Evaluation of DNA and BSA-Binding, Nuclease Activity, and Anticancer Properties of New Cu(II) and Ni(II) Complexes with Quinoline-Derived Sulfonamides
Abstract
1. Introduction
2. Results and Discussion
2.1. Crystal Structures
- [Cu(QSMP)Cl]n (2)
- [Cu(QSMP)(C6H5COO)] (3)
- [Ni(QSMP)(C6H5COO)(CH3OH)][Ni(QSMP)(CH3COO)(CH3OH)] (4)
- Intermolecular interactions
2.2. Spectroscopic Properties and Complex Stability in Solution
2.3. DNA-Binding Studies
2.3.1. Thermal Denaturation
2.3.2. Ethidium Bromide Displacement Assay
2.4. DNA Cleavage and Mechanistic Studies
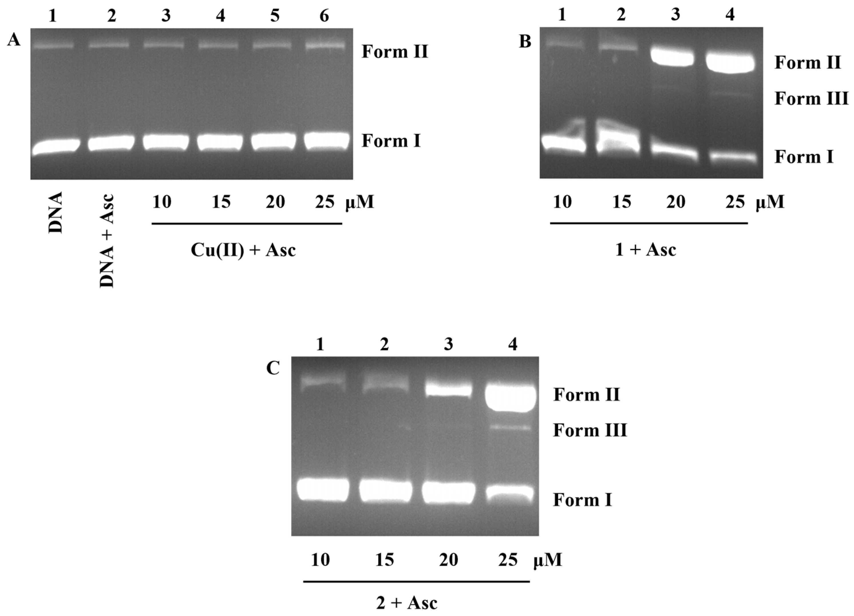
2.4.1. DNA Cleavage in the Presence of Ascorbate
2.4.2. Mechanistic Studies
- An efficient interaction between the nucleic acid and the metal complex is required in order to bring the compound close to the DNA double helix. The results derived from the DNA-binding studies and from the electrophoresis show that for complexes 1 and 2, an interaction through the DNA minor groove may be proposed.
- The presence of ascorbate causes the reduction in Cu(II) into Cu(I), and, as a consequence, a redox cycle is initiated, generating ROS responsible for DNA damage.
- Several ROSs are generated in a cascade of redox processes involving the Cu(I) ion, the reducing agent, and molecular oxygen. Cu(I) is reoxidized into Cu(II) as the reaction takes place in aerobic conditions. The superoxide radical formed in the same reaction undergoes a dismutation process, generating molecular oxygen and hydrogen peroxide, allowing the further formation of hydroxyl radicals, most likely through a Fenton mechanism (Figure 7). The reactive oxygen species formed ultimately caused DNA damage.
