Laser Treatment for Retinal Arterial Macroaneurysm
Abstract
1. Introduction
2. Clinical Presentation
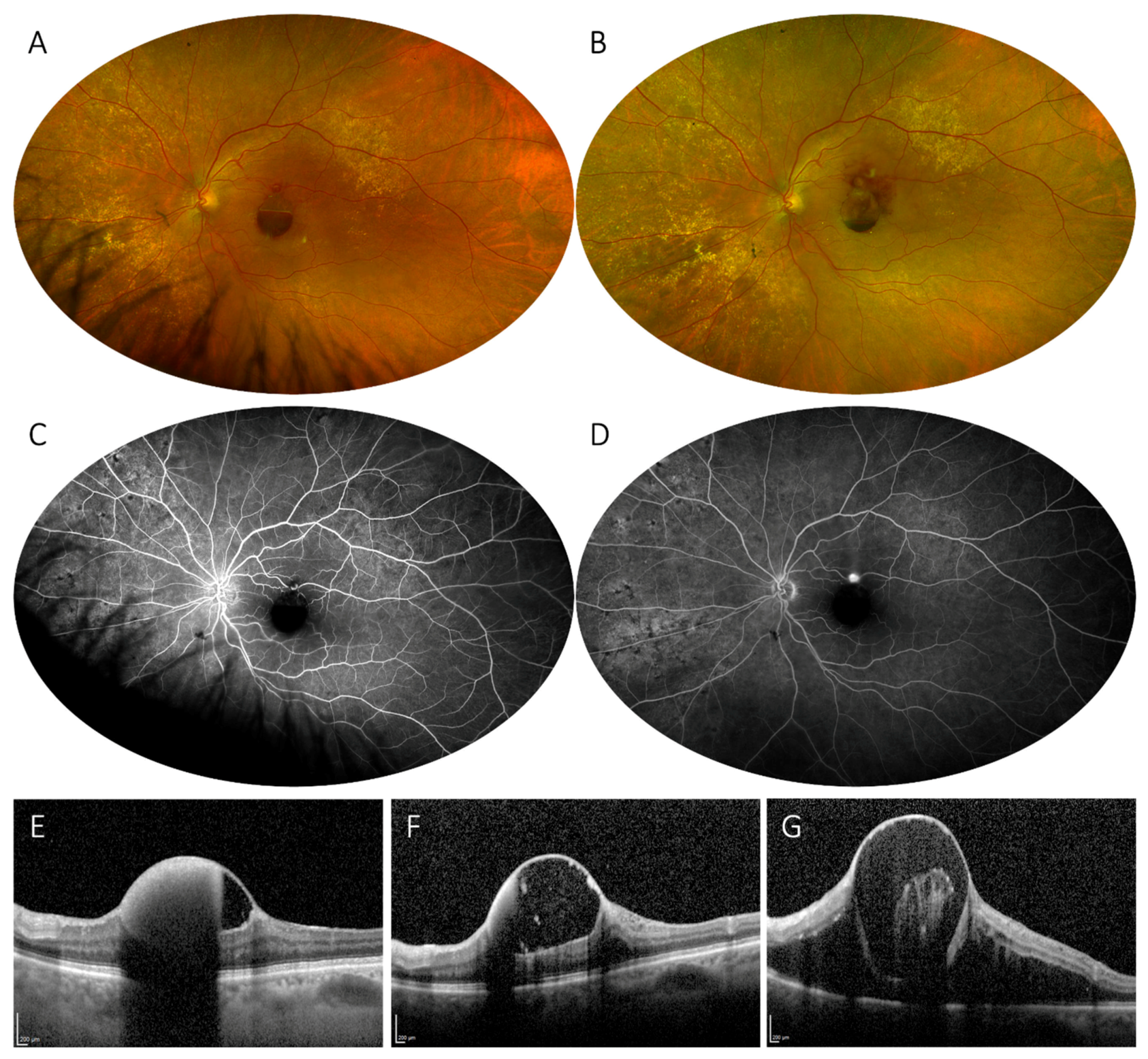
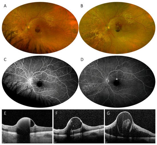
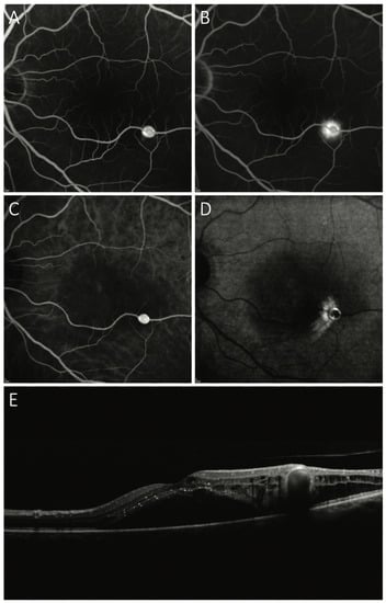
3. Multimodal Imaging
4. Treatment
4.1. General Management
4.2. Laser Treatment
4.3. Intravitreal Pharmacologic Therapy
4.4. Surgical Treatment
5. Conclusions
Author Contributions
Funding
Institutional Review Board Statement
Informed Consent Statement
Conflicts of Interest
References
- Robertson, D.M. Macroaneurysms of the Retinal Arteries. Trans. Am. Acad. Ophthalmol. Otolaryngol. 1973, 77, OP55–OP67. [Google Scholar] [PubMed]
- Lewis, R.A.; Norton, E.W.; Gass, J.D. Acquired arterial macroaneurysms of the retina. Br. J. Ophthalmol. 1976, 60, 21–30. [Google Scholar] [CrossRef] [PubMed]
- Rabb, M.F.; Gagliano, D.A.; Teske, M.P. Retinal arterial macroaneurysms. Surv. Ophthalmol. 1988, 33, 73–96. [Google Scholar] [CrossRef]
- Abdel-Khalek, M.N.; Richardson, J. Retinal macroaneurysm: Natural history and guidelines for treatment. Br. J. Ophthalmol. 1986, 70, 2–11. [Google Scholar] [CrossRef] [PubMed]
- Goldhagen, B.E.; Goldhardt, R. Retinal Arterial Macroaneurysms: Updating Your Memory on RAM Management. Curr. Ophthalmol. Rep. 2019, 7, 73–79. [Google Scholar] [CrossRef]
- Battaglia Parodi, M. Aneurysm Retinal Arterial. In Encyclopedia of Ophthalmology; Springer: Berlin/Heidelberg, Germany, 2018; pp. 93–95. [Google Scholar]
- Brown, D.M.; Sobol, W.M.; Folk, J.C.; Weingeist, T.A. Retinal arteriolar macroaneurysms: Long-term visual outcome. Br. J. Ophthalmol. 1994, 78, 534–538. [Google Scholar] [CrossRef]
- Panton, R.W.; Goldberg, M.F.; Farber, M.D. Retinal arterial macroaneurysms: Risk factors and natural history. Br. J. Ophthalmol. 1990, 74, 595–600. [Google Scholar] [CrossRef]
- Parodi, M.B.; Bondel, E.; Saviano, S.; Ravalico, G. Branch retinal vein occlusion after spontaneous obliteration of retinal arterial macroaneurysm. Retina 1998, 18, 378–379. [Google Scholar] [CrossRef]
- Ishikura, M.; Muraoka, Y.; Kadomoto, S.; Nishigori, N.; Murakami, T.; Ooto, S.; Tsujikawa, A. Retinal arterial macroaneurysm rupture caused by dissection-like change in the vessel wall. Am. J. Ophthalmol. Case Rep. 2022, 25, 101346. [Google Scholar] [CrossRef]
- Dhindsa, H.S.; Abboud, E.B. Familial retinal arterial macroaneurysms. Retina 2002, 22, 607–615. [Google Scholar] [CrossRef]
- Abu-Safieh, L.; Abboud, E.B.; Alkuraya, H.; Shamseldin, H.; Al-Enzi, S.; Al-Abdi, L.; Hashem, M.; Colak, D.; Jarallah, A.; Ahmad, H.; et al. Mutation of IGFBP7 Causes Upregulation of BRAF/MEK/ERK Pathway and Familial Retinal Arterial Macroaneurysms. Am. J. Hum. Genet. 2011, 89, 313–319. [Google Scholar] [CrossRef]
