Effects of Low-Molecular-Weight Glutenin Subunit Encoded by Glu-A3 on Gluten and Chinese Fresh Noodle Quality
Abstract
:1. Introduction
2. Materials and Methods
2.1. Plant Materials
2.2. Identification of Gluten Composition
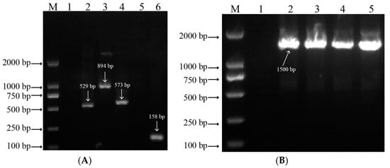
2.2.1. Identification of LMW-GS Composition
2.2.2. Identification of HMW-GS Composition
2.2.3. Identification of Gliadin Composition
2.3. Determination of Grain Protein Content
2.4. Grain Protein Extraction, Separation, and Quantification
2.5. Determination of Gluten Content and Index
2.6. Farinograph Analysis
2.7. Determination of Chinese Fresh Noodle (CFN) Quality
2.7.1. Preparation of CFN
2.7.2. Determination of Cooking Characteristics of CFN
2.7.3. Determination of Texture Characteristics of CFN
2.8. Statistical Analysis
3. Results and Discussion
3.1. Identification of Gluten Composition
3.1.1. LMW-GS Composition
3.1.2. HMW-GS and Gliadin Composition
3.2. Effects of LMW-GS on Grain Protein and Its Component Contents
3.3. Effects of LMW-GS on Gluten Content and Index
3.4. Effects of LMW-GS on Farinograph Parameters
3.5. Effects of LMW-GS on Quality Characteristics of Chinese Fresh Noodles (CFNs)
3.5.1. Cooking Characteristics of CFNs
3.5.2. Texture Characteristics of CFN
4. Conclusions
Author Contributions
Funding
Institutional Review Board Statement
Informed Consent Statement
Data Availability Statement
Conflicts of Interest
References
- Shewry, P.R. Wheat. J. Exp. Bot. 2009, 60, 1537–1553. [Google Scholar] [CrossRef]
- Payne, P.I. Genetics of wheat storage proteins and the effect of allelic variation on bread-making quality. Annu. Rev. Plant Physiol. 1987, 38, 141–153. [Google Scholar] [CrossRef]
- Wang, J.; Wang, C.; Zhen, S.; Li, X.; Yan, Y. Low-molecular-weight glutenin subunits from the 1U genome of Aegilops umbellulata confer superior dough rheological properties and improve breadmaking quality of bread wheat. J. Sci. Food Agric. 2018, 98, 2156–2167. [Google Scholar] [CrossRef]
- Khoshro, H.H.; Bihamta, M.R.; Hassani, M.E. Relationship between allelic variation at the Glu-3 loci and qualitative traits in bread wheat. Cereal Res. Commun. 2022, 50, 509–522. [Google Scholar] [CrossRef]
- Lee, J.-Y.; Beom, H.-R.; Altenbach, S.B.; Lim, S.-H.; Kim, Y.-T.; Kang, C.-S.; Yoon, U.-H.; Gupta, R.; Kim, S.-T.; Ahn, S.-N. Comprehensive identification of LMW-GS genes and their protein products in a common wheat variety. Funct. Integr. Genom. 2016, 16, 269–279. [Google Scholar] [CrossRef] [PubMed]
- Ikeda, T.; Branlard, G.; Peña, R.; Takata, K.; Liu, L.; He, Z.; Lerner, S.; Kolman, M.; Yoshida, H.; Rogers, W. International collaboration for unifying Glu-3 nomenclature system in common wheats. The 11th International Wheat Genetics Symposium. 2008. [Google Scholar]
- Wang, Y.; Zhen, S.; Luo, N.; Han, C.; Lu, X.; Li, X.; Xia, X.; He, Z.; Yan, Y. Low molecular weight glutenin subunit gene Glu-B3h confers superior dough strength and breadmaking quality in wheat (Triticum aestivum L.). Sci. Rep. 2016, 6, 27182. [Google Scholar] [CrossRef]
- Zhen, S.; Han, C.; Ma, C.; Gu, A.; Zhang, M.; Shen, X.; Li, X.; Yan, Y. Deletion of the low-molecular-weight glutenin subunit allele Glu-A3a of wheat (Triticum aestivum L.) significantly reduces dough strength and breadmaking quality. BMC Plant Biol. 2014, 14, 1–17. [Google Scholar] [CrossRef]
