Effects of Storage Method on the Quality of Processed Sea Cucumbers (Apostichopus japonicus)
Abstract
1. Introduction
2. Materials and Methods
2.1. Materials
2.2. The Storage of Sea Cucumbers
2.3. Sensory Score Evaluation
2.4. Weight Loss Rate Determination
2.5. Microstructure of Boiled Sea Cucumber
2.6. Determination of Water Holding Capacity (WHC)
2.7. Texture Properties Analysis
2.8. Determination of TVB-N
2.9. Protein Degradation Analysis
2.10. Statistical Data Analysis
3. Results
3.1. Sensory Evaluation of Boiled Sea Cucumber
3.2. Histological Changes of Boiled Sea Cucumber
3.3. Changes in Textural Properties
3.4. Changes in Weightlessness Rate and WHC
3.5. Changes in TVB-N
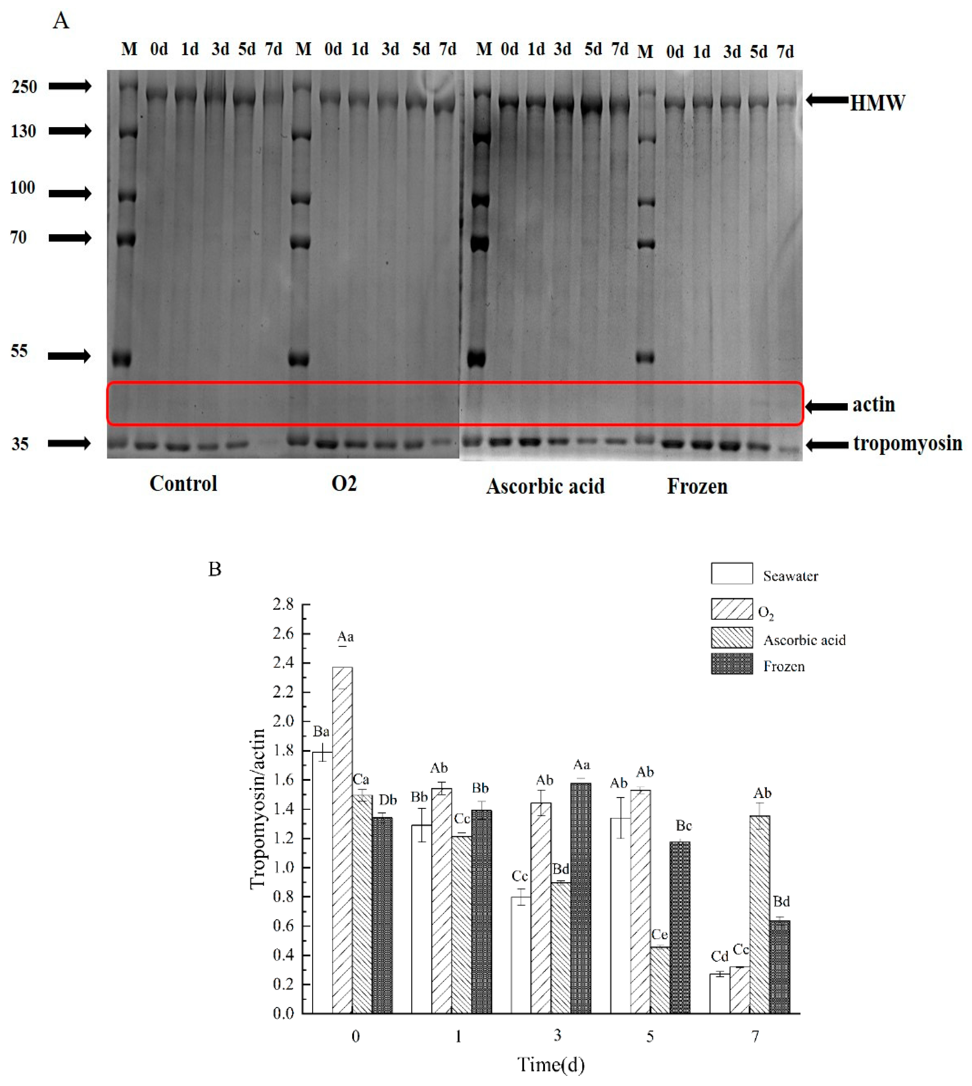
3.6. Changes in Protein Content/Composition
4. Discussion
5. Conclusions
Author Contributions
Funding
Data Availability Statement
Conflicts of Interest
References
- Pangestuti, R.; Arifin, Z. Medicinal and health benefit effects of functional sea cucumbers. J. Tradit. Complement. Med. 2018, 8, 341–351. [Google Scholar] [CrossRef] [PubMed]
- China Fishery Statistics Yearbook; China Agriculture Press: Beijing, China, 2022.