- Alkuraya, H.; Patel, N.; Ibrahim, N.; Al-Ghamdi, B.; Alsulaiman, S.M.; Nowilaty, S.R.; Abboud, E.; Alturki, R.; Alkharashi, A.; Eyaid, W.; et al. Phenotypic delineation of the retinal arterial macroaneurysms with supravalvular pulmonic stenosis syndrome. Clin. Genet. 2019, 97, 447–456. [Google Scholar] [CrossRef]
- Khan, A.O.; Pichi, F.; Neri, P.; Abboud, E.B. Retinal arteriolar macroaneurysms with supravalvular pulmonic stenosis in the United Arab Emirates. Ophthalmic Genet. 2021, 43, 58–63. [Google Scholar] [CrossRef]
- Palestine, A.G.; Robertson, D.M.; Goldstein, B.G. Macroaneurysms of the Retinal Arteries. Am. J. Ophthalmol. 1982, 93, 164–171. [Google Scholar] [CrossRef]
- Tsujikawa, A.; Sakamoto, A.; Ota, M.; Oh, H.; Miyamoto, K.; Kita, M.; Yoshimura, N. Retinal structural changes associated with retinal arterial macroaneurysm examined with optical coherence tomography. Retina 2009, 29, 782–792. [Google Scholar] [CrossRef]
- Sakaguchi, S.; Muraoka, Y.; Nishigori, N.; Ishikura, M.; Kadomoto, S.; Miyata, M.; Murakami, T.; Ooto, S.; Tsujikawa, A. Detection and characteristics of unruptured retinal arterial macroaneurysms. Retina 2022, 42, 1909–1914. [Google Scholar] [CrossRef]
- Moosavi, R.A.; Fong, K.C.S.; Chopdar, A. Retinal artery macroaneurysms: Clinical and fluorescein angiographic features in 34 patients. Eye 2005, 20, 1011–1020. [Google Scholar] [CrossRef]
- Chen, H.; Zhao, X.-Y.; Meng, L.-H.; Zhang, W.-F.; Chen, Y.-X. Clinical characteristics of retinal arterial macroaneurysms and prognosis of different interventions. Graefe’s Arch. Clin. Exp. Ophthalmol. 2021, 260, 439–450. [Google Scholar] [CrossRef]
- Kester, E.; Walker, E. Retinal arterial macroaneurysm causing multilevel retinal hemorrhage. Optom. J. Am. Optom. Assoc. 2009, 80, 425–430. [Google Scholar] [CrossRef]
- Schneider, U.; Wagner, A.L.; Kreissig, I. Indocyanine Green Videoangiography of Hemorrhagic Retinal Arterial Macroaneurysms. Ophthalmologica 1997, 211, 115–118. [Google Scholar] [CrossRef]
- Gomez-Ulla, F.; Gonzalez, F.; Torreiro, M.G.; Perez, R.; Des, J. Indocyanine green angiography in isolated primary retinal arterial macroaneurysms. Acta Ophthalmol. Scand. 1998, 76, 671–674. [Google Scholar] [CrossRef] [PubMed]
- Townsend-Pico, W.A.; Meyers, S.M.; Lewis, H. Indocyanine green angiography in the diagnosis of retinal arterial macroaneurysms associated with submacular and preretinal hemorrhages: A case series. Am. J. Ophthalmol. 2000, 129, 33–37. [Google Scholar] [CrossRef]
- Lee, E.K.; Woo, S.J.; Ahn, J.; Park, K.H. Morphologic characteristics of retinal arterial macroaneurysm and its regression pattern on spectral-domain optical coherence tomography. Retina 2011, 31, 2095–2101. [Google Scholar] [CrossRef] [PubMed]
