Development of an Enzyme-Based Thin-Layer Chromatographic Assay for the Detection of Cyclooxygenase-2 Inhibitors
Abstract
:1. Introduction
2. Materials and Methods
2.1. Chemicals and Reagents
2.2. Preparation of Solutions
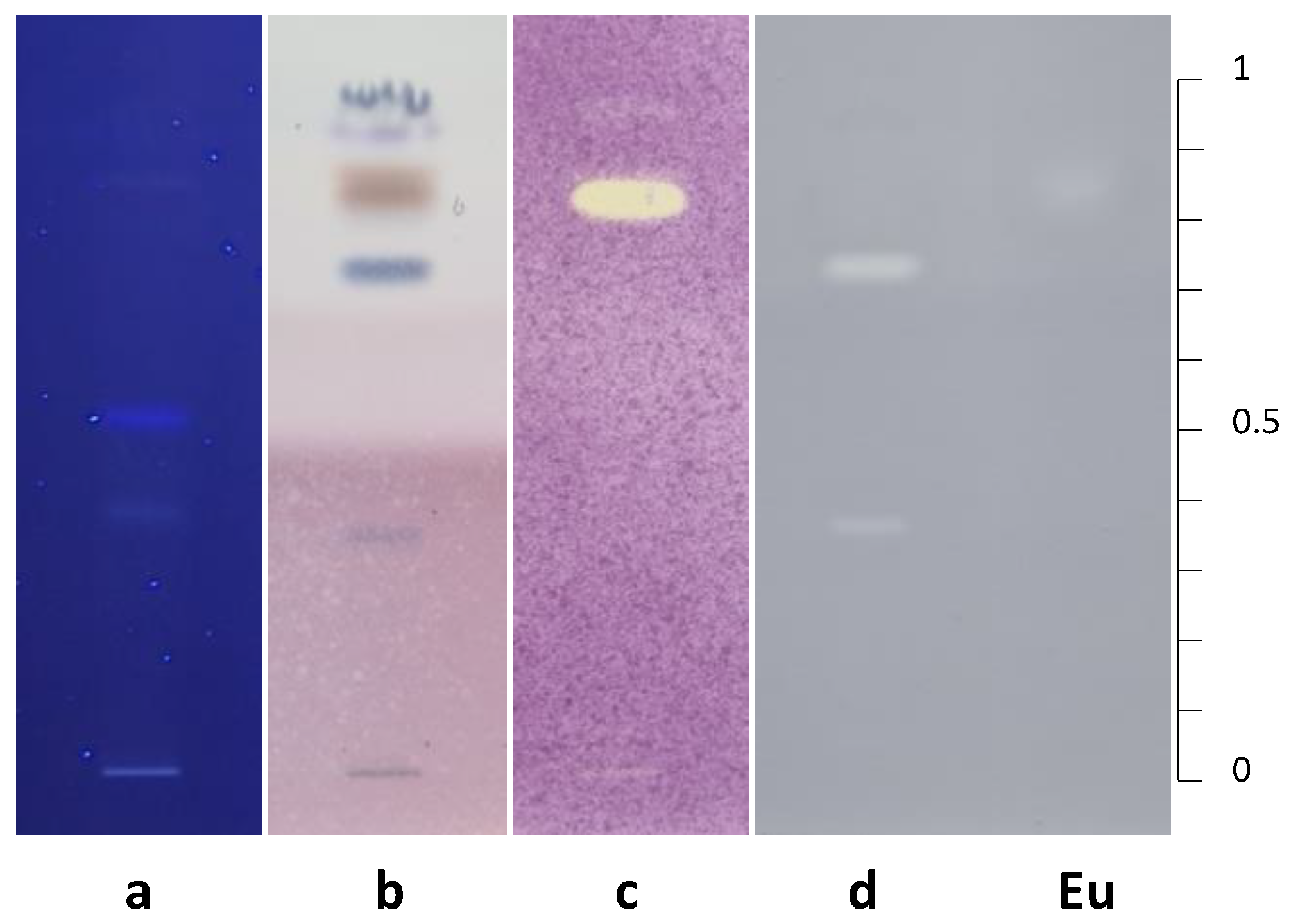
2.3. Thin-Layer Chromatography
2.4. Cyclooxygenase-2 Inhibition Assay
2.5. Sensitivity and Linearity of the TLC Assay
2.6. Specificity of the Reaction
3. Results and Discussion
3.1. Preliminary Assays
3.2. Optimization of Reagent Concentrations
3.3. Limits of Detection and Linearity
3.4. Specificity of the COX-2 TLC Assay
3.5. Application of the COX-2 TLC Assay on Complex Natural Extracts
4. Conclusions
Author Contributions
Funding
Data Availability Statement
Acknowledgments
Conflicts of Interest
Appendix A



References
- Ahmadi, M.; Bekeschus, S.; Weltmann, K.-D.; von Woedtke, T.; Wende, K. Non-steroidal anti-inflammatory drugs: Recent advances in the use of synthetic COX-2 inhibitors. RSC Med. Chem. 2022, 13, 471–496. [Google Scholar] [CrossRef]
- Eze, F.I.; Uzor, P.F.; Ikechukwu, P.; Obi, B.C.; Osadebe, P.O. In Vitro and In Vivo Models for Anti-inflammation: An Evaluative Review. INNOSC Theranostics Pharmacol. Sci. 2019, 2, 755. [Google Scholar] [CrossRef]
- Cao, H.; Yu, R.; Tao, Y.; Nikolic, D.; van Breemen, R.B. Measurement of cyclooxygenase inhibition using liquid chromatography-tandem mass spectrometry. J. Pharmacol. Biomed. Anal. 2011, 54, 230–235. [Google Scholar] [CrossRef] [PubMed]
- Zhu, H.; Zhuang, X.; Liu, S.; Pi, Z.; Song, F.; Lin, N.; Liu, Z. Ultrahigh-performance liquid chromatography/tandem mass spectrometry method for evaluating enzyme activity and screening inhibitors of cyclooxygenase-2. Rapid Commun. Mass Spectrom. 2014, 28, 1792–1800. [Google Scholar] [CrossRef] [PubMed]
- Huguet, C.; Bourjot, M.; Bellanger, J.-M.; Prévost, G.; Urbain, A. Screening for Antibacterial Activity of French Mushrooms against Pathogenic and Multidrug Resistant Bacteria. Appl. Sci. 2022, 12, 5229. [Google Scholar] [CrossRef]
- Legerská, B.; Chmelová, D.; Ondrejovič, M.; Miertuš, S. The TLC-Bioautography as a Tool for Rapid Enzyme Inhibitors detection—A Review. Crit. Rev. Anal. Chem. 2022, 52, 275–293. [Google Scholar] [CrossRef] [PubMed]
- Urbain, A.; Simões-Pires, C.A. Thin-Layer Chromatography for the Detection and Analysis of Bioactive Natural Products. In Encyclopedia of Analytical Chemistry; American Cancer Society: Atlanta, GA, USA, 2020; pp. 1–29. ISBN 978-0-470-02731-8. [Google Scholar]
- Mevkh, A.T.; Sud’Ina, G.F.; Golub, N.B.; Varfolomeev, S.D. Purification of prostaglandin H synthetase and a fluorometric assay for its activity. Anal. Biochem. 1985, 150, 91–96. [Google Scholar] [CrossRef]
