Insights into the Mechanism Underlying the Influence of Glycation with Different Saccharides and Temperatures on the IgG/IgE Binding Ability, Immunodetection, In Vitro Digestibility of Shrimp (Litopenaeus vannamei) Tropomyosin
Abstract
1. Introduction
2. Materials and Methods
2.1. Materials
2.2. Shrimp Allergic Patient Sera
2.3. Preparation of Glycated TM
2.4. SDS-PAGE Analysis
2.5. Glycation Degree Determination
2.6. Western Blotting (WB) Analysis
2.7. Indirect ELISA Analysis
2.8. Immunodetection Recovery Determination
2.9. In Vitro Digestion Assay
2.10. CD Spectral Analysis
2.11. UV Absorption Spectral Analysis
2.12. Intrinsic and Extrinsic Fluorescence Analysis
2.13. Identification of Glycation Sites
2.14. Statistical Analysis
3. Results and Discussion
3.1. Analysis of the Degree of TM Glycosylation
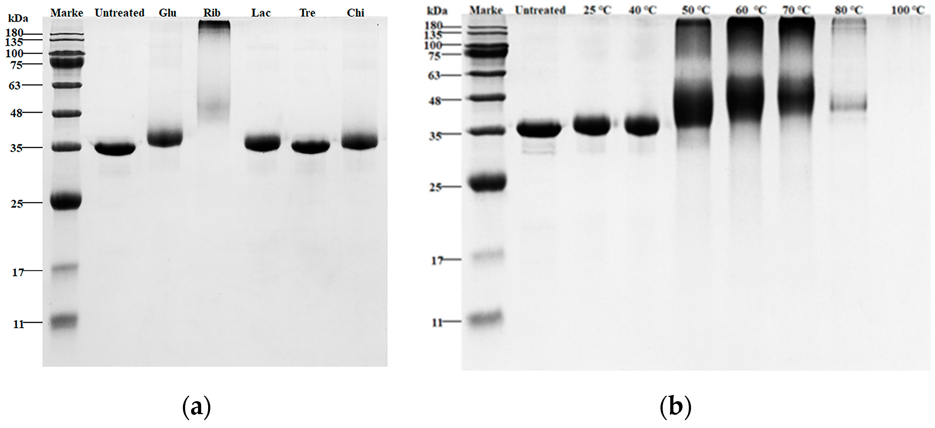
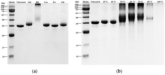
3.1.1. SDS-PAGE Analysis
3.1.2. Free Amino Group Analysis
3.2. Effect of Different Glycosylation Treatments on TM IgG/IgE Binding Capacity
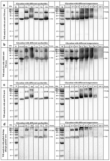
3.2.1. WB Analysis
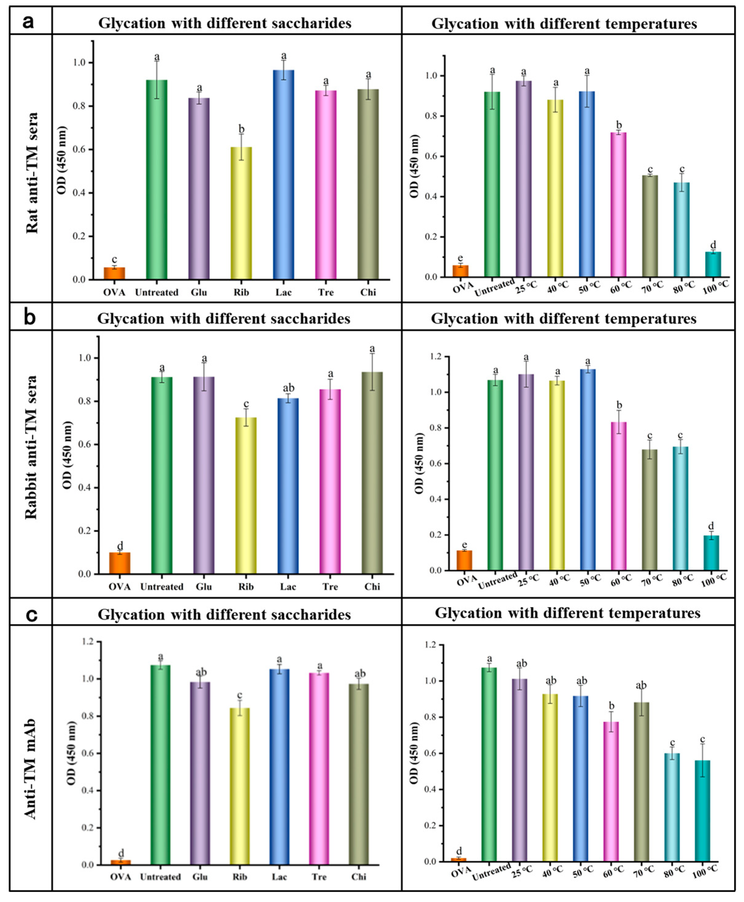
3.2.2. Indirect ELISA Analysis
3.3. Effect of Different Glycosylation Treatments on the Immunodetection Recovery of TM
3.4. Effect of Different Glycosylation Treatments on the In Vitro Digestibility of TM
3.5. Effect of Different Glycosylation Treatments on the Structure of TM
3.5.1. CD Analysis
3.5.2. UV Spectral Analysis
3.5.3. Intrinsic Fluorescence Spectral Analysis
3.5.4. Extrinsic Fluorescence Spectral Analysis
3.6. Modification of Specific TM Amino Acids via Glycosylation
4. Conclusions
Supplementary Materials
Author Contributions
Funding
Institutional Review Board Statement
Informed Consent Statement
Data Availability Statement
Acknowledgments
Conflicts of Interest
References
- Zhao, J.; Timira, V.; Ahmed, I.; Chen, Y.; Wang, H.; Zhang, Z.; Lin, H.; Li, Z. Crustacean shellfish allergens: Influence of food processing and their detection strategies. Crit. Rev. Food Sci. 2022, 20, 1–19. [Google Scholar] [CrossRef]
- Thimo, R.; Taki, A.; Johnston, E.; Nugraha, R.; Le, T.T.K.; Kalic, T.; McLean, T.R.; Kamath, S.D.; Lopata, A.L. Seafood allergy: A comprehensive review of fish and shellfish allergens. Mol. Immunol. 2018, 100, 28–57. [Google Scholar]
- Khan, M.; Ahmed, I.; Lin, H.; Li, Z.; Costa, J.; Mafra, I.; Chen, Y.; Wu, Y.-N. Potential efficacy of processing technologies for mitigating crustacean allergenicity. Crit. Rev. Food Sci. 2019, 59, 2807–2830. [Google Scholar] [CrossRef] [PubMed]
- Shin, J.; Reddy, Y.; Park, T.; Park, J. Recent advances in analytical strategies and microsystems for food allergen detection. Food Chem. 2022, 371, 131120. [Google Scholar] [CrossRef]
