Flapless Immediate Implants: Soft Tissue Alterations Following a Trimodal Approach with or Without Modifying Osseous and Mucosal Compartments in the Esthetic Zone: A Non-Randomized Clinical Trial with Historical Control Group
Abstract
1. Introduction
2. Materials and Methods
2.1. Study Design
2.2. Patient Population
- Age ≥ 18 years;
- Requiring tooth extraction in the anterior maxilla (13–23) due to the reasons described above;
- A failing tooth with adjacent and opposing natural teeth;
- Adequate oral hygiene (bleeding on probing < 20%; plaque index < 20%);
- The absence of active and uncontrolled periodontal disease;
- Sufficient mesial–distal and interocclusal space for implant placement and definitive restoration;
- Sufficient interocclusal space to design a non-occluding provisional restoration;
- Integrity of all bone walls around the problem tooth.
- Exclusion criteria:
- Systemic metabolic or osseous disease that could compromise peri-implant tissue healing;
- Acute infection in the treatment area.
- The absence of one or both adjacent teeth.
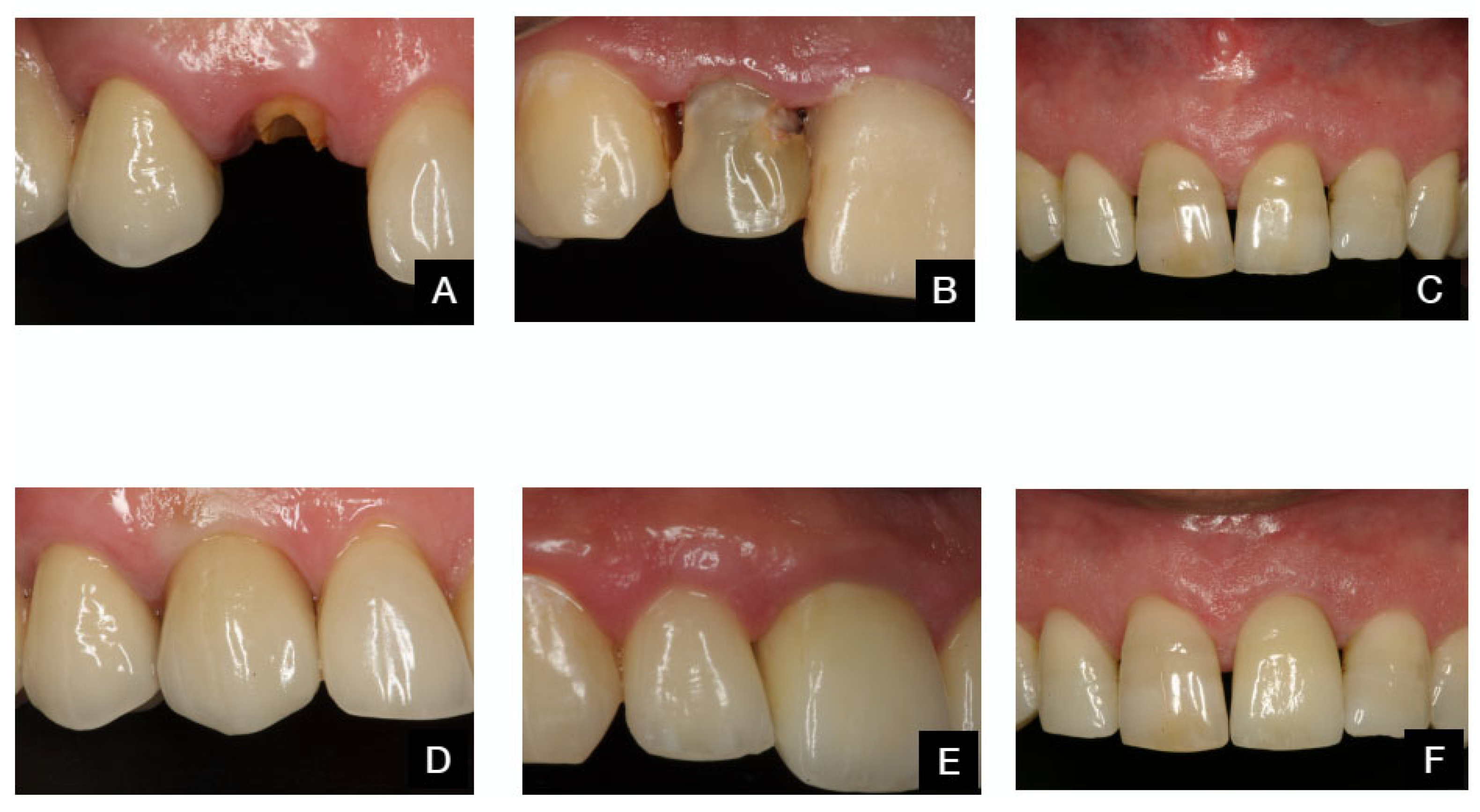
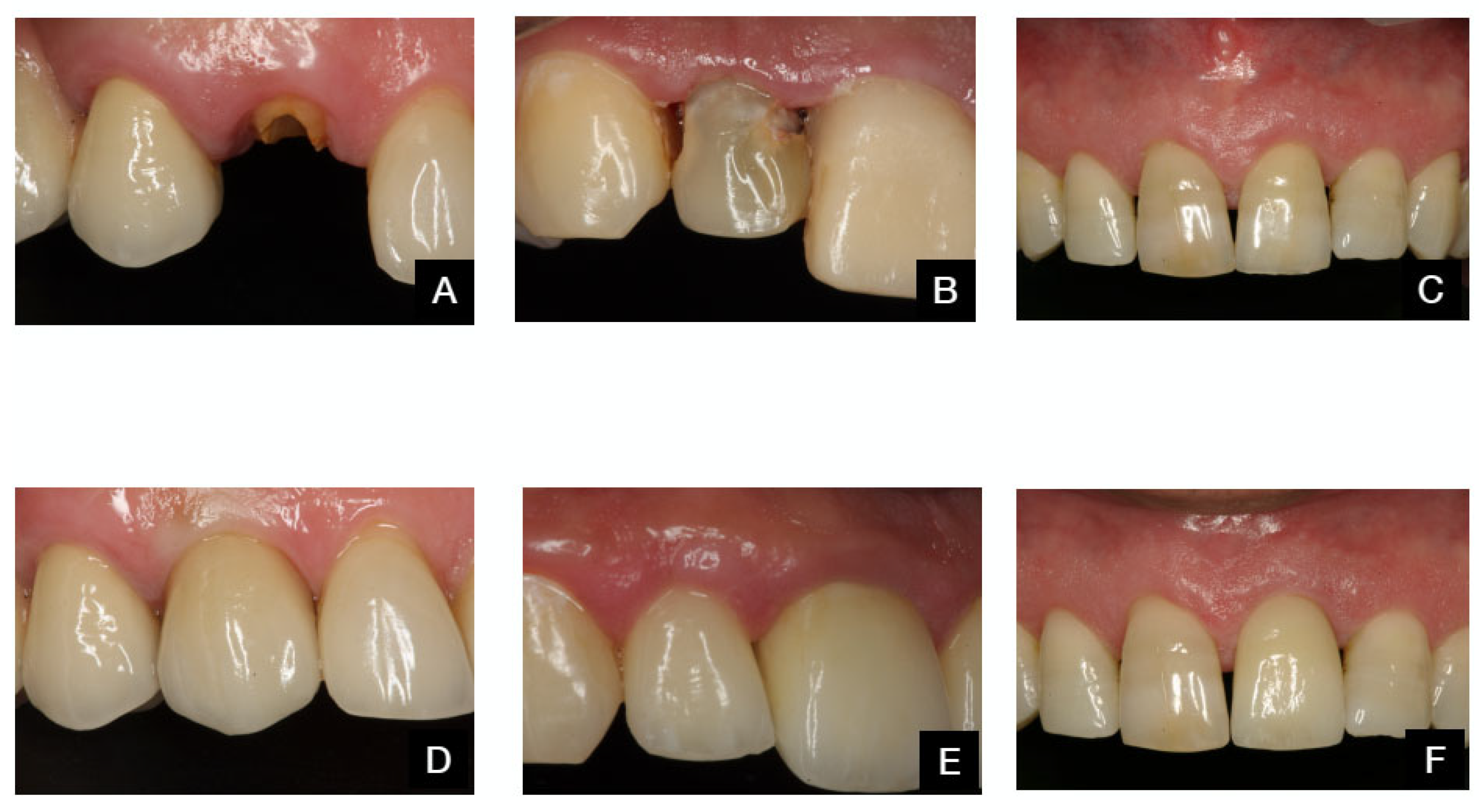
2.3. Treatment Protocol and Follow-Up
2.4. Outcome Measures
2.5. Statistical Analysis
3. Results
3.1. Sample Description
3.1.1. Vertical Soft Tissue Changes
3.1.2. Periodontal Phenotype Thickness
3.1.3. Correlation Between Vertical Soft Tissue Changes with Phenotype and Gingival Width
4. Discussion
5. Limitations
6. Future Directions
7. Conclusions
Author Contributions
Funding
Institutional Review Board Statement
Informed Consent Statement
Data Availability Statement
Acknowledgments
Conflicts of Interest
References
- Cabello, G.; Rioboo, M.; Fabrega, J.G. Immediate placement and restoration of implants in the aesthetic zone with a trimodal approach: Soft tissue alterations and its relation to gingival biotype. Clin. Oral Implant. Res. 2013, 24, 1094–1100. [Google Scholar] [CrossRef]
- De Rouck, T.; Collys, K.; Cosyn, J. Immediate single-tooth implants in the anterior maxilla: A 1-year case cohort study on hard and soft tissue response. J. Clin. Periodontol. 2008, 35, 649–657. [Google Scholar] [CrossRef] [PubMed]
- Evans, C.D.; Chen, S.T. Esthetic outcomes of immediate implant placements. Clin. Oral Implant. Res. 2008, 19, 73–80. [Google Scholar] [CrossRef] [PubMed]