2.5. BSA-Binding Studies
2.6. Antitumor Activity
2.7. ROS Production in A549 Cells
3. Experimental Section
3.1. Materials and Methods
3.2. Synthesis
- Synthesis of HQSMP
- Synthesis of [Cu2(QSMP)2SO4]·2H2O (1)
- Synthesis of [Cu(QSMP)Cl]n (2)
- Synthesis of [Cu(QSMP)(C6H5COO)] (3)
- Synthesis of [Ni(QSMP)(C6H5COO)(CH3OH)][Ni(QSMP)(CH3COO)(CH3OH)] (4)
3.3. X-ray Data Collection and Structure Refinement
3.4. DNA-Binding Studies
3.5. DNA Cleavage and Mechanistic Studies
3.6. BSA-Binding Studies
3.7. Biological Activities on Cell Lines
3.7.1. Cell Culture
3.7.2. Antitumor Activity
3.7.3. Dichloro-Fluorescein Diacetate (DCFH-DA) Assay
3.8. Statistical Analysis
4. Conclusions
Supplementary Materials
Author Contributions
Funding
Data Availability Statement
Conflicts of Interest
References
- Rosenberg, B. Some biological effects of platinum compounds. New agents for the control of tumours. Platin. Met. Rev. 1971, 15, 42–51. [Google Scholar] [CrossRef]
- Gailer, J. Improving the safety of metal-based drugs by tuning their metabolism with chemoprotective agents. J. Inorg. Biochem. 2018, 179, 154–157. [Google Scholar] [CrossRef]
- de Almeida, L.C.; Calil, F.A.; Machado-Neto, J.A.; Costa-Lotufo, L.V. DNA damaging agents and DNA repair: From carcinogenesis to cancer therapy. Cancer Genet. 2021, 252–253, 6–24. [Google Scholar] [CrossRef] [PubMed]
- Paprocka, R.; Wiese-Szadkowska, M.; Janciauskiene, S.; Kosmalski, T.; Kulik, M.; Helmin-Basa, A. Latest developments in metal complexes as anticancer agents. Coord. Chem. Rev. 2022, 452, 214307. [Google Scholar] [CrossRef]
- Andrezalova, L.; Orszaghova, Z. Covalent and noncovalent interactions of coordination compounds with DNA: An overview. J. Inorg. Biochem. 2021, 225, 111624. [Google Scholar] [CrossRef] [PubMed]
- Topală, T.; Bodoki, A.; Oprean, L.; Oprean, R. Experimental techniques employed in the study of metal complexes-DNA-interactions. Farmacia 2014, 62, 1049–1061. [Google Scholar]
- Barone, G.; Terenzi, A.; Lauria, A.; Almerico, A.M.; Leal, J.M.; Busto, N.; García, B. DNA-binding of nickel(II), copper(II) and zinc(II) complexes: Structure–affinity relationships. Coord. Chem. Rev. 2013, 257, 2848–2862. [Google Scholar] [CrossRef]
- Nakamoto, K.; Tsuboi, M.; Strahan, G.D. Drug-DNA Interactions. Structures and Spectra; John Wiley and Sons LTD: New York, NY, USA, 2008. [Google Scholar]
- Garcia-Gimenez, J.L.; Hernandez-Gil, J.; Martinez-Ruiz, A.; Castineiras, A.; Liu-Gonzalez, M.; Pallardo, F.V.; Borras, J.; Alzuet Pina, G. DNA binding, nuclease activity, DNA photocleavage and cytotoxic properties of Cu(II) complexes of N-substituted sulfonamides. J. Inorg. Biochem. 2013, 121, 167–178. [Google Scholar] [CrossRef]
- Roat-Mallone, R.M. Bioinorganic Chemistry. A Short Course; John Wiley & Sons, Inc.: Hoboken, NJ, USA, 2002. [Google Scholar]
- Yu, Z.; Cowan, J.A. Metal complexes promoting catalytic cleavage of nucleic acids-biochemical tools and therapeutics. Curr. Opin. Chem. Biol. 2018, 43, 37–42. [Google Scholar] [CrossRef]
- Zhang, P.S.; Sadler, P.J. Redox-active metal complexes for anticancer therapy. Eur. J. Inorg. Chem. 2017, 2017, 1541–1548. [Google Scholar] [CrossRef]
- Desbouis, D.; Troitsky, I.P.; Belousoff, M.J.; Spiccia, L.; Graham, B. Copper(II), zinc(II) and nickel(II) complexes as nuclease mimetics. Coord. Chem. Rev. 2012, 256, 897–937. [Google Scholar] [CrossRef]
- Jiang, Q.X.; Xiao, N.; Shi, P.; Zhu, Y.; Guo, Z. Design of artificial metallonucleases with oxidative mechanism. Coord. Chem. Rev. 2007, 251, 1951–1972. [Google Scholar] [CrossRef]
