Next Issue
Volume 161, 01
Previous Issue
Volume 161, 01
 
 
Swiss Archives of Neurology, Psychiatry and Psychotherapy is published by MDPI from Volume 176 Issue 1 (2026). Previous articles were published by another publisher in Open Access under a CC-BY (or CC-BY-NC-ND) licence, and they are hosted by MDPI on mdpi.com as a courtesy and upon agreement with the previous journal publisher.

Swiss Arch. Neurol. Psychiatry Psychother., Volume 161, Issue 7 (01 2010) – 13 articles

  • Issues are regarded as officially published after their release is announced to the table of contents alert mailing list.
  • You may sign up for e-mail alerts to receive table of contents of newly released issues.
  • PDF is the official format for papers published in both, html and pdf forms. To view the papers in pdf format, click on the "PDF Full-text" link, and use the free Adobe Reader to open them.
Order results
Result details
Select all
Export citation of selected articles as:
33 KB  
Article
Aktualitäten
by Karl Studer
Swiss Arch. Neurol. Psychiatry Psychother. 2010, 161(7), 280; https://doi.org/10.4414/sanp.2010.02196 (registering DOI) - 1 Jan 2010
Abstract
In der Strafanstalt Thorberg (BE) ist eine neue Therapieabteilung mit 24 Plätzen eingerichtet worden. Full article
44 KB  
Conference Report
The clinical spectrum of acute and subacute myelopathy
by Brian G. Weinshenker
Swiss Arch. Neurol. Psychiatry Psychother. 2010, 161(7), 280-281; https://doi.org/10.4414/sanp.2010.02192 - 1 Jan 2010
Viewed by 2
Abstract
Key points How does one recognise an acute myelopathy and distinguish it from other neurological disorders? [...]
Full article
48 KB  
Conference Report
Stroke Unit: the Italian experience
by Domenico Inzitari and Benedetta Piccardi
Swiss Arch. Neurol. Psychiatry Psychother. 2010, 161(7), 278-279; https://doi.org/10.4414/sanp.2010.02191 - 1 Jan 2010
Viewed by 29
Abstract
Introduction A number of evidence-based data have been accumulating in the last two decades supporting the effectiveness of the Stroke Unit (SU) model in reducing death and disability after stroke [...]
Full article
Show Figures

