Abstract
Corticosterone (CORT)-induced oxidative stress and neurotoxicity can cause neuronal dysfunction and mental disorders. In the present study, we investigated the effects and mechanism of the HP-20 resin fraction of the water extract of Vaccinium bracteatum leaves (NET-D1602) and its bioactive compound p-coumaric acid on neuronal cell damage in SH-SY5Y cells and primary culture of rat cortical cells. NET-D1602 and p-coumaric acid significantly improved cell viability in CORT-induced neurotoxicity in SH-SY5Y cells and primary cultures of rat cortical cells, and increased the activities of antioxidant enzymes (superoxide dismutase and catalase) against CORT-induced neurotoxicity in SH-SY5Y cells. NET-D1602 and p-coumaric acid increased the phosphorylation levels of ERK1/2 and cAMP response element-binding protein (CREB) in cortical neurons. In addition, CREB phosphorylation by NET-D1602 and p-coumaric acid was dramatically reversed by PKA, c-Raf/ERK, PI3K, and mTOR inhibitors. Lastly, we demonstrated the neuroprotective effects of NET-D1602 (3 and 10 μg/mL) and p-coumaric acid (3 and 10 μM) via increased CREB phosphorylation in CORT-induced neurotoxicity mediated via the ERK1/2, Akt, and mTOR pathways. These results suggest that p-coumaric acid is a potential neuroprotective component of NET-D1602, with the ability to protect against CORT-induced neurotoxicity by regulating ERK1/2, Akt, and mTOR-mediated CREB phosphorylation.
1. Introduction
Population aging contributes to increasing neurological diseases associated with age, which increases the incidence of Alzheimer’s disease, Parkinson’s disease, and major depressive disorder (MDD) [1]. The pathophysiological mechanisms of neurological diseases are still not completely understood; however, oxidative stress injury and excitotoxicity are considered to promote neuronal damage [2].
Corticosterone (CORT) is a steroid hormone produced in the cortex of the adrenal glands that activates endogenous glucocorticoid receptors (GRs) under chronic stress conditions, leading to induces hypothalamic–pituitary–adrenal (HPA) axis dysfunction, which contributes to the development of MDD [3]. CORT exacerbates stress-induced excitotoxicity and oxidative stress, which induce cell death [4]. CORT triggers the reduction of phosphatidylinositol 3-kinase (PI3K)/protein kinase B (Akt), extracellular signal-regulated kinases 1/2 (ERK1/2), and cyclic AMP-responsive element-binding protein (CREB) pathways [5]. CREB transcription factors play a key role in the regulation of neuronal cells and neurogenesis [6].
The phenolic compound p-Coumaric acid has been demonstrated to possess antifungal, antiviral, antidiabetic, antimelanogenic, anticancer, antioxidant, and anti-inflammatory activities [7]. Moreover, p-coumaric acid has been shown to exert neuroprotective effects against amyloid-beta peptide, scopolamine, and 5-S-cysteinyldopamine-induced neurotoxicity [8,9]. The leaves of Vaccinium bracteatum Thunb. are a source of traditional herbal medicines found in East Asia that have been reported to contribute to various biological activities, such as antioxidant [10], anti-inflammatory [11], antimicrobial [12], retina protection [13], and antidiabetic [14] activities. However, the effects of a single compound, such as p-coumaric acid, isolated from Vaccinium bracteatum extract on stress-related neuroprotection have not been investigated. In our previous study, we demonstrated that water extracts of V. bracteatum leaves exhibit antidepressant activity and improve memory by regulating HPA axis dysfunction and acetylcholinesterase (AChE) activity, N-methyl-D-aspartate (NMDA) receptors, and Tau phosphorylation in mice exposed to chronic restraint stress [15,16].
Therefore, in this study, we removed sugar and its derivatives from the water extract of V. bracteatum leaves, using an HP-20 resin, which is a method for determining the best separation and purification of unknown organic compounds. We examined the underlying mechanisms of NET-D1602 and p-coumaric acid to protect SH-SY5Y and primary cultures of rat cortical cells against CORT-induced neurotoxicity. The results showed that NET-D1602 and p-coumaric acid effectively protected SH-SY5Y cells and primary cultured rat cortical neurons against CORT-induced neuronal damage, suggesting that they are possibly associated with antioxidant activity and CREB activation via the ERK, Akt, and mTOR pathways.
2. Materials and Methods
2.1. Materials
Minimum essential medium (MEM), fetal bovine serum (FBS), Hank’s balanced salt solution (HBSS), L-glutamic acid, L-glutamine, B-27, and neurobasal medium were purchased from Invitrogen Inc. (Grand Island, NY, USA). CORT, bovine serum albumin (BSA), 3-(4,5-dimethylthiazol-2-yl)-2,5-diphenyltetrazolium (MTT), 2-mercaptoethanol, superoxide dismutase (SOD) assay kit, formic acid, and p-coumaric acid (98% purity) were purchased from Sigma Chemical Co. (St. Louis, MO, USA). Methanol and water were supplied by JT Baker (Deventer, Holland). The catalase assay kit was purchased from BioVision Inc. (Milpitas, CA, USA). Wortmannin (681675), rapamycin (553210), H89 (371963), ZM336372 (692000), and PD98059 (513000) were purchased from Calbiochem (San Diego, CA, USA).
2.2. Preparation and Standardization of NET-D1602
The leaves of V. bracteatum Thunb. (specimen voucher number: JINR-VBL006) used in this study were collected from Goheung County, Jeollabukdo, Korea (34°36′41.2″ N, 127°17′22.1″ E), and the species was identified by the National Institute of Biological Resources (Incheon, Korea). Moreover, in our previous study, we identified complete chloroplast genomes of the Vaccinium genus (Ericaceae family) [17]. The crude extract of V. bracteatum leaves (2 kg) was prepared in 20 volumes of water, at 100 °C, for 3 h.
The analysis was performed by using a Waters series high-performance liquid chromatography (HPLC) system (e2695; Waters Corporation, 34 Maple Street Milford, MA, USA) equipped with a photodiode array detector (2998) and Triart-C18 column (250 mm × 4.6 mm, 5 μM, YMC, Kyoto, Japan). The detection wavelength was set at 310 nm for the 100% methanol HP-20 resin fraction, and the column thermostat was maintained at 35 °C.
Mobile phase A was methanol, and mobile phase B was water containing 0.1% formic acid, and the following elution profile was used: initial, 15% A; 5–10 min, 15–20% A; 10–15 min, 20–30% A; 15–30 min, 30–40% A; 30–37 min, 40–60% A; 37–40 min, 60–100% A; 40–45 min, 100% A; 45–50 min, 100–15% A; 50–55 min, 15% A. The flow rate and injection volume were set at 1.0 mL/min and 10 µL, respectively, and the concentration of p-coumaric acid was estimated.
