Lymphoepithelial Subtype of Oral Squamous Cell Carcinoma: Report of an EBV-Negative Case and Literature Review
Abstract
1. Introduction
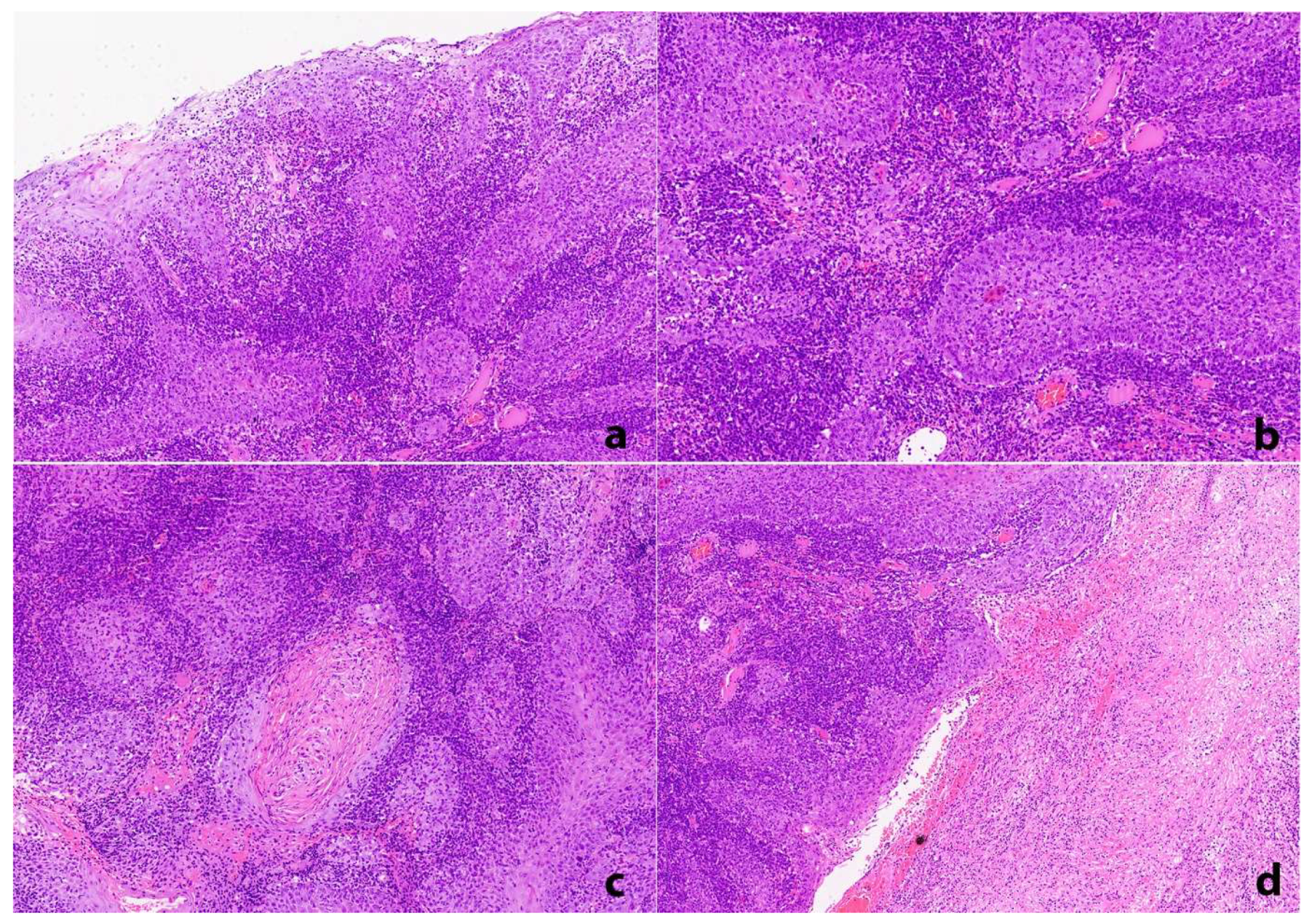
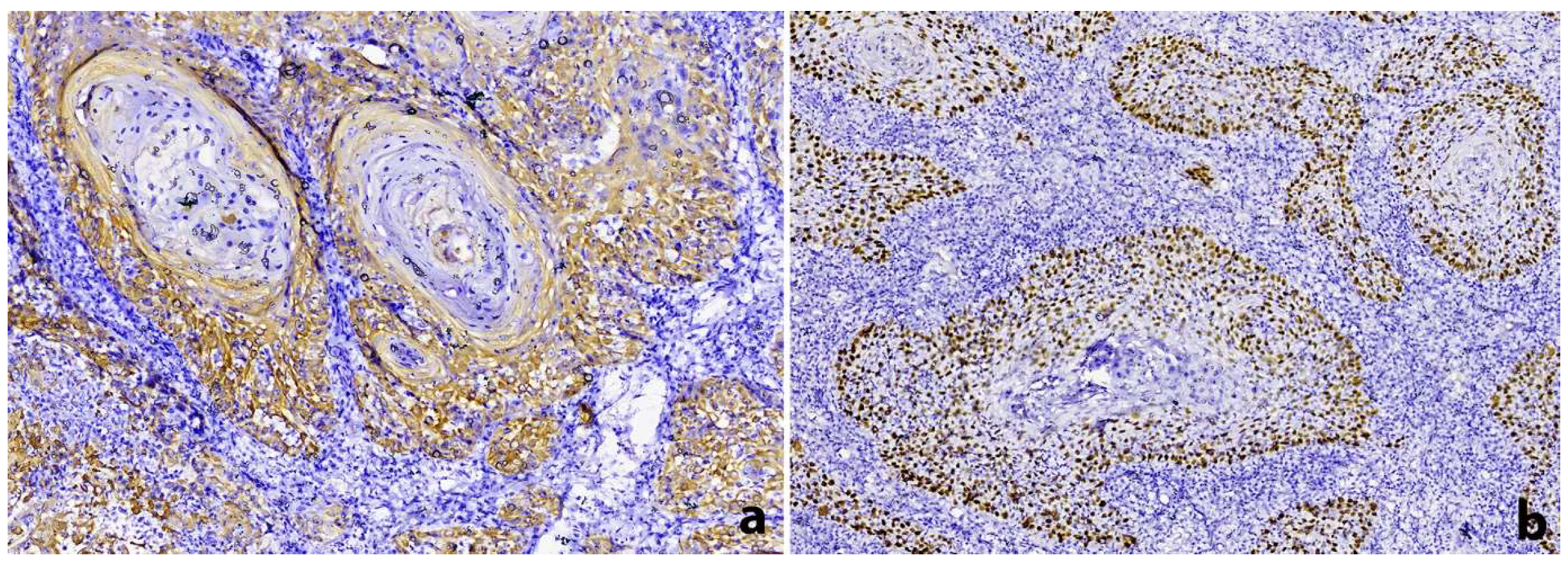
2. Case Report
3. Discussion
4. Conclusions
Author Contributions
Funding
Institutional Review Board Statement
Informed Consent Statement
Data Availability Statement
Conflicts of Interest
References
- Bishop, J.A.; Gaulard, P.; Gillison, M. Lymphoepithelial carcinoma. In WHO Classification of Head and Neck Tumors; El-Naggar, A.K., Chan, J.K.C., Grandis, J.R., Takata, T., Slootweg, P.J., Eds.; IARC: Lyon, France, 2017; pp. 18–90. [Google Scholar]
- Thompson, L.D.R. Update on nasopharyngeal carcinoma. Head Neck Pathol. 2007, 1, 81–86. [Google Scholar] [CrossRef]
- Petersson, B.F.; Belli, D.; El-Mofty, S.K.; Gillison, M.; Lewis, J.S.; Nadal, A.; Nicolai, A.; Wenig, B.M. Nasopharyngeal carci-noma. In WHO Classification of Head and Neck Tumors; El-Naggar, A.K., Chan, J.K.C., Grandis, J.R., Takata, T., Slootweg, P.J., Eds.; IARC: Lyon, France, 2017; pp. 65–70. [Google Scholar]
- Whaley, R.D.; Carlos, R.; Bishop, J.A.; Rooper, L.; Thompson, L.D.R. Lymphoepithelial carcinoma of salivary gland EBV-association in endemic versus non-endemic patients: A report of 16 cases. Head Neck Pathol. 2020, 14, 1001–1012. [Google Scholar] [CrossRef] [PubMed]
- Rytkönen, A.E.; Hirvikoski, P.P.; Salo, T.A. Lymphoepithelial carcinoma: Two case reports and a systematic review of oral and sinonasal cases. Head Neck Pathol. 2011, 5, 327–334. [Google Scholar] [CrossRef] [PubMed]
- Singhi, A.D.; Stelow, E.B.; Mills, S.E.; Westra, W.H. Lymphoepithelial-like carcinoma of the oropharynx: A morphologic variant of HPV-related head and neck carcinoma. Am. J. Surg. Pathol. 2010, 34, 800–805. [Google Scholar] [CrossRef] [PubMed]
- Li, L.-J.; Li, Y.; Wen, Y.-M.; Liu, H.; Zhao, H.-W. Clinical analysis of salivary gland tumor cases in west China in past 50 years. Oral Oncol. 2008, 44, 187–192. [Google Scholar] [CrossRef] [PubMed]
- Wang, Y.-L.; Zhu, Y.-X.; Chen, T.-Z.; Wang, Y.; Sun, G.-H.; Zhang, L.; Huang, C.-P.; Wang, Z.-Y.; Shen, Q.; Li, D.-S.; et al. Clinicopathologic study of 1176 salivary gland tumors in a Chinese population: Experience of one cancer center 1997–2007. Acta Oto Laryngol. 2012, 132, 879–886. [Google Scholar] [CrossRef][Green Version]
