Minimally Invasive Non-Surgical Technique in the Treatment of Intrabony Defects—A Narrative Review
Abstract
1. Introduction
2. Surgical Treatment of Intrabony Defects
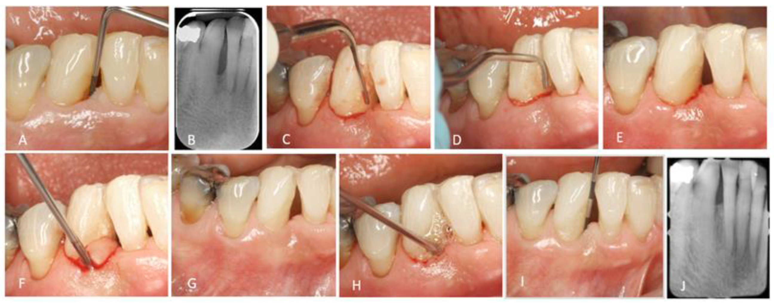
3. Minimally Invasive Non-Surgical Technique
4. Conclusions
Author Contributions
Funding
Data Availability Statement
Conflicts of Interest
References
- Nielsen, I.M.; Glavind, L.; Karhing, T. Interproximal periodontal intrabony defects: Prevalence, localization and etiological factors. J. Clin. Periodontol. 1980, 7, 187–198. [Google Scholar] [CrossRef]
- Wouters, F.R.; Satonen, L.E.; Helldën, L.B.; Frithiof, L. Prevalence of interproximal periodontal intrabony defects in an adult population in Sweden: A radiographic study. J. Clin. Periodontol. 1989, 16, 144–149. [Google Scholar] [CrossRef] [PubMed]
- Papapanou, P.N.; Wennström, J.L.; Gröndahl, K. Periodontal status in relation to age and tooth type: A cross-sectional radiographic study. J. Clin. Periodontol. 1988, 15, 469–478. [Google Scholar] [CrossRef] [PubMed]
- Vrotsos, J.A.; Parashis, A.O.; Theofanatos, G.D.; Smulow, J.B. Prevalence and distribution of bone defects in moderate and advanced adult periodontitis. J. Clin. Periodontol. 1999, 26, 44–48. [Google Scholar] [CrossRef] [PubMed]
- Najim, U.; Norderyd, O. Prevalence of intrabony defects in a Swedish adult population. A radiographic epidemiological study. Acta Odontol. Scand. 2017, 75, 123–129. [Google Scholar] [CrossRef] [PubMed]
- Papapanou, P.N.; Wennström, J.L. The angular bony defect as indicator of further alveolar bone loss. J. Clin. Periodontol. 1991, 18, 317–322. [Google Scholar] [CrossRef]
- Pontoriero, R.; Nyman, S.; Lindhe, J. The angular bony defect in the maintenance of the periodontal patient. J. Clin. Periodontol. 1988, 15, 200–204. [Google Scholar] [CrossRef]
- Rams, T.E.; Listgarten, M.A.; Slots, J. Radiographic alveolar bone morphology and progressive periodontitis. J. Periodontol. 2018, 89, 424–430. [Google Scholar] [CrossRef]
- Isidor, F.; Attström, R.; Karring, T. Regeneration of alveolar bone following surgical and non-surgical periodontal treatment. J. Clin. Periodontol. 1985, 12, 687–696. [Google Scholar] [CrossRef]
- Renvert, S.; Nilvéus, R.; Egelberg, J. Healing after treatment of periodontal intraosseous defects: V. Effect of root planing versus flap surgery. J. Clin. Periodontol. 1985, 12, 619–629. [Google Scholar] [CrossRef]
- Nibali, L.; Pometti, D.; Tu, Y.K.; Donos, N. Clinical and radiographic outcomes following non- surgical therapy of periodontal infrabony defects: A retrospective study. J. Clin. Periodontol. 2011, 38, 50–57. [Google Scholar] [CrossRef]
- Lang, N.P. Focus on intrabony defects—Conservative therapy. Periodontology 2000, 22, 51–58. [Google Scholar] [CrossRef]
- Graziani, F.; Gennai, S.; Cei, S.; Cairo, F.; Baggiani, A.; Miccoli, M.; Gabriele, M.; Tonetti, M. Clinical performance of access flap surgery in the treatment of the intrabony defect. A systematic review and meta-analysis of randomized clinical trials. J. Clin. Periodontol. 2012, 39, 145–156. [Google Scholar] [CrossRef]