2.3. SH-SY5Y Cell Cultures
The SH-SY5Y human neuroblastoma cell line was purchased from the American Type Culture Collection (ATCC, CRL-2266; Manassas, VA, USA) and cultured in MEM supplemented with 10% FBS, 100 U/mL penicillin, and 100 µg/mL streptomycin, at 37 °C, in a humidified atmosphere containing 5% CO2. We used undifferentiated SH-SY5Y neuroblastoma cells and treated with drugs in either the presence or absence of CORT with MEM medium without serum.
2.4. Primary Culture of Rat Cortical Cells
Primary cultures of rat cortical neurons were prepared by using a modified method as previously reported [18]. All experiments were approved by the Institutional Animal Care and Use Committee (IACUC) at Jeonnam Institute of Natural Resources Research (approval no. JINR-2004-2020). All animal experiments were conducted in accordance with the IACUC guidelines. Briefly, cortical tissue was isolated from E18–19 Sprague-Dawley rat embryos in HBSS without Ca2+ and Mg2+. The cortical tissue was mechanically fragmented, transferred to 0.25% trypsin, and incubated for 10 min, at 37 °C. Cells were washed twice in HBSS, without Ca2+ and Mg2+, and resuspended in neurobasal medium. Neurons were subsequently plated on poly L-lysine-coated 60 mm cell-culture dishes or 48-well plates. Cultures were maintained in neurobasal/1% B-27 medium supplemented with 0.5 mM L-glutamine, 25 µM L-glutamic acid, 25 µM 2-mercaptoethanol, 100 U/mL penicillin, and 100 μg/mL streptomycin, at 37 °C, in a humidified atmosphere containing 5% CO2. After 4 and 9 days of in vitro culturing, the medium was exchanged with neurobasal/1% B-27 medium supplemented with 0.5 mM L-glutamine and 25 µM 2-mercaptoethanol without L-glutamic acid. All experiments were performed by using cells cultured for 12–15 days in vitro.
2.5. MTT Assay
SH-SY5Y cells were seeded at a density of 1 × 105 cells/well in a 48-well culture plate for 24 h, while cortical neurons were placed in 48-well culture plates at a density of 5 × 105 cells/well. Stock solution of NET-D1602 and p-coumaric acid were prepared in dimethyl sulfoxide (DMSO) and then final percentage of DMSO was maintained less than 1%, in which the cytotoxicity of vehicle group could not be detected compared to the untreated group (control group; treated phosphate-buffered saline). The cells were then treated with various concentrations of NET-D1602 and p-coumaric acid for 24 h. To evaluate the neuroprotective effect of NET-D1602 and p-coumaric acid against CORT-induced cell injury, SH-SY5Y cells were treated with CORT (1 mM) for 24 h in the absence or presence of NET-D1602 and p-coumaric acid at the indicated concentrations 6 h prior to CORT treatment. The cortical neurons were treated with 100 and 500 µM CORT for 3, 12, 24, and 48 h. The culture medium for cortical neurons was briefly changed with neurobasal medium (supplemented with 0.5 mM L-glutamine and 25 µM 2-mercaptoethanol without L-glutamic acid and B-27) and pretreated with NET-D1602 and p-coumaric acid at the indicated concentrations for 6 h, followed by exposure to 100 µM CORT for 24 h. At the end of the treatment, MTT solution (5 mg/mL; 20 µL/well) was added to each well and incubated for 4 h. Subsequently, the supernatants were removed, and the formazan crystals were solubilized in 150 µL dimethyl sulfoxide. The optical density was determined at 540 nm. The cell viability rates were determined as a percentage relative to the viability of the untreated group.
2.6. Measurement of SOD and Catalase Activities
SH-SY5Y cells were seeded at a density of 2 × 105 cells/well in a 6-well plate and incubated for 24 h. The cells were pretreated with NET-D1602 (3 and 10 µg/mL) and p-coumaric acid (3 and 10 µM) for 6 h and incubated with CORT (1 mM) for 24 h. The activities of the antioxidant enzymes, SOD and catalase, were measured according to the manufacturer’s instructions. Briefly, for the SOD activity assay, the cells were suspended in ice-cold lysis buffer containing 0.1 M Tris HCl (pH 7.4), 0.5% Triton X-100, 5 mM 2-mercaptoethanol, and 0.1 mg/mL phenylmethylsulfonyl fluoride and centrifuged at 14,000× g, for 5 min, at 4 °C. The supernatants were collected, and the protein content was determined using the BCA protein assay reagent and used for assaying. For the catalase activity assay, the cells were suspended in ice-cold assay buffer (BioVision, Milpitas, CA, USA) and centrifuged at 10,000× g, for 15 min, at 4 °C. The supernatants were collected, and the protein content was determined using the BCA protein assay reagent and used for assaying.
2.7. Treatment of Drugs in Cultured Cells for Western Blotting
To evaluate ERK and CREB protein levels, cortical neurons were seeded at a density of 3 × 106 cells/well in a 60 mm cell culture dishes and washed with a serum-free neurobasal medium. After 2 h of serum starvation, the cells were treated with NET-D1602 (3 µg/mL) and p-coumaric acid (3 µM) for the indicated times (5, 15, 30, 60, and 120 min). To evaluate the effects of kinase inhibitors, the cells were pretreated with various inhibitors, including wortmannin (PI3K inhibitor, 200 nM; I-1), PD98059 (ERK inhibitor, 10 µM; I-2), rapamycin (mTOR inhibitor, 10 µM; I-3), H89 (PKA inhibitor, 10 µM; I-4), or ZM336372 (c-Raf inhibitor, 10 µM; I-5) for 2 h and exposed to NET-D1602 (3 µg/mL) or p-coumaric acid (3 µM) for 30 min. To test the effects of NET-D1602 or p-coumaric acid on ERK, Akt, and mTOR phosphorylation, cortical neurons were pretreated with NET-D1602 (1 and 3 µg/mL) or p-coumaric acid (1 and 3 µM) at the indicated concentrations for 15 min and exposed to CORT (100 µM) for 30 min (0.5 h). To evaluate CORT-induced cell damage in SH-SY5Y cells, cells were seeded at a density of 2 × 105 cells/well in a 60 mm cell culture dishes and pretreated with NET-D1602 (3 and 10 µg/mL) or p-coumaric acid (3 and 10 µM) for 24 h and then exposed to CORT (1 mM) for 20 min (ERK) or 12 h (Akt, mTOR, and CREB).
