Next Issue
Volume 4, 09
Previous Issue
Volume 4, 03
 
 
GERMS is published by MDPI from Volume 15 Issue 4 (2025). Previous articles were published by another publisher in Open Access under a CC-BY (or CC-BY-NC-ND) licence, and they are hosted by MDPI on mdpi.com as a courtesy and upon agreement with the former publisher Infection Science Forum.

GERMS, Volume 4, Issue 2 (06 2014) – 4 articles

  • Issues are regarded as officially published after their release is announced to the table of contents alert mailing list.
  • You may sign up for e-mail alerts to receive table of contents of newly released issues.
  • PDF is the official format for papers published in both, html and pdf forms. To view the papers in pdf format, click on the "PDF Full-text" link, and use the free Adobe Reader to open them.
Order results
Result details
Select all
Export citation of selected articles as:
142 KB  
Opinion
Evaluation of Bacterial Internalization Using qRT-PCR
by Gabriela-Cornelia Horoșanu
GERMS 2014, 4(2), 46; https://doi.org/10.11599/germs.2014.1055 - 2 Jun 2014
Cited by 1 | Viewed by 38
Abstract
Bacterial resistance to antibiotics currently represents a topic of high interest. [...] Full article
270 KB  
Case Report
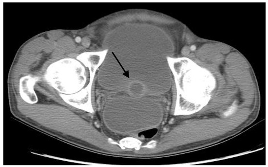
Tuberculous Prostate Abscesses in an Immunocompetent Patient: A Dramatic Presentation of Disseminated Tuberculosis
by Matthew G. Johnson, Caralee E. Caplan-Shaw and Michelle McMacken
GERMS 2014, 4(2), 41-45; https://doi.org/10.11599/germs.2014.1054 - 2 Jun 2014
Cited by 5 | Viewed by 27
Abstract
Genitourinary tuberculosis (TB) is infrequently reported in the United States, but is a common form of extrapulmonary TB that often goes unnoticed due to its insidious and sometimes asymptomatic presentation. Prostate involvement and the development of tuberculous prostatic abscesses have been reported in [...] Read more.
Genitourinary tuberculosis (TB) is infrequently reported in the United States, but is a common form of extrapulmonary TB that often goes unnoticed due to its insidious and sometimes asymptomatic presentation. Prostate involvement and the development of tuberculous prostatic abscesses have been reported in the literature largely in association with human immunodeficiency virus (HIV) infection and acquired immunodeficiency syndrome (AIDS). We report a case of disseminated TB involving tuberculous prostatic abscesses in a patient without HIV/AIDS, presenting with sepsis and urinary symptoms. This patient had simultaneous prostatic, peritoneal, pulmonary, and likely renal TB, serving as a reminder to clinicians that multi-organ presentations of TB do occur in patients without overt immunosuppressive conditions. This case also highlights the importance of considering the diagnosis of genitourinary TB in patients with risk factors for TB presenting with vague, long-standing urinary symptoms. Full article
Show Figures

Figure 1

814 KB  
Article
Hospital-Based Surveillance to Estimate the Burden of Rotavirus Gastroenteritis in Children Below Five Years of Age in Romania
by Ioana Alina Anca, Florentina Ligia Furtunescu, Doina Pleșca, Adrian Streinu-Cercel, Sorin Rugină and Katsiaryna Holl
GERMS 2014, 4(2), 30-40; https://doi.org/10.11599/germs.2014.1053 - 2 Jun 2014
Cited by 15 | Viewed by 54
Abstract
Introduction: Rotavirus (RV) is a leading cause of acute gastroenteritis (AGE), affecting 95% of children below five years of age. Methods: In this prospective, multi-center study, children below five years of age who were hospitalized or those who visited the emergency room (ER) [...] Read more.
Introduction: Rotavirus (RV) is a leading cause of acute gastroenteritis (AGE), affecting 95% of children below five years of age. Methods: In this prospective, multi-center study, children below five years of age who were hospitalized or those who visited the emergency room (ER) due to AGE or who developed AGE at least 48 hours after hospitalization (nosocomial infection) and had a RV-positive stool sample were included (n=1,222). RV-positive samples were genotyped by reverse-transcriptase polymerase chain reaction. Results: RV test results were available for 1,212 children (hospitalizations [n=677], ER visits [n=398] and nosocomial AGE cases [n=137]). Proportions of rotavirus gastroenteritis (RVGE) hospitalizations and ER visits were 51.70% (350/677; 95%CI: 47.86–55.52) and 36.18% (144/398; 95%CI: 31.45–41.12), respectively. Overall, 45.95% (494/1075) of all community-acquired AGE cases were due to RV. High numbers of RVGE cases were recorded between January and March. Most common genotypes were G9P[8] (34.27%) followed by G4P[8] (25.83%) and G1P[8] (23.02%). Of all community-acquired RVGE cases, the highest number of cases was observed in children aged 12–23 months. Median duration of hospitalization among RV-positive subjects was six days (range: 2–31 days). Incidence of nosocomial RVGE was 0.52 (95%CI: 0.45–0.60) cases per 1,000 child-days hospitalization. Median duration for additional hospitalization due to nosocomial RVGE was five days (range: 1–10). The highest burden of nosocomial RVGE was observed in children aged 12–23 months (42.34%, 58/137). Our findings confirm a high burden of acute RVGE disease in Romania and provide useful data to support the implementation of RV vaccination in Romania. Trial registration: NCT01253967 Full article
Show Figures

Figure 1

87 KB  
Editorial
Osteo-Renal Impairment in HIV Infection
by Anca Streinu-Cercel
GERMS 2014, 4(2), 29; https://doi.org/10.11599/germs.2014.1052 - 2 Jun 2014
Cited by 2 | Viewed by 25
Abstract
“An HIV-free generation” was the main focus of the XIX International AIDS conference held in Washington DC, USA, in July 2012. [...] Full article
Previous Issue
Next Issue
Back to TopTop