teratol. 2005, 27, 609–614. [Google Scholar] [CrossRef]
- Cabral, J.R.P.; Galendo, D. Carcinogenicity Study of the Pesticide Fenvalerate in Mice. Cancer Lett. 1990, 49, 13–18. [Google Scholar] [CrossRef] [PubMed]
- Zhang, L.; Zheng, Y.; Shao, H.; Xiao, M.; Sun, J.; Jin, M.; Jin, F.; Wang, J.; Abd El-Aty, A.M.; She, Y. Development of a Time-Resolved Fluorescence Microsphere Eu Lateral Flow Test Strip Based on a Molecularly Imprinted Electrospun Nanofiber Membrane for Determination of Fenvalerate in Vegetables. Front. Nutr. 2022, 9, 957745. [Google Scholar] [CrossRef] [PubMed]
- Zhu, X.; Hua, R.; Zhang, D.; Wu, X.; Wang, Y.; Xue, J. A Polyurethane-Based Thin Film for Solid Phase Microextraction of Pyrethroid Insecticides. Microchim. Acta 2019, 186, 596. [Google Scholar] [CrossRef]
- Gupta, S.; Sharma, K.K.; Handa, S.K. Fourier Transform Infrared Spectroscopic Determination of Fenvalerate in Emulsifiable Concentrate Formulation. J. AOAC Int. 1996, 79, 596. [Google Scholar] [CrossRef]
- Gruenke, N.L.; Cardinal, M.F.; McAnally, M.O.; Frontiera, R.R.; Schatz, G.C.; Van Duyne, R.P. Ultrafast and Nonlinear Surface-Enhanced Raman Spectroscopy. Chem. Soc. Rev. 2016, 45, 2263–2290. [Google Scholar] [CrossRef]
- Zang, D.; Yan, M.; Zhao, P.; Ge, L.; Liu, S.; Yu, J. A Novel High Selectivity Chemiluminescence Sensor for Fenvalerate Based on Double-Sided Hollow Molecularly Imprinted Materials. Analyst 2012, 137, 4247–4253. [Google Scholar] [CrossRef]
- Han, W.; Gao, L.; Li, X.; Wang, L.; Yan, Y.; Che, G.; Hu, B.; Lin, X.; Song, M. A Fluorescent Molecularly Imprinted Polymer Sensor Synthesized by Atom Transfer Radical Precipitation Polymerization for Determination of Ultra Trace Fenvalerate in the Environment. RSC Adv. 2016, 6, 81346–81353. [Google Scholar] [CrossRef]
- Gong, J.L.; Gong, F.C.; Kuang, Y.; Zeng, G.M.; Shen, G.L.; Yu, R.Q. Capacitive Chemical Sensor for Fenvalerate Assay Based on Electropolymerized Molecularly Imprinted Polymer as the Sensitive Layer. Anal. Bioanal. Chem. 2004, 379, 302–307. [Google Scholar] [CrossRef] [PubMed]
- Watanabe, E.; Miyake, S.; Yogo, Y. Review of Enzyme-Linked Immunosorbent Assays (ELISAs) for Analyses of Neonicotinoid Insecticides in Agro-Environments. J. Agric. Food Chem. 2013, 61, 12459–12472. [Google Scholar] [CrossRef] [PubMed]
- Shan, G.; Lipton, C.; Gee, S.J.; Hammock, B.D. Immunoassay, Biosensors and Other Nonchromatographic Methods. Handb. Residue Anal. Methods Agrochem. 2002, 2, 623–679. [Google Scholar]
- Song, Y.; Lu, Y.; Liu, B.; Xu, N.; Wang, S. A Sensitivity-Improved Enzyme-Linked Immunosorbent Assay for Fenvalerate: A New Approach for Hapten Synthesis and Application to Tea Samples. J. Sci. Food Agric. 2011, 91, 2210–2216. [Google Scholar] [CrossRef] [PubMed]
