Galli–Galli Disease: A Comprehensive Literature Review
Abstract
1. Introduction
2. Literature Search
3. Pathogenesis
3.1. KRT5
3.2. POGLUT1
3.3. A Possible Role of PSENEN?
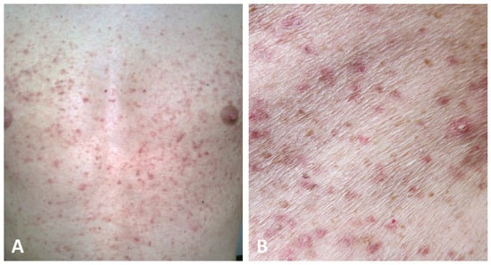
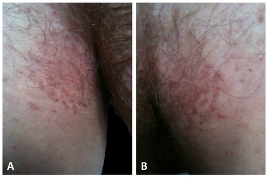
4. Clinical Presentation
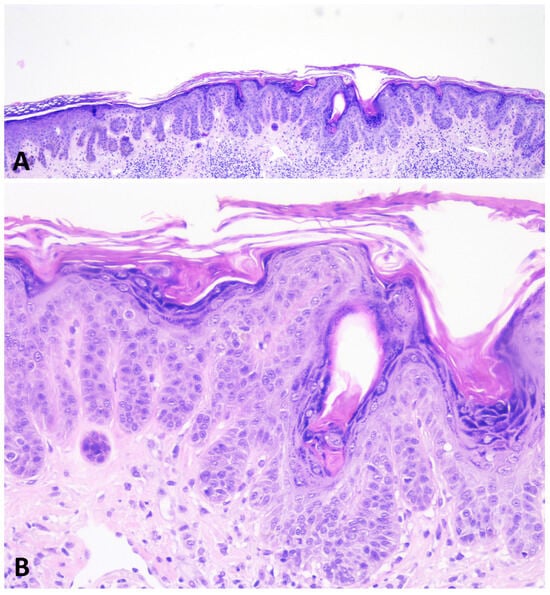
5. Histopathology
6. Diagnosis of Galli–Galli Disease
7. Dermoscopy
8. Therapy
9. Conclusions
Author Contributions
Funding
Institutional Review Board Statement
Informed Consent Statement
Data Availability Statement
Conflicts of Interest
References
- Gilchrist, H.; Jackson, S.; Morse, L.; Nesbitt, L.T. Galli-Galli disease: A case report with review of the literature. J. Am. Acad. Dermatol. 2008, 58, 299–302. [Google Scholar] [CrossRef]
- Braun-Falco, M.; Volgger, W.; Borelli, S.; Ring, J.; Disch, R. Galli-Galli disease: An unrecognized entity or an acantholytic variant of Dowling-Degos disease? J. Am. Acad. Dermatol. 2001, 45, 760–763. [Google Scholar] [CrossRef]
- Bardach, H.; Gebhart, W.; Luger, T. Genodermatose bei einem Brüderpaar: Morbus Dowling-Degos, Grover, Darier, Hailey-Hailey oder Galli-Galli? [Genodermatosis in a pair of brothers: Dowling-Degos, Grover, Darier, Hailey-Hailey or Galli-Galli disease?]. Hautarzt 1982, 33, 378–383. [Google Scholar]
- Rundle, C.W.; Ophaug, S.; Simpson, E.L. Acitretin therapy for Galli-Galli disease. JAAD Case Rep. 2020, 6, 457–461. [Google Scholar] [CrossRef]
- Yang, A.; Cheung, K.; Kossard, S.; Murrell, D.F. Atypical Disseminated Variant of Galli–Galli Disease: A Review of the Literature. Am. J. Dermatopathol. 2020, 42, 484–490. [Google Scholar] [CrossRef]
- Deenen, N.J.; Damman, J.; Nijsten, T.E.C. Galli–Galli disease successfully treated with alitretinoin. J. Eur. Acad. Dermatol. Venereol. 2019, 33, e232–e233. [Google Scholar] [CrossRef]
- Hanneken, S.; Rütten, A.; Pasternack, S.M.; Eigelshoven, S.; El Shabrawi-Caelen, L.; Wenzel, J.; Braun-Falco, M.; Ruzicka, T.; Nöthen, M.M.; Kruse, R.; et al. Systematic mutation screening of KRT5 supports the hypothesis that Galli-Galli disease is a variant of Dowling-Degos disease. Br. J. Dermatol. 2010, 163, 197–200. [Google Scholar] [CrossRef]
- Reisenauer, A.K.; Wordingham, S.V.; York, J.; Kokkonen, E.W.J.; McLean, W.H.I.; Wilson, N.J.; Smith, F.J.D. Heterozygous frameshift mutation in keratin 5 in a family with Galli-Galli disease. Br. J. Dermatol. 2014, 170, 1362–1365. [Google Scholar] [CrossRef]
- Verma, S.; Pasternack, S.M.; Rutten, A.; Ruzicka, T.; Betz, R.C.; Hanneken, S. The first report of krt5 mutation underlying acantholytic dowling-degos disease with mottled hypopigmentation in an Indian family. Indian J. Dermatol. 2014, 59, 476–480. [Google Scholar] [CrossRef]
- Stephan, C.; Kurban, M.; Abbas, O. Dowling-Degos disease: A review. Int. J. Dermatol. 2021, 60, 944–950. [Google Scholar] [CrossRef]
- Kim, Y.C.; Davis, M.D.P.; Schanbacher, C.F.; Su, W.P.D. Dowling-Degos disease (reticulate pigmented anomaly of the flexures): A clinical and histopathologic study of 6 cases. J. Am. Acad. Dermatol. 1999, 40, 462–467. [Google Scholar] [CrossRef]
- Batycka-Baran, A.; Baran, W.; Hryncewicz-Gwozdz, A.; Burgdorf, W. Dowling-degos disease: Case report and review of the literature. Dermatology 2010, 220, 254–258. [Google Scholar] [CrossRef]
- Basmanav, F.B.; Oprisoreanu, A.M.; Pasternack, S.M.; Thiele, H.; Fritz, G.; Wenzel, J.; Größer, L.; Wehner, M.; Wolf, S.; Fagerberg, C.; et al. Mutations in POGLUT1, encoding protein o-glucosyltransferase 1, cause autosomal-dominant Dowling-Degos Disease. Am. J. Hum. Genet. 2014, 94, 135–143. [Google Scholar] [CrossRef]
- Betz, R.C.; Planko, L.; Eigelshoven, S.; Hanneken, S.; Pasternack, S.M.; Büssow, H.; Van Den Bogaert, K.; Wenzel, J.; Braun-Falco, M.; Rütten, A.; et al. Loss-of-function mutations in the keratin 5 gene lead to Dowling-Degos disease. Am. J. Hum. Genet. 2006, 78, 510–519. [Google Scholar] [CrossRef]
- Bouameur, J.E.; Favre, B.; Fontao, L.; Lingasamy, P.; Begré, N.; Borradori, L. Interaction of plectin with keratins 5 and 14: Dependence on several plectin domains and keratin quaternary structure. J. Investig. Dermatol. 2014, 134, 2776–2783. [Google Scholar] [CrossRef]
