Influence of Transglutaminase Crosslinking on Casein Protein Fractionation during Low Temperature Microfiltration
Abstract
:1. Introduction
2. Materials and Methods
2.1. Materials
2.2. Sample Preparation and mTG Crosslinking
2.3. Microfiltration of Feed
2.4. Analysis
2.4.1. Proximate Analysis and Color
2.4.2. Apparent Viscosity
2.4.3. Turbidity
2.4.4. SDS-Polyacrylamide Gel Electrophoresis
2.4.5. Reversed-Phase High Performance Liquid Chromatography
2.5. Statistical Analysis
3. Results and Discussion
3.1. Extent of Casein Crosslinking with mTG in Micellar Casein Concentrate Feed
3.2. Influence of Feed Crosslinking on Microfiltration Performance
3.3. Characteristics of Permeate Produced from Crosslinked Feed
3.3.1. Composition of Permeate
3.3.2. Turbidity of Permeate Produced from Crosslinked Feed
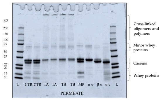
3.3.3. Protein Profile of Permeate Produced from Crosslinked Feed
4. Conclusions
Author Contributions
Funding
Data Availability Statement
Acknowledgments
Conflicts of Interest
References
- Griep, E.R.; Cheng, Y.; Moraru, C.I. Efficient removal of spores from skim milk using cold microfiltration: Spore size and surface property considerations. J. Dairy Sci. 2018, 101, 9703–9713. [Google Scholar] [CrossRef] [Green Version]
- Jarto, I.; Lucey, J.A.; Smith, K.E. Impact of processing temperature on production of milk protein permeate during microfiltration of skim or whole milk. Int. J. Dairy Technol. 2018, 71, 844–848. [Google Scholar] [CrossRef]
- Zulewska, J.; Barbano, D.M. Influence of casein on flux and passage of serum proteins during microfiltration using polymeric spiral-wound membranes at 50 °C. J. Dairy Sci. 2013, 96, 2048–2060. [Google Scholar] [CrossRef]
- Jørgensen, C.E.; Abrahamsen, R.K.; Rukke, E.-O.; Johansen, A.-G.; Schüller, R.B.; Skeie, S.B. Optimization of protein fractionation by skim milk microfiltration: Choice of ceramic membrane pore size and filtration temperature. J. Dairy Sci. 2016, 99, 6164–6179. [Google Scholar] [CrossRef]
- Mercier-Bouchard, D.; Benoit, S.; Doyen, A.; Britten, M.; Pouliot, Y. Process efficiency of casein separation from milk using polymeric spiral-wound microfiltration membranes. J. Dairy Sci. 2017, 100, 8838–8848. [Google Scholar] [CrossRef] [PubMed]
- Schiffer, S.; Kulozik, U. Effect of Temperature-Dependent Bacterial Growth during Milk Protein Fractionation by Means of 0.1 µM Microfiltration on the Length of Possible Production Cycle Times. Membranes 2020, 10, 326. [Google Scholar] [CrossRef] [PubMed]
- France, T.C.; Kelly, A.L.; Crowley, S.V.; O’Mahony, J.A. The effects of temperature and transmembrane pressure on protein, calcium and plasmin partitioning during microfiltration of skim milk. Int. Dairy J. 2021, 114, 104930. [Google Scholar] [CrossRef]
- Puri, R.; Singh, U.; A O’Mahony, J. Influence of Processing Temperature on Membrane Performance and Characteristics of Process Streams Generated during Ultrafiltration of Skim Milk. Foods 2020, 9, 1721. [Google Scholar] [CrossRef]
- Crowley, S.V.; Burlot, E.; Silva, J.V.C.; McCarthy, N.A.; Wijayanti, H.B.; Fenelon, M.A.; Kelly, A.L.; O’Mahony, J.A. Rehydration behaviour of spray-dried micellar casein concentrates produced using microfiltration of skim milk at cold or warm temperatures. Int. Dairy J. 2018, 81, 72–79. [Google Scholar] [CrossRef]
- Carr, A.J.; Southward, C.R.; Creamer, L.K. Protein hydration and viscosity of dairy fluids. In Advanced Dairy Chemistry—1 Proteins; Springer: Berlin/Heidelberg, Germany, 2003; pp. 1289–1323. [Google Scholar]
- Broyard, C.; Gaucheron, F. Modifications of structures and functions of caseins: A scientific and technological challenge. Dairy Sci. Technol. 2015, 95, 831–862. [Google Scholar] [CrossRef]
