Long-Term Sequalae of Undiagnosed Intrusion of a Primary Tooth
Abstract
1. Introduction
2. Case Report
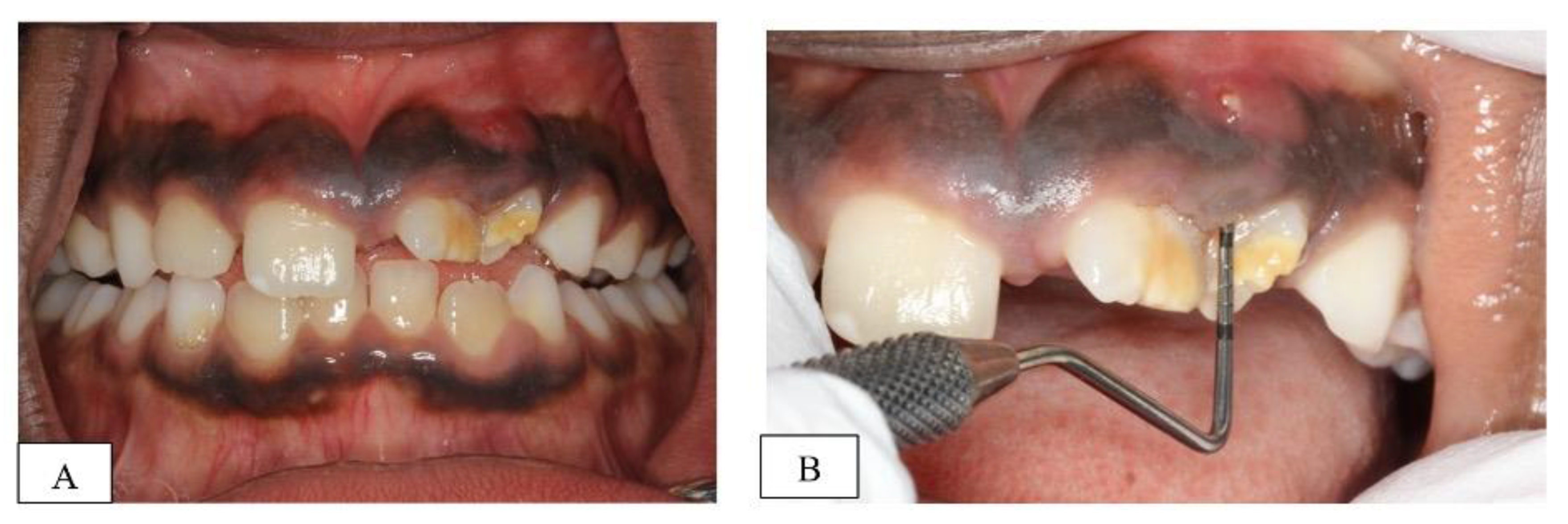
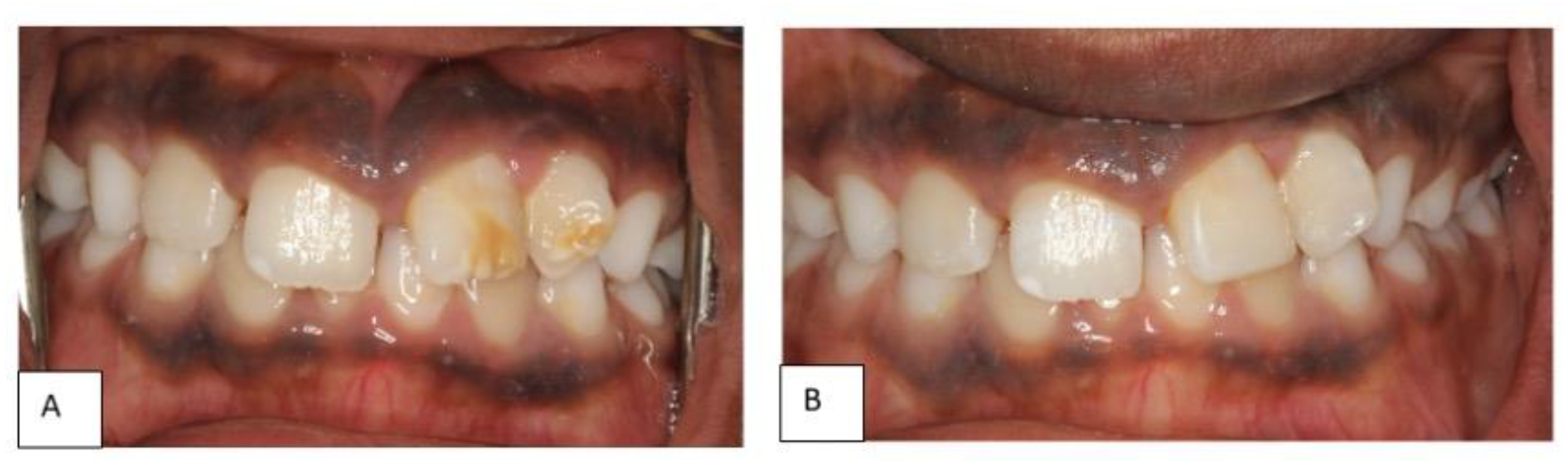
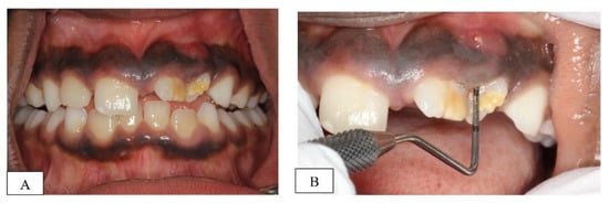
2.1. Clinical Examination and Diagnosis
2.2. Treatment Plan and Progress
3. Discussion
4. Conclusions and Clinical Implications
Author Contributions
Funding
Institutional Review Board Statement
Informed Consent Statement
Conflicts of Interest
References
- Petti, S.; Glendor, U.; Andersson, L. World traumatic dental injury prevalence and incidence, a meta-analysis-One billion living people have had traumatic dental injuries. Dent. Traumatol. 2018, 34, 71–86. [Google Scholar] [CrossRef] [PubMed]
- Glendor, U. Epidemiology of traumatic dental injuries—A 12 year review of the literature. Dent. Traumatol. 2008, 24, 603–611. [Google Scholar] [CrossRef] [PubMed]
- Lam, R. Epidemiology and outcomes of traumatic dental injuries: A review of the literature. Aust. Dent. J. 2016, 61 (Suppl. S1), 4–20. [Google Scholar] [CrossRef] [PubMed]
- da Costa Feliciano, K.M.P.; Caldas, A.D.F., Jr. A systematic review of the diagnostic classifications of traumatic dental injuries. Dent. Traumatol. 2006, 22, 71–76. [Google Scholar] [CrossRef] [PubMed]
- Gupta, M. Intrusive luxation in primary teeth–Review of literature and report of a case. Saudi Dent. J. 2011, 23, 167–176. [Google Scholar] [CrossRef] [PubMed]
- Lauridsen, E.; Blanche, P.; Yousaf, N.; Andreasen, J.O. The risk of healing complications in primary teeth with intrusive luxation: A retrospective cohort study. Dent. Traumatol. 2017, 33, 329–336. [Google Scholar] [CrossRef] [PubMed]
- Qassem, A.; Martins Nda, M.; da Costa, V.P.; Torriani, D.D.; Pappen, F.G. Long-term clinical and radiographic follow up of subluxated and intruded maxillary primary anterior teeth. Dent. Traumatol. 2015, 31, 57–61. [Google Scholar] [CrossRef] [PubMed]
