In Vitro Fracture Strength of Teeth Restored with Lithium Disilicate Onlays with and without Fiber Post Build-Up
Abstract
1. Introduction
2. Results
3. Discussion
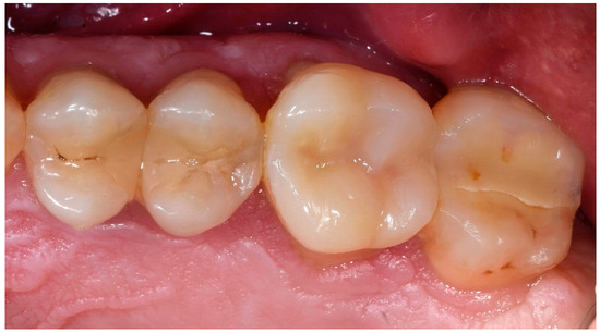
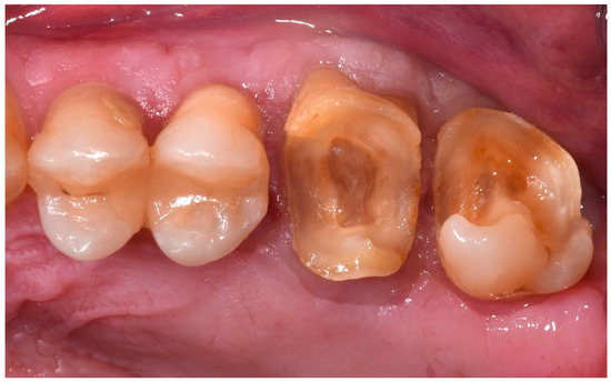
4. Materials and Methods
5. Conclusions
Author Contributions
Funding
Conflicts of Interest
References
- Saridag, S.; Sevimay, M.; Pekkan, G. Fracture resistance of teeth restored with all-ceramic inlays and onlays: An in vitro study. Oper. Dent. 2013, 38, 626–634. [Google Scholar] [CrossRef] [PubMed]
- Sorensen, J.A.; Engelman, M.J. Ferrule design and fracture resistance of endodontically treated teeth. J. Prosthet. Dent. 1990, 63, 529–536. [Google Scholar] [CrossRef]
- Stankiewicz, N.R.; Wilson, P.R. The ferrule effect: A literature review. Int. Endod. J. 2002, 35, 575–581. [Google Scholar] [CrossRef] [PubMed]
- Jotkowitz, A.; Samet, N. Rethinking ferrule—A new approach to an old dilemma. Br. Dent. J. 2010, 209, 25–33. [Google Scholar] [CrossRef] [PubMed]
- Juloski, J.; Radovic, I.; Goracci, C.; Vulicevic, Z.R.; Ferrari, M. Ferrule effect: A literature review. J. Endod. 2012, 38, 11–19. [Google Scholar] [CrossRef] [PubMed]
- Politano, G.; Fabianelli, A.; Papacchini, F.; Cerutti, A. The use of bonded partial ceramic restorations to recover heavily compromised teeth. Int. J. Esthet. Dent. 2016, 11, 314–336. [Google Scholar] [PubMed]
- Mobilio, N.; Fasiol, A.; Catapano, S. Qualitative evaluation of the adesive interface between lithium disilicate, luting composite and natural tooth. Ann. Stomatol. 2016, 7, 1–3. [Google Scholar] [CrossRef] [PubMed]
- Stankiewicz, N.; Wilson, P. The ferrule effect. Dent. Update 2008, 35, 222–224, 227–228. [Google Scholar] [CrossRef] [PubMed]
- Lima, A.F.; Spazzin, A.O.; Galafassi, D.; Correr-Sobrinho, L.; Carlini-Júnior, B. Influence of ferrule preparation with or without glass fiber post on fracture resistance of endodontically treated teeth. J. Appl. Oral. Sci. 2010, 18, 360–363. [Google Scholar] [CrossRef] [PubMed]
- Fragou, T.; Tortopidis, D.; Kontonasaki, E.; Evangelinaki, E.; Ioannidis, K.; Petridis, H.; Koidis, P. The effect of ferrule on the fracture mode of endodontically treated canines restored with fibre posts and metal-ceramic or all-ceramic crowns. J. Dent. 2012, 40, 276–285. [Google Scholar] [CrossRef] [PubMed]
- Samran, A.; El Bahra, S.; Kern, M. The influence of substance loss and ferrule height on the fracture resistance of endodontically treated premolars. An in vitro study. Dent. Mater. 2013, 29, 1280–1286. [Google Scholar] [CrossRef] [PubMed]
- Zicari, F.; Van Meerbeek, B.; Scotti, R.; Naert, I. Effect of ferrule and post placement on fracture resistance of endodontically treated teeth after fatigue loading. J. Dent. 2013, 41, 207–215. [Google Scholar] [CrossRef] [PubMed]
- Santos-Filho, P.C.; Veríssimo, C.; Soares, P.V.; Saltarelo, R.C.; Soares, C.J.; Marcondes Martins, L.R. Influence of ferrule, post system, and length on biomechanical behavior of endodontically treated anterior teeth. J. Endod. 2014, 40, 119–123. [Google Scholar] [CrossRef] [PubMed]
- Abdulrazzak, S.S.; Sulaiman, E.; Atiya, B.K.; Jamaludin, M. Effect of ferrule height and glass fibre post length on fracture resistance and failure mode of endodontically treated teeth. Aust. Endod. J. 2014, 40, 81–86. [Google Scholar] [CrossRef] [PubMed]
- Samran, A.; Al-Afandi, M.; Kadour, J.A.; Kern, M. Effect of ferrule location on the fracture resistance of crowned mandibular premolars: An in vitro study. J. Prosthet. Dent. 2015, 114, 86–91. [Google Scholar] [CrossRef] [PubMed]
- Zhang, Y.Y.; Peng, M.D.; Wang, Y.N.; Li, Q. The effects of ferrule configuration on the anti-fracture ability of fiber post-restored teeth. J. Dent. 2015, 43, 117–125. [Google Scholar] [CrossRef] [PubMed]
- Kar, S.; Tripathi, A.; Trivedi, C. Effect of different ferrule length on fracture resistance of endodontically treated teeth: An in vitro study. J. Clin. Diagn. Res. 2017, 11, ZC49–ZC52. [Google Scholar] [CrossRef] [PubMed]
