Deformity Reconstruction Surgery for Blount’s Disease
Abstract
:1. Introduction
2. Etiology and Pathophysiology
3. ITV Differential Diagnosis and Clinical Features
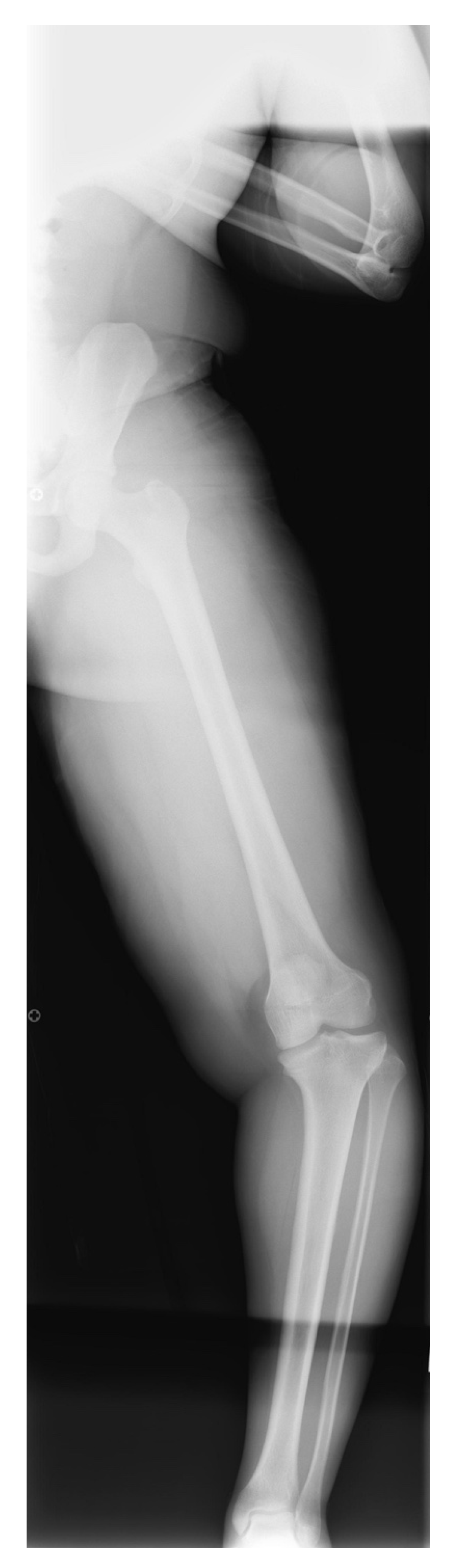