- Zhao, J.; Li, Y.; Li, R.; Timira, V.; Dasanayaka, B.P.; Zhang, Z.; Zhang, J.; Lin, H.; Li, Z. Evaluation of poly- and monoclonal antibody-based sandwich enzyme-linked immunosorbent assay (ELISA) for their performance to detect crustacean residues in processed foods. Food Control 2022, 138, 108983. [Google Scholar] [CrossRef]
- Teodorowicz, M.; Van Neerven, J.; Savelkoul, H. Food Processing: The Influence of the Maillard Reaction on Immunogenicity and Allergenicity of Food Proteins. Nutrients 2017, 9, 835. [Google Scholar] [CrossRef] [PubMed]
- Gupta, R.; Gupta, K.; Sharma, A.; Das, M.; Ansari, I.A.; Dwived, P.D. Maillard reaction in food allergy: Pros and cons. Crit. Rev. Food Sci. 2018, 58, 208–226. [Google Scholar] [CrossRef] [PubMed]
- Nakamura, A.; Watanabe, K.; Ojima, T.; Ahn, D.-H.; Saeki, H. Effect of Maillard reaction on allergenicity of scallop tropomyosin. J. Agric. Food Chem. 2005, 53, 7559–7564. [Google Scholar] [CrossRef]
- Fu, L.; Wang, C.; Wang, J.; Ni, S.; Wang, Y. Maillard reaction with ribose, galacto-oligosaccharide or chitosan-oligosaccharide reduced the allergenicity of shrimp tropomyosin by inducing conformational changes. Food Chem. 2019, 274, 789–795. [Google Scholar] [CrossRef] [PubMed]
- Zhang, Z.; Xiao, H.; Zhou, P. Glycation by saccharides of different molecular sizes affected the allergenicity of shrimp tropomyosin via epitope loss and the generation of advanced glycation end products. Food Funct. 2019, 10, 7042–7051. [Google Scholar] [CrossRef]
- Lin, S.; Lee, C.; Huang, E.; Sheu, S.-C.; Yu, H.-S. Quantification of Crustacean Tropomyosin, a Major Food Allergen, in Eight Species of Taiwanese Shrimp Based on Immunoassay. Food Anal. Method 2018, 11, 2607–2613. [Google Scholar] [CrossRef]
- Zhao, J.; Li, Y.; Xu, L.; Timira, V.; Zhang, Z.; Chen, G.; Zhang, L.; Lin, H.; Li, Z. Improved protein extraction from thermally processed shrimp (Litopenaeus vannamei) for reliable immunodetection via a synergistic effect of buffer additives. LWT-Food Sci. Technol. 2022, 154, 112790. [Google Scholar] [CrossRef]
- Zhao, J.; Zeng, J.; Liu, Y.; Lin, H.; Gao, X.; Wang, H.; Zhang, Z.; Lin, H.; Li, Z. Understanding the Mechanism of Increased IgG/IgE Reactivity but Decreased Immunodetection Recovery in Thermally Induced Shrimp (Litopenaeus vannamei) Tropomyosin via Multispectroscopic and Molecular Dynamics Simulation Techniques. J. Agric. Food Chem. 2023, 71, 3444–3458. [Google Scholar] [CrossRef] [PubMed]
- Zhang, Z.; Li, X.; Xiao, H.; Nowak-Wegrzyn, A.; Zhou, P. Insight into the allergenicity of shrimp tropomyosin glycated by functional oligosaccharides containing advanced glycation end products. Food Chem. 2020, 302, 125348. [Google Scholar] [CrossRef]
- Zhao, J.; Li, Y.; Xu, L.; Ji, Y.; Zeng, J.; Timira, V.; Zhang, Z.; Chen, G.; Lin, H.; Li, Z. Insight into IgG/IgE binding ability, in vitro digestibility and structural changes of shrimp (Litopenaeus vannamei) soluble extracts with thermal processing. Food Chem. 2022, 381, 132177. [Google Scholar] [CrossRef]
