The Effects of Malonaldehyde on Quality Characteristics and Protein Oxidation of Coregonus peled (Coregonuspeled) during Storage
Abstract
1. Introduction
2. Materials and Methods
2.1. Materials
2.2. Determination of the MDA Content
2.3. Determination of pH
2.4. Drip Loss
2.5. Texture Profile
2.6. Myofibril Fragmentation Index (MFI)
2.7. SEM Measurement
2.8. Myofibrillar Protein (MP) Extraction
2.9. Carbonyl Content
2.10. Fourier-Transformed Infrared Spectroscopy (FTIR)
2.11. Protein Solubility Measurement
2.12. Sodium Dodecyl Sulfate Polyacrylamide Gel Electrophoresis (SDS-PAGE)
2.13. Statistical Analysis
3. Results and Discussion
3.1. MDA Content
3.2. pH
3.3. Drip Loss
3.4. Texture
3.5. Myofibril Fragmentation Index (MFI)
3.6. Microstructure
3.7. Carbonyl Content
3.8. Secondary Structure
3.9. Solubility
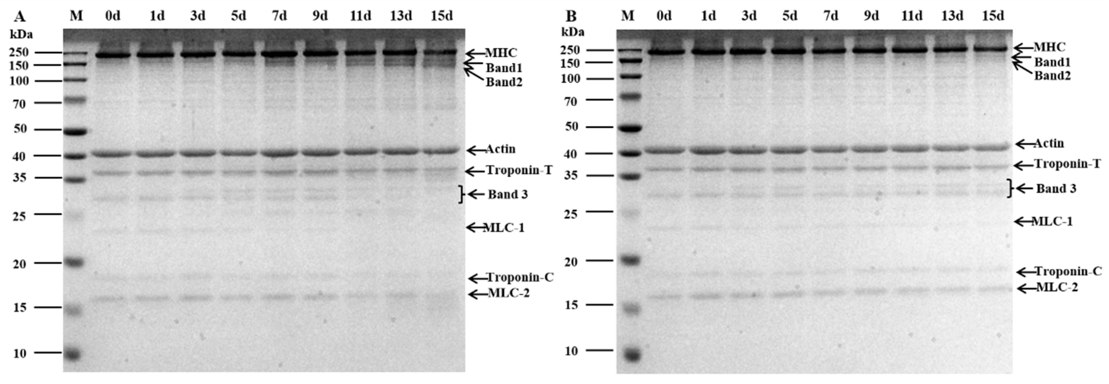
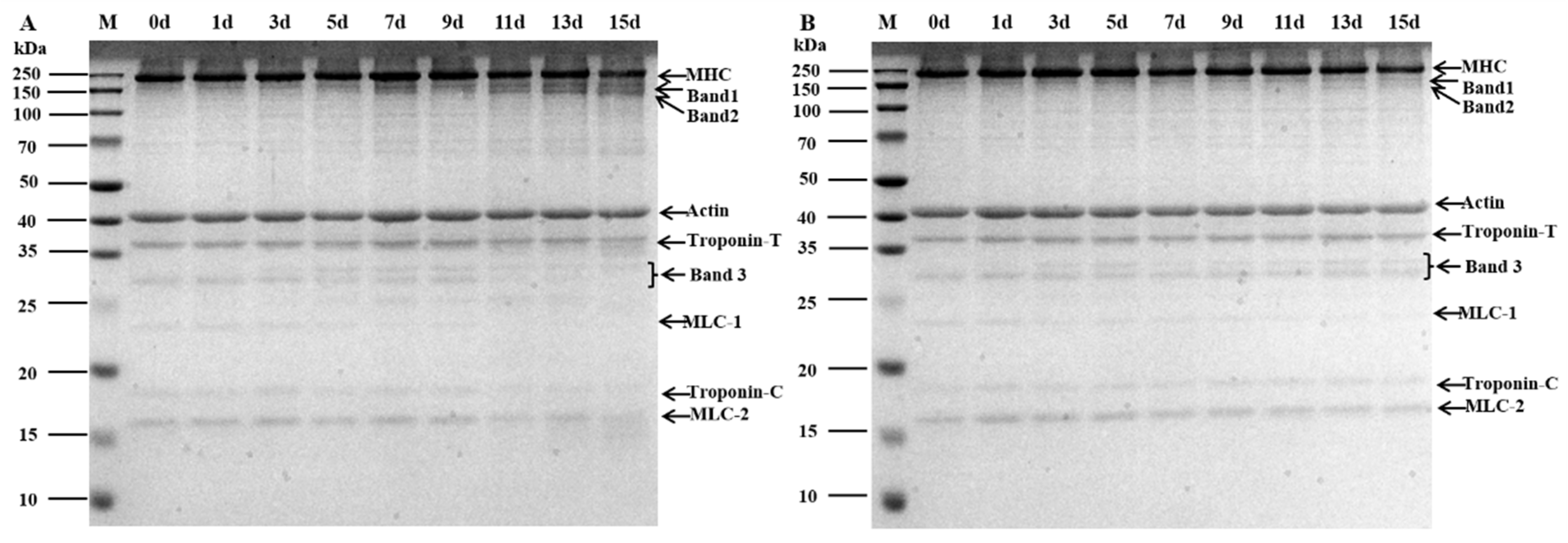
3.10. SDS-PAGE
3.11. Correlation Analysis of the MDA Content with Other Indicators
4. Conclusions
Supplementary Materials
Author Contributions
Funding
Data Availability Statement
Conflicts of Interest
References
- Park, K.J.; Lee, J.-S.; Jo, H.J.; Kim, E.S.; Lee, H.G. Antimicrobial and indicator properties of edible film containing clove bud oil-loaded chitosan capsules and red cabbage for fish preservation. Int. J. Biol. Macromol. 2022, 196, 163–171. [Google Scholar] [CrossRef] [PubMed]
- Park, D.H.; Lee, S.; Byeon, Y.M.; Kim, E.J.; Choi, M.-J. Effect of supercooling storage applied with stepwise algorithm for fishes (salmon and olive flounder) and its freshness during extended storage. Food Biosci. 2022, 49, 101950. [Google Scholar] [CrossRef]
- Gong, T.; Chen, B.; Hu, C.Y.; Guo, Y.R.; Shen, Y.H.; Meng, Y.H. Resveratrol inhibits lipid and protein co-oxidation in sodium caseinate-walnut oil emulsions by reinforcing oil-water interface. Food Res. Int. 2022, 158, 111541. [Google Scholar] [CrossRef] [PubMed]
- Liu, Y.; Yang, Y.; Li, B.; Lan, Q.; Zhao, X.; Wang, Y.; Pei, H.; Huang, X.; Deng, L.; Li, J.; et al. Effects of lipids with different oxidation levels on protein degradation and biogenic amines formation in Sichuan-style sausages. LWT 2022, 161, 113344. [Google Scholar] [CrossRef]
- Liao, G.; Zhang, H.; Jiang, Y.; Javed, M.; Xiong, S.; Liu, Y. Effect of lipoxygenase-catalyzed linoleic acid oxidation on structural and rheological properties of silver carp (Hypophthalmichthys molitrix) myofibrillar protein. LWT 2022, 161, 113388. [Google Scholar] [CrossRef]