- Liu, D.Z.; Weeks, M.G.; Dunstan, D.E.; Martin, G.J.O. Temperature-dependent dynamics of bovine casein micelles in the range 10–40 C. Food Chem. 2013, 141, 4081–4086. [Google Scholar] [CrossRef] [PubMed]
- Schäfer, J.; Schubert, T.; Atamer, Z. Pilot-scale β-casein depletion from micellar casein via cold microfiltration in the diafiltration mode. Int. Dairy J. 2019, 97, 222–229. [Google Scholar] [CrossRef]
- Atamer, Z.; Post, A.E.; Schubert, T.; Holder, A.; Boom, R.M.; Hinrichs, J. Bovine β-casein: Isolation, properties and functionality. A review. Int. Dairy J. 2017, 66, 115–125. [Google Scholar] [CrossRef]
- Crowley, S.V.; Kelly, A.L.; O’Mahony, J.A.; Lucey, J.A. Colloidal properties of protein complexes formed in β-casein concentrate solutions as influenced by heating and cooling in the presence of different solutes. Colloids Surf. B Biointerfaces 2019, 174, 343–351. [Google Scholar] [CrossRef] [PubMed]
- McCarthy, N.A.; Wijayanti, H.B.; Crowley, S.V.; O’Mahony, J.A.; Fenelon, M.A. Pilot-scale ceramic membrane filtration of skim milk for the production of a protein base ingredient for use in infant milk formula. Int. Dairy J. 2017, 73, 57–62. [Google Scholar] [CrossRef]
- Schiffer, S.; Vannieuwenhuyse, L.; Susianto, C.; Hartinger, M.; Kulozik, U. Influence of pH and calcium concentration on milk protein fractionation by 0.1 μm microfiltration at low temperatures. Int. Dairy J. 2021, 118, 105048. [Google Scholar] [CrossRef]
- Hartinger, M.; Kulozik, U. Milk protein fractionation by spiral-wound microfiltration membranes in diafiltration mode-Influence of feed protein concentration and composition on the filtration performance. Int. Dairy J. 2020, 102, 104606. [Google Scholar] [CrossRef]
- Moon, J.H.; Hong, Y.H.; Huppertz, T.; Fox, P.F.; Kelly, A.L. Properties of casein micelles cross-linked by transglutaminase. Int. J. Dairy Technol. 2009, 62, 27–32. [Google Scholar] [CrossRef]
- Hinz, K.; Huppertz, T.; Kelly, A.L. Susceptibility of the individual caseins in reconstituted skim milk to cross-linking by transglutaminase: Influence of temperature, pH and mineral equilibria. J. Dairy Res. 2012, 79, 414. [Google Scholar] [CrossRef] [Green Version]
- Sharma, R.; Lorenzen, P.C.; Qvist, K.B. Influence of transglutaminase treatment of skim milk on the formation of ε-(γ-glutamyl) lysine and the susceptibility of individual proteins towards crosslinking. Int. Dairy J. 2001, 11, 785–793. [Google Scholar] [CrossRef]
- Hiller, B.; Lorenzen, P.C. Functional properties of milk proteins as affected by enzymatic oligomerisation. Food Res. Int. 2009, 42, 899–908. [Google Scholar] [CrossRef]
- Guyot, C.; Kulozik, U. Effect of transglutaminase-treated milk powders on the properties of skim milk yoghurt. Int. Dairy J. 2011, 21, 628–635. [Google Scholar] [CrossRef]
- Ardelean, A.I.; Jaros, D.; Rohm, H. Influence of microbial transglutaminase cross-linking on gelation kinetics and texture of acid gels made from whole goats and cows milk. Dairy Sci. Technol. 2013, 93, 63–71. [Google Scholar] [CrossRef] [Green Version]
- Aaltonen, T.; Huumonen, I.; Myllärinen, P. Controlled transglutaminase treatment in Edam cheese-making. Int. Dairy J. 2014, 38, 179–182. [Google Scholar] [CrossRef]
- Er, B.; Sert, D.; Mercan, E. Production of skim milk powder by spray-drying from transglutaminase treated milk concentrates: Effects on physicochemical, powder flow, thermal and microstructural characteristics. Int. Dairy J. 2019, 99, 104544. [Google Scholar] [CrossRef]
- Power, O.M.; Maidannyk, V.; McSweeney, D.J.; Fenelon, M.A.; O’Mahony, J.A.; McCarthy, N.A. Water sorption and hydration properties of high protein milk powders are influenced by enzymatic crosslinking and calcium chelation. Powder Technol. 2020, 364, 680–688. [Google Scholar] [CrossRef]
