Next Issue
Volume 151, 01
Previous Issue
Volume 150, 01
 
 
Swiss Archives of Neurology, Psychiatry and Psychotherapy is published by MDPI from Volume 176 Issue 1 (2026). Previous articles were published by another publisher in Open Access under a CC-BY (or CC-BY-NC-ND) licence, and they are hosted by MDPI on mdpi.com as a courtesy and upon agreement with the previous journal publisher.

Swiss Arch. Neurol. Psychiatry Psychother., Volume 150, Issue 6 (01 1999) – 10 articles , Pages 271-302

  • Issues are regarded as officially published after their release is announced to the table of contents alert mailing list.
  • You may sign up for e-mail alerts to receive table of contents of newly released issues.
  • PDF is the official format for papers published in both, html and pdf forms. To view the papers in pdf format, click on the "PDF Full-text" link, and use the free Adobe Reader to open them.
Order results
Result details
Select all
Export citation of selected articles as:
148 KB  
Abstract
3. Jahresversammlung der Zerebrovaskulären Arbeitsgruppe der Schweiz / 3e Assemblée annuelle du Groupe suisse de travail pour les maladies cérébro-vasculaires (Bern, 14. Januar 1999)
by EMH Swiss Medical Publishers Ltd.
Swiss Arch. Neurol. Psychiatry Psychother. 1999, 150(6), 292-302; https://doi.org/10.4414/sanp.1999.01126 - 1 Jan 1999
Viewed by 33
Abstract
Background: Ischemic stroke occurs most frequently after awakening and only in 20–40% of patients at night [...] Full article
102 KB  
Communication
8th European Stroke Conference (Venedig, 7.–10. 4. 1999)
by Ph. Lyrer
Swiss Arch. Neurol. Psychiatry Psychother. 1999, 150(6), 291; https://doi.org/10.4414/sanp.1999.01131 - 1 Jan 1999
Viewed by 45
Abstract
Mit 4 Symposien, 4 Satelliten-Symposien, 8 Teaching-courses, 9 wissenschaftlichen Sessionen mit freien Vorträgen und 2 Posterpräsentationen mit je 200 Posters wurden alle aktuellen Themen zum ischämischen und hämorrhagischen Schlaganfall eingehend aktualisiert [...] Full article
102 KB  
Communication
2nd World Congress in Neurological Rehabilitation (Toronto, 14.-17.4.1999)
by U. Kischka and Th. Ettlin
Swiss Arch. Neurol. Psychiatry Psychother. 1999, 150(6), 290; https://doi.org/10.4414/sanp.1999.01132 - 1 Jan 1999
Viewed by 39
Abstract
Neurologische Rehabilitation hat in den vergangenen Jahren zunehmende Bedeutung nicht nur als medizinische Fachrichtung, sondern auch als Forschungsdisziplin erlangt [...] Full article
100 KB  
Article
Kurz-Info zur SNG-Standespolitik
by H. R. Stöckli
Swiss Arch. Neurol. Psychiatry Psychother. 1999, 150(6), 289; https://doi.org/10.4414/sanp.1999.01125 - 1 Jan 1999
Viewed by 31
Abstract
Unsere Probleme mit GRAT (neu TARMED) [...] Full article
97 KB  
Article
Richtlinien für die Diagnostik und die Therapie des idiopathischen Parkinsonsyndroms
by A. Albanese, F. Baronti, P. Fuhr, J. Ghika, H.P. Ludin, M. Sturzenegger, C. Tosi and F. Vingerhoets
Swiss Arch. Neurol. Psychiatry Psychother. 1999, 150(6), 288; https://doi.org/10.4414/sanp.1999.01124 - 1 Jan 1999
Cited by 2 | Viewed by 40
Abstract
Das idiopathische Parkinsonsyndrom (Synonyme: Morbus Parkinson, Parkinsonsche Krankheit) ist eine degenerative Hirnerkrankung [...] Full article
77 KB  
Article
Neurologische Richtlinien bzw. «Guidelines»
by U. W. Buettner
Swiss Arch. Neurol. Psychiatry Psychother. 1999, 150(6), 287; https://doi.org/10.4414/sanp.1999.01128 - 1 Jan 1999
Viewed by 27
Abstract
Mit den vorliegenden Richtlinien zur Diagnostik und Therapie des idiopathischen Parkinson-Syndroms beginnt das Schweizerische Archiv für Neurologie und Psychiatrie eine Rubrik [...] Full article
145 KB  
Article
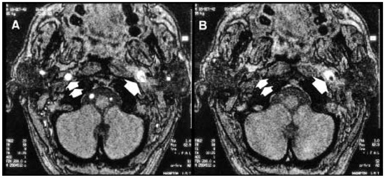
Seltene Ursache Multipler Ipsilateraler Hirnnervenausfälle
by S. Rüegga, S. Wetzelb and A. J. Stecka
Swiss Arch. Neurol. Psychiatry Psychother. 1999, 150(6), 283-286; https://doi.org/10.4414/sanp.1999.01122 - 1 Jan 1999
Viewed by 32
Abstract
We report on a patient with subacute infranuclear palsies of lower cranial nerves IX–XII (Collet- Sicard-syndrome) as a result of spontaneous periadventitial dissection of the ipsilateral inner carotid artery. Emphasis is given on probable pathomechanisms and different etiologies of this syndrome. Additionally, a [...] Read more.
We report on a patient with subacute infranuclear palsies of lower cranial nerves IX–XII (Collet- Sicard-syndrome) as a result of spontaneous periadventitial dissection of the ipsilateral inner carotid artery. Emphasis is given on probable pathomechanisms and different etiologies of this syndrome. Additionally, a short summary concerning epidemiology, clinical presentation and therapeutic issues of dissection of the inner carotid artery is presented. Full article
Show Figures