- Wang, L.; Zhang, M.; Bhandari, B.; Gao, Z. Effects of malondialdehyde-induced protein modification on water functionality and physicochemical state of fish myofibrillar protein gel. Food Res. Int. 2016, 86, 131–139. [Google Scholar] [CrossRef]
- Deng, X.; Lei, Y.; Yu, Y.; Lu, S.; Zhang, J. The Discovery of Proteins Associated with Freshness of Coregonus Peled Muscle During Refrigerated Storage. J. Food Sci. 2019, 84, 1266–1272. [Google Scholar] [CrossRef]
- Zhang, Z.; Liu, P.; Deng, X.; Guo, X.; Mao, X.; Guo, X.; Zhang, J. Effects of hydroxyl radical oxidation on myofibrillar protein and its susceptibility to μ-calpain proteolysis. LWT 2021, 137, 110453. [Google Scholar] [CrossRef]
- Jung, S.; Nam, K.C.; Jo, C. Detection of malondialdehyde in processed meat products without interference from the ingredients. Food Chem. 2016, 209, 90–94. [Google Scholar] [CrossRef]
- Mu, G.; Bergsson, A.B.; Jonsson, A.; Thorarinsdottir, K.A. The effects of ambient temperature and holding time during processing on drip of saithe (Pollachius virens) and deepwater redfish (Sebastes mentella) fillets. J. Food Eng. 2017, 200, 40–46. [Google Scholar] [CrossRef]
- Qiu, H.; Guo, X.; Deng, X.; Guo, X.; Mao, X.; Xu, C.; Zhang, J. The influence of endogenous cathepsin in different subcellular fractions on the quality deterioration of Northern pike (Esox lucius) fillets during refrigeration and partial freezing storage. Food Sci. Biotechnol. 2020, 29, 1331–1341. [Google Scholar] [CrossRef] [PubMed]
- Liu, J.; Yang, F.; Gao, P.; Yu, D.; Yu, P.; Jiang, Q.; Xu, Y.; Xia, W. The impact of crucial protein degradation in intramuscular connective tissue on softening of ice-stored grass carp (Ctenopharyngodon idella) fillets. Int. J. Food Sci. Technol. 2021, 56, 3527–3535. [Google Scholar] [CrossRef]
- Chen, G.; Wang, S.; Feng, B.; Jiang, B.; Miao, M. Interaction between soybean protein and tea polyphenols under high pressure. Food Chem. 2019, 277, 632–638. [Google Scholar] [CrossRef] [PubMed]
- Wang, N.; Hu, L.; Guo, X.; Zhao, Y.; Deng, X.; Lei, Y.; Zhang, L.; Zhang, J. Effects of malondialdehyde on the protein oxidation and protein degradation of Coregonus Peled myofibrillar protein. J. Food Meas. Charact. 2022, 16, 3459–3468. [Google Scholar] [CrossRef]
- Oliver, C.N.; Ahn, B.W.; Moerman, E.J.; Goldstein, S.; Stadtman, E.R. Age-related changes in oxidized proteins. J. Biol. Chem. 1987, 262, 5488–5491. [Google Scholar] [CrossRef]
- Kang, D.-C.; Zou, Y.-H.; Cheng, Y.-P.; Xing, L.-J.; Zhou, G.-H.; Zhang, W.-G. Effects of power ultrasound on oxidation and structure of beef proteins during curing processing. Ultrason Sonochem. 2016, 33, 47–53. [Google Scholar] [CrossRef]
