Parboiled Germinated Brown Rice Improves Cardiac Structure and Gene Expression in Hypertensive Rats
Abstract
1. Introduction
2. Materials and Methods
2.1. Animals and Diet
2.2. Experimental Design
2.3. Gene Expression Analysis
2.4. Histopathological Examination
2.5. Statistical Analysis
3. Results
3.1. Effects of White Rice, Brown Rice, and Parboiled Germinated Brown Rice Diets on Heart and Body Weight
3.2. Effects of White Rice, Brown Rice, and Parboiled Germinated Brown Rice Diets on Systolic Blood Pressure
3.3. Effects of White Rice, Brown Rice, and Parboiled Germinated Brown Rice on Gene Expression in Heart Tissue
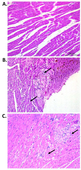
3.4. Effect of PGBR on Heart Histopathological Changes
4. Discussion
5. Conclusions
Supplementary Materials
Author Contributions
Funding
Institutional Review Board Statement
Informed Consent Statement
Data Availability Statement
Acknowledgments
Conflicts of Interest
References
- Mittal, B.V.; Singh, A.K. Hypertension in the developing world: Challenges and opportunities. Am. J. Kidney Dis. 2010, 55, 590–598. [Google Scholar] [CrossRef] [PubMed]
- Oparil, S.; Zaman, M.A.; Calhoun, D.A. Pathogenesis of hypertension. Ann. Intern. Med. 2003, 139, 761–776. [Google Scholar] [CrossRef] [PubMed]
- Lim, H.; Zhu, Y.Z. Role of Transforming Growth Factor-Beta in the Progression of Heart Failure. Cell. Mol. Life Sci. 2006, 63, 2584–2596. [Google Scholar] [CrossRef] [PubMed]
- Campbell, S.E.; Katwa, L.C. Angiotensin II Stimulated Expression of Transforming Growth factor-beta1 in Cardiac Fibroblasts and Myofibroblasts. J. Mol. Cell. Cardiol. 1997, 29, 1947–1958. [Google Scholar] [CrossRef] [PubMed]
- Miguel-Carrasco, J.L.; Zambrano, S.; Blanca, A.J.; Mate, A.; Vázquez, C.M. Captopril reduces cardiac inflammatory markers in spontaneously hypertensive rats by inactivation of NF-κB. J. Inflamm. 2010, 7, 21. [Google Scholar] [CrossRef] [PubMed]
- Leask, A. TGFβ, cardiac fibroblasts, and the fibrotic response. J. Cardiovasc. Dis. 2007, 74, 207–212. [Google Scholar] [CrossRef]
- Kelly, D.M.; Ademi, Z.; Doehner, W.; Lip, G.Y.H.; Mark, P.; Toyoda, K.; Wong, C.X.; Sarnak, M.; Cheung, M.; Herzog, C.A.; et al. Chronic Kidney Disease and Cerebrovascular Disease: Consensus and Guidance from a KDIGO Controversies Conference. Stroke 2021, 52, e328–e346. [Google Scholar] [CrossRef]
- Pereira, C.; Lourenço, V.M.; Menezes, R.; Brites, C. Rice Compounds with Impact on Diabetes Control. Foods 2021, 10, 1992. [Google Scholar] [CrossRef]
- Wunjuntuk, K.; Kettawan, A.; Charoenkiatkul, S.; Rungruang, T. Parboiled germinated brown rice protects against CCl4-induced oxidative stress and liver injury in rats. J. Med. Food 2015, 19, 15–23. [Google Scholar] [CrossRef]
- Srichamnong, W.; Thiyajai, P.; Charoenkiatkul, S. Conventional steaming retains tocols and γ-oryzanol better than boiling and frying in the jasmine rice variety Khao dok mali 105. Food Chem. 2016, 191, 113–119. [Google Scholar] [CrossRef]
- Wunjuntuk, K.; Kettawan, A.; Charoenkiatkul, S.; Rungruang, T. Anti-fibrotic and anti-inflammatory effects of parboiled germinated brown rice (Oryza sativa ‘KDML 105’) in rats with induced liver fibrosis. J. Funct. Foods 2016, 26, 363–372. [Google Scholar] [CrossRef]
