Production of Trehalose from Maltose by Whole Cells of Permeabilized Recombinant Corynebacterium glutamicum
Abstract
1. Introduction
2. Materials and Methods
2.1. Microorganism and Cultivation Conditions
2.2. Construction of Plasmids and Strains
2.3. TreS Expression and Enzymatic Activity Assays
2.4. Cell Permeabilization and Production of Trehalose by Whole-Cell Biocatalysis
3. Results and Discussion
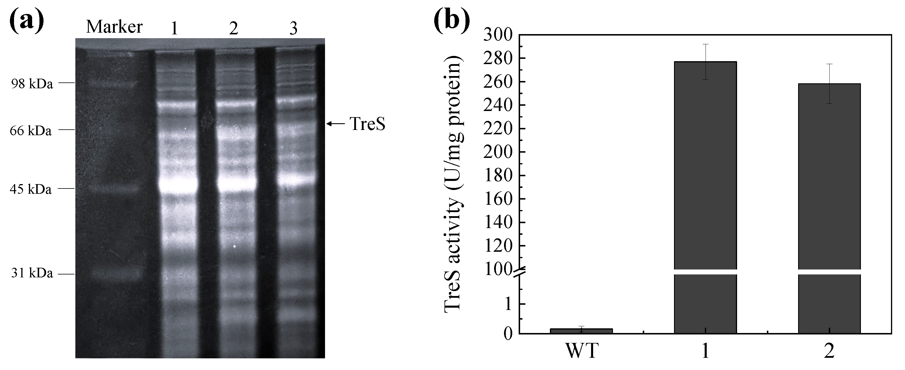
3.1. TreS Overexpression by Recombinant C. glutamicum
3.2. Cell Permeabilization of C. glutamicum/pXMJ19(-lacIq)-Cgtrs
3.3. Production of Trehalose by Whole-Cell Biocatalysis and Reusability of the Cell
4. Conclusions
Author Contributions
Funding
Data Availability Statement
Conflicts of Interest
References
- Cai, X.; Seitl, I.; Mu, W.; Zhang, T.; Stressler, T.; Fischer, L.; Jiang, B. Biotechnical production of trehalose through the trehalose synthase pathway: Current status and future prospects. Appl. Microbiol. Biotechnol. 2018, 102, 2965–2976. [Google Scholar] [CrossRef]
- Wang, J.; Ren, X.; Wang, R.; Su, J.; Wang, F. Structural characteristics and function of a new kind of thermostable trehalose synthase from Thermobaculum terrenum. J. Agric. Food Chem. 2017, 65, 7726–7735. [Google Scholar] [CrossRef] [PubMed]
- Liu, H.; Wang, S.; Song, L.; Yuan, H.; Liu, K.; Meng, W.; Wang, T. Trehalose production using recombinant trehalose synthase in Bacillus subtilis by integrating fermentation and biocatalysis. J. Agric. Food Chem. 2019, 67, 9314–9324. [Google Scholar] [CrossRef] [PubMed]
- Yan, X.; Zhu, L.; Yu, Y.; Xu, Q.; Huang, H.; Jiang, L. In-situ biocatalytic production of trehalose with autoinduction expression of trehalose synthase. J. Agric. Food Chem. 2018, 66, 1444–1451. [Google Scholar] [CrossRef] [PubMed]
- Zhu, L.; Shen, B.; Song, Z.; Jiang, L. Permeabilized TreS-expressing Bacillus subtilis cells decorated with glucose isomerase and a shell of ZIF-8 as a reusable biocatalyst for the coproduction of trehalose and fructose. J. Agric. Food Chem. 2020, 68, 4464–4472. [Google Scholar] [CrossRef] [PubMed]
- Kim, T.-K.; Jang, J.-H.; Cho, H.-Y.; Lee, H.-S.; Kim, Y.-W. Gene cloning and characterization of a trehalose synthase from Corynebacterium glutamicum ATCC13032. Food Sci. Biotechnol. 2010, 19, 565–569. [Google Scholar] [CrossRef]
- Liang, J.; Huang, R.; Huang, Y.; Wang, X.; Du, L.; Wei, Y. Cloning, expression, properties, and functional amino acid residues of new trehalose synthase from Thermomonospora curvata DSM 43183. J. Mol. Catal. B Enzym. 2013, 90, 26–32. [Google Scholar] [CrossRef]
- Gao, Y.; Xi, Y.; Lu, X.-L.; Zheng, H.; Hu, B.; Liu, X.-Y.; Jiao, B.-H. Cloning, expression and functional characterization of a novel trehalose synthase from marine Pseudomonas sp. P8005. World J. Microbiol. Biotechnol. 2013, 29, 2195–2206. [Google Scholar] [CrossRef]
- Li, Y.; Sun, X.; Feng, Y.; Yuan, Q. Cloning, expression and activity optimization of trehalose synthase from Thermus thermophilus HB27. Chem. Eng. Sci. 2015, 135, 323–329. [Google Scholar] [CrossRef]
- Liu, H.; Yang, S.; Liu, Q.; Wang, R.; Wang, T. A process for production of trehalose by recombinant trehalose synthase and its purification. Enzyme Microb. Technol. 2018, 113, 83–90. [Google Scholar] [CrossRef]
- Liu, H.; Wang, X.; Yang, S.; Wang, R.; Wang, T. Saturation mutagenesis and self-inducible expression of trehalose synthase in Bacillus subtilis. Biotechnol. Prog. 2019, 35, e2826. [Google Scholar] [CrossRef] [PubMed]
- Li, Y.; Ai, Y.; Zhang, J.; Fei, J.; Liu, B.; Wang, J.; Li, M.; Zhao, Q.; Song, J. A novel expression vector for Corynebacterium glutamicum with an auxotrophy complementation system. Plasmid 2020, 107, 102476. [Google Scholar] [CrossRef] [PubMed]
