Next Issue
Volume 10, 03
Previous Issue
Volume 9, 09
 
 
Germs is published by MDPI from Volume 15 Issue 4 (2025). Previous articles were published by another publisher in Open Access under a CC-BY (or CC-BY-NC-ND) licence, and they are hosted by MDPI on mdpi.com as a courtesy and upon agreement with the former publisher Infection Science Forum.

Germs, Volume 9, Issue 4 (12 2019) – 6 articles , Pages 171-210

  • Issues are regarded as officially published after their release is announced to the table of contents alert mailing list.
  • You may sign up for e-mail alerts to receive table of contents of newly released issues.
  • PDF is the official format for papers published in both, html and pdf forms. To view the papers in pdf format, click on the "PDF Full-text" link, and use the free Adobe Reader to open them.
Order results
Result details
Select all
Export citation of selected articles as:
13 pages, 814 KB  
Review
Consensus Statement on the Assessment of Comorbidities in People Living with HIV in Romania
by Anca Streinu-Cercel, Oana Săndulescu, Cătălina Poiană, Maria Dorobanţu, Gabriel Mircescu, Voichiţa Elena Lăzureanu, Irina-Magdalena Dumitru, Odette Chirilă, Adrian Streinu-Cercel and Extended Consensus Group
Germs 2019, 9(4), 198-210; https://doi.org/10.18683/germs.2019.1178 - 2 Dec 2019
Cited by 15 | Viewed by 307
Abstract
Introduction: The life expectancy of HIV-infected patients has been increased by highly effective therapies. People living with HIV (PLWH) in Romania are exposed to age-related comorbidities occurring earlier than in uninfected individuals. Multidisciplinary care is required to maintain the general health and quality [...] Read more.
Introduction: The life expectancy of HIV-infected patients has been increased by highly effective therapies. People living with HIV (PLWH) in Romania are exposed to age-related comorbidities occurring earlier than in uninfected individuals. Multidisciplinary care is required to maintain the general health and quality of life in these patients. Currently, the communication among different specialties needs to be enhanced and formalized. Methods: A panel consisting of 8 Romanian experts in infectious diseases, cardio-metabolic, bone, and kidney diseases and psychology met in May 2019 in Bucharest Romania to discuss the need to evaluate and monitor the most prevalent comorbidities in PLWH. The meeting resulted in practical guidance on the management of several non-infectious associated diseases. The algorithms were endorsed by the Society for Infectious Diseases and HIV/AIDS, Romania. Results: The consensus statement offers practical guidance on how to assess and monitor associated diseases in adult PLWH. The recommendations are grouped for each cluster of comorbidities and are based on international guidelines and clinical experience, including landmarks for referral of PLWH to cardiology, endocrinology, nephrology specialist or clinical psychologist for additional investigations and adequate treatment. Specific indications for diagnosis or treatment were beyond the scope of this consensus. Conclusions: Screening for associated diseases and adequate management are required to maintain the overall health status of PLWH. When implemented in clinical practice, the recommended algorithms should be used in addition to diagnosis and treatment guidelines and protocols. The infectious diseases specialist plays a key role in coordinating the overall treatment strategy and working within the multidisciplinary team. Full article
Show Figures