- Zuin Fantoni, N.; Molphy, Z.; Slator, C.; Menounou, G.; Toniolo, G.; Mitrikas, G.; McKee, V.; Chatgilialoglu, C.; Kellett, A. Polypyridyl-based copper phenanthrene complexes: A new type of stabilized artificial chemical nuclease. Chemistry 2019, 25, 221–237. [Google Scholar] [CrossRef] [PubMed]
- Yousuf, I.; Bashir, M.; Arjmand, F.; Tabassum, S. Advancement of metal compounds as therapeutic and diagnostic metallodrugs: Current frontiers and future perspectives. Coord. Chem. Rev. 2021, 445, 214104. [Google Scholar] [CrossRef]
- Boros, E.; Dyson, P.J.; Gasser, G. Classification of Metal-Based Drugs according to Their Mechanisms of Action. Chem 2020, 6, 41–60. [Google Scholar] [CrossRef] [PubMed]
- Hadjiliadis, N.S.; Sletten, E. Metal Complex-DNA Interactions; John Wiley & Sons, Inc.: Hoboken, NJ, USA, 2009. [Google Scholar]
- Jopp, M.B.; Becker, J.; Becker, S.; Mishka, A.; Gandin, V.; Marzano, C.; Schindler, S. Anticancer activity of a series of copper(II) complexes with tripodal ligands. Eur. J. Med. Chem. 2017, 132, 274–281. [Google Scholar] [CrossRef] [PubMed]
- Topală, T.; Bodoki, A.; Gheorghe-Cetean, S.; Hangan, A.; Oprean, L. Sulfonamide-containing transition metal complexes with therapeutic potential. In Sulfonamides: An Overview; Sarkar, D., Ed.; Nova Science Publishers: Hauppauge, NY, USA, 2020. [Google Scholar]
- Apaydın, S.; Török, M. Sulfonamide derivatives as multi-target agents for complex diseases. Bioorg. Med. Chem. Lett. 2019, 29, 2042–2050. [Google Scholar] [CrossRef] [PubMed]
- Mondal, S.; Malakar, S. Synthesis of sulfonamide and their synthetic and therapeutic applications: Recent advances. Tetrahedron 2020, 76, 131662. [Google Scholar] [CrossRef]
- Castaño, L.F.; Cuartas, V.; Bernal, A.; Insuasty, A.; Guzman, J.; Vidal, O.; Rubio, V.; Puerto, G.; Lukáč, P.; Vimberg, V.; et al. New chalcone-sulfonamide hybrids exhibiting anticancer and antituberculosis activity. Eur. J. Med. Chem. 2019, 176, 50–60. [Google Scholar] [CrossRef]
- Yurttaş, L.; Çiftçi, G.A. New quinoline based sulfonamide derivatives: Cytotoxic and apoptotic activity evaluation against pancreatic cancer cells. Anti-Cancer Agents Med. Chem. 2018, 18, 1122–1130. [Google Scholar] [CrossRef]
- Liu, Y.; Wu, Y.; Sun, l.; Gu, Y.; Hu, L. Synthesis and structure-activity relationship study of water-soluble carbazole sulfonamide derivatives as new anticancer agents. Eur. J. Med. Chem. 2020, 191, 112181. [Google Scholar] [CrossRef] [PubMed]
- Wan, Y.; Fang, G.; Chen, H.; Deng, X.; Tang, Z. Sulfonamide derivatives as potential anti-cancer agents and their SARs elucidation. Eur. J. Med. Chem. 2021, 226, 113837. [Google Scholar] [CrossRef] [PubMed]
- Topalӑ, T.; Bodoki, A.E.; Hangan, A.; Gheorghe-Cetean, S.; Oprean, L. Revisiting therapeutic sulfonamides in the attempt to improve the antimicrobial properties through metal-ion coordination. Farmacia 2019, 67, 749–758. [Google Scholar] [CrossRef]
- Peters, T.J. All about Albumin: Biochemistry, Genetics, and Medical Applications; Academic Press: San Diego, CA, USA, 1995. [Google Scholar]
- Topalӑ, T.; Pascual-Álvarez, A.; Moldes-Tolosa, M.A.; Bodoki, A.; Castiñeiras, A.; Torres, J.; Del Pozo, C.; Borrás, J.; Alzuet-Piña, G. New sulfonamide complexes with essential metal ions [Cu (II), Co (II), Ni (II) and Zn (II)]. Effect of the geometry and the metal ion on DNA binding and nuclease activity. BSA protein interaction. J. Inorg. Biochem. 2020, 202, 110823. [Google Scholar] [CrossRef] [PubMed]