Figure 1

49 KB  
Conference Report
Neurorestorative therapy post stroke
by Michael Chopp and Yi Li
Swiss Arch. Neurol. Psychiatry Psychother. 2010, 161(7), 276-277; https://doi.org/10.4414/sanp.2010.02190 - 1 Jan 2010
Viewed by 40
Abstract
There are two approaches to treat stroke; a neuroprotective approach which focuses on the lesion and a neurorestorative one, directed to the entire CNS. The primary purpose of therapy for stroke is to improve neurological function. Neurorestorative therapy of stroke whether by cell [...] Read more.
There are two approaches to treat stroke; a neuroprotective approach which focuses on the lesion and a neurorestorative one, directed to the entire CNS. The primary purpose of therapy for stroke is to improve neurological function. Neurorestorative therapy of stroke whether by cell based or pharmacological agents is a viable and potentially important means to improve neurological function post stroke. Full article
48 KB  
Conference Report
Neuroprotection and neurorestoration: Ready for translation to clinics?
by Dirk M. Hermann
Swiss Arch. Neurol. Psychiatry Psychother. 2010, 161(7), 274-275; https://doi.org/10.4414/sanp.2010.02189 - 1 Jan 2010
Viewed by 34
Abstract
Our understanding of reorganisation processes in the ischemic brain has considerably increased recently. In the subacute stroke phase, tissue remodeling takes place in the vicinity of ischemic lesions, where inflammatory changes, astrocytic reactions, microglial responses and secondary neuronal degeneration are noticed. Injury processes [...] Read more.
Our understanding of reorganisation processes in the ischemic brain has considerably increased recently. In the subacute stroke phase, tissue remodeling takes place in the vicinity of ischemic lesions, where inflammatory changes, astrocytic reactions, microglial responses and secondary neuronal degeneration are noticed. Injury processes can be successfully modulated by restorative therapies, which induce anti-inflammation, inhibit glial scar formation, enable the reorganisation of white matter tracts and prevent delayed neuronal injury. Plasticity-promoting therapies promote neurological recovery by enhancing axonal sprouting in lesion-remote brain areas rather than in previously ischemic tissue. This observation suggests that the recovery potential of the damaged tissue is limited even under conditions of mild cerebral ischemia. Careful proof-of-concept strategies are needed in the future to enable translation of experimental findings to clinics. Full article
116 KB  
Case Report
Psychothérapie mère-bébé: des fantasmes prénataux d’une femme déprimée à un lien précoce de qualité et un accordage harmonieux
by Pierre Fumeaux
Swiss Arch. Neurol. Psychiatry Psychother. 2010, 161(7), 266-273; https://doi.org/10.4414/sanp.2010.02186 - 1 Jan 2010
Viewed by 43
Abstract
Mother and baby psychotherapy: a depressed woman’s prenatal fantasies of a strong early link and a harmonious relationship. The aim of this work is the provision of psychotherapeutic treatment for mother and baby, running over ten months, in the form of therapeutic consultations [...] Read more.
Mother and baby psychotherapy: a depressed woman’s prenatal fantasies of a strong early link and a harmonious relationship. The aim of this work is the provision of psychotherapeutic treatment for mother and baby, running over ten months, in the form of therapeutic consultations of two types: 15 prenatal sessions and 13 postnatal sessions. The child’s mother, Mrs K, does not speak French, and the meetings were therefore carried out with the assistance of a translator, who was present throughout the therapy. Referred by her gynaecologist, in the fourth month of her pregnancy, Mrs K presented with a medium to severe depressive condition in a psychosocial context of isolation and transference, which warranted the indication of prenatal therapeutic work. The work led to simultaneous psychiatric and psychopharmacological support. From the time the child was born, motherbaby therapeutic consultations were carried out to coach the development of an early connection, to detect any psycho-organic symptomatology in the child and to reinforce the therapeutic work carried out prior to birth. These two very distinct periods were differentiated at the therapeutic level setting. In effect, this moved from a mother-“baby fantasy” dyad to the mother-baby dyad. The work concerning maternal fantasies in the prenatal period and the emergence of unresolved infantile conflicts provided a key perspective for the joint postnatal work during therapy. This clinical material also constituted an extremely useful guide for therapeutic coaching for the construction of a strong link between mother and baby. Where psychoorganic symptoms arise in the child, the keys to comprehension of maternal projections and their interpretations originated in the prenatal therapeutic work. These interpretations probably contributed to a curbing of the process of fixation of symptoms on the child. Moreover, Mrs K presented with no further depressive symptoms two months after having given birth. As an introduction, a reminder will be provided regarding the benefit and the significance of perinatal psychiatry, followed by a description of the importance, both epidemiological and “psychopathogenic”, of perinatal maternal depression. Theorisation of joint therapies shall be presented in the discussion by a description of three schools of thought, British, French and Genevan, with reference to the writings of their authors. This therapy is principally connected with that which was set out by the Genevan school of thought, embodied by B. Cramer, F. Palacio-Espasa and J. Manzano. Full article
617 KB  
Case Report
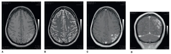
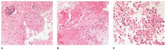
Koinzidenz von ischämischer Enzephalopathie und essentieller Thrombozythämie: zerebrale kortikale Venenthrombose?
by Thomas Hundsberger, Stefanie Müller, Andreas Sommacal, Christian Fretz and Barbara Tettenborn
Swiss Arch. Neurol. Psychiatry Psychother. 2010, 161(7), 262-265; https://doi.org/10.4414/sanp.2010.02187 - 1 Jan 2010
Viewed by 42
Abstract
Coincidence of ischaemic encephalopathy and essential thrombocytaemia: cerebral cortical vein thrombosis? We here report a 39-year-old women with an ischaemic encephalopathy in temporal association with the first diagnosis of an essential thrombocythaemia. Diagnosis was difficult due to cognitive impairment, a long lasting period [...] Read more.
Coincidence of ischaemic encephalopathy and essential thrombocytaemia: cerebral cortical vein thrombosis? We here report a 39-year-old women with an ischaemic encephalopathy in temporal association with the first diagnosis of an essential thrombocythaemia. Diagnosis was difficult due to cognitive impairment, a long lasting period of progressive symptoms, a former febrile infection, relevant weight loss and ambiguous findings in brain imaging. Meningeal and brain biopsy obtained the diagnosis of an ischaemic encephalopathy and reliably delineated this finding from an infectious or malignant disease of the brain. According to the persistent thrombocytosis subsequent bone marrow biopsy revealed a JAK-2 positive essential thrombocytosis. In the absence of any other pathology we suspected a subacute cortical vein thrombosis as the most likely cause of the ischaemic encephalopathy triggered by the underlying essential thrombocythaemia. After initial anticoagulation she was therefore treated with aspirin for prophylaxis of further vascular events and hydroxyurea for cytoreduction. Follow up examination revealed good recovery from neurological symptoms. Full article
Show Figures