- Goldenberg, D.; Soiberman, U.; Loewenstein, A.; Goldstein, M. Heidelberg spectral-domain optical coherence tomographic findings in retinal artery macroaneurysm. Retina 2012, 32, 990–995. [Google Scholar] [CrossRef] [PubMed]
- Hanhart, J.; Strassman, I.; Rozenman, Y. En face imaging of retinal artery macroaneurysms using swept-source optical coherence tomography. Retin. Cases Brief Rep. 2017, 11, 211–216. [Google Scholar] [CrossRef]
- Alnawaiseh, M.; Schubert, F.; Nelis, P.; Wirths, G.; Rosentreter, A.; Eter, N. Optical coherence tomography (OCT) angiography findings in retinal arterial macroaneurysms. BMC Ophthalmol. 2016, 16, 120. [Google Scholar] [CrossRef][Green Version]
- Chang, V.S.; Schwartz, S.G.; Flynn, H.W. Optical Coherence Tomography Angiography of Retinal Arterial Macroaneurysm before and after Treatment. Case Rep. Ophthalmol. Med. 2018, 2018, 1–4. [Google Scholar] [CrossRef]
- Breazzano, M.P.; Fernández-Avellaneda, P.; Freund, K.B. Swept-Source Optical Coherence Tomography Angiography of Retinal Arterial Macroaneurysm with Overlying Hemorrhage. JAMA Ophthalmol. 2019, 137, e190247. [Google Scholar] [CrossRef]
- Lin, C.-Y.; Hung, J.-H. OCT Angiography of Retinal Arterial Macroaneurysm. Ophthalmol. Retin. 2020, 4, 1180. [Google Scholar] [CrossRef]
- Astroz, P.; Miere, A.; Cohen, S.Y.; Querques, G.; Souied, E.H. Optical coherence tomography angiography in the diagnosis and follow-up of retinal arterial macroaneurysms. Retin. Cases Brief Rep. 2021, 15, 1–4. [Google Scholar] [CrossRef]
- Arrigo, A.; Aragona, E.; Parodi, M.B.; Bandello, F. Quantitative approaches in multimodal fundus imaging: State of the art and future perspectives. Prog. Retin. Eye Res. 2022, 101111. [Google Scholar] [CrossRef]
- Kadomoto, S.; Muraoka, Y.; Uji, A.; Ooto, S.; Murakami, T.; Tsujikawa, A. Hemodynamic and structural changes in retinal arterial macroaneurysm after intravitreal anti-vascular endothelial growth factor injection. Am. J. Ophthalmol. Case Rep. 2021, 23, 101182. [Google Scholar] [CrossRef]
- Hughes, E.L.; Dooley, I.J.; Kennelly, K.P.; Doyle, F.; Siah, W.F.; Connell, P. Angiographic features and disease outcomes of symptomatic retinal arterial macroaneurysms. Graefe's Arch. Clin. Exp. Ophthalmol. 2016, 254, 2203–2207. [Google Scholar] [CrossRef]
- Koinzer, S.; Heckmann, J.; Tode, J.; Roider, J. Long-term, therapy-related visual outcome of 49 cases with retinal arterial macroaneurysm: A case series and literature review. Br. J. Ophthalmol. 2015, 99, 1345–1353. [Google Scholar] [CrossRef]