2.8. Nuclear and Cytoplasmic Fractionation and Whole Cell Lysates of Cultured Cells
Cells were washed with cold PBS, lysed with PRO-PREP™ protein extraction solution (iNtRON Biotechnology, Sungnam, Korea) on ice for 20 min, and centrifuged separately at 13,000× g for 5 min, at 4 °C. The supernatants (whole cell lysate) were collected and stored at −80 °C until assayed. The nuclear and cytoplasmic fractions were prepared in accordance with the manufacturer’s instructions (NE-PER™ Nuclear and Cytoplasmic Extraction Reagents; Thermo Fisher Scientific, Inc., Waltham, MA, USA). Nuclear and cytosolic lysates were separated and stored at −80 °C until assayed.
2.9. Western Blotting
Protein content was determined using the BCA protein assay reagent with BSA as the standard. The protein samples were mixed with a gel loading buffer (4× NuPAGE LDS Sample Buffer, Thermo Scientific, Inc., Waltham, MA, USA) containing 10% 2-mercaptoethanol (Bio-Rad Laboratories, Hercules, CA, USA) at a ratio of 4:1 and heated to 100 °C for 5 min. The Equal protein quantities were electrophoresed on 10% sodium dodecyl sulfate–polyacrylamide gels with equal amounts of proteins (40 µg/20 µL/lane), using a Power Pac Basic electrophoresis apparatus (Bio-Rad Laboratories, Hercules, CA, USA) at 100 V. The protein samples were transferred to polyvinylidene difluoride membranes (0.45 mm pore size, Thermo Scientific, Inc., Waltham, MA, USA) at 80 V for 2 h. Subsequently, the membranes were blocked with blocking solution (1 × Tris-buffered saline (TBS) containing 0.2% Tween-20 and 5% skim milk) for 1 h, at room temperature (RT), and washed three times with washing solution (1 × TBS containing 0.2% Tween-20). The membranes were incubated with specific primary antibodies against the protein of interest (Supplementary Materials Table S1) in 5% skim milk, overnight, at 4 °C. The membranes were subsequently washed five times and incubated with diluted HRP-conjugated anti-rabbit IgG secondary antibodies (Supplementary Materials Table S1) for 1 h, at RT. Detection was performed by using a chemiluminescent Western blot detection kit (Thermo Scientific, Inc., Waltham, MA, USA) in accordance with the manufacturer’s instructions, and band images were photographed by using a ChemiDoc™ MP Imaging system (Bio-Rad, Hercules, CA, USA).
2.10. Statistical Analysis
Data are presented as mean ± standard error of the mean (SEM). The experiment was conducted in technical triplicates and three biological replicates. Data were analyzed for statistical significance, using Student’s t-test or one-way analysis of variance (ANOVA), using the GraphPad Prism version 5.00 for Windows (GraphPad software, San Diego, CA, USA). The differences between the groups were assessed by using Duncan’s multiple range test. Statistical significance was set at p < 0.05.
3. Results
3.1. Detection of Neuroprotection and HPLC Analysis
The yield of the extract from V. bracteatum leaves was 27%, and neuroprotection was detected in the 100% methanol fraction. HPLC analysis revealed that the concentration of p-coumaric acid in the 100% methanol HP-20 resin fraction was approximately 49.28 ± 0.07 mg/g (Figure 1).

Figure 1.
High-performance liquid chromatography chromatogram for (a) standardization of NET-D1602 and (b) chemical structure of p-coumaric acid.
3.2. Effects of NET-D1602 and p-Coumaric Acid on CORT-Induced Neurotoxicity in SH-SY5Y Cells and Primary Cultured Rat Cortical Neurons
To investigate the protective effects of NET-D1602 and p-coumaric acid on CORT-induced neurotoxicity, we measured cell viability by using MTT assay. The results showed that 1, 3, and 10 μg/mL NET-D1602 and 1, 3, and 10 μM p-coumaric acid did not alter the viability of SH-SY5Y cells (p > 0.05) (Figure 2a). Consistent with our previous studies, the viability of SH-SY5Y cells exposed to 1 mM CORT was significantly reduced to approximately 40%. As shown in Figure 2b, 3 and 10 μg/mL NET-D1602 (p < 0.05) and 3 and 10 μM p-coumaric acid (p < 0.05 and p < 0.01, respectively) significantly protected the cells against CORT-induced neurotoxicity.
Figure 2.
Effects of NET-D1602 and p-coumaric acid on the viability of CORT-induced SH-SY5Y cells. (a) Treatment with various concentrations of NET-D1602 and p-coumaric acid for 24 h. (b) Pretreatment with NET-D1602 (1, 3, and 10 μg/mL) and p-coumaric acid (1, 3, and 10 μM) for 6 h and subsequent treatment with CORT (1 mM) for 24 h in the absence or presence of NET-D1602 and p-coumaric acid. The values are expressed as the mean ± standard error of the mean (n = 3). ### p < 0.001 compared to that of the untreated group; * p < 0.05 and ** p < 0.01 compared to that of the CORT group. CORT, corticosterone; NET-D1602, HP-20 resin fraction of the water extract of Vaccinium bracteatum leaves.
Moreover, we investigated the effects of NET-D1602 and p-coumaric acid on CORT-induced neurotoxicity in primary cultured rat cortical cells. As shown in Figure 3a, cortical neurons were treated with various concentrations of NET-D1602 and p-coumaric acid. The results showed that 0.01–3 μg/mL NET-D1602 (except 10 μg/mL) and 0.03–30 μM p-coumaric acid did not alter the viability of cortical neurons (p > 0.05). As shown in Figure 3b, 100 μM CORT caused significant neurotoxicity in a time-dependent manner. In contrast, as shown in Figure 3c, NET-D1602 (1 and 3 μg/mL; p < 0.01, respectively) and p-coumaric acid (0.3–3 μM; p < 0.001) significantly protected the cortical neurons against CORT-induced neurotoxicity. These results indicate the potential of p-coumaric acid contained in NET-D1602 to protect SH-SY5Y cells and cortical neurons against CORT-induced neurotoxicity.
Figure 3.
Effects of NET-D1602 and p-coumaric acid on the viability of CORT-induced primary cultured rat cortical neurons. (a) Treatment with various concentrations of NET-D1602 and p-coumaric acid for 24 h. (b) Time course of cell viability after CORT treatment (100 and 500 μM). (c) Pretreatment with NET-D1602 (0.3, 1, and 3 μg/mL) and p-coumaric acid (0.3, 1, and 3 μM) for 6 h and subsequent treatment with CORT (100 μM) for 24 h in the absence or presence of NET-D1602 and p-coumaric acid. The values are expressed as the mean ± standard error of the mean (n = 3). # p < 0.05, ## p < 0.01, and ### p < 0.001 compared to that of the untreated group; ** p < 0.01, and *** p < 0.001 compared to that of the CORT group. CORT, corticosterone; NET-D1602, HP-20 resin fraction of the water extract of Vaccinium bracteatum leaves.
