A Gigantic Congenital Right Atrial Appendage Aneurysm in an Infant: Ten-Year Follow-Up
Abstract
1. Clinical Presentation
2. Management
3. Discussion
4. Follow-Up
5. Conclusions
6. Learning Objectives
- RAAA can remain asymptomatic for a long period of time, especially in children.
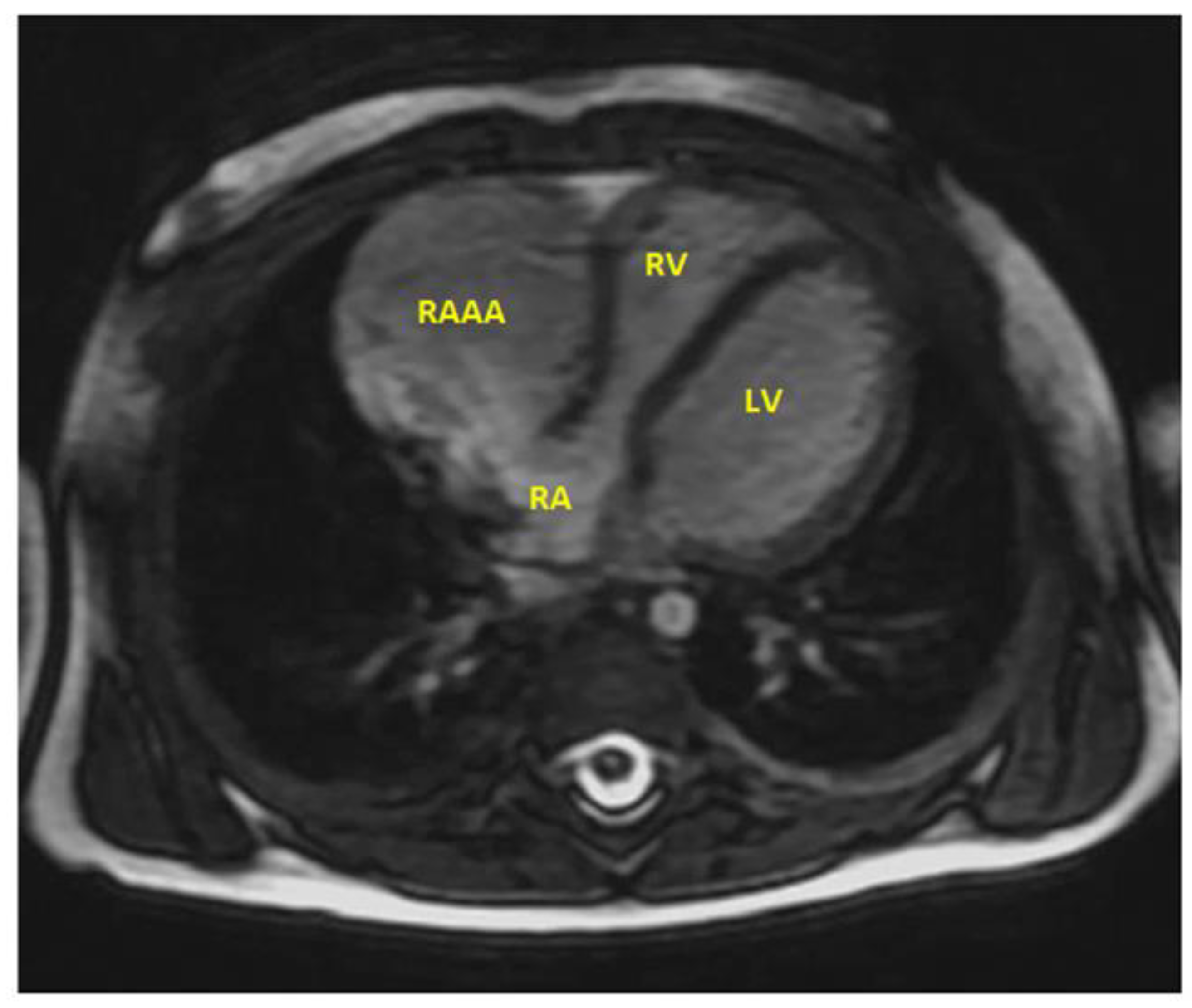
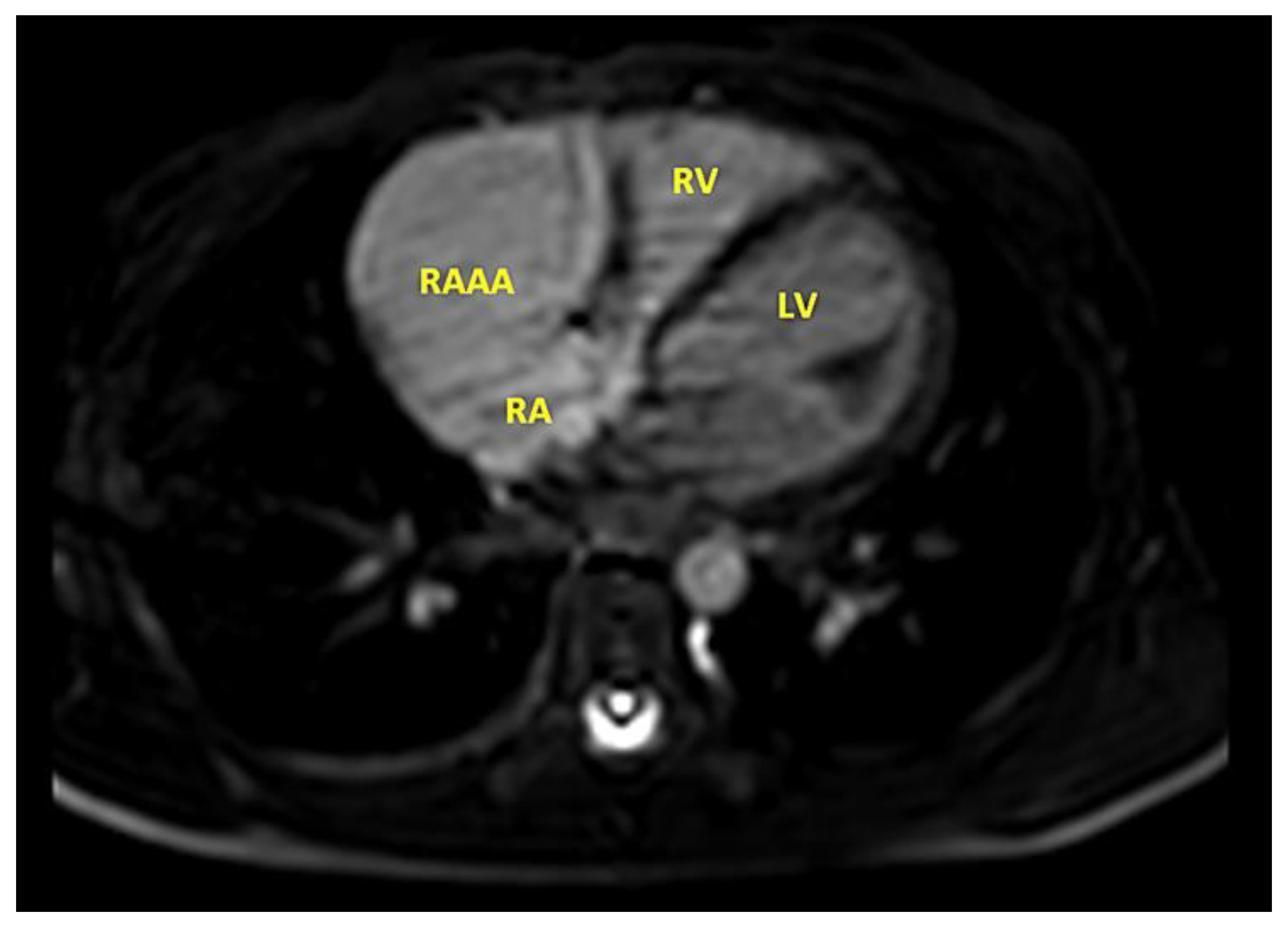
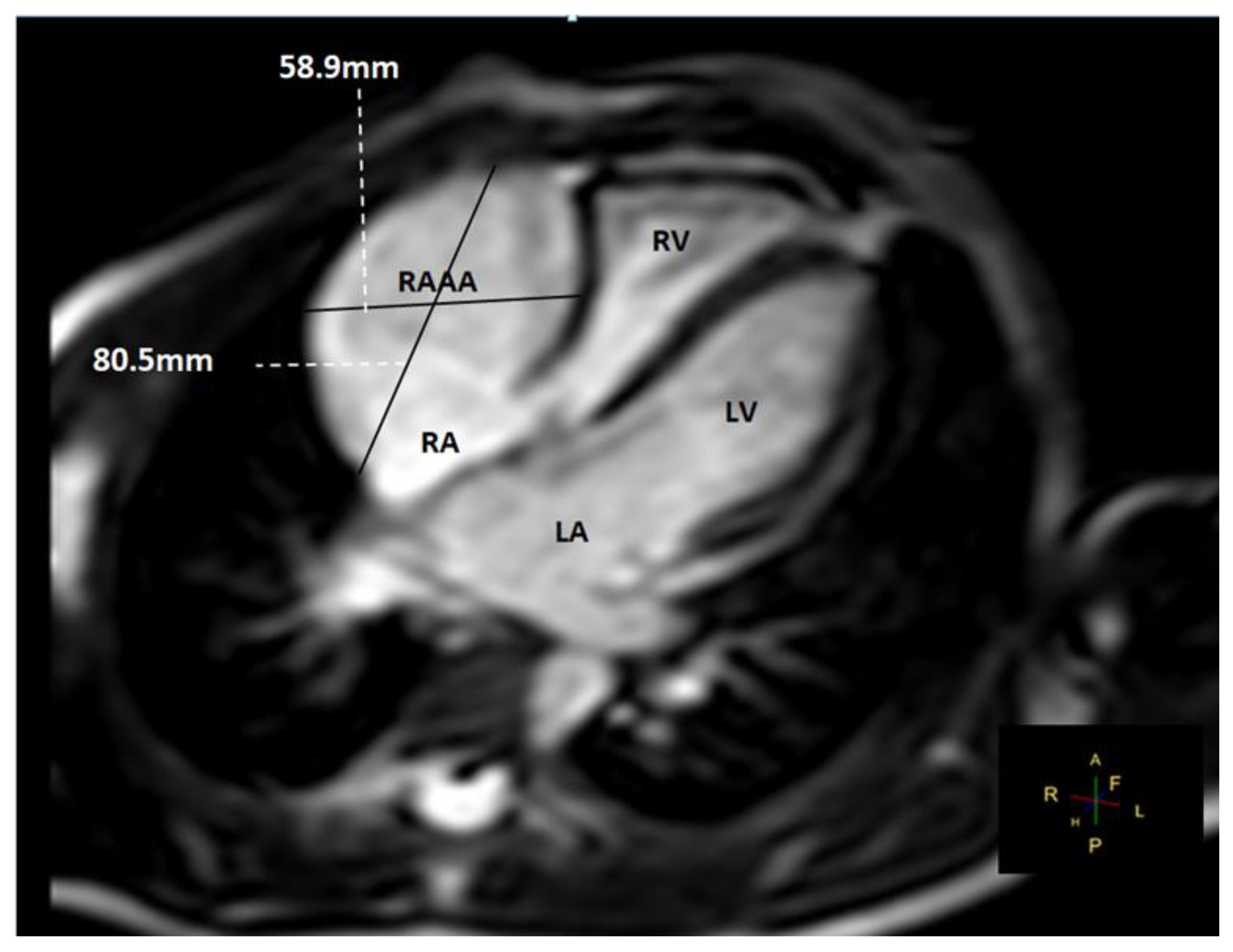
- MRI provides useful information regarding the cardiac structure, the thickness of the wall, and the route of the right coronary artery, as well as potential sites of compression.
- In patients who have not undergone surgery, close follow-ups and treatment are needed in order to avoid life-threatening complications.
- There is a need for a national or international registry of cases of RAAA in children in order to better understand the natural history of the disease and create guidelines that help us handle similar cases.
Supplementary Materials
Author Contributions
Funding
Informed Consent Statement
Conflicts of Interest
Abbreviations
| RAAA | Right Atrial Appendage Aneurysm |
| RAA | Right Atrial Appendage |
| RV | Right Ventricle |
| RA | Right Atrium |
| LV | Left Ventricle |
| LA | Left Atrium |
| TTE | Transthoracic Echocardiogram |
| ECG | Electrocardiogram |
| MRI | Magnetic Resonance Imaging |
| A.T. | Atrial Tachyarrhythmia |
| TV | Tricuspid Valve |
| TAPSE | Tricuspid Annular Plane Systolic Excursion |
| GS | Global Strain |