- Forghani, F.; Ouellet, M.; Keen, S.; Percival, M.; Tagari, P. Analysis of Prostaglandin G/H Synthase-2 Inhibition Using Peroxidase-Induced Luminol Luminescence. Anal. Biochem. 1998, 264, 216–221. [Google Scholar] [CrossRef] [PubMed]
- Kulmacz, R.J. Prostaglandin G2 levels during reaction of prostaglandin H synthase with arachidonic acid. Prostaglandins 1987, 34, 225–240. [Google Scholar] [CrossRef]
- Petrovic, N.; Murray, M. Using N,N,N′,N′-tetramethyl-p-phenylenediamine (TMPD) to Assay Cyclooxygenase Activity In Vitro. Methods Mol. Biol. 2010, 594, 129–140. [Google Scholar] [CrossRef] [PubMed]
- Copeland, R.A.; Williams, J.M.; Giannaras, J.; Nurnberg, S.; Covington, M.; Pinto, D.; Pick, S.; Trzaskos, J.M. Mechanism of selective inhibition of the inducible isoform of prostaglandin G/H synthase. Proc. Natl. Acad. Sci. USA 1994, 91, 11202–11206. [Google Scholar] [CrossRef] [PubMed]
- Gierse, J.K.; Hauser, S.D.; Creely, D.P.; Koboldt, C.; Rangwala, S.H.; Isakson, P.C.; Seibert, K. Expression and selective inhibition of the constitutive and inducible forms of human cyclo-oxygenase. Biochem. J. 1995, 305, 479–484. [Google Scholar] [CrossRef] [PubMed]
- Kumar, K.A.; Reddy, T.C.; Reddy, G.V.; Reddy, D.B.K.; Mahipal, S.V.K.; Sinha, S.; Gaikwad, A.N.; Reddanna, P. High-throughput screening assays for cyclooxygenase-2 and 5-lipoxygenase, the targets for inflammatory disorders. Indian J. Biochem. Biophys. 2011, 48, 256–261. [Google Scholar] [PubMed]
- Andrade, F.D.C.P.D.; Mendes, A.N. Computational analysis of eugenol inhibitory activity in lipoxygenase and cyclooxygenase pathways. Sci. Rep. 2020, 10, 16204. [Google Scholar] [CrossRef]
- Mitchell, J.A.; Saunders, M.; Barnes, P.J.; Newton, R.; Belvisi, M.G. Sodium Salicylate Inhibits Cyclo-Oxygenase-2 Activity Independently of Transcription Factor (Nuclear Factor KappaB) Activation: Role of Arachidonic Acid. Mol. Pharmacol. 1997, 51, 907–912. [Google Scholar] [CrossRef] [PubMed]
- Yoshikawa, K.; Inoue, M.; Matsumoto, Y.; Sakakibara, C.; Miyataka, H.; Matsumoto, H.; Arihara, S. Lanostane Triterpenoids and Triterpene Glycosides from the Fruit Body of Fomitopsis pinicola and Their Inhibitory Activity against COX-1 and COX-2. J. Nat. Prod. 2005, 68, 69–73. [Google Scholar] [CrossRef]
- Ványolós, A.; Muszyńska, B.; Chuluunbaatar, B.; Gdula-Argasińska, J.; Kała, K.; Hohmann, J. Extracts and Steroids from the Edible Mushroom Hypholoma lateritium Exhibit Anti-Inflammatory Properties by Inhibition of COX-2 and Activation of Nrf2. Chem. Biodivers. 2020, 17, e2000391. [Google Scholar] [CrossRef]
- Baker, I.; Chohan, M.; Opara, E.I. Impact of Cooking and Digestion, In Vitro, on the Antioxidant Capacity and Anti-Inflammatory Activity of Cinnamon, Clove and Nutmeg. Plant Foods Hum. Nutr. 2013, 68, 364–369. [Google Scholar] [CrossRef]




| Compound | LOD (µg) |
|---|---|
| celecoxib | 0.4 |
| diclofenac | 0.6 |
| ibuprofen | 0.2 |
| aspirin | 0.1 |