- Amaro, M.; Ferreira, A. Retinal Macroaneurysm. In LASER Manual in Ophthalmology-Fundamentals and Laser Clinical Practice; Henriques, J., Duarte, A., Quintão, T., Eds.; SPILM Portuguese Medical Laser Society Publishing: Lisbon, Portugal, 2017; pp. 277–279. [Google Scholar]
- Russell, S.R.; Folk, J.C. Branch Retinal Artery Occlusion After Dye Yellow Photocoagulation of an Arterial Macroaneurysm. Am. J. Ophthalmol. 1987, 104, 186–187. [Google Scholar] [CrossRef]
- Kozak, I.; Oster, S.F.; Cortes, M.A.; Dowell, D.; Hartmann, K.; Kim, J.S.; Freeman, W.R. Clinical Evaluation and Treatment Accuracy in Diabetic Macular Edema Using Navigated Laser Photocoagulator NAVILAS. Ophthalmology 2011, 118, 1119–1124. [Google Scholar] [CrossRef]
- Maltsev, D.S.; Kulikov, A.N.; Uplanchiwar, B.; Lima, L.H.; Chhablani, J. Direct navigated laser photocoagulation as primary treatment for retinal arterial macroaneurysms. Int. J. Retin. Vitr. 2018, 4, 28. [Google Scholar] [CrossRef]
- Parodi, M.B.; Iacono, P.; Ravalico, G.; Bandello, F. Subthreshold laser treatment for retinal arterial macroaneurysm. Br. J. Ophthalmol. 2010, 95, 534–538. [Google Scholar] [CrossRef]
- Parodi, M.B.; Iacono, P.; Pierro, L.; Papayannis, A.; Kontadakis, S.; Bandello, F.M. Subthreshold Laser Treatment Versus Threshold Laser Treatment for Symptomatic Retinal Arterial Macroaneurysm. Investig. Opthalmology Vis. Sci. 2012, 53, 1783–1786. [Google Scholar] [CrossRef]
- Rajabian, F.; Arrigo, A.; Grazioli, A.; Falcomatà, B.; Bandello, F.; Parodi, M.B. Retinal arterial macroaneurysm associated with macular pucker. Eur. J. Ophthalmol. 2019, 30, NP74–NP78. [Google Scholar] [CrossRef]
- Chen, Y.-J.; Kou, H.-K. Krypton laser membranotomy in the treatment of dense premacular hemorrhage. Can. J. Ophthalmol. 2004, 39, 761–766. [Google Scholar] [CrossRef]
- Chen, Y.-Y.; Lin, L.-Y.; Chang, P.-Y.; Chen, F.-T.; Mai, E.L.C.; Wang, J.-K. Laser and Anti–Vascular Endothelial Growth Factor Agent Treatments for Retinal Arterial Macroaneurysm. Asia Pac. J. Ophthalmol. 2017, 6, 444–449. [Google Scholar] [CrossRef]
- Chanana, B.; Azad, R.V. Intravitreal bevacizumab for macular edema secondary to retinal macroaneurysm. Eye 2008, 23, 493–494. [Google Scholar] [CrossRef] [PubMed]
- Oztas, Z.; Nalcaci, S.; Akkin, C. Intravitreal aflibercept for ruptured retinal arterial macroaneurysm. Int. J. Ophthalmol. 2017, 10, 491–493. [Google Scholar] [CrossRef] [PubMed]
- Chatziralli, I.; Maniatea, A.; Koubouni, K.; Parikakis, E.; Mitropoulos, P. Intravitreal Ranibizumab for Retinal Arterial Macroaneurysm: Long-Term Results of a Prospective Study. Eur. J. Ophthalmol. 2016, 27, 215–219. [Google Scholar] [CrossRef]
- Lin, Z.; Hu, Q.; Wu, Y.; Xu, J.; Zhang, Q. Intravitreal ranibizumab or conbercept for retinal arterial macroaneurysm: A case series. BMC Ophthalmol. 2019, 19, 18. [Google Scholar] [CrossRef]
