Pelvic Pyomyositis in Childhood: Clinical and Radiological Findings in a Tertiary Pediatric Center
Abstract
1. Introduction
2. Materials and Methods
3. Results
3.1. Demographic and Clinical Features
3.2. Laboratory Findings
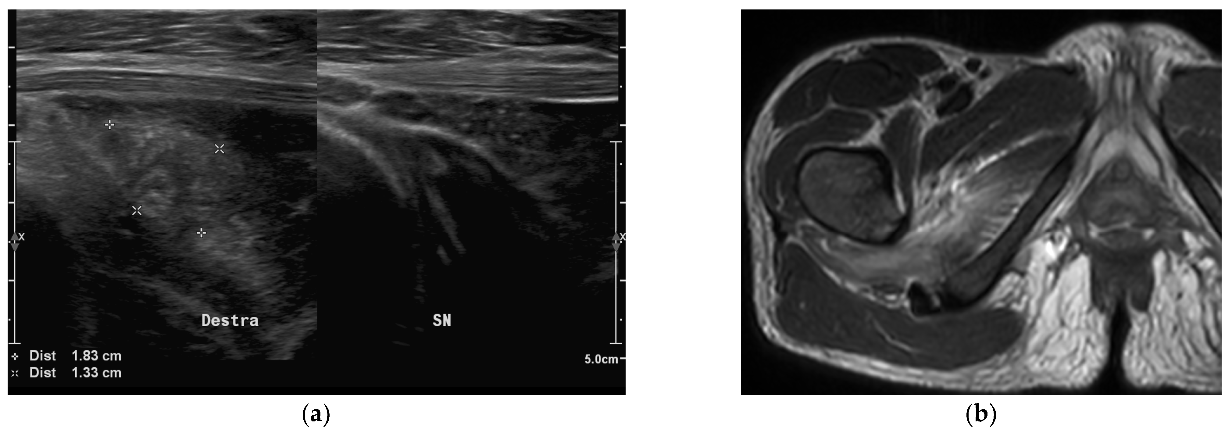
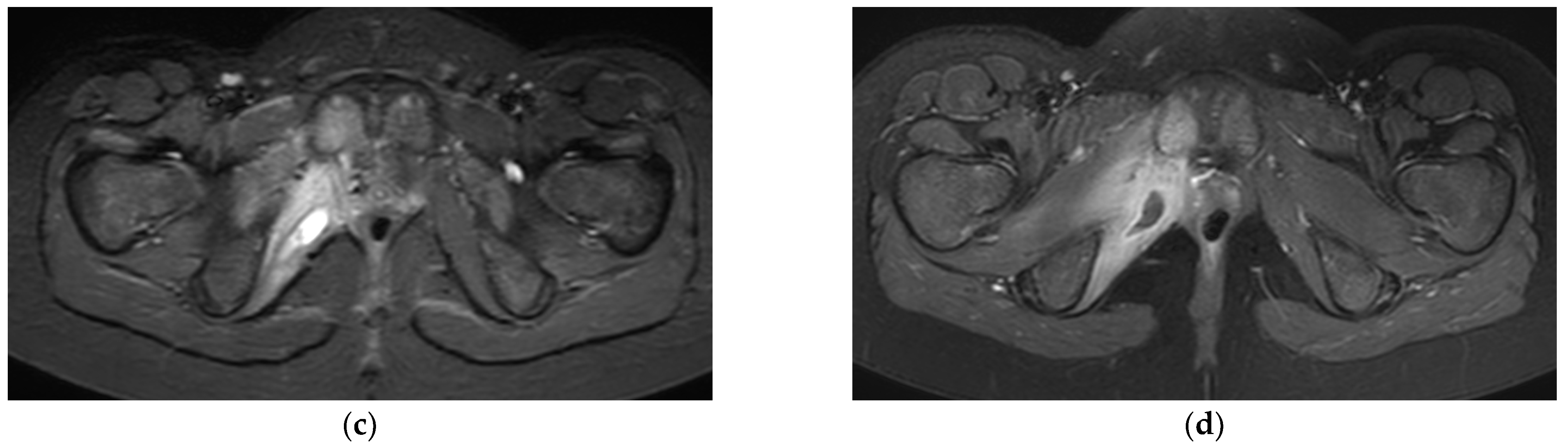
3.3. Radiologic Investigations
3.4. Treatment
3.5. Outcome
4. Discussion
5. Conclusions
Supplementary Materials
Author Contributions
Funding
Institutional Review Board Statement
Informed Consent Statement
Data Availability Statement
Conflicts of Interest
References
- Levin, M.J.; Gardner, P.; Waldvogel, F.A. “Tropical” pyomyositis. An unusual infection due to staphylococcus aureus. N. Engl. J. Med. 1971, 284, 196–198. [Google Scholar] [CrossRef] [PubMed]
- Geelhoed, G.W.; Gray, H.; Alavi, I.A.; Lattoo, H. Pyomyositis-tropical and nontropical. N. Engl. J. Med. 1971, 284, 853–854. [Google Scholar] [CrossRef] [PubMed]
- Romeo, S.; Sunshine, S. Pyomyositis in a 5-year-old child. Arch. Fam. Med. 2000, 9, 653–656. [Google Scholar] [CrossRef] [PubMed]
- Bickels, J.; Ben-Sira, L.; Kessler, A.; Wientroub, S. Primary pyomyositis. J. Bone Jt. Surg. Am. 2002, 84, 2277–2286. [Google Scholar] [CrossRef]
- Taksande, A.; Vilhekar, K.; Gupta, S. Primary pyomyositis in a child. Int. J. Infect. Dis. 2009, 13, e149–e151. [Google Scholar] [CrossRef]
- Elzohairy, M.M. Primary pyomyositis in children. Orthop. Traumatol. Surg. Res. 2018, 104, 397–403. [Google Scholar] [CrossRef]
- Scriba, J.; Beitrang, Z. Aetiologie der myositis acuta. Dtsch. Z. Chir. 1885, 22, 497–502. [Google Scholar] [CrossRef]
- Ashken, M.H.; Cotton, R.E. Tropical skeletal muscle abscesses (pyomyositis tropicans). Br. J. Surg. 1963, 50, 846–852. [Google Scholar] [CrossRef]
- Chiedozi, L.C. Pyomyositis. Review of 205 cases in 112 patients. Am. J. Surg. 1979, 137, 255–259. [Google Scholar] [CrossRef]
- Horn, C.V.; Master, S. Pyomyositis tropicans in Uganda. East Afr. Med. J. 1968, 45, 463–471. [Google Scholar]
- Ovadia, D.; Ezra, E.; Ben-Sira, L.; Kessler, A.; Bickels, J.; Keret, D.; Yaniv, M.; Wientroub, S.; Lokiec, F. Primary pyomyositis in children: A retrospective analysis of 11 cases. J. Pediatr. Orthop. B 2007, 16, 153–159. [Google Scholar] [CrossRef] [PubMed]
- Spiegel, D.A.; Meyer, J.S.; Dormans, J.P.; Flynn, J.M.; Drummond, D.S. Pyomyositis in children and adolescents: Report of 12 cases and review of the literature. J. Pediatr. Orthop. 1999, 19, 143–150. [Google Scholar] [CrossRef] [PubMed]