- González-Álvarez, M.; Pascual-Álvarez, A.; del Castillo Agudo, L.; Castiñeiras, A.; Liu-González, M.; Borrás, J.; Alzuet-Piña, G. Mixed-ligand copper(II)-sulfonamide complexes: Effect of the sulfonamide derivative on DNA binding, DNA cleavage, genotoxicity and anticancer activity. J. Chem. Soc. Dalton Trans. 2013, 42, 10244–10259. [Google Scholar] [CrossRef]
- García-Giménez, J.L.; Gonzalez-Álvarez, M.; Liu-González, M.; Macias, B.; Borrás, J.; Alzuet, G. Toward the development of metal-based synthetic nucleases: DNA binding and oxidative DNA cleavage of a mixed copper(II) complex with N-(9H-purin-6-yl)benzenesulfonamide and 1,10-phenantroline. Antitumor activity in human Caco-2 cells and Jurkat T lymphocytes. Evaluation of p53 and Bcl-2 proteins in the apoptotic mechanism. J. Inorg. Biochem. 2009, 103, 923–934. [Google Scholar] [CrossRef] [PubMed]
- García-Giménez, J.L.; Alzuet, G.; González-Álvarez, M.; Liu-González, M.; Castiñeiras, A.; Borrás, J. Oxidative nuclease activity of ferromagnetically coupled µ-hydroxo-µ-propionato copper(II) complexes [Cu3(L)2(µ-OH)2(µ-propionato)2] (L=N-(pyrid-2-ylmethyl)R-sulfonamidato, R=benzene, toluene, naphthalene). J. Inorg. Biochem. 2009, 103, 243–255. [Google Scholar] [CrossRef] [PubMed]
- Bodoki, A.; Hangan, A.; Oprean, L.; Alzuet, G.; Castiñeiras, A.; Borrás, J. Oxidative DNA cleavage by copper ternary complexes of 1,10-phenanthroline and ethylenediamine-sulfonamide derivatives. Polyhedron 2009, 28, 2537–2544. [Google Scholar] [CrossRef]
- González-Álvarez, M.; Alzuet, G.; Borrás, J.; del Castillo-Agudo, L.; Montejo-Bernardo, J.; Gutiérrez-Rodríguez, A.; García-Granda, S. Evaluation of antiproliferative activities and apoptosis induction caused by copper(II)–benzothiazolesulfonamide complexes in Jurkat T lymphocytes and Caco-2 cells. J. Inorg. Biochem. 2008, 13, 1249–1265. [Google Scholar] [CrossRef]
- Pascual-Álvarez, A.; Topală, T.; Estevan, F.; Sanz, F.; Alzuet-Piña, G. Photoinduced and self-activated nuclease activity of copper(II) complexes with N-(quinolin-8-yl)quinolin-8-sulfonamide—DNA and bovine serum albumin binding. Eur. J. Inorg. Chem. 2016, 2016, 982–994. [Google Scholar] [CrossRef]
- Addison, A.W.; Rao, T.N.; Reedijk, J.; van Rijn, J.; Verschoor, G.C. Synthesis, structure, and spectroscopic properties of copper(II) compounds containing nitrogen?sulphur donor ligands; the crystal and molecular structure of aqua[1,7-bis(N-methylbenzimidazol-2?-yl)-2,6-dithiaheptane]copper(II) perchlorate. J. Chem. Soc., Dalton Trans. 1984, 7, 1349–1356. [Google Scholar] [CrossRef]
- Marlier, E.E.; Sadowsky, D.; Cramer, C.J.; McNeill, K. Metal ion size and coordination mode in complexes of a β-diketiminate ligand with pendant quinoline arms. Inorg. Chim. Acta 2011, 369, 173–179. [Google Scholar] [CrossRef]
- Zhang, J.-A.; Pan, M.; Jiang, J.-J.; She, Z.-G.; Fan, Z.-J.; Su, C.-Y. Syntheses, crystal structures and antimicrobial activities of thioether ligands containing quinoline and pyridine terminal groups and their transition metal complexes. Inorg. Chim. Acta 2011, 374, 269–277. [Google Scholar] [CrossRef]
- Peng, X.; Cui, G.; Li, D.; Liu, T. Synthesis, characterization, and theoretical calculations of mononuclear copper(II) benzoate complex with 2-propylimidazole, [Cu(PIM)2(PhCOO)2]. J. Mol. Struct. 2010, 967, 54–60. [Google Scholar] [CrossRef]
- Cano, J.; De Munno, G.; Sanz, J.L.; Ruiz, R.; Faus, J.; Lloret, F.; Julve, M.; Caneschi, A. Ability of terephthalate (ta) to mediate exchange coupling in ta-bridged copper(II), nickel(II), cobalt(II) and manganese(II) dinuclear complexes. J. Chem. Soc. Dalton Trans. 1997, 1915–1923. [Google Scholar] [CrossRef]