- Chen, X.; Xiong, Y.L.; Xu, X. High-pressure homogenization combined with sulfhydryl blockage by hydrogen peroxide enhance the thermal stability of chicken breast myofibrillar protein aqueous solution. Food Chem. 2019, 285, 31–38. [Google Scholar] [CrossRef]
- He, F. Laemmli-sds-page. Bio-Protocol 2011, 11, e80. [Google Scholar] [CrossRef]
- Zhang, Q.; Jia, S.; Bai, Y.; Zhou, X.; Ding, Y. Formation mechanisms of reactive carbonyl species from fatty acids in dry-cured fish during storage in the presence of free radicals. J. Funct. Foods. 2021, 1, 203–210. [Google Scholar] [CrossRef]
- Wang, D.; Zhang, M.; Deng, S.; Xu, W.; Liu, Y.; Geng, Z.; Sun, C.; Bian, H.; Liu, F. Postmortem changes in actomyosin dissociation, myofibril fragmentation and endogenous enzyme activities of grass carp (Ctenopharyngodon idellus) muscle. Food Chem. 2016, 197, 340–344. [Google Scholar] [CrossRef]
- Moradi, M.; Tajik, H.; Almasi, H.; Forough, M.; Ezati, P. A novel pH-sensing indicator based on bacterial cellulose nanofibers and black carrot anthocyanins for monitoring fish freshness. Carbohydr. Polym. 2019, 222, 115030. [Google Scholar] [CrossRef] [PubMed]
- Li, D.; Jia, S.; Zhang, L.; Li, Q.; Pan, J.; Zhu, B.; Prinyawiwatkul, W.; Luo, Y. Post-thawing quality changes of common carp (Cyprinus carpio) cubes treated by high voltage electrostatic field (HVEF) during chilled storage. Innov. Food Sci. Emerg. Technol. 2017, 42, 25–32. [Google Scholar] [CrossRef]
- Li, X.; Tu, Z.; Sha, X.; Li, Z.; Li, J.; Huang, M. Effect of coating on flavor metabolism of fish under different storage temperatures. Food Chem. X 2022, 13, 100256. [Google Scholar] [CrossRef] [PubMed]
- Feng, X.; Ng, V.K.; Miks-Krajnik, M.; Yang, H. Effects of Fish Gelatin and Tea Polyphenol Coating on the Spoilage and Degradation of Myofibril in Fish Fillet During Cold Storage. Food Bioproc. Tech. 2017, 10, 89–102. [Google Scholar] [CrossRef]
- Wang, L.-L.; Han, L.; Ma, X.-L.; Yu, Q.-L.; Zhao, S.-N. Effect of mitochondrial apoptotic activation through the mitochondrial membrane permeability transition pore on yak meat tenderness during postmortem aging. Food Chem. 2017, 234, 323–331. [Google Scholar] [CrossRef]
- Jiang, Q.; Yang, F.; Jia, S.; Yu, D.; Gao, P.; Xu, Y.; Xia, W. The role of endogenous proteases in degrading grass carp (Ctenopharyngodon idella) myofibrillar structural proteins during ice storage. LWT 2021, 154, 112743. [Google Scholar] [CrossRef]