- Hossain, A.; Reis, E.D.; Soundararajan, K.; Kerstein, M.D.; Hollier, L.H. Nontropical pyomyositis: Analysis of eight patients in an urban center. Am. Surg. 2000, 66, 1064–1066. [Google Scholar] [PubMed]
- Gubbay, A.J.; Isaacs, D. Pyomyositis in children. Pediatr. Infect. Dis. J. 2000, 19, 1009–1013. [Google Scholar] [CrossRef] [PubMed]
- Karmazyn, B.; Kleiman, M.B.; Buckwalter, K.; Loder, R.T.; Siddiqui, A.; Applegate, K.E. Acute pyomyositis of the pelvis: The spectrum of clinical presentations and MR findings. Pediatr. Radiol. 2006, 36, 338–343. [Google Scholar] [CrossRef] [PubMed]
- Unnikrishnan, P.N.; Perry, D.C.; George, H.; Bassi, R.; Bruce, C.E. Tropical primary pyomyositis in children of the UK: An emerging medical challenge. Int. Orthop. 2010, 34, 109–113. [Google Scholar] [CrossRef]
- Bertrand, S.L.; Lincoln, E.D.; Prohaska, M.G. Primary pyomyositis of the pelvis in children: A retrospective review of 8 cases. Orthopedics 2011, 34, e832–e840. [Google Scholar] [CrossRef]
- Kiran, M.; Mohamed, S.; Newton, A.; George, H.; Garg, N.; Bruce, C. Pelvic pyomyositis in children: Changing trends in occurrence and management. Int. Orthop. 2018, 42, 1143–1147. [Google Scholar] [CrossRef]
- Falesi, M.; Regazzoni, B.M.; Wyttenbach, M.; Wyttenbach, R.; Bianchetti, M.G.; Riavis, M. Primary pelvic pyomyositis in a neonate. J. Perinatol. 2009, 29, 830–831. [Google Scholar] [CrossRef][Green Version]
- Mazur, J.M.; Ross, G.; Cummings, J.; Hahn, G.A., Jr.; McCluskey, W.P. Usefulness of magnetic resonance imaging for the diagnosis of acute musculoskeletal infections in children. Pediatr. Orthop. 1995, 15, 144–147. [Google Scholar] [CrossRef]
- Gonzalez Moran, G.; Garcia Duran, C.; Albiñana, J. Imaging on pelvic pyomyositis in children related to pathogenesis. J. Child Orthop. 2009, 3, 479–484. [Google Scholar] [CrossRef] [PubMed]
- Yu, C.W.; Hsiao, J.K.; Hsu, C.Y.; Shih, T.T.F. Bacterial pyomyositis: MRI and clinical correlation. Magn. Reson. Imaging 2004, 22, 1233–1241. [Google Scholar] [CrossRef] [PubMed]
- Theodorou, S.J.; Theodorou, D.J.; Resnick, D. MR imaging findings of pyogenic bacterial myositis (pyomyositis) in patients with local muscle trauma: Illustrative cases. Emerg. Radiol. 2007, 14, 89–96. [Google Scholar] [CrossRef] [PubMed]
- Soler, R.; Rodríguez, E.; Aguilera, C.; Fernández, R. Magnetic resonance imaging of pyomyositis in 43 cases. Eur. J. Radiol. 2000, 35, 59–64. [Google Scholar] [CrossRef]
- Mormino, M.A.; Esposito, P.W.; Raynor, S.C. Peripelvic abscesses: A diagnostic dilemma. J. Pediatr. Orthop. 1999, 19, 161–163. [Google Scholar] [CrossRef]