- Krishnamoorthy, P.; Sathyadevi, P.; Cowley, A.H.; Butorac, R.R.; Dharmaraj, N. Evaluation of DNA binding, DNA cleavage, protein binding and in vitro cytotoxic activities of bivalent transition metal hydrazone complexes. Eur. J. Med. Chem. 2011, 46, 3376–3387. [Google Scholar] [CrossRef]
- Sathyadevi, P.; Krishnamoorthy, P.; Jayanthi, E.; Butorac, R.R.; Cowley, A.H.; Dharmaraj, N. Studies on the effect of metal ions of hydrazone complexes on interaction with nucleic acids, bovine serum albumin and antioxidant properties. Inorg. Chim. Acta 2012, 384, 83–96. [Google Scholar] [CrossRef]
- Macías, B.; García, I.; Villa, M.a.V.; Borrás, J.; Castiñeiras, A.; Sanz, F. Synthesis and characterization of sulfonamides containing 8-aminoquinoline and their Ni(II) complexes. Crystalline structures of the Ni complexes. Polyhedron 2002, 21, 1229–1234. [Google Scholar] [CrossRef]
- Janiak, C. A critical account on π–π stacking in metal complexes with aromatic nitrogen-containing ligands†. J. Chem. Soc., Dalton Trans. 2000, 3885–3896. [Google Scholar] [CrossRef]
- Desiraju, G.R. Crystal Design: Structure and Function Perspectives in Supramolecular Chemistry; John Wiley & Sons, Ltd.: Chichester, UK, 2003; Volume 7. [Google Scholar]
- Nakamoto, K. Infrared and Raman Spectra of Inorganic and Coordination Compounds; Wiley: New York, NY, USA, 1986. [Google Scholar]
- Vafazadeh, R.; Esteghamat-Panah, R.; Willis, A.C.; Hill, A.F. Synthesis and structural studies of mono- and dinuclear Cu(II) complexes with an ONO donor Schiff base ligand: Self-assembly and sulfato-bridged. Polyhedron 2012, 48, 51–57. [Google Scholar] [CrossRef]
- Hathaway, B.J.; Billing, D.E. The electronic properties and stereochemistry of mono-nuclear complexes of the copper(II) ion. Coord. Chem. Rev. 1970, 5, 143–207. [Google Scholar] [CrossRef]
- Lever, A.P.B. Inorganic Electronic Spectroscopy, 2nd ed.; Elesvier: Amsterdam, The Netherlands, 1984. [Google Scholar]
- Fox, K.R. Methods in Molecular Biology. Drug-DNA Interaction Protocols; Humana Press: Totowa, NJ, USA, 2007. [Google Scholar]
- Rajeshwari, K.; Anantha Lakshmi, P.V.; Archana, J.; Sumakanth, M. Ternary cobalt(II), nickel(II), and copper(II) complexes containing metformin and ethylenediamine: Synthesis, characterization, thermal, in vitro DNA binding, in silico molecular docking, and in vivo antihyperglycemic studies. Appl. Organomet. Chem. 2021, 35, e6100. [Google Scholar] [CrossRef]
- Lepecq, J.B.; Paoletti, C. A fluorescent complex between ethidium bromide and nucleic acids. J. Mol. Biol. 1967, 27, 87–106. [Google Scholar] [CrossRef] [PubMed]
- Valeur, B. Molecular Fluorescence. Principles and Applications; Wiley: Weinheim, Germany, 2001. [Google Scholar]
- Christidou, A.; Zavalani, K.; Hatzidimitriou, A.G.; Psomas, G. Copper(II) complexes with 3,5–dihalogeno–salicylaldehydes: Synthesis, structure and interaction with DNA and albumins. J. Inorg. Biochem. 2023, 238, 112049. [Google Scholar] [CrossRef] [PubMed]
- Housecroft, C.E.; Sharpe, A.G. Inorganic Chemistry, 2nd ed.; Pearson Education Limited: Harlow, UK, 2005. [Google Scholar]
- Lakowicz, J.R. Principles of Fluorescence Spectroscopy, 2nd ed.; Kluwer Academic/Plenum Publishers: New York, NY, USA, 1999. [Google Scholar]
- Urquiza, N.M.; Naso, L.G.; Manca, S.G.; Lezama, L.; Rojo, T.; Williams, P.A.M.; Ferrer, E.G. Antioxidant activity of methimazole–copper(II) bioactive species and spectroscopic investigations on the mechanism of its interaction with Bovine Serum Albumin. Polyhedron 2012, 31, 530–538. [Google Scholar] [CrossRef]