3.3. Effects of NET-D1602 and p-Coumaric Acid on the Activities of SOD and Catalase in CORT-Treated SH-SY5Y Cells
We investigated the effects of NET-D1602 and p-coumaric acid on the activities of antioxidant enzymes, such as SOD and catalase, in SH-SY5Y cells. As shown in Figure 4a, CORT (1 mM) reduced the activity of SOD to 92.30 ± 3.58 U/mg protein (p < 0.01 compared to that of the untreated control). In contrast, NET-D1602 (10 μg/mL) and p-coumaric acid (10 μM) significantly increased the activity of SOD to 314.96 ± 24.62 and 297.59 ± 20.50 U/mg protein, respectively (p < 0.05 compared to that of the CORT group, respectively). Similarly, the catalase activity was reduced in CORT-treated cells (0.08 ± 0.03 mU/mg protein; p < 0.01 compared to that of the untreated control); however, the presence of 3 and 10 μg/mL NET-D1602 and 3 and 10 μM p-coumaric acid significantly improved the activity of catalase to 0.52 ± 0.01 and 0.55 ± 0.01 mU/mg protein (p < 0.01 compared to that of the CORT group, respectively), and 0.52 ± 0.00 and 0.57 ± 0.01 mU/mg protein (p < 0.01 compared to that of the CORT group, respectively), respectively (Figure 4b). These results showed that NET-D1602 and p-coumaric acid led to an increase in the antioxidant activity reduced by CORT-induced neurotoxicity.
Figure 4.
Effects of NET-D1602 and p-coumaric acid on (a) SOD and (b) catalase activities against CORT-induced death in SH-SY5Y cells. SH-SY5Y cells were pretreated with the indicated concentrations of NET-D1602 and p-coumaric acid for 6 h and subsequently treated with CORT (1 mM) for 24 h. The values are expressed as the mean ± standard error of the mean (n = 3). ## p < 0.01 compared to that of the untreated group; * p < 0.05 and ** p < 0.01 compared to that of the CORT group. CORT, corticosterone; SOD, superoxide dismutase; NET-D1602, HP-20 resin fraction of the water extract of Vaccinium bracteatum leaves.
3.4. Effects of NET-D1602 and p-Coumaric Acid on the ERK/CREB Signaling in Primary Cultured Rat Cortical Neurons
To identify the signaling mechanisms involved in neuronal cell survival caused by NET-D1602 and p-coumaric acid, we investigated ERK1/2 and CREB phosphorylation. As shown in Figure 5a,b, the cultured cells exposed to NET-D1602 for 5–120 min resulted in a significant increase in ERK1/2 and CREB phosphorylation at 15–60 min. As shown in Figure 5a,c, p-coumaric acid treatment of cultured cells substantially increased the phosphorylation of CREB at 5–30 min and increased phosphorylation of ERK1/2 with the maximal effect at 30–60 min.
Figure 5.
Effects of NET-D1602 and p-coumaric acid on ERK1/2 and CREB phosphorylation in primary cultured rat cortical neurons. (a) Primary cultured cortical neurons were treated with NET-D1602 or p-coumaric acid for the indicated time periods, and cell lysates were analyzed by using Western blotting. (b,c) Quantitative analysis of ERK and CREB protein levels normalized against β-actin level. # p < 0.05, ## p < 0.01, and ### p < 0.001 compared to that of the untreated group. CREB, cyclic AMP-responsive element-binding protein; ERKs, extracellular signal-regulated kinases; NET-D1602, HP-20 resin fraction of the water extract of Vaccinium bracteatum leaves.
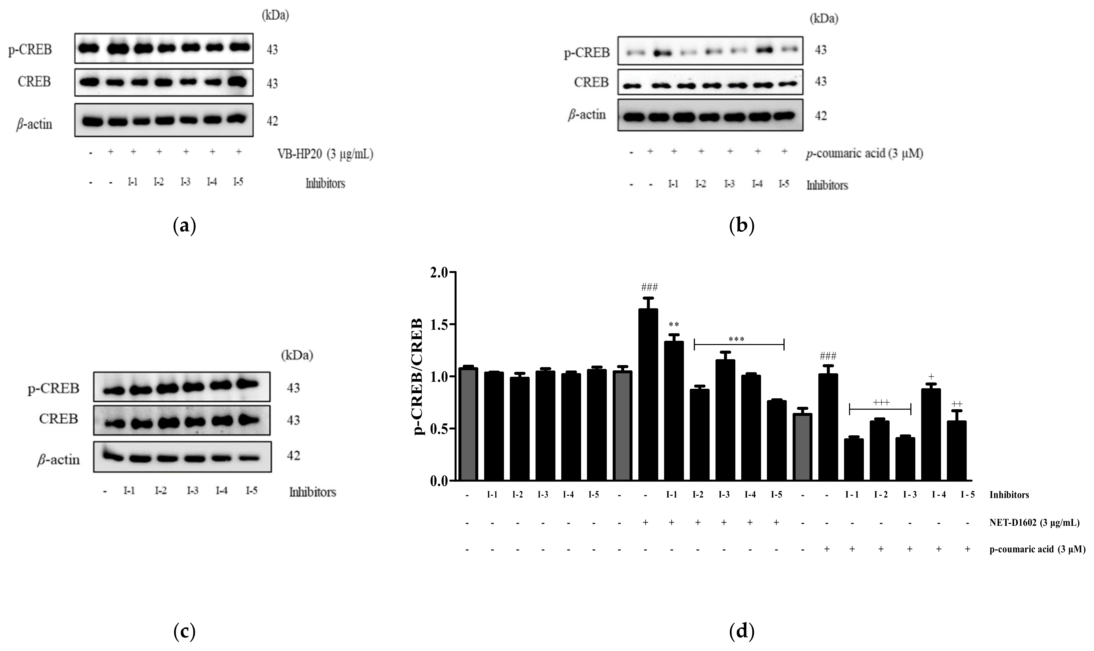
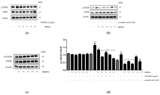
3.5. Effects of Kinase Inhibitors on the CREB Phosphorylation of NET-D1602 and p-Coumaric Acid in Primary Cultured Rat Cortical Neurons
To investigate whether PI3K/ERK/mTOR/PKA/c-Raf phosphorylates CREB, cortical neurons were pretreated with wortmannin (PI3K inhibitor), PD98059 (ERK inhibitor), rapamycin (mTOR inhibitor), H89 (PKA inhibitor), and ZM336372 (c-Raf inhibitor), respectively, for 2 h. Subsequently, NET-D1602 and p-coumaric acid were added and incubated for 30 min, and the cell lysates were analyzed by using Western blotting. As shown in Figure 6a,d, NET-D1602-induced CREB phosphorylation level was significantly inhibited by wortmannin (p < 0.01), PD98059 (p < 0.001), rapamycin (p < 0.001), H89 (p < 0.001), and ZM336372 (p < 0.001). As shown in Figure 6b,d, p-coumaric acid-induced CREB phosphorylation level was significantly inhibited by wortmannin (p < 0.001), PD98059 (p < 0.001), rapamycin (p < 0.001), H89 (p < 0.05), and ZM336372 (p < 0.01). As shown in Figure 6c,d, kinase inhibitors showed no increase in CREB phosphorylation level. These results indicated that NET-D1602 and p-coumaric acid induced CREB phosphorylation in cortical neurons through PKA, c-Raf/ERKs, and PI3K/mTOR.