- Kan, J.Y.; Rungcharassaeng, K.; Lozada, J. Immediate placement and provisionalization of maxillary anterior single implants: 1-year prospective study. Int. J. Oral Maxillofac. Implant. 2003, 18, 31–39. [Google Scholar]
- Palattella, P.; Torsello, F.; Cordaro, L. Two-year prospective clinical comparison of immediate replacement vs. immediate restoration of single tooth in the esthetic zone. Clin. Oral Implant. Res. 2008, 19, 1148–1153. [Google Scholar] [CrossRef]
- Seyssens, L.; Eeckhout, C.; Cosyn, J. Immediate implant placement with or without socket grafting: A systematic review and meta-analysis. Clin. Implant. Dent. Relat. Res. 2022, 24, 339–351. [Google Scholar] [CrossRef]
- Roe, P.; Kan, J.Y.; Rungcharassaeng, K.; Caruso, J.M.; Zimmerman, G.; Mesquida, J. Horizontal and vertical dimensional changes of peri-implant facial bone following immediate placement and provisionalization of maxillary anterior single implants: A 1-year cone beam computed tomography study. Int. J. Oral Maxillofac. Implant. 2012, 27, 393–400. [Google Scholar]
- Yuenyongorarn, P.; Kan, J.Y.K.; Rungcharassaeng, K.; Matsuda, H.; Roe, P.; Lozada, J.L.; Caruso, J. Facial Gingival Changes With and Without Socket Gap Grafting Following Single Maxillary Anterior Immediate Tooth Replacement: One-Year Results. J. Oral Implantol. 2020, 46, 496–505. [Google Scholar] [CrossRef]
- Seyssens, L.; De Lat, L.; Cosyn, J. Immediate implant placement with or without connective tissue graft: A systematic review and meta-analysis. J. Clin. Periodontol. 2021, 48, 284–301. [Google Scholar] [CrossRef]
- Kan, J.Y.; Rungcharassaeng, K.; Lozada, J.L.; Zimmerman, G. Facial gingival tissue stability following immediate placement and provisionalization of maxillary anterior single implants: A 2- to 8-year follow-up. Int. J. Oral Maxillofac. Implant. 2011, 26, 179–187. [Google Scholar]
- Araújo, M.G.; Linder, E.; Lindhe, J. Bio-Oss Collagen in the buccal gap at immediate implants: A 6-month study in the dog. Clin. Oral Implant. Res. 2011, 22, 1–8. [Google Scholar] [CrossRef]
- Kan, J.Y.; Rungcharassaeng, K.; Lozada, J.L. Bilaminar subepithelial connective tissue grafts for immediate implant placement and provisionalization in the esthetic zone. J. Calif. Dent. Assoc. 2005, 33, 865–871. [Google Scholar] [CrossRef]