- Pu, X.Y.; Feng, M.G.; Shi, C.H. Impact of Three Application Methods on the Field Efficacy of a Beauveria bassiana-Based Mycoinsecticide against the False-Eye Leafhopper, Empoasca Vitis (Homoptera: Cicadellidae) in the Tea Canopy. Crop Prot. 2005, 24, 167–175. [Google Scholar] [CrossRef]
- Zhu, P.; Miao, H.; Du, J.; Zou, J.H.; Zhang, G.W.; Zhao, Y.F.; Wu, Y.N. Organochlorine pesticides and pyrethroids in Chinese tea by screening and confirmatory detection using GC-NCI-MS and GC-MS/MS. J. Agric. Food Chem. 2014, 62, 7092–7100. [Google Scholar] [CrossRef] [PubMed]
- Jiang, J.; Zhang, D.; Zhang, W.; Wang, X.; Kong, Y.; Zhang, Q.; Li, P. Preparation, Identification, and Preliminary Application of Monoclonal Antibody against Pyrethroid Insecticide Fenvalerate. Anal. Lett. 2010, 43, 2773–2789. [Google Scholar] [CrossRef]
- Barranco Martínez, D.; Parrilla Vázquez, P.; Martínez Galera, M.; Gil García, M.D. Determination of Pyrethroid Insecticides in Vegetables with Liquid Chromatography Using Detection by Electrospray Mass Spectrometry. Chromatographia 2006, 63, 487–491. [Google Scholar] [CrossRef]
- Xu, N.; Xu, L.; Ma, W.; Kuang, H.; Xu, C. Development and Characterisation of an Ultrasensitive Monoclonal Antibody for Chloramphenicol. Food Agric. Immunol. 2015, 26, 440–450. [Google Scholar] [CrossRef]
- Yaghoubi, S.; Gharibi, T.; Karimi, M.H.; Sadeqi Nezhad, M.; Seifalian, A.; Tavakkol, R.; Bagheri, N.; Dezhkam, A.; Abdollahpour-Alitappeh, M. Development and Biological Assessment of MMAE-Trastuzumab Antibody–Drug Conjugates (ADCs). Breast Cancer 2021, 28, 216–225. [Google Scholar] [CrossRef]
- Köhler, G.; Milstein, C. Cultivos Continuos de Células Fusionadas Que Secretan Anticuerpos de Especificidad Predefinida. Nature 1975, 256, 495–497. [Google Scholar] [CrossRef] [PubMed]
- Xiang, J.; Zhai, Y.; Tang, Y.; Wang, H.; Liu, B.; Guo, C. wei A Competitive Indirect Enzyme-Linked Immunoassay for Lead Ion Measurement Using MAbs against the Lead-DTPA Complex. Environ. Pollut. 2010, 158, 1376–1380. [Google Scholar] [CrossRef] [PubMed]
- Liu, X.; Yang, J.; Li, Q.; Wang, Y.; Wang, Y.; Li, G.; Shi, J.; Ding, P.; Guo, J.; Deng, R.; et al. A Strip Test for the Optical Determination of Influenza Virus H3 Subtype Using Gold Nanoparticle Coated Polystyrene Latex Microspheres. Microchim. Acta 2020, 187, 6–12. [Google Scholar] [CrossRef] [PubMed]
- Xu, N.; Zhu, Q.; Zhu, J.; Jia, J.; Wei, X.; Wang, Y. Novel Latex Microsphere Immunochromatographic Assay for Rapid Detection of Cadmium Ion in Asparagus. Foods 2022, 11, 78. [Google Scholar] [CrossRef] [PubMed]
- Watanabe, H.; Satake, A.; Kido, Y.; Tsuji, A. Production of Monoclonal Antibody and Development of Enzyme-Linked Immunosorbent Assay for Kanamycin in Biological Matrices. Analyst 1999, 124, 1611–1615. [Google Scholar] [CrossRef]
- Singh, P. Lidocaine Antigens and Antibodies. U.S. Patent US4069105A, 17 January 1978. Available online: http://www.google.com/patents/US4069105 (accessed on 1 January 2023).