- Zheng, S.; Byrne, P.F.; Bai, G.; Shan, X.; Reid, S.D.; Haley, S.D.; Seabourn, B.W. Association analysis reveals effects of wheat glutenin alleles and rye translocations on dough-mixing properties. J. Cereal Sci. 2009, 50, 283–290. [Google Scholar] [CrossRef]
- Zhang, X.; Jin, H.; Zhang, Y.; Liu, D.; Li, G.; Xia, X.; He, Z.; Zhang, A. Composition and functional analysis of low-molecular-weight glutenin alleles with Aroona near-isogenic lines of bread wheat. BMC Plant Biol. 2012, 12, 367. [Google Scholar] [CrossRef]
- Jin, H.; Zhang, Y.; Li, G.; Mu, P.; Fan, Z.; Xia, X.; He, Z. Effects of allelic variation of HMW-GS and LMW-GS on mixograph properties and Chinese noodle and steamed bread qualities in a set of Aroona near-isogenic wheat lines. J. Cereal Sci. 2013, 57, 146–152. [Google Scholar] [CrossRef]
- Li, M.; Dhital, S.; Wei, Y. Multilevel structure of wheat starch and its relationship to noodle eating qualities. Compr. Rev. Food Sci. Food Saf. 2017, 16, 1042–1055. [Google Scholar] [CrossRef] [PubMed]
- He, Z.H.; Liu, L.; Xia, X.C.; Liu, J.J.; Pena, R. Composition of HMW and LMW glutenin subunits and their effects on dough properties, pan bread, and noodle quality of Chinese bread wheats. Cereal Chem. 2005, 82, 345–350. [Google Scholar] [CrossRef]
- Jin, H.; Yan, J.; Peña, R.; Xia, X.; Morgounov, A.; Han, L.; Zhang, Y.; He, Z. Molecular detection of high-and low-molecular-weight glutenin subunit genes in common wheat cultivars from 20 countries using allele-specific markers. Crop Pasture Sci. 2011, 62, 746–754. [Google Scholar] [CrossRef]
- Wang, L.; Li, G.; Peña, R.J.; Xia, X.; He, Z. Development of STS markers and establishment of multiplex PCR for Glu-A3 alleles in common wheat (Triticum aestivum L.). J. Cereal Sci. 2010, 51, 305–312. [Google Scholar] [CrossRef]
- Zhao, H.; Gao, C.; Song, W.; Zhang, Y.; Gao, D.; Zhang, X.; Zhao, L.; Yang, X.; Liu, D.; Song, Q. Quality differences between NILs of wheat variety Longmai 20 possessing HMW-GS 7OE + 8* and 17 + 18. Cereal Res. Commun. 2020, 48, 493–498. [Google Scholar] [CrossRef]
- Wang, X.; Zhang, Y.; Zhang, B.; Florides, C.G.; Gao, Z.; Wang, Z.; Zhang, X.; Wei, Y. Comparison of quality properties between high-molecular-weight glutenin subunits 5 + 10 and 2 + 12 near-isogenic lines under three common wheat genetic backgrounds. Cereal Chem. 2018, 95, 575–583. [Google Scholar] [CrossRef]
- Zhang, Y.-Q.; Hui, Y.; Wang, Y.; Zhang, B.; Guo, B.-L.; Zhang, G.-Q.; Wei, Y.-M. Effects of drying temperature and relative humidity on quality properties of chinese dried noodles. J. Food Qual. 2020, 2020, 8843974. [Google Scholar] [CrossRef]
- Malalgoda, M.; Ohm, J.B.; Meinhardt, S.; Simsek, S. Association between gluten protein composition and breadmaking quality characteristics in historical and modern spring wheat. Cereal Chem. 2018, 95, 226–238. [Google Scholar] [CrossRef]
- Dewan, A.; Chaudhary, N.; Khatkar, B.S. Effects of wheat gliadin and glutenin fractions on dough properties, oil uptake, and microstructure of instant noodles. J. Food Process. Preserv. 2022, 46, e17100. [Google Scholar] [CrossRef]
- Guo, L.; Yu, L.; Tong, J.; Zhao, Y.; Yang, Y.; Ma, Y.; Cui, L.; Hu, Y.; Wang, Z.; Gao, X. Addition of Aegilops geniculata 1Ug chromosome improves the dough rheological properties by changing the composition and micro-structure of gluten. Food Chem. 2021, 358, 129850. [Google Scholar] [CrossRef]