- Zhuang, S.; Liu, Y.; Gao, S.; Tan, Y.; Hong, H.; Luo, Y. Mechanisms of fish protein degradation caused by grass carp spoilage bacteria: A bottom-up exploration from the molecular level, muscle microstructure level, to related quality changes. Food Chem. 2023, 403, 134309. [Google Scholar] [CrossRef]
- Jiang, Q.; Nakazawa, N.; Hu, Y.; Wang, X.; Osako, K.; Okazaki, E. Evolution of tissue microstructure, protein properties, and oxidative stability of salted bigeye tuna (Thunnus obesus) meat during frozen storage. LWT 2021, 149, 111848. [Google Scholar] [CrossRef]
- Zhang, M.; Li, F.; Diao, X.; Kong, B.; Xia, X.J.M.B. Moisture migration, microstructure damage and protein structure changes in porcine longissimus muscle as influenced by multiple freeze-thaw cycles. Meat Sci. 2017, 133, 10–18. [Google Scholar] [CrossRef]
- Wang, Z.; He, Z.; Emara, A.M.; Gan, X.; Li, H. Effects of malondialdehyde as a byproduct of lipid oxidation on protein oxidation in rabbit meat. Food Chem. 2019, 288, 405–412. [Google Scholar] [CrossRef]
- Xu, Y.-T.; Liu, L.-L. Structural and Functional Properties of Soy Protein Isolates Modified by Soy Soluble Polysaccharides. J. Agric. Food Chem. 2016, 64, 7275–7284. [Google Scholar] [CrossRef]
- Liu, S.; Zhao, P.; Zhang, J.; Xu, Q.; Ding, Y.; Liu, J. Physicochemical and functional properties of silver carp (Hypophthalmichthys molitrix) myofibrillar protein glycated with konjac oligo-glucomannan. Food Hydrocoll. 2017, 67, 216–223. [Google Scholar] [CrossRef]
- Martinez, M.A.; Velazquez, G.; Cando, D.; Nunez-Flores, R.; Borderias, A.J.; Moreno, H.M. Effects of high pressure processing on protein fractions of blue crab (Callinectes sapidus) meat. Innov. Food Sci. Emerg. Technol. 2017, 41, 323–329. [Google Scholar] [CrossRef]
- Zhang, C.; Li, X.-A.; Wang, H.; Xia, X.; Kong, B. Ultrasound-assisted immersion freezing reduces the structure and gel property deterioration of myofibrillar protein from chicken breast. Ultrason Sonochem. 2020, 67, 105137. [Google Scholar] [CrossRef]
- Du, X.; Li, H.; Pan, N.; Wan, W.; Sun, F.; Xia, X.; Shao, M.; Wang, C. Effectiveness of ice structuring protein on the myofibrillar protein from mirror carp (Cyprinus carpio L.) during cryopreservation: Reduction of aggregation and improvement of emulsifying properties. Int. J. Refrig. 2022, 133, 1–8. [Google Scholar] [CrossRef]
- Zhang, B.; Fang, C.-D.; Hao, G.-J.; Zhang, Y.-Y. Effect of kappa-carrageenan oligosaccharides on myofibrillar protein oxidation in peeled shrimp (Litopenaeus vannamei) during long-term frozen storage. Food Chem. 2018, 245, 254–261. [Google Scholar] [CrossRef]