- Lin, F.J.; Wei, X.L.; Liu, H.Y.; Li, H.; Xia, Y.; Wu, D.T.; Zhang, P.Z.; Gandhi, G.R.; Li, H.B.; Gan, R.Y. State-of-the-Art Review of Dark Tea: From Chemistry to Health Benefits. Trends Food Sci. Technol. 2021, 109, 126–138. [Google Scholar] [CrossRef]
- Ma, W.; Shi, Y.; Yang, G.; Shi, J.; Ji, J.; Zhang, Y.; Wang, J.; Peng, Q.; Lin, Z.; Lv, H. Hypolipidaemic and Antioxidant Effects of Various Chinese Dark Tea Extracts Obtained from the Same Raw Material and Their Main Chemical Components. Food Chem. 2022, 375, 131877. [Google Scholar] [CrossRef]
- Velmurugan, B.; Senthilkumaar, P.; Karthikeyan, S. Toxicity Impact of Fenvalerate on the Gill Tissue of Oreochromis Mossambicus with Respect to Biochemical Changes Utilizing FTIR and Principal Component Analysis. J. Biol. Phys. 2018, 44, 301–315. [Google Scholar] [CrossRef] [PubMed]
- Li, H.; Wang, Y.; Li, Y.; Zhang, J.; Qiao, Y.; Wang, Q.; Che, G. Fabrication of Pollutant-Resistance SERS Imprinted Sensors Based on SiO2@TiO2@Ag Composites for Selective Detection of Pyrethroids in Water. J. Phys. Chem. Solids 2020, 138, 109254. [Google Scholar] [CrossRef]
- Wang, M.; Kang, H.; Xu, D.; Wang, C.; Liu, S.; Hu, X. Label-Free Impedimetric Immunosensor for Sensitive Detection of Fenvalerate in Tea. Food Chem. 2013, 141, 84–90. [Google Scholar] [CrossRef]
- Lu, Y.; Xu, N.; Zhang, Y.; Liu, B.; Song, Y.; Wang, S. Development of General Immunoassays for Pyrethroids: A New Approach for Hapten Synthesis Using Pyrethroid Metabolite Analogue and Application to Food Samples. Food Agric. Immunol. 2010, 21, 27–45. [Google Scholar] [CrossRef]
- Zhao, L.; Wang, S.; Huang, Y. Antioxidant Function of Tea Dregs Protein Hydrolysates in Liposome-Meat System and Its Possible Action Mechanism. Int. J. Food Sci. Technol. 2014, 49, 2299–2306. [Google Scholar] [CrossRef]
- Papadopoulou-Mourkidou, E. Direct Analysis of Fenvalerate Isomers by Liquid Chromatography. Application to Formulation and Residue Analysis of Fenvalerate. Chromatographia 1985, 20, 376–378. [Google Scholar] [CrossRef]
- Wang, J.; Yu, G.; Sheng, W.; Shi, M.; Guo, B.; Wang, S. Development of an Enzyme-Linked Immunosorbent Assay Based a Monoclonal Antibody for the Detection of Pyrethroids with Phenoxybenzene Multiresidue in River Water. J. Agric. Food Chem. 2011, 59, 2997–3003. [Google Scholar] [CrossRef] [PubMed]








| Hybridoma Cells | Ka (L/mol) | IC50 (ng/mL) | LOD (ng/mL) | LDR (ng/mL) |
|---|---|---|---|---|
| 1B6 | 2.247 × 109 | 36.6 | 6.87 | 12.74–105.17 |
| 2A11 | 1.94 × 108 | 24.29 | 2.6 | 5.93–99.45 |
| 5G2 | 4.52 × 10 | 21.65 | 4.96 | 8.55–54.85 |
| McAb Numberi | 1B6 | 2A11 | 5G2 | |||
|---|---|---|---|---|---|---|
| Pyrethroid Pesticide | IC50 ng/mL | CR% | IC50 ng/mL | CR% | IC50 ng/mL | CR% |
| Fenvalerate | 36.6 | 100% | 24.29 | 100 | 21.65 | 100 |
| Deltamethrin | >10,000 | <0.54 | >10,000 | <0.595 | >10,000 | <0.605 |
| Permethrin | >10,000 | <0.54 | >10,000 | <0.595 | >10,000 | <0.605 |