- Power, O.M.; Fenelon, M.A.; O’Mahony, J.A.; McCarthy, N.A. Influence of sodium hexametaphosphate addition on the functional properties of milk protein concentrate solutions containing transglutaminase cross-linked proteins. Int. Dairy J. 2020, 104, 104641. [Google Scholar] [CrossRef]
- Duerasch, A.; Wissel, J.; Henle, T. Reassembling of alkali-treated casein micelles by microbial transglutaminase. J. Agric. Food Chem. 2018, 66, 11748–11756. [Google Scholar] [CrossRef]
- O’Sullivan, M.M.; Kelly, A.L.; Fox, P.F. Effect of transglutaminase on the heat stability of milk: A possible mechanism. J. Dairy Sci. 2002, 85, 1–7. [Google Scholar] [CrossRef]
- O’Sullivan, M.M.; Kelly, A.L.; Fox, P.F. Influence of transglutaminase treatment on some physico-chemical properties of milk. J. Dairy Res. 2002, 69, 433–442. [Google Scholar] [CrossRef] [PubMed]
- Romeih, E.; Walker, G. Recent advances on microbial transglutaminase and dairy application. Trends Food Sci. Technol. 2017, 62, 133–140. [Google Scholar] [CrossRef]
- Mounsey, J.S.; O’Kennedy, B.T.; Kelly, P.M. Influence of transglutaminase treatment on properties of micellar casein and products made therefrom. Le Lait 2005, 85, 405–418. [Google Scholar] [CrossRef] [Green Version]
- Bönisch, M.P.; Lauber, S.; Kulozik, U. Effect of ultra-high temperature treatment on the enzymatic cross-linking of micellar casein and sodium caseinate by transglutaminase. J. Food Sci. 2004, 69, E398–E404. [Google Scholar] [CrossRef]
- International Dairy Federation (IDF). Milk. Determination of nitrogen content, ISO 8968-5. IDF standard 020-5:2001. 2001. Available online: https://www.iso.org/obp/ui/#iso:std:iso:8968:-5:ed-1:v1:en (accessed on 12 December 2021).
- International Dairy Federation (IDF). Milk. Determination of the ash content of processed cheese products. IDF standard 027:1964. 1964. Available online: http://idfstore.testandgo.io/product/idf-0271964-determination-ash-content-processed-cheese-products/ (accessed on 12 December 2021).
- Li, M.; Auty, M.A.E.; Crowley, S.V.; Kelly, A.L.; O’Mahony, J.A.; Brodkorb, A. Self-association of bovine β-casein as influenced by calcium chloride, buffer type and temperature. Food Hydrocoll. 2019, 88, 190–198. [Google Scholar] [CrossRef]
- Walstra, P. The voluminosity of bovine casein micelles and some of its implications. J. Dairy Res. 1979, 46, 317–323. [Google Scholar] [CrossRef] [PubMed]
- O’Connell, J.E.; De Kruif, C.G. β-Casein micelles; cross-linking with transglutaminase. Colloids Surf. A Physicochem. Eng. Asp. 2003, 216, 75–81. [Google Scholar] [CrossRef]
- Christensen, B.M.; Sørensen, E.S.; Højrup, P.; Petersen, T.E.; Rasmussen, L.K. Localization of potential transglutaminase cross-linking sites in bovine caseins. J. Agric. Food Chem. 1996, 44, 1943–1947. [Google Scholar] [CrossRef]
- De Kruif, C.G.; Holt, C. Casein micelle structure, functions and interactions. In Advanced Dairy Chemistry—1 Proteins; Springer: Boston, MA, USA, 2003; pp. 233–276. [Google Scholar]
- France, T.C.; Bot, F.; Kelly, A.L.; Crowley, S.V.; O’Mahony, J.A. The influence of temperature on filtration performance and fouling during cold microfiltration of skim milk. Sep. Purif. Technol. 2021, 262, 118256. [Google Scholar] [CrossRef]
- Ng, K.S.Y.; Haribabu, M.; Harvie, D.J.E.; Dunstan, D.E.; Martin, G.J.O. Mechanisms of flux decline in skim milk ultrafiltration: A review. J. Membr. Sci. 2017, 523, 144–162. [Google Scholar] [CrossRef]
- Partschefeld, C.; Schwarzenbolz, U.; Richter, S.; Henle, T. Crosslinking of casein by microbial transglutaminase and its resulting influence on the stability of micelle structure. Biotechnol. J. Healthc. Nutr. Technol. 2007, 2, 456–461. [Google Scholar] [CrossRef]