| FWS | Free Wall Strain |
References
- Aryal, M.R.; Hakim, F.A.; Giri, S.; Ghimire, S.; Pandit, A.; Bhandari, Y.; Pradhan, R. Right atrial appendage aneurysm: A systematic review. Echocardiography 2014, 31, 534–539. [Google Scholar] [CrossRef] [PubMed]
- Melo, H.; Moraes Neto, F.; Lapa, C.; Moraes, C.R. Congenital Aneurysm of the Right Atrium: Two Cases Report. Braz. J. Cardiovasc. Surg. 2019, 34, 104–106. [Google Scholar] [CrossRef]
- Bornaun, H.; Yartaşı Tik, E.; Keskindemirci, G.; Ekiz, A.; Öztarhan, K.; Dedeoğlu, R.; Çetinkaya, M. Right Atrial Appendage Aneurysm in a Newborn Diagnosed with Fetal Echocardiography. Case Rep. Pediatr. 2016, 2016, 8616918. [Google Scholar] [CrossRef]
- Hafez, M.; Rakha, S.; Sobh, D.M. Multi-Modal Imaging of a Large-sized Right Atrial Appendage Aneurysm in Infancy. J. Cardiovasc. Imaging 2022, 30, 92–94. [Google Scholar] [CrossRef] [PubMed]
- San Agustin, J.T.; Klena, N.; Granath, K.; Panigrahy, A.; Stewart, E.; Devine, W.; Strittmatter, L.; Jonassen, J.A.; Liu, X.; Lo, C.W.; et al. Genetic link between renal birth defects and congenital heart disease. Nat. Commun. 2016, 7, 11103, Erratum in: Nat. Commun. 2016, 7, 11910. [Google Scholar] [CrossRef] [PubMed]
- Zhang, Y.; Li, X.M.; Jiang, H.; Jin, Y.Q.; Zhang, F.Q.; Liu, H.J.; Ge, H.Y. Right Atrial Appendage Aneurysm Resection to Cure Aneurysm-Related Atrial Tachyarrhythmia. Pediatr. Cardiol. 2019, 40, 1144–1150. [Google Scholar] [CrossRef]