- Rosling, B.; Nyman, S.; Lindhe, J.; Jern, B. The healing potential of the periodontal tissues following different techniques of periodontal surgery in plaque-free dentitions: A 2-year clinical study. J. Clin. Periodontol. 1976, 3, 233–250. [Google Scholar] [CrossRef]
- Rosling, B.; Nyman, S.; Lindhe, J. The effect of systematic plaque control on bone regeneration in infrabony pockets. J. Clin. Periodontol. 1976, 3, 38–53. [Google Scholar] [CrossRef]
- Nibali, L.; Koidou, V.P.; Nieri, M.; Barbato, L.; Pagliaro, U.; Cairo, F. Regenerative surgery versus access flap for the treatment of intra-bony periodontal defects: A systematic review and meta-analysis. J. Clin. Periodontol. 2020, 47, 320–351. [Google Scholar] [CrossRef]
- Trombelli, L.; Heitz-Mayfield LJ, A.; Needleman, I.; Moles, D.; Scabbia, A. A systematic review of graft materials and biological agents for periodontal intraosseous defects. J. Clin. Periodontol. 2002, 29, 117–135. [Google Scholar] [CrossRef]
- Reynolds, M.A.; Aichelmann-Reidy, M.E.; Branch-Mays, G.L.; Gunsolley, J.C. The efficacy of bone replacement grafts in the treatment of periodontal osseous defects. A systematic review. Ann. Periodontol. 2003, 8, 227–265. [Google Scholar] [CrossRef]
- Cortellini, P.; Tonetti, M.S. Focus on intrabony defects: Guided tissue regeneration. Periodontology 2000, 22, 104–132. [Google Scholar] [CrossRef]
- Esposito, M.; Grusovin, M.G.; Coulthard, P.; Worthington, H.V. Enamel matrix derivative (Emdogain(R)) for periodontal tissue regeneration in intrabony defects. Cochrane Database Syst. Rev. 2009, 2009, CD003875. [Google Scholar] [CrossRef]
- Koop, R.; Merheb, J.; Quirynen, M. Periodontal Regeneration With Enamel Matrix Derivative in Reconstructive Periodontal Therapy: A Systematic Review. J. Periodontol. 2012, 83, 707–720. [Google Scholar] [CrossRef] [PubMed]
- Cortellini, P.; Prato, G.P.; Tonetti, M. The modified papilla preservation technique. A New Surgical Approach for Interproximal Regenerative. J. Periodontol. 1995, 66, 261–266. [Google Scholar] [CrossRef]
- Cortellini, P.; Prato, G.P.; Tonetti, M.S. The simplified papilla preservation flap. A novel surgical approach for the management of soft tissues in regenerative procedures. Int. J. Periodontics Restor. Dent. 1999, 19, 589–599. [Google Scholar]
- Nibali, L.; Sultan, D.; Arena, C.; Pelekos, G.; Lin, G.H.; Tonetti, M. Periodontal infrabony defects: Systematic review of healing by defect morphology following regenerative surgery. J. Clin. Periodontol. 2021, 48, 100–113. [Google Scholar] [CrossRef] [PubMed]
- Harrel, S.K.; Wilson, T.G.; Nunn, M.E. Prospective assessment of the use of enamel matrix proteins with minimally invasive surgery. J. Periodontol. 2005, 76, 380–384. [Google Scholar] [CrossRef]
- Cortellini, P.; Tonetti, M.S. A minimally invasive surgical technique with an enamel matrix derivative in the regenerative treatment of intra-bony defects: A novel approach to limit morbidity. J. Clin. Periodontol. 2007, 34, 87–93. [Google Scholar] [CrossRef]
- Cortellini, P.; Tonetti, M.S. Improved wound stability with a modified minimally invasive surgical technique in the regenerative treatment of isolated interdental intrabony defects. J. Clin. Periodontol. 2009, 36, 157–163. [Google Scholar] [CrossRef]