- Ge, L.; Xu, Y.; Xia, W.; Jiang, Q. Synergistic action of cathepsin B, L, D and. calpain in disassembly and degradation of myofibrillar protein of grass carp. Food Res. Int. 2018, 109, 481–488. [Google Scholar] [CrossRef]
- Offer, G.; Trinick, J. On the mechanism of water holding in meat: The swelling and shrinking of myofibrils. Meat Sci. 1983, 8, 245–281. [Google Scholar] [CrossRef]
- Janero, D.R. Malondialdehyde and thiobarbituric acid-reactivity as diagnostic indices of lipid peroxidation and peroxidative tissue injury. Free Radic. Biol. Med. 1990, 9, 515–540. [Google Scholar] [CrossRef]
- Wazir, H.; Chay, S.Y.; Zarei, M.; Hussin, F.S.; Mustapha, N.A.; Ibadullah, W.Z.W.; Saari, N. Effects of Storage Time and Temperature on Lipid Oxidation and Protein Co-Oxidation of Low-Moisture Shredded Meat Products. Antioxidants 2019, 8, 486. [Google Scholar] [CrossRef]






| Time | Hardness (g) | t | Springiness | t | ||
|---|---|---|---|---|---|---|
| d | 4 °C | −3 °C | 4 °C | −3 °C | ||
| 0 | 1119.7 ± 39.3 i | 1119.7 ± 39.3 i | ns | 0.92 ± 0.06 i | 0.92 ± 0.06 i | ns |
| 1 | 1067.9 ± 10.0 h | 992.3 ± 55.9 h | ns | 0.89 ± 0.04 h | 0.87 ± 0.16 h | ns |
| 3 | 965.3 ± 10.0 g | 913.8 ± 3.3 g | ** | 0.86 ± 0.05 g | 0.82 ± 0.06 g | ** |
| 5 | 734.9 ± 7.2 f | 817.3 ± 21.6 f | ** | 0.83 ± 0.10 f | 0.79 ± 0.07 f | ** |
| 7 | 608.6 ± 6.4 e | 762.2 ± 34.7 e | ** | 0.75 ± 0.12 e | 0.76 ± 0.01 e | ns |
| 9 | 545.4 ± 2.4 d | 656.9 ± 11.7 d | ** | 0.69 ± 0.07 d | 0.71 ± 0.01 d | ns |
| 11 | 464.4 ± 10.2 c | 570.6 ± 22.2 c | ** | 0.62 ± 0.07 c | 0.66 ± 0.09 c | ** |
| 13 | 418.1 ± 6.4 b | 464.8 ± 9.9 b | ** | 0.51 ± 0.16 b | 0.60 ± 0.01 b | ** |
| 15 | 355.9 ± 3.3 a | 377.8 ± 8.4 a | * | 0.47 ± 0.15 a | 0.56 ± 0.02 a | ** |
| Time (d) | α-Helix (%) | β-Sheet (%) | β-Turn (%) | Random Coil (%) |
|---|---|---|---|---|
| 0 | 35.41 ± 0.04 a | 19.50 ± 0.02 a | 30.11 ± 0.03 c | 14.98 ± 0.01 e |
| 1 | 34.03 ± 0.03 b | 21.42 ± 0.02 c | 30.34 ± 0.04 d | 14.21 ± 0.02 de |
| 3 | 33.54 ± 0.02 c | 21.33 ± 0.02 b | 31.05 ± 0.03 g | 14.08 ± 0.02 d |
| 5 | 32.57 ± 0.03 d | 21.97 ± 0.02 d | 30.90 ± 0.03 f | 14.56 ± 0.02 h |
| 7 | 31.90 ± 0.01 e | 22.87 ± 0.03 f | 30.50 ± 0.01 e | 15.54 ± 0.03 g |
| 9 | 31.49 ± 0.03 f | 22.71 ± 0.02 e | 31.19 ± 0.02 h | 14.61 ± 0.02 f |
| 11 | 31.09 ± 0.03 g | 22.82 ± 0.02 f | 30.97 ± 0.07 f | 15.12 ± 0.05 c |
| 13 | 31.00 ± 0.03 h | 23.77 ± 0.02 g | 29.91 ± 0.02 b | 15.32 ± 0.02 b |