- Caneva, M.; Botticelli, D.; Vigano, P.; Morelli, F.; Rea, M.; Lang, N.P. Connective tissue graft in conjunction with implants installed immediately into extraction sockets. An experimental study in dogs. Clin. Oral Implant. Res. 2013, 24, 50–56. [Google Scholar] [CrossRef]
- Zuiderveld, E.G.; Meijer, H.J.A.; den Hartog, L.; Vissink, A.; Raghoebar, G.M. Effect of connective tissue grafting on peri-implant tissue in single immediate implant sites: A RCT. J. Clin. Periodontol. 2018, 45, 253–264. [Google Scholar] [CrossRef]
- Bienz, S.; Pirc, M.; Papageorgiou, S.; Jung, R.E.; Thoma, D. The influence of thin as compared to thick peri-implant soft tissues on esthetic outcomes: A systematic review and meta-analysis. Clin. Oral Implant. Res. 2022, 33 (Suppl. S23), 56–71. [Google Scholar] [CrossRef]
- Tonetti, M.S.; Jung, R.E.; Avila-Ortiz, G.; Blanco, J.; Cosyn, J.; Fickl, S.; Figuero, E.; Goldstein, M.; Graziani, F.; Madianos, P.; et al. Management of the extraction socket and timing of implant placement: Consensus report and clinical recommendations of group 3 of the XV European Workshop in Periodontology. J. Clin. Periodontol. 2019, 46, 183–194. [Google Scholar] [CrossRef] [PubMed]
- Pitman, J.; Seyssens, L.; Christiaens, V.; Cosyn, J. Immediate implant placement with or without immediate provisionalization: A systematic review and meta-analysis. J. Clin. Periodontol. 2022, 49, 1012–1023. [Google Scholar] [CrossRef] [PubMed]
- Cosyn, J.; Eeckhout, C.; Christiaens, V.; Eghbali, A.; Vervaeke, S.; Younes, F.; De Bruyckere, T. A multi-centre randomized controlled trial comparing connective tissue graft with collagen matrix to increase soft tissue thickness at the buccal aspect of single implants: 3-month results. J. Clin. Periodontol. 2021, 48, 1502–1515. [Google Scholar] [CrossRef] [PubMed]
- Cosyn, J.; Eghbali, A.; Hermans, A.; Vervaeke, S.; De Bruyn, H.; Cleymaet, R. A 5-year prospective study on single immediate implants in the aesthetic zone. J. Clin. Periodontol. 2016, 43, 702–709. [Google Scholar] [CrossRef]
- Tortamano, P.; Camargo, L.O.; Stella Bello-Silva, M.S.; Kanashiro, L.H. Immediate implant placement and restoration in the esthetic zone: A prospective study with 18 moths of follow-up. Int. J. Oral Maxillofac. Implants 2010, 25, 345–350. [Google Scholar]