- Rattanadee, P.; Naivikul, O. Effect of soaking time, pre-germination time and parboiling processes on chemical and physicochemical properties of paddy and brown rice. In Proceedings of the 49th Kasetsart University Annual Conference: Agro-Industry, Bangkok, Thailand, 1–4 February 2011. [Google Scholar]
- Miguel-Carrasco, J.L.; Monserrat, M.T.; Mate, A.; Vázquez, C.M. Comparative effects of captopril and l-carnitine on blood pressure and antioxidant enzyme gene expression in the heart of spontaneously hypertensive rats. Eur. J. Pharmacol. 2010, 632, 65–72. [Google Scholar] [CrossRef] [PubMed]
- Gómez-Amores, L.; Mate, A.; Miguel-Carrasco, J.L.; Jiménez, L.; Jos, A.; Cameán, A.M.; Revilla, E.; Santa-María, C.; Vázquez, C.M. L-carnitine attenuates oxidative stress in hypertensive rats. J. Nutr. Biochem. 2007, 18, 533–540. [Google Scholar] [CrossRef] [PubMed]
- Ontawong, A.; Saowakon, N.; Vivithanaporn, P.; Pongchaidecha, A.; Lailerd, N.; Amornlerdpison, D.; Lungkaphin, A.; Srimaroeng, C. Antioxidant and renoprotective effects of Spirogyra neglecta (Hassall) Kützing extract in experimental type 2 diabetic rats. BioMed Res Int. 2013, 2013, 820786. [Google Scholar] [CrossRef]
- Zambrano, S.; Blanca, A.J.; Ruiz-Armenta, M.V.; Miguel-Carrasco, J.L.; Arévalo, M.; Mate, A.; Vázquez, C.M. L-carnitine attenuates the development of kidney fibrosis in hypertensive rats by upregulating PPAR-γ. Am. J. Hypertens. 2014, 27, 460–470. [Google Scholar] [CrossRef]
- Zambrano, S.; Blanca, A.J.; Ruiz-Armenta, M.V.; Miguel-Carrasco, J.L.; Arévalo, M.; Vázquez, M.J.; Mate, A.; Vázquez, C.M. L-carnitine protects against arterial hypertension-related cardiac fibrosis through modulation of PPAR-γ expression. Biochem. Pharmacol. 2013, 85, 937–944. [Google Scholar] [CrossRef]
- Rajeshwari, T.; Raja, B.; Manivannan, J.; Silambarasan, T. Valproic acid attenuates blood pressure, vascular remodeling and modulates ET-1 expression in L-NAME induced hypertensive rats. Biomed. Prev. Nutr. 2014, 4, 195–202. [Google Scholar] [CrossRef]
- Silambarasan, T.; Manivannan, J.; Priya, M.K.; Suganya, N.; Chatterjee, S.; Raja, B. Sinapic acid prevents hypertension and cardiovascular remodeling in pharmacological model of nitric oxide inhibited rats. PLoS ONE 2014, 9, e11568. [Google Scholar] [CrossRef]
- Ebizuka, H.; Ihara, M.; Arita, M. Antihypertensive effect of pre-germinated brown rice in spontaneously hypertensive rats. Food Sci. Technol. Res. 2009, 15, 625–630. [Google Scholar] [CrossRef]
- Shimada, M.; Hasegawa, T.; Nishimura, C.; Kan, H.; Kanno, T.; Nakamura, T.; Matsubayashi, T. Anti-hypertensive effect of gamma-aminobutyric acid (GABA)-rich Chlorella on high-normal blood pressure and borderline hypertension in placebo-controlled double blind study. Clin. Exp. Hypertens. 2009, 31, 342–354. [Google Scholar] [CrossRef]
- Jane-Lise, S.; Corda, S.; Chassagne, C.; Rappaport, L. The extracellular matrix and the cytoskeleton in heart hypertrophy and failure. Heart Fail. Rev. 2000, 5, 239–250. [Google Scholar] [CrossRef] [PubMed]
- Birben, E.; Umit, M.S.; Cansin, S.; Serpil, E.; Omer, K. Oxidative stress and antioxidant defense. WAO J. 2012, 5, 9–19. [Google Scholar] [CrossRef] [PubMed]
- Colonna, V.D.G.; Rigamonti, A.; Fioretti, S.; Bonomo, S.; Manfredi, B.; Ferrario, P.; Bianchi, M.; Berti, F.; Muller, E.E.; Rossoni, G. Angiotensin-converting enzyme inhibition and angiotensin AT1-receptor antagonism equally improve endothelial vasodilator function in L-NAME-induced hypertensive rats. Eur. J. Pharmacol. 2005, 516, 253–259. [Google Scholar] [CrossRef] [PubMed]