- Lewis, J.S.; El-Mofty, S.K.; Nicolai, P. Lymphoepithelial carcinoma. In WHO Classification of Head and Neck Tumors; El-Naggar, A.K., Chan, J.K.C., Grandis, J.R., Takata, T., Slootweg, P.J., Eds.; IARC: Lyon, France, 2017; pp. 181–182. [Google Scholar]
- Krishnamurthy, S.; Lanier, A.P.; Dohan, P.; Lanier, J.F.; Henle, W. Salivary gland cancer in Alaskan natives, 1966–1980. Hum. Pathol. 1987, 18, 986–996. [Google Scholar] [CrossRef]
- Mahomed, F.; Grayson, W. A rare case of lymphoepithelial carcinoma of the lip. Oral Surg. Oral Med. Oral Pathol. Oral Radiol. Endodontol. 2008, 105, e49–e52. [Google Scholar] [CrossRef]
- Neel, H.B., 3rd; Pearson, G.R.; Weiland, L.H.; Taylor, W.F.; Goepfert, H.H.; Pilch, B.Z.; Goodman, M.; Lanier, A.P.; Huang, A.T.; Hyams, V.J.; et al. Application of Epstein-Barr virus serology to the diagnosis and staging of north American patients with nasopharyngeal carcinoma. Otolaryngol. Head Neck Surg. 1983, 91, 255–262. [Google Scholar] [CrossRef]
- Gulley, M.L. Molecular diagnosis of Epstein-Barr virus-related diseases. J. Mol. Diagn. 2001, 3, 1–10. [Google Scholar] [CrossRef]
- Rodrigues-Fernandes, C.I.; Junior, A.G.; Soares, C.D.; Morais, T.M.D.L.; Amaral-Silva, G.K.D.; de Carvalho, M.G.F.; de Souza, L.L.; Pires, F.R.; dos Santos, T.C.R.B.; Pereira, D.L.; et al. Oral and oropharyngeal diffuse large B-cell lymphoma and high-grade B-cell lymphoma: A clinicopathologic and prognostic study of 69 cases. Oral Surg. Oral Med. Oral Pathol. Oral Radiol. 2020, 131, 452–462.e4. [Google Scholar] [CrossRef] [PubMed]
- Thompson, L.D. Sinonasal carcinomas. Curr. Diagn. Pathol. 2006, 12, 40–53. [Google Scholar] [CrossRef]
- Zong, Y.; Liu, K.; Zhong, B.; Chen, G.; Wu, W. Epstein-Barr virus infection of sinonasal lymphoepithelial carcinoma in Guangzhou. Chin. Med. J. 2001, 114, 132–136. [Google Scholar]
- Thompson, L.D. Laryngeal dysplasia, squamous cell carcinoma, and variants. Surg. Pathol. Clin. 2017, 10, 15–33. [Google Scholar] [CrossRef]
- Thompson, L.D.R.; Burchette, R.; Iganej, S.; Bhattasali, O. Oropharyngeal squamous cell carcinoma in 390 patients: Analysis of clinical and histological criteria which significantly impact outcome. Head Neck Pathol. 2020, 14, 666–688. [Google Scholar] [CrossRef]
- Carpenter, D.H.; El-Mofty, S.K.; Lewis, J.S., Jr. Undifferentiated carcinoma of the oropharynx: A human papilloma-virus-associated tumor with a favorable prognosis. Mod. Pathol. 2011, 24, 1306–1312. [Google Scholar] [CrossRef] [PubMed]