- Church, F.; Swaisgood, H.; Porter, D.; Catignani, G. Spectrophotometric Assay Using o-Phthaldialdehyde for Determination of Proteolysis in Milk and Isolated Milk Proteins1. J. Dairy Sci. 1983, 66, 1219–1227. [Google Scholar] [CrossRef]
- Bai, T.; Han, X.; Li, M.; Yang, Y.; Liu, M.; Ji, N.-R.; Yu, C.-C.; Lai, D.; Cao, M.-J.; Liu, G.-M. Effects of the Maillard reaction on the epitopes and immunoreactivity of tropomyosin, a major allergen in Chlamys nobilis. Food Funct. 2021, 12, 5096–5108. [Google Scholar] [CrossRef]
- Liu, Q.; Lin, S.; Sun, N. How does food matrix components affect food allergies, food allergens and the detection of food allergens? A systematic review. Trends Food Sci. Technol. 2022, 127, 280–290. [Google Scholar] [CrossRef]
- Monaci, L.; Brohee, M.; Tregoat, V.; van Hengel, A. Influence of baking time and matrix effects on the detection of milk allergens in cookie model food system by ELISA. Food Chem. 2011, 127, 669–675. [Google Scholar] [CrossRef]
- Zhang, Z.; Xiao, H.; Zhang, X.; Zhou, P. Conformation, allergenicity and human cell allergy sensitization of tropomyosin from Exopalaemon modestus: Effects of deglycosylation and Maillard reaction. Food Chem. 2019, 276, 520–527. [Google Scholar] [CrossRef]
- Wu, Y.; Dong, L.; Wu, Y.; Zhang, Y.; Wang, S. Effect of methylglyoxal on the alteration in structure and digestibility of alpha-lactalbumin, and the formation of advanced glycation end products under simulated thermal processing. Food Sci. Nutr. 2021, 9, 2299–2307. [Google Scholar] [CrossRef] [PubMed]
- Wu, Y.; Lu, Y.; Huang, Y.; Lin, H.; Chen, G.; Chen, Y.; Li, Z. Glycosylation reduces the allergenicity of turbot (Scophthalmus maximus) parvalbumin by regulating digestibility, cellular mediators release and Th1/Th2 immunobalance. Food Chem. 2022, 382, 132574. [Google Scholar] [CrossRef] [PubMed]
- Tang, J.; Wichers, H.; Hettinga, K. Glycation of soy and pea proteins influences infant gastric digestibility more than intestinal digestibility. Food Hydrocolloid. 2023, 136, 108251. [Google Scholar] [CrossRef]
- Zhao, D.; Li, L.; Le, T.; Larsen, L.B.; Xu, D.; Jiao, W.; Sheng, B.; Li, B.; Zhang, X. Digestibility of glycated milk proteins and the peptidomics of their in vitro digests. J. Sci. Food Agric. 2019, 99, 3069–3077. [Google Scholar] [CrossRef]
- Chen, C.; Shi, K.; Qin, X.; Zhang, H.; Chen, H.; Hayes, D.G.; Wu, Q.; Hu, Z.; Liu, G. Effect of interactions between glycosylated protein and tannic acid on the physicochemical stability of Pickering emulsions. LWT-Food Sci. Technol. 2021, 152, 112383. [Google Scholar] [CrossRef]
- Li, L.; Chen, G. Precise Assembly of Proteins and Carbohydrates for Next-Generation Biomaterials. J. Am. Chem. Soc. 2022, 144, 16232–16251. [Google Scholar] [CrossRef]