- Sato, Y.; Satokawa, H.; Yamamoto, A.; Yokoyama, H.; Maehara, K. Giant right atrial diverticulum with thrombus formation. Asian Cardiovasc. Thorac. Ann. 2015, 23, 314–316. [Google Scholar] [CrossRef] [PubMed]
- Kim, Y.W.; Kim, H.J.; Ju, M.H.; Lee, J.W. The Treatment of Left Atrial Appendage Aneurysm by a Minimally Invasive Approach. Korean J. Thorac. Cardiovasc. Surg. 2018, 51, 146–148. [Google Scholar] [CrossRef]
- Corti, F.; Sciuchetti, J.F.; Ferro, O.; Porta, F.; Redaelli, M.; Paolini, G. Symptomatic right atrial appendance aneurysm: Diagnosis and resection. J. Cardiovasc. Med. 2008, 9, 314–316. [Google Scholar] [CrossRef] [PubMed]
- Mizui, S.; Mori, K.; Kuroda, Y. Ectopic atrial tachycardia due to aneurysm of the right atrial appendage. Cardiol. Young 2001, 11, 229–232. [Google Scholar] [CrossRef]
- Zhang, Y.; Li, X.; Jin, Y. Successful resection of giant right atrial appendage aneurysm to cure chaotic atrial tachycardia in a child: Case report. Cardiol. Young 2018, 28, 747–750. [Google Scholar] [CrossRef] [PubMed]
- Wang, X.; Liu, J.J.; Han, J.C.; Sun, L.; Zhang, Y.; Gu, X.Y.; He, Y.H. Fetal atrial appendage aneurysm: Prenatal diagnosis by echocardiography and prognosis. Echocardiography 2021, 38, 1228–1234. [Google Scholar] [CrossRef]
- Yue, J.; Wang, Q.; Liu, B.; Zhou, L. A giant right atrial appendage aneurysm in an infant: A case report. Echocardiography 2022, 39, 745–748. [Google Scholar] [CrossRef]