Figure 6.
Effects of NET-D1602 and p-coumaric acid on CREB phosphorylation in primary cultured rat cortical neurons. Primary cultured cortical neurons were pretreated with kinase inhibitors for 2 h and subsequently treated with (a) NET-D1602 and (b) p-coumaric acid for 30 min, and cell lysates were analyzed by using Western blotting. (c) Primary cultured cortical neurons were treated with kinase inhibitors for 2 h. (d) Quantitative analysis of relative CREB phosphorylation level normalized to β-actin level. ### p < 0.001 compared to that of the untreated group; ** p < 0.01, and *** p < 0.001 compared to that of the NET-D1602 group; + p < 0.05, ++ p < 0.01, and +++ p < 0.001 compared to that of the p-coumaric acid group. CREB, cyclic AMP-responsive element-binding protein; I-1, wortmannin; I-2, PD98059; I-3, rapamycin; I-4, H89; I-5, ZM336372; NET-D1602, HP-20 resin fraction of the water extract of Vaccinium bracteatum leaves.
3.6. Effects of NET-D1602 and p-Coumaric Acid on ERK, Akt/mTOR, and CREB Phosphorylation in CORT-Induced Neurotoxicity
We investigated whether the effects of NET-D1602 and p-coumaric acid on the ERK/Akt/mTOR/CREB signaling pathways were related to CORT-induced neurotoxicity, using Western blotting. As shown in Figure 7a,d, CORT decreased the phosphorylation levels of ERKs (p < 0.01) and Akt (p < 0.001), which could be attenuated by NET-D1602 (3 or 10 μg/mL) and p-coumaric acid (3 or 10 μM). In addition, the obtained data indicated that the phosphorylated mTOR level (p < 0.001) was significantly decreased after treatment with CORT; however, it was increased in SH-SY5Y cells treated with NET-D1602 (10 μg/mL) and p-coumaric acid (3 or 10 μM). Moreover, cortical neurons exposed to CORT for 5 min–18 h resulted in a significant decrease in ERK phosphorylation level, with the maximal effect at 10 min (Supplementary Materials Figure S1). As shown in Figure 7b,e, the phosphorylation levels of ERKs (p < 0.001), Akt (p < 0.001), and mTOR (p < 0.01) in the CORT-treated primary cultured rat cortical neurons were significantly decreased, as compared to those in the untreated group. Treatment with NET-D1602 (3 or 10 μg/mL) and p-coumaric acid (3 or 10 μM) significantly protected cortical neurons from the CORT-induced reduction of ERK, Akt, and mTOR signaling pathways. In addition, we found that NET-D1602 and p-coumaric acid significantly increased the phosphorylation level of CREB in SH-SY5Y cells, as compared to that in the CORT group (Figure 7c,f). These results suggest that CREB phosphorylation by ERKs/Akt/mTOR plays an essential role in the neuroprotective effects of NET-D1602 and p-coumaric acid.

Figure 7.
Effects of NET-D1602 and p-coumaric acid on ERK, Akt, mTOR, and CREB phosphorylation of SH-SY5Y and primary cultured rat cortical neuron cells induced by CORT. (a) SH-SY5Y cells were pretreated with NET-D1602 or p-coumaric acid for 24 h, subsequently treated with CORT (1 mM), and analyzed by using Western blotting to determine the immunoreactive bands for p-ERKs/ERKs, p-Akt/Akt, p-mTOR/mTOR, β-actin, and (c) p-CREB/CREB. (b) Primary cultured cortical neurons were pretreated with NET-D1602 or p-coumaric acid for 15 min, exposed to CORT (100 µM) for 30 min, and analyzed by using Western blotting to determine the immunoreactive bands for p-ERKs/ERKs, p-Akt/Akt, p-mTOR/mTOR, and β-actin. (d–f) The quantitative analyses were expressed as relative changes from the levels of respective control. # p < 0.05, ## p < 0.01, and ### p < 0.001 compared to that of the untreated group; * p < 0.05, ** p < 0.01, and *** p < 0.001 compared to that of the CORT group. Akt, protein kinase B; CORT, corticosterone; CREB, cyclic AMP-responsive element-binding protein; ERK, extracellular signal-regulated kinases; NET-D1602, HP-20 resin fraction of the water extract of Vaccinium bracteatum leaves.
4. Discussion
High concentrations of glucocorticoids (e.g., CORT) can influence neuronal cell neurogenesis, which is involved in several brain diseases associated with stress, including major depressive and anxiety disorders [19]. High concentrations of CORT trigger neuronal damage via neurotoxicity and reduce neuronal plasticity. Thus, protection against neuronal damage commonly requires targets used for the development of various therapeutic mechanisms for mental disorders [20].