- Zhang, Y.; Shang, X.; Lai, S.; Zhang, G.; Liang, Y.; Wen, T. Development and application of an arabinose-inducible expression system by facilitating inducer uptake in Corynebacterium glutamicum. Appl. Environ. Microbiol. 2012, 78, 5831–5838. [Google Scholar] [CrossRef]
- Xu, D.; Tan, Y.; Shi, F.; Wang, X. An improved shuttle vector constructed for metabolic engineering research in Corynebacterium glutamicum. Plasmid 2010, 64, 85–91. [Google Scholar] [CrossRef]
- Zhang, L.; Jia, H.; Xu, D. Construction of a novel twin-arginine translocation (Tat)-dependent type expression vector for secretory production of heterologous proteins in Corynebacterium glutamicum. Plasmid 2015, 82, 50–55. [Google Scholar] [CrossRef] [PubMed]
- Sun, J.; Wang, S.; Li, W.; Li, R.; Chen, S.; Ri, H.; Kim, T.M.; Kang, M.S.; Sun, L.; Sun, X. Improvement of trehalose production by immobilized trehalose synthase from Thermus thermophilus HB27. Molecules 2018, 23, 1087. [Google Scholar] [CrossRef]
- Zheng, Z.; Xu, Y.; Sun, Y.; Mei, W.; Ouyang, J. Biocatalytic production of trehalose from maltose by using whole cells of permeabilized recombinant Escherichia coli. PLoS ONE 2015, 10, e0140477. [Google Scholar] [CrossRef]
- Kim, S.-A.; Shin, K.-C.; Oh, D.-K. Complete biotransformation of protopanaxadiol-type ginsenosides into 20-O-β-glucopyranosyl-20(S)-protopanaxadiol by permeabilized recombinant Escherichia coli cells coexpressing β-glucosidase and chaperone genes. J. Agric. Food Chem. 2019, 67, 8393–8401. [Google Scholar] [CrossRef]
- Talukder, M.M.R.; Min, P.S.; Jae, C.W. Integration of cell permeabilization and medium engineering for enhanced enantioselective synthesis of ethyl-S-3-hydroxy-3-phenylpropanoate (S-EHPP). Biochem. Eng. J. 2019, 148, 24–28. [Google Scholar] [CrossRef]
- Becker, J.; Wittmann, C. Bio-based production of chemicals, materials and fuels—Corynebacterium glutamicum as versatile cell factory. Curr. Opin. Biotechnol. 2012, 23, 631–640. [Google Scholar] [CrossRef]
- Man, Z.; Rao, Z.; Xu, M.; Guo, J.; Yang, T.; Zhang, X.; Xu, Z. Improvement of the intracellular environment for enhancing L-arginine production of Corynebacterium glutamicum by inactivation of H2O2-forming flavin reductases and optimization of ATP supply. Metab. Eng. 2016, 38, 310–321. [Google Scholar] [CrossRef] [PubMed]
- Radoš, D.; Turner David, L.; Fonseca Luís, L.; Carvalho Ana, L.; Blombach, B.; Eikmanns Bernhard, J.; Neves Ana, R.; Santos, H. Carbon flux analysis by 13C nuclear magnetic resonance todetermine the effect of CO2 on anaerobic succinate production by Corynebacterium glutamicum. Appl. Environ. Microbiol. 2014, 80, 3015–3024. [Google Scholar] [CrossRef] [PubMed]
- Liu, X.; Yang, Y.; Zhang, W.; Sun, Y.; Peng, F.; Jeffrey, L.; Harvey, L.; McNeil, B.; Bai, Z. Expression of recombinant protein using Corynebacterium Glutamicum: Progress, challenges and applications. Crit. Rev. Biotechnol. 2016, 36, 652–664. [Google Scholar] [CrossRef]
- Liu, X.; Zhao, Z.; Zhang, W.; Sun, Y.; Yang, Y.; Bai, Z. Bicistronic expression strategy for high-level expression of recombinant proteins in Corynebacterium glutamicum. Eng. Life Sci. 2017, 17, 1118–1125. [Google Scholar] [CrossRef] [PubMed]
- Bradford, M.M. A rapid and sensitive method for the quantitation of microgram quantities of protein utilizing the principle of protein-dye binding. Anal. Biochem. 1976, 72, 248–254. [Google Scholar] [CrossRef]
- Kaur, P.; Satyanarayana, T. Improvement in cell-bound phytase activity of Pichia anomala by permeabilization and applicability of permeabilized cells in soymilk dephytinization. J. Appl. Microbiol. 2010, 108, 2041–2049. [Google Scholar]