- Harrington, P.; Scott, B.; Chetcuti, P. Multifocal streptococcal pyomyositis complicated by acute compartment syndrome: Case report. J. Pediatr. Orthop. B 2001, 10, 120–122. [Google Scholar]
- Comegna, L.; Guidone, P.I.; Prezioso, G.; Franchini, S.; Petrosino, M.I.; Di Filippo, P.; Chiarelli, F.; Mohn, A.; Rossi, N. Pyomyositis is not only a tropical pathology: A case series. J. Med. Case Rep. 2016, 10, 372. [Google Scholar] [CrossRef]
- Moriarty, P.; Leung, C.; Walsh, M.; Nourse, C. Increasing pyomyositis presenting among children in Queensland, Australia. Pediatr. Infect. Dis. J. 2015, 34, 1–4. [Google Scholar] [CrossRef]
- Boniotti, V.; Carlone, N.; Perboni, G.; Caudana, R. Contribution of imaging to the evaluation of pyomyositis. Radiol. Med. 2005, 109, 404–413. [Google Scholar]
- Moressa, V.; Pastore, S.; Naviglio, S.; Ventura, A. A young goalkeeper with buttock pain and fever. BMJ 2017, 357, j2400. [Google Scholar] [CrossRef]
- Migliarino, V.; Naviglio, S.; Barbi, E.; Rabusin, M. Pseudomonas aeruginosa Pyomyositis in a Child with Acute Lymphoblastic Leukemia: A Case Report and Review of Literature. J. Pediatr. Hematol. Oncol. 2021, 43, e795–e797. [Google Scholar] [CrossRef] [PubMed]
- Pedoto, D.; Diana, A.; Pennacchio, M.L.; Paciello, F.; Quarantiello, F.; Della Casa, R. Primary Pyomyositis in Children is No More a Rare Condition: Presentation of 2 Clinical Cases. Pediatr. Infect. Dis. J. 2021, 40, e276–e278. [Google Scholar] [CrossRef] [PubMed]
- Trusen, A.; Beissert, M.; Schultz, G.; Chittka, B.; Darge, K. Ultrasound and MRI features of pyomyositis in children. Eur. Radiol. 2003, 13, 1050–1055. [Google Scholar] [CrossRef]
- Smith, M.I.; Vickers, A.B. Natural history of treated and untreated patients with septicaemia. Lancet 1960, 1, 1318–1322. [Google Scholar] [CrossRef]
- Miyake, H. Beitrage zur Kenntnis der sogenannten Myositis infectiosa. Mitt. Grenzgeb. Med. Chir. 1904, 13, 155–198. [Google Scholar]
- Verma, S.; Singhi, S.C.; Marwaha, R.K.; Singhi, P.; Singh, S.; Singh, M. Tropical pyomyositis in children: 10 years experience of a tertiary care hospital in northern India. J. Trop. Pediatr. 2013, 59, 243–245. [Google Scholar] [CrossRef]
- Pannaraj, P.S.; Hulten, K.G.; Gonzalez, B.E.; Mason, E.O., Jr.; Kaplan, S.L. Infective pyomyositis and myositis in children in the era of community-acquired, methicillin-resistant Staphylococcus aureus infection. Clin. Infect. Dis. 2006, 43, 953–960. [Google Scholar] [CrossRef]