- Smiddy, M.A.; Martin, J.E.; Kelly, A.L.; De Kruif, C.G.; Huppertz, T. Stability of casein micelles cross-linked by transglutaminase. J. Dairy Sci. 2006, 89, 1906–1914. [Google Scholar] [CrossRef] [Green Version]
- Tan, T.J.; Wang, D.; Moraru, C.I. A physicochemical investigation of membrane fouling in cold microfiltration of skim milk. J. Dairy Sci. 2014, 97, 4759–4771. [Google Scholar] [CrossRef] [PubMed]
- Gaspar, A.L.C.; de Góes-Favoni, S.P. Action of microbial transglutaminase (MTGase) in the modification of food proteins: A review. Food Chem. 2015, 171, 315–322. [Google Scholar] [CrossRef] [PubMed]
- Noelken, M.; Reibstein, M. Conformation of β-casein B. Arch. Biochem. Biophys. 1968, 123, 397–402. [Google Scholar] [CrossRef]
- De Kruif, C.G.; Tuinier, R.; Holt, C.; Timmins, P.A.; Rollema, H.S. Physicochemical study of κ-and β-casein dispersions and the effect of cross-linking by transglutaminase. Langmuir 2002, 18, 4885–4891. [Google Scholar] [CrossRef] [Green Version]
- Sharma, R.; Zakora, M.; Qvist, K.B. Susceptibility of an industrial α-lactalbumin concentrate to cross-linking by microbial transglutaminase. Int. Dairy J. 2002, 12, 1005–1012. [Google Scholar] [CrossRef]
- Faergemand, M.; Otte, J.; Qvist, K.B. Enzymatic cross-linking of whey proteins by a Ca2+-independent microbial transglutaminase from Streptomyces lydicus. Food Hydrocoll. 1997, 11, 19–25. [Google Scholar] [CrossRef]









| CTR | TA | TB | |
|---|---|---|---|
| Total solids (g/kg) | 3.40 a ± 0.09 | 4.08 b ± 0.05 | 3.99 b ± 0.05 |
| Total nitrogen (g/kg) | 2.98 b ± 0.03 | 2.93 ab ± 0.05 | 2.87 a ± 0.06 |
| Ash (g/kg) | 0.28 a ± 0.02 | 0.28 a ± 0.05 | 0.29 a ± 0.07 |
| pH | 6.96 a ± 0.06 | 7.10 b ± 0.05 | 7.10 b ± 0.06 |
| Viscosity (mPa·s) | 3.15 a ± 0.35 | 3.44 a ± 0.78 | 3.13 a ± 0.22 |
| L* value | 81.3 b ± 1.01 | 80.3 a ± 0.92 | 82.2 b ± 0.54 |
| a* value | −1.44 c ± 0.29 | −2.08 a ± 0.14 | −1.75 b ± 0.20 |
| b* value | −0.62 c ± 0.05 | −2.47 a ± 0.47 | −1.38 b ± 0.17 |
| CTR | TA | TB | |
|---|---|---|---|
| Total solids (g/kg) | 0.40 a ± 0.14 | 1.04 b ± 0.13 | 0.94 b ± 0.03 |
| Total nitrogen (g/kg) | 0.29 b ± 0.07 | 0.14 a ± 0.02 | 0.14 a ± 0.01 |
| Ash (g/kg) | 0.03 a ± 0.04 | 0.07 a ± 0.05 | 0.03 a ± 0.01 |
| pH | 7.00 a ± 0.07 | 7.13 b ± 0.05 | 7.13 b ± 0.10 |
| Viscosity (mPa.s) | 2.40 b ± 0.35 | 1.77 a ± 0.31 | 2.08 ab ± 0.27 |
Publisher’s Note: MDPI stays neutral with regard to jurisdictional claims in published maps and institutional affiliations. |
© 2021 by the authors. Licensee MDPI, Basel, Switzerland. This article is an open access article distributed under the terms and conditions of the Creative Commons Attribution (CC BY) license (https://creativecommons.org/licenses/by/4.0/).
Share and Cite
Puri, R.; Bot, F.; Singh, U.; O’Mahony, J.A. Influence of Transglutaminase Crosslinking on Casein Protein Fractionation during Low Temperature Microfiltration. Foods 2021, 10, 3146. https://doi.org/10.3390/foods10123146
Puri R, Bot F, Singh U, O’Mahony JA. Influence of Transglutaminase Crosslinking on Casein Protein Fractionation during Low Temperature Microfiltration. Foods. 2021; 10(12):3146. https://doi.org/10.3390/foods10123146
Chicago/Turabian StylePuri, Ritika, Francesca Bot, Upendra Singh, and James A. O’Mahony. 2021. "Influence of Transglutaminase Crosslinking on Casein Protein Fractionation during Low Temperature Microfiltration" Foods 10, no. 12: 3146. https://doi.org/10.3390/foods10123146
APA StylePuri, R., Bot, F., Singh, U., & O’Mahony, J. A. (2021). Influence of Transglutaminase Crosslinking on Casein Protein Fractionation during Low Temperature Microfiltration. Foods, 10(12), 3146. https://doi.org/10.3390/foods10123146