- Li, J.; Li, J.; Jiang, S.; Zhao, L.; Xiang, L.; Fu, Y.; Liu, S.; Yang, Q.; Wu, J.; Chen, X. Addition of Psathyrostachys huashanica HMW glutenin subunit expresses positive contribution to protein polymerization and gluten microstructure of receptor wheat. Food Chem. 2022, 405, 134739. [Google Scholar] [CrossRef] [PubMed]
- Sissons, M.J.; Ames, N.P.; Hare, R.A.; Clarke, J.M. Relationship between glutenin subunit composition and gluten strength measurements in durum wheat. J. Sci. Food Agric. 2005, 85, 2445–2452. [Google Scholar] [CrossRef]
- Zhang, Y.; Nagamine, T.; He, Z.; Ge, X.; Yoshida, H.; Peña, R. Variation in quality traits in common wheat as related to Chinese fresh white noodle quality. Euphytica 2005, 141, 113–120. [Google Scholar] [CrossRef]
- Liu, J.; He, Z.; Zhao, Z.; Pena, R.; Rajaram, S. Wheat quality traits and quality parameters of cooked dry white Chinese noodles. Euphytica 2003, 131, 147–154. [Google Scholar] [CrossRef]
- Chung, H.-J.; Cho, A.; Lim, S.-T. Effect of heat-moisture treatment for utilization of germinated brown rice in wheat noodle. LWT-Food Sci. Technol. 2012, 47, 342–347. [Google Scholar] [CrossRef]
- Zhou, Y.; Cao, H.; Hou, M.; Nirasawa, S.; Tatsumi, E.; Foster, T.J.; Cheng, Y. Effect of konjac glucomannan on physical and sensory properties of noodles made from low-protein wheat flour. Food Res. Int. 2013, 51, 879–885. [Google Scholar] [CrossRef]
- Gulia, N.; Khatkar, B. Quantitative and qualitative assessment of wheat gluten proteins and their contribution to instant noodle quality. Int. J. Food Prop. 2015, 18, 1648–1663. [Google Scholar] [CrossRef]
- Cao, Z.-B.; Yu, C.; Yang, Z.; Xing, J.-J.; Guo, X.-N.; Zhu, K.-X. Impact of gluten quality on textural stability of cooked noodles and the underlying mechanism. Food Hydrocoll. 2021, 119, 106842. [Google Scholar] [CrossRef]
- Wang, Y.-H.; Zhang, Y.-R.; Yang, Y.-Y.; Shen, J.-Q.; Zhang, Q.-M.; Zhang, G.-Z. Effect of wheat gluten addition on the texture, surface tackiness, protein structure, and sensory properties of frozen cooked noodles. LWT-Food Sci. Technol. 2022, 161, 113348. [Google Scholar] [CrossRef]
- Heo, H.; Baik, B.-K.; Kang, C.-S.; Choo, B.-K.; Park, C.S. Influence of amylose content on cooking time and textural properties of white salted noodles. Food Sci. Biotechnol. 2012, 21, 345–353. [Google Scholar] [CrossRef]
- Ajila, C.; Aalami, M.; Leelavathi, K.; Rao, U.P. Mango peel powder: A potential source of antioxidant and dietary fiber in macaroni preparations. Innov. Food Sci. Emerg. Technol. 2010, 11, 219–224. [Google Scholar] [CrossRef]
- Sangpring, Y.; Fukuoka, M.; Ratanasumawong, S. The effect of sodium chloride on microstructure, water migration, and texture of rice noodle. LWT-Food Sci. Technol. 2015, 64, 1107–1113. [Google Scholar] [CrossRef]
- He, Z.; Liu, A.; Javier Peña, R.; Rajaram, S. Suitability of Chinese wheat cultivars for production of northern style Chinese steamed bread. Euphytica 2003, 131, 155–163. [Google Scholar] [CrossRef]




| Marker | Sequence (5′→3′) | Fragment Size (bp) | Reference |
|---|---|---|---|
| Glu-A3a | F: AAACAGAATTATTAAAGCCGG R: GGTTGTTGTTGTTGCAGCA | 529 | Jin et al. [14]; Wang et al. [15] |