- Harrel, S.K.; Rees, T.D. Granulation tissue removal in routine and minimally invasive procedures. Compend. Contin. Educ. Dent. 1995, 16, 960–962. [Google Scholar]
- Harrel, S.K.; Nunn, M.E.; Belling, C.M. Long-term results of a minimally invasive surgical approach for bone grafting. J. Periodontol. 1999, 70, 1558–1563. [Google Scholar] [CrossRef]
- Trombelli, L.; Farina, R.; Franceschetti, G.; Calura, G. Single-Flap Approach With Buccal Access in Periodontal Reconstructive Procedures. J. Periodontol. 2009, 80, 353–360. [Google Scholar] [CrossRef]
- Trombelli, L.; Simonelli, A.; Schincaglia GPietro Cucchi, A.; Farina, R. Single-Flap Approach for Surgical Debridement of Deep Intraosseous Defects: A Randomized Controlled Trial. J. Periodontol. 2012, 83, 27–35. [Google Scholar] [CrossRef] [PubMed]
- Cortellini, P.; Tonetti, M.S. Clinical and radiographic outcomes of the modified minimally invasive surgical technique with and without regenerative materials: A randomized-controlled trial in intra-bony defects. J. Clin. Periodontol. 2011, 38, 365–373. [Google Scholar] [CrossRef] [PubMed]
- Ribeiro, F.V.; Casarin, R.C.; Júnior, F.H.; Sallum, E.A.; Casati, M.Z. The role of enamel matrix derivative protein in minimally invasive surgery in treating intrabony defects in single-rooted teeth: A randomized clinical trial. J. Periodontol. 2011, 82, 522–532. [Google Scholar] [CrossRef] [PubMed]
- Trombelli, L.; Simonelli, A.; Pramstraller, M.; Wikesjö, U.M.; Farina, R. Single Flap Approach With and Without Guided Tissue Regeneration and a Hydroxyapatite Biomaterial in the Management of Intraosseous Periodontal Defects. J. Periodontol. 2010, 81, 1256–1263. [Google Scholar] [CrossRef]
- Cortellini, P. Minimally invasive surgical techniques in periodontal regeneration. J. Evid.-Based Dent. Pract. 2012, 12, 89–100. [Google Scholar] [CrossRef]
- Ribeiro, F.V.; Casarin, R.C.V.; Palma, M.A.G.; Júnior, F.H.N.; Sallum, E.A.; Casati, M.Z. Clinical and Patient-Centered Outcomes After Minimally Invasive Non-surgical or Surgical Approaches for the Treatment of Intrabony Defects: A Randomized Clinical Trial. J. Periodontol. 2011, 82, 1256–1266. [Google Scholar] [CrossRef]
- Ribeiro, F.V.; Casarin, R.C.V.; Palma, M.A.G.; Júnior, F.H.N.; Sallum, E.A.; Casati, M.Z. Clinical and microbiological changes after minimally invasive therapeutic approaches in intrabony defects: A 12-month follow-up. Clin. Oral Investig. 2013, 17, 1635–1644. [Google Scholar] [CrossRef]
- Nibali, L.; Pometti, D.; Chen, T.T.; Tu, Y.K. Minimally invasive non-surgical approach for the treatment of periodontal intrabony defects: A retrospective analysis. J. Clin. Periodontol. 2015, 42, 853–859. [Google Scholar] [CrossRef]
- Gutierrez, M.A.; Mellonig, J.T.; Cochran, D.L. Evaluation of enamel matrix derivative as an adjunct to non- surgical periodontal therapy. J. Clin. Periodontol. 2003, 30, 739–745. [Google Scholar] [CrossRef]