- Andreasen, J.O.; Flores, M.T.; Lauridsen, E. Injuries to developing teeth. In Textbook and Color Atlas of Traumatic Injuries to the Teeth, 5th ed.; Andreasen, J.O., Andreasen, F.M., Andersson, L., Eds.; John Wiley & Sons: Copenhagen, Denmark, 2018; pp. 589–618. [Google Scholar]
- La Monaca, G.; Pranno, N.; Vozza, I.; Annibali, S.; Polimeni, A.; Bossù, M.; Cristalli, M.P. Sequelae in permanent teeth after traumatic injuries to primary dentition. Minerva Stomatol. 2019, 68, 332–340. [Google Scholar] [CrossRef]
- Lenzi, M.M.; Alexandria, A.K.; Ferreira, D.M.; Maia, L.C. Does trauma in the primary dentition cause sequelae in permanent successors? A systematic review. Dent. Traumatol. 2015, 31, 79–88. [Google Scholar] [CrossRef]
- Day, P.F.; Flores, M.T.; O’Connell, A.C.; Abbott, P.V.; Tsilingaridis, G.; Fouad, A.F.; Cohenca, N.; Lauridsen, E.; Bourguignon, C.; Hicks, L.; et al. International Association of Dental Traumatology guidelines for the management of traumatic dental injuries: 3. Injuries in the primary dentition. Dent. Traumatol. 2020, 36, 343–359. [Google Scholar] [CrossRef] [PubMed]
- Gurunathan, D.; Murugan, M.; Somasundaram, S. Management and Sequelae of Intruded Anterior Primary Teeth: A Systematic Review. Int. J. Clin. Pediatr. Dent. 2016, 9, 240–250. [Google Scholar] [PubMed]
- Kenny, K.P.; Day, P.F.; Sharif, M.O.; Parashos, P.; Lauridsen, E.; Feldens, C.A.; Cohenca, N.; Skapetis, T.; Levin, L.; Kenny, D.J.; et al. What are the important outcomes in traumatic dental injuries? An international approach to the development of a core outcome set. Dent. Traumatol. 2018, 34, 4–11. [Google Scholar] [CrossRef] [PubMed]
- Flores, M.T.; Onetto, J.E. How does orofacial trauma in children affect the developing dentition? Long-term treatment and associated complications. Dent. Traumatol. 2019, 35, 312–323. [Google Scholar] [CrossRef] [PubMed]
- Goswami, M.; Rahman, B.; Singh, S. Outcomes of luxation injuries to primary teeth-a systematic review. J. Oral. Biol. Craniofac. Res. 2020, 10, 227–232. [Google Scholar] [CrossRef] [PubMed]
