Counter-Current Fractionation-Assisted Bioassay-Guided Separation of Active Compound from Blueberry and the Interaction between the Active Compound and α-Glucosidase
Abstract
1. Introduction
2. Materials and Methods
2.1. Material and Chemicals
2.2. Preparation of Sample
2.3. HSCCC Fractionation Procedure
2.4. Sephadex LH-20 Column Chromatography
2.5. HPLC Analysis and Identification of Isolated Fraction
2.6. α-Glucosidase Inhibition Assay
2.7. Inhibitory Kinetics
2.8. Fluorescence Spectroscopy
2.9. Surface Hydrophobicity Measurements
2.10. Circular Dichroism
2.11. Molecular Docking
3. Results and Discussion
3.1. Analysis of α-glucosidase inhibition results
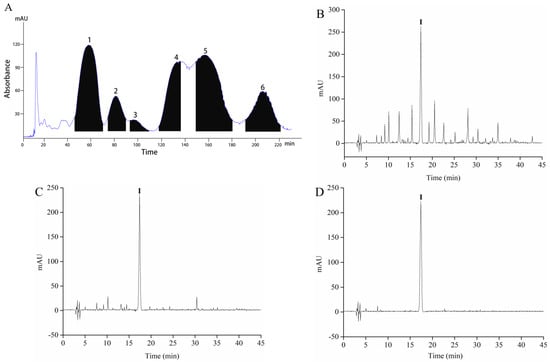
3.2. HSCCC Fractions and Their Activity
3.3. Isolation and Identification of Compound
3.4. Inhibitory Kinetics of C3G on α-Glucosidase
3.5. Fluorescence Emission Spectroscopy
3.6. Fluorescence Quenching Mechanism and Binding Constant
3.7. Thermodynamic Parameters
3.8. Protein Surface Hydrophobicity
3.9. Circular Dichroism Analysis
3.10. Molecular Docking Analysis
4. Conclusions
Supplementary Materials
Author Contributions
Funding
Acknowledgments
Conflicts of Interest
References
- Han, C.; Wang, S.; Li, Z.; Chen, C.; Hou, J.; Xu, D.; Kong, L. Bioactivity-guided cut countercurrent chromatography for isolation of lysine-specific demethylase 1 inhibitors from Scutellaria baicalensis Georgi. Anal. Chim. Acta 2018, 1016, 59–68. [Google Scholar] [CrossRef] [PubMed]
- Zhang, Y.; Luo, J.; Han, C.; Xu, J.; Kong, L. Bioassay-guided preparative separation of angiotensin-converting enzyme inhibitory C-flavone glycosides from Desmodium styracifolium by recycling complexation high-speed counter-current chromatography. J. Pharmaceut. Biomed. 2015, 102, 276–281. [Google Scholar] [CrossRef]
- Ma, R.; Zhou, R.; Tong, R.; Shi, S.; Chen, X. At-line hyphenation of high-speed countercurrent chromatography with Sephadex LH-20 column chromatography for bioassay-guided separation of antioxidants from vine tea (Ampelopsis grossedentata). J. Chromatogr. B 2017, 1040, 112–117. [Google Scholar] [CrossRef]
- Oldoni, T.L.C.; Melo, P.S.; Massarioli, A.P.; Moreno, I.A.M.; Bezerra, R.M.N.; Rosalen, P.L.; Alencar, S.M. Bioassay-guided isolation of proanthocyanidins with antioxidant activity from peanut (Arachis hypogaea) skin by combination of chromatography techniques. Food Chem. 2016, 192, 306–312. [Google Scholar] [CrossRef] [PubMed]
- Walasek, M.; Grzegorczyk, A.; Malm, A.; Skalicka-Woźniak, K. Bioactivity-guided isolation of antimicrobial coumarins from Heracleum mantegazzianum Sommier & Levier (Apiaceae) fruits by high-performance counter-current chromatography. Food Chem. 2015, 186, 133–138. [Google Scholar]
- Sun, J.; Chen, Y.; Wu, Y.; Zhang, X.; Jiang, L.; Zhang, Y. Bioassay-guided separation and identification of a new anti-lung cancer compound from Cordyceps militaris by means of off-line two-dimensional preparative chromatography, real-time cell analysis, and X-ray Single-crystal diffraction. Chromatographia 2015, 78, 495–506. [Google Scholar] [CrossRef]