- Mombelli, A.; Brochut, P.; Plagnat, D.; Casagni, F.; Giannopoulou, C. Enamel matrix proteins and systemic antibiotics as adjuncts to non-surgical periodontal treatment: Clinical effects. J. Clin. Periodontol. 2005, 32, 225–230. [Google Scholar] [CrossRef]
- Sculean, A.; Windisch, P.; Keglevich, T.; Gera, I. Histologic Evaluation of Human Intrabony Periodontal Therapy With and Without Application of an Enamel Matrix Protein Derivative. J. Periodontol. 2003, 74, 153–160. [Google Scholar] [CrossRef]
- Rabbani, G.M.; Ash, M.M.; Caffesse, R.G. The effectiveness of sub-gingival scaling and root planing in calculus removal. J. Periodontol. 1981, 52, 119–123. [Google Scholar] [CrossRef]
- Adriaens, P.A.; Adriaens, L.M. Effects of nonsurgical periodontal therapy on hard and soft tissues. Periodontol. 2000 2004, 36, 121–145. [Google Scholar] [CrossRef]
- Mellonig, J.T.; Valderrama, P.; Gregory, H.J.; Cochran, D.L. Clinical and Histologic Evaluation of Non-surgical Periodontal Therapy With Enamel Matrix Derivative: A Report of Four Cases. J. Periodontol. 2009, 80, 1534–1540. [Google Scholar] [CrossRef]
- Miron, R.J.; Sculean, A.; Cochran, D.L.; Froum, S.; Zucchelli, G.; Nemcovsky, C.; Donos, N.; Lyngstadaas, S.P.; Deschner, J.; Dard, M.; et al. Twenty years of enamel matrix derivative: The past, the present and the future. J. Clin. Periodontol. 2016, 43, 668–683. [Google Scholar] [CrossRef]
- Aimetti, M.; Ferrarotti, F.; Mariani, G.; Fratini, A.; Giraudi, M.; Romano, F. Enamel Matrix Derivative Proteins in Combination with a Flapless Approach for Periodontal Regeneration of Intrabony Defects: A 2-Year Prospective Case Series. Int. J. Periodontics Restor. Dent. 2016, 36, 797–805. [Google Scholar] [CrossRef]
- Aimetti, M.; Ferrarotti, F.; Mariani, G.M.; Romano, F. A novel flapless approach versus minimally invasive surgery in periodontal regeneration with enamel matrix derivative proteins: A 24-month randomized controlled clinical trial. Clin. Oral Investig. 2017, 21, 327–337. [Google Scholar] [CrossRef]
- Anoixiadou, S.; Parashis, A.; Vouros, I. Enamel matrix derivative as an adjunct to minimally invasive non- surgical treatment of intrabony defects: A randomized clinical trial. J. Clin. Periodontol. 2022, 49, 134–143. [Google Scholar] [CrossRef]
- Trombelli, L.; Farina, R.; Vecchiatini, R.; Maietti, E.; Simonelli, A. A simplified composite outcome measure to assess the effect of periodontal regenerative treatment in intraosseous defects. J. Periodontol. 2020, 91, 723–731. [Google Scholar] [CrossRef]
- Schallhorn, R.A.; McClain, P.K.; Benhamou, V.; Doobrow, J.H.; Grandin, H.M.; Kasaj, A. Application of enamel matrix derivative in conjunction with non- surgical therapy for treatment of moderate to severe periodontitis: A 12-month, randomized prospective, multicenter study. J. Periodontol. 2020, 92, 619–628. [Google Scholar] [CrossRef]
- Jentsch, H.F.R.; Roccuzzo, M.; Pilloni, A.; Kasaj, A.; Fimmers, R.; Jepsen, S. Flapless application of enamel matrix derivative in periodontal retreatment: A multicentre randomized feasibility trial. J. Clin. Periodontol. 2021, 48, 659–667. [Google Scholar] [CrossRef]