4. Radiographic Imaging
5. Radiographic Analysis
6. Diagnosis
7. Staging
8. Natural History
9. Non-Operative Treatment
10. Surgical Planning
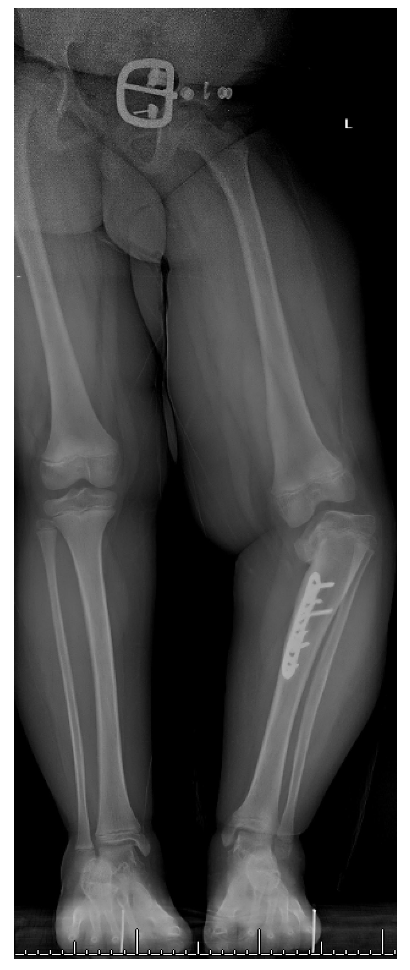
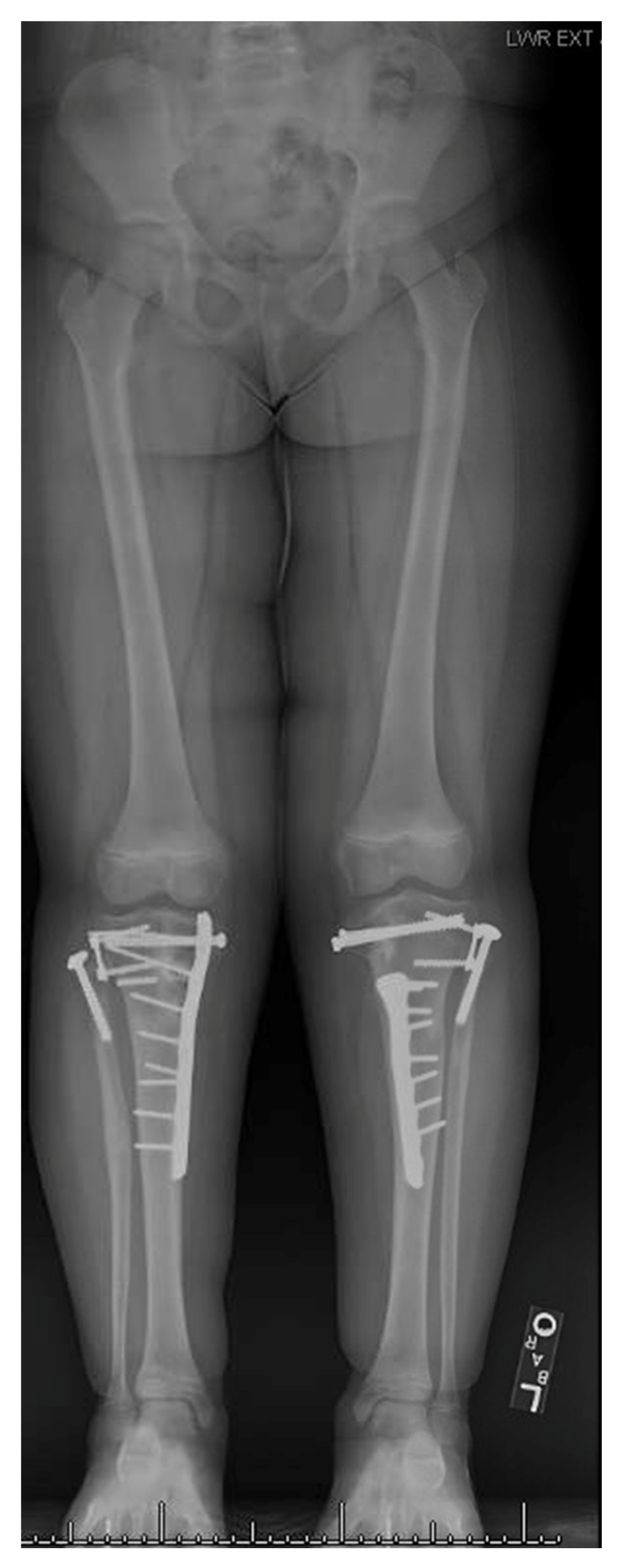