- Li, L.; Yang, Y.; Hou, X.; Gu, D.; Ba, H.; Abdulla, R.; Aisa, H.A. Bioassay-guided separation and purification of water-soluble antioxidants from carthamus tinctorius l. by combination of chromatographic techniques. Sep. Purif. Technol. 2013, 104, 200–207. [Google Scholar] [CrossRef]
- Englert, M.; Kaiser, C.; Schwack, W.; Vetter, W. Isolation of (five) steviol glycosides from a Stevia rebaudiana formulation by gradient elution countercurrent chromatography. Chromatographia 2016, 79, 275–284. [Google Scholar] [CrossRef]
- Sun, C.; Liu, F.; Sun, J.; Li, J.; Wang, X. Optimisation and establishment of separation conditions of organic acids from Usnea longissima Ach. by pH-zone-refining counter-current chromatography: Discussion of the eluotropic sequence. J. Chromatogr. A 2016, 1427, 96–101. [Google Scholar] [CrossRef]
- Yang, J.; Gu, D.; Ji, Z.; Fang, C.; Xu, F.; Yang, Y. Comprehensive separation of major compositions from Sophora japonica var. violacea by counter-current chromatography using a liquid-liquid extraction strategy. Ind. Crop. Prod. 2018, 124, 363–368. [Google Scholar] [CrossRef]
- Yang, F.; Ma, Y.; Ito, Y. Separation and purification of isoflavones from a crude soybean extract by high-speed counter-current chromatography. J. Chromatogr. A 2001, 928, 163–170. [Google Scholar] [CrossRef]
- Sette, P.; Franceschinis, L.; Schebor, C.; Salvatori, D. Fruit snacks from raspberries: Influence of drying parameters on colour degradation and bioactive potential. Int. J. Food Sci. Tech. 2017, 52, 313–328. [Google Scholar] [CrossRef]
- Chen, J.; Du, J.; Li, M.; Li, C. Degradation kinetics and pathways of red raspberry anthocyanins in model and juice systems and their correlation with color and antioxidant changes during storage. LWT 2020, 128, 109448. [Google Scholar] [CrossRef]
- Baenas, N.; Ruales, J.; Moreno, D.A.; Barrio, D.A.; Stinco, C.M.; Martínez-Cifuentes, G.; García-Ruiz, A. Characterization of Andean blueberry in bioactive compounds, evaluation of biological properties, and in vitro bioaccessibility. Foods 2020, 9, 1483. [Google Scholar] [CrossRef]
- Miller, K.; Feucht, W.; Schmid, M. Bioactive compounds of strawberry and blueberry and their potential health effects based on human intervention studies: A brief overview. Nutrients 2019, 11, 1510. [Google Scholar] [CrossRef] [PubMed]
- Trinh, B.T.D.; Staerk, D.; Jäger, A.K. Screening for potential α-glucosidase and α-amylase inhibitory constituents from selected Vietnamese plants used to treat type 2 diabetes. J. Ethnopharmacol. 2016, 186, 189–195. [Google Scholar] [CrossRef]
- Zhang, J.; Sun, L.; Dong, Y.; Fang, Z.; Nisar, T.; Zhao, T.; Wang, Z.; Guo, Y. Chemical compositions and α-glucosiase inhibitory effects of anthocyanidins from blueberry, blackcurrant and blue honeysuckle fruits. Food Chem. 2019, 299, 125102. [Google Scholar] [CrossRef]
- Imran, S.; Taha, M.; Ismail, N.H.; Kashif, S.M.; Rahim, F.; Jamil, W.; Wahab, H. Synthesis of novel flavone hydrazones: In-vitro evaluation of α-glucosidase inhibition, QSAR analysis and docking studies. Eur. J. Med. Chem. 2015, 105, 156–170. [Google Scholar] [CrossRef]
- Figueroa Espinoza, M.C.; Zafimahova, A.; Alvarado, P.G.; Dubreucq, E.; Legrand, C.P. Grape seed and apple tannic acid: Emulsifying and antioxidant properties. Food Chem. 2015, 178, 38–44. [Google Scholar] [CrossRef]