Figure 1

284 KB  
Case Report
Atypisches Vernet-Siebenmann-Syndrom
by Hans Rudolf Stöckli
Swiss Arch. Neurol. Psychiatry Psychother. 2010, 161(7), 260-261; https://doi.org/10.4414/sanp.2010.02193 - 1 Jan 2010
Viewed by 33
Abstract
Atypical Vernet-Siebenmann syndrome – Herpetic jugular foramen syndrome (IX, X, XI) due to herpetic C2 neuritis. A rare case of herpetic right-sided jugular foramen syndrome (IX, X, XI) in a 76-year-old patient is presented which unusually was triggered by ipsilateral herpetic C2 neuritis. [...] Read more.
Atypical Vernet-Siebenmann syndrome – Herpetic jugular foramen syndrome (IX, X, XI) due to herpetic C2 neuritis. A rare case of herpetic right-sided jugular foramen syndrome (IX, X, XI) in a 76-year-old patient is presented which unusually was triggered by ipsilateral herpetic C2 neuritis. Four months later left-sided thoracic herpes zoster Th5–6 developed which rapidly subsided under virostatic therapy. No unilateral hyperplasia of the jugular foramen or consumptive disease was observed. Follow-up 22 months later showed no further evidence of paresis or other symptoms. Full article
Show Figures

Figure 1

81 KB  
Article
Rückfälligkeit nach Entlassung aus dem Strafvollzug in der Schweiz: Die Validität des HCR-20
by Astrid Rossegger, Frank Urbaniok, Thomas Elbert, Diana Fries and Jérôme Endrass
Swiss Arch. Neurol. Psychiatry Psychother. 2010, 161(7), 254-259; https://doi.org/10.4414/sanp.2010.02188 - 1 Jan 2010
Cited by 3 | Viewed by 45
Abstract
Recidivism following release from prison in Switzerland: Validity of HCR-20. Background: The HCR-20 is a risk assessment instrument developed in Canada whose validity has been shown in several studies of patients in forensic settings. However, only a few studies on unselected samples [...] Read more.
Recidivism following release from prison in Switzerland: Validity of HCR-20. Background: The HCR-20 is a risk assessment instrument developed in Canada whose validity has been shown in several studies of patients in forensic settings. However, only a few studies on unselected samples exist, and they show varying results. The aim of the present study was to conduct a first time validation of the HCR-20 on an unselected sample of offenders released from prison in Switzerland. Method: The HCR-20 and the PCL-R were scored for 107 released sex and violent offenders. Legal probation was examined using excerpts from the criminal records drawn after a follow-up period of 7 years. ROC analyses were computed to examine the predictive validity of the sum scores of the two instruments. Results: The HCR-20 was significantly associated with recidivism and showed an AUC = 0.76 for general recidivism and an AUC = 0.70 for sex or violent recidivism. The difference in predictive validity of the HCR-20 and the PCL-R was not significant and the two instruments correlated with r = 0.69. Discussion: It was also possible to replicate findings of other studies on the predictive validity of the HCR-20 in Switzerland. However, in the present study the HCR-20 was of no additional explanatory value compared to the PCL-R. Full article
160 KB  
Review
Die Theta-Burst-Stimulation – eine mögliche Therapie bei Neglektpatienten?
by Thomas Nyffeler, René M. Müri and Dario Cazzoli
Swiss Arch. Neurol. Psychiatry Psychother. 2010, 161(7), 250-253; https://doi.org/10.4414/sanp.2010.02195 - 1 Jan 2010
Viewed by 38
Abstract
Theta burst stimulation – a possible therapy for neglectpatients? Hemispatial neglect is a frequent neurological disorder after right hemispheric stroke and has a strong negative influence on rehabilitation outcome. The precise mechanisms of action, the duration of the effects, and the relevance for [...] Read more.
Theta burst stimulation – a possible therapy for neglectpatients? Hemispatial neglect is a frequent neurological disorder after right hemispheric stroke and has a strong negative influence on rehabilitation outcome. The precise mechanisms of action, the duration of the effects, and the relevance for the activities of daily living of current therapeutic approaches are still uncertain. Interhemispheric balance has been shown to play a central role in the occurrence and persistence of hemispatial neglect. According to the model, after a right hemispheric lesion, the contralesional, intact hemisphere undergoes a pathological hyperactivity, biasing attention towards the ipsilesional space. The reduction of this pathological hyperactivity by means of conventional inhibitory transcranial magnetic stimulation protocols is known to have only short-term positive effects on neglect symptoms. Newly developed stimulation protocols such as theta burst stimulation, characterized by short stimulation times, have been shown to induce long-lasting behavioural effects, which can be disproportionately prolonged by means of repeated applications. Therefore, theta burst stimulation seems to be a viable and effective complementary approach in the therapy of patients suffering from hemispatial neglect. Full article
Show Figures