- Liu, G.; Cheng, H.; Nesbit, J.; Su, W.-J.; Cao, M.-J.; Maleki, S.J. Effects of Boiling on the IgE-Binding Properties of Tropomyosin of Shrimp (Litopenaeus vannamei). J. Food Sci. 2010, 75, T1–T5. [Google Scholar] [CrossRef]
- Miles, A.; Janes, R.; Wallace, B. Tools and methods for circular dichroism spectroscopy of proteins: A tutorial review. Chem Soc. Rev. 2021, 50, 8400–8413. [Google Scholar] [CrossRef]
- Zhao, J.; Li, Y.; Xu, L.; Zeng, J.; Liu, Y.; Timira, V.; Zhang, Z.; Lin, H.; Li, Z. Thermal induced the structural alterations, increased IgG/IgE binding capacity and reduced immunodetection recovery of tropomyosin from shrimp (Litopenaeus vannamei). Food Chem. 2022, 391, 133215. [Google Scholar] [CrossRef]
- Ahmed, A.; Shamsi, A.; Khan, M.; Husain, F.M.; Bano, B. Methylglyoxal induced glycation and aggregation of human serum albumin: Biochemical and biophysical approach. Int. J. Biol. Macromol. 2018, 113, 269–276. [Google Scholar] [CrossRef]
- Wang, W.; Li, C.; Chen, C.; Fu, X.; Liu, R.H. Effect of chitosan oligosaccharide glycosylation on the emulsifying property of lactoferrin. Int. J. Biol. Macromol. 2022, 209, 93–106. [Google Scholar] [CrossRef] [PubMed]
- Lv, L.; Ahmed, I.; Qu, X.; Che, H.; Huang, Z.; Ge, X.; Lv, L. Effect of the structure and potential allergenicity of glycated tropomyosin, the shrimp allergen. Int. J. Food Sci. Tech. 2022, 57, 1782–1790. [Google Scholar] [CrossRef]
- Yang, Q.; Qu, X.; Wang, X.; Che, H.; Huang, Z.; Ge, X.; Lv, L. Effects of methylglyoxal on shrimp tropomyosin structure and allergenicity during thermal processing. Food Chem. X 2023, 17, 100532. [Google Scholar] [CrossRef] [PubMed]
- Wang, F.; Cheng, J.; Keener, K. Changing the IgE Binding Capacity of Tropomyosin in Shrimp through Structural Modification Induced by Cold Plasma and Glycation Treatment. Foods 2023, 12, 206. [Google Scholar] [CrossRef]
- Han, X.; Yang, H.; Rao, S.; Liu, G.-Y.; Hu, M.-J.; Zeng, B.-C.; Cao, M.-J.; Liu, G.-M. The Maillard Reaction Reduced the Sensitization of Tropomyosin and Arginine Kinase from Scylla paramamosain, Simultaneously. J. Agric. Food Chem. 2018, 66, 2934–2943. [Google Scholar] [CrossRef]
- Ayuso, R.; Sanchez-Garcia, S.; Lin, J.; Fu, Z.; Ibáñez, M.D.; Carrillo, T.; Blanco, C.; Goldis, M.; Bardina, L.; Sastre, J.; et al. Greater epitope recognition of shrimp allergens by children than by adults suggests that shrimp sensitization decreases with age. J. Allergy Clin. Immun. 2010, 125, 1286–1293. [Google Scholar] [CrossRef]
- Zhang, Z.; Xiao, H.; Zhou, P. Allergenicity suppression of tropomyosin from Exopalaemon modestus by glycation with saccharides of different molecular sizes. Food Chem. 2019, 288, 268–275. [Google Scholar] [CrossRef]













| Samples | Modification Sites | Identified Peptide | Location | IgE Epitopes [36] |
|---|---|---|---|---|