- Yang, A.; Lamichhane, A.; Xu, C. Remaining coronal dentin and risk of fiber-reinforced composite post-core restoration failure: A meta-analysis. Int. J. Prosthodont. 2015, 28, 258–264. [Google Scholar] [CrossRef] [PubMed]
- Marchionatti, A.M.E.; Wandscher, V.F.; Rippe, M.P.; Kaizer, O.B.; Valandro, L.F. Clinical performance and failure modes of pulpless teeth restored with posts: A systematic review. Braz. Oral Res. 2017, 31, e64–e78. [Google Scholar] [CrossRef] [PubMed]
- Mobilio, N.; Fasiol, A.; Mollica, F.; Catapano, S. Effect of different luting agents on the retention of lithium disilicate ceramic crowns. Materials 2015, 8, 1604–1611. [Google Scholar] [CrossRef] [PubMed]
- Denry, I.; Holloway, J.A. Ceramics for dental applications: A review. Materials 2010, 3, 351–368. [Google Scholar] [CrossRef]
- Montazerian, M.; Zanotto, E.D. Bioactive and inert dental glass-ceramics. J. Biomed. Mater. Res. A 2017, 105, 619–639. [Google Scholar] [CrossRef] [PubMed]
- Baino, F.; Verné, E. Production and characterization of glass-ceramic materials for potential use in dental applications: Thermal and mechanical properties, microstructure, and in vitro bioactivity. Appl. Sci. 2017, 7, 1330. [Google Scholar] [CrossRef]
- Pegoraro, T.A.; da Silva, N.R.; Carvalho, R.M. Cements for use in esthetic dentistry. Dent. Clin. N. Am. 2007, 51, 453–471. [Google Scholar] [CrossRef] [PubMed]
- Vargas, M.A.; Bergeron, C.; Diaz-Arnold, A. Cementing all-ceramic restorations: Recommendations for success. J. Am. Dent. Assoc. 2011, 142, 20S–24S. [Google Scholar] [CrossRef] [PubMed]
- Mobilio, N.; Fasiol, A.; Catapano, S. Survival rates of lithium disilicate single restorations: A retrospective study. Int. J. Prosthodont. 2018, 31, 283–286. [Google Scholar] [CrossRef] [PubMed]
- Polz, M.H. Biomechanical basis of occlusal masticatory surface design. Zahntechnik 1981, 39, 126–134. [Google Scholar]
- Hagberg, C. Assessment of bite force: A review. J. Craniomandib. Disord. 1987, 1, 162–169. [Google Scholar] [PubMed]
- Kikuchi, M.; Korioth, T.W.; Hannam, A.G. The association among occlusal contacts, clenching effort, and bite force distribution in man. J. Dent. Res. 1997, 76, 1316–1325. [Google Scholar] [CrossRef] [PubMed]
- Zitzmann, N.U.; Krastl, G.; Hecker, H.; Walter, C.; Waltimo, T.; Weiger, R. Strategic considerations in treatment planning: Deciding when to treat, extract, or replace a questionable tooth. J. Prosthet. Dent. 2010, 104, 80–91. [Google Scholar] [CrossRef]










| Groups | Mean (Standard Deviation) |
|---|---|
| Group A | 1383.5 (359.4) |
| Group B | 1286.3 (524.8) |
© 2018 by the authors. Licensee MDPI, Basel, Switzerland. This article is an open access article distributed under the terms and conditions of the Creative Commons Attribution (CC BY) license (http://creativecommons.org/licenses/by/4.0/).
Share and Cite
Mobilio, N.; Fasiol, A.; Mollica, F.; Catapano, S. In Vitro Fracture Strength of Teeth Restored with Lithium Disilicate Onlays with and without Fiber Post Build-Up. Dent. J. 2018, 6, 35. https://doi.org/10.3390/dj6030035
Mobilio N, Fasiol A, Mollica F, Catapano S. In Vitro Fracture Strength of Teeth Restored with Lithium Disilicate Onlays with and without Fiber Post Build-Up. Dentistry Journal. 2018; 6(3):35. https://doi.org/10.3390/dj6030035
Chicago/Turabian StyleMobilio, Nicola, Alberto Fasiol, Francesco Mollica, and Santo Catapano. 2018. "In Vitro Fracture Strength of Teeth Restored with Lithium Disilicate Onlays with and without Fiber Post Build-Up" Dentistry Journal 6, no. 3: 35. https://doi.org/10.3390/dj6030035
APA StyleMobilio, N., Fasiol, A., Mollica, F., & Catapano, S. (2018). In Vitro Fracture Strength of Teeth Restored with Lithium Disilicate Onlays with and without Fiber Post Build-Up. Dentistry Journal, 6(3), 35. https://doi.org/10.3390/dj6030035