| Glu-A3b | F: TTCAGATGCAGCCAAACAA R: GCTGTGCTTGGATGATACTCTA | 894 | |
| Glu-A3ac | F: AAACAGAATTATTAAAGCCGG R: GTGGCTGTTGTGAAAACGA | 573 | |
| Glu-A3e | F: AAACAGAATTATTAAAGCCGG R: GGCACAGACGAGGAAGGTT | 158 | |
| Glu-B3j | F: GGAGACATCATGAAACATTTG R: CTGTTGTTGGGCAGAAAG | 1500 |
| NIL | Glu-A3a | Glu-A3b | Glu-A3c | Glu-A3e | CV (%) |
|---|---|---|---|---|---|
| Water absorption (%) | 69.2 | 69.0 | 69.6 | 68.8 | 0.5 |
| Dough development time (min) | 2.4 | 3.1 | 3.0 | 2.2 | 16.5 |
| Stability time (min) | 1.0 | 1.5 | 1.3 | 0.9 | 23.4 |
| Degree of softening (BU) | 165 | 104 | 137 | 175 | 21.9 |
| Farinograph quality number (mm) | 31 | 44 | 39 | 29 | 19.6 |
| NIL | Optimal Cooking Time (s) | Water Absorption Ratio (%) | Cooked Loss Ratio (%) |
|---|---|---|---|
| Glu-A3a | 180 | 87.98 ± 3.35 b | 5.54 ± 0.48 c |
| Glu-A3b | 180 | 93.71 ± 2.48 a | 9.49 ± 0.35 a |
| Glu-A3c | 180 | 93.35 ± 2.99 a | 6.11 ± 0.38 b |
| Glu-A3e | 180 | 95.26 ± 1.89 a | 5.91 ± 0.35 bc |
| NIL | Hardness (g) | Adhesiveness (g×s) | Springiness (%) | Cohesiveness (%) | Resilience (%) | Chewiness (g) |
|---|---|---|---|---|---|---|
| Glu-A3a | 284.58 ± 10.96 a | −3.01 ± 1.43 b | 84.12 ± 1.84 b | 62.34 ± 1.81 c | 35.81 ± 2.02 c | 152.47 ± 4.83 a |
| Glu-A3b | 266.87 ± 11.47 b | −3.18 ± 1.27 b | 87.08 ± 1.56 a | 64.23 ± 1.57 b | 37.55 ± 2.46 b | 151.72 ± 8.61 a |
| Glu-A3c | 236.99 ± 13.47 c | −1.23 ± 0.36 a | 87.60 ± 0.64 a | 71.93 ± 1.15 a | 46.24 ± 1.55 a | 148.44 ± 6.90 a |
| Glu-A3e | 238.72 ± 6.77 c | −1.14 ± 0.24 a | 87.57 ± 0.89 a | 72.84 ± 1.10 a | 47.16 ± 1.15 a | 151.01 ± 3.63 a |
Disclaimer/Publisher’s Note: The statements, opinions and data contained in all publications are solely those of the individual author(s) and contributor(s) and not of MDPI and/or the editor(s). MDPI and/or the editor(s) disclaim responsibility for any injury to people or property resulting from any ideas, methods, instructions or products referred to in the content. |
© 2023 by the authors. Licensee MDPI, Basel, Switzerland. This article is an open access article distributed under the terms and conditions of the Creative Commons Attribution (CC BY) license (https://creativecommons.org/licenses/by/4.0/).
Share and Cite
Zhou, H.; Zhang, Y.; Yang, Y.; Zhang, Y.; Ban, J.; Zhao, B.; Zhang, L.; Zhang, X.; Guo, B. Effects of Low-Molecular-Weight Glutenin Subunit Encoded by Glu-A3 on Gluten and Chinese Fresh Noodle Quality. Foods 2023, 12, 3124. https://doi.org/10.3390/foods12163124
Zhou H, Zhang Y, Yang Y, Zhang Y, Ban J, Zhao B, Zhang L, Zhang X, Guo B. Effects of Low-Molecular-Weight Glutenin Subunit Encoded by Glu-A3 on Gluten and Chinese Fresh Noodle Quality. Foods. 2023; 12(16):3124. https://doi.org/10.3390/foods12163124
Chicago/Turabian StyleZhou, Hongwei, Yingquan Zhang, Yanning Yang, Yuyan Zhang, Jinfu Ban, Bo Zhao, Lei Zhang, Xiaoke Zhang, and Boli Guo. 2023. "Effects of Low-Molecular-Weight Glutenin Subunit Encoded by Glu-A3 on Gluten and Chinese Fresh Noodle Quality" Foods 12, no. 16: 3124. https://doi.org/10.3390/foods12163124
APA StyleZhou, H., Zhang, Y., Yang, Y., Zhang, Y., Ban, J., Zhao, B., Zhang, L., Zhang, X., & Guo, B. (2023). Effects of Low-Molecular-Weight Glutenin Subunit Encoded by Glu-A3 on Gluten and Chinese Fresh Noodle Quality. Foods, 12(16), 3124. https://doi.org/10.3390/foods12163124