- Jones, A.V.; Craig, G.T.; Speight, P.M.; Franklin, C.D. The range and demographics of salivary gland tumours diagnosed in a UK population. Oral Oncol. 2008, 44, 407–417. [Google Scholar] [CrossRef]
- Wenig, B.M. Lymphoepithelial-like carcinomas of the head and neck. Semin. Diagn. Pathol. 2015, 32, 74–86. [Google Scholar] [CrossRef]
- Sadoff, L.; Eckberg, T. Lymphoepithelioma after long-term tetracycline for acne. Lancet 1973, 1, 675. [Google Scholar] [CrossRef]
- Weiss, L.M.; Movahed, L.A.; Butler, A.E.; Swanson, S.A.; Frierson, H.F., Jr.; Cooper, P.H.; Colby, T.V.; Mills, S.E. Analysis of lymphoepithelioma and lymphoepithelioma-like carcinomas for Epstein-Barr viral genomes by in situ hybridization. Am. J. Surg. Pathol. 1989, 13, 625–631. [Google Scholar] [CrossRef]
- Evans, A.T.; Guthrie, W. Lymphoepithelioma-like carcinoma of the uvula and soft palate: A rare lesion in an unusual site. Histopathology 1991, 19, 184–186. [Google Scholar] [CrossRef] [PubMed]
- Worley, N.K.; Daroca, P.J., Jr. Lymphoepithelial carcinoma of the minor salivary gland. Arch. Otolaryngol. Head Neck Surg. 1997, 123, 638–640. [Google Scholar] [CrossRef] [PubMed]
- Ahuja, A.T.; Teo, P.M.; To, K.F.; King, A.D.; Metreweli, C. Palatal lymphoepitheliomas and a review of head and neck lymphoepitheliomas. Clin. Radiol. 1999, 54, 289–293. [Google Scholar] [CrossRef]
- Chow, T.L.; Chow, T.K.; Lui, Y.H.; Sze, W.M.; Yuen, N.W.F.; Kwok, S.P.Y. Lymphoepithelioma-like carcinoma of oral cavity: Report of three cases and literature review. Int. J. Oral Maxillofac. Surg. 2002, 31, 212–218. [Google Scholar] [CrossRef]
- Hsiung, C.-Y.; Huang, C.-C.; Wang, C.-J.; Huang, E.-Y.; Huang, H.-Y. Lymphoepithelioma-like carcinoma of salivary glands: Treatment results and failure patterns. Br. J. Radiol. 2006, 79, 52–55. [Google Scholar] [CrossRef]
- Lu, S.-Y.; Huang, C.-C.; Hsiung, C.-Y.; Eng, H.-L.; Huang, H.-Y. Primary lymphoepithelioma-like carcinoma of minor salivary gland: A case report with immunohistochemical and in situ hybridization studies. Head Neck 2006, 28, 182–186. [Google Scholar] [CrossRef]
- Shet, T.; Arora, B.; Laskar, S.; Basak, R.; Kane, S.; Kurkure, P. Epstein-Barr virus–associated lymphoepithelioma-like carcinoma of mandible. Pediatr. Dev. Pathol. 2009, 12, 152–155. [Google Scholar] [CrossRef]