- Li, Q.; Wei, Q.Y.; Yuan, E.D.; Yang, J.G.; Ning, Z.X. Interaction between four flavonoids and trypsin: Effect on the characteristics of trypsin and antioxidant activity of flavonoids. Int. J. Food Sci. Tech. 2014, 49, 1063–1069. [Google Scholar] [CrossRef]
- Wu, Y.; Zhou, Q.; Chen, X.; Li, X.; Wang, Y.; Zhang, J. Comparison and screening of bioactive phenolic compounds in different blueberry cultivars: Evaluation of anti-oxidation and α-glucosidase inhibition effect. Food Res. Int. 2017, 100, 312–324. [Google Scholar] [CrossRef]
- Johnson, M.H.; Lucius, A.; Meyer, T.; Gonzalez de Mejia, E. Cultivar evaluation and effect of fermentation on antioxidant capacity and in vitro inhibition of α-amylase and α-glucosidase by highbush blueberry (Vaccinium corombosum). J. Agr. Food Chem. 2011, 59, 8923–8930. [Google Scholar] [CrossRef] [PubMed]
- Xue, H.; Li, P.; Zhong, X.; Li, C.; Li, Q. Separation and purification of anthocyanins from mulberry fruit by high-speed counter-current chromatography and their antioxidant activity. Food Sci. 2020, 41, 96–104. [Google Scholar]
- Xue, H.; Shen, L.; Wang, X.; Liu, C.; Liu, C.; Liu, H.; Zheng, X. Isolation and purification of anthocyanin from blueberry using macroporous resin combined Sephadex LH-20 techniques. Food Sci. Technol. Res. 2019, 25, 29–38. [Google Scholar] [CrossRef]
- Xue, H.; Tan, J.; Li, Q.; Tang, J.; Cai, X. Optimization ultrasound-assisted deep eutectic solvent extraction of anthocyanins from raspberry using response surface methodology coupled with genetic algorithm. Foods 2020, 9, 1409. [Google Scholar] [CrossRef]
- Kim, J.H.; Cho, C.W.; Lee, J.I.; Vinh, L.B.; Kim, K.T.; Cho, I.S. An investigation of the inhibitory mechanism of α-glucosidase by chysalodin from Aloe vera. Int. J. Biol. Macromol. 2020, 147, 314–318. [Google Scholar] [CrossRef]
- Dai, T.; Li, T.; He, X.; Li, X.; Liu, C.; Chen, J.; McClements, D.J. Analysis of inhibitory interaction between epigallocatechin gallate and alpha-glucosidase: A spectroscopy and molecular simulation study. Spectrochim. Acta A 2020, 230, 118023. [Google Scholar] [CrossRef] [PubMed]
- Espinosa-Acosta, G.; Ramos-Jacques, A.L.; Molina, G.A.; Maya-Cornejo, J.; Esparza, R.; Hernandez-Martinez, A.R.; Estevez, M. Stability analysis of anthocyanins using alcoholic extracts from black carrot (Daucus Carota ssp. Sativus Var. Atrorubens Alef.). Molecules 2018, 23, 2744. [Google Scholar] [CrossRef] [PubMed]
- Agatonovic-Kustrin, S.; Morton, D.W.; Yusof, A.P.M. The use of Fourier Transform infrared (FTIR) spectroscopy and artificial neural networks (ANNs) to assess wine quality. Mod. Chem. App. 2013, 1, 1–8. [Google Scholar] [CrossRef]
- Molaeafard, S.; Jamei, R.; Marjani, A.P. Co-pigmentation of anthocyanins extracted from sour cherry (Prunus cerasus L.) with some organic acids: Color intensity, thermal stability, and thermodynamic parameters. Food Chem. 2021, 339, 128070. [Google Scholar] [CrossRef] [PubMed]
- Ma, Z.; Jing, P. Stabilization of black rice anthocyanins by self-assembled silk fibroin nanofibrils: Morphology, spectroscopy and thermal protection. Int. J. Biol. Macromol. 2020, 146, 1030–1039. [Google Scholar] [CrossRef]