| Compound | COX-2 Inhibition a | Antioxidant Activity b | Compound | COX-2 Inhibition a | Antioxidant Activity b |
|---|---|---|---|---|---|
| betulinic acid | + | − | menthol | − | − |
| madecassic acid | + | − | farnesene | − | − |
| α-hederin | + | − | α-humulene | − | − |
| ginsenoside Rd | + | − | trans-caryophyllene | − | − |
| sabinene | + | − | santonin | − | − |
| parthenolide | + | − | ginkgolide A | − | − |
| campesterol | + | − | betulin | − | − |
| β-sitosterol | + | − | epicatechin gallate | − | + |
| quinine bromhydrate | + | − | quercetin | − | + |
| stigmasterol | ± | − | quercetol | − | + |
| lupeol | ± | − | kampferol | − | + |
| uvaol | ± | − | myricetin | − | + |
| piperine | ± | − | rutin | − | + |
| aloin A | ± | − | taxifolin | − | + |
| psoralen | ± | − | protocatechuic acid | − | + |
| ascorbic acid | + | + | arbutin | − | + |
| capsaicin | + | + | rosmarinic acid | − | + |
| ononin | − | − | resveratrol | − | + |
| tomatin | − | − | procyanidin A2 | − | + |
| senecionin | − | − | procyanidin B1 | − | + |
| lobeline sulfate | − | − | procyanidin B2 | − | + |
| taurine | − | − | scopoletin | − | + |
| L-carnitine | − | − | carvacrol | − | + |
| glucobrassicin | − | − | α-tocopherol | − | + |
| sinigrin | − | − | naringin | − | ± |
| astaxanthin | − | − | vitexin | − | ± |
| caffeine | − | − | liliroside | − | ± |
| anethol | − | − | tyrosol | − | ± |
| borneol | − | − | lawsone | − | ± |
| eucalyptol | − | − | cyanidin | nd c | nd c |
Publisher’s Note: MDPI stays neutral with regard to jurisdictional claims in published maps and institutional affiliations. |
© 2022 by the authors. Licensee MDPI, Basel, Switzerland. This article is an open access article distributed under the terms and conditions of the Creative Commons Attribution (CC BY) license (https://creativecommons.org/licenses/by/4.0/).
Share and Cite
Urbain, A.; Trabelssi, N.; Bardot, V. Development of an Enzyme-Based Thin-Layer Chromatographic Assay for the Detection of Cyclooxygenase-2 Inhibitors. Separations 2022, 9, 238. https://doi.org/10.3390/separations9090238
Urbain A, Trabelssi N, Bardot V. Development of an Enzyme-Based Thin-Layer Chromatographic Assay for the Detection of Cyclooxygenase-2 Inhibitors. Separations. 2022; 9(9):238. https://doi.org/10.3390/separations9090238
Chicago/Turabian StyleUrbain, Aurélie, Nidhal Trabelssi, and Valérie Bardot. 2022. "Development of an Enzyme-Based Thin-Layer Chromatographic Assay for the Detection of Cyclooxygenase-2 Inhibitors" Separations 9, no. 9: 238. https://doi.org/10.3390/separations9090238
APA StyleUrbain, A., Trabelssi, N., & Bardot, V. (2022). Development of an Enzyme-Based Thin-Layer Chromatographic Assay for the Detection of Cyclooxygenase-2 Inhibitors. Separations, 9(9), 238. https://doi.org/10.3390/separations9090238