Figure 1

82 KB  
Review
Probleme bei der Generika-Substitution von Antiepileptika
by Günter Krämer and Ulrich Honegger
Swiss Arch. Neurol. Psychiatry Psychother. 2010, 161(7), 244-249; https://doi.org/10.4414/sanp.2010.02194 - 1 Jan 2010
Cited by 1 | Viewed by 41
Abstract
Problems with generic substitution of antiepileptic drugs Bioequivalence does not guarantee that a drug will have the same therapeutic and adverse effects as the reference drug. Antiepileptic drugs have narrow therapeutic indices, making generic substitution problematic. The absence of bioequivalence data among generic [...] Read more.
Problems with generic substitution of antiepileptic drugs Bioequivalence does not guarantee that a drug will have the same therapeutic and adverse effects as the reference drug. Antiepileptic drugs have narrow therapeutic indices, making generic substitution problematic. The absence of bioequivalence data among generic forms and the relatively broad criteria for bioequivalence with the branded drug allow differences in drug exposure to arise that may be clinically relevant, necessitating monitoring of plasma levels when switching formulations to avoid loss of seizure control or emergence of side effects. Management of these issues carries a significant cost, which should be weighed carefully against cost savings made when purchasing the drug. Clinical experience with generic substitution of antiepileptic drugs is limited. Adverse events in the form of breakthrough seizures and toxicity have been reported as problems. For well controlled patients with epilepsy, guidelines recommend that patients should not be switched from branded drugs to generics, between generic forms or from generics to branded drugs, due to the risk of losing seizure control. In patients already treated with a brand product who have incomplete seizure control, substitution with a generic may be rational. Recommendations include an assurance that generic substitution only be approved if safety and efficacy are not compromised. Switching between formulations of antiepileptic drugs should be avoided except when medically necessary. Both physicians and patients have the right to be informed and give their approval before pharmacists make a generic substitution or switch between generics. The dispensing physician must ensure that no unwanted switching of therapies takes place. Full article
37 KB  
Editorial
Zwei ganz verschiedene Themen
by Bernhard Küchenhoff
Swiss Arch. Neurol. Psychiatry Psychother. 2010, 161(7), 243; https://doi.org/10.4414/sanp.2010.02185 - 1 Jan 2010
Abstract
Im psychiatrischen Teil des vorliegenden Heftes werden interessante Studien und Konzepte dargestellt und erörtert, die ganz verschiedene, wichtige Themen und Bereiche unseres Fachs betreffen [...] Full article
37 KB  
Editorial
Generika in der Epileptologie
by Klaus Meyer
Swiss Arch. Neurol. Psychiatry Psychother. 2010, 161(7), 243; https://doi.org/10.4414/sanp.2010.02184 - 1 Jan 2010
Abstract
Seit mehr als 20 Jahren finden Generika in allen Bereichen der Medizin Anwendung [...] Full article
Previous Issue
Next Issue
Back to TopTop