In our previous study, we demonstrated that the antidepressant effects of the water extract of V. bracteatum leaves were possibly mediated by the serotonin turnover systems, increased monoamine neurotransmitters, and prevention of HPA axis dysfunction in mice exposed to chronic restraint stress [15]. Recently, we reported that the water extract of V. bracteatum leaves improved memory by regulating AChE activity, NMDA receptors, and Tau phosphorylation in mice exposed to chronic restraint stress [16]. Our previous studies also reported that chlorogenic acid, neochlorogenic acid, cryptochlorogenic acid, orientin, and isoorientin were found in V. bracteatum leaf extracts [15,16]. In addition, Zhang et al. [21] reported seven compounds in the leaves of V. bracteatum, namely, isoorientin, orientin, vitexin, isovitexin, isoquercitrin, quercetin-3-O-α-L-rhamnoside, and chrysoeriol 7-O-β-D-glucopyranoside. However, the molecular mechanisms underlying the ability of a single compound isolated from V. bracteatum extract to modulate neurotoxicity is yet to be reported. Therefore, in the present study, we evaluated the neuroprotective effects of NET-D1602 and p-coumaric acid against CORT-induced neurotoxicity in SH-SY5Y cells and primary cultured rat cortical neurons and investigated the underlying mechanisms. Several studies have reported that CORT induces neurotoxicity via activation of the GR cascade in vitro model using undifferentiated neuroblastoma SH-SY5Y cells and cortical neurons [22,23], which is widely used as a cell model for the mental disorders. Generally, natural products are subjected to HP-20 resin fractionation, which removes large molecules, such as sugar and its derivatives, and increases the purity of the extracts. On the basis of these results, we identified that the protective effects of NET-D1602 and the water extract of V. bracteatum leaves did not differ in CORT-induced SH-SY5Y cells (data not shown), which suggested that sugar and its derivatives can affect not its function. In the present study, we found that NET-D1602 significantly reduced CORT-induced neurotoxicity in SH-SY5Y cells and primary cultured rat cortical neurons at concentrations of 3 and 10 μg/mL and 1 and 3 μg/mL, respectively.
Recently, some studies reported that p-coumaric acid exhibits antidepressant-like effects by increasing brain-derived neurotrophic factor level and reducing inflammatory cytokine and cycloxigenase-2 levels in animals injected with lipopolysaccharide [24]. In addition, p-coumaric acid has been reported to exhibit neuroprotective effects on cerebral ischemia and ischemia reperfusion (IR) via strong antioxidant and antiapoptotic activities and protection against injury induced by 5-S-cysteinyl-dopamine in vitro [8,25,26]. However, the stress-related biological effects of p-coumaric acid, such as on CORT-induced neurotoxicity, have not been reported. In the present study, we demonstrated that p-coumaric acid significantly reduced CORT-induced neurotoxicity in SH-SY5Y cells and primary cultured rat cortical neurons at concentrations of 3 and 10 μM and 0.3, 1, and 3 μM, respectively. In addition, we confirmed that NET-D1602 and p-coumaric acid increased the activities of antioxidant enzymes (SOD and catalase) in CORT-treated cells. Several studies have reported that antioxidants support neurogenesis, which is implicated in functional outcomes of mental diseases (e.g., neurodegenerative and depressive disorders) [27]. However, our results suggested that NET-D1602 and p-coumaric acid may be mediated by the action of antioxidant activity in CORT-treated cells; these mechanisms need to be studied further.
The transcription factor CREB is known to play crucial roles in the treatment of depression and has protective mechanisms [28]. Stress and depression disrupt the brain-derived neurotrophic factor (BDNF)/tropomyosin-related kinase B (TrkB) receptor signaling, including reduction of the CREB pathways in brain region such as the hippocampus and prefrontal cortex. Thus, several studies have reported that BDNF signaling plays a crucial role in neurogenesis and neuroplasticity [29]. St. John’s wort (Hypericum perforatum) is an herbal plant that has been used for the treatment of mental health conditions and is associated with the activation of the CREB mechanism [30]. CREB is activated by phosphorylated ERKs and other upstream kinases, such as PI3K-Akt, mTOR, PKA, and Raf [31]. In this study, we found that phosphorylation levels of ERKs and CREB by NET-D1602 and p-coumaric acid were significantly increased in primary cultured rat cortical neurons. To confirm whether upstream signaling pathways activate CREB, the effects of wortmannin (PI3K inhibitor), rapamycin (mTOR inhibitor), H89 (PKA inhibitor), ZM336372 (c-Raf inhibitor), and PD98059 (ERK inhibitor) were evaluated. The results showed that specific kinase inhibitors blocked NET-D1602- and p-coumaric acid-mediated CREB phosphorylation, indicating that activation of phosphorylated CREB by NET-D1602 and p-coumaric acid occurs through PKA, c-Raf/ERKs, and PI3K/mTOR. Furthermore, p-coumaric acid is widely found in plants and exhibits protective effects via the MAP kinase family and Nrf2 signaling [7,32]. Moreover, it was recently reported that p-coumaric acid prevents obesity in brown adipose tissue mediated by the mTORC1/RPS6 pathways [33]. Thus, CREB activation could play an important role in the protective effects of NET-D1602 and p-coumaric acid against CORT-induced neurotoxicity in both SH-SY5Y cells and cortical neurons.
Lastly, we examined whether NET-D1602 and p-coumaric acid mediated neuroprotection against CORT-induced neurotoxicity via the ERK, Akt, and mTOR pathways. Previous studies have suggested that the ERK and Akt signaling pathways play an important role in the regulation of psychiatric disorders [34]. Recently, preclinical and clinical studies have demonstrated that the activation of ERK and Akt, which are upstream of mTOR, constitutes a mechanism for depressive disorders [35]. The results of this study supported that NET-D1602 and p-coumaric acid significantly increased the phosphorylation level of CREB against CORT-induced neurotoxicity in SH-SY5Y cells. In addition, our results showed that NET-D1602 and p-coumaric acid significantly increased the phosphorylation levels of ERKs, Akt, and mTOR against CORT-induced neurotoxicity in both SH-SY5Y cells and cortical neurons. Collectively, these results suggest that NET-D1602 and p-coumaric acid could play a role in the reduction of CORT-induced neurotoxicity by upregulating ERK1/2, Akt, mTOR, and CREB phosphorylation levels. Thus, the results showed that p-coumaric acid contained in NET-D1602 may play a key role in the neuroprotective effects against CORT-induced neurotoxicity by activating the ERK, Akt, mTOR, and CREB pathways. However, further studies are required to determine the functional effects an in vivo animal model that are related anti-stress responses of p-coumaric acid.
5. Conclusions
Our present study demonstrated that NET-D1602 and p-coumaric acid effectively protect SH-SY5Y cells and primary cultured rat cortical neurons against CORT-induced neuronal damage, suggesting that they are possibly associated with antioxidant activity and CREB activation via the ERK, Akt, and mTOR pathways.
Supplementary Materials
The following are available online at https://www.mdpi.com/article/10.3390/pr9050869/s1. Figure S1: Corticosterone (CORT) decreases ERK phosphorylation in primary cultured rat cortical neurons. Table S1: Antibodies used for Western blotting.
Author Contributions
Conceptualization, C.C.; formal analysis, D.-R.O.; investigation, Y.K.; validation, M.-J.K. and E.-J.C.; project administration, H.-S.L. and D.B.; writing—original draft, D.-R.O.; writing—review and editing, D.B. and C.C. All authors have read and agreed to the published version of the manuscript.