- Zhang, M.; Liu, Y.X.; Zhao, G.H.; Song, L.; Wu, Z.X.; Jiang, P.F.; Zhou, D.Y.; Zhu, B.W. Studying on effects of boiling on texture, microstructure and physiochemical properties of sea cucumber body wall and its mechanism using second harmonic generation (SHG) microscopy. Food Chem. 2023, 400, 134055. [Google Scholar] [CrossRef]
- Duan, X.; Zhang, M.; Mujumdar, A.S.; Wang, S. Microwave freeze drying of sea cucumber (Stichopus japonicus). J. Food Eng. 2010, 96, 491–497. [Google Scholar] [CrossRef]
- Wu, H.T.; Li, D.M.; Zhu, B.W.; Sun, J.J.; Zheng, J.; Wang, F.L.; Konno, K.; Jiang, X. Proteolysis of noncollagenous proteins in sea cucumber, Stichopus japonicus, body wall: Characterisation and the effects of cysteine protease inhibitors. Food Chem. 2013, 141, 1287–1294. [Google Scholar] [CrossRef] [PubMed]
- Duan, X.; Zhang, M.; Mujumdar, A.S. Study on a combination drying technique of sea cucumber. Dry. Technol. 2007, 25, 2011–2019. [Google Scholar] [CrossRef]
- Moon, J.H.; Kim, M.J.; Chung, D.H.; Pan, C.; Yoon, W.B. Drying characteristics of sea cucumber (stichopus japonicas selenka) using far infrared radiation drying and hot air drying. Food Process. Preserv. 2014, 38, 1534–1546. [Google Scholar] [CrossRef]
- Chen, T.; Peng, Z.; Iaohan, L.U.; Bafang, L.I.; Hou, H.U. Self-Degradation of Sea Cucumber Body Wall Under 4°C Storage Condition. J. Food Process. Preserv. 2016, 40, 715–723. [Google Scholar] [CrossRef]
- Xiong, X.; He, B.Y.; Jiang, D.; Dong, X.F.; Yu, C.X.; Qi, H. Postmortem biochemical and textural changes in the sea cucumber Stichopus japonicus body wall (SJBW) during iced storage. LWT-Food Sci. Technol. 2020, 118, 108705. [Google Scholar] [CrossRef]
- Singh, A.; Benjakul, S. Proteolysis and its control using protease inhibitors in fish and fish products: A review. Compr. Rev. Food Sci. Food Saf. 2018, 17, 496–509. [Google Scholar] [CrossRef]
- Xing, J.; Zhang, M.D.; Zheng, J.; Yang, S.; Yang, J.F. Effect of extra oxygen on apostichopus japonicus life sustainability during commercial transport. Food Control 2021, 125, 108022. [Google Scholar] [CrossRef]
- SC/T 3308-2014; Ready-to-Eat Sea Cucumber. Ministry of Agriculture of the People’s Republic of China: Beijing, China, 2014.
- Hui, H.; Luo, Y.; Zhou, Z.; Bao, Y.; Han, L.; Shen, H. Effects of different freezing treatments on the biogenic amine and quality changes of bighead carp (aristichthys nobilis) heads during ice storage. Food Chem. 2013, 138, 1476–1482. [Google Scholar] [CrossRef]
- Shi, C.; Cui, J.; Luo, Y.; Zhou, Z. Effect of lightly salt and sucrose on rigor mortis changes in silver carp (Hypophthalmichthys molitrix) stored at 4 °C. Int. J. Food Sci. Technol. 2014, 49, 160–167. [Google Scholar] [CrossRef]
- GB5009.228-2016; China Food and Drug Administration, National Health and Family Planning Commission. National Standard for Food Safety: GB5009.228-2016 Volatile Base Nitrogen in Food. Standards Press of China: Beijing, China, 2016.