- Lee, J.H.; Choung, M.G. Identification and characterisation of anthocyanins in the antioxidant activity-containing fraction of Liriope platyphylla fruits. Food Chem. 2011, 127, 1686–1693. [Google Scholar] [CrossRef]
- Dai, T.; Yan, X.; Li, Q.; Li, T.; Liu, C.; McClements, D.J.; Chen, J. Characterization of binding interaction between rice glutelin and gallic acid: Multi-spectroscopic analyses and computational docking simulation. Food Res. Int. 2017, 102, 274–281. [Google Scholar] [CrossRef]
- Li, Y.Q.; Zhou, F.C.; Gao, F.; Bian, J.S.; Shan, F. Comparative evaluation of quercetin, isoquercetin and rutin as inhibitors of alpha-glucosidase. J. Agr. Food Chem. 2009, 57, 11463–11468. [Google Scholar] [CrossRef]
- Van de Weert, M.; Stella, L. Fluorescence quenching and ligand binding: A critical discussion of a popular methodology. J. Mol. Struct. 2011, 998, 144–150. [Google Scholar] [CrossRef]
- Zeng, L.; Zhang, G.; Lin, S.; Gong, D. Inhibitory mechanism of apigenin on α-glucosidase and synergy analysis of flavonoids. J. Agr. Food Chem. 2016, 64, 6939–6949. [Google Scholar] [CrossRef] [PubMed]
- Dai, T.; Chen, J.; David, J.; Li, T.; Liu, C. Investigation the interaction between procyanidin dimer and α-glucosidase: Spectroscopic analyses and molecular docking simulation. Int. J. Biol. Macromol. 2019, 130, 315–322. [Google Scholar] [CrossRef]
- Peng, X.; Zhang, G.; Liao, Y.; Gong, D. Inhibitory kinetics and mechanism of kaempferol on α-glucosidase. Food Chem. 2016, 190, 207–215. [Google Scholar] [CrossRef] [PubMed]
- Tang, L.; Li, S.; Bi, H.; Gao, X. Interaction of cyanidin-3-O-glucoside with three proteins. Food Chem. 2016, 196, 550–559. [Google Scholar] [CrossRef] [PubMed]
- Xu, J.W.; Ikeda, K.; Yamori, Y. Upregulation of endothelial nitric oxide synthase by cyanidin-3-glucoside, a typical anthocyanin pigment. Hypertension 2004, 44, 217–222. [Google Scholar] [CrossRef]
- Wei, J.; Xu, D.; Yang, J.; Zhang, X.; Mu, T.; Wang, Q. Analysis of the interaction mechanism of anthocyanins (Aronia melanocarpa Elliot) with β-casein. Food Hydrocolloid. 2018, 84, 276–281. [Google Scholar] [CrossRef]
- Cheng, J.; Liu, J.H.; Prasanna, G.; Jing, P. Spectrofluorimetric and molecular docking studies on the interaction of cyanidin-3-O-glucoside with whey protein, β-lactoglobulin. Int. J. Biol. Macromol. 2017, 105, 965–972. [Google Scholar] [CrossRef] [PubMed]
- Gong, S.; Yang, C.; Zhang, J.; Yu, Y.; Gu, X.; Li, W.; Wang, Z. Study on the interaction mechanism of purple potato anthocyanins with casein and whey protein. Food Hydrocolloid. 2021, 111, 106223. [Google Scholar] [CrossRef]
- Nanda, R.K.; Sarkar, N.; Banerjee, R. Probing the interaction of ellagic acid with human serum albumin: A fluorescence spectroscopic study. J. Photoch. Photobio. B 2018, 192, 152–158. [Google Scholar] [CrossRef]
- Jia, J.; Gao, X.; Hao, M.; Tang, L. Comparison of binding interaction between β-lactoglobulin and three common polyphenols using multi-spectroscopy and modeling methods. Food Chem. 2017, 228, 143–151. [Google Scholar] [CrossRef]
