Next Issue
Volume 167, 01
Previous Issue
Volume 166, 01
 
 
Swiss Archives of Neurology, Psychiatry and Psychotherapy is published by MDPI from Volume 176 Issue 1 (2026). Previous articles were published by another publisher in Open Access under a CC-BY (or CC-BY-NC-ND) licence, and they are hosted by MDPI on mdpi.com as a courtesy and upon agreement with the previous journal publisher.

Swiss Arch. Neurol. Psychiatry Psychother., Volume 166, Issue 8 (01 2015) – 8 articles , Pages 261-298

  • Issues are regarded as officially published after their release is announced to the table of contents alert mailing list.
  • You may sign up for e-mail alerts to receive table of contents of newly released issues.
  • PDF is the official format for papers published in both, html and pdf forms. To view the papers in pdf format, click on the "PDF Full-text" link, and use the free Adobe Reader to open them.
Order results
Result details
Select all
Export citation of selected articles as:
80 KB  
Article
Aspects de la neuro-oncologie en Afrique Noire
by Kokou Mensah Guinhouya, Mofou Belo, A. A. Koffi Balogou and E. Kodjo Grunitzky
Swiss Arch. Neurol. Psychiatry Psychother. 2015, 166(8), 298; https://doi.org/10.4414/sanp.2015.00379 - 1 Jan 2015
Viewed by 32
Abstract
L’étude des processus expansifs intracrâniens (PEIC) en Afrique Noire revêt à la fois, un interêt épidémiologique, étiologique, sémiologique et thérapeutique. Les rares études faites sur le continent Noir [1] ces trente dernières années traduisent la nécessité, dans ce secteur encore inexploré, d’évaluer en [...] Read more.
L’étude des processus expansifs intracrâniens (PEIC) en Afrique Noire revêt à la fois, un interêt épidémiologique, étiologique, sémiologique et thérapeutique. Les rares études faites sur le continent Noir [1] ces trente dernières années traduisent la nécessité, dans ce secteur encore inexploré, d’évaluer en ce qui concerne les PEIC, la prévalence et l’incidence afin de mettre en place des programmes et protocoles de recherche adaptés à nos réalités […] Full article
465 KB  
Review
Neuroscientists rescuing refugee scholars
by Gerald Kreft
Swiss Arch. Neurol. Psychiatry Psychother. 2015, 166(8), 293-297; https://doi.org/10.4414/sanp.2015.00363 - 1 Jan 2015
Cited by 4 | Viewed by 40
Abstract
Between 1933 and 1945, the Notgemeinschaft deutscher Wissenschaftler im Ausland (often translated as “Emergency Society of German Scholars Abroad”) was the most important German aid agency for placing refugee scholars from Nazi Germany in new positions all over the world. Founded in Zurich [...] Read more.
Between 1933 and 1945, the Notgemeinschaft deutscher Wissenschaftler im Ausland (often translated as “Emergency Society of German Scholars Abroad”) was the most important German aid agency for placing refugee scholars from Nazi Germany in new positions all over the world. Founded in Zurich in spring 1933, this unique, community-based self-help organisation is almost unknown in Switzerland today. In Germany, however, its history was investigated, albeit resulting in only a single paper more than 20 years ago. Based on recent work, the following article highlights the specific impact of three neuroscientists on the formation of the Notgemeinschaft: neuropathologist Philipp Schwartz, neurologist Erich Katzenstein, and neuropsychologist Kurt Goldstein. Full article
Show Figures