- Caeiro-Villasenín, L.; Serna-Muñoz, C.; Pérez-Silva, A.; Vicente-Hernández, A.; Poza-Pascual, A.; Ortiz-Ruiz, A.J. Developmental Dental Defects in Permanent Teeth Resulting from Trauma in Primary Dentition: A Systematic Review. Int. J. Environ. Res. Public Health 2022, 19, 754. [Google Scholar] [CrossRef] [PubMed]
- Merkle, A. Complete intrusion of a maxillary right primary central incisor. Pediatr. Dent. 2000, 22, 151–162. [Google Scholar] [PubMed]
- Myers, G.L. Evaluation and diagnosis of the traumatized dentition. J. Endod. 2019, 45, S66–S71. [Google Scholar] [CrossRef] [PubMed]
- Belostoky, L.; Schwartz, Z.; Soskolne, W.A. Undiagnosed intrusion of a maxillary primary incisor tooth: 15-year follow-up. Pediatr. Dent. 1986, 8, 294–296. [Google Scholar] [PubMed]





Publisher’s Note: MDPI stays neutral with regard to jurisdictional claims in published maps and institutional affiliations. |
© 2022 by the authors. Licensee MDPI, Basel, Switzerland. This article is an open access article distributed under the terms and conditions of the Creative Commons Attribution (CC BY) license (https://creativecommons.org/licenses/by/4.0/).
Share and Cite
Bani-Hani, T.; Leith, R.; O’Connell, A.C. Long-Term Sequalae of Undiagnosed Intrusion of a Primary Tooth. Dent. J. 2022, 10, 202. https://doi.org/10.3390/dj10110202
Bani-Hani T, Leith R, O’Connell AC. Long-Term Sequalae of Undiagnosed Intrusion of a Primary Tooth. Dentistry Journal. 2022; 10(11):202. https://doi.org/10.3390/dj10110202
Chicago/Turabian StyleBani-Hani, Thikrayat, Rona Leith, and Anne C. O’Connell. 2022. "Long-Term Sequalae of Undiagnosed Intrusion of a Primary Tooth" Dentistry Journal 10, no. 11: 202. https://doi.org/10.3390/dj10110202
APA StyleBani-Hani, T., Leith, R., & O’Connell, A. C. (2022). Long-Term Sequalae of Undiagnosed Intrusion of a Primary Tooth. Dentistry Journal, 10(11), 202. https://doi.org/10.3390/dj10110202