- Litterio, M.C.; Jaggers, G.; Celep, G.S.; Adamo, A.M.; Costa, M.A.; Oteiza, P.I.; Fraga, C.G.; Galleano, M. Blood pressure-lowering effect of dietary (-)-epicatechin administration in L-NAME-treated rats is associated with restored nitric oxide levels. Free Radic. Biol. Med. 2012, 53, 1894–1902. [Google Scholar] [CrossRef] [PubMed]
- Pechanova, O.; Vrankova, S.; Cebova, M. Chronic L-Name-Treatment Produces Hypertension by Different Mechanisms in Peripheral Tissues and Brain: Role of Central eNOS. Pathophysiology 2020, 27, 46–54. [Google Scholar] [CrossRef] [PubMed]
- Villarejo, A.; Prieto, I.; Segarra, A.; Banegas, I.; Wangensteen, R.; Vives, F.; De Gasparo, M.; Ramírez-Sánchez, M. Relationship of Angiotensinase and Vasopressinase Activities Between Hypothalamus, Heart, and Plasma in L-NAME-Treated WKY and SHR. Horm. Metab. Res. 2014, 46, 561–567. [Google Scholar] [CrossRef] [PubMed]
- Briones, A.M.; Touyz, R.M. Oxidative stress and hypertension: Current concepts. Curr. Hypertens. Rep. 2010, 12, 135–142. [Google Scholar] [CrossRef]
- Rodrigo, R.; Libuy, M.; Feliú, F.; Hasson, D. Oxidative stress-related biomarkers in essential hypertension and ischemia-reperfusion myocardial damage. Dis. Markers 2013, 35, 773–790. [Google Scholar] [CrossRef]
- Rincón, J.; Correia, D.; Arcaya, J.L.; Finol, E.; Fernández, A.; Pérez, M.; Yaguas, K.; Talavera, E.; Chávez, M.; Summer, R.; et al. Role of Angiotensin II type 1 receptor on renal NAD(P)H oxidase, oxidative stress and inflammation in nitric oxide inhibition induced-hypertension. Life Sci. 2015, 124, 81–90. [Google Scholar] [CrossRef]
- Vaziri, N.D.; Lin, C.Y.; Farmand, F.; Sindhu, R.K. Superoxide dismutase, catalase, glutathione peroxidase and NADPH oxidase in lead-induced hypertension. Kidney Int. 2003, 63, 186–194. [Google Scholar] [CrossRef]
- Sundaram, A.; Siew Keah, L.; Sirajudeen, K.N.; Singh, H.J. Upregulation of catalase and downregulation of glutathione peroxidase activity in the kidney precede the development of hypertension in pre-hypertensive SHR. Hypertens. Res. 2013, 36, 213–218. [Google Scholar] [CrossRef] [PubMed]
- Kumar, S.; Prahalathan, P.; Raja, B. Syringic acid ameliorates (L)-NAME-induced hypertension by reducing oxidative stress. Naunyn-Schmiedeberg’s Arch. Pharmacol. 2012, 385, 1175–1184. [Google Scholar] [CrossRef] [PubMed]
- Nah, D.Y.; Rhee, M.Y. The Inflammatory response and cardiac repair after myocardial infarction. Korean Circ. J. 2009, 39, 393–398. [Google Scholar] [CrossRef]
- Manabe, I.; Shindo, T.; Nagai, R. Gene expression in fibroblasts and fibrosis: Involvement in cardiac hypertrophy. Circ. Res. 2002, 91, 1103–1113. [Google Scholar] [CrossRef] [PubMed]
- Rossi, M.A.; Colombini-Netto, M. Chronic Inhibition of NO Synthesis Per Se Promotes Structural Intimal Remodeling of the Rat Aorta. J. Hypertens. 2001, 19, 1567–1579. [Google Scholar] [CrossRef] [PubMed]
- Jokinen, M.P.; Lieuallen, W.G.; Boyle, M.C.; Johnson, C.L.; Malarkey, D.E.; Nyska, A. Morphologic aspects of rodent cardiotoxicity in a retrospective evaluation of National Toxicology Program studies. Toxicol. Pathol. 2011, 39, 850–860. [Google Scholar] [CrossRef]
