Pseudo-Pemphigoid Gestationis Eruption Following SARS-CoV-2 Vaccination with mRNA Vaccine
Abstract
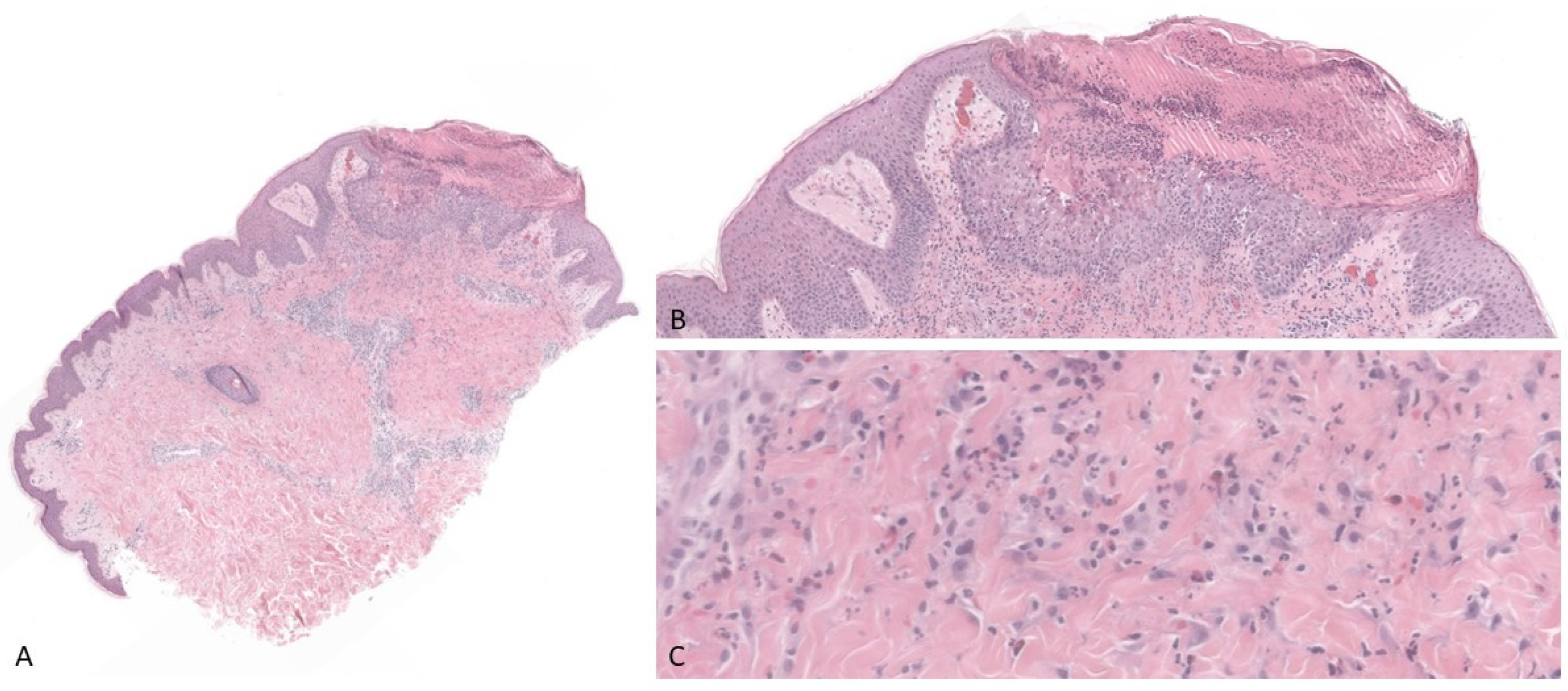
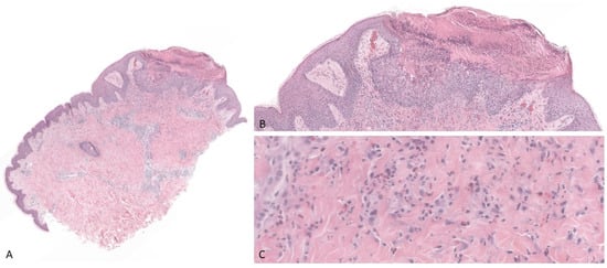
:1. Case Presentation
2. Discussion
Author Contributions
Funding
Institutional Review Board Statement
Informed Consent Statement
Conflicts of Interest
References
- McMahon, D.E.; Amerson, E.; Rosenbach, M.; Lipoff, J.B.; Moustafa, D.; Tyagi, A.; Desai, S.R.; French, L.; Lim, H.W.; Thiers, B.; et al. Cutaneous reactions reported after Moderna and Pfizer COVID-19 vaccination: A registry-based study of 414 cases. J. Am. Acad. Dermatol. 2021, 85, 46–55. [Google Scholar] [CrossRef] [PubMed]
- Larson, V.; Seidenberg, R.; Caplan, A.; Brinster, N.K.; Meehan, S.A.; Kim, R.H. Clinical and histopathological spectrum of delayed adverse cutaneous reactions following COVID-19 vaccination. J. Cutan. Pathol. 2022, 49, 34–41. [Google Scholar] [CrossRef] [PubMed]
- Kong, J.; Cuevas-Castillo, F.; Nassar, M.; Lei, C.M.; Idrees, Z.; Fix, W.C.; Halverstam, C.; Mir, A.; Elbendary, A.; Mathew, A. Bullous drug eruption after second dose of mRNA-1273 (Moderna) COVID-19 vaccine: Case report. J. Infect. Public Health 2021, 14, 1392–1394. [Google Scholar] [CrossRef] [PubMed]
- Pauluzzi, M.; Stinco, G.; Errichetti, E. Bullous pemphigoid in a young male after COVID-19 mRNA vaccine: A report and brief literature review. J. Eur. Acad. Dermatol. Venereol. 2021, 36, e257–e259. [Google Scholar] [CrossRef] [PubMed]
- Agharbi, F.-Z.; Eljazouly, M.; Basri, G.; Faik, M.; Benkirane, A.; Albouzidi, A.; Chiheb, S. Bullous pemphigoid induced by the AstraZeneca COVID-19 vaccine. Annal. Dermatol. Venereol. 2021, 149, 56–57. [Google Scholar] [CrossRef] [PubMed]
- Kasperkiewicz, M.; Bednarek, M.; Tukaj, S. Case Report: Circulating Anti-SARS-CoV-2 Antibodies Do Not Cross-React with Pemphigus or Pemphigoid Autoantigens. Front. Med. 2021, 8, 807711. [Google Scholar] [CrossRef] [PubMed]
- Hali, F.; Araqi, L.; Marnissi, F.; Meftah, A.; Chiheb, S. Autoimmune Bullous Dermatosis Following COVID-19 Vaccination: A Series of Five Cases. Cureus 2022, 14, e23127. [Google Scholar] [CrossRef] [PubMed]
- Kasperkiewicz, M.; Schmidt, E.; Amagai, M.; Fairley, J.; Joly, P.; Murrell, D.; Payne, A.; Yale, M.; Zillikens, D.; Woodley, D. Updated international expert recommendations for the management of autoimmune bullous diseases during the COVID-19 pandemic. J. Eur. Acad. Dermatol. Venereol. 2021, 35, e412–e414. [Google Scholar] [CrossRef] [PubMed]
- Daniel, B.; Murrell, D. Review of autoimmune blistering diseases: The Pemphigoid diseases. J. Eur. Acad. Dermatol. Venereol. 2019, 33, 1685–1694. [Google Scholar] [CrossRef] [PubMed]
- Schauer, F.; Mai, S.; Hofmann, S.C.; Mai, Y.; Izumi, K.; Kern, J.S.; Kiritsi, D. Autoreactivity to BP180 Neoepitopes in Patients with Pemphigoid Gestationis. JAMA Dermatol. 2022, 158, 212. [Google Scholar] [CrossRef] [PubMed]


Publisher’s Note: MDPI stays neutral with regard to jurisdictional claims in published maps and institutional affiliations. |
© 2022 by the authors. Licensee MDPI, Basel, Switzerland. This article is an open access article distributed under the terms and conditions of the Creative Commons Attribution (CC BY) license (https://creativecommons.org/licenses/by/4.0/).
Share and Cite
de Lorenzi, C.; Kaya, G.; Toutous Trellu, L. Pseudo-Pemphigoid Gestationis Eruption Following SARS-CoV-2 Vaccination with mRNA Vaccine. Dermatopathology 2022, 9, 203-206. https://doi.org/10.3390/dermatopathology9030025
de Lorenzi C, Kaya G, Toutous Trellu L. Pseudo-Pemphigoid Gestationis Eruption Following SARS-CoV-2 Vaccination with mRNA Vaccine. Dermatopathology. 2022; 9(3):203-206. https://doi.org/10.3390/dermatopathology9030025
Chicago/Turabian Stylede Lorenzi, Caroline, Gürkan Kaya, and Laurence Toutous Trellu. 2022. "Pseudo-Pemphigoid Gestationis Eruption Following SARS-CoV-2 Vaccination with mRNA Vaccine" Dermatopathology 9, no. 3: 203-206. https://doi.org/10.3390/dermatopathology9030025
APA Stylede Lorenzi, C., Kaya, G., & Toutous Trellu, L. (2022). Pseudo-Pemphigoid Gestationis Eruption Following SARS-CoV-2 Vaccination with mRNA Vaccine. Dermatopathology, 9(3), 203-206. https://doi.org/10.3390/dermatopathology9030025