- Cho, H.J.; Rhee, T.K.; Kim, H.S.; Han, J.I.; Lee, D.W.; Cho, S.W.; Kim, J.W. Intravitreal Bevacizumab for Symptomatic Retinal Arterial Macroaneurysm. Am. J. Ophthalmol. 2013, 155, 898–904.e1. [Google Scholar] [CrossRef]
- Pichi, F.; Morara, M.; Torrazza, C.; Manzi, G.; Alkabes, M.; Balducci, N.; Vitale, L.; Lembo, A.; Ciardella, A.P.; Nucci, P. Intravitreal Bevacizumab for Macular Complications from Retinal Arterial Macroaneurysms. Am. J. Ophthalmol. 2013, 155, 287–294.e1. [Google Scholar] [CrossRef]
- Kishore, K. Intravitreal Bevacizumab for Symptomatic Retinal Arterial Macroaneurysm. Am. J. Ophthalmol. 2014, 157, 260. [Google Scholar] [CrossRef]
- Mansour, A.M.; Foster, R.E.; Gallego-Pinazo, R.; Moschos, M.M.; Sisk, R.A.; Chhablani, J.; Rojanaporn, D.; Sujirakul, T.; Arevalo, J.F.; Lima, L.H.; et al. Intravitreal anti-vascular endothelial growth factor injections for exudative retinal arterial macroaneurysms. Retina 2019, 39, 1133–1141. [Google Scholar] [CrossRef]
- Kim, J.H.; Kim, J.W.; Kim, C.G.; Lew, Y.J.; Cho, H.J. Influence of bevacizumab therapy and intraretinal hemorrhage in long-term outcomes of hemorrhagic retinal arterial macroaneurysm. Sci. Rep. 2021, 11, 14246. [Google Scholar] [CrossRef]
- Leung, E.; Reddy, A.; Vedula, A.; Flynn, H. Serial bevacizumab injections and laser photocoagulation for macular edema associated with a retinal artery macroaneurysm. Clin. Ophthalmol. 2015, 9, 601–609. [Google Scholar] [CrossRef][Green Version]
- Cahuzac, A.; Scemama, C.; Mauget-Faysse, M.; Sahel, J.-A.; Wolff, B. Retinal Arterial Macroaneurysms: Clinical, Angiographic, and Tomographic Description and Therapeutic Management of a Series of 14 Cases. Eur. J. Ophthalmol. 2015, 26, 36–43. [Google Scholar] [CrossRef]
- Zhang, S.; Wang, C.; Cao, G.; Xu, X.; Wang, J. Outcomes of combined treatments in patients with retinal arterial macroaneurysm. Indian J. Ophthalmol. 2021, 69, 3564. [Google Scholar] [CrossRef]
- Kim, T.H.; Kim, C.Z.; Lee, S.U.; Lee, S.J. Combined Intravitreal Bevacizumab and Laser Photocoagulation to Treat Retinal Arterial Macroaneurysms. J. Korean Ophthalmol. Soc. 2021, 62, 1053–1060. [Google Scholar] [CrossRef]
- Chen, K.-J. Natural Course of Ruptured Retinal Arterial Macroaneurysm. Ophthalmol. Retin. 2020, 4, 629. [Google Scholar] [CrossRef]
- AlZaid, A.; Magliyah, M.; Schatz, P.; Al-Dhibi, H. Long-term resolution of chronic macular edema after a single dose of intravitreal dexamethasone in familial retinal arterial macroaneurysm. Ophthalmic Genet. 2020, 41, 394–396. [Google Scholar] [CrossRef]