- Hsieh, M.Y.; Chen, Y.K.; Lin, L.M. Primary buccal lymphoepithelial carcinoma: Report of a case. Cases J. TAOMFR 2010, 2, 4. [Google Scholar]
- Menditti, D.; Laino, L.; Milano, M.; Caputo, C.; Boccellino, M.; D’Avino, A.; Baldi, A. Intraoral lymphoepithelial carcinoma of the minor salivary glands. Vivo 2012, 26, 1087–1089. [Google Scholar]
- Ban, X.; Wu, J.; Mo, Y.; Yang, Q.; Liu, X.; Xie, C.; Zhang, R. Lymphoepithelial carcinoma of the salivary gland: Morphologic patterns and imaging features on CT and MRI. AJNR Am. J. Neuroradiol. 2014, 35, 1813–1819. [Google Scholar] [CrossRef] [PubMed]
- Gultekin, M.; Sari, S.Y.; Gunhan, O.; Hosal, S.; Cengiz, M.; Gurkaynak, M. Lymphoepithelial carcinoma of the lower lip: Report of a case. Int. J. Hematol. Oncol. 2014, 24, 70–72. [Google Scholar] [CrossRef]
- Zeng, M.; Li, S.; Fu, J.; Wu, H.; Gao, Y. Primary lymphoepithelial carcinoma of the intraoral minor salivary gland: A case report. Oncol. Lett. 2014, 9, 790–792. [Google Scholar] [CrossRef][Green Version]
- Kamboj, M.; Chaturvedi, M.; Shreedhar, B. Lymphoepithelioma-like carcinoma of the oral cavity-a diagnostic perplexion. Dent. J. Adv. Stud. 2016, 04, 131–134. [Google Scholar] [CrossRef][Green Version]
- Almeida, L.Y.; Silveira, H.A.; Silva, E.V.; Barbeiro, C.D.O.; De Paula, J.A.; Bufalino, A.; Ribeiro-Silva, A.; León, J.E. EBV-negative lymphoepithelial-like carcinoma of the lower lip. Autops. Case Rep. 2019, 10, e2020138. [Google Scholar] [CrossRef]
- Shimizu, S.; Miyazaki, A.; Nakamori, K.; Nakai, H.; Ogi, K.; Hasegawa, T.; Hiratsuka, H. Immunophenotypic analysis of tumor infiltrating lymphocytes in Epstein-Barr virus-negative lymphoepithelial carcinoma of the oral cavity: Report of a case. J. Oral Maxillofac. Surg. Med. Pathol. 2017, 29, 581–586. [Google Scholar] [CrossRef]
- Sayad, Z.; Hamidi, O.; Elouazzani, H.; Benazzou, S.; Cherradi, N.; Boulaadas, M. Lymphoepithelioma-like carcinoma of the vermilion of lower lip: A case report and review of literature. Int. J. Innov. 2021, 6, 1362–1364. [Google Scholar]
- Takeda, D.; Shigeoka, M.; Sugano, T.; Yatagai, N.; Hasegawa, T.; Akashi, M. A case report of tongue lymphoepithelial carcinoma with a histological diagnostic dilemma. Diagn. 2021, 11, 1039. [Google Scholar] [CrossRef]
- Ono, S.; Marunaka, H.; Yanai, H.; Kawai, H.; Takabatake, K.; Nishida, K.; Toji, T.; Nakano, K.; Nagatsuka, H.; Yoshino, T. Lymphoepithelial carcinoma in the lateral tongue: The case report. Reports 2021, 4, 24. [Google Scholar] [CrossRef]