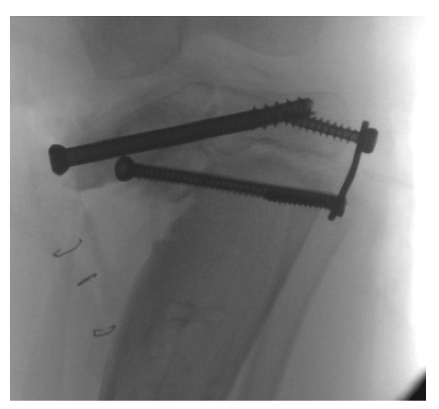
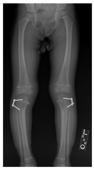
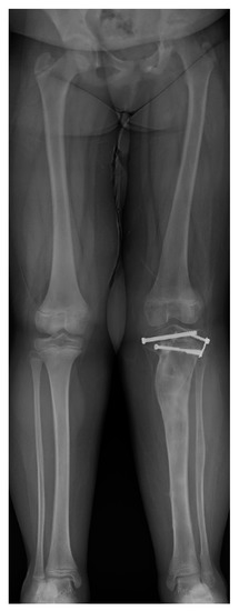
11. Hemi-Epiphysiodesis
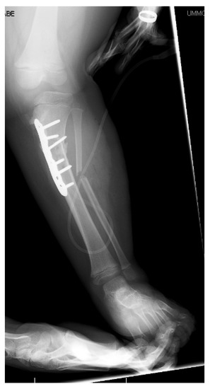
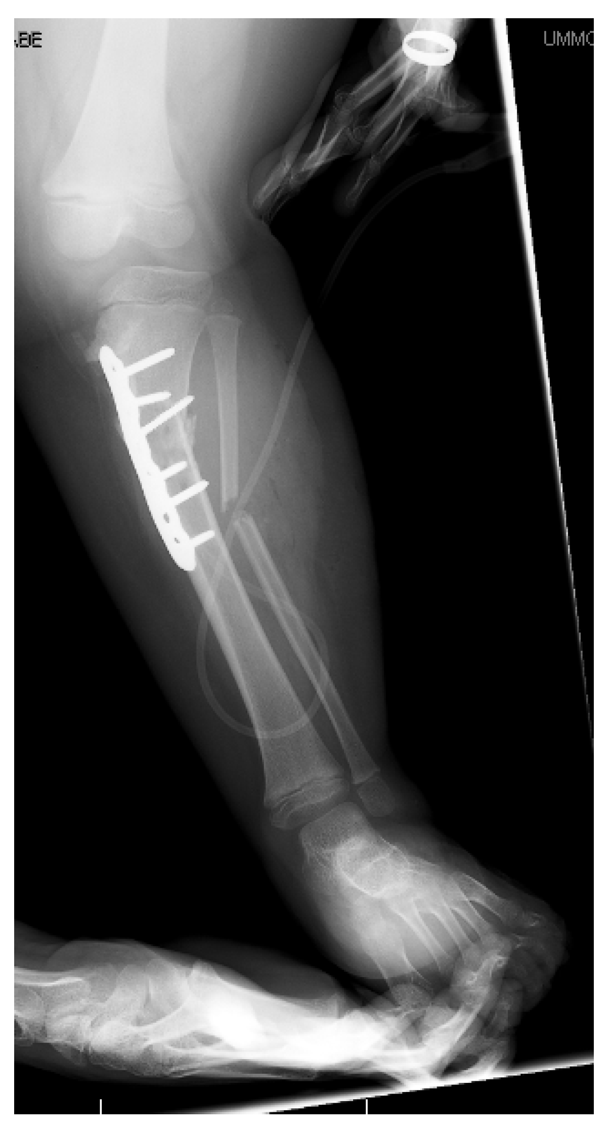