Figure 1

5 pages, 287 KB  
Case Report
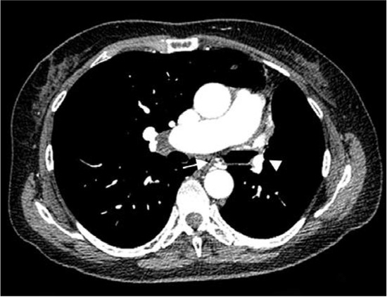
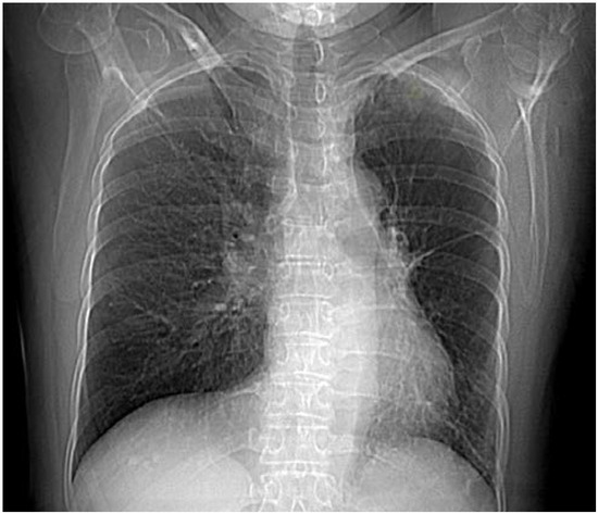
Hemoptysis. Is It Caused by Pasteurella multocida Infection or Congenital Pulmonary Artery Anomalies?
by Jelena Jankovic, Radomir Vesovic, Natasa Djurdjevic and Javorka Mitic
Germs 2019, 9(4), 193-197; https://doi.org/10.18683/germs.2019.1177 - 2 Dec 2019
Cited by 4 | Viewed by 169
Abstract
Introduction: Pasteurella multocida colonizes the oropharynx of various domestic and wild animals. In humans, respiratory tract P. multocida infection is the second most frequent localization and usually manifests as pneumonia. Unilateral absence of pulmonary artery (UAPA) is a very rare congenital anomaly. Adult [...] Read more.
Introduction: Pasteurella multocida colonizes the oropharynx of various domestic and wild animals. In humans, respiratory tract P. multocida infection is the second most frequent localization and usually manifests as pneumonia. Unilateral absence of pulmonary artery (UAPA) is a very rare congenital anomaly. Adult patients with UAPA are usually asymptomatic or their symptoms are nonspecific. Case report: We report a female patient with hemoptysis admitted to our clinic where we isolated P. multocida in sputum. The organism was also isolated from nasopharyngeal swab of her dog. During hospitalization, she was also diagnosed with UAPA and chronic obstructive pulmonary disease (COPD). Discussion: Respiratory P. multocida infection develops more commonly through contact with animal secretions. It occurs most often in immunocompromised patients and in individuals with comorbidities. Hemoptysis very rarely follows P. multocida infection while it is common in cases of UAPA due to existing developed collateral circulation especially in older patients. Conclusions: Ceased hemoptysis after adequate treatment and no recurrence of it over six years of following up the patient led us to conclude that the cause of hemoptysis was P. multocida infection and not UAPA which was more likely to be the case. Full article
Show Figures

Figure 1

5 pages, 253 KB  
Case Report
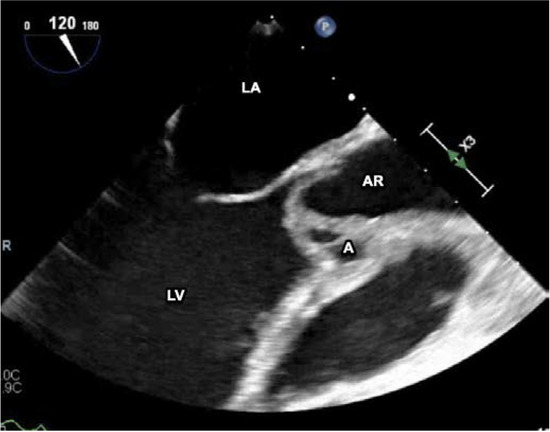
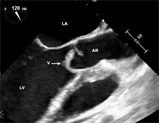
Endocarditis Due to Neisseria elongata: A Case Report and Review of the Literature
by Dima Youssef, Tariq S. Marroush, Miriam T. Levine and Mamta Sharma
Germs 2019, 9(4), 188-192; https://doi.org/10.18683/germs.2019.1176 - 2 Dec 2019
Cited by 10 | Viewed by 469
Abstract
Introduction: Neisseria elongata, which is part of the normal oropharyngeal bacterial flora, can be an aggressive organism causing serious infections including infective endocarditis. N. elongata infective endocarditis is rare and no current guidelines exist to direct antibiotic selection and/or duration of treatment. [...] Read more.
Introduction: Neisseria elongata, which is part of the normal oropharyngeal bacterial flora, can be an aggressive organism causing serious infections including infective endocarditis. N. elongata infective endocarditis is rare and no current guidelines exist to direct antibiotic selection and/or duration of treatment. Case report: We report a case of infective endocarditis due to N. elongata and a review of the literature. Our patient is a healthy young woman, who was found to have an aortic root abscess with valve perforation requiring valve replacement. Discussion: N. elongata infective endocarditis typically affects the left cardiac chambers and is associated with high risk of embolization. A transesophageal echocardiogram should be performed as part of the initial workup to assess the extent of infection, as a high percentage of patients develop perivalvular abscess formation and/or valve perforation. Most patients require prolonged antibiotic therapy and early surgical intervention. Conclusions: This case demonstrates the potential severity of N. elongata endocarditis. Further studies are needed to establish management guidance. Full article
Show Figures