- Bruner, J.M.; Batsakis, J.G. Salivary neoplasms of the jaw bones with particular reference to central mucoepidermoid carcinomas. Ann. Otol. Rhinol. Laryngol. 1991, 100, 954–955. [Google Scholar] [CrossRef]
- Li, F.; Zhu, G.; Wang, Y.; Wang, Y.; Chen, T.; Ji, Q. A clinical analysis of 37 cases with lymphoepithelial carcinoma of the major salivary gland treated by surgical resection and postoperative radiotherapy: A single institution study. Med. Oncol. 2014, 31, 957. [Google Scholar] [CrossRef]
- Wang, C.P.; Chang, Y.L.; Ko, J.Y.; Lou, P.J.; Yeh, C.F.; Sheen, T.-S. Lymphoepithelial carcinoma versus large cell undiferentiated carcinoma of the major salivary glands. Cancer 2004, 101, 2020–2027. [Google Scholar] [CrossRef]
- Zhan, K.Y.; Nicolli, E.A.; Khaja, S.F.; Day, T.A. Lymphoepithelial carcinoma of the major salivary glands: Predictors of survival in a non-endemic region. Oral Oncol. 2015, 52, 24–29. [Google Scholar] [CrossRef]
- Dubey, P.; Ha, C.S.; Ang, K.K.; El-Naggar, A.K.; Knapp, C.; Byers, R.M.; Morrison, W.H. Nonnasopharyngeal lymphoepithelioma of the head and neck. Cancer 1998, 15, 1556–1562. [Google Scholar] [CrossRef]




| Authors (year) | Gender | Race | Age | Clinical Signs and Symptoms | Duration (Months) | Site of Involvement | Tissue of Origin | EBV Investigation | Evaluation of Nasopharyngeal Area | Lymph Node Metastasis | Treatment | Follow- Up/ Outcome |
|---|---|---|---|---|---|---|---|---|---|---|---|---|
| Sadoff and Eckberg [22] (1973) | Female | NA | 16 | Painless lump | NA | Soft palate | NS | NA | NA | No | Surgery and radiation therapy | NS; NED |
| Weiss et al. [23] (1989) | Male | Caucasian | 64 | NA | NA | Floor of mouth | NS | EBER ISH: − | NA | NA *1 | NA | NA |
| Evans and Guthrie [24] (1991) | Female | Caucasian | 68 | Ulcer | 1.25 | Soft palate and uvula | MSG | NA | Endoscopy | Yes | Radiation therapy | NS; NED |
| Worley and Daroca [25] (1997) | Female | Caucasian | 69 | Firm mass | 3 | Buccal mucosa | MSG | LMP-1 IHC: − | Endoscopy | Yes | Surgery and radiation therapy | 12 months; NED |
| Ahuja et al. [26] (1999) *2 | Female | Chinese | 66 | NA | NA | Soft and hard palate | MSG | EBER ISH: + | Endoscopy, biopsy, CT scan, MRI | Yes | NA | NA |
