Next Issue
Volume 166, 01
Previous Issue
Volume 166, 01
 
 
Swiss Archives of Neurology, Psychiatry and Psychotherapy is published by MDPI from Volume 176 Issue 1 (2026). Previous articles were published by another publisher in Open Access under a CC-BY (or CC-BY-NC-ND) licence, and they are hosted by MDPI on mdpi.com as a courtesy and upon agreement with the previous journal publisher.

Swiss Arch. Neurol. Psychiatry Psychother., Volume 166, Issue 3 (01 2015) – 11 articles

  • Issues are regarded as officially published after their release is announced to the table of contents alert mailing list.
  • You may sign up for e-mail alerts to receive table of contents of newly released issues.
  • PDF is the official format for papers published in both, html and pdf forms. To view the papers in pdf format, click on the "PDF Full-text" link, and use the free Adobe Reader to open them.
Order results
Result details
Select all
Export citation of selected articles as:
86 KB  
Book Review
Sándor Ferenczi. Das klinische Tagebuch
by EMH Swiss Medical Publishers Ltd.
Swiss Arch. Neurol. Psychiatry Psychother. 2015, 166(3), 102; https://doi.org/10.4414/sanp.2015.00225 - 1 Jan 2015
Viewed by 30
Abstract
Dem Psychosozial-Verlag gebührt Dank für die Neuauflage dieses einst so umstrittenen Textes. Als das Tagebuch seinerzeit endlich auf Deutsch gelesen werden konnte, notierte ich mir einige damals lebhaft diskutierte Passagen; zum Beispiel: «Die Änderung seiner (Freuds) immer unpersönlicher werdenden Behandlungsmethode (schweben als eine [...] Read more.
Dem Psychosozial-Verlag gebührt Dank für die Neuauflage dieses einst so umstrittenen Textes. Als das Tagebuch seinerzeit endlich auf Deutsch gelesen werden konnte, notierte ich mir einige damals lebhaft diskutierte Passagen; zum Beispiel: «Die Änderung seiner (Freuds) immer unpersönlicher werdenden Behandlungsmethode (schweben als eine Gottheit über dem armen, zum Kind degradierten Patienten; nicht ahnend, dass ein grosser Teil von dem, was man Übertragung nennt, künstlich durch dieses Verhalten provoziert wird) behauptet man1, die Übertragung werde vom Patienten gemacht. Zum Teil mag es ja wahr sein … doch wenn der Arzt auf sich nicht acht gibt, verweilt er länger als notwendig in dieser ihm bequemen Situation, in der die Patienten ihm die Unlust der Selbstkritik ersparen, ihm die Möglichkeit des Vergnügens der Überlegenheit und des Geliebtwerdens ohne Reziprozität verschaffen (beinahe eine kindliche Grössensituation) …» [...] Full article
102 KB  
Book Review
Book review: Stephan Kupferschmid / Irène Koch. Psychisch belastete Eltern und ihre Kinder stärken
by EMH Swiss Medical Publishers Ltd.
Swiss Arch. Neurol. Psychiatry Psychother. 2015, 166(3), 101; https://doi.org/10.4414/sanp.2015.00310 - 1 Jan 2015
Abstract
Das vorgelegte Manual eignet sich ausgesprochen gut für den Einsatz in Klinik und Praxis. Es fasst in konziser, übersichtlicher und sehr angenehm gegliederter Weise die Grundlagen und Interventionsmöglichkeiten in diesem wichtigen Bereich zusammen [...] Full article
157 KB  
Book Review
Buchrezension: Christian Bischoff / Andreas Straube (Hrsg.): Leitlinien Klinische Neurophysiologie
by EMH Swiss Medical Publishers Ltd.
Swiss Arch. Neurol. Psychiatry Psychother. 2015, 166(3), 101-102; https://doi.org/10.4414/sanp.2015.00308 - 1 Jan 2015
Abstract
Dieses Buch bietet eine eindrucksvolle und umfangreiche Sammlung von Leitlinien zu den heute gebräuchlichen neurophysiologischen Untersuchungsmethoden, insbesondere Elektroenzephalographie, Elektroneurographie, Elektromyographie, motorisch und somatosensibel evozierte Potentiale, Schlafuntersuchungen, autonome Diagnostik, Reflexuntersuchungen und Ultraschalldiagnostik [...] Full article
93 KB  
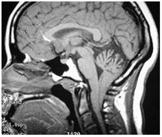
Case Report
Malformation d’Arnold-Chiari et apnée centrale du sommeil
by Kokou Mensah Guinhouya, Damelan Kombate, Mofou Belo, Koffi Agnon Balogou and Kodjo Eric Grunitzky
Swiss Arch. Neurol. Psychiatry Psychother. 2015, 166(3), 99-100; https://doi.org/10.4414/sanp.2015.00320 - 1 Jan 2015
Viewed by 35
Abstract
Observation Un patient de 40 ans, pesant 70 kg pour 180 cm de taille (IMC = 21,6), cadre supérieur, sans facteur de risque cardiovasculaire connu ni notion familiale de migraine, consulta en neurologie au CHU Sylvanus Olympio de Lomé, pour des céphalées inhabituelles [...] Read more.
Observation Un patient de 40 ans, pesant 70 kg pour 180 cm de taille (IMC = 21,6), cadre supérieur, sans facteur de risque cardiovasculaire connu ni notion familiale de migraine, consulta en neurologie au CHU Sylvanus Olympio de Lomé, pour des céphalées inhabituelles évoluant depuis un an [...] Full article
Show Figures

