Next Issue
Volume 7, 12
Previous Issue
Volume 7, 06
 
 
Germs is published by MDPI from Volume 15 Issue 4 (2025). Previous articles were published by another publisher in Open Access under a CC-BY (or CC-BY-NC-ND) licence, and they are hosted by MDPI on mdpi.com as a courtesy and upon agreement with the former publisher Infection Science Forum.

Germs, Volume 7, Issue 3 (09 2017) – 7 articles , Pages 113-153

  • Issues are regarded as officially published after their release is announced to the table of contents alert mailing list.
  • You may sign up for e-mail alerts to receive table of contents of newly released issues.
  • PDF is the official format for papers published in both, html and pdf forms. To view the papers in pdf format, click on the "PDF Full-text" link, and use the free Adobe Reader to open them.
Order results
Result details
Select all
Export citation of selected articles as:
104 KB  
Communication
Comment on: “High Level Bacterial Contamination of Secondary School Students’ Mobile Phones”
by Beuy Joob and Viroj Wiwanitkit
Germs 2017, 7(3), 153; https://doi.org/10.18683/germs.2017.1121 - 1 Sep 2017
Cited by 2 | Viewed by 68
Abstract
Dear Editor [...] Full article
546 KB  
Case Report
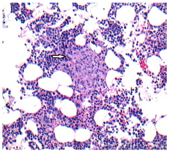
Hemophagocytic Lymphohistiocytosis (HLH): Elusive Diagnosis of Disseminated Mycobacterium avium Complex Infection
by Eloy E. Ordaya, Sulieman Abu Jarir, Robert Yoo and Pranatharthi H. Chandrasekar
Germs 2017, 7(3), 149-152; https://doi.org/10.18683/germs.2017.1120 - 1 Sep 2017
Cited by 4 | Viewed by 88
Abstract
Introduction: Hemophagocytic lymphohistiocytosis (HLH) is a clinical syndrome of hyperinflammation leading to an uncontrolled and ineffective immune response, associated with high mortality. Case report: A 26-year-old woman with acute lymphoblastic leukemia, 8 months in remission, was found to have HLH. Without any improvement, [...] Read more.
Introduction: Hemophagocytic lymphohistiocytosis (HLH) is a clinical syndrome of hyperinflammation leading to an uncontrolled and ineffective immune response, associated with high mortality. Case report: A 26-year-old woman with acute lymphoblastic leukemia, 8 months in remission, was found to have HLH. Without any improvement, stem cell transplantation was considered. Then, Mycobacterium avium complex (MAC) infection was identified as cause of her HLH. With appropriate therapy for infection, HLH improved and transplantation was averted. Conclusion: MAC should be included in the list of potential causes of HLH. Full article
Show Figures