| Male | Chinese | 63 | Slowly growing, painless ulcerated mass | 36 | Hard palate | MSG | EBER ISH: + | Endoscopy, biopsy, CT scan, MRI | No | NA | NA | |
| Female | Chinese | 47 | Mass, difficulty in swallowing, throat pain | NA | Soft palate and uvula | MSG | EBER ISH: + | MRI, biopsy | Yes | NA | NA | |
| Chow et al. [27] (2002) | Male | Chinese | 58 | Painful ulcer | 18 | Junction of hard and soft palate | NS | EBER ISH: +, serology: − | Endoscopy, biopsy | Yes | Radiation therapy | 30 months; NED |
| Female | Chinese | 56 | Painless lump | 12 | Soft palate | Possibly MSG | EBER ISH: +, serology: − | NA | No | Radiation therapy | 12 months; NED | |
| Female | Chinese | 80 | Ulcerative mass | 1 | Retromolar region | NS | EBER ISH: + | NA | Yes | No treatment | 34 months; DOD | |
| Hsiung et al. [28] (2005) | Female | NA | 50 | NA | NA | Buccal mucosa | MSG | NA | NA | No | Surgery and radiation therapy | 116.5 months; NED |
| Lu et al. [29] (2006) | Female | Taiwanese | 50 | Painless firm mass | 12 | Buccal mucosa | MSG | EBER ISH: +, LMP-1 IHC: − | CT scan | No | Surgery and radiation therapy | 120 months; NED |
| Mahomed and Grayson [11] (2008) | Male | Caucasian | 73 | Ulcer with irregular raised borders | 4 | Lower lip (vermillion- mucosa junction) | Surface epithelium | LMP-1 IHC: −, EBV PCR: − | NA | No | Surgery | 20 months; NED |
| Shet et al. [30] (2009) | Male | NA | 11 | Diffuse jaw swelling | 3 | Mandible | Possibly MSG | EBER ISH: + | MRI | Yes | Surgery, chemotherapy, and radiation therapy | 36 months; NED |
| Hsieh et al. [31] (2010) | Female | Taiwanese | 50 | Painless firm mass | 3 | Buccal mucosa | Possibly MSG | EBER ISH: +, serology: + | Biopsy, CT scan, Ga-67 whole body scan | No | Chemotherapy and radiation therapy | 18 months; AWD |
| Rytkonen et al. [5] (2011) | Male | NA | 49 | Solid mass | 6 | Soft palate and uvula | NS | EBER ISH: −, IHC: − | Endoscopy | Yes | Surgery, chemotherapy, and radiation therapy | 10 months; NED |
| Menditti et al. [32] (2012) | Male | Caucasian | 56 | Painless mass | 2 | Upper lip | MSG | Serology: −, LMP-1 IHC: − | CT scan | No | Surgery | 24 months; NED |
| Ban et al. [33] (2014) | Male | Chinese | 38 | Mass | 8 | Hard palate | MSG | EBER ISH: (most likely) + *3 | Endoscopy, CT scan | Yes | NA | NA |
| Gultekin et al. [34] (2014) | Male | NA | 41 | Non-healing ulcer | NA | Lower lip | NS | IHC: -, EBV PCR: − | PET/CT scan | Yes | Surgery, radiation therapy, and chemotherapy | 36 months; NED |