- Intong, L.R.A.; Murrell, D.F. Inherited epidermolysis bullosa: New diagnostic criteria and classification. Clin. Dermatol. 2012, 30, 70–77. [Google Scholar] [CrossRef]
- Müller, C.S.; Tremezaygues, L.; Pföhler, C.; Vogt, T. The spectrum of reticulate pigment disorders of the skin revisited. Eur. J. Dermatol. 2012, 22, 596–604. [Google Scholar] [CrossRef]
- Lőrincz, K.; Medvecz, M.; Kiss, N.; Glász-Bóna, A.; Hársing, J.; Lepesi-Benkő, R.; Hatvani, Z.; Mazán, M.; Kárpáti, S.; Wikonkál, N. Confirmation of the role of a KRT5 mutation and successful management of skin lesions in a patient with Galli–Galli disease. Clin. Exp. Dermatol. 2018, 43, 972–974. [Google Scholar] [CrossRef]
- El Shabrawi-Caelen, L.; Rütten, A.; Kerl, H. The expanding spectrum of Galli-Galli disease. J. Am. Acad. Dermatol. 2007, 56, S86–S91. [Google Scholar] [CrossRef]
- Sprecher, E.; Indelman, M.; Khamaysi, Z.; Lugassy, J.; Petronius, D.; Bergman, R. Galli-Galli disease is an acantholytic variant of Dowling-Degos disease. Br. J. Dermatol. 2007, 156, 572–574. [Google Scholar] [CrossRef]
- Hanneken, S.; Rütten, A.; Eigelshoven, S.; Braun-Falco, M.; Pasternack, S.M.; Ruzicka, T.; Nöthen, M.M.; Betz, R.C.; Kruse, R. Klinische und histopathologische Untersuchung anhand einer Fallserie von 18 Patienten [Galli-Galli disease. Clinical and histopathological investigation using a case series of 18 patients]. Hautarzt 2011, 62, 842–851. [Google Scholar] [CrossRef]
- Voth, H.; Landsberg, J.; Reinhard, G.; Refke, M.; Betz, R.C.; Bieber, T.; Wenzel, J. Efficacy of Ablative Laser Treatment in Galli-Galli Disease. Arch. Dermatol. 2011, 147, 317. [Google Scholar] [CrossRef][Green Version]
- Arnold, A.W.; Kiritsi, D.; Happle, R.; Kohlhase, J.; Hausser, I.; Bruckner-Tuderman, L.; Has, C.; Itin, P.H. Type 1 segmental galli-galli disease resulting from a previously unreported keratin 5 mutation. J. Investig. Dermatol. 2012, 132, 2100–2103. [Google Scholar] [CrossRef]
- Schmieder, A.; Pasternack, S.M.; Krahl, D.; Betz, R.C.; Leverkus, M. Galli-Galli disease is an acantholytic variant of Dowling-Degos disease: Additional genetic evidence in a German family. J. Am. Acad. Dermatol. 2012, 66, e250–e251. [Google Scholar] [CrossRef]
- Wilson, N.J.; Cole, C.; Kroboth, K.; Hunter, W.N.; Mann, J.A.; McLean, W.H.I.; Kernland Lang, K.; Beltraminelli, H.; Sabroe, R.A.; Tiffin, N.; et al. Mutations in POGLUT1 in Galli–Galli/Dowling–Degos disease. Br. J. Dermatol. 2017, 176, 270–274. [Google Scholar] [CrossRef]
- Mehboob, M.Z.; Lang, M. Structure, function, and pathology of protein O-glucosyltransferases. Cell Death Dis. 2021, 12, 71. [Google Scholar] [CrossRef]
- Yu, H.; Takeuchi, H. Protein O-glucosylation: Another essential role of glucose in biology. Curr. Opin. Struct. Biol. 2019, 56, 64–71. [Google Scholar] [CrossRef]
- Li, Z.; Han, K.; Pak, J.E.; Satkunarajah, M.; Zhou, D.; Rini, J.M. Recognition of EGF-like domains by the Notch-modifying O-fucosyltransferase POFUT1. Nat. Chem. Biol. 2017, 13, 757–763. [Google Scholar] [CrossRef]
- Zhou, B.; Lin, W.; Long, Y.; Yang, Y.; Zhang, H.; Wu, K.; Chu, Q. Notch signaling pathway: Architecture, disease, and therapeutics. Signal Transduct. Target. Ther. 2022, 7, 95. [Google Scholar] [CrossRef]
- Kono, M.; Sawada, M.; Nakazawa, Y.; Ogi, T.; Muro, Y.; Akiyama, M. A Japanese case of galli-galli disease due to a previously unreported POGLUT1 mutation. Acta Derm. Venereol. 2019, 99, 458–459. [Google Scholar] [CrossRef]
- Seitz, A.T.; Sterz, H.; Strehlow, V.; Nagel, S.; Dumann, K.; Grunewald, S.; Simon, J.C.; Kunz, M. Full ablative versus fractional ablative laser therapy for Dowling–Degos disease. Lasers Surg. Med. 2018, 51, 321–324. [Google Scholar] [CrossRef]
- Bagaria, J.; Bagyinszky, E.; An, S.S.A. Genetics, Functions, and Clinical Impact of Presenilin-1 (PSEN1) Gene. Int. J. Mol. Sci. 2022, 23, 10970. [Google Scholar] [CrossRef]
- Pavlovsky, M.; Sarig, O.; Eskin-Schwartz, M.; Malchin, N.; Bochner, R.; Mohamad, J.; Gat, A.; Peled, A.; Hafner, A.; Sprecher, E. A phenotype combining hidradenitis suppurativa with Dowling–Degos disease caused by a founder mutation in PSENEN. Br. J. Dermatol. 2018, 178, 502–508. [Google Scholar] [CrossRef]
- Del Mar, M.; González, M.; Sayed, C.; Phadke, P. Hidradenitis Suppurativa Associated with Galli-Galli Disease: Extending the link with Dowling-Degos Disease. JCAD J. Clin. Aesthetic Dermatol. 2020, 13, 46–47. [Google Scholar]
- Wang, Z.; Yan, Y.; Wang, B. γ-Secretase Genetics of Hidradenitis Suppurativa: A Systematic Literature Review. Genet. Artic. Dermatol. 2021, 237, 698–704. [Google Scholar] [CrossRef]
- Wang, B.; Yang, W.; Wen, W.; Sun, J.; Su, B.; Liu, B.; Ma, D.; Lv, D.; Wen, Y.; Qu, T.; et al. γ-Secretase Gene Mutations in Familial Acne Inversa. Science 2010, 330, 1065. [Google Scholar] [CrossRef]
- Zhou, C.; Wen, G.D.; Soe, L.M.; Xu, H.J.; Du, J.; Zhang, J.Z. Novel mutations in PSENEN gene in two Chinese acne inversa families manifested as familial multiple comedones and dowling-degos disease. Chin. Med. J. 2016, 129, 2834–2839. [Google Scholar] [CrossRef]
- Ralser, D.J.; Basmanav, F.B.; Tafazzoli, A.; Wititsuwannakul, J.; Delker, S.; Danda, S.; Thiele, H.; Wolf, S.; Busch, M.; Pulimood, S.A.; et al. Mutations in γ-secretase subunit-encoding PSENEN underlie Dowling-Degos disease associated with acne inversa. J. Clin. Investig. 2017, 127, 1485–1490. [Google Scholar] [CrossRef]
- Weber, L.A.; Kantor, G.R.; Bergfeld, W.F. Reticulate Pigmented Anomaly of the Flexure (DDD): A case report associated with Hidradenitis Suppurativa and Squamous Cell Carcinoma. Cutis 1990, 45, 446–450. [Google Scholar]
- Pink, A.E.; Simpson, M.A.; Brice, G.W.; Smith, C.H.; Desai, N.; Mortimer, P.S.; Barker, J.N.W.N.; Trembath, R.C. PSENEN and NCSTN mutations in familial Hidradenitis suppurativa (Acne inversa). J. Investig. Dermatol. 2011, 131, 1568–1570. [Google Scholar] [CrossRef]
- Peter, D.C.V.; Smith, F.J.D.; Wilson, N.J.; Danda, S. PSENEN Mutation in Coexistent Hidradenitis Suppurativa and Dowling-Degos Disease. Indian Dermatol. Online J. 2020, 12, 147–149. [Google Scholar] [CrossRef]
- Mittag, H.; Rupec, M.; Klingmuller, G. Der Morbus Galli-Galli―eine Entität? Eine klinische, histologische und elektronenmikroskopische Untersuchung. Aktuelle Dermatol. 1986, 12, 41–46. [Google Scholar]
- Cooper, S.M.; Dhittavat, J.; Millard, P.; Burge, S. Extensive Grovers-like eruption with lentiginous «freckling»: Report of two cases. Br. J. Derm. 2004, 150, 350–352. [Google Scholar] [CrossRef]
- Desai, C.; Virmani, N.; Sakhiya, J.; Khopkar, U. An uncommon presentation of Galli-Galli disease. Indian J. Dermatol. Venereol. Leprol. 2016, 82, 720–723. [Google Scholar] [CrossRef]
- Joshi, T.P.; Shaver, S.; Tschen, J. Exacerbation of Galli-Galli Disease Following Dialysis Treatment: A Case Report and Review of Aggravating Factors. Cureus 2021, 13, e15401. [Google Scholar] [CrossRef]
- Rutten, A.; Strauss, T. Galli-Galli disease: A further case report. Aktuelle Derm. 1995, 21, 255–257. [Google Scholar]
- De Deene, A.; Schulze, H. Morbus Galli-Galli:eine variante des morbus Darier? Z. Haut. Geschlechtskr. 1996, 71, 860–862. [Google Scholar]
- Müller, C.S.L.; Pföhler, C.; Tilgen, W. Changing a concept—Controversy on the confusing spectrum of the reticulate pigmented disorders of the skin. J. Cutan. Pathol. 2009, 36, 44–48. [Google Scholar] [CrossRef]
- Mota, R.; Reifenberger, J.; Hanneken, S.; Mühlenstädt, E. Klassische und atypische Präsentation des Morbus Galli-Galli. Hautarzt 2010, 61, 284–286. [Google Scholar] [CrossRef]
- Rongioletti, F.; Fausti, V.; Christana, K.; Montinari, M.; Parodi, A.; Fiocca, R. Atypical variant of Galli-Galli disease (Grover-like eruption with lentiginous freckling) in a liver transplant patient. Am. J. Dermatopathol. 2011, 33, 504–507. [Google Scholar] [CrossRef]
- Dupuy, E.; Alexanian, S.; Hsiao, J. Galli-Galli disease responsive to isotretinoin treatment. Int. J. Dermatol. 2018, 57, 1123–1124. [Google Scholar] [CrossRef]
- Venning, V.L.; Choi-Lombardi, S.; Wong, X.L.; Cheung, K.; Sebaratnam, D.F. A comparison of physical modalities in Galli–Galli disease: Erbium: YAG laser, Intense Pulsed Light and Electrofulguration. Australas. J. Dermatol. 2019, 60, 320–322. [Google Scholar] [CrossRef]
- Wu, Y.-H.; Lin, Y.-C. Generalized Dowling-Degos disease. J. Am. Acad. Dermatol. 2007, 57, 327–334. [Google Scholar] [CrossRef]
- García-Salces, I.; Hörndler, C.; Requena, L. Galli-Galli Disease Presenting as Lichenoid Papules in the Flexures. Actas Dermo-Sifiliográficas 2010, 101, 168–172. [Google Scholar] [CrossRef]
- Gomes, J.; Labareda, J.; Viana, I. Galli-Galli disease: A rare acantholytic variant of dowling-degos disease. Case Rep. Med. 2011, 2011, 703257. [Google Scholar] [CrossRef]
- Coelho de Sousa, V.; El-Shabrawi-Caelen, L.; Mendes-Bastos, P.; Oliveira, A. Reflectance confocal microscopy for the diagnosis of Galli-Galli disease. Int. J. Dermatol. 2017, 56, 1501–1504. [Google Scholar] [CrossRef]
- Paolino, G.; Donati, M.; Didona, D.; Panetta, C.; Donati, P. Galli-galli disease presenting as a lentigo-like eruption: A further clinical feature in the wide spectrum of reticulate pigment disorders. Acta Dermatovenerol. Croat. 2017, 25, 300–302. [Google Scholar]
- Happle, R. Mosaicism in Human Skin—Understanding the Patterns and Mechanisms. Arch. Dermatol. 1993, 129, 1460–1470. [Google Scholar] [CrossRef]
- Dhitavat, J.; Fairclough, R.J.; Hovnanian, A.; Burge, S.M. Calcium pumps and keratinocytes: Lessons from Darier’s disease and Hailey-Hailey disease. Br. J. Dermatol. 2004, 150, 821–828. [Google Scholar] [CrossRef]
- Georgescu, E.F.; Stănescu, L.; Popescu, C.F.; Comănescu, M.G.I. Dowling-Degos disease. Rom. J. Morphol. Embryol. 2010, 51, 181–185. [Google Scholar]
- Piccolo, V.; Corneli, P.; Russo, T.; Danielsson, M.; Zalaudek, I.; Argenziano, G. Classic Dowling Degos disease: A rare genodermatosis. Ital. J. Dermatol. Venereol. 2022, 156, 71–72. [Google Scholar] [CrossRef]
- Kumar, S.; Borisov, O.; Maj, C.; Ralser, D.J.; Humbatova, A.; Hanneken, S.; Schmieder, A.; Groß, J.; Maintz, L.; Heineke, A.; et al. Founder Variants in KRT5 and POGLUT1 Are Implicated in Dowling-Degos Disease. J. Investig. Dermatol. 2024, 144, 181–184. [Google Scholar] [CrossRef]
- Aldana, P.C.; Khachemoune, A. Grover disease: Review of subtypes with a focus on management options. Int. J. Dermatol. 2019, 59, 543–550. [Google Scholar] [CrossRef]
- Quirk, C.J.; Heenan, P.J. Grover’s disease: 34 years on. Australas. J. Dermatol. 2004, 45, 83–88. [Google Scholar] [CrossRef]
- Davis, M.D.P.; Dinneen, A.M.; Landa, N.; Gibson, L.E. Grover’s Disease: Clinicopathologic Review of 72 Cases. Mayo Clin. Proc. 1999, 74, 229–234. [Google Scholar] [CrossRef]
- Weaver, J.; Bergfeld, W.F. Grover Disease (Transient Acantholytic Dermatosis). Arch. Pathol. Lab. Med. 2009, 133, 1490–1494. [Google Scholar] [CrossRef]
- Bellinato, F.; Maurelli, M.; Gisondi, P.; Girolomoni, G. Clinical features and treatments of transient acantholytic dermatosis (Grover’s disease): A systematic review. JDDG J. Dtsch. Dermatol. Ges. 2020, 18, 826–833. [Google Scholar] [CrossRef]
- Chalet, M. Transient acantholytic dermatosis: A reevaluation. Arch. Dermatol. 1977, 113, 431–435. [Google Scholar] [CrossRef]
- Fernández-Figueras, M.T.; Puig, L.; Cannata, P.; Cuatrecases, M.; Quer, A.; Ferrándiz, C.; Ariza, A. Grover disease: A reappraisal of histopathological diagnostic criteria in 120 cases. Am. J. Dermatopathol. 2010, 32, 541–549. [Google Scholar] [CrossRef]
- Ackerman, A.B.; Brunhoeber, P. Further references of Galli-Galli disease. J. Am. Acad. Dermatol. 2008, 59, 531–532. [Google Scholar] [CrossRef]
- Seli, D.; Ellis, K.T.; Goldust, M.; Shah, K.; Hu, R.; Zhou, J.; McNiff, J.M.; Choate, K.A. Association of Somatic ATP2A2 Damaging Variants with Grover Disease. JAMA Dermatol. 2023, 159, 745–749. [Google Scholar] [CrossRef]
- Asahina, A.; Ishiko, A.; Saito, I.; Hasegawa, K.; Sawamura, D.; Nakano, H. Grover’s Disease Following Multiple Bilateral Blaschko Lines: A Rare Clinical Presentation with Genetic and Electron Microscopic Analyses. Dermatology 2012, 225, 183–187. [Google Scholar] [CrossRef]
- Rogner, D.F.; Lammer, J.; Zink, A.; Hamm, H. Darier and Hailey-Hailey disease: Update 2021. JDDG J. Dtsch. Dermatol. Ges. 2021, 19, 1478–1501. [Google Scholar] [CrossRef]
- Takagi, A.; Kamijo, M.; Ikeda, S. Darier disease. J. Dermatol. 2016, 43, 275–279. [Google Scholar] [CrossRef]
- Strausburg, M.; Linos, K.; Staser, K.; Mousdicas, N. Dowling-Degos disease co-presenting with Darier disease. Clin. Exp. Dermatol. 2015, 41, 410–412. [Google Scholar] [CrossRef]
- Ho, J.; Bhawan, J. Mimickers of classic acantholytic diseases. J. Dermatol. 2017, 44, 232–242. [Google Scholar] [CrossRef]
- Patel, T.S.; Herrera-Martinez, M. Darier Disease. Mayo Clin. Proc. 2021, 96, 688–689. [Google Scholar] [CrossRef]
- Sardana, K.; Goel, K.; Chugh, S. Reticulate pigmentary disorders. Indian J. Dermatol. Venereol. Leprol. 2013, 79, 17. [Google Scholar] [CrossRef]
- Halloran, P.F. Mechanism of action of the calcineurin inhibitors. Transplant. Proc. 2001, 33, 3067–3069. [Google Scholar] [CrossRef]
- Van, Y.-V.R.; Wald, G.; Lu, C.; Samadi, A.; Wright, M.; Lara, D.; Marano, A.; Otterburn, D.M. The Effect of Topical Tacrolimus on Pedicled Flap Survival. Ann. Plast. Surg. 2020, 85, S118–S121. [Google Scholar] [CrossRef]
- Buchman, A.L. Side Effects of Corticosteroid Therapy. J. Clin. Gastroenterol. 2001, 33, 289–294. [Google Scholar] [CrossRef] [PubMed]
- Beckenbach, L.; Baron, J.M.; Merk, H.F.; Löffler, H.; Amann, P.M. Retinoid treatment of skin diseases. Eur. J. Dermatol. 2015, 25, 384–391. [Google Scholar] [CrossRef]
- David, M.; Hodak, E.; Lowe, N.J. Adverse Effects of Retinoids. Med. Toxicol. 1988, 3, 273–288. [Google Scholar] [CrossRef] [PubMed]
- Sikora, M.; Rakowska, A.; Olszewska, M.; Rudnicka, L. The Use of Naltrexone in Dermatology. Current Evidence and Future Directions. Curr. Drug Targets 2019, 20, 1058–1067. [Google Scholar] [CrossRef] [PubMed]
- Jaros, J.; Lio, P. Low Dose Naltrexone in Dermatology. J. Drugs Dermatol. 2019, 18, 235–238. [Google Scholar]
- Lee, B.; Elston, D.M. The uses of naltrexone in dermatologic conditions. J. Am. Acad. Dermatol. 2019, 80, 1746–1752. [Google Scholar] [CrossRef]
- Harb, H.; Chatila, T.A. Mechanisms of Dupilumab. Clin. Exp. Allergy 2020, 50, 5–14. [Google Scholar] [CrossRef]
- Butler, D.C.; Kollhoff, A.; Berger, T. Treatment of Grover Disease with Dupilumab. JAMA Dermatol. 2021, 157, 353. [Google Scholar] [CrossRef]






| Author | Gender | Ethnicity | Onset Age | Age at Diagnosis | Clinical Presentation | Distribution | Family History | Itch | Triggering Factors | Treatment | Genetic Analysis |
|---|---|---|---|---|---|---|---|---|---|---|---|
| Bardach, et al (1982) [3] | M | Caucasian | 19 | 32 | Erythematous maculo-papules with reticular hyperpigmentation | flexural | y (younger brother) | y | Heat | N.S. | N.P. |
| M | Caucasian | 15 | 41 | Erythematous maculo-papules with reticular hyperpigmentation | flexural | y (older brother) | y | Heat, more frequent in summer | N.S. | N.P. | |
| Mittag, et al (1986) [42] | M | Caucasian | N.S. | 56 | Erythematous maculo-papules with reticular hyperpigmentation | flexural | y | y | Heat | N.S. | N.P. |
| M | Caucasian | N.S. | 51 | Erythematous maculo-papules with reticular hyperpigmentation | flexural | y | y | N.S. | N.S. | N.P. | |
| F | Caucasian | Puberty | 46 | Brown macules | flexural | y | y | Heat | N.S. | N.P. | |
| M | Caucasian | 15 | 17 | Brown macules | flexural | y | y | N.S. | N.S. | N.P. | |
| Rütten and Strauß (1995) [46] | M | Caucasian | 24 | 54 | Erythematous maculo-papules with reticular hyperpigmentation, comedo-like lesions on face | flexural | no | y | Heat | SC: no improvement; Acitretin 30 mg/day: slight improvement | N.P. |
| De Deene and Schulze (1996) [47] | F | Caucasian | 30 | 59 | Erythematous maculo-papules with reticular hyperpigmentation | flexural | no | y | N.S. | TC/ATB: no improvement | N.P. |
| Braun-Falco, Volgger et al. (2001) [2] | M | Caucasian | 49 | 53 | Erythematous maculo-papules with reticular hyperpigmentation | flexural | no | y | Tretinoin 0.03%/urea 12% | UVB phototherapy/heliotherapy: slight improvement of itching | N.P. |
| Dhitavat et al. (2004) [59] | F | Caucasian | N.S. | 42 | Brown macules and erythematous papules | disseminated | no | y | Heat/UV/Sweat | Emollients: improvement of itching | ATP2a2 unmutated/N.P. for KRT5 |
| F | Caucasian | 29 | 39 | Brown macules and erythematous papules | disseminated | no | y | Heat/UV/Sweat | Topical retinoids: no improvement | ATP2a2 unmutated/N.P. for KRT5 | |
| El Shabrawi-Caelen et al. (2007) [19] | F | Caucasian | 55 | 65 | Brown macules and erythematous papules | disseminated | no | y | Heat/UV/Sweat | TC/Retinoids: no improvement | N.P. |
| F | Caucasian | 54 | 67 | Brown macules and erythematous papules | disseminated | no | y | N.S. | TC/Retinoids/SC/UVB phototherapy: partial resolution | N.P. | |
| Wu YH et al. (2007) [53] | F | Asian | 8 | 30 | Numerous symmetrically distributed hypopigmented or erythematous macules and papules on the chest, abdomen, axilla, posterior limbs, perioral, comedo-like lesions in the perioral area | disseminated | y | N.S. | N.S. | KRT5 gene mutation not found | |
| M | Asian | childhood | 55 | Reticulated hyperpigmented macules and papules on his forehead, perioral area, chest, neck, elbow, and the back aspects of his forearm, axilla, hands, and feet, comedo-like lesions in the perioral area | flexural | y (father of the previous patient) | N.S. | N.S. | KRT5 gene mutation not found | ||
| M | Asian | 8 | 28 | Numerous symmetrically distributed hypopigmented or erythematous papules on the chest, abdomen, back, back aspects of the limbs, axilla, and perioral areas | disseminated | y (brother of the first patient) | N.S. | N.S. | KRT5 gene mutation not found | ||
| F | Asian | NA | 50 | Reticulated hyperpigmented macules and papules on his forehead, perioral area, chest, neck, elbow, and the back aspects of his forearm, axilla, hands, and feet, perioral | flexural | y (aunt of the first patient) | N.S. | N.S. | KRT5 gene mutation not found | ||
| F | Asian | NA | 26 | Reticulated hyperpigmented macules and papules on his forehead, perioral area, chest, neck, elbow, and the back aspects of his forearm, axilla, hands, and feet, perioral | flexural | y (cousin of the first patient) | N.S. | N.S. | KRT5 gene mutation not found | ||
| Sprecher et al. (2007) [20] | F | Arabian | 42 | 43 | Erythematous maculo-papules with reticular hyperpigmentation | flexural | y (father and sister) | y | N.S. | N.S. | KRT5 c.T2C |
| Gilchris T et al. (2008) [1] | M | Caucasian | 36 | 41 | Erythematous maculo-papules on neck, chest, back, proximal extremities with reticular hyperpigmentation in flexures | disseminated | no | y | Heat, summer | TC/SC/cyclosporin: improvement of itching but not of the lesions | N.P. |
| Müller CS et al. (2009) [48] | M | Caucasian | 40 | 41 | Erythematous maculo-papules with reticular hyperpigmentation | flexural | no | no | N.S. | N.S. | N.P. |
| M | Caucasian | 50 | 52 | Erythematous maculo-papules with reticular hyperpigmentation | flexural | y (father) | y | N.S. | TC: no improvement | N.P. | |
| M | Caucasian | 13 | 25 | Brown macules and erythematous papules, comedo-like lesions in the perioral area | flexural | y (mother and maternal grandmother) | y | N.S. | TC/SC: no improvement | N.P. | |
| F | Caucasian | 20 | 48 | Brown macules and erythematous papules | flexural | y | no | N.S. | N.S. | N.P. | |
| García-Salces et al. (2009) [54] | F | Latin American | 27 | 29 | Erythematous maculo-papules with reticular hyperpigmentation | flexural | no | y | Summer | N.S. | N.P. |
| Mota et al. (2010) [49] | F | Caucasian | 20 | 55 | Erythematous maculo-papules with reticular hyperpigmentation | flexural | y | y | Heat and sweating | Topical calcineurin inhibitors: effective at the beginning | N.P. |
| F | Caucasian | 56 | 58 | Brown macules and erythematous papules | disseminated | no | no | N.S. | TC: no improvement | N.P. | |
| Gomes et al. (2011) [55] | F | Caucasian | 52 | 67 | Brown macules and erythematous papules | disseminated | no | y | N.S. | Acitretin 25 mg/day and TC: slight temporary improvement | N.P. |
| Hanneken et al. (2011) [21] | M | Caucasian | 41 | 42 | Erythematous maculo-papules with reticular hyperpigmentation | flexural | y (father) | y | Sweat | N.S. | KRT5 c.418dupA |
| M | Caucasian | 42 | 45 | Erythematous maculo-papules with reticular hyperpigmentation | flexural | y (mother and sister) | y | Sweat/Mechanical stimuli | N.S. | KRT5 c.418dupA | |
| F | Caucasian | 32 | 47 | Erythematous maculo-papules with reticular hyperpigmentation | flexural | y (six relatives) | y | Heat/UV/Sweat/Mechanical stimuli. | N.S. | KRT5 c.418dupA | |
| F | Caucasian | 21 | 52 | Erythematous maculo-papules with reticular hyperpigmentation | flexural | y (relative of the third case) | y | Heat/UV/Sweat/Mechanical stimuli. | N.S. | KRT5 c.418dupA | |
| M | Caucasian | 15 | 25 | Erythematous maculo-papules with reticular hyperpigmentation | flexural | y (relative of the third case) | no | No factor | N.S. | KRT5 c.418dupA | |
| F | Caucasian | N.S. | 47 | Erythematous maculo-papules with reticular hyperpigmentation | flexural | y (relative of the third case) | y | No factor | N.S. | KRT5 c.418dupA | |
| F | Caucasian | 48 | 65 | Brown macules | disseminated | y (sister) | y | UV | N.S. | POGLUT1 | |
| F | Caucasian | 42 | 47 | Brown macules | disseminated | n | no | No factor | N.S. | POGLUT1 | |
| M | Caucasian | 18 | 61 | Brown macules | disseminated | y (father) | y | Heat/UV/Sweat/Mechanical stimuli. | N.S. | POGLUT1 | |
| F | Caucasian | 53 | 63 | Brown macules | disseminated | no | y | UV | N.S. | POGLUT1 | |
| F | Caucasian | 30–40 | 55 | Brown macules | disseminated | no | no | No factor | N.S. | POGLUT1 | |
| F | Caucasian | N.S. | 52 | Erythematous maculo-papules with reticular hyperpigmentation | flexural | no | y | No factor | N.S. | N.P. | |
| M | Caucasian | 36 | 46 | Erythematous maculo-papules with reticular hyperpigmentation | flexural | no | y | Heat/UV/Sweat/Mechanical stimuli. | N.S. | KRT5 c.418dupA | |
| F | Caucasian | 22 | 50 | Erythematous maculo-papules with reticular hyperpigmentation | flexural | y (father) | y | Heat | N.S. | KRT5 c.418dupA | |
| M | Caucasian | 24 | 54 | Erythematous maculo-papules with reticular hyperpigmentation | flexural | no | y | Heat/UV/Sweat | N.S. | KRT5 c.418dupA | |
| F | Caucasian | 48 | 58 | Brown macules | disseminated | no | y | Heat/UV/Sweat | N.S. | POGLUT1 | |
| M | Caucasian | 49 | 62 | Erythematous maculo-papules with reticular hyperpigmentation | flexural | no | y | Heat/Sweat | N.S. | KRT5 c.418dupA | |
| F | Caucasian | N.S. | 69 | Erythematous maculo-papules with reticular hyperpigmentation | flexural | no | y | Heat/Sweat | N.S. | KRT5 c.14C > A | |
| Rongioletti et al. (2011) [50] | M | Caucasian | 52 | 53 | Erythematous maculo-papules with reticular hyperpigmentation | disseminated | no | y | N.S. | TC/ATB topicals/Antihistamines: lesion resolution | N.P. |
| Voth et al. (2011) [22] | M | Caucasian | 63 | 68 | Erythematous maculo-papules with reticular hyperpigmentation | flexural | no | y | N.S. | Yag Las er Ablative: lesion resolution | KRT5 c.418dupA |
| Arnold et al. (2013) [23] | F | Caucasian | 40 | 44 | Brown erythematous macules with fine scales | segmental | no | no | N.S. | N.S. | KRT5 c.476C4T |
| Schmieder et al. (2012) [24] | F | Caucasian | 20 | 62 | Erythematous maculo-papules with reticular hyperpigmentation | flexural | y (mother and maternal grandmother) | y | Winter climate | N.S. | KRT5 c.418dupA |
| Reisenauer et al. (2014) [8] | F | Asioamericana | 28 | 48 | Erythematous maculo-papules with reticular hyperpigmentation, scattered hypopigmented macules, comedo-like lesions and pitted scarring on her face | flexural | no | y | Heat/Sweat/Tretinoin Cream | TS: no improvement; Topical retinoids: worsening | KRT5 c.38dupG |
| Verma et al. (2014) [9] | F | Indian | 15 | 57 | Erythematous maculo-papules and reticular hyperpigmentation in flexural areas, hyperpigmentation on extremities and face, and hypopigmented macules | flexural | y (son, daughter and granddaughter) | y | Heat/UV/Sweat | N.S. | KRT5 c.C10T |
| M | Indian | 15 | 32 | Erythematous maculo-papules and reticular hyperpigmentation in flexural areas, hyperpigmentation on extremities and face, and hypopigmented macules | flexural | y (he is the son of the first patient) | N.S. | N.S. | N.S. | KRT5 c.C10T | |
| F | Indian | 15 | 39 | Erythematous maculo-papules and reticular hyperpigmentation in flexural areas, hyperpigmentation on extremities and face, and hypopigmented macules | flexural | y (She is the daughter of the first patient) | y | Heat/UV/Sweat | N.S. | KRT5 c.C10T | |
| F | Indian | 15 | 19 | Erythematous maculo-papules and reticular hyperpigmentation in flexural areas, hyperpigmentation on extremities and face, and hypopigmented macules | flexural | y (She is the granddaughter of the first patient) | N.S. | N.S. | N.S. | KRT5 c.C10T | |
| Desai et al. (2016) [44] | F | Indian | Puberty | 55 | Erythematous maculo-papules with reticular hyperpigmentation | disseminated | y | y | Heat/Humidity | N.S. | N.P. |
| F | Indian | adolescence | 35 | asymptomatic, hyperpigmented macules localized to the face, neck and upper arms | disseminated | N.P. | |||||
| Coelho de Sousa V et al. (2017) [56] | F | Caucasian | 44 | 48 | Erythematous maculo-papules with reticular hyperpigmentation | disseminated | no | y | N.S. | N.S. | N.P. |
| Dupuy et al. (2018) [51] | F | Caucasian | 43 | 58 | Erythematous maculo-papules with reticular hyperpigmentation | disseminated | y (mother) | y | Heat | Acitretin: discontinued for side effects; Isotretinoin: improvement | N.P. |
| Paolino et al. (2017) [57] | M | Caucasian | 59 | 65 | Erythematous maculo-papules with reticular hyperpigmentation and lentigines | disseminated | no | N.S. | N.S. | TC/SC/Retinoids: ineffective Acitretin 25 mg/day: slight benefit | N.P. |
| Seitz et al. (2018) [31] | F | Caucasian | 27 | 37 | Erythematous macules and papules | cannot be determined | N.S. | y | UV/Sweat | SC/TS: no benefit; Er:Yag Laser: lesion resolution | POGLUT1 c.798-2A > C |
| Lőrincz et al. (2018) [18] | M | Caucasian | 44 | 74 | Erythematous maculo-papules with reticular hyperpigmentation | flexural | y (father, grandfather and two brothers) | N.S. | N.S. | Acitretin: improvement | KRT5 c.418dupA |
| Kono et al. (2019) [30] | F | Japanese | End of third decade | 50 | Brown macules | disseminated | y (mother) | y | N.S. | N.S. | POGLUT1 c.1013delTinsAAC |
| Yang A et al. (2019) [5] | M | N.S. | 85 | N.S. | Brown macules and erythematous papules | disseminated | no | y | Heat/UV/Sweat | TC/UVB: no improvement; Isotretinoin: slight improvement | KRT5 gene mutation not found |
| Deenen et al. (2019) [6] | M | Caucasian | 52 | 62 | Brown macules with reticular hyperpigmentation | flexural | N.S. | y | N.S. | TC/SC: no improvement; Alitretinoin 30mg/day: effective | N.P. |
| Venning et al. (2019) [52] | F | Caucasian | 20 | 40 | Erythematous macules and papules | flexural | no | y | N.S. | Er:YAG Laser: lesion resolution | N.P. |
| Rundle et al. (2020) [4] | F | Caucasian | 36 | 75 | Erythematous maculo-papules with reticular hyperpigmentation | disseminated | y (son) | y | N.S. | TC/SC: no improvement; Acitretin 25mg/day: improvement | POGLUT1 c.652 > T |
| Del Mar M et al. (2020) [34] | F | African | N.S. | 33 | Hyperpigmented macerated plaques (overlap with hidradenitis suppurativa) | flexural | N.S. | y | Triamcinolone 0.1% | Er:Yag laser: modest improvement | N.P. |
| Joshi et al. (2021) [45] | F | Caucasian | N.S. | 77 | Erythematous maculo-papules with reticular hyperpigmentation | disseminated | no | y | Heat/UV/Sweat/dialysis | SC: Slight improvement in itching. Patient refuses retinoids for side effects. | N.P. |
Disclaimer/Publisher’s Note: The statements, opinions and data contained in all publications are solely those of the individual author(s) and contributor(s) and not of MDPI and/or the editor(s). MDPI and/or the editor(s) disclaim responsibility for any injury to people or property resulting from any ideas, methods, instructions or products referred to in the content. |
© 2024 by the authors. Licensee MDPI, Basel, Switzerland. This article is an open access article distributed under the terms and conditions of the Creative Commons Attribution (CC BY) license (https://creativecommons.org/licenses/by/4.0/).
Share and Cite
Michelerio, A.; Greco, A.; Tomasini, D.; Tomasini, C. Galli–Galli Disease: A Comprehensive Literature Review. Dermatopathology 2024, 11, 79-100. https://doi.org/10.3390/dermatopathology11010008
Michelerio A, Greco A, Tomasini D, Tomasini C. Galli–Galli Disease: A Comprehensive Literature Review. Dermatopathology. 2024; 11(1):79-100. https://doi.org/10.3390/dermatopathology11010008
Chicago/Turabian StyleMichelerio, Andrea, Antonio Greco, Dario Tomasini, and Carlo Tomasini. 2024. "Galli–Galli Disease: A Comprehensive Literature Review" Dermatopathology 11, no. 1: 79-100. https://doi.org/10.3390/dermatopathology11010008
APA StyleMichelerio, A., Greco, A., Tomasini, D., & Tomasini, C. (2024). Galli–Galli Disease: A Comprehensive Literature Review. Dermatopathology, 11(1), 79-100. https://doi.org/10.3390/dermatopathology11010008