- Cai, X.; Seitl, I.; Mu, W.; Zhang, T.; Stressler, T.; Fischer, L.; Jiang, B. Characterization of a recombinant trehalose synthase from Arthrobacter chlorophenolicus and its unique kinetics indicating a substrate cooperativity. Appl. Biochem. Biotechnol. 2019, 187, 1255–1271. [Google Scholar] [CrossRef]
- Eberhardt, D.; Jensen, J.V.K.; Wendisch, V.F. L-citrulline production by metabolically engineered Corynebacterium glutamicum from glucose and alternative carbon sources. AMB Express 2014, 4, 85. [Google Scholar] [CrossRef]








| Strain or Plasmid | Description | Reference or Source |
|---|---|---|
| Strains | ||
| E. coli JM109 | General cloning host | TaKaRa |
| C. glutamicum ATCC13032 | Wild type strain | ATCC |
| C. glutamicum/pXMJ19-Cgtrs | C. glutamicum ATCC13032 derivative harboring pXMJ19-Cgtrs | This work |
| C. glutamicum/pXMJ19(-lacIq)-Cgtrs | C. glutamicum ATCC13032 derivative harboring pXMJ19(-lacIq)-Cgtrs | This work |
| Plasmids | ||
| pXMJ19 | Cmr; shuttle vector between E. coli and C. glutamicum | Lab stock |
| pXMJ19(-lacIq) | The pXMJ19 derivative deleting the repressor gene lacIq | This work |
| pXMJ19-Cgtrs | Derived from pXMJ19, for inducible overexpression of Cgtrs gene | This work |
| pXMJ19(-lacIq)-Cgtrs | Derived from pXMJ19(-lacIq), for constitutive overexpression of Cgtrs gene | This work |
| Names | Sequences (5′→3′) | Restriction Sites |
|---|---|---|
| trsF | cccaagcttaaaggagggaaatcatgaattctcagccgagtgcag | HindIII |
| trsR | ctagtctagattattccatatcgtccttttcatcg | XbaI |
| ∆lacIqF | ccgcgatatcgacaccggcatactctgcg | EcoRV |
| ∆lacIqR | ccgcgatatcgtagtgggatacgacgataccg | EcoRV |
| Host Strain | Inducer | Biocatalyst | Trehalose Production | Productivity | Yield from Maltose | Biocatalyst Reusing | Reference and Year |
|---|---|---|---|---|---|---|---|
| E. coli | IPTG | Whole cells | 96.0 g/L | 16.0 g/L/h | 64.0% | No | [17] 2015 |
| E. coli | Lactose | Cell lysate | 193.5 g/L | 8.1 g/L/h | 64.5% | No | [10] 2018 |
| E. coli | Lactose | Whole cells | 134.5 g/L 1 | 9.6 g/L/h 1 | 90.5% 1 | Yes | [4] 2018 |
| B. subtilis | Lactose | Whole cells | 136.0 g/L 1 | 8.1 g/L/h 1 | 67.8% 1 | Yes | [5] 2020 |
| C. glutamicum | None | Whole cells | 176.2 g/L 1 | 14.7 g/L/h 1 | 58.7% 1 | Yes | This study |
Publisher’s Note: MDPI stays neutral with regard to jurisdictional claims in published maps and institutional affiliations. |
© 2022 by the authors. Licensee MDPI, Basel, Switzerland. This article is an open access article distributed under the terms and conditions of the Creative Commons Attribution (CC BY) license (https://creativecommons.org/licenses/by/4.0/).
Share and Cite
Man, Z.; Cui, H.; Li, J.; Cai, Z.; Guo, J. Production of Trehalose from Maltose by Whole Cells of Permeabilized Recombinant Corynebacterium glutamicum. Processes 2022, 10, 2501. https://doi.org/10.3390/pr10122501
Man Z, Cui H, Li J, Cai Z, Guo J. Production of Trehalose from Maltose by Whole Cells of Permeabilized Recombinant Corynebacterium glutamicum. Processes. 2022; 10(12):2501. https://doi.org/10.3390/pr10122501
Chicago/Turabian StyleMan, Zaiwei, Huihui Cui, Jin Li, Zhiqiang Cai, and Jing Guo. 2022. "Production of Trehalose from Maltose by Whole Cells of Permeabilized Recombinant Corynebacterium glutamicum" Processes 10, no. 12: 2501. https://doi.org/10.3390/pr10122501
APA StyleMan, Z., Cui, H., Li, J., Cai, Z., & Guo, J. (2022). Production of Trehalose from Maltose by Whole Cells of Permeabilized Recombinant Corynebacterium glutamicum. Processes, 10(12), 2501. https://doi.org/10.3390/pr10122501