- Suarez, M.D.; Martinez, T.F.; Saez, M.I.; Morales, A.E.; Garcia-Gallego, M. Effects of dietary restriction on post-mortem changes in white muscle of sea bream (Sparus aurata). Aquaculture 2010, 307, 49–55. [Google Scholar] [CrossRef]
- Tan, M.Q.; Lin, Z.Y.; Zu, Y.X.; Zhu, B.W.; Cheng, S.S. Effect of multiple freeze-thaw cycles on the quality of instant sea cucumber: Emphatically on water status of by LF-NMR and MRI. Food Res. Int. 2018, 109, 65–71. [Google Scholar] [CrossRef]
- Vacha, F.; Cepak, M.; Urbanek, M.; Vejsada, P.; Hartvich, P.; Rost, M. Impact of long-term storage on the instrumental textural properties of frozen common carp (Cyprinus carpio, L.) fflesh. Int. J. Food Prop. 2013, 16, 241–250. [Google Scholar] [CrossRef]
- Liu, Y.X.; Zhou, D.Y.; Liu, Z.Q.; Lu, T.; Song, L.; Li, D.M.; Dong, X.P.; Qi, H.; Zhu, B.W.; Shahidi, F. Structural and biochemical changes in dermis of sea cucumber (Stichopus japonicus ) during autolysis in response to cutting the body wall. Food Chem. 2018, 240, 1254–1261. [Google Scholar] [CrossRef]
- Veena, P.; Dutt, T.A.; Aparna, A.; Pankaj, K.; Chandra, R.D. Tribology—Novel oral processing tool for sensory evaluation of food. LWT—Food Sci. Technol. 2022, 160, 113270. [Google Scholar] [CrossRef]
- Mehta, N.K.; Chouksey, M.K.; Balange, A.K.; Tripathi, G.; Nayak, B.B. Physicochemical and gel properties of myofibrillar protein from sin croaker (Johnius dussumieri) fish during ice storage. J. Aquat. Food Prod. Technol. 2016, 26, 71–85. [Google Scholar] [CrossRef]
- Szmanko, T.; Lesiow, T.; Gorecka, J. The water-holding capacity of meat: A reference analytical method. Food Chem. 2021, 357, 129727. [Google Scholar] [CrossRef]
- Gianasi, B.L.; Hamel, J.F.; Mercier, A. Experimental test of optimal holding conditions for live transport of temperate sea cucumbers. Fish. Res. 2016, 174, 298–308. [Google Scholar] [CrossRef]
- Gülsün, Ö.; Yesim, Ö.; Caner, E.Ö.; Polat, A.; Fatih, Ö.; Cengiz, G. Determination of the quality parameters of pike perch sander lucioperca caught by gillnet, longline and harpoon in Turkey. Fish. Sci. 2010, 73, 412–420. [Google Scholar] [CrossRef]
- Shafi, J.; Waheed, K.N.; Zafarullah, M.; Mirza, Z.S.; Yaqoob, S.S. Effect of icing on quality of silver carp during frozen storage. J. Food Process. Preserv. 2020, 44, e14654. [Google Scholar] [CrossRef]
- Borwankar, R.P.; Frye, L.A.; Blaurock, A.E.; Sasevich, F.J. Rheological characterization of melting of margarines and tablespreads. J. Food Eng. 1992, 16, 55–74. [Google Scholar] [CrossRef]
- Saito, M.; Kunisaki, N.; Urano, N.; Kimura, S. Collagen as the major edible component of sea cucumber (Stichopus japonicus). J. Food Sci. 2002, 67, 1319–1322. [Google Scholar] [CrossRef]
- Bao, Y.L.; Ertbjerg, P. Effects of protein oxidation on the texture and water-holding of meat: A review. Crit. Rev. Food Sci. Nutr. 2019, 59, 3564–3578. [Google Scholar] [CrossRef] [PubMed]
- Ertbjerg, P.; Puolanne, E. Muscle structure, sarcomere length and influences on meat quality: A review. Meat Sci. 2017, 132, 139–152. [Google Scholar] [CrossRef]
- Konno, K.; Fukazawa, C. Autolysis of squid mantle muscle protein as affected by storage conditions and inhibitors. J. Food Sci. 1993, 58, 1198–1202. [Google Scholar] [CrossRef]
- Hultmann, L.; Rustad, T. Textural changes during iced storage of salmon (salmo salar) and cod (gadus morhua). J. Aquat. Food Prod. Technol. 2002, 11, 105–123. [Google Scholar] [CrossRef]
- Dong, X.P.; Liu, W.T.; Song, X.; Lin, X.Y.; Yu, D.; Yu, C.X.; Zhu, B.W. Characterization of heat-induced water adsorption of sea cucumber body wall. J. Food Sci. 2019, 84, 92–100. [Google Scholar] [CrossRef]
- Qiao, L.; Tang, X.Y.; Dong, J. A feasibility quantification study of total volatile basic nitrogen (TVB-N) content in duck meat for freshness evaluation. Food Chem. 2017, 237, 1179–1185. [Google Scholar] [CrossRef]