- Aderele, W.I.; Osinusi, K. Pyomyositis in childhood. J. Trop. Med. Hyg. 1980, 83, 99–104. [Google Scholar]
- Gordon, B.A.; Martinez, S.; Collins, A.J. Pyomyositis: Characteristics at CT and MR imaging. Radiology 1995, 197, 279–286. [Google Scholar] [CrossRef]
- Agarwal, V.; Chauhan, S.; Gupta, R.K. Pyomyositis. Neuroimaging Clin. N. Am. 2011, 21, 975–983. [Google Scholar] [CrossRef]
- Christin, L.; Sarosi, G.A. Pyomyositis in North America: Case reports and review. Clin. Infect. Dis. 1992, 15, 668–677. [Google Scholar] [CrossRef] [PubMed]
- Trombetta, A.; Conversano, E.; Cozzi, G.; Taddio, A.; Murru, F.M.; Barbi, E. A toddler with a persisting limp after a minor trauma. Arch. Dis. Child Educ. Pract. Ed. 2021, 106, 155–157. [Google Scholar] [CrossRef] [PubMed]
- Jayoussi, R.; Bialik, V.; Eyal, A.; Shehadeh, N.; Etzioni, A. Pyomyositis caused by vigorous exercise in a boy. Acta Paediatr. 1995, 84, 226–227. [Google Scholar] [CrossRef] [PubMed]
- Patel, S.R.; Olenginski, T.P.; Perruquet, J.L.; Harrington, T.M. PM: Clinical features and predisposing conditions. J. Rheumatol. 1997, 24, 1734–1738. [Google Scholar]
- Chiu, S.K.; Lin, J.C.; Wang, N.C.; Peng, M.Y.; Chang, F.Y. Impact of underlying diseases on the clinical characteristics and outcome of primary pyomyositis. J. Microbiol. Immunol. Infect. 2008, 41, 286–293. [Google Scholar]
- Renoux, M.C.; Guyon, G.; Rodière, M. Paravertebral streptococcal myositis complicated by an epidural abscess in a 5-year-old girl. Arch. Pediatr. 2006, 13, 273–275. [Google Scholar] [CrossRef]
- Renwick, S.E.; Ritterbusch, J.F. Pyomyositis in children. J. Pediatr. Orthop. 1993, 13, 769–772. [Google Scholar] [CrossRef]
- Ameh, E.A. Pyomyositis in children: Analysis of 31 cases. Ann. Trop. Paediatr. 1999, 19, 263–265. [Google Scholar] [CrossRef]
- Bline, K.; Denny, S.A. Septic Arthritis, Osteomyelitis, and Pyomyositis in a Previously Healthy Infant. Pediatr. Emerg. Care 2018, 34, e18–e20. [Google Scholar] [CrossRef]
- Verma, S. Pyomyositis in Children. Curr. Infect. Dis. Rep. 2016, 18, 12. [Google Scholar] [CrossRef]
- Seçmeer, G.; Toyran, M.; Kara, A.; Kanra, G.; Ceyhan, M.; Cengiz, A.B. Primary haemophilus influenzae pyomyositis in an infant: A case report. Turk. J. Pediatr. 2003, 45, 158–160. [Google Scholar] [PubMed]
- Phadke, P.S.; Gandhi, A.R.; More, S.A.; Joshirao, R.P. Salmonella pyomyositis with concurrent sacroiliac osteomyelitis presenting as piriformis syndrome: A rare case. J. Postgrad. Med. 2017, 63, 44–46. [Google Scholar] [CrossRef] [PubMed]