- Dave, A.D.; Thavikulwat, A.T.; De Silva, T.; Wiley, H.E.; Keenan, T.D.; Wong, W.T.; Cukras, C.A. Longitudinal characterization and treatment response of retinal arterial macroaneurysms in adult-onset coats disease. Am. J. Ophthalmol. Case Rep. 2022, 27, 101647. [Google Scholar] [CrossRef]
- Zhao, P.; Hayashi, H.; Oshima, K.; Nakagawa, N.; Ohsato, M. Vitrectomy for macular hemorrhage associated with retinal arterial macroaneurysm. Ophthalmology 2000, 107, 613–617. [Google Scholar] [CrossRef]
- Tashimo, A.; Mitamura, Y.; Ohtsuka, K.; Okushiba, U.; Imaizumi, H.; Takeda, M. Macular hole formation following ruptured retinal arterial macroaneurysm. Am. J. Ophthalmol. 2003, 135, 487–492. [Google Scholar] [CrossRef]
- Tonotsuka, T.; Imai, M.; Saito, K.; Iijima, H. Visual prognosis for symptomatic retinal arterial macroaneurysm. Jpn. J. Ophthalmol. 2003, 47, 498–502. [Google Scholar] [CrossRef]
- Sato, R.; Yasukawa, T.; Hirano, Y.; Ogura, Y. Early-onset macular holes following ruptured retinal arterial macroaneurysms. Graefe's Arch. Clin. Exp. Ophthalmol. 2008, 246, 1779–1782. [Google Scholar] [CrossRef] [PubMed]
- Sagara, N.; Kawaji, T.; Koshiyama, Y.; Inomata, Y.; Fukushima, M.; Tanihara, H. Macular hole formation after macular haemorrhage associated with rupture of retinal arterial macroaneurysm. Br. J. Ophthalmol. 2009, 93, 1337–1340. [Google Scholar] [CrossRef] [PubMed]
- Sonmez, K.; Ozturk, F.; Ozcan, P.Y. Treatment of multilevel macular hemorrhage secondary to retinal arterial macroaneurysm with submacular tissue plasminogen activator. Eur. J. Ophthalmol. 2012, 22, 1026–1031. [Google Scholar] [CrossRef] [PubMed]
- Inoue, M.; Shiraga, F.; Shirakata, Y.; Morizane, Y.; Kimura, S.; Hirakata, A. Subretinal injection of recombinant tissue plasminogen activator for submacular hemorrhage associated with ruptured retinal arterial macroaneurysm. Graefe's Arch. Clin. Exp. Ophthalmol. 2014, 253, 1663–1669. [Google Scholar] [CrossRef] [PubMed]
- Pierre, M.; Mainguy, A.; Chatziralli, I.; Pakzad-Vaezi, K.; Ruiz-Medrano, J.; Bodaghi, B.; Loewenstein, A.; Ambati, J.; de Smet, M.D.; Tadayoni, R.; et al. Macular Hemorrhage Due to Age-Related Macular Degeneration or Retinal Arterial Macroaneurysm: Predictive Factors of Surgical Outcome. J. Clin. Med. 2021, 10, 5787. [Google Scholar] [CrossRef]
- Humayun, M.; Lewis, H.; Flynn, H.W.; Sternberg, P.; Blumenkranz, M.S. Management of submacular hemorrhage associated with retinal arterial macroaneurysms. Am. J. Ophthalmol. 1998, 126, 358–361. [Google Scholar] [CrossRef]
- van Zeeburg, E.J.T.; Cereda, M.G.; van Meurs, J.C. Recombinant tissue plasminogen activator, vitrectomy, and gas for recent submacular hemorrhage displacement due to retinal macroaneurysm. Graefe's Arch. Clin. Exp. Ophthalmol. 2012, 251, 733–740. [Google Scholar] [CrossRef]
