Validity of the Demirjian Method for Dental Age Estimation in Romanian Children
Abstract
1. Introduction
2. Materials and Methods
2.1. Ethical Considerations
2.2. Sample Selection
2.3. Sample Size Calculation
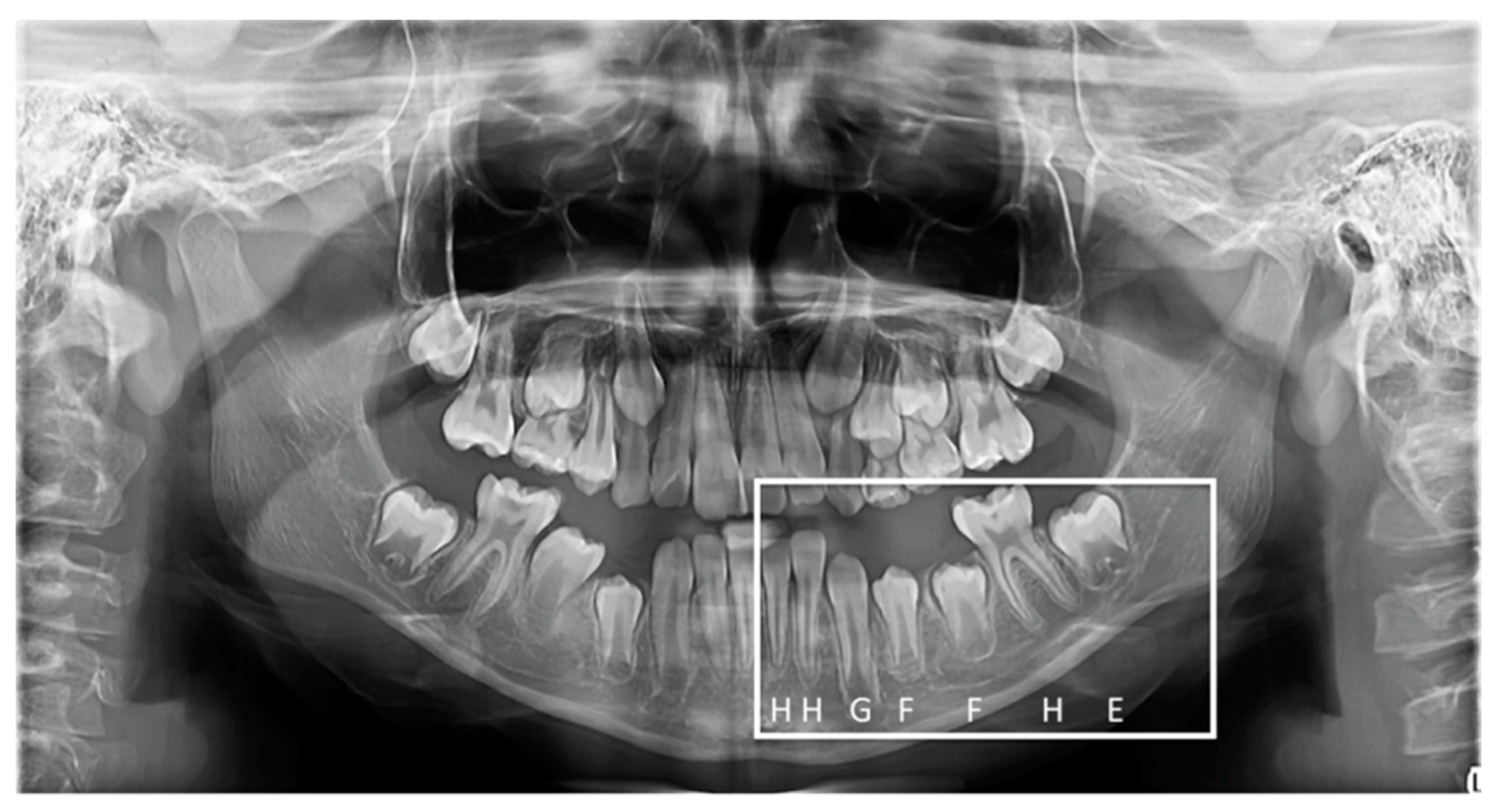
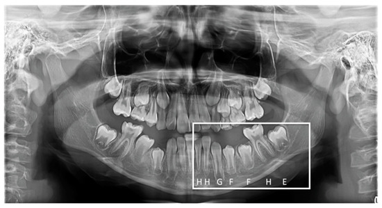
2.4. Chronological Age and Dental Age Assessment
2.5. Statistical Analysis
3. Results
4. Discussion
5. Conclusions
Author Contributions
Funding
Institutional Review Board Statement
Informed Consent Statement
Data Availability Statement
Conflicts of Interest
References
- Grover, S.; Marya, C.M.; Avinash, J.; Pruthi, N. Estimation of dental age and its comparison with chronological age: Accuracy of two radiographic methods. Med. Sci. Law 2012, 52, 32–35. [Google Scholar] [CrossRef] [PubMed]
- Schmeling, A.; Geserick, G.; Reisinger, W.; Olze, A. Age estimation. Forensic Sci. Int. 2007, 165, 178–181. [Google Scholar] [CrossRef] [PubMed]
- Haiter-Neto, F.; Kurita, L.M.; Menezes, A.V.; Casanova, M.S. Skeletal age assessment: A comparison of 3 methods. Am. J. Orthod. Dentofac. Orthop. 2006, 130, 435.e15–435.e20. [Google Scholar] [CrossRef] [PubMed]
- Moca, A.E.; Vaida, L.L.; Moca, R.T.; Țuțuianu, A.V.; Bochiș, C.F.; Bochiș, S.A.; Iovanovici, D.C.; Negruțiu, B.M. Chronological Age in Different Bone Development Stages: A Retrospective Comparative Study. Children 2021, 8, 142. [Google Scholar] [CrossRef]
- Manjunatha, B.S.; Soni, N.K. Estimation of age from development and eruption of teeth. J. Forensic Dent. Sci. 2014, 6, 73–76. [Google Scholar] [CrossRef]
- Greil, H.; Kahl, H. Assessment of developmental age: Cross-sectional analysis of secondary sexual characteristics. Anthropol. Anz. 2005, 63, 63–75. [Google Scholar] [CrossRef]
- Baccetti, T.; Franchi, L.; McNamara, J.A., Jr. The cervical vertebral maturation (CVM) method for the assessment of optimal treatment timing in dentofacial orthopedics. Semin. Orthod. 2005, 11, 119–129. [Google Scholar] [CrossRef]
- Moca, A.E.; Vaida, L.L.; Negruțiu, B.M.; Moca, R.T.; Todor, B.I. The Influence of Age on the Development of Dental Caries in Children. A Radiographic Study. J. Clin. Med. 2021, 10, 1702. [Google Scholar] [CrossRef]
- Panchbhai, A.S. Dental radiographic indicators, a key to age estimation. Dentomaxillofac. Radiol. 2011, 40, 199–212. [Google Scholar] [CrossRef]
- Nolla, C.M. The development of the permanent teeth. J. Dent. Child. 1960, 27, 254–266. [Google Scholar]
- Cameriere, R.; Ferrante, L.; Cingolani, M. Variations in pulp/tooth area ratio as an indicator of age: A preliminary study. J. Forensic Sci. 2004, 49, 317–319. [Google Scholar] [CrossRef] [PubMed]