Figure 1

1308 KB  
Article
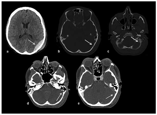
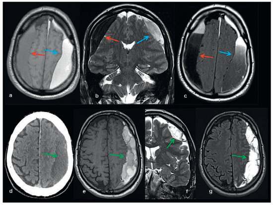
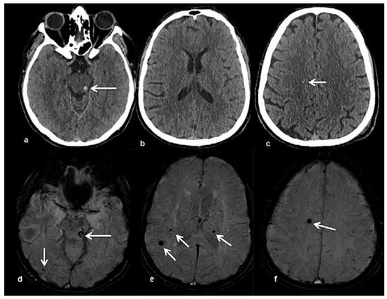
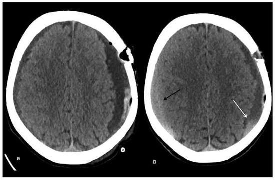
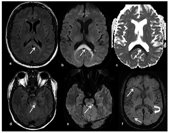
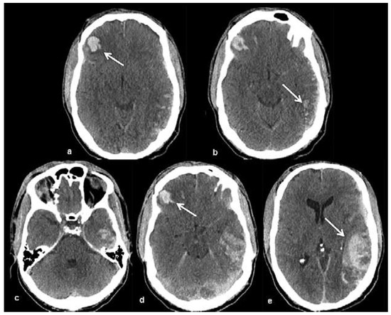
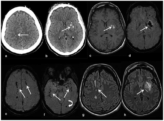
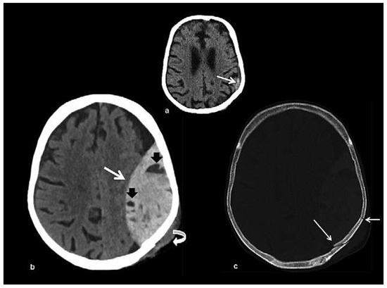
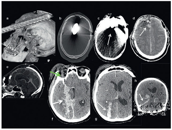
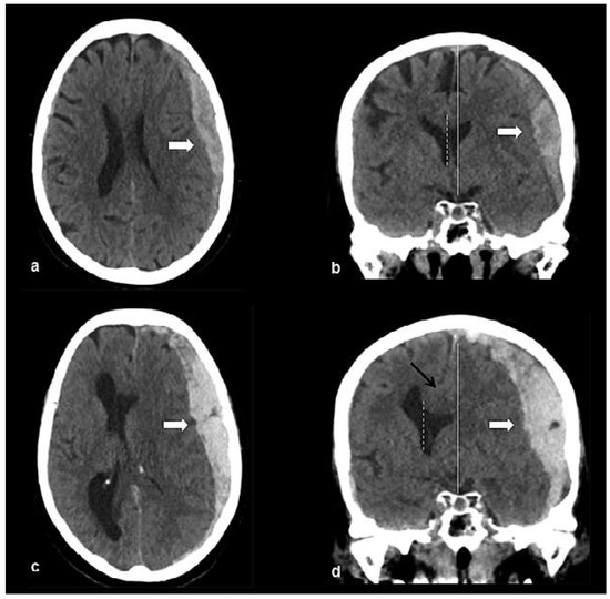
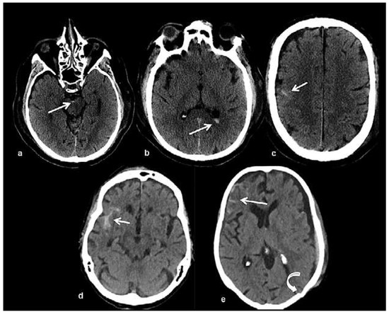
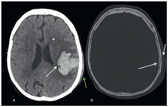
Head and brain trauma: general aspects and neuroimaging
by Johanna Maria Lieb, Christoph Stippich and Meritxell Garcia
Swiss Arch. Neurol. Psychiatry Psychother. 2015, 166(8), 279-292; https://doi.org/10.4414/sanp.2015.00374 - 1 Jan 2015
Viewed by 29
Abstract
In this article the general clinical aspects, imaging indications and different injury mechanisms of traumatic brain injury (TBI) are reviewed. In addition, the different imaging modalities and strategies are presented, including more specific imaging features of the various injuries. Computed tomography (CT) is [...] Read more.
In this article the general clinical aspects, imaging indications and different injury mechanisms of traumatic brain injury (TBI) are reviewed. In addition, the different imaging modalities and strategies are presented, including more specific imaging features of the various injuries. Computed tomography (CT) is the imaging modality of choice in the acute phase owing to its wide availability and short scanning time, as well as to its high sensitivity for the detection of fractures and acute bleeding. Although magnetic resonance imaging (MRI) is superior to CT in many other aspects, it plays no role in the acute phase. MRI, however, has been proven to be useful and complementary to CT in the subacute and chronic stages as well as in the case of inconclusive results on initial CT. Especially the use of standard sequences like fluid attenuated inversion recovery (FLAIR), diffusion and susceptibility weighted imaging (DWI and SWI) have been shown to increase the diagnostic potency in diffuse axonal injury, in mild brain trauma and also in more chronic stages of TBI. The use of more advanced MRI techniques such as diffusion tensor imaging (DTI), magnetic resonance spectroscopy (MRS), functional MRI (fMRI) and magnetic transfer imaging (MTI) can further complete the diagnostic evaluation and give insights into different pathophysiological processes in TBI. Full article
Show Figures