- Cakir, M.; Cekiç, O.; Yilmaz, F. Pneumatic displacement of acute submacular hemorrhage with and without the use of tissue plasminogen activator. Eur. J. Ophthalmol. 2010, 20, 565–571. [Google Scholar] [CrossRef]
- Hillenkamp, J.; Surguch, V.; Framme, C.; Gabel, V.-P.; Sachs, H.G. Management of submacular hemorrhage with intravitreal versus subretinal injection of recombinant tissue plasminogen activator. Graefe's Arch. Clin. Exp. Ophthalmol. 2009, 248, 5–11. [Google Scholar] [CrossRef]
- Ohji, M.; Saito, Y.; Hayashi, A.; Lewis, J.M.; Tano, Y. Pneumatic Displacement of Subretinal Hemorrhage Without Tissue Plasminogen Activator. Arch. Ophthalmol. 1998, 116, 1326–1332. [Google Scholar] [CrossRef]
- Ibanez, H.; Williams, D.F.; Thomas, M.A.; Ruby, A.J.; Meredith, T.A.; Boniuk, I.; Grand, M.G. Surgical Management of Submacular Hemorrhage. A Series of 47 Consecutive Cases. Arch. Ophthalmol. 1995, 113, 62–69. [Google Scholar] [CrossRef]
- Kokame, G.T. Vitreous hemorrhage after intravitreal tissue plasminogen activator (t-PA) and pneumatic displacement of submacular hemorrhage. Am. J. Ophthalmol. 2000, 129, 546–547. [Google Scholar] [CrossRef]
- Tsuiki, E.; Kusano, M.; Kitaoka, T. Complication associated with intravitreal injection of tissue plasminogen activator for treatment of submacular hemorrhage due to rupture of retinal arterial macroaneurysm. Am. J. Ophthalmol. Case Rep. 2019, 16, 100556. [Google Scholar] [CrossRef]




Publisher’s Note: MDPI stays neutral with regard to jurisdictional claims in published maps and institutional affiliations. |
© 2022 by the authors. Licensee MDPI, Basel, Switzerland. This article is an open access article distributed under the terms and conditions of the Creative Commons Attribution (CC BY) license (https://creativecommons.org/licenses/by/4.0/).
Share and Cite
Bianco, L.; Gawęcki, M.; Antropoli, A.; Arrigo, A.; Bandello, F.; Battaglia Parodi, M. Laser Treatment for Retinal Arterial Macroaneurysm. Photonics 2022, 9, 851. https://doi.org/10.3390/photonics9110851
Bianco L, Gawęcki M, Antropoli A, Arrigo A, Bandello F, Battaglia Parodi M. Laser Treatment for Retinal Arterial Macroaneurysm. Photonics. 2022; 9(11):851. https://doi.org/10.3390/photonics9110851
Chicago/Turabian StyleBianco, Lorenzo, Maciej Gawęcki, Alessio Antropoli, Alessandro Arrigo, Francesco Bandello, and Maurizio Battaglia Parodi. 2022. "Laser Treatment for Retinal Arterial Macroaneurysm" Photonics 9, no. 11: 851. https://doi.org/10.3390/photonics9110851
APA StyleBianco, L., Gawęcki, M., Antropoli, A., Arrigo, A., Bandello, F., & Battaglia Parodi, M. (2022). Laser Treatment for Retinal Arterial Macroaneurysm. Photonics, 9(11), 851. https://doi.org/10.3390/photonics9110851