- Willems, G.; Van Olmen, A.; Spiessens, B.; Carels, C. Dental age estimation in Belgian children: Demirjian’s technique revisited. J. Forensic Sci. 2001, 46, 893–895. [Google Scholar] [CrossRef] [PubMed]
- Willems, G. A review of the most commonly used dental age estimation techniques. J. Forensic Odontostomatol. 2001, 19, 9–17. [Google Scholar] [PubMed]
- Demirjian, A.; Goldstein, H.; Tanner, J.M. A new system of dental age assessment. Hum. Biol. 1973, 45, 211–227. [Google Scholar]
- Bijjaragi, S.C.; Sangle, V.A.; Saraswathi, F.K.; Patil, V.S.; Ashwini Rani, S.R.; Bapure, S.K. Age estimation by modified Demirjian’s method (2004) and its applicability in Tibetan young adults: A digital panoramic study. J. Oral Maxillofac. Pathol. 2015, 19, 100–105. [Google Scholar] [CrossRef]
- Aissaoui, A.; Salem, N.H.; Mougou, M.; Maatouk, F.; Chadly, A. Dental age assessment among Tunisian children using the Demirjian method. J. Forensic Dent. Sci. 2016, 8, 47–51. [Google Scholar] [CrossRef][Green Version]
- Sabarudin, A.; Tiau, Y.J. Image quality assessment in panoramic dental radiography: A comparative study between conventional and digital systems. Quant. Imaging Med. Surg. 2013, 31, 43–48. [Google Scholar] [CrossRef]
- Roberts, G.; Parekh, S.; Petrie, A.; Lucas, V.S. Dental age assessment (DAA): A simple method for children and emerging adults. Br. Dent. J. 2008, 204, E7. [Google Scholar] [CrossRef][Green Version]
- Urniawan, A.; Chusida, A.; Atika, N.; Gianosa, T.K.; Solikhin, M.D.; Margaretha, M.S.; Utomo, H.; Marini, M.I.; Rizky, B.N.; Prakoeswa, B.F.W.R.; et al. The Applicable Dental Age Estimation Methods for Children and Adolescents in Indonesia. Int. J. Dent. 2022, 2022, 6761476. [Google Scholar] [CrossRef]
- Priyadarshini, C.; Puranik Manjunath, P.; Uma, S.R. Dental age estimation methods: A review. Int. J. Health Sci. 2015, 12, 19–25. [Google Scholar]
- Stavrianos, C.; Mastagas, D.; Stavrianou, I.; Karaiskou, O. Dental age estimation of adults: A review of methods and principles. Res. J. Med. Sci. 2008, 2, 258–268. [Google Scholar]
- Ritz, S.; Stock, R.; Schütz, H.W.; Kaatsch, H.J. Age estimation in biopsy specimens of dentin. Int. J. Legal Med. 1995, 108, 135–139. [Google Scholar] [CrossRef] [PubMed]
- Izzetti, R.; Nisi, M.; Aringhieri, G.; Crocetti, L.; Graziani, F.; Nardi, C. Basic Knowledge and New Advances in Panoramic Radiography Imaging Techniques: A Narrative Review on What Dentists and Radiologists Should Know. Appl. Sci. 2021, 11, 7858. [Google Scholar] [CrossRef]