Figure 1

79 KB  
Review
Glucose control in the ICU
by Karin Amrein and Tadeja Urbanic Purkart
Swiss Arch. Neurol. Psychiatry Psychother. 2015, 166(3), 97-98; https://doi.org/10.4414/sanp.2015.00325 - 1 Jan 2015
Viewed by 28
Abstract
The two large landmark single-centre randomised controlled trials in Leuven, Belgium, showed a substantial and significant clinical benefit for intensive insulin therapy (IIT, target 80–110 mg/dl) in adult surgical and medical critically ill patients [...] Full article
562 KB  
Review
Hypothermia in paediatric traumatic brain injury: cons
by Bernhard Frey
Swiss Arch. Neurol. Psychiatry Psychother. 2015, 166(3), 94-96; https://doi.org/10.4414/sanp.2015.00324 - 1 Jan 2015
Viewed by 30
Abstract
There is good evidence for therapeutic hypothermia as neuroprotective treatment in perinatal asphyxia and in cardiac arrest in adults. However, to date, there is no evidence in paediatric traumatic brain injury (TBI). A meta-analysis of four randomised controlled trials of hypothermia in severe [...] Read more.
There is good evidence for therapeutic hypothermia as neuroprotective treatment in perinatal asphyxia and in cardiac arrest in adults. However, to date, there is no evidence in paediatric traumatic brain injury (TBI). A meta-analysis of four randomised controlled trials of hypothermia in severe paediatric TBI revealed a nonsignificant higher risk of mortality with hypothermia (risk ratio 1.45, 95% confidence interval 0.71–2.94). These patients should be kept normothermic (36–37°C). Hypothermia may be occasionally used to lower increased intracranial pressure, but arterial hypotension in the rewarming period must be avoided. Full article
Show Figures