Funding
This research was supported by the Bio and Medical Technology Development Program of the National Research Foundation (NRF) and funded by the Korean government (MSIT) (No. 2019M3A9I3084507).
Institutional Review Board Statement
All experiments were approved by the Institutional Animal Care and Use Committee (IACUC) at Jeonnam Institute of Natural Resources Research (approval No. JINR-2004-2020). All animal experiments were conducted in accordance with the IACUC guidelines.
Informed Consent Statement
Not applicable.
Data Availability Statement
Not applicable.
Conflicts of Interest
The authors declare no conflict of interest.
References
- Graham, S.H. Introduction to special issue: Neurovascular aging-A driving force for neurological dysfunction in stroke and neurodegenerative diseases. Ageing Res. Rev. 2017, 34, 1–2. [Google Scholar] [CrossRef] [PubMed]
- Prentice, H.; Modi, J.P.; Wu, J.Y. Mechanisms of Neuronal Protection against Excitotoxicity, Endoplasmic Reticulum Stress, and Mitochondrial Dysfunction in Stroke and Neurodegenerative Diseases. Oxid. Med. Cell. Longev. 2015, 2015, 964518. [Google Scholar] [CrossRef] [PubMed]
- Doolin, K.; Farrell, C.; Tozzi, L.; Harkin, A.; Frodl, T.; O’Keane, V. Diurnal hypothalamic-pituitary-adrenal axis measures and inflammatory marker correlates in major depressive disorder. Int. J. Mol. Sci. 2017, 18, 2226. [Google Scholar] [CrossRef] [PubMed]
- Abraham, I.M.; Meerlo, P.; Luiten, P.G. Concentration dependent actions of glucocorticoids on neuronal viability and survival. Dose Response A Publ. Int. Hormesis Soc. 2006, 4, 38–54. [Google Scholar] [CrossRef]
- Tomita, H.; Ziegler, M.E.; Kim, H.B.; Evans, S.J.; Choudary, P.V.; Li, J.Z.; Meng, F.; Dai, M.; Myers, R.M.; Neal, C.R.; et al. G protein-linked signaling pathways in bipolar and major depressive disorders. Front. Genet. 2013, 4, 297. [Google Scholar] [CrossRef]
- Dworkin, S.; Mantamadiotis, T. Targeting CREB signalling in neurogenesis. Expert Opin. Ther. Targets. 2010, 14, 869–879. [Google Scholar] [CrossRef]
- Ferreira, P.S.; Victorelli, F.D.; Fonseca-Santos, B.; Chorilli, M.A. Review of Analytical Methods for p-Coumaric Acid in Plant-Based Products, Beverages, and Biological Matrices. Crit. Rev. Anal. Chem. 2019, 49, 21–31. [Google Scholar] [CrossRef]
- Vauzour, D.; Corona, G.; Spencer, J.P. Caffeic acid, tyrosol and p-coumaric acid are potent inhibitors of 5-S-cysteinyl-dopamine induced neurotoxicity. Arch. Biochem. Biophys. 2010, 501, 106–111. [Google Scholar] [CrossRef]
- Kim, H.B.; Lee, S.; Hwang, E.S.; Maeng, S.; Park, J.H. p-Coumaric acid enhances long-term potentiation and recovers scopolamine-induced learning and memory impairments. Biochem. Biophy. Res. Commun. 2017, 492, 493–499. [Google Scholar] [CrossRef] [PubMed]
- Wang, L.; Xu, H.N.; Yao, H.; Zhang, H. Phenolic composition and radical scavenging capacity of Vaccinium bracteatum Thunb. Leaves. Int. J. Food Prop. 2011, 14, 721–725. [Google Scholar] [CrossRef]
- Kwon, S.H.; Ma, S.X.; Ko, Y.H.; Seo, J.Y.; Lee, B.R.; Lee, T.H.; Taek, H.L.; Sun, Y.K.; Seok-Yong, L.; Choon-Gon, J. Vaccinium bracteatum Thunb. exerts anti-inflammatory activity by inhibiting NF-κB activation in BV-2 microglial cells. Biomol. Ther. 2016, 24, 543–551. [Google Scholar] [CrossRef] [PubMed]
- Zheng, Y.; Chen, L.; Liu, Y.; Shi, L.; Wan, S.; Wang, L. Evaluation of antimicrobial activity of water-soluble flavonoids extract from Vaccinium bracteatum Thunb. leaves. Food Sci. Biotechnol. 2019, 28, 1853–1859. [Google Scholar] [CrossRef] [PubMed]
- Wang, L.; Zhang, X.T.; Yao, H.Y. The protective effect of Vaccinium bracteatum Thunb. leaves and the extract against light injury of retina. J. Xi’an Jiaotong Uni. 2006, 27, 284–287. [Google Scholar]
- Wang, L.; Zhang, Y.; Xu, M.; Wang, Y.; Cheng, S.; Liebrecht, A.; Haifeng, Q.; Hui, Z.; Xiguang, Q. Anti-diabetic activity of Vaccinium bracteatum Thunb. leaves’ polysaccharide in STZ-induced diabetic mice. Int. J. Biol. Macromol. 2013, 61, 317–321. [Google Scholar] [CrossRef]
- Oh, D.R.; Yoo, J.S.; Kim, Y.; Kang, H.; Lee, H.; Lm, S.J.; Choi, E.J.; Jung, M.A.; Bae, D.; Oh, K.N.; et al. Vaccinium bracteatum leaf extract reverses chronic restraint stress-induced depression-like behavior in mice: Regulation of hypothalamic-pituitary-adrenal axis, serotonin turnover systems, and ERK/Akt phosphorylation. Front. Pharmacol. 2018, 9, 604. [Google Scholar] [CrossRef]
- Oh, D.R.; Kim, Y.; Im, S.; Oh, K.N.; Shin, J.; Jeong, C.; Kim, Y.; Choi, E.J.; Choi, C. Vaccinium bracteatum improves spatial learning and memory by regulating N-methyl-D-aspartate receptors and Tau phosphorylation in chronic restraint stress-induced memory impaired mice. Am. J. Chin. Med. 2021, 49, 69–94. [Google Scholar] [CrossRef]
- Kim, Y.; Shin, J.; Oh, D.R.; Kim, D.W.; Lee, H.S.; Choi, C. Complete chloroplast genome sequences of Vaccinium bracteatum Thunb.,V. vitis-idaea L., and V. uliginosum L. (Ericaceae). Mitochondrial DNA Part B. 2020, 5, 1843–1844. [Google Scholar] [CrossRef]