- Spinato, S.; Agnini, A.; Chiesi, M.; Agnini, A.M.; Wang, H.L. Comparison between graft and non-graft in an immediate placed and immediate nonfuntional loaded implant. Implant. Dent. 2012, 21, 97–103. [Google Scholar] [CrossRef]
- Malchiodi, L.; Cucchi, A.; Ghensi, P.; Nocini, P.F. Evaluation of esthetic results of 64 nonfuntional immediately loaded postextraction implants in the maxilla: Correlation between interproximal alveolar crest and soft tissues at 3 years of follow-up. Clin. Implant. Dent. Relat. Res. 2013, 15, 130–142. [Google Scholar] [CrossRef] [PubMed]
- Migliorati, M.; Amorfini, L.; Signori, A.; Biavati, A.S.; Benedicenti, S. Clinical and aesthetic outcome with post-extractive implants with or without soft tissue augmentation: A 2-year randomized clinical trial. Clin. Implant. Dent. Relat. Res. 2015, 17, 983–995. [Google Scholar] [CrossRef] [PubMed]
- Buser, D.; Halbritter, S.; Hart, C.; Bornstein, M.M.; Grutter, L.; Chappuis, V.; Belser, U.C. Early implant placement with simultaneous guided bone regeneration following single-tooth extraction in the esthetic zone: 12-month results of a prospective study with 20 consecutive patients. J. Periodontol. 2009, 80, 152–162. [Google Scholar] [CrossRef] [PubMed]
- Nimwegen, W.G.V.; Raghoebar, G.M.; Zuiderveld, E.G.; Jung, R.E.; Meijer, H.J.A.; Mühlemann, S. Immediate placement and provisionalization of implants in the aesthetic zone with or without a connective tissue graft: A 1-year randomized controlled trial and volumetric study. Clin. Oral Implants Res. 2018, 29, 671–678. [Google Scholar] [CrossRef]
- Dellavia, C.; Ricci, G.; Pettinari, L.; Allievi, C.; Grizzi, F.; Gagliano, N. Human palatal and tuberosity mucosa as donor sites for ridge augmentation. Int. J. Periodontics Restor. Dent. 2014, 34, 179–186. [Google Scholar] [CrossRef]
- Cabello, G.; Fernandez, D.A.; Calzavara, D.; Fabrega, J.G. Immediate placement and restoration of implants in the esthetic zone: Trimodal Approach therapeutic options. Int. J. Esthet. Dent. 2015, 10, 100–121. [Google Scholar]