Publisher’s Note: MDPI stays neutral with regard to jurisdictional claims in published maps and institutional affiliations. |
© 2022 by the authors. Licensee MDPI, Basel, Switzerland. This article is an open access article distributed under the terms and conditions of the Creative Commons Attribution (CC BY) license (https://creativecommons.org/licenses/by/4.0/).
Share and Cite
Belegrinos, A.; Giannakopoulou, A.; Nikolakea, M.; Karanasios, E.; Mavrogeni, S.; Markousis-Mavrogenis, G. A Gigantic Congenital Right Atrial Appendage Aneurysm in an Infant: Ten-Year Follow-Up. Children 2022, 9, 1552. https://doi.org/10.3390/children9101552
Belegrinos A, Giannakopoulou A, Nikolakea M, Karanasios E, Mavrogeni S, Markousis-Mavrogenis G. A Gigantic Congenital Right Atrial Appendage Aneurysm in an Infant: Ten-Year Follow-Up. Children. 2022; 9(10):1552. https://doi.org/10.3390/children9101552
Chicago/Turabian StyleBelegrinos, Antonios, Aikaterini Giannakopoulou, Melina Nikolakea, Evaggelos Karanasios, Sophie Mavrogeni, and George Markousis-Mavrogenis. 2022. "A Gigantic Congenital Right Atrial Appendage Aneurysm in an Infant: Ten-Year Follow-Up" Children 9, no. 10: 1552. https://doi.org/10.3390/children9101552
APA StyleBelegrinos, A., Giannakopoulou, A., Nikolakea, M., Karanasios, E., Mavrogeni, S., & Markousis-Mavrogenis, G. (2022). A Gigantic Congenital Right Atrial Appendage Aneurysm in an Infant: Ten-Year Follow-Up. Children, 9(10), 1552. https://doi.org/10.3390/children9101552