- Pu, H.; Jiang, H.; Chen, R.; Wang, H. Studies on the interaction between vincamine and human serum albumin: A spectroscopic approach. Luminescence 2014, 29, 471–479. [Google Scholar] [CrossRef]
- Xu, X.; Liu, W.; Zhong, J.; Luo, L.; Liu, C.; Luo, S.; Chen, L. Binding interaction between rice glutelin and amylose: Hydrophobic interaction and conformational changes. Int. J. Biol. Macromol. 2015, 81, 942–950. [Google Scholar] [CrossRef]








| Peaks | Retention Time (min) | Molecular Ion (m/z) | Molecular Fragments (m/z) | Lost Fragments (m/z) | Compound |
|---|---|---|---|---|---|
| Component I | 17.37 | 449.1 | 287.4 | 162 | Cyanidin-3-glucoside |
| Enzyme | Inhibitor | Vmax | Km | Ki |
|---|---|---|---|---|
| (mg∙L−1∙min−1) | (mmol∙L−1) | (mmol∙L−1) | ||
| α-Glucosidase | Non | 13.78 | 1.88 | 0.20 × 10−3 |
| C3G (40 μM) | 10.97 | 2.57 | ||
| C3G (160 μM) | 7.86 | 2.87 |
| Sample | T (K) | Ksv (103 M−1) | Kq (1011 M−1∙S−1) | Ka (105 M−1) | n | R2 | ΔH (kJ∙mol−1) | ΔS (kJ∙mol−1∙K−1) | ΔG (kJ∙mol−1) |
|---|---|---|---|---|---|---|---|---|---|
| α-Glucosidase | 298 | 4.29 ± 0.02 | 4.29 ± 0.02 | 1.30 ± 0.01 | 0.88 | 0.9930 | −32.64 ± 0.57 | −0.098 ± 0.003 | −3.44 ± 0.03 |
| 308 | 3.97 ± 0.03 | 3.97 ± 0.03 | 1.27 ± 0.03 | 0.89 | 0.9833 | −2.46 ± 0.02 | |||
| 318 | 3.28 ± 0.01 | 3.28 ± 0.01 | 1.11 ± 0.02 | 0.95 | 0.9552 | −1.48 ± 0.03 |
| Sample | α-Helix (%) | β-Sheet (%) | β-Turn (%) | Irregular Coil (%) |
|---|---|---|---|---|
| α-Glucosidase | 22.7 ± 0.4 a | 23.5 ± 0.2 a | 24.1 ± 0.3 a | 32.4 ± 0.2 b |
| α-Glucosidase-C3G | 19.3 ± 0.5 b | 26.3 ± 0.4 b | 20.8 ± 0.4 b | 35.0 ± 0.4 a |
Publisher’s Note: MDPI stays neutral with regard to jurisdictional claims in published maps and institutional affiliations. |
© 2021 by the authors. Licensee MDPI, Basel, Switzerland. This article is an open access article distributed under the terms and conditions of the Creative Commons Attribution (CC BY) license (http://creativecommons.org/licenses/by/4.0/).
Share and Cite
Xue, H.; Zhu, X.; Tan, J.; Fan, L.; Li, Q.; Tang, J.; Cai, X. Counter-Current Fractionation-Assisted Bioassay-Guided Separation of Active Compound from Blueberry and the Interaction between the Active Compound and α-Glucosidase. Foods 2021, 10, 509. https://doi.org/10.3390/foods10030509
Xue H, Zhu X, Tan J, Fan L, Li Q, Tang J, Cai X. Counter-Current Fractionation-Assisted Bioassay-Guided Separation of Active Compound from Blueberry and the Interaction between the Active Compound and α-Glucosidase. Foods. 2021; 10(3):509. https://doi.org/10.3390/foods10030509
Chicago/Turabian StyleXue, Hongkun, Xiaohan Zhu, Jiaqi Tan, Linlin Fan, Qian Li, Jintian Tang, and Xu Cai. 2021. "Counter-Current Fractionation-Assisted Bioassay-Guided Separation of Active Compound from Blueberry and the Interaction between the Active Compound and α-Glucosidase" Foods 10, no. 3: 509. https://doi.org/10.3390/foods10030509
APA StyleXue, H., Zhu, X., Tan, J., Fan, L., Li, Q., Tang, J., & Cai, X. (2021). Counter-Current Fractionation-Assisted Bioassay-Guided Separation of Active Compound from Blueberry and the Interaction between the Active Compound and α-Glucosidase. Foods, 10(3), 509. https://doi.org/10.3390/foods10030509