| Zeng et al. [35] (2015) | Female | Chinese | 38 | Painless nodular soft mass | 1 | Hard palate | MSG | EBER ISH: + | Endoscopy, biopsy, MRI | No | Surgery | 12 months; NED |
| Kamboj et al. [36] (2016) | Female | Indian | 45 | Painful swelling, nasal discharge | 4 | Maxilla | NS | NA | NA | No | Surgery | 24 months; NED |
| Almeida et al. [37] (2020) | Female | Caucasian | 82 | Painful ulceration | 12 | Lower lip | NS | EBER ISH: − | NA | No | Surgery | 24 months; NED |
| Shimizu et al. [38] (2017) | Male | Japanese | 82 | Hemorrhagic ulcerative indurated swelling | 3 | Floor of mouth | NS | EBER ISH: − | CT scan, PET/CT scan | Yes | Palliative therapy | 12 months; DOD |
| Sayad et al. [39] (2021) | Female | NA | 70 | Painful ulceration | 12 | Lower lip (vermillion border) | NS | Serology: + | NA | No | Surgery and radiation therapy | 16 months; NED |
| Takeda et al. [40] (2021) | Female | Japanese | 72 | Exophytic indurated mass (first presented as white patch) | 16 | Tongue (lateral border) | Surface epithelium | EBER ISH: − | CT scan, PET/CT scan | No | Surgery | 12 months; NED |
| Ono et al. [41] (2021) | Male | Japanese | 82 | Hard mass | NA | Tongue (posterior-lateral border) | Surface epithelium | EBER ISH: − | Endoscopy, CT scan | No | Surgery | 7 months; NED |
| Present case (2022) | Male | Filipino | 51 | Painful exophytic hemorrhagic ulcerated mass | 0.25 | Mandibular gingiva | Surface epithelium | EBER ISH: −, LMP-1 IHC: − | CT scan, MRI | Yes | Surgery, radiation therapy, and chemotherapy | 28 month; NED |
| Characteristics | Number |
|---|---|
| Cases | 27 |
| Gender | |
| Female | 15 |
| Male | 12 |
| Race | |
| Chinese | 8 |
| Caucasian | 6 |
| Japanese | 3 |
| Taiwanese | 2 |
| Indian | 1 |
| Filipino | 1 |
| Not available | 6 |
| Age (years) | |
| Range | 11–82 |
| Mean | 56.6 |
| Median | 56 |
| Clinical signs | |
| Lump/mass/swelling | 14 |
| Ulcer | 6 |
| Ulcerated mass | 4 |
| Not available | 3 |
| Symptoms | |
| Painful | 6 |
| Painless | 7 |
| Not available | 14 |
| Duration (months) (available in 20 cases) | |
| Range | 0.25–36 |
| Mean | 7.9 |
| Median | 4 |
| Site of involvement | |
| Palate | 10 |
| Soft | 5 |
| Hard | 3 |
| Both | 2 |
| Lips | 5 |
| Lower lip | 4 |
| Upper lip | 1 |
| Buccal mucosa | 4 |
| Jaws | 2 |
| Maxilla | 1 |
| Mandible | 1 |
| Tongue | 2 |