| 15 | 30.99 ± 0.07 h | 24.05 ± 0.05 h | 29.45 ± 0.02 a | 15.51 ± 0.01 a |
| Time (d) | α-Helix (%) | β-Sheet (%) | β-Turn (%) | Random Coil (%) |
|---|---|---|---|---|
| 0 | 35.41 ± 0.04 a | 19.50 ± 0.03 a | 30.11 ± 0.04 b | 14.98 ± 0.01 g |
| 1 | 34.34 ± 0.02 b | 19.44 ± 0.01 a | 30.94 ± 0.01 f | 15.28 ± 0.02 h |
| 3 | 33.45 ± 0.02 c | 20.03 ± 0.03 b | 32.41 ± 0.03 i | 14.11 ± 0.01 b |
| 5 | 33.43 ± 0.04 d | 21.10 ± 0.01 c | 31.27 ± 0.03 g | 14.20 ± 0.03 c |
| 7 | 33.04 ± 0.05 e | 22.67 ± 0.03 e | 29.82 ± 0.04 a | 14.47 ± 0.05 e |
| 9 | 32.43 ± 0.04 f | 22.41 ± 0.07 d | 30.87 ± 0.05 e | 14.34 ± 0.04 d |
| 11 | 32.29 ± 0.02 g | 22.61 ± 0.03 e | 30.55 ± 0.01 c | 14.55 ± 0.03 e |
| 13 | 31.52 ± 0.03 h | 23.18 ± 0.02 f | 31.35 ± 0.01 h | 13.95 ± 0.02 a |
| 15 | 31.09 ± 0.04 i | 23.73 ± 0.03 f | 30.75 ± 0.06 d | 14.43 ± 0.04 f |
Disclaimer/Publisher’s Note: The statements, opinions and data contained in all publications are solely those of the individual author(s) and contributor(s) and not of MDPI and/or the editor(s). MDPI and/or the editor(s) disclaim responsibility for any injury to people or property resulting from any ideas, methods, instructions or products referred to in the content. |
© 2023 by the authors. Licensee MDPI, Basel, Switzerland. This article is an open access article distributed under the terms and conditions of the Creative Commons Attribution (CC BY) license (https://creativecommons.org/licenses/by/4.0/).
Share and Cite
Guo, X.; Wang, N.; Wei, Y.; Liu, P.; Deng, X.; Lei, Y.; Zhang, J. The Effects of Malonaldehyde on Quality Characteristics and Protein Oxidation of Coregonus peled (Coregonuspeled) during Storage. Foods 2023, 12, 716. https://doi.org/10.3390/foods12040716
Guo X, Wang N, Wei Y, Liu P, Deng X, Lei Y, Zhang J. The Effects of Malonaldehyde on Quality Characteristics and Protein Oxidation of Coregonus peled (Coregonuspeled) during Storage. Foods. 2023; 12(4):716. https://doi.org/10.3390/foods12040716
Chicago/Turabian StyleGuo, Xin, Na Wang, Yabo Wei, Pingping Liu, Xiaorong Deng, Yongdong Lei, and Jian Zhang. 2023. "The Effects of Malonaldehyde on Quality Characteristics and Protein Oxidation of Coregonus peled (Coregonuspeled) during Storage" Foods 12, no. 4: 716. https://doi.org/10.3390/foods12040716
APA StyleGuo, X., Wang, N., Wei, Y., Liu, P., Deng, X., Lei, Y., & Zhang, J. (2023). The Effects of Malonaldehyde on Quality Characteristics and Protein Oxidation of Coregonus peled (Coregonuspeled) during Storage. Foods, 12(4), 716. https://doi.org/10.3390/foods12040716