Figure 1

280 KB  
Review
Epileptic seizures: preclinical measures and management in the emergency room
by Wolf E. Hautz and Aristomenis Exadaktylos
Swiss Arch. Neurol. Psychiatry Psychother. 2015, 166(8), 275-278; https://doi.org/10.4414/sanp.2015.00373 - 1 Jan 2015
Viewed by 34
Abstract
Seizures are a frequent reason for a patient’s presentation to the emergency room (ER). However, not every seizure is due to epilepsy and the clinical presentation of seizures varies considerably depending on the underlying pathology. In this report, we discuss the different causes [...] Read more.
Seizures are a frequent reason for a patient’s presentation to the emergency room (ER). However, not every seizure is due to epilepsy and the clinical presentation of seizures varies considerably depending on the underlying pathology. In this report, we discuss the different causes of seizures and describe an evidenced-based practical approach to their differential diagnosis and treatment. We differentiate between preclinical measures and a patient’s evaluation in the ER, as these differ considerably in practice. The article thus intends to provide emergency medical personnel and ER staff with a practical approach to the patient with a seizure. Full article
221 KB  
Review
The mental status examination
by Thierry Ettlin and Udo Kischka
Swiss Arch. Neurol. Psychiatry Psychother. 2015, 166(8), 269-274; https://doi.org/10.4414/sanp.2015.00364 - 1 Jan 2015
Viewed by 31
Abstract
The mental status examination is an instrument of behavioural neurology that is used to identify and characterise specific disturbances of cerebral function relating to cognitive functions (such as memory and language), emotion and overt behaviour. It is conducted in a systematic fashion but [...] Read more.
The mental status examination is an instrument of behavioural neurology that is used to identify and characterise specific disturbances of cerebral function relating to cognitive functions (such as memory and language), emotion and overt behaviour. It is conducted in a systematic fashion but is simple enough to be used at the bedside. Neurological conditions in which the mental status examination can provide clinically important information include stroke, encephalitis, dementia, hypoxic or metabolic encephalopathy, cerebral tumours and traumatic brain injury. This chapter describes methods to assess the following brain functions: level of consciousness, attention, concentration and mental control, language, memory, constructional ability, higher level sensory and motor functions, frontal lobe (executive) functions, and neuropsychiatric control functions. Full article
Show Figures

Figure 1

754 KB  
Review
Grundlagen des Lernens - das flexible Gehirn
by Jürg Kesselring
Swiss Arch. Neurol. Psychiatry Psychother. 2015, 166(8), 263-268; https://doi.org/10.4414/sanp.2015.00360 - 1 Jan 2015
Cited by 2 | Viewed by 33
Abstract
“Use it or lose it”: This often seen management approach is also valid for our brain. In this specific organ system, there are constantly new neural connections being built between the ca. 100 billion neurons, yet only those which are being actively used [...] Read more.
“Use it or lose it”: This often seen management approach is also valid for our brain. In this specific organ system, there are constantly new neural connections being built between the ca. 100 billion neurons, yet only those which are being actively used are able to survive. This is the basic principle of new learning, a process that can occur at any age. Research on neuroplasticity (adaptation of brain structures and functions to the changing requirements of the environment) is a core topic of neurosciences. In the field of neurorehabilitation of patients with acute or chronic brain diseases progress in our understanding of neuronal plasticity helps to improve clinical day-to-day practice. Just like the hand, the human brain has developed gradually over millions of years under the reciprocal influences of increased use of tools or instruments. Our ability to oppose the thumb, as well as ulnar deviation of the hand, were both essential for evolving to use tools. The human motor system, on the other hand, is a complex network of neural centers and pathways located in the spinal cord, brain stem, and brain. Planning, execution, and correction of motion sequences are only possible through interaction with our sensory system. Throughout life, these systems are constantly required to adapt to ever-changing conditions. When learning new motor skills, various changes occur in the brain, including the buildup of new cell connections or the strengthening of present neural connections. Owing to the plasticity of the brain, appropriate training can build on genetically determined motor traits or abilities acquired during early childhood to enable us to acquire new motor abilities, even up to a very old age. The following factors appear to be essential to the learning effect: motivation, what the motor task signifies to the executing person, the number of repetitions interspersed with pauses, and the variability of the training conditions. An efficient way to optimize the learning effect is to tailor the learning and therapy conditions to the individual, while taking into account the aforementioned factors. Full article
53 KB  
Editorial
Towards clinical neuroscience
by Jean-Marie Annoni and Claudio Bassetti
Swiss Arch. Neurol. Psychiatry Psychother. 2015, 166(8), 262; https://doi.org/10.4414/sanp.2015.00391 - 1 Jan 2015
Cited by 1 | Viewed by 29
Abstract
Dear Readers, This is the last issue of the present version of the Swiss Archives of Neurology and Psychiatry (Schweizer Archiv für Neurologie und Psychiatrie, Archives suisses de neurologie et de Psychiatrie) which was founded in 1917 by Constantin von Monakow, the founder [...] Read more.
Dear Readers, This is the last issue of the present version of the Swiss Archives of Neurology and Psychiatry (Schweizer Archiv für Neurologie und Psychiatrie, Archives suisses de neurologie et de Psychiatrie) which was founded in 1917 by Constantin von Monakow, the founder in 1908 of the Swiss Neurological Society […] Full article
57 KB  
Editorial
Abschied und Neubeginn
by Joachim Küchenhoff
Swiss Arch. Neurol. Psychiatry Psychother. 2015, 166(8), 261; https://doi.org/10.4414/sanp.2015.00390 (registering DOI) - 1 Jan 2015
Viewed by 33
Abstract
«Trennung, Trauer, Neubeginn» – so hiess das Thema einer Tagung, die im November in der Psychiatrie Baselland durchgeführt wurde […] Full article
Previous Issue
Next Issue
Back to TopTop