- Tarnow, D.P.; Chu, S.J.; Salama, M.A.; Stappert, C.F.J.; Salama, H.; Garber, D.A.; Sarnachiaro, G.O.; Sarnachiaro, E.; Gotta, S.L.; Saito, H. Flapless postextraction socket implant placement in the esthetic zone: Part 1. The effect of bone grafting and/or provisional restoration on facial-palatal ridge dimensional change-a retrospective cohort study. Int. J. Periodontics Restor. Dent. 2014, 34, 323–331. [Google Scholar] [CrossRef]
- Chu, S.J.; Salama, M.A.; Garber, D.A.; Salama, H.; Sarnachiaro, G.O.; Sarnachiaro, E.; Gotta, S.L.; Reynolds, M.A.; Saito, H.; Tarnow, D.P. Flapless Postextraction Socket Implant Placement, Part 2: The Effects of Bone Grafting and Provisional Restoration on Peri-implant Soft Tissue Height and Thickness—A Retrospective Study. Int. J. Periodontics Restor. Dent. 2015, 35, 803–809. [Google Scholar] [CrossRef]
- Saito, H.; Song, S.J.; Rubin, J.; Tarnow, D.P.; Chu, S.J. The Effect of Preformed Anatomic Provisional Restorations on Peri-Implant Mucosal Dimensions with Immediate Tooth Replacement Therapy. J. Esthet. Restor. Dent. 2025, 37, 1255–1265. [Google Scholar] [CrossRef]
- Belser, U.C.; Grutter, L.; Vailati, F.; Bornstein, M.M.; Weber, H.P.; Buser, D. Outcome evaluation of early placed maxillary anterior single-tooth implants using objective esthetic criteria: A cross-sectional, retrospective study in 45 patients with a 2- to 4-year follow-up using pink and white esthetic scores. J. Periodontol. 2009, 80, 140–151. [Google Scholar] [CrossRef]
- Kokich, V.O.; Kiyak, H.A., Jr.; Shapiro, P.A. Comparing the perception of dentists and lay people to altered dental esthetics. J. Esthet. Dent. 1999, 11, 311–324. [Google Scholar] [CrossRef] [PubMed]
- Arunyanak, S.P.; Pollini, A.; Ntounis, A.; Morton, D. Clinician assessments and patient perspectives of single-tooth implant restorations in the esthetic zone of the maxilla: A systematic review. J. Prosthet. Dent. 2017, 118, 10–17. [Google Scholar] [CrossRef] [PubMed]
- Jiménez-Tundidor, R.; Marco-Español, R.; Segura-Mori, L.; Bazal-Bonelli, S.; Sánchez-Jorge, M.I.; Granić, M.; Brinkmann, J.C.-B.; López-Quiles, J. A Strip Free Gingival Graft and a Xenogeneic Collagen Matrix to Increase Keratinized Tissue After Vertical Bone Augmentation. J. Oral Implant. 2024, 50, 408–414. [Google Scholar] [CrossRef] [PubMed]