- Held, M.R.; Kotler, H.; Sneller, H.; Sullivan, C.B. Lemierre’s Syndrome Presenting as Multifocal Pyomyositis in a Young Child. Pediatr. Infect. Dis. J. 2018, 37, e142–e144. [Google Scholar] [CrossRef] [PubMed]
- Crum-Cianflone, N.; Mayer, R. An unusual case of Lemierre’s syndrome presenting as pyomyositis. Am. J. Med. Sci. 2008, 335, 499–501. [Google Scholar] [CrossRef]
- Rousseau, V.; Descours, G.; Chaker, M.; Tristan, A.; Freydière, A.M.; Gillet, Y. Primary meningococcal B osteomyelitis and arthritis with multifocal pyomyositis in a child: A case report. Arch. Pediatr. 2012, 19, 1330–1333. [Google Scholar] [CrossRef]
- Barakat, M.T.; Gajurel, K.; Fischer, K.; Stevens, K.; Ozdalga, E.; Montoya, J.G. A Case of Meningococcal Pyomyositis in an Otherwise Healthy Adult. Open Forum Infect. Dis. 2016, 3, ofw087. [Google Scholar] [CrossRef]
- Davey, W.W. Companion to Surgery in Africa; Churchill Livingstone: London, UK, 1973. [Google Scholar]
- Audran, M.; Masson, C.; Bregeon, C.; Varache, N.; Alquier, P.; Chennebault, J.M.; Namour, A.; Caron, C. Pyomyositis. Rev. Rheum. 1993, 60, 49–54. [Google Scholar]
- Evans, J.A.; Ewald, M.B. Pyomyositis. A fatal case in a healthy teenager. Pediatr. Emerg. Care 2005, 21, 375–377. [Google Scholar] [CrossRef]
- May, D.; Disler, D.; Jones, E.; Balkissoon, A.A.; Manaster, B.J. Abnormal signal intensity in skeletal muscle at MR imaging: Patterns, pearls, and pitfalls. RadioGraphics 2000, 20, S295–S315. [Google Scholar] [CrossRef]
- Marin, C.; Sanchez-Alegre, M.L.; Gallego, C.; Ruiz, Y.; Collado, E.; Garcia, J.A.; Mardones, G.G. Magnetic resonance imaging of osteoarticular infections in children. Curr. Probl. Diagn. Radiol. 2004, 33, 43–59. [Google Scholar] [CrossRef]
- Theodorou, D.J.; Theodorou, S.J.; Resnick, D. Magnetic resonance imaging of pyogenic myositis: A variety of findings. Radiology 2001, 221, 667. [Google Scholar]
- Beauchamp, N.J.; Scott, W.W.; Gottlieb, L.M.; Fishman, E.K. CT evaluation of soft tissue and muscle infection and inflammation: A systematic compartmental approach. Skelet. Radiol. 1995, 24, 317–324. [Google Scholar] [CrossRef] [PubMed]
- Meller, J.; Sahlmann, C.O.; Scheel, A.K. 18F-FDG PET and PET/CT in Fever of Unknown Origin. J. Nucl. Med. 2007, 48, 35–45. [Google Scholar] [PubMed]
- Pijl, J.P.; Kwee, T.C.; Legger, G.E.; Peters, H.J.H.; Armbrust, W.; Schölvinck, E.H.; Glaudemans, A.W.J.M. Role of FDG-PET/CT in children with fever of unknown origin. Eur. J. Nucl. Med. Mol. Imaging 2020, 47, 1596–1604. [Google Scholar] [CrossRef] [PubMed]