- Choi, J.W. Assessment of panoramic radiography as a national oral examination tool: Review of the literature. Imaging Sci. Dent. 2011, 41, 1–6. [Google Scholar] [CrossRef] [PubMed]
- Urzel, V.; Bruzek, J. Dental age assessment in children: A comparison of four methods in a recent French population. J. Forensic Sci. 2013, 58, 1341–1347. [Google Scholar] [CrossRef] [PubMed]
- Khdairi, N.; Halilah, T.; Khandakji, M.N.; Jost-Brinkmann, P.G.; Bartzela, T. The adaptation of Demirjian’s dental age estimation method on North German children. Forensic Sci. Int. 2019, 303, 109927. [Google Scholar] [CrossRef] [PubMed]
- Melo, M.; Ata-Ali, J. Accuracy of the estimation of dental age in comparison with chronological age in a Spanish sample of 2641 living subjects using the Demirjian and Nolla method. Forensic Sci. Int. 2017, 270, 276.e1–276.e7. [Google Scholar] [CrossRef]
- Balaraj, B.M.; Nithin, M.D. Determination of adolescent ages 14–16 years by radiological study of permanent mandibular second molars. J. Forensic Leg. Med. 2010, 17, 329–332. [Google Scholar] [CrossRef]
- Ambarkova, V.; Galic, I.; Vodanovic, M.; Biocina-Lukenda, D.; Brkic, H. Dental age estimation usind Demirjian and Willems methods: Cross sectional study on children from the Former Yugoslav Republic of Macedonia. Forensic Sci. Int. 2014, 234, 187.e1–187.e7. [Google Scholar] [CrossRef]
- Altunsoy, M.; Nur, B.G.; Akkemik, O.; Ok, E.; Evcil, M.S. Applicability of the Demirjian method for dental age estimation in western Turkish children. Acta Odontol. Scand. 2015, 73, 121–125. [Google Scholar] [CrossRef]
- Sobieska, E.; Fester, A.; Nieborak, M.; Zadurska, M. Assessment of the dental age of children in the Polish population with comparison of the Demirjian and the Willems methods. Med. Sci. Monit. 2018, 24, 8315–8321. [Google Scholar] [CrossRef] [PubMed]
- Chaillet, N.; Willems, G.; Demirjian, A. Dental maturity in Belgian children using Demirjian’s method and polynomial functions: New standard curves for forensic and clinical use. J. Forensic Odontostomatol. 2004, 22, 18–27. [Google Scholar] [PubMed]
- Birchler, F.A.; Kiliaridis, S.; Combescure, C.; Vazquez, L. Dental age assessment on panoramic radiographs in a Swiss population: A validation study of two prediction models. Dentomaxillofac. Radiol. 2016, 45, 20150137. [Google Scholar] [CrossRef] [PubMed]
- Tudoroniu, C.; Popa, M.; Iacob, S.M.; Pop, A.L.; Năsui, B.A. Correlation of Caries Prevalence, Oral Health Behavior and Sweets Nutritional Habits among 10 to 19-Year-Old Cluj-Napoca Romanian Adolescents. Int. J. Environ. Res. Public Health 2020, 17, 6923. [Google Scholar] [CrossRef]