- Huang, J.-P.; Wang, Y.-Y.; Dai, A.; Sun, P.; Ding, P.-H. A combination technique of strip free gingival grafts and xenogeneic collagen matrix in augmenting keratinized mucosa around dental implants: A single-arm clinical trial. BMC Oral Health 2024, 24, 634. [Google Scholar] [CrossRef]
- Tietmann, C.; Jepsen, S.; Heibrok, H.; Wenzel, S.; Jepsen, K. Long-term stability of regenerative periodontal surgery and orthodontic tooth movement in stage IV periodontitis: 10-year data of a retrospective study. J. Periodontol. 2023, 94, 1176–1186. [Google Scholar] [CrossRef]
- De Ry, S.P.; Roccuzzo, A.; Lang, N.P.; Sculean, A.; Salvi, G.E. Long-term clinical outcomes of periodontal regeneration with enamel matrix derivative: A retrospective cohort study with a mean follow-up of 10 years. J. Periodontol. 2022, 93, 548–559. [Google Scholar] [CrossRef]







| Variable | TAOM Group (n = 16) | TA Group (n = 15) | Sign |
|---|---|---|---|
| Male/female ratio | 8/8 | 9/6 | <0.05 |
| Age in years <49/≥50 | 11/5 | 5/10 | |
| Tobacco 0/<10/≥10 | 13/2/1 | 10/2/3 | |
| Gingival phenotype ≤1.5 mm/>1.5 mm | 10/6 | 7/8 | |
| Gingival width ≤6 mm/>6 mm | 8/8 | 7/8 | |
| Implant site location Central Incisor/Lateral Incisor/Canine | 9/6/1 | 5/7/3 |
| Variable | TA | TAOM | Sign. | ||
|---|---|---|---|---|---|
| Mean | S.D. | Mean | S.D. | ||
| Tpre−T3 | |||||
| Mesial | 0.50 | 0.43 | 0.05 | 0.49 | <0.05 |
| Facial | 0.29 | 0.45 | −0.21 | 0.37 | <0.01 |
| Distal | 0.64 | 0.78 | 0.11 | 0.45 | <0.05 |
| Tpre−T6 | |||||
| Mesial | 0.23 | 1.32 | −0.41 | 1.04 | <0.05 |
| Facial | 0.05 | 1.27 | −0.73 | 1.42 | <0.01 |
| Distal | 0.63 | 1.31 | −0.34 | 1.07 | <0.05 |
| Tpre−T12 | |||||
| Mesial | 0.55 | 0.82 | −0.16 | 0.45 | <0.01 |
| Facial | 0.54 | 0.33 | −0.17 | 0.37 | <0.0001 |
| Distal | 0.86 | 0.95 | 0.00 | 0.44 | <0.01 |
| TAOM | TA | |||||||
|---|---|---|---|---|---|---|---|---|
| Variable | Thin Phenotype (≤1.5 mm) | Thick Phenotype (>1.5 mm) | Thin Phenotype (≤1.5 mm) | Thick Phenotype (>1.5 mm) | ||||
| Mean | SD | Mean | SD | Mean | SD | Mean | SD | |
| Tpre−T12 Facial | −0.30 | 0.34 | 0.04 | 0.35 | 0.51 | 0.42 | 0.55 | 0.26 |
| TAOM + TA | TAOM | TA | ||||||||||
|---|---|---|---|---|---|---|---|---|---|---|---|---|
| Variable | Width | Phenotype | Width | Phenotype | Width | Phenotype | ||||||