Figure 1

123 KB  
Article
Bildgebende Diagnostik mit zerebralem CT und MRI in einer neurologischen Poliklinik
by U. Heim, A. J. Radziwill, A. J. Steck and L. Kappos
Swiss Arch. Neurol. Psychiatry Psychother. 1999, 150(6), 275-282; https://doi.org/10.4414/sanp.1999.01127 - 1 Jan 1999
Viewed by 31
Abstract
The uncritical use of radiological investigations without a careful consideration of historical and clinical data increases the cost in public health.This retrospective study analysed in 189 patients the value of the information of cerebral imaging with computer tomography (CT) or magnetic resonance imaging [...] Read more.
The uncritical use of radiological investigations without a careful consideration of historical and clinical data increases the cost in public health.This retrospective study analysed in 189 patients the value of the information of cerebral imaging with computer tomography (CT) or magnetic resonance imaging (MRI) and the correlation between the initial clinical diagnosis and the radiological results. We tried to delineate guidelines for the neuroradiological examination in the context of a specific clinical question.We restricted our study to the analysis of the four most frequent diagnoses in our outpatient department where a neuroradiological examination was indicated: demyelinating disease, headache, cerebrovascular disease and somatoform disorder.
The MRI plays a key role in the diagnosis of multiple sclerosis and supports the clinical assessment of disease activity and sometimes prognosis.
Indicating radiological investigation for headache is a challenge even for the specialised physician as generally accepted guidelines are lacking. Only in case of classical migraine it is generally accepted that there is no need for neuroradiological investigation. Stroke is a neurological emergency that requires brain imaging. The CT scan reveals further useful information in the situation of an insufficient history (aphasic patient), a bleeding, an atypical deterioration or in infratentorial bleeding/ ischemia which requires an observation in an intensive care unit. Neuroradiological investigation may also help in the evaluation of suspected somatoform disorder. Full article
135 KB  
Article
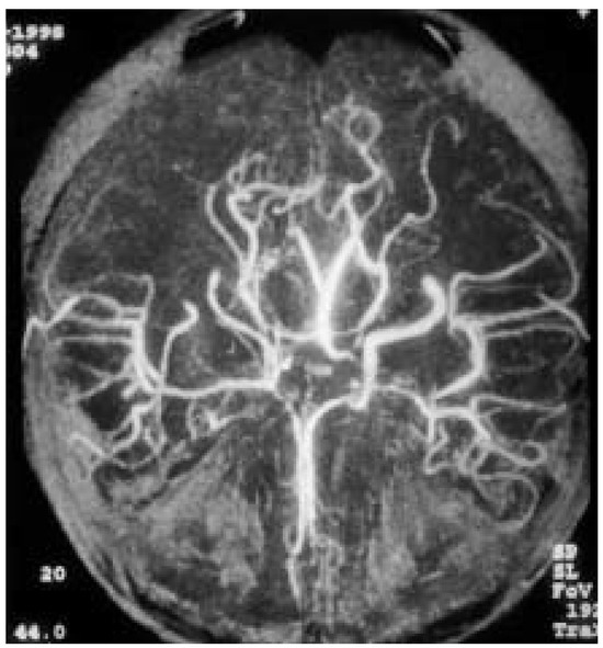
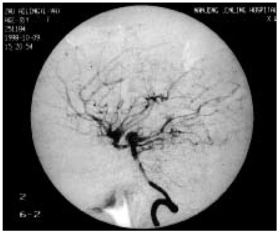
Moyamoya disease and migraine-like headaches
by X.-F. Liua and D. K. Jung
Swiss Arch. Neurol. Psychiatry Psychother. 1999, 150(6), 272-274; https://doi.org/10.4414/sanp.1999.01123 - 1 Jan 1999
Cited by 5 | Viewed by 30
Abstract
Rarely, adult moyamoya disease presents with recurrent migraine-like headaches during a long course.We report the case of a 31-year-old woman with moyamoya disease and migraine-like headaches, with a 13-year history. Physical examination showed no neurologic deficits. Magnetic resonance angiography (MRA) and digital subtraction [...] Read more.
Rarely, adult moyamoya disease presents with recurrent migraine-like headaches during a long course.We report the case of a 31-year-old woman with moyamoya disease and migraine-like headaches, with a 13-year history. Physical examination showed no neurologic deficits. Magnetic resonance angiography (MRA) and digital subtraction angiography (DSA) showed occlusion of the right internal carotid artery (ICA), severe stenosis of the left ICA, and abnormal vascular network at the base of the brain. The calcium channel blocker, nimodipine, was introduced in order to prevent further symptoms. After the introduction of nimodipine, no further headache, weakness and numbness of the left hand occurred in this patient. This suggests that migraine-like headaches may be caused by moyamoya disease and that nimodipine may have a beneficial effect on this condition. Full article
Show Figures

Figure 1

79 KB  
Editorial
Millennium editorial
by Andreas J. Steck
Swiss Arch. Neurol. Psychiatry Psychother. 1999, 150(6), 271; https://doi.org/10.4414/sanp.1999.01129 - 1 Jan 1999
Viewed by 36
Abstract
With this last issue for 1999 of the Swiss Archives of Neurology and Psychiatry [...] Full article
Previous Issue
Next Issue
Back to TopTop