- Khalatbari, H.; Parisi, M.T.; Kwatra, N.; Harrison, D.J.; Shulkin, B.L. Pediatric Musculoskeletal Imaging: The Indications for and Applications of PET/Computed Tomography. PET Clin. 2019, 14, 145–174. [Google Scholar] [CrossRef]
- Harisankar, C.N.; Mittal, B.R.; Kashyap, R.; Bhattacharya, A.; Singhi, S. (18)F-FDG Positron Emission Tomography in Multifocal Pyomyositis. World J. Nucl. Med. 2012, 11, 22–23. [Google Scholar] [CrossRef]
- Peetrons, P. Ultrasound of muscles. Eur. Radiol. 2002, 12, 35–43. [Google Scholar] [CrossRef]
- Khoo, M.M.Y.; Tyler, P.A.; Saifuddin, A.; Padhani, A.R. Diffusion-weighted imaging (DWI) in musculoskeletal MRI: A critical review. Skelet. Radiol. 2011, 40, 665–681. [Google Scholar] [CrossRef]
- Kumar, J.; Khaleel, M.; Boothe, E.; Awdeh, H.; Wadhwa, V.; Chhabra, A. Role of Diffusion Weighted Imaging in Musculoskeletal Infections: Current Perspectives. Eur. Radiol. 2016, 27, 414–423. [Google Scholar] [CrossRef]
- Palacio, E.P.; Rizzi, N.G.; Reinas, G.S.; Júnior, M.M.; Júnior, A.D.; Mizobuchi, R.R.; Yanasse, R.H.; da Silva, M.V.; Branco, R.B.; Galbiatti, J.A. Open drainage versus percutaneous drainage in the treatment of tropical pyomyositis. Prospective and randomized study. Rev. Bras. Ortop. 2010, 45, 260–268. [Google Scholar] [CrossRef]





| ≤6 Years Old (n = 23) | >6 Years Old (n = 24) | ||
|---|---|---|---|
| Presenting Symptoms | Value | p | |
| Fever, n (%) | 11 (47.8) | 7 (29) | 0.188 |
| Pain, n (%) | 9 (39.1) | 21 (87.5) | 0.001 |
| Inability to weight bear and/or functional limitation, n (%) | 10 (43.5) | 9 (37.5) | 0.67 |
| Limp, n (%) | 5 (21.7) | 4 (16.7) | 0.659 |
| Skin alterations, n (%) | 2 (8.7) | 0 | 0.140 |
| Localized swelling, n (%) | 2 (8.7) | 3 (12.5) | 0.672 |
| Irritability, n (%) | 5 (21.7) | 0 | 0.016 |
| Laboratory Tests | Value | p | |
| Serum CRP, mean (SD)—mg/dL | 7.6 (5.6) | 13.2 (7.5) | 0.007 |
| ESR, mean (SD)—mm/h | 61.1 (27.1) | 72.1 (27.3) | 0.332 |
| Serum PCT, mean (SD)—mg/dL | 6.3 (4.17) | 6.7 | 0.956 |
| Involved Muscles | Pyomyositis, No. (%) (n = 47) | Abscesses, No. (%) (n = 21) |
|---|---|---|
| Obturator externus | 29 (61.7) | 7 (14.9) |
| Obturator internus | 15 (31.9) | 3 (6.4) |
| Iliacus | 17 (36.2) | 4 (8.5) |
| Psoas | 6 (12.8) | 3 (6.4) |
| Pectineus | 9 (19.1) | 2 (4.3) |
| Piriformis | 10 (21.3) | 1 (2.1) |
| Iliocostalis lumborum | 2 (4.3) | / |
| Gluteus maximus | 10 (21.3) | 4 (8.5) |
| Gluteus medius | 18 (38.3) | 1 (2.1) |
| Gluteus minimus | 15 (31.9) | / |
| Adductor magnus | 4 (8.5) | 2 (4.3) |