| Corr * | Sign. | Corr * | Sign. | Corr * | Sign | Corr * | Sign | Corr * | Sign | Corr * | Sign | |
| Tpre–T12 Facial | 0.224 | 0.355 | p < 0.05 | 0.438 | Cuasi | 0.485 | Cuasi | −0.272 | −0.022 | |||
Disclaimer/Publisher’s Note: The statements, opinions and data contained in all publications are solely those of the individual author(s) and contributor(s) and not of MDPI and/or the editor(s). MDPI and/or the editor(s) disclaim responsibility for any injury to people or property resulting from any ideas, methods, instructions or products referred to in the content. |
© 2025 by the authors. Licensee MDPI, Basel, Switzerland. This article is an open access article distributed under the terms and conditions of the Creative Commons Attribution (CC BY) license (https://creativecommons.org/licenses/by/4.0/).
Share and Cite
Cabello, G.; Rioboo, M.; Torres-Lagares, D.; Fábrega, J. Flapless Immediate Implants: Soft Tissue Alterations Following a Trimodal Approach with or Without Modifying Osseous and Mucosal Compartments in the Esthetic Zone: A Non-Randomized Clinical Trial with Historical Control Group. Dent. J. 2025, 13, 478. https://doi.org/10.3390/dj13100478
Cabello G, Rioboo M, Torres-Lagares D, Fábrega J. Flapless Immediate Implants: Soft Tissue Alterations Following a Trimodal Approach with or Without Modifying Osseous and Mucosal Compartments in the Esthetic Zone: A Non-Randomized Clinical Trial with Historical Control Group. Dentistry Journal. 2025; 13(10):478. https://doi.org/10.3390/dj13100478
Chicago/Turabian StyleCabello, Gustavo, María Rioboo, Daniel Torres-Lagares, and Javier Fábrega. 2025. "Flapless Immediate Implants: Soft Tissue Alterations Following a Trimodal Approach with or Without Modifying Osseous and Mucosal Compartments in the Esthetic Zone: A Non-Randomized Clinical Trial with Historical Control Group" Dentistry Journal 13, no. 10: 478. https://doi.org/10.3390/dj13100478
APA StyleCabello, G., Rioboo, M., Torres-Lagares, D., & Fábrega, J. (2025). Flapless Immediate Implants: Soft Tissue Alterations Following a Trimodal Approach with or Without Modifying Osseous and Mucosal Compartments in the Esthetic Zone: A Non-Randomized Clinical Trial with Historical Control Group. Dentistry Journal, 13(10), 478. https://doi.org/10.3390/dj13100478