- Baciu, D.; Danila, I.; Balcos, C.; Gallagher, J.E.; Bernabé, E. Caries experience among Romanian schoolchildren: Prevalence and trends 1992–2011. Community Dent. Health 2015, 32, 93–97. [Google Scholar]


| Age Group (in Years) | Girls (n, %) | Boys (n, %) | Total (n, %) |
|---|---|---|---|
| 3–3.9 | 3 (0.30%) | 2 (0.20%) | 5 (0.5%) |
| 4–4.9 | 9 (0.89%) | 10 (0.99%) | 19 (1.9%) |
| 5–5.9 | 13 (1.29%) | 12 (1.19%) | 25 (2.5%) |
| 6–6.9 | 34 (3.38%) | 32 (3.18%) | 66 (6.6%) |
| 7–7.9 | 74 (7.36%) | 67 (6.66%) | 141 (14%) |
| 8–8.9 | 99 (9.84%) | 91 (9.05%) | 190 (18.9%) |
| 9–9.9 | 92 (9.15%) | 66 (6.56%) | 158 (15.7%) |
| 10–10.9 | 75 (7.46%) | 34 (3.38%) | 109 (10.8%) |
| 11–11.9 | 68 (6.76%) | 53 (5.27%) | 121 (12%) |
| 12–12.9 | 66 (6.56%) | 39 (3.88%) | 105 (10.4%) |
| 13–13.9 | 42 (4.17%) | 25 (2.49%) | 67 (6.7%) |
| Age Group (in Years) | CA with SD (in Years) | DA with SD (in Years) | CA-DA with SD (in Years) | p * |
|---|---|---|---|---|
| 3–3.9 (p = 0.823 **) | 3.34 ± 0.29 | 3.68 ± 0.43 | −0.34 ± 0.57 | 0.010 |
| 4–4.9 (p = 0.013 **) | 4.44 ± 0.29 | 5.6 ± 1.32 | −1.15 ± 1.19 | |
| 5–5.9 (p = 0.505 **) | 5.54 ± 0.27 | 7.04 ± 0.46 | −1.49 ± 0.4 | |
| 6–6.9 (p < 0.001 **) | 6.56 ± 0.29 | 8.22 ± 0.79 | −1.66 ± 0.76 | |
| 7–7.9 (p < 0.001 **) | 7.56 ± 0.28 | 8.92 ± 1.06 | −1.36 ± 1 | |
| 8–8.9 (p < 0.001 **) | 8.46 ± 0.30 | 9.73 ± 1.21 | −1.27 ± 1.18 | |
| 9–9.9 (p = 0.777 **) | 9.40 ± 0.30 | 10.83 ± 1.24 | −1.42 ± 1.18 | |
| 10–10.9 (p < 0.001 **) | 10.40 ± 0.29 | 12.11 ± 1.22 | −1.7 ± 1.16 | |
| 11–11.9 (p = 0.070 **) | 11.43 ± 0.29 | 12.93 ± 1.46 | −1.5 ± 1.46 | |
| 12–12.9 (p = 0.006 **) | 12.42 ± 0.29 | 13.82 ± 1.64 | −1.4 ± 1.59 | |
| 13–13.9 (p < 0.001 **) | 13.45 ± 0.32 | 14.92 ± 1.56 | −1.46 ± 1.5 |
| Gender | Mean Age ± SD | Median (IQR) | p * |
|---|---|---|---|
| Girls (p < 0.001 **) | −1.417 ± 1.2 | −1.4 (−2.2 − −0.7) | 0.861 |
| Boys (p < 0.001 **) | −1.46 ± 1.277 | −1.5 (−2.2 − −0.6) |
| Age Group (in Years) | CA with SD (in Years) | DA with SD (in Years) | CA-DA with SD (in Years) | p * |
|---|---|---|---|---|
| Girls | ||||
| 3–3.9 (p = 0.253 **) | 3.40 ± 0.36 | 3.86 ± 0.40 | −0.46 ± 0.75 | <0.001 |
| 4–4.9 (p = 0.100 **) | 4.52 ± 0.35 | 6.00 ± 1.03 | −1.47 ± 0.87 | |
| 5–5.9 (p = 0.220 **) | 5.57 ± 0.23 | 7.05 ± 0.38 | −1.47 ± 0.36 | |
| 6–6.9 (p = 0.198 **) | 6.54 ± 0.28 | 8.20 ± 0.66 | −1.65 ± 0.69 | |
| 7–7.9 (p < 0.001 **) | 7.55 ± 0.28 | 8.75 ± 0.86 | −1.08 ± 1.32 | |
| 8–8.9 (p = 0.020 **) | 8.42 ± 0.30 | 9.52 ± 1.13 | −1.1 ± 1.1 | |