- Zaafan, M.A.; Zaki, H.F.; El-Brairy, A.I.; Kenawy, S.A. Protective effects of atorvastatin and quercetin on isoprenaline-induced myocardial infarction in rats. Bull. Fac. Pharm. 2013, 51, 35–41. [Google Scholar] [CrossRef]
- Yang, C.H.; Ting, W.J.; Day, C.H.; Ju, D.T.; Yeh, Y.L.; Chung, L.C.; Tsai, F.J.; Tsai, C.H.; Tsai, Y.; Huang, C.Y. SHSST cyclodextrin complex prevents the fibrosis effect on CCl4-induced cirrhotic cardiomyopathy in rats through TGF-β pathway inhibition effects. Int. J. Mol. Sci. 2014, 15, 8037–8048. [Google Scholar] [CrossRef]





| Group | Body Weight (g) | Heart Weight (g) NS | Heart/Body Weight ratio (g %) NS |
|---|---|---|---|
| Control | 315 ± 53.8 * | 1.06 ± 0.06 | 0.34 ± 0.02 |
| L-NAME | 388 ± 20.2 | 1.10 ± 0.07 | 0.28 ± 0.02 |
| L-NAME + Los | 401± 10.0 | 1.39 ± 0.11 | 0.35 ± 0.03 |
| L-NAME + WR | 408 ± 9.00 * | 1.29 ± 0.08 | 0.32 ± 0.02 |
| L-NAME + BR | 413 ± 21.3 * | 1.17 ± 0.07 | 0.28 ± 0.01 |
| L-NAME + PGBR | 422 ± 27.3 * | 1.23 ± 0.07 | 0.29 ± 0.02 |
| Microscopic Findings | Control | L-NAME | L-NAME + Los | L-NAME + WR | L-NAME + BR | L-NAME + PGBR |
|---|---|---|---|---|---|---|
| Fibrosis, myocardium | 0 | 1 | 0 | 0 | 0 | 0 |
| Degeneration to necrosis, myocardium | 1 | 1 | 0 | 0 | 1 | 0 |
| Inflammation to Aschoff body cell infiltration | 0 | 1 | 2 | 1 | 0 | 0 |
| Collagen deposit, sub-endocardium | 0 | 1 | 0 | 0 | 0 | 0 |
| * Cardiomyopathy | 1 | 3 | 2 | 1 | 1 | 0 |
Disclaimer/Publisher’s Note: The statements, opinions and data contained in all publications are solely those of the individual author(s) and contributor(s) and not of MDPI and/or the editor(s). MDPI and/or the editor(s) disclaim responsibility for any injury to people or property resulting from any ideas, methods, instructions or products referred to in the content. |
© 2022 by the authors. Licensee MDPI, Basel, Switzerland. This article is an open access article distributed under the terms and conditions of the Creative Commons Attribution (CC BY) license (https://creativecommons.org/licenses/by/4.0/).
Share and Cite
On-Nom, N.; Khaengamkham, K.; Kettawan, A.; Rungruang, T.; Suttisansanee, U.; Temviriyanukul, P.; Prangthip, P.; Chupeerach, C. Parboiled Germinated Brown Rice Improves Cardiac Structure and Gene Expression in Hypertensive Rats. Foods 2023, 12, 9. https://doi.org/10.3390/foods12010009
On-Nom N, Khaengamkham K, Kettawan A, Rungruang T, Suttisansanee U, Temviriyanukul P, Prangthip P, Chupeerach C. Parboiled Germinated Brown Rice Improves Cardiac Structure and Gene Expression in Hypertensive Rats. Foods. 2023; 12(1):9. https://doi.org/10.3390/foods12010009
Chicago/Turabian StyleOn-Nom, Nattira, Kanoknad Khaengamkham, Aikkarach Kettawan, Thanaporn Rungruang, Uthaiwan Suttisansanee, Piya Temviriyanukul, Pattaneeya Prangthip, and Chaowanee Chupeerach. 2023. "Parboiled Germinated Brown Rice Improves Cardiac Structure and Gene Expression in Hypertensive Rats" Foods 12, no. 1: 9. https://doi.org/10.3390/foods12010009
APA StyleOn-Nom, N., Khaengamkham, K., Kettawan, A., Rungruang, T., Suttisansanee, U., Temviriyanukul, P., Prangthip, P., & Chupeerach, C. (2023). Parboiled Germinated Brown Rice Improves Cardiac Structure and Gene Expression in Hypertensive Rats. Foods, 12(1), 9. https://doi.org/10.3390/foods12010009