- Chaparro-Hernandez, S.; Ruiz-Cruz, S.; Marquez-Rios, E.; Ocano-Higuera, V.M.; Valenzuela-Lopez, C.C.; Ornelas-Paz, J.D.; Del-Toro-Sanchez, C.L. Effect of chitosan-carvacrol edible coatings on the quality and shelf life of tilapia (Oreochromis niloticus) fillets stored in ice. Food Sci. Technol. 2015, 35, 734–741. [Google Scholar] [CrossRef]
- Lorentzen, G.; Ageeva, T.N.; Heide, M.; Esaiassen, M. Temperature fluctuations in processing and distribution: Effect on the shelf life of fresh cod fillets (Gadus morhua L.). Food Control 2020, 112, 107102. [Google Scholar] [CrossRef]
- Zhang, X.F.; Pan, C.; Chen, S.J.; Xue, Y.; Wang, Y.Q.; Wu, Y.Y. Effects of Modified Atmosphere Packaging with Different Gas Ratios on the Quality Changes of Golden Pompano (Trachinotus ovatus) Fillets during Super chilling Storage. Foods 2022, 11, 1943. [Google Scholar] [CrossRef] [PubMed]
- Zhuang, S.; Li, Y.; Jia, S.; Hong, H.; Liu, Y.; Luo, Y. Effects of pomegranate peel extract on quality and microbiota composition of bighead carp (Aristichthys nobilis) fillets during chilled storage. Food Microbiol. 2019, 82, 445–454. [Google Scholar] [CrossRef] [PubMed]
- Chytiri, S.; Chouliara, I.; Savvaidis, I.; Kontominas, M. Microbiological, chemical and sensory assessment of iced whole and filleted aquacultured rainbow trout. Food Microbiol. 2004, 21, 157–165. [Google Scholar] [CrossRef]
- Huang, Z.; Liu, X.; Jia, S.; Luo, Y. Antimicrobial effects of cinnamon bark oil on microbial composition and quality of grass carp (Ctenopharyngodon idellus) fifillets during chilled storage. Food Control 2017, 82, 316–324. [Google Scholar] [CrossRef]







| External Indicators (Score) | Level 1 (20–25 Points) | Level 2 (14–19 Points) | Level 3 (8–13 Points) | Level 4 (1–7 Points) |
|---|---|---|---|---|
| Color (25 points) | Gray to brown, color is more uniform | Slightly lighter in color | The color becomes lighter and more uneven | Faded serious, uneven color |
| Organization status (25 points) | Fleshy tissue normal, fleshy elastic | The meat is slightly loose, the elasticity is slightly poor | Meat slack, elasticity is poor | The meat is very hard, the elasticity is very poor |
| Smell (25 points) | The unique smell of sea cucumber, no peculiar smell | With a slightly fishy smell | The heavier fishy smell | Stench |
| Impurity (25 points) | No visible foreign impurities | A little impurity | More impurities | A lot of impurities |
Publisher’s Note: MDPI stays neutral with regard to jurisdictional claims in published maps and institutional affiliations. |
© 2022 by the authors. Licensee MDPI, Basel, Switzerland. This article is an open access article distributed under the terms and conditions of the Creative Commons Attribution (CC BY) license (https://creativecommons.org/licenses/by/4.0/).
Share and Cite
Li, S.; Zhou, Y.; Sun, L.; Wang, Y.; Song, S.; Ai, C.; Yang, J. Effects of Storage Method on the Quality of Processed Sea Cucumbers (Apostichopus japonicus). Foods 2022, 11, 4098. https://doi.org/10.3390/foods11244098
Li S, Zhou Y, Sun L, Wang Y, Song S, Ai C, Yang J. Effects of Storage Method on the Quality of Processed Sea Cucumbers (Apostichopus japonicus). Foods. 2022; 11(24):4098. https://doi.org/10.3390/foods11244098
Chicago/Turabian StyleLi, Shuang, Yan Zhou, Liming Sun, Yanjie Wang, Shuang Song, Chunqing Ai, and Jingfeng Yang. 2022. "Effects of Storage Method on the Quality of Processed Sea Cucumbers (Apostichopus japonicus)" Foods 11, no. 24: 4098. https://doi.org/10.3390/foods11244098
APA StyleLi, S., Zhou, Y., Sun, L., Wang, Y., Song, S., Ai, C., & Yang, J. (2022). Effects of Storage Method on the Quality of Processed Sea Cucumbers (Apostichopus japonicus). Foods, 11(24), 4098. https://doi.org/10.3390/foods11244098