- Chang, L.-l.; Yang, J.; Lai, S.-q.; Liu, X.-r.; Yang, Z.-w.; Zhao, S.-s. Synthesis, crystal structures and CT-DNA/BSA binding properties of Co(III) and Cu(II) complexes with bipyridine Schiff base ligand. Inorg. Chim. Acta 2022, 532, 120751. [Google Scholar] [CrossRef]
- Nakahata, D.H.; de Paiva, R.E.F.; Lustri, W.R.; Corbi, P.P. Sulfonamide-containing copper(ii) complexes: New insights on biophysical interactions and antibacterial activities. New J. Chem. 2020, 44, 17236–17244. [Google Scholar] [CrossRef]
- Sohtun, W.P.; Kathiravan, A.; Asha Jhonsi, M.; Aashique, M.; Bera, S.; Velusamy, M. Synthesis, crystal structure, BSA binding and antibacterial studies of Ni(II) complexes derived from dithiocarbazate based ligands. Inorg. Chim. Acta 2022, 536, 120888. [Google Scholar] [CrossRef]
- Rajendiran, V.; Karthik, R.; Palaniandavar, M.; Periasamy, V.S.; Akbarsha, M.A.; Srinag, B.S.; Krishnamurthy, H. Mixed-Ligand Copper(II)-phenolate Complexes: Effect of Coligand on Enhanced DNA and Protein Binding, DNA Cleavage, and Anticancer Activity. Inorg. Chem. 2007, 46, 8208–8221. [Google Scholar] [CrossRef]
- Kanchanadevi, S.; Fronczek, F.R.; Immanuel David, C.; Nandhakumar, R.; Mahalingam, V. Investigation of DNA/BSA binding and cytotoxic properties of new Co(II), Ni(II) and Cu(II) hydrazone complexes. Inorg. Chim. Acta 2021, 526, 120536. [Google Scholar] [CrossRef]
- Neelakantan, M.A.; Balamurugan, K.; Balakrishnan, C.; Subha, L. Interaction of amino acid Schiff base metal complexes with DNA/BSA protein and antibacterial activity: Spectral studies, DFT calculations and molecular docking simulations. Appl. Organomet. Chem. 2018, 32, e4259. [Google Scholar] [CrossRef]
- Bashir, M.; Yousuf, I.; Prakash Prasad, C. Mixed Ni(II) and Co(II) complexes of nalidixic acid drug: Synthesis, characterization, DNA/BSA binding profile and in vitro cytotoxic evaluation against MDA-MB-231 and HepG2 cancer cell lines. Spectrochim. Acta A Mol. Biomol. Spectrosc. 2022, 271, 120910. [Google Scholar] [CrossRef] [PubMed]
- Damelin, L.H.; Vokes, S.; Whitcutt, J.M.; Damelin, S.B.; Alexander, J.J. Hormesis: A stress response in cells exposed to low levels of heavy metals. Hum. Exp. Toxicol. 2000, 19, 420–430. [Google Scholar] [CrossRef] [PubMed]
- Fulmer, G.R.; Miller, A.J.M.; Sherden, N.H.; Gottlieb, H.E.; Nudelman, A.; Stoltz, B.M.; Bercaw, J.E.; Goldberg, K.I. NMR Chemical Shifts of Trace Impurities: Common Laboratory Solvents, Organics, and Gases in Deuterated Solvents Relevant to the Organometallic Chemist. Organometallics 2010, 29, 2176–2179. [Google Scholar] [CrossRef]
- Bruker. APEX2. v2010.3-0. Bruker AXS Inc.: Madison, WI, USA, 2010. [Google Scholar]
- Bruker. SMART and SAINT. Area Detector Control and Integration Software; Bruker Analytical X-ray Instruments Inc.: Madison, WI, USA, 1997. [Google Scholar]
- Sheldrick, G.M. SADABS. Program for Empirical Absorption Correction of Area Detector Data; University of Goettingen: Goettingen, Germany, 1997. [Google Scholar]
- Sheldrick, G.M. A short history of SHELX. Acta Crystallogr. 2008, A64, 112–122. [Google Scholar] [CrossRef]
- Wilson, A.J.C. International Tables for Crystallography; Kluwer Academic Publishers: Dordrecht, The Netherlands, 1995; Volume C. [Google Scholar]













| [Cu(QSMP)Cl]n 2 | [Cu(QSMP)(C6H5COO)] 3 | [Ni(QSMP)(C6H5COO)(CH3OH)] [Ni(QSMP)(CH3COO)(CH3OH)] 4 | |||
|---|---|---|---|---|---|
| Cu(1)-N(1) | 2.0494(13) | Cu(1)-N(1) | 2.0762(19) | Ni(1)-N(1) | 2.119(3) |
| Cu(1)-N(2) | 1.9817(13) | Cu(1)-N(2) | 1.9180(19) | Ni(1)-N(2) | 2.023(3) |
| Cu(1)-N(3) | 2.0282(13) | Cu(1)-N(3) | 1.992(2) | Ni(1)-N(3) | 2.044(3) |
| Cu(1)-O(21) | 1.9414(16) | Ni(1)-O(21) | 2.079(2) | ||