- Graziani, F.; Gennai, S.; Petrini, M.; Bettini, L.; Tonetti, M. Enamel matrix derivative stabilizes blood clot and improves clinical healing in deep pockets after flapless periodontal therapy: A Randomized Clinical Trial. J. Clin. Periodontol. 2019, 46, 231–240. [Google Scholar] [CrossRef]
- Reynolds, M.A.; Kao, R.T.; Camargo, P.M.; Caton, J.G.; Clem, D.S.; Fiorellini, J.P.; Geisinger, M.L.; Mills, M.P.; Nares, S.; Nevins, M.L. Periodontal Regeneration—Intrabony Defects: A Consensus Report From the AAP Regeneration Workshop. J. Periodontol. 2015, 86, S105–S107. [Google Scholar] [CrossRef]
- Barbato, L.; Selvaggi, F.; Kalemaj, Z.; Buti, J.; Bendinelli, E.; Marca, M.; Cairo, F. Clinical efficacy of minimally invasive surgical (MIS) and non-surgical (MINST) treatments of periodontal intra-bony defect. A systematic review and network meta-analysis of RCT’s. Clin. Oral Investig. 2020, 24, 1125–1135. [Google Scholar] [CrossRef]
- Nibali, L. Guest Editorial: Time to reflect on new evidence about periodontal regenerative surgery of intrabony defects. J. Clin. Periodontol. 2021, 48, 557–559. [Google Scholar] [CrossRef]

| Authors | Follow-Up | Treatment Procedure | PD Reduction | CAL Gain | Intrabony Depth Reduction |
|---|---|---|---|---|---|
| Ribeiro et al., 2013 [38] | 12 months | MINST | 3.19 mm * | 2.58 mm * | - |
| Nibali et al., 2015 [39] | 12 months | MINST | 3.12 mm * | 2.78 mm * | 2.93 mm * |
| Anoixiadou et al., 2021 [48] | 12 months | MINST | 4.0 mm * | 3.5 mm * | 1.9 mm * |
| Aimetti et al., 2017 [47] | 12 months | MINST + EMD | 3.4 mm * | 3.1 mm * | 2.1 mm * |
| Anoixiadou et al., 2021 [48] | 12 months | MINST + EMD | 4.2 mm * | 3.4 mm * | 1.8 mm * |
Disclaimer/Publisher’s Note: The statements, opinions and data contained in all publications are solely those of the individual author(s) and contributor(s) and not of MDPI and/or the editor(s). MDPI and/or the editor(s) disclaim responsibility for any injury to people or property resulting from any ideas, methods, instructions or products referred to in the content. |
© 2023 by the authors. Licensee MDPI, Basel, Switzerland. This article is an open access article distributed under the terms and conditions of the Creative Commons Attribution (CC BY) license (https://creativecommons.org/licenses/by/4.0/).
Share and Cite
Anoixiadou, S.; Parashis, A.; Vouros, I. Minimally Invasive Non-Surgical Technique in the Treatment of Intrabony Defects—A Narrative Review. Dent. J. 2023, 11, 25. https://doi.org/10.3390/dj11010025
Anoixiadou S, Parashis A, Vouros I. Minimally Invasive Non-Surgical Technique in the Treatment of Intrabony Defects—A Narrative Review. Dentistry Journal. 2023; 11(1):25. https://doi.org/10.3390/dj11010025
Chicago/Turabian StyleAnoixiadou, Styliani, Andreas Parashis, and Ioannis Vouros. 2023. "Minimally Invasive Non-Surgical Technique in the Treatment of Intrabony Defects—A Narrative Review" Dentistry Journal 11, no. 1: 25. https://doi.org/10.3390/dj11010025
APA StyleAnoixiadou, S., Parashis, A., & Vouros, I. (2023). Minimally Invasive Non-Surgical Technique in the Treatment of Intrabony Defects—A Narrative Review. Dentistry Journal, 11(1), 25. https://doi.org/10.3390/dj11010025