| Cypermethrin | >10,000 | <0.54 | >10,000 | <0.595 | >10,000 | <0.605 |
| Bifenthrin | >10,000 | <0.54 | >10,000 | <0.595 | >10,000 | <0.605 |
| Fenpropathrin | >10,000 | <0.54 | >10,000 | <0.595 | >10,000 | <0.605 |
| Flumethrin | >10,000 | <0.54 | >10,000 | <0.595 | >10,000 | <0.605 |
| Lambda-cyhalothrin | >10,000 | <0.54 | >10,000 | <0.595 | >10,000 | <0.605 |
| D-Phenothrin | >10,000 | <0.54 | >10,000 | <0.595 | >10,000 | <0.605 |
| Cyfluthrin | >10,000 | <0.54 | >10,000 | <0.595 | >10,000 | <0.605 |
| Tea Samples | Spiked (ng/mL) | Measured (ng/mL) | Recovery (%) | CV (%) |
|---|---|---|---|---|
| Pu‘er tea (n = 3) | 25 | 19.2 | 76.8 | 8.2 |
| 50 | 45.1 | 90.2 | 8.5 | |
| 100 | 99.8 | 99.8 | 7.9 | |
| Fu Brick tea (n = 3) | 25 | 21.1 | 84.4 | 9.4 |
| 50 | 48.3 | 96.6 | 8.7 | |
| 100 | 97.5 | 97.5 | 9.0 | |
| Qingzhuan tea (n = 3) | 25 | 21.8 | 87.2 | 8.9 |
| 50 | 44.8 | 89.6 | 9.1 | |
| 100 | 98.5 | 98.5 | 8.6 | |
| Liupao tea (n = 3) | 25 | 22.2 | 88.8 | 7.7 |
| 50 | 46.5 | 93 | 8.0 | |
| 100 | 96.7 | 96.7 | 8.4 | |
| Enshi dark tea (n = 3) | 25 | 18.3 | 73.2 | 9.8 |
| 50 | 47.2 | 94.4 | 9.2 | |
| 100 | 96.8 | 96.8 | 6.8 | |
| Selenium-enriched Enshi dark tea (n = 3) | 25 | 18.6 | 74.4 | 7.8 |
| 50 | 47.9 | 95.8 | 6.9 | |
| 100 | 99.3 | 99.3 | 6.5 |
Disclaimer/Publisher’s Note: The statements, opinions and data contained in all publications are solely those of the individual author(s) and contributor(s) and not of MDPI and/or the editor(s). MDPI and/or the editor(s) disclaim responsibility for any injury to people or property resulting from any ideas, methods, instructions or products referred to in the content. |
© 2023 by the authors. Licensee MDPI, Basel, Switzerland. This article is an open access article distributed under the terms and conditions of the Creative Commons Attribution (CC BY) license (https://creativecommons.org/licenses/by/4.0/).
Share and Cite
Wei, K.; Yang, Q.; Wei, Y.; Wang, Y.; Xu, N.; Wei, X. Preparation, Identification and Preliminary Application of the Fenvalerate Monoclonal Antibody in Six Kinds of Dark Tea. Foods 2023, 12, 1091. https://doi.org/10.3390/foods12051091
Wei K, Yang Q, Wei Y, Wang Y, Xu N, Wei X. Preparation, Identification and Preliminary Application of the Fenvalerate Monoclonal Antibody in Six Kinds of Dark Tea. Foods. 2023; 12(5):1091. https://doi.org/10.3390/foods12051091
Chicago/Turabian StyleWei, Kang, Qihui Yang, Yang Wei, Yuanfeng Wang, Naifeng Xu, and Xinlin Wei. 2023. "Preparation, Identification and Preliminary Application of the Fenvalerate Monoclonal Antibody in Six Kinds of Dark Tea" Foods 12, no. 5: 1091. https://doi.org/10.3390/foods12051091
APA StyleWei, K., Yang, Q., Wei, Y., Wang, Y., Xu, N., & Wei, X. (2023). Preparation, Identification and Preliminary Application of the Fenvalerate Monoclonal Antibody in Six Kinds of Dark Tea. Foods, 12(5), 1091. https://doi.org/10.3390/foods12051091