| Cu(1)-O(22) | 2.5642(18) | Ni(1)-O(22) | 2.149(2) | ||
| Ni(1)-O(16) | 2.091(2) | ||||
| Cu(1)-Cl(1) | 2.2571(4) | ||||
| Cu(1)-O(1) | 2.3431(11) | ||||
| Cu(1)-Cu(1a) | 5.0738(3) | ||||
| Cu(1)-Cu(1b) | 5.0738(3) | ||||
| N(2)-Cu(1)-N(3) | 82.37(5) | N(2)-Cu(1)-N(3) | 81.88(8) | N(2)-Ni(1)-N(3) | 81.89(10) |
| N(2)-Cu(1)-N(1) | 88.81(5) | N(2)-Cu(1)-N(1) | 98.33(8) | N(2)-Ni(1)-N(1) | 95.85(10) |
| N(3)-Cu(1)-N(1) | 170.88(5) | N(3)-Cu(1)-N(1) | 138.68(8) | N(3)-Ni(1)-N(1) | 93.07(9) |
| O(21)-Cu(1)-N(1) | 95.12(7) | O(21)-Ni(1)-N(1) | 98.17(10) | ||
| N(2)-Cu(1)-O(22) | 108.61(7) | N(2)-Ni(1)-O(22) | 103.32(10) | ||
| O(21)-Cu(1)-O(22) | 56.74(6) | O(21)-Ni(1)-O(22) | 62.60(9) | ||
| N(3)-Cu(1)-O(22) | 108.79(7) | N(3)-Ni(1)-O(22) | 87.79(9) | ||
| N(1)-Cu(1)-O(22) | 110.12(7) | N(1)-Ni(1)-O(22) | 160.73(9) | ||
| N(2)-Cu(1)-O(21) | 163.13(7) | N(2)-Ni(1)-O(21) | 165.73(9) | ||
| O(21)-Cu(1)-N(3) | 94.68(8) | N(3)-Ni(1)-O(21) | 94.68(10) | ||
| N(2)-Ni(1)-O(16) | 90.87(9) | ||||
| N(3)-Ni(1)-O(16) | 169.81(9) | ||||
| O(21)-Ni(1)-O(16) | 90.59(9) | ||||
| O(16)-Ni(1)-N(1) | 94.81(9) | ||||
| O(16)-Ni(1)-O(22) | 86.91(9) | ||||
| N(1)-Cu(1)-O(1) | 85.87(5) | ||||
| Cl(1)-Cu(1)-O(1) | 96.31(3) | ||||
| N(2)-Cu(1)-Cl(1) | 161.82(4) | ||||
| N(3)-Cu(1)-Cl(1) | 95.53(4) | ||||
| N(1)-Cu(1)-Cl(1) | 93.58(4) | ||||
| N(2)-Cu(1)-O(1) | 101.84(5) | ||||
| N(3)-Cu(1)-O(1) | 93.61(5) | ||||
| π-π stacking | dCg-Cg (Å) | D ⊥ [Cg(I)-P(J)] (Å) | D ⊥ [Cg(J)-P(I)] (Å) | α (°) | β (°) | γ (°) |
|---|---|---|---|---|---|---|
| 2 | ||||||
| quinoline–quinoline | ||||||
| Cg(1)-Cg(1) a | 3.6187 | 3.3521 | 3.3521 | 0 | 22.13 | 22.13 |
| Cg(1)-Cg(3) a | 3.8523 | 3.3278 | 3.3519 | 1.483 | 29.53 | 30.25 |
| 3 | ||||||
| quinoline–quinoline | ||||||
| Cg(8)-Cg(8) b | 3.6343 | 3.3430 | 3.3430 | 0 | 23.09 | 23.09 |
| 4 | ||||||
| quinoline–quinoline | ||||||
| Cg(9)-Cg(9) c | 3.8925 | 3.4469 | 3.4469 | 0 | 27.68 | 27.68 |
| quinoline–phenyl | ||||||
| Cg(7)-Cg(10) d | 3.6558 | 3.4068 | 3.3378 | 5.534 | 24.07 | 21.27 |
| Cg(9)-Cg(10) d | 3.8342 | 3.1372 | 3.3976 | 7.513 | 27.61 | 35.09 |
| C-H…π Interactions | dH-Cg (Å) | D ⊥ [H-P(I)] (Å) | dC-Cg (Å) | <[C-H…P(I)] (°) | γ (°) |
|---|---|---|---|---|---|
| 2 | |||||
| C12-H12 … Cg(3) a | 2.85 | 2.83 | 3.5305 | 130 | 6.49 |
| 4 | |||||
| C5-H5 … Cg(8) b | 2.99 | 2.83 | 3.7028 | 132 | 19.06 |
| Complex | ΔTm (°C) a | % Hypochromism | KSV (M−1) |
|---|---|---|---|
| 1 | 6.6 | 20.9 | - |
| 2 | 7 | 14.8 | 2.32 × 103 |
| 3 | 5.3 | 16.2 | - |
| 4 | 10.9 | 34.6 | 6.58 × 103 |
| Complex | % Hypochromism | KSV (M−1) × 105 | kq (M−1s−1) × 1013 | Kb (M−1) | n |
|---|---|---|---|---|---|
| 1 | 30.5 | 3.18 | 3.18 | 3.08 × 103 | 0.65 |
| 2 | 26.4 | 2.78 | 2.78 | 2.33 × 105 | 0.98 |
| 3 | 27.4 | 2.85 | 2.85 | 1.24 × 104 | 0.76 |
| 4 | 26.7 | 2.87 | 2.87 | 6.79 × 104 | 0.89 |
| Complex | IC50 (µM) | |||
|---|---|---|---|---|
| 24 h | 48 h | |||
| A549 | BJ | A549 | BJ | |
| 1 | 24.1 ± 0.4 | 31.6 ± 1.1 | 23.3 ± 0.3 | 29.37 ± 0.7 |
| 2 | 48.2 ± 0.9 | 66.2 ± 2.5 | 44.1 ± 0.7 | 61.35 ± 1.2 |
| 2 | 3 | 4 | |
|---|---|---|---|
| Empirical formula | C15H12CuN3O2SCl | C22H17CuN3O4S | C41H40Ni2N6O10S2 |
| Formula weight | 397.33 | 482.98 | 958.33 |
| Temperature (K) | 100 (2) K | 100 (2) K | 100 (2) K |
| Wavelength (Å) | 0.71073 | 0.71073 | 0.71069 |
| Crystal system, space group | Monoclinic, P21/c | Monoclinic, P21/c | Monoclinic, P21/n |
| a [Å] | 11.7685(8) | 8.2565(4) | 8.992(5) |
| b [Å] | 13.7587(9) | 8.8840(4) | 21.456(5) |
| c [Å] | 10.0538(6) | 27.3508(14) | 10.444(5) |
| α [°] | 90 | 90 | 90 |
| β [°] | 112.698(3) | 97.162(2) | 93.809(5) |