| Floor of mouth | 2 |
| Retromolar region | 1 |
| Gingiva | 1 |
| Origin | |
| MSG | 10 |
| Possibly MSG | 3 |
| Surface epithelium | 4 |
| Not specified | 10 |
| EBV investigation | |
| Positive | 12 |
| ISH | 11 |
| Other (serology) | 1 |
| Negative | 11 |
| ISH or PCR+IHC | 9 |
| Other (IHC +/-serology) | 2 |
| Not available | 4 |
| Lymph node metastasis | |
| Yes | 12 |
| No | 14 |
| Not available | 1 |
| Length of follow-up (months) (available in 20 cases) | |
| Range | 7–120 |
| Mean | 30.2 |
| Median | 22 |
| Patient outcome | |
| No evidence of disease | 19 |
| Died of disease | 2 |
| Alive with disease | 1 |
| Not available | 5 |
Publisher’s Note: MDPI stays neutral with regard to jurisdictional claims in published maps and institutional affiliations. |
© 2022 by the authors. Licensee MDPI, Basel, Switzerland. This article is an open access article distributed under the terms and conditions of the Creative Commons Attribution (CC BY) license (https://creativecommons.org/licenses/by/4.0/).
Share and Cite
Emfietzoglou, R.; Pettas, E.; Georgaki, M.; Papadopoulou, E.; Theofilou, V.I.; Papadogeorgakis, N.; Piperi, E.; Lopes, M.A.; Nikitakis, N.G. Lymphoepithelial Subtype of Oral Squamous Cell Carcinoma: Report of an EBV-Negative Case and Literature Review. Dent. J. 2022, 10, 165. https://doi.org/10.3390/dj10090165
Emfietzoglou R, Pettas E, Georgaki M, Papadopoulou E, Theofilou VI, Papadogeorgakis N, Piperi E, Lopes MA, Nikitakis NG. Lymphoepithelial Subtype of Oral Squamous Cell Carcinoma: Report of an EBV-Negative Case and Literature Review. Dentistry Journal. 2022; 10(9):165. https://doi.org/10.3390/dj10090165
Chicago/Turabian StyleEmfietzoglou, Rodopi, Efstathios Pettas, Maria Georgaki, Erofili Papadopoulou, Vasileios Ionas Theofilou, Nikolaos Papadogeorgakis, Evangelia Piperi, Marcio Ajudarte Lopes, and Nikolaos G. Nikitakis. 2022. "Lymphoepithelial Subtype of Oral Squamous Cell Carcinoma: Report of an EBV-Negative Case and Literature Review" Dentistry Journal 10, no. 9: 165. https://doi.org/10.3390/dj10090165
APA StyleEmfietzoglou, R., Pettas, E., Georgaki, M., Papadopoulou, E., Theofilou, V. I., Papadogeorgakis, N., Piperi, E., Lopes, M. A., & Nikitakis, N. G. (2022). Lymphoepithelial Subtype of Oral Squamous Cell Carcinoma: Report of an EBV-Negative Case and Literature Review. Dentistry Journal, 10(9), 165. https://doi.org/10.3390/dj10090165