| 9–9.9 (p = 0.186 **) | 9.42 ± 0.30 | 10.92 ± 1.31 | −1.5 ± 1.21 | |
| 10–10.9 (p = 0.003 **) | 10.41 ± 0.28 | 11.97 ± 1.20 | −1.55 ± 1.11 | |
| 11–11.9 (p = 0.001 **) | 11.45 ± 0.29 | 13.19 ± 1.37 | −1.73 ± 1.36 | |
| 12–12.9 (p = 0.016 **) | 12.40 ± 0.28 | 13.73 ± 1.67 | −1.32 ± 1.62 | |
| 13–13.9 (p < 0.001 **) | 13.48 ± 0.33 | 15.03 ± 1.60 | −1.55 ± 1.54 | |
| Boys | ||||
| 3–3.9 (p = - **) | 3.25 ± 0.35 | 3.40 ± 0.56 | −0.15 ± 0.21 | 0.152 |
| 4–4.9 (p = 0.110 **) | 4.37 ± 0.21 | 5.24 ± 1.55 | −0.87 ± 1.41 | |
| 5–5.9 (p = 0.058 **) | 5.51 ± 0.32 | 7.03 ± 0.56 | −1.51 ± 0.45 | |
| 6–6.9 (p < 0.001 **) | 6.56 ± 0.30 | 8.23 ± 0.92 | −1.66 ± 0.84 | |
| 7–7.9 (p < 0.001 **) | 7.56 ± 0.28 | 9.10 ± 1.22 | −1.53 ± 1.17 | |
| 8–8.9 (p = 0.017 **) | 8.49 ± 0.30 | 9.96 ± 1.26 | −1.46 ± 1.25 | |
| 9–9.9 (p = 0.608 **) | 9.36 ± 0.30 | 10.69 ± 1.14 | −1.32 ± 1.14 | |
| 10–10.9 (p = 0.003 **) | 10.37 ± 0.29 | 12.40 ± 1.25 | −2.02 ± 1.24 | |
| 11–11.9 (p = 0.182 **) | 11.40 ± 0.29 | 12.59 ± 1.52 | −1.19 ± 1.53 | |
| 12–12.9 (p = 0.063 **) | 12.44 ± 0.31 | 13.97 ± 1.61 | −1.52 ± 1.57 | |
| 13–13.9 (p = 0.002 **) | 13.40 ± 0.29 | 14.72 ± 1.51 | −1.32 ± 1.43 | |
Publisher’s Note: MDPI stays neutral with regard to jurisdictional claims in published maps and institutional affiliations. |
© 2022 by the authors. Licensee MDPI, Basel, Switzerland. This article is an open access article distributed under the terms and conditions of the Creative Commons Attribution (CC BY) license (https://creativecommons.org/licenses/by/4.0/).
Share and Cite
Moca, A.E.; Ciavoi, G.; Todor, B.I.; Negruțiu, B.M.; Cuc, E.A.; Dima, R.; Moca, R.T.; Vaida, L.L. Validity of the Demirjian Method for Dental Age Estimation in Romanian Children. Children 2022, 9, 567. https://doi.org/10.3390/children9040567
Moca AE, Ciavoi G, Todor BI, Negruțiu BM, Cuc EA, Dima R, Moca RT, Vaida LL. Validity of the Demirjian Method for Dental Age Estimation in Romanian Children. Children. 2022; 9(4):567. https://doi.org/10.3390/children9040567
Chicago/Turabian StyleMoca, Abel Emanuel, Gabriela Ciavoi, Bianca Ioana Todor, Bianca Maria Negruțiu, Emilia Albinița Cuc, Raluca Dima, Rahela Tabita Moca, and Luminița Ligia Vaida. 2022. "Validity of the Demirjian Method for Dental Age Estimation in Romanian Children" Children 9, no. 4: 567. https://doi.org/10.3390/children9040567
APA StyleMoca, A. E., Ciavoi, G., Todor, B. I., Negruțiu, B. M., Cuc, E. A., Dima, R., Moca, R. T., & Vaida, L. L. (2022). Validity of the Demirjian Method for Dental Age Estimation in Romanian Children. Children, 9(4), 567. https://doi.org/10.3390/children9040567