| γ [°] | 90 | 90 | 90 |
| Volume [Å3] | 1501.82(17) | 1990.55(17) | 2010.5(15) |
| Z, calculated density [mg/m3] | 4, 1.757 | 4, 1.612 | 2, 1.583 |
| Absorption coefficient [mm−1] | 1.783 | 1.239 | 1.108 |
| F(000) | 804 | 988 | 992 |
| Crystal size [mm] | 0.32 × 0.08 × 0.04 | 0.230 × 0.170 × 0.020 | 0.24 × 0.13 × 0.10 |
| θ range for data collection [°] | 1.88 to 30.51 | 1.501 to 26.371 | 2.17 to 27.10 |
| Limiting indices | −16≤ h ≤ 15 0 ≤ k ≤ 19 0 ≤ l ≤ 14 | −10 ≤ h ≤ 10 0 ≤ k ≤ 11 0 ≤ l ≤ 34 | −11 ≤ h ≤ 11 0 ≤ k ≤ 27 0 ≤ l ≤ 13 |
| Reflections collected/unique | 62,895/4589 [R(int) = 0.0543] | 19,079/4068 [R(int) = 0.0466] | 31,379/4437 [R(int) = 0.0599] |
| Completeness to θ [%] | 10 θ = 30.51 | 100 θ = 25.242 | 99.9 θ = 27.10 |
| Absorption correction | Semi-empirical from equivalents | Semi-empirical from equivalents | Semi-empirical from equivalents |
| Max./min. transmission | 0.9321/0.5992 | 1.000/0.900 | 0.8972/0.7768 |
| Refinement method | Full-matrix least-squares on F2 | Full-matrix least-squares on F2 | Full-matrix least-squares on F2 |
| Data/restraints/parameters | 4589/0/208 | 4068/0/280 | 4437/12/307 |
| Goodness-of-fit on F2 | 1.045 | 1.034 | 1.222 |
| Final R indices [I > 2σ(I)] | R1 = 0.0258 wR2 = 0.0593 | R1 = 0.0325 wR2 = 0.0746 | R1 = 0.0455 wR2 = 0.0951 |
| R indices (all data) | R1 = 0.0370 wR2 = 0.0640 | R1 = 0.0450 wR2 = 0.0804 | R1 = 0.0532 wR2 = 0.0976 |
| Largest diff. peak/hole [e·Å3] | 0.491/−0.462 | 0.469/−0.437 | 0.389/−0.403 |
| CCDC | 2349438 | 2349437 | 2349439 |
Disclaimer/Publisher’s Note: The statements, opinions and data contained in all publications are solely those of the individual author(s) and contributor(s) and not of MDPI and/or the editor(s). MDPI and/or the editor(s) disclaim responsibility for any injury to people or property resulting from any ideas, methods, instructions or products referred to in the content. |
© 2024 by the authors. Licensee MDPI, Basel, Switzerland. This article is an open access article distributed under the terms and conditions of the Creative Commons Attribution (CC BY) license (https://creativecommons.org/licenses/by/4.0/).
Share and Cite
Topală, T.L.; Fizeşan, I.; Petru, A.-E.; Castiñeiras, A.; Bodoki, A.E.; Oprean, L.S.; Escolano, M.; Alzuet-Piña, G. Evaluation of DNA and BSA-Binding, Nuclease Activity, and Anticancer Properties of New Cu(II) and Ni(II) Complexes with Quinoline-Derived Sulfonamides. Inorganics 2024, 12, 158. https://doi.org/10.3390/inorganics12060158
Topală TL, Fizeşan I, Petru A-E, Castiñeiras A, Bodoki AE, Oprean LS, Escolano M, Alzuet-Piña G. Evaluation of DNA and BSA-Binding, Nuclease Activity, and Anticancer Properties of New Cu(II) and Ni(II) Complexes with Quinoline-Derived Sulfonamides. Inorganics. 2024; 12(6):158. https://doi.org/10.3390/inorganics12060158
Chicago/Turabian StyleTopală, Tamara Liana, Ionel Fizeşan, Andreea-Elena Petru, Alfonso Castiñeiras, Andreea Elena Bodoki, Luminița Simona Oprean, Marcos Escolano, and Gloria Alzuet-Piña. 2024. "Evaluation of DNA and BSA-Binding, Nuclease Activity, and Anticancer Properties of New Cu(II) and Ni(II) Complexes with Quinoline-Derived Sulfonamides" Inorganics 12, no. 6: 158. https://doi.org/10.3390/inorganics12060158
APA StyleTopală, T. L., Fizeşan, I., Petru, A.-E., Castiñeiras, A., Bodoki, A. E., Oprean, L. S., Escolano, M., & Alzuet-Piña, G. (2024). Evaluation of DNA and BSA-Binding, Nuclease Activity, and Anticancer Properties of New Cu(II) and Ni(II) Complexes with Quinoline-Derived Sulfonamides. Inorganics, 12(6), 158. https://doi.org/10.3390/inorganics12060158