Figure 1

200 KB  
Review
Therapieeinschränkungen und -abbruch in der Intensivmedizin
by Reto Stocker
Swiss Arch. Neurol. Psychiatry Psychother. 2015, 166(3), 87-93; https://doi.org/10.4414/sanp.2015.00321 - 1 Jan 2015
Viewed by 22
Abstract
Therapy restrictions and therapy discontinuation in the intensive care setting based on the current SAMW guidelines. The development of intensive care over past decades now makes it possible for patients to be kept alive for a longer period of time. Nonetheless, some [...] Read more.
Therapy restrictions and therapy discontinuation in the intensive care setting based on the current SAMW guidelines. The development of intensive care over past decades now makes it possible for patients to be kept alive for a longer period of time. Nonetheless, some of these patients subsequently pass away either in the intensive care unit, in the hospital or shortly after being discharged from the hospital, or are unable to return to a life that is appropriate to their preferences and attitudes. When such a situation can be anticipated, it is necessary to make an active decision whether to restrict therapy or even terminate it, across the range of indispensable intensive care measures. This thus prevents patients with unfavorable prognoses or their family members from being faced with unnecessary suffering and strain, thereby allowing the cost-intensive treatment to be administered to other patients who may benefit from it. Establishing a prognosis that is not restricted only with respect to life is, however, one of the greatest challenges of intensive care and must be coordinated, to the extent that this is possible, with the preferences of the patient, often by determining their presumed will. In order to help facilitate this sometimes difficult task, the Swiss Academy of Medical Sciences (SAMW) has entrusted a broad-based subcommission with the task of formulating guidelines for setting the boundaries of action in intensive care. They were passed by the SAMW 2013 Senate prior to their publication and serve as a reference framework for this article. Full article
281 KB  
Review
Psychotherapie der Alters-depression
by Tobias Melcher and Thomas Leyhe
Swiss Arch. Neurol. Psychiatry Psychother. 2015, 166(3), 78-86; https://doi.org/10.4414/sanp.2015.00329 - 1 Jan 2015
Cited by 1 | Viewed by 31
Abstract
Psychotherapy of depression in the elderly. Late-life depression usually has a particular clinical presentation. There is a sharp drop in the rates of diagnosis and treatment among elderly depressed patients compared with younger ones, arguably because concurrent medical health problems obscure the genuine [...] Read more.
Psychotherapy of depression in the elderly. Late-life depression usually has a particular clinical presentation. There is a sharp drop in the rates of diagnosis and treatment among elderly depressed patients compared with younger ones, arguably because concurrent medical health problems obscure the genuine depressive mood symptoms. Typically, patients present instead with less specific symptoms such as insomnia, loss of appetite, fatigue and cognitive impairment. At the same time, depression in old age has a high risk of severe medical sequelae (e.g., dementia, cancer and cardiac conditions) and also of suicide. The efficacy of pharmacotherapeutic interventions appears to be restricted, whereas systematic reviews provide a strong evidence-base for psychotherapy as a first-line treatment in older depressive patients. Basically, psychotherapy in old age could use all the approaches established in younger patients, which, however, should always be reviewed before application for necessary modifications of their therapeutic attitudes and techniques. Based on prevalent gerontological models, required modifications can be described across psychotherapeutic schools and mainly comprise an active and supportive (i.e., not neutral) therapeutic attitude, as well as pronounced goal-orientation and focus combined with an appropriate (i.e., limited) changing intent. Concrete adaptations have been developed for cognitive-behavioural therapy and different psychodynamic therapies, as well as for integrative approaches, particularly interpersonal psychotherapy (IPT), which together provide the basis for a broad clinical application that could close the persisting gap in the care of elderly depressed patients. Full article
2386 KB  
Review
Suizid im Alter
by Jacqueline Minder and Gregor Harbauer
Swiss Arch. Neurol. Psychiatry Psychother. 2015, 166(3), 67-77; https://doi.org/10.4414/sanp.2015.00326 - 1 Jan 2015
Cited by 4 | Viewed by 34
Abstract
Elderly suicide. Switzerland has one of the highest suicide rates in the world. As in many neighbouring countries, the statis-tical graphics up through 2008 from the BfS (Federal statistical office) depict the Hungarian Pattern, marked with a significant rise from the age of [...] Read more.
Elderly suicide. Switzerland has one of the highest suicide rates in the world. As in many neighbouring countries, the statis-tical graphics up through 2008 from the BfS (Federal statistical office) depict the Hungarian Pattern, marked with a significant rise from the age of 70. The BfS stopped including assisted suicide in the suicide statistics in 2008. This translates into a smaller rise in later graphics, though it has not completely disappeared. At the same time, the rate of assisted suicide has risen considerably since 2008, particularly amongst the elderly. When considering both assisted suicide and suicide rates overall, the older segment of our society thus remains the hardest hit. The reasons for assisted suicide amongst the elderly do not necessarily or evidently differ from those for elderly suicide, as the latter phenomenon is termed and statistically record-ed. Suicidal tendencies amongst the elderly exhibit particularities that suggest an undefined overlap between the psycho-pathological term “suicide” and the newly coined term of supposedly “healthy” assisted suicide, which signals the need for urgent investigation. This article pursues such reasons, whilst presenting links with preventable and treatable risk factors, the relation to societal values and the thus ensuing challenge. Prevention and therapy are worthwhile and approaches do ex-ist, but must urgently be expanded upon. It is also particularly crucial that research be stepped up in this domain. There is urgent need for investigations aiming to compare the two groups of elderly persons who commit suicide and assisted suicide, respectively. Moreover, it is of utmost relevance to strike an appropriate balance in public discussion of the issue. Full article
Show Figures

Figure 1

38 KB  
Editorial
From the 190th SNG Congress
by Jean-Marie Annoni and Claudio Bassetti
Swiss Arch. Neurol. Psychiatry Psychother. 2015, 166(3), 66; https://doi.org/10.4414/sanp.2015.00328 - 1 Jan 2015
Viewed by 28
Abstract
Neurology and neurosciences are becoming more and more specialised, and research in the field is creating an enormous amount of data [...] Full article
47 KB  
Editorial
Alterspsychiatrie: Herausforderung und Chance
by Egemen Savaskan
Swiss Arch. Neurol. Psychiatry Psychother. 2015, 166(3), 65; https://doi.org/10.4414/sanp.2015.00333 - 1 Jan 2015
Viewed by 31
Abstract
Die immer älter werdende Bevölkerung stellt neue Anforderungen an die Medizin. Insbesondere die Alterspsychiatrie ist herausgefordert mit der Multimorbidität der Betroffenen und den speziellen Problemen wie zunehmenden kognitiven Störungen [...] Full article
Previous Issue
Next Issue
Back to TopTop