| Adductor longus | 2 (4.3) | 1 (2.1) |
| Adductor brevis | 3 (6.4) | 1 (2.1) |
| Gemelli muscles | 2 (4.3) | / |
| Quadratus femoris | 8 (17) | 1 (2.1) |
| Quadratus lumborum | 1 (2.1) | / |
| Rectus femoris | 1 (2.1) | / |
| Vastus lateralis | 2 (4.3) | 1 (2.1) |
| Tensor fasciae latae | 2 (4.3) | / |
| Quadriceps femoris | 1 (2.1) | / |
| Others than pelvis | Thigh 3 (6.4) Paravertebral muscles 2 (4.3) | / / |
| Antibiotics | Oral Drugs before Hospitalization, No. (n = 11) | Intravenous Drugs, No. (n = 47) | Switch to Oral Drugs, No. (n = 45) |
|---|---|---|---|
| Amoxicillin or flucloxacillin | 5 | ||
| Oxacillin | 30 | ||
| Amoxicillin-clavulanate | 8 | 22 | |
| Ampicillin-sulbactam | 2 | ||
| Piperacillin-tazobactam | 1 | ||
| 1st generation cephalosporin (cephalexin, cefazolin) | 3 | 1 | |
| Cefpodoxime | 2 | ||
| Ceftriaxone | 24 | ||
| Ceftazidime | 11 | ||
| Aminoglycosides | 11 | ||
| Clindamycin | 20 | 9 | |
| Teicoplanin | 15 | ||
| Vancomycin | 2 | ||
| Carbapenems | 6 | ||
| Linezolid | 3 | 2 | |
| Tigecycline | 3 | ||
| Rifampicin | 10 | ||
| Cotrimoxazole | 6 | ||
| Others * | 1 | 8 | 2 |
Publisher’s Note: MDPI stays neutral with regard to jurisdictional claims in published maps and institutional affiliations. |
© 2022 by the authors. Licensee MDPI, Basel, Switzerland. This article is an open access article distributed under the terms and conditions of the Creative Commons Attribution (CC BY) license (https://creativecommons.org/licenses/by/4.0/).
Share and Cite
Abbati, G.; Abu Rumeileh, S.; Perrone, A.; Galli, L.; Resti, M.; Trapani, S. Pelvic Pyomyositis in Childhood: Clinical and Radiological Findings in a Tertiary Pediatric Center. Children 2022, 9, 685. https://doi.org/10.3390/children9050685
Abbati G, Abu Rumeileh S, Perrone A, Galli L, Resti M, Trapani S. Pelvic Pyomyositis in Childhood: Clinical and Radiological Findings in a Tertiary Pediatric Center. Children. 2022; 9(5):685. https://doi.org/10.3390/children9050685
Chicago/Turabian StyleAbbati, Giulia, Sarah Abu Rumeileh, Anna Perrone, Luisa Galli, Massimo Resti, and Sandra Trapani. 2022. "Pelvic Pyomyositis in Childhood: Clinical and Radiological Findings in a Tertiary Pediatric Center" Children 9, no. 5: 685. https://doi.org/10.3390/children9050685
APA StyleAbbati, G., Abu Rumeileh, S., Perrone, A., Galli, L., Resti, M., & Trapani, S. (2022). Pelvic Pyomyositis in Childhood: Clinical and Radiological Findings in a Tertiary Pediatric Center. Children, 9(5), 685. https://doi.org/10.3390/children9050685