Figure 1

356 KB  
Article
Evaluation of Clinicians’ Reporting Proficiency and Their Risk Perceptions of Ebola Virus Disease in Ebonyi State, Nigeria
by Nnennaya Anthony Ajayi, Chiedozie Kingsley Ojide, Immanuel Anthony Ajayi and Kingsley Nnanna Ukwaja
Germs 2017, 7(3), 140-148; https://doi.org/10.18683/germs.2017.1119 - 1 Sep 2017
Cited by 3 | Viewed by 66
Abstract
Introduction: Ebola virus disease (EVD) is a highly contagious infection with a high case fatality rate. Thus, there is a crucial need for early detection and reporting of any individual suspected to have EVD in order to facilitate containment strategies. The aim of [...] Read more.
Introduction: Ebola virus disease (EVD) is a highly contagious infection with a high case fatality rate. Thus, there is a crucial need for early detection and reporting of any individual suspected to have EVD in order to facilitate containment strategies. The aim of our study was to evaluate clinicians’ reporting proficiency and their risk perceptions of EVD in Ebonyi State, Nigeria. Methods: We performed a descriptive cross-sectional study conducted among clinicians. Consenting clinicians completed a structured questionnaire on the reporting of and their risk perceptions about EVD. Predictors of reporting proficiency and risk perceptions of EVD were identified using multivariable logistic regression analysis. Results: A total of 398 clinicians completed the survey, 312 (78.4%) were male. The average duration of the respondent’s clinical practice was 5.0, 8.0, and 8.9 years for those working in primary, secondary and tertiary hospitals, respectively. The overall mean ± SD knowledge score for proficiency in reporting was 4.4 ± 0.6 (out of a maximum of 5), and 380 (95.5%) of the respondents had a good knowledge of the modalities of reporting suspected EVD cases. The overall mean ± SD risk perception score was 5.6 ± 1.2 (out of a maximum of 10) and only 202 (50.8%) of the respondents had accurate risk estimates towards EVD control. Only male sex was a predictor of accurate risk perception of EVD (aOR 1.7, 95%CI: 1.1-2.9). Conclusion: There was a high level of knowledge of reporting modalities regarding EVD among the clinicians; however, only approximately half of them had accurate risk perception towards EVD. The gaps identified should inform post-EVD control strategies. Full article
365 KB  
Article
Antibiotic Resistance Patterns of Methicillin-Resistant Staphylococcus aureus (MRSA) Isolated from Livestock and Associated Farmers in Anuradhapura, Sri Lanka
by Jayaweera Arachchige Asela Sampath Jayaweera and Wikum Widuranga Kumbukgolla
Germs 2017, 7(3), 132-139; https://doi.org/10.18683/germs.2017.1118 - 1 Sep 2017
Cited by 35 | Viewed by 153
Abstract
Introduction: The animal husbandry comes to play an important role according to new economic reforms of the rural economy in South Asia including Sri Lanka, and the rural farming community has a poor knowledge about hygienic issues of animal husbandry, which can lead [...] Read more.
Introduction: The animal husbandry comes to play an important role according to new economic reforms of the rural economy in South Asia including Sri Lanka, and the rural farming community has a poor knowledge about hygienic issues of animal husbandry, which can lead to spread of pathogenic bacterial strains from animals to humans. Our study was conducted to evaluate methicillin susceptible Staphylococcus aureus (MRSA) colonization and its antimicrobial resistance pattern among livestock (n = 188) and related farmers (n = 94) in Anuradhapura District, Sri Lanka. Methods: S. aureus isolates were identified using mannitol salt agar, coagulase test and DNAase test. The agar plate dilution method was conducted to determine the minimum inhibitory concentration (MIC) of oxacillin against S. aureus. Antimicrobial susceptibility testing for other antibiotics was performed against MRSA isolates using antibiotic containing discs. To assess the MRSA transmission from livestock to humans, we have grouped MRSA strains according to antimicrobial susceptibility patterns against the tested antibiotics. Results: Among MRSA isolates, 14 different groups with similar MIC and antibiotic susceptibility patterns were identified. Of those, 2 groups amongst pigs and pig farmers showed a significant relationship (p = 0.031). The other groups did not show any significant relationship between animals and the farmers. The percentages of MRSA prevalence in pigs and pig farmers were 26.6% each, in poultry and poultry farmers 8.3% and 13.3% respectively, in cattle and cattle farmers 8.3% and 3%. Compared to human MRSA isolates, animal isolates were significantly more resistant to ciprofloxacin (p = 0.031), gentamicin (p = 0.010) and clindamycin (p = 0.011). Similarly, animal methicillin susceptible Staphylococcus aureus (MSSA) isolates were significantly more resistant to ciprofloxacin (p = 0.022) and doxycycline (p = 0.012). Conclusion: Pig farming showed a higher prevalence and 2.4 times higher risk (OR = 2.4, CI95%: 1.2-4.8) of likely transmission of MRSA between animals and humans than cattle and poultry farming. Overall, 65% of MRSA and MSSA animal isolates were multidrug resistant. Full article
412 KB  
Article
Multidrug and Co-Resistance Patterns of Non-Fermenting Gram-Negative Bacilli Involved in Ventilator-Associated Pneumonia Carrying Class 1 Integron in the North of Iran
by Masoumeh Bagheri-Nesami, Mohammad Sadegh Rezai, Fatemeh Ahangarkani, Alireza Rafiei, Attieh Nikkhah, Gohar Eslami, Kheironesa Shafahi, Azin Hajalibeig and Rezvan Khajavi