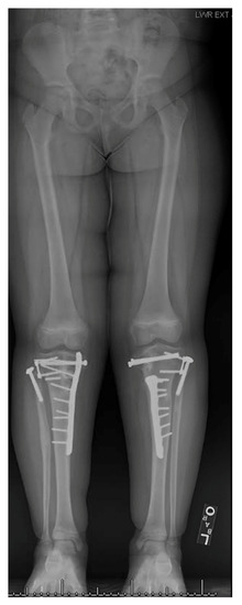
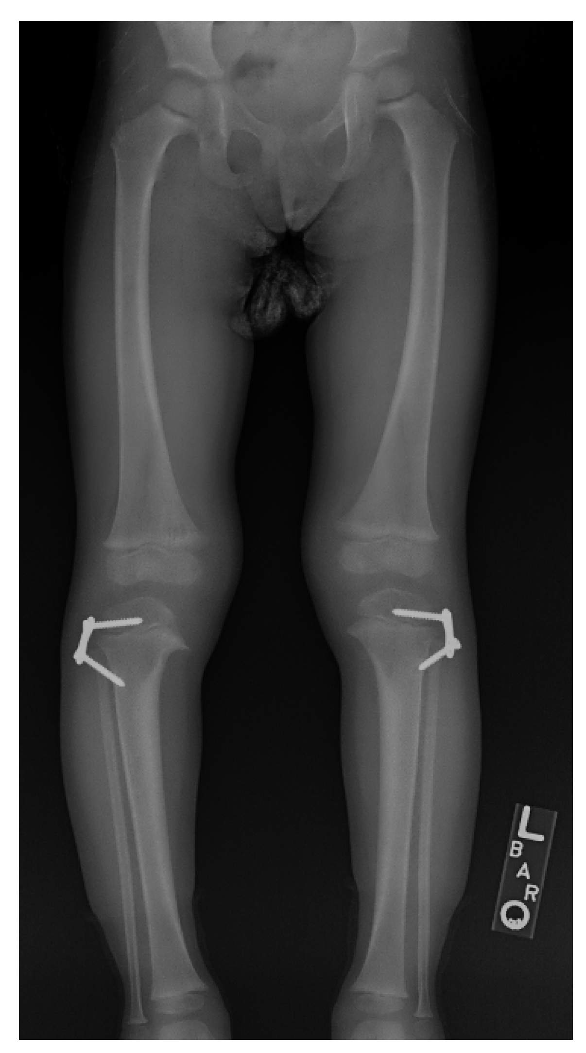
12. Physeal Arrest Resection
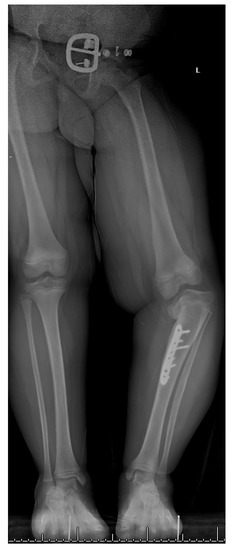
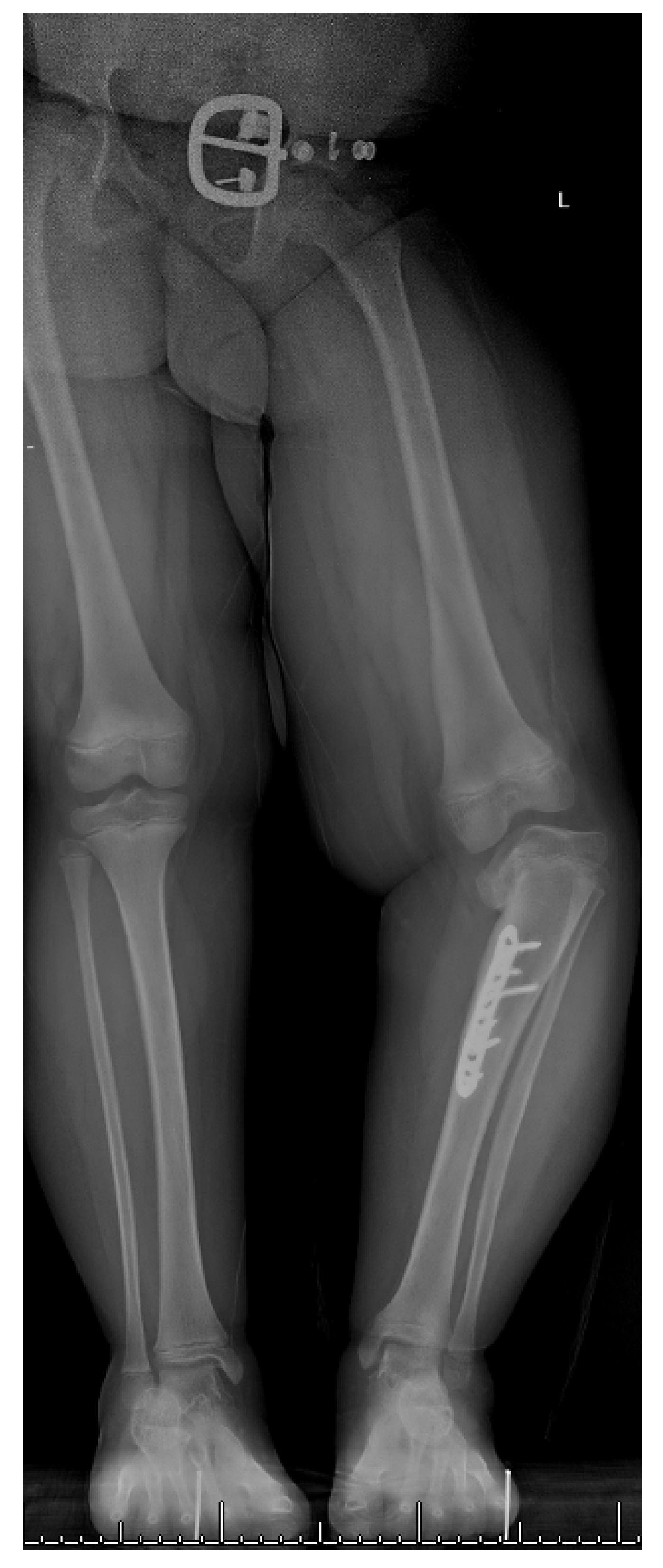
