The Rarity in the Rarity: Presentation of Three Cases of Cutaneous Carcinosarcoma with Clinical and Histopathological Insights
Abstract
1. Introduction
2. Case Presentation
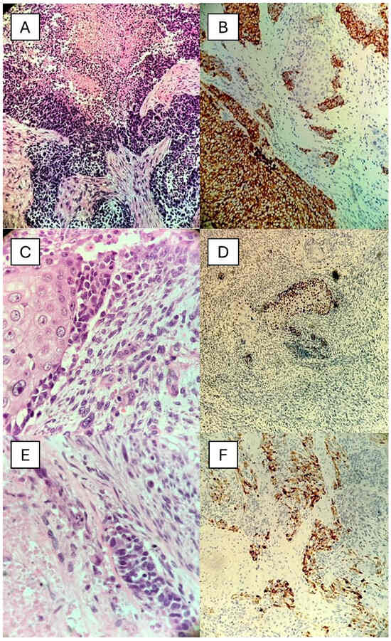
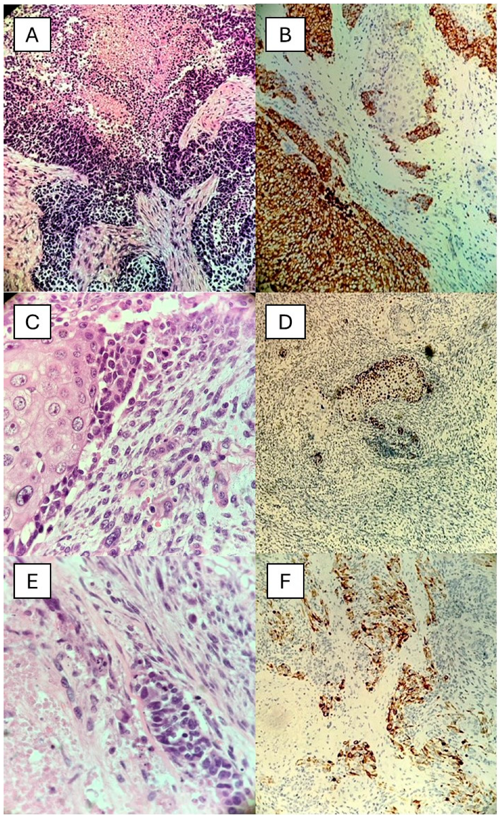
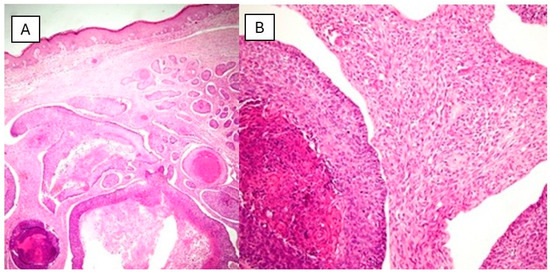
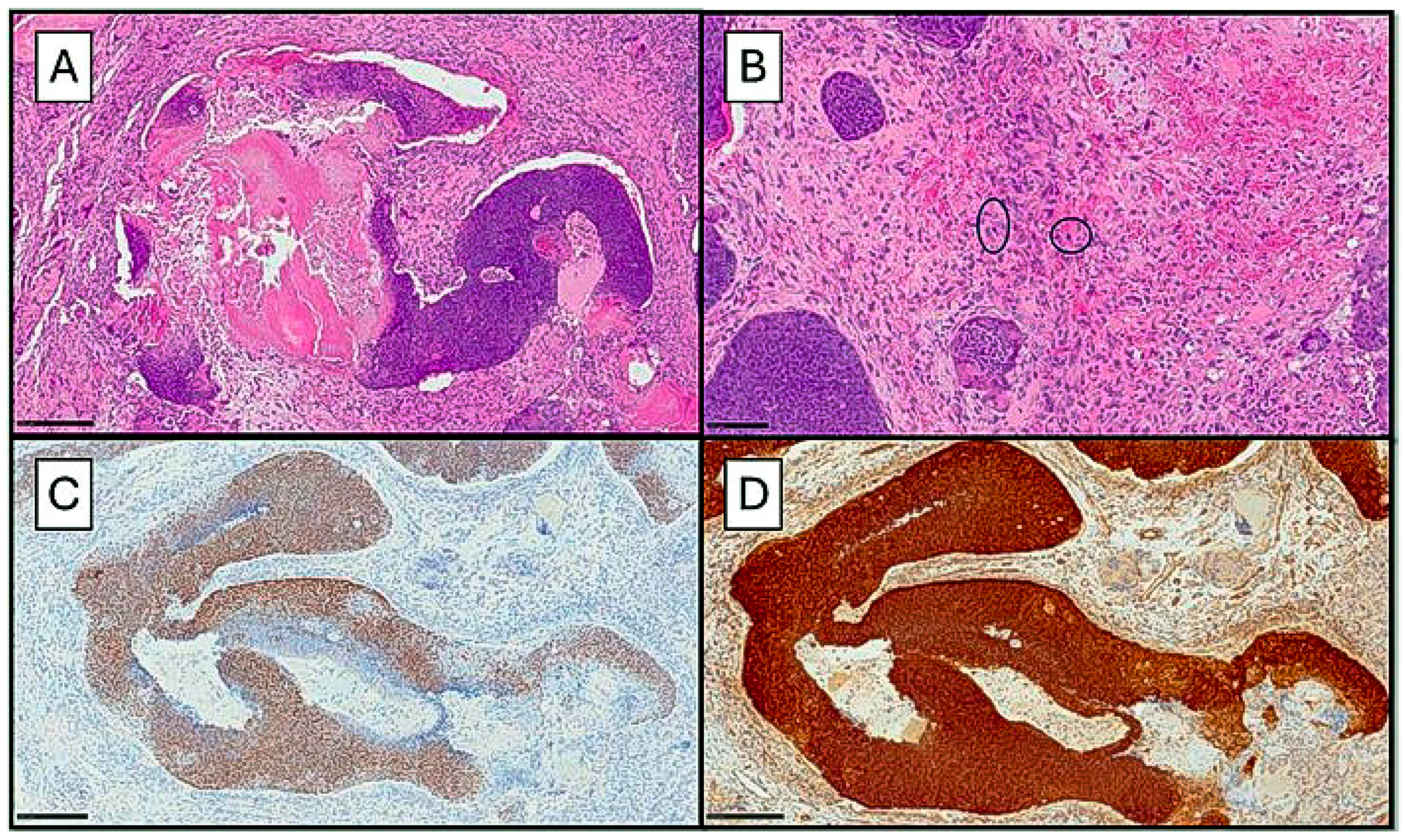
2.1. Case 1
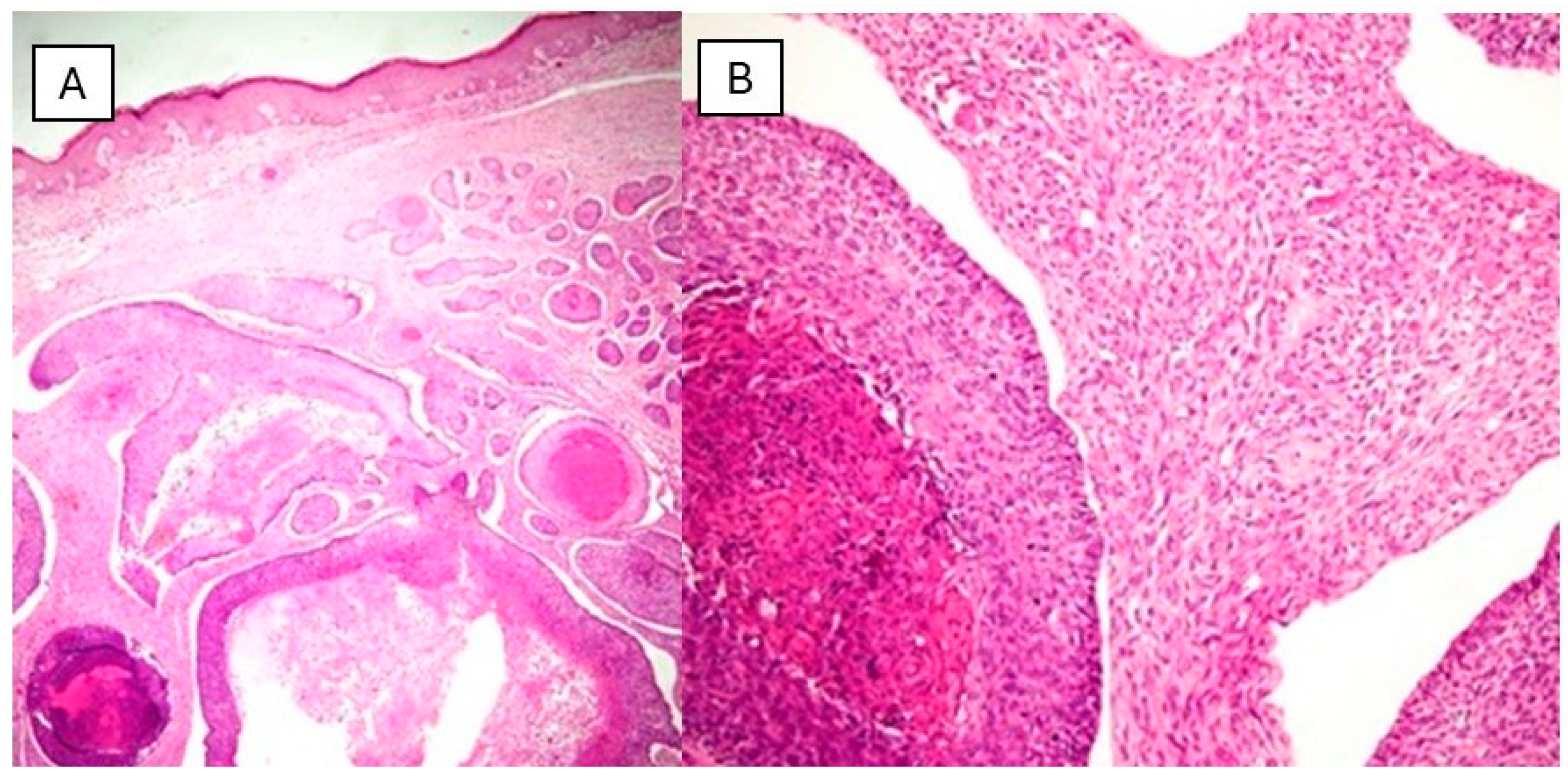
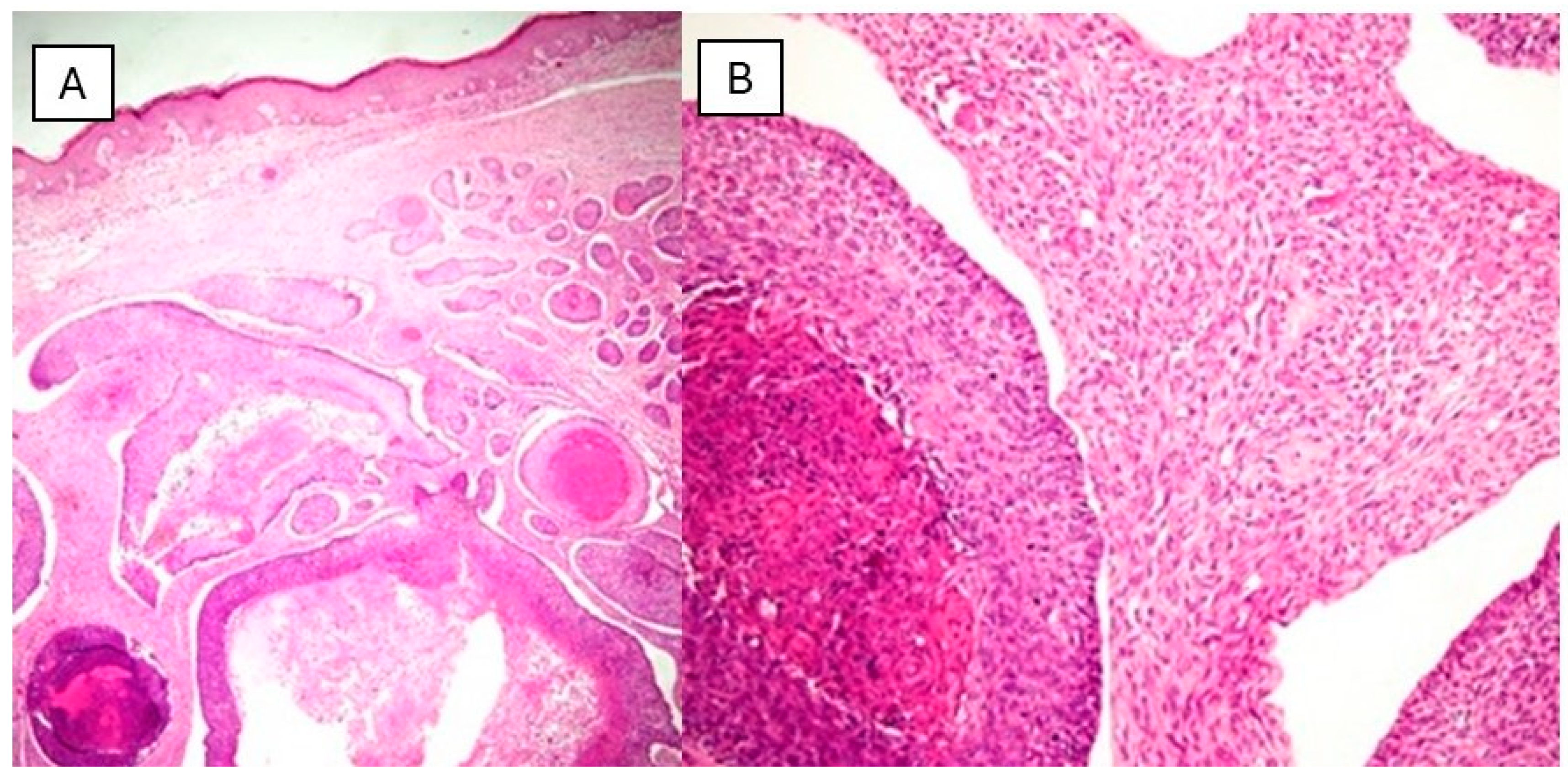
2.2. Case 2
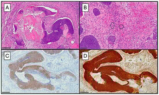
2.3. Case 3
3. Discussion
4. Conclusions
Author Contributions
Funding
Institutional Review Board Statement
Informed Consent Statement
Data Availability Statement
Acknowledgments
Conflicts of Interest
References
- Fenner, B.; Chaudhury, H.; Pham, M.; Tarbox, M. Cutaneous carcinosarcoma: A rare diagnosis. Proc. (Bayl. Univ. Med. Cent.) 2023, 36, 761–763. [Google Scholar] [CrossRef] [PubMed]
- Guimerá-Martín-Neda, F.; Alvarez-Argüelles, H.; Facundo, E.; Rodríguez, F.; Sánchez, R.; García, M.; Díaz-Flores, L.; Noda, A. Primary carcinosarcoma of the skin. J. Am. Acad. Dermatol. 2005, 52 (Suppl. 1), S124–S127. [Google Scholar] [CrossRef] [PubMed]
- Song, E.Y.; Wallace, S.J.; Sheikh, H.; Wojcik, R., Jr.; Nayak, C. Cutaneous Carcinosarcoma: A Small Case Series and Review of the Literature of a Rare Skin Tumor. Cureus 2020, 12, e9569. [Google Scholar] [CrossRef] [PubMed] [PubMed Central]
- Suzuki, H.; Hashimoto, A.; Saito, R.; Izumi, M.; Aiba, S. A Case of Primary Cutaneous Basal Cell Carcinosarcoma. Case Rep. Dermatol. 2018, 10, 208–215. [Google Scholar] [CrossRef] [PubMed] [PubMed Central]
- Reddy, S. The complexity of carcinosarcoma. Oncology 2021, 35, 814. [Google Scholar] [CrossRef] [PubMed]
- ARP. Nonmelanocytic Tumors of the Skin. In AFIP Atlas of Tumor and Non-Tumor Pathology, Series 5; American Registry of Pathology: Arlington, WV, USA, 2021. [Google Scholar]
- Ndukwe, C.O.; Chiemeka, M.E.; Menkiti, F.E.; Ezejiofor, F.I.; Ike, G.K.; Chukwuanukwu, T.O. Primary Carcinosarcoma of the Skin in an African Albino: Case Report and Review of Literature. Oman Med. J. 2022, 37, e417. [Google Scholar] [CrossRef] [PubMed] [PubMed Central]
- Gamret, A.C.; Fertig, R.M.; Klingbeil, K.D.; Satahoo, S.; Kerr, D.A.; Romanelli, P.; Miteva, M.; Rodgers, S.E. Carcinosarcoma of the hand. Dermatol. Online J. 2019, 25, 15. [Google Scholar] [CrossRef] [PubMed]
- Brown, T.J.; Tschen, J.A. Primary carcinosarcoma of the skin: Report of a case and review of the literature. Dermatol. Surg. 1999, 25, 498–500. [Google Scholar] [CrossRef] [PubMed]
- Nagose, V.B.; Ingle, S.S.; Chandak, N.O.; Gondane, S.R. A Rare Cutaneous Malignancy: A Primary Cutaneous Carcinosarcoma with Adnexal Epithelial Component (Trichoblastic Carcinosarcoma) of Left Temporal Region. Indian. J. Dermatol. 2024, 69, 77–80. [Google Scholar] [CrossRef] [PubMed] [PubMed Central]
- Clark, J.J.; Bowen, A.R.; Bowen, G.M.; Hyngstrom, J.R.; Hadley, M.L.; Duffy, K.; Florell, S.R.; Wada, D.A. Cutaneous carcinosarcoma: A series of six cases and a review of the literature. J. Cutan. Pathol. 2017, 44, 34–44. [Google Scholar] [CrossRef] [PubMed]
- Tran, T.A.; Muller, S.; Chaudahri, P.J.; Carlson, J.A. Cutaneous carcinosarcoma: Adnexal vs. epidermal types define high- and low-risk tumors. Results of a meta-analysis. J. Cutan. Pathol. 2005, 32, 2–11. [Google Scholar] [CrossRef] [PubMed]
- Paniz-Mondolfi, A.; Singh, R.; Jour, G.; Mahmoodi, M.; Diwan, A.H.; Barkoh, B.A.; Cason, R.; Huttenbach, Y.; Benaim, G.; Galbincea, J.; et al. Cutaneous carcinosarcoma: Further insights into its mutational landscape through massive parallel genome sequencing. Virchows Arch. 2014, 465, 339–350. [Google Scholar] [CrossRef] [PubMed]
- Hanly, M.G.; Allsbrook, W.C.; Pantazis, C.G.; Lane, R.; Porubsky, E.S.; Mann, E.S. Pilomatrical carcinosarcoma of the cheek with subsequent pulmonary metastases. A case report. Am. J. Dermatopathol. 1994, 16, 196–200. [Google Scholar] [CrossRef] [PubMed]
- Scholl, P.; Snyder, N.; Patt, D.; Talbott, B. Pilomatrical carcinosarcoma. Otolaryngol. Head Neck Surg. 2010, 143 (Suppl. 3), S36–S37. [Google Scholar] [CrossRef] [PubMed]
- Suyama, T.; Momose, S.; Yokoyama, M.; Kikuchi, J.; Izaki, S.; Arai, E.; Tamaru, J. Pilomatrical carcinosarcoma of the cheek: Immunohistochemical and molecular analysis of beta-catenin. Pathol. Int. 2017, 67, 324–326. [Google Scholar] [CrossRef] [PubMed]
- Leecy, T.; Ardakani, N.M.; Harvey, N.T.; Wood, B.A. Pilomatrical carcinosarcoma: Report of a case with comparative genomic hybridisation analysis. Pathology 2018, 50, 571–573. [Google Scholar] [CrossRef] [PubMed]
- Fernandez-Flores, A.; Cassarino, D.S. Sarcomatoid pilomatrix carcinoma. J. Cutan. Pathol. 2018, 45, 508–514. [Google Scholar] [CrossRef] [PubMed]
- Mori, D. Pilomatrical carcinosarcoma of the temple: A case report. J. Cutan. Pathol. 2019, 46, 267–270. [Google Scholar] [CrossRef] [PubMed]
- Luong, T.M.H.; Akazawa, Y.; Mussazhanova, Z.; Matsuda, K.; Ueki, N.; Miura, S.; Hara, T.; Yokoyama, H.; Nakashima, M. Cutaneous pilomatrical carcinosarcoma: A case report with molecular analysis and literature review. Diagn. Pathol. 2020, 15, 7. [Google Scholar] [CrossRef] [PubMed] [PubMed Central]
- Gates, G.A.; Nguyen, J.; Binder, S.W. Rare Case Report of Pilomatrical Carcinosarcoma in a Pediatric Patient. Am. J. Dermatopathol. 2020, 42, 208–210. [Google Scholar] [CrossRef] [PubMed]
- Suemune, K.; Adachi, Y.; Takagi, M.; Tokuriki, T.; Akiyama, H.; Ikehara, S. Pilomatrical carcinosarcoma in the very elderly: A case report. Mol. Clin. Oncol. 2021, 15, 264. [Google Scholar] [CrossRef] [PubMed] [PubMed Central]
- Lazar, A.J.; Calonje, E.; Grayson, W.; Dei Tos, A.P.; Mihm, M.C., Jr.; Redston, M.; McKee, P.H. Pilomatrix carcinomas contain mutations in CTNNB1, the gene encoding beta-catenin. J. Cutan. Pathol. 2005, 32, 148–157. [Google Scholar] [CrossRef] [PubMed]
- Toker, C. Trabecular carcinoma of the skin. Arch. Dermatol. 1972, 105, 107–110. [Google Scholar] [CrossRef] [PubMed]
- Gaitskell, K.; Nassar, S.; Ibrahim, H. Merkel cell carcinoma with divergent differentiation. Clin. Exp. Dermatol. 2020, 45, 327–332. [Google Scholar] [CrossRef] [PubMed]
- Barroil, M.; Fasquelle, F.; Foulongne, V.; Ramos, J.; Delfour, C.; Guillot, B.; Du Thanh, A. Divergent differentiation of Merkel cell carcinoma between primary and metastatic lesions. Ann. Dermatol. Venereol. 2021, 148, 51–54. [Google Scholar] [CrossRef] [PubMed]
- Eusebi, V.; Damiani, S.; Pasquinelli, G.; Lorenzini, P.; Reuter, V.E.; Rosai, J. Small cell neuroendocrine carcinoma with skeletal muscle differentiation: Report of three cases. Am. J. Surg. Pathol. 2000, 24, 223–230. [Google Scholar] [CrossRef] [PubMed]
- Fernández-Figueras, M.T.; Puig, L.; Gilaberte, M.; Del Carmen Gómez-Plaza, M.; Rex, J.; Ferrándiz, C.; Ariza, A. Merkel cell (primary neuroendocrine) carcinoma of the skin with nodal metastasis showing rhabdomyosarcomatous differentiation. J. Cutan. Pathol. 2002, 29, 619–622. [Google Scholar] [CrossRef] [PubMed]
- Adhikari, L.A.; McCalmont, T.H.; Folpe, A.L. Merkel cell carcinoma with heterologous rhabdomyoblastic differentiation: The role of immunohistochemistry for Merkel cell polyomavirus large T-antigen in confirmation. J. Cutan. Pathol. 2012, 39, 47–51. [Google Scholar] [CrossRef] [PubMed]
- Lau, P.P.; Ting, S.H.; Ip, Y.T.; Tsang, W.Y.; Chan, J.K. Merkel cell carcinosarcoma: Merkel cell carcinoma with embryonal rhabdomyosarcoma-like component. Ann. Diagn. Pathol. 2012, 16, 388–391. [Google Scholar] [CrossRef] [PubMed]
- Tse, J.Y.; Pawlak, A.C.; Boussahmain, C.; Routhier, C.A.; Dias-Santagata, D.; Kalomiris, D.; Hoang, M.P. Basal cell carcinoma with osteosarcomatous component. Am. J. Dermatopathol. 2013, 35, 261–265. [Google Scholar] [CrossRef] [PubMed]
- Harvey, N.T.; Sinha, A.; Houghton, D.C.; Beer, T.W.; Kingston, F.J.; Yu, L.; Wood, B.A. Basal cell carcinosarcoma: A report of 4 cases and review of the literature. Am. J. Dermatopathol. 2014, 36, 483–489. [Google Scholar] [CrossRef] [PubMed]
- Born, L.J.; Khachemoune, A. Basal cell carcinosarcoma: A systematic review and reappraisal of its challenges and the role of Mohs surgery. Arch. Dermatol. Res. 2023, 315, 2195–2205. [Google Scholar] [CrossRef] [PubMed]
- Davis, K.; Whale, K.; Tran, S.; Hamilton, S.; Kandamany, N. A rare case of cutaneous basal cell carcinosarcoma in an immunosuppressed patient. Pathology 2020, 52, 267–268. [Google Scholar] [CrossRef] [PubMed]
- Luzar, B.; Perković, T. Cutaneous carcinosarcoma--basal cell carcinoma with osteosarcoma. J. Cutan. Pathol. 2006, 33, 591–592. [Google Scholar] [CrossRef] [PubMed]




Disclaimer/Publisher’s Note: The statements, opinions and data contained in all publications are solely those of the individual author(s) and contributor(s) and not of MDPI and/or the editor(s). MDPI and/or the editor(s) disclaim responsibility for any injury to people or property resulting from any ideas, methods, instructions or products referred to in the content. |
© 2024 by the authors. Licensee MDPI, Basel, Switzerland. This article is an open access article distributed under the terms and conditions of the Creative Commons Attribution (CC BY) license (https://creativecommons.org/licenses/by/4.0/).
Share and Cite
Cazzato, G.; Colagrande, A.; Caputo, V.; Ingravallo, G.; Cascardi, E.; Fortarezza, F.; Bonoldi, E.; Rongioletti, F. The Rarity in the Rarity: Presentation of Three Cases of Cutaneous Carcinosarcoma with Clinical and Histopathological Insights. Dermatopathology 2024, 11, 209-217. https://doi.org/10.3390/dermatopathology11030022
Cazzato G, Colagrande A, Caputo V, Ingravallo G, Cascardi E, Fortarezza F, Bonoldi E, Rongioletti F. The Rarity in the Rarity: Presentation of Three Cases of Cutaneous Carcinosarcoma with Clinical and Histopathological Insights. Dermatopathology. 2024; 11(3):209-217. https://doi.org/10.3390/dermatopathology11030022
Chicago/Turabian StyleCazzato, Gerardo, Anna Colagrande, Valentina Caputo, Giuseppe Ingravallo, Eliano Cascardi, Francesco Fortarezza, Emanuela Bonoldi, and Franco Rongioletti. 2024. "The Rarity in the Rarity: Presentation of Three Cases of Cutaneous Carcinosarcoma with Clinical and Histopathological Insights" Dermatopathology 11, no. 3: 209-217. https://doi.org/10.3390/dermatopathology11030022
APA StyleCazzato, G., Colagrande, A., Caputo, V., Ingravallo, G., Cascardi, E., Fortarezza, F., Bonoldi, E., & Rongioletti, F. (2024). The Rarity in the Rarity: Presentation of Three Cases of Cutaneous Carcinosarcoma with Clinical and Histopathological Insights. Dermatopathology, 11(3), 209-217. https://doi.org/10.3390/dermatopathology11030022