Germs 2017, 7(3), 123-131; https://doi.org/10.18683/germs.2017.1117 - 1 Sep 2017
Cited by 25 | Viewed by 92
Abstract
Introduction: Ventilator-associated pneumonia (VAP) due to non-fermenting Gram-negative bacilli (NFGNB), especially Pseudomonas aeruginosa and Acinetobacter spp., is one of the main hospital-acquired infections leading to mortality and morbidity, especially in intensive care units (ICUs). This study seeks to determine the multidrug and co-resistance [...] Read more.
Introduction: Ventilator-associated pneumonia (VAP) due to non-fermenting Gram-negative bacilli (NFGNB), especially Pseudomonas aeruginosa and Acinetobacter spp., is one of the main hospital-acquired infections leading to mortality and morbidity, especially in intensive care units (ICUs). This study seeks to determine the multidrug and co-resistance (MDR) patterns of NFGNB that are agents of VAP, and assess the presence of class 1 integron in these bacteria. Methods: This cross-sectional study involved VAP patients admitted in the ICUs of 18 hospitals in the Mazandaran province, located in the North of Iran. The antibiotic susceptibility pattern was determined by the minimum inhibitory concentration (MIC) test by using broth microdilution method. Presence of class 1 integron was evaluated by the polymerase chain reaction (PCR) assay. Results: Out of a total of 83 patients who were microbiologically diagnosed as VAP, 52 non-duplicated NFGNBs (24 P. aeruginosa and 28 A. baumannii) were causative of VAP, out of which MDR NFGNBs were responsible for 48 (57.83%) cases. The frequencies of MDR NFGNBs were as follows: 27 (56.25%) A. baumannii and 21 (43.75%) P. aeruginosa. P. aeruginosa isolates were resistant to all aminoglycoside antibiotics (50%), ciprofloxacin (45.8%), ceftazidime (70.8%), cefepime (87.5%), colistin (62.5%), and imipenem (29.2%). A. baumannii isolates were resistant to aminoglycosides (53.6%), ciprofloxacin (85.7%), ceftazidime (92. 9%), cefepime (92.9%), colistin (35.7%), and imipenem (57.1%). Twelve isolates were resistant to all 10 tested antibiotics. The number of rates of class 1 integron, positive for MDR P. aeruginosa and MDR A. baumannii, were 20 (95.23%) and 21 (77.78%), respectively. Conclusion: The high prevalence of multidrug resistance and incidence of class 1 integron is a therapeutic concern. Employing antibiotic stewardship in hospitals could prevent the dissemination of MDR bacteria. Full article
544 KB  
Article
Molecular Characterization of Antimicrobial Resistance in Clinical Shigella Isolates During 2014 and 2015: Trends in South India
by Shalini Anandan, Dhiviya Prabaa Muthuirulandi Sethuvel, Revathi Gajendiren, Valsan Philip Verghese, Kamini Walia and Balaji Veeraraghavan
Germs 2017, 7(3), 115-122; https://doi.org/10.18683/germs.2017.1116 - 1 Sep 2017
Cited by 18 | Viewed by 83
Abstract
Background: Shigella species are an important cause of acute diarrheal disease worldwide. This study describes the prevalence of Shigella spp. serotypes and their resistance profile in Vellore, South India from 2014 to 2015. Methods: From 2014 to 2015, 338 Shigella strains were isolated [...] Read more.
Background: Shigella species are an important cause of acute diarrheal disease worldwide. This study describes the prevalence of Shigella spp. serotypes and their resistance profile in Vellore, South India from 2014 to 2015. Methods: From 2014 to 2015, 338 Shigella strains were isolated from stool samples at Christian Medical College, Vellore, India. Identification and serotyping was carried out using standard protocols. Antimicrobial susceptibility testing was done against commonly used antibiotics. Multidrug resistance was detected in 157 isolates. A subset of 73 isolates was randomly characterized further for acquired antimicrobial resistance genes in this study. Results: The resistance profile of the study isolates varied by species and year. S. sonnei isolates were 100% resistant to all tested antibiotics in 2014, whereas in 2015, resistance was found for AMP-NAL-TAX-SXT-FIX. The resistance phenotypes among S. flexneri isolates for the year 2014 and 2015 were AMP-SXT-NAL-NOR-FIX-TAX and AMP-NAL-SXT-TAX-NOR-FIX respectively. Screening for antimicrobial resistance genes in S. flexneri found dhfr1A, sulII, blaOXA, blaTEM, blaCTX-M-1, qnrB, qnrS and AmpC genes while S. sonnei were found to have only dhfr1A, sulII, blaCTX-M-1 and qnrS genes respectively. Antimicrobial resistance genes were predominantly seen in AMP-SXT-NAL and AMP-SXT-NAL-NOR resistance phenotypes. Conclusion: Shigella prevalence of 4.8% to 4.6% was documented between the years 2014 to 2015 in this study. We show evidence that resistance to commonly used antibiotics continues to increase among Shigella spp. in South India. The presence of qnrS and blaCTX-M-15 in the study isolates further indicates the threat of spreading resistance to quinolones and third-generation cephalosporins. Full article
Show Figures

Figure 1

113 KB  
Editorial
2-Drug Regimens in HIV Treatment: Pharmacological Considerations
by David Back
Germs 2017, 7(3), 113-114; https://doi.org/10.18683/germs.2017.1115 - 1 Sep 2017
Cited by 24 | Viewed by 92
Abstract
Three-drug combination antiretroviral therapy (ART) based on two nucleos(t)ide reverse transcriptase inhibitors (N(t)RTIs) plus a third agent from another antiretroviral class has been the treatment paradigm that has resulted in life expectancy of HIV-infected subjects approaching that of the general population [...] Full article
Previous Issue
Next Issue
Back to TopTop