Application of Bulk-Fill Composite to Simplify the Cementation of Indirect Restorations: The COMBO Technique
Abstract
1. Introduction
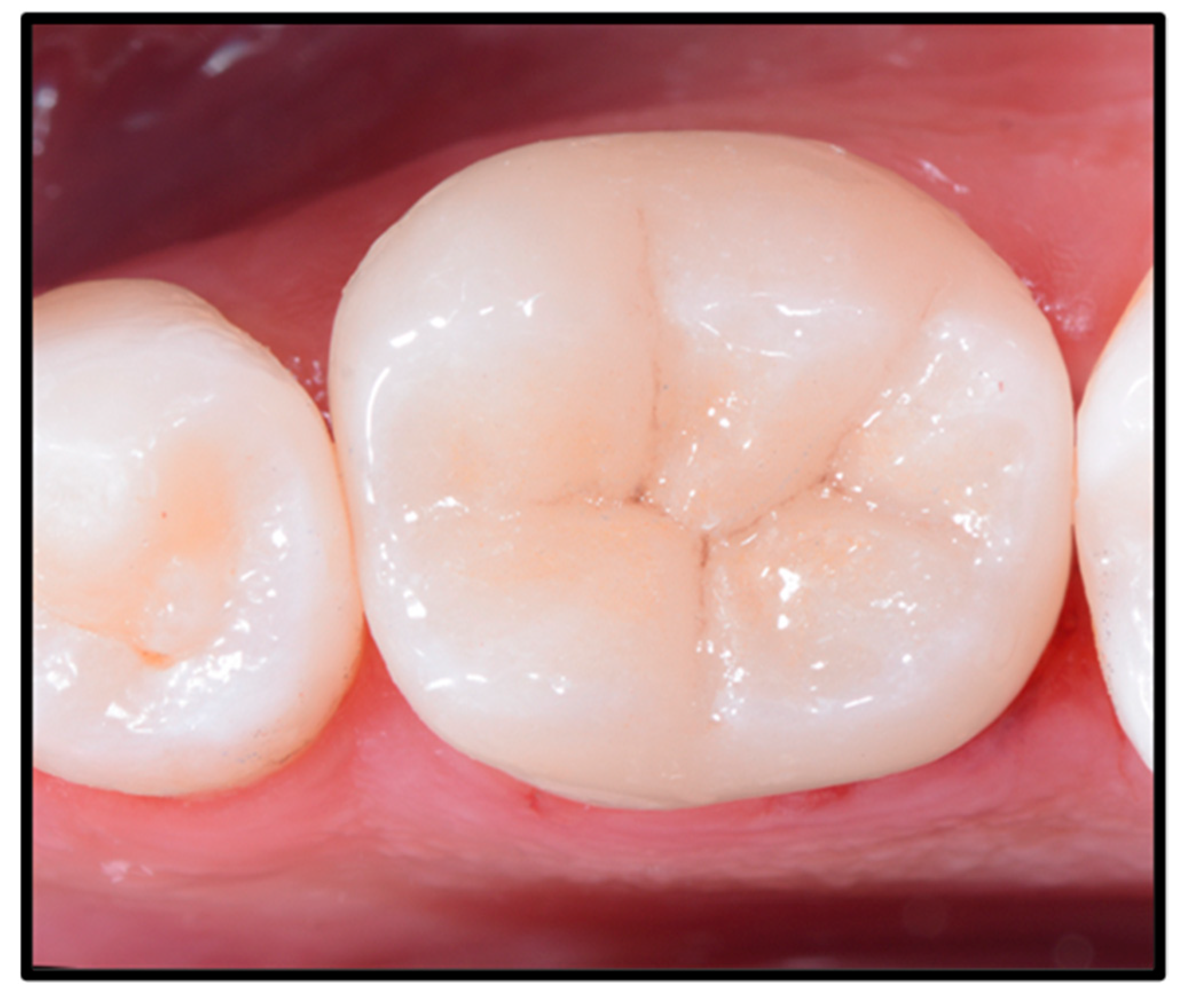
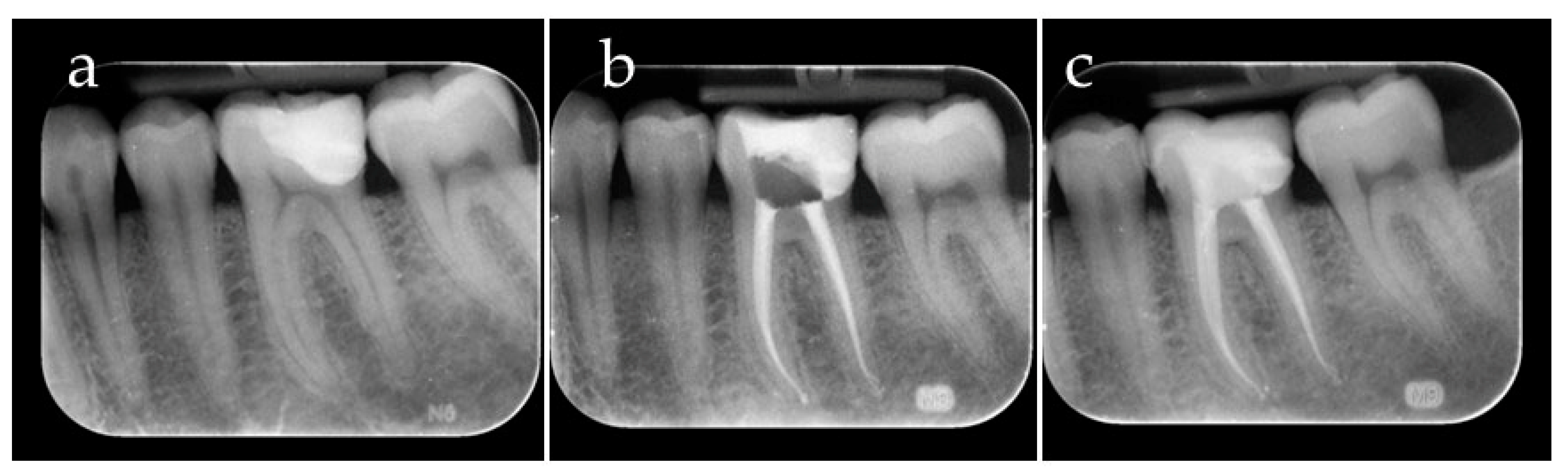
2. Case Report
3. Discussion
4. Conclusions
Author Contributions
Funding
Institutional Review Board Statement
Informed Consent Statement
Data Availability Statement
Acknowledgments
Conflicts of Interest
References
- Edelhoff, D.; Liebermann, A.; Beuer, F.; Stimmelmayr, M.; Güth, J.-F. Minimally Invasive Treatment Options in Fixed Prosthodontics. Quintessence Int. 2016, 47, 207–216. [Google Scholar] [CrossRef]
- Kassis, C.; Khoury, P.; Mehanna, C.Z.; Baba, N.Z.; Bou Chebel, F.; Daou, M.; Hardan, L. Effect of Inlays, Onlays and Endocrown Cavity Design Preparation on Fracture Resistance and Fracture Mode of Endodontically Treated Teeth: An In Vitro Study. J. Prosthodont. 2021, 30, 625–631. [Google Scholar] [CrossRef] [PubMed]
- Gaeta, C.; Marruganti, C.; Mignosa, E.; Franciosi, G.; Ferrari, E.; Grandini, S. Influence of Methodological Variables on Fracture Strength Tests Results of Premolars with Different Number of Residual Walls. A Systematic Review with Meta-Analysis. Dent. J. 2021, 9, 146. [Google Scholar] [CrossRef]
- Kilinc, E.; Antonson, S.A.; Hardigan, P.C.; Kesercioglu, A. Resin Cement Color Stability and Its Influence on the Final Shade of All-Ceramics. J. Dent. 2011, 39, e30–e36. [Google Scholar] [CrossRef]
- Vindasiute, E.; Puisys, A.; Maslova, N.; Linkeviciene, L.; Peciuliene, V.; Linkevicius, T. Clinical Factors Influencing Removal of the Cement Excess in Implant-Supported Restorations. Clin. Implant Dent. Relat. Res. 2015, 17, 771–778. [Google Scholar] [CrossRef] [PubMed]
- Lousan do Nascimento Poubel, D.; Ghanem Zanon, A.E.; Franco Almeida, J.C.; Vicente Melo de Lucas Rezende, L.; Pimentel Garcia, F.C. Composite Resin Preheating Techniques for Cementation of Indirect Restorations. Int. J. Biomater. 2022, 2022, 5935668. [Google Scholar] [CrossRef]
- Hardy, C.M.F.; Bebelman, S.; Leloup, G.; Hadis, M.A.; Palin, W.M.; Leprince, J.G. Investigating the Limits of Resin-Based Luting Composite Photopolymerization through Various Thicknesses of Indirect Restorative Materials. Dent. Mater. 2018, 34, 1278–1288. [Google Scholar] [CrossRef]
- Tomaselli, L.d.O.; Oliveira, D.C.R.S.d.; Favarão, J.; Silva, A.F.d.; Pires-de-Souza, F.d.C.P.; Geraldeli, S.; Sinhoreti, M.A.C. Influence of Pre-Heating Regular Resin Composites and Flowable Composites on Luting Ceramic Veneers with Different Thicknesses. Braz. Dent. J. 2019, 30, 459–466. [Google Scholar] [CrossRef] [PubMed]
- Souza, T.J.S.d.; Freitas, A.d.S.; Ferreira, D.M.T.P.; Maia, L.C.; Rabello, T.B. Does the Use of Preheated Restorative Resin Composite as a Luting Agent Influence the Adaptation of Fixed Dental Prostheses? A Systematic Review. J. Prosthet. Dent. 2022, 131, 384–391. [Google Scholar] [CrossRef] [PubMed]
- Lopes, L.C.P.; Terada, R.S.S.; Tsuzuki, F.M.; Giannini, M.; Hirata, R. Heating and Preheating of Dental Restorative Materials-a Systematic Review. Clin. Oral. Investig. 2020, 24, 4225–4235. [Google Scholar] [CrossRef]
- Francesco, P.; Gabriele, C.; Fiorillo, L.; Giuseppe, M.; Antonella, S.; Giancarlo, B.; Mirta, P.; Mendes Tribst, J.P.; Lo Giudice, R. The Use of Bulk Fill Resin-Based Composite in the Sealing of Cavity with Margins in Radicular Cementum. Eur. J. Dent. 2022, 16, 1–13. [Google Scholar] [CrossRef] [PubMed]
- Hardan, L.; Lukomska-Szymanska, M.; Zarow, M.; Cuevas-Suárez, C.E.; Bourgi, R.; Jakubowicz, N.; Sokolowski, K.; D’arcangelo, C. One-Year Clinical Aging of Low Stress Bulk-Fill Flowable Composite in Class Ii Restorations: A Case Report and Literature Review. Coatings 2021, 11, 504. [Google Scholar] [CrossRef]
- Martina, S.; Pisano, M.; Amato, A.; Abdellatif, D.; Iandolo, A. Modern Rotary Files in Minimally Invasive Endodontics: A Case Report. Front. Biosci. 2021, 13, 299–304. [Google Scholar] [CrossRef]
- Hardan, L.; Devoto, W.; Bourgi, R.; Cuevas-Suárez, C.E.; Lukomska-Szymanska, M.; Fernández-Barrera, M.Á.; Cornejo-Ríos, E.; Monteiro, P.; Zarow, M.; Jakubowicz, N.; et al. Immediate Dentin Sealing for Adhesive Cementation of Indirect Restorations: A Systematic Review and Meta-Analysis. Gels 2022, 8, 175. [Google Scholar] [CrossRef] [PubMed]
- Tribst, J.P.M.; Giudice, R.L.; Dos Santos, A.F.C.; Borges, A.L.S.; Silva-Concílio, L.R.; Amaral, M.; Giudice, G.L. Lithium Disilicate Ceramic Endocrown Biomechanical Response According to Different Pulp Chamber Extension Angles and Filling Materials. Materials 2021, 14, 1307. [Google Scholar] [CrossRef] [PubMed]
- Tosco, V.; Monterubbianesi, R.; Orilisi, G.; Sabbatini, S.; Conti, C.; Özcan, M.; Putignano, A.; Orsini, G. Comparison of Two Curing Protocols during Adhesive Cementation: Can the Step Luting Technique Supersede the Traditional One? Odontology 2021, 109, 433–439. [Google Scholar] [CrossRef] [PubMed]
- Monterubbianesi, R.; Vitiello, F.; Tosco, V.; Bourgi, R.; Putignano, A.; Orsini, G. The Influence of Two Curing Protocols on the Colour Stability and Translucency of Resin Luting Agents. Appl. Sci. 2022, 12, 11120. [Google Scholar] [CrossRef]
- Monterubbianesi, R.; Tosco, V.; Sabbatini, S.; Orilisi, G.; Conti, C.; Özcan, M.; Orsini, G.; Putignano, A. How Can Different Polishing Timing Influence Methacrylate and Dimethacrylate Bulk Fill Composites? Evaluation of Chemical and Physical Properties. Available online: https://www.hindawi.com/journals/bmri/2020/1965818/ (accessed on 24 October 2020).
- Kavut, İ.; Uğur, M. The Effect of Amine-Free Initiator System and Polymerization Type on Long-Term Color Stability of Resin Cements: An in-Vitro Study. BMC Oral Health 2022, 22, 426. [Google Scholar] [CrossRef] [PubMed]
- Roberto, L.G.; Puleio, F.; Carmine, V.; Marco, M.; Angela, A.; Angelo, L. Bulk vs Wedge Shape Layering Techniques in V Class Cavities: Marginal Infiltration Evaluation. G. Ital. Endod. 2017, 31, 73–77. [Google Scholar] [CrossRef]
- Sirajuddin, S.; Narasappa, K.M.; Gundapaneni, V.; Chungkham, S.; Walikar, A.S. Iatrogenic Damage to Periodontium by Restorative Treatment Procedures: An Overview. Open. Dent. J. 2015, 9, 217–222. [Google Scholar] [CrossRef]
- Lee, J.-H.; Yang, S.-E.; Lee, J.; Lee, S.-Y. Influence of Luting Materials and Methods and the Restoration Surface on the Amount of Cement Remnants in Implant Restorations. J. Oral. Implantol. 2019, 45, 301–307. [Google Scholar] [CrossRef] [PubMed]
- Karacan, A.O.; Ozyurt, P. Effect of Preheated Bulk-Fill Composite Temperature on Intrapulpal Temperature Increase in Vitro. J. Esthet. Restor. Dent. 2019, 31, 583–588. [Google Scholar] [CrossRef] [PubMed]
- Jakupović, S.; Pervan, N.; Mešić, E.; Gavranović-Glamoč, A.; Bajsman, A.; Muratović, E.; Kazazić, L.; Kantardžić-Kovačević, A. Assessment of Microhardness of Conventional and Bulk-Fill Resin Composites Using Different Light-Curing Intensity. Polymers 2023, 15, 2250. [Google Scholar] [CrossRef]
- Sousa-Lima, R.; Silva, L.; Chaves, L.; Geraldeli, S.; Alonso, R.; Borges, B. Extensive Assessment of the Physical, Mechanical, and Adhesion Behavior of a Low-Viscosity Bulk Fill Composite and a Traditional Resin Composite in Tooth Cavities. Oper. Dent. 2017, 42, E159–E166. [Google Scholar] [CrossRef] [PubMed]
- Leprince, J.G.; Palin, W.M.; Hadis, M.A.; Devaux, J.; Leloup, G. Progress in Dimethacrylate-Based Dental Composite Technology and Curing Efficiency. Dent. Mater. 2013, 29, 139–156. [Google Scholar] [CrossRef] [PubMed]
- Soliman, S.; Casel, C.; Krug, R.; Krastl, G.; Hahn, B. Influence of Filler Geometry and Viscosity of Composite Luting Materials on Marginal Adhesive Gap Width and Occlusal Surface Height of All-Ceramic Partial Crowns. Dent. Mater. 2022, 38, 601–612. [Google Scholar] [CrossRef]
- Shamszadeh, S.; Sheikh-Al-Eslamian, S.M.; Hasani, E.; Abrandabadi, A.N.; Panahandeh, N. Color Stability of the Bulk-Fill Composite Resins with Different Thickness in Response to Coffee/Water Immersion. Int. J. Dent. 2016, 2016, 7186140. [Google Scholar] [CrossRef]
- Almeida, J.R.; Schmitt, G.U.; Kaizer, M.R.; Boscato, N.; Moraes, R.R. Resin-Based Luting Agents and Color Stability of Bonded Ceramic Veneers. J. Prosthet. Dent. 2015, 114, 272–277. [Google Scholar] [CrossRef]








Disclaimer/Publisher’s Note: The statements, opinions and data contained in all publications are solely those of the individual author(s) and contributor(s) and not of MDPI and/or the editor(s). MDPI and/or the editor(s) disclaim responsibility for any injury to people or property resulting from any ideas, methods, instructions or products referred to in the content. |
© 2024 by the authors. Licensee MDPI, Basel, Switzerland. This article is an open access article distributed under the terms and conditions of the Creative Commons Attribution (CC BY) license (https://creativecommons.org/licenses/by/4.0/).
Share and Cite
Chiodera, G.; Monterubbianesi, R.; Tosco, V.; Papini, O.; Orsini, G.; Putignano, A. Application of Bulk-Fill Composite to Simplify the Cementation of Indirect Restorations: The COMBO Technique. Dent. J. 2024, 12, 239. https://doi.org/10.3390/dj12080239
Chiodera G, Monterubbianesi R, Tosco V, Papini O, Orsini G, Putignano A. Application of Bulk-Fill Composite to Simplify the Cementation of Indirect Restorations: The COMBO Technique. Dentistry Journal. 2024; 12(8):239. https://doi.org/10.3390/dj12080239
Chicago/Turabian StyleChiodera, Giuseppe, Riccardo Monterubbianesi, Vincenzo Tosco, Ombretta Papini, Giovanna Orsini, and Angelo Putignano. 2024. "Application of Bulk-Fill Composite to Simplify the Cementation of Indirect Restorations: The COMBO Technique" Dentistry Journal 12, no. 8: 239. https://doi.org/10.3390/dj12080239
APA StyleChiodera, G., Monterubbianesi, R., Tosco, V., Papini, O., Orsini, G., & Putignano, A. (2024). Application of Bulk-Fill Composite to Simplify the Cementation of Indirect Restorations: The COMBO Technique. Dentistry Journal, 12(8), 239. https://doi.org/10.3390/dj12080239