| Glu-TM | K112 | LNTATTKLAEASQAADESER | 106–125 | - |
| K149 | MDALENQLKEAR | 141–152 | E5b: 142~162 | |
| K168 | KLAMVEADLER | 168–178 | E5c: 157~183 | |
| K189 | AETGESKIVELEEELR | 183–198 | - | |
| Rib-TM | K66 | MQQLENDLDQVQESLLKANIQLVEK | 50–74 | E3: 61~81 |
| K76 | DKALSNAEGEVAALNR | 75–90 | E3: 61~81 | |
| K76 | DKALSNAEGEVAALNRR | 75–91 | E3: 61~81 | |
| K112 | LNTATTKLAEASQAADESER | 106–125 | - | |
| K149 | MDALENQLKEAR | 141–152 | E5b: 142~162 | |
| K168 | KLAMVEADLER | 168–178 | E5c: 157~183 | |
| K168 | KLAMVEADLERAEER | 168–182 | E5c: 157~183 | |
| K189 | AETGESKIVELEEELR | 183–198 | - | |
| Lac-TM | K168 | KLAMVEADLER | 168–178 | E5c: 157~183 |
| K189 | AETGESKIVELEEELR | 183–198 | - | |
| Tre-TM | - | - | - | |
| Chi-TM | - | - | - |
Disclaimer/Publisher’s Note: The statements, opinions and data contained in all publications are solely those of the individual author(s) and contributor(s) and not of MDPI and/or the editor(s). MDPI and/or the editor(s) disclaim responsibility for any injury to people or property resulting from any ideas, methods, instructions or products referred to in the content. |
© 2023 by the authors. Licensee MDPI, Basel, Switzerland. This article is an open access article distributed under the terms and conditions of the Creative Commons Attribution (CC BY) license (https://creativecommons.org/licenses/by/4.0/).
Share and Cite
Zhao, J.; Wang, J.; Xu, L.; Wang, H.; Zhang, Z.; Lin, H.; Li, Z. Insights into the Mechanism Underlying the Influence of Glycation with Different Saccharides and Temperatures on the IgG/IgE Binding Ability, Immunodetection, In Vitro Digestibility of Shrimp (Litopenaeus vannamei) Tropomyosin. Foods 2023, 12, 3049. https://doi.org/10.3390/foods12163049
Zhao J, Wang J, Xu L, Wang H, Zhang Z, Lin H, Li Z. Insights into the Mechanism Underlying the Influence of Glycation with Different Saccharides and Temperatures on the IgG/IgE Binding Ability, Immunodetection, In Vitro Digestibility of Shrimp (Litopenaeus vannamei) Tropomyosin. Foods. 2023; 12(16):3049. https://doi.org/10.3390/foods12163049
Chicago/Turabian StyleZhao, Jinlong, Jin Wang, Lili Xu, Hao Wang, Ziye Zhang, Hong Lin, and Zhenxing Li. 2023. "Insights into the Mechanism Underlying the Influence of Glycation with Different Saccharides and Temperatures on the IgG/IgE Binding Ability, Immunodetection, In Vitro Digestibility of Shrimp (Litopenaeus vannamei) Tropomyosin" Foods 12, no. 16: 3049. https://doi.org/10.3390/foods12163049
APA StyleZhao, J., Wang, J., Xu, L., Wang, H., Zhang, Z., Lin, H., & Li, Z. (2023). Insights into the Mechanism Underlying the Influence of Glycation with Different Saccharides and Temperatures on the IgG/IgE Binding Ability, Immunodetection, In Vitro Digestibility of Shrimp (Litopenaeus vannamei) Tropomyosin. Foods, 12(16), 3049. https://doi.org/10.3390/foods12163049