- Kim, S.; Yun, H.M.; Baik, J.H.; Chung, K.C.; Nah, S.Y.; Rhim, H. Functional interaction of neuronal Cav1.3 L-type calcium channel with ryanodine receptor type 2 in the rat hippocampus. J. Biol. Chem. 2007, 282, 32877–32889. [Google Scholar] [CrossRef]
- Odaka, H.; Adachi, N.; Numakawa, T. Impact of glucocorticoid on neurogenesis. Neural Regen. Res. 2017, 12, 1028–1035. [Google Scholar] [CrossRef] [PubMed]
- Lima Giacobbo, B.; Doorduin, J.; Klein, H.C.; Dierckx, R.; Bromberg, E.; de Vries, E.F.J. Brain-derived neurotrophic factor in brain disorders: Focus on neuroinflammation. Mol. Neurobiol. 2019, 56, 3295–3312. [Google Scholar] [CrossRef] [PubMed]
- Zhang, J.; Chu, C.J.; Li, X.L.; Yao, S.; Yan, B.; Ren, H.L.; Xu, N.Y.; Liang, Z.T.; Zhao, Z.Z. Isolation and identification of antioxidant compounds in Vaccinium bracteatum Thunb. by UHPLC-Q-TOF LC/MS and their kidney damage protection. J. Funct. Foods. 2014, 11, 62–70. [Google Scholar] [CrossRef]
- Motta, J.; Jung, I.; Azzolin, V.; Teixeira, C.F.; Braun, L.E.; de Oliveira Nerys, D.A.; Motano, M.A.E.; Duarte, M.; Maia-Ribeiro, E.A.; da Cruz, I.D.; et al. Avocado oil (Persea americana) protects SH-SY5Y cells against cytotoxicity triggered by cortisol by the modulation of BDNF, oxidative stress, and apoptosis molecules. J. Food Biochem. 2021, 45. [Google Scholar] [CrossRef]
- Pusceddu, M.M.; Nolan, Y.M.; Green, H.F.; Robertson, R.C.; Stanton, C.; Kelly, P.; Cryan, J.F.; Dinan, T.G. The omega-3 polyunsaturated fatty acid docosahexaenoic acid (DHA) reverses corticosterone-induced changes in cortical neurons. Int. J. Neuropsychopharmacol. 2016, 19. [Google Scholar] [CrossRef] [PubMed]
- Lee, S.; Kim, H.B.; Hwang, E.S.; Kim, E.S.; Kim, S.S.; Jeon, T.D.; Song, M.C.; Lee, J.S.; Chung, M.C.; Maeng, S.; et al. Antidepressant-like effects of p-coumaric acid on LPS-induced depressive and inflammatory changes in rats. Exp. Neurobiol. 2018, 27, 189–199. [Google Scholar] [CrossRef]
- Sakamula, R.; Thong-Asa, W. Neuroprotective effect of p-coumaric acid in mice with cerebral ischemia reperfusion injuries. Metab. Brain Dis. 2018, 33, 765–773. [Google Scholar] [CrossRef]
- Guven, M.; Aras, A.B.; Akman, T.; Sen, H.M.; Ozkan, A.; Salis, O.; Sehitoglu, I.; Kalkan, Y.; Silan, C.; Deniz, M.; et al. Neuroprotective effect of p-coumaric acid in rat model of embolic cerebral ischemia. Iran. J. Basic Med. Sci. 2015, 18, 356–363. [Google Scholar] [PubMed]
- Velusamy, T.; Panneerselvam, A.S.; Purushottam, M.; Anusuyadevi, M.; Pal, P.K.; Jain, S.; Essa, M.M.; Guillemin, G.J.; Kandasamy, M. Protective effect of antioxidants on neuronal dysfunction and plasticity in Huntington’s disease. Oxid. Med. Cell. Longev. 2017, 2017, 3279061. [Google Scholar] [CrossRef]
- Blendy, J.A. The role of CREB in depression and antidepressant treatment. Biol. Psychiatry 2006, 59, 1144–1150. [Google Scholar] [CrossRef] [PubMed]
- Notaras, M.; Buuse, M. Neurobiology of BDNF in fear memory, sensitivity to stress, and stress-related disorders. Mol. Psychatry. 2020, 25, 2251–2274. [Google Scholar] [CrossRef]
- Gibon, J.; Deloulme, J.C.; Chevallier, T.; Ladeveze, E.; Abrous, D.N.; Bouron, A. The antidepressant hyperforin increases the phosphorylation of CREB and the expression of TrkB in a tissue-specific manner. Int. J. Neuropsychopharmacol. 2013, 16, 189–198. [Google Scholar] [CrossRef]
- Wang, H.; Xu, J.; Lazarovici, P.; Quirion, R.; Zheng, W. cAMP Response Element-Binding Protein (CREB): A possible signaling molecule link in the pathophysiology of schizophrenia. Front. Mol. Neurosci. 2018, 11, 255. [Google Scholar] [CrossRef]
- Sabitha, R.; Nishi, K.; Gunasekaran, V.P.; Agilan, B.; David, E.; Annamalai, G.; Vinothkumar, R.; Perumal, M.; Subbiah, L.; Ganeshan, M. p-Coumaric acid attenuates alcohol exposed hepatic injury through MAPKs, apoptosis and Nrf2 signaling in experimental models. Chem. Biol. Interact. 2020, 321, 109044. [Google Scholar] [CrossRef]
- Han, X.; Guo, J.; You, Y.; Zhan, J.; Huang, W. p-Coumaric acid prevents obesity via activating thermogenesis in brown adipose tissue mediated by mTORC1-RPS6. FASEB J. Off. Publ. Fed. Am. Soc. Exp. Biol. 2020, 34, 7810–7824. [Google Scholar] [CrossRef] [PubMed]
- Duman, R.S.; Voleti, B. Signaling pathways underlying the pathophysiology and treatment of depression: Novel mechanisms for rapid-acting agents. Trends. Neurosci. 2012, 35, 47–56. [Google Scholar] [CrossRef] [PubMed]
- Matsuda, S.; Ikeda, Y.; Murakami, M.; Nakagawa, Y.; Tsuji, A.; Kitagishi, Y. Roles of PI3K/AKT/GSK3 pathway involved in psychiatric illnesses. Diseases 2019, 7, 22. [Google Scholar] [CrossRef] [PubMed]
Publisher’s Note: MDPI stays neutral with regard to jurisdictional claims in published maps and institutional affiliations. |
© 2021 by the authors. Licensee MDPI, Basel, Switzerland. This article is an open access article distributed under the terms and conditions of the Creative Commons Attribution (CC BY) license (https://creativecommons.org/licenses/by/4.0/).