Figure 1

6 pages, 463 KB  
Article
Inverse Association Between Helicobacter pylori Infection and Childhood Asthma in Greece: A Case-Control Study
by Christina Tsigalou, Theocharis G. Konstantinidis, Dimitrios Cassimos, Alexandros Karvelas, Anastasia Grapsa, Aggelos Tsalkidis, Maria Panopoulou and Athanasios Tsakris
Germs 2019, 9(4), 182-187; https://doi.org/10.18683/germs.2019.1174 - 2 Dec 2019
Cited by 18 | Viewed by 304
Abstract
Introduction: Helicobacter pylori infection is a well-established etiological factor for a variety of diseases such as peptic ulcer and gastric cancer. On the other hand, there is ongoing research suggesting that H. pylori might have a beneficial effect through a pivotal influence in [...] Read more.
Introduction: Helicobacter pylori infection is a well-established etiological factor for a variety of diseases such as peptic ulcer and gastric cancer. On the other hand, there is ongoing research suggesting that H. pylori might have a beneficial effect through a pivotal influence in the immunological response especially in asthma. The aim of the current case-control study was to evaluate the prevalence of H. pylori infection in asthmatic children. Methods: Twenty-seven children with exacerbation of persistent asthma, aged 8.6 ± 4.5 years (18 males, 9 females) and 54 age-sex-matched non-asthmatic controls were enrolled. Clinical examination and laboratory investigations were performed. Detection of H. pylori antigen (HpSA) in stool samples was performed by a commercial kit (bioNexia® kit, BioMérieux). Serum specific IgG antibodies were detected by a rapid chromatographic immunoassay (DIAsourceImmunoAssays). Serum IgE concentration was determined by electrochemiluminescence (ECL) (Roche Elecsys) and IgE levels ≥ 90 IU/mL were considered significantly elevated. Results: In 3 (11.1%) of the 27 asthmatic children H. pylori infection (based on both detection of HpSA and specific IgG-Abs) was established, whereas as many as 16 of the 54 (29.6%) non-asthmatic ones were found infected (odds ratio 0.1; 95%CI, 0.039–0.305, p = 0.026). Conclusions: Our findings reveal an inverse relationship between H. pylori infection and children's persistent asthma in Greece. Full article
Show Figures

Figure 1

10 pages, 438 KB  
Article
Phylogenetic and Pathotype Analysis of Escherichia coli Stool Isolates from Egyptian Patients with Inflammatory Bowel Disease
by Marwa Meheissen, Doaa Header and Khaled Abdelaty
Germs 2019, 9(4), 172-181; https://doi.org/10.18683/germs.2019.1173 - 2 Dec 2019
Cited by 5 | Viewed by 231
Abstract
Introduction: The role of Escherichia coli in the pathogenesis of inflammatory bowel disease (IBD) is still controversial. The study aimed to investigate the pathotypes and the phylogenetic groups of E. coli in Egyptian patients with IBD in an attempt to find an association [...] Read more.
Introduction: The role of Escherichia coli in the pathogenesis of inflammatory bowel disease (IBD) is still controversial. The study aimed to investigate the pathotypes and the phylogenetic groups of E. coli in Egyptian patients with IBD in an attempt to find an association between any type or group with the severity of the disease. Methods: Thirty ulcerative colitis (UC), 30 Crohn’s disease (CD), and 20 control subjects with normal colonoscopy were included in a cross-sectional study. E. coli were isolated from stool samples by culture. Eight intestinal virulence genes coding for diarrheagenic E. coli were investigated using multiplex PCR. Phylogenetic grouping was performed by a triplex PCR. Antimicrobial susceptibility of all isolates was done using disc diffusion method. Results: Enteroaggregative E. coli (EAEC) were identified in 25% (15/60) of IBD cases and in none of the controls (p=0.013). Out the 60 IBD cases, 30 (50%) were from phylogenetic group B2. No statistically significant differences in the distribution of E. coli phylogenetic groups were found between study groups. However, 80% of EAEC were assigned to group B2 and D. No statistically significant differences in calprotectin level or in disease severity scores were reported between the four phylogenetic groups. E. coli from both UC and CD patients showed a high rate of resistance to most antimicrobials when compared to the control group. Conclusions: The identification of EAEC belonging mainly to group B2 and D in IBD cases may indicate the importance of this pathotype in the pathogenesis of IBD in Egyptian patients. Full article
Show Figures

Figure 1

1 pages, 139 KB  
Editorial
Elimination of Viral Hepatitis: Are We Ready?
by Mojca Matičič
Germs 2019, 9(4), 171; https://doi.org/10.18683/germs.2019.1172 - 2 Dec 2019
Viewed by 114
Abstract
From 27 to 28 September 2019, Ljubljana hosted the ESCMID postgraduate educational course "Elimination of viral hepatitis: Are we ready?”. [...] Full article
Previous Issue
Next Issue
Back to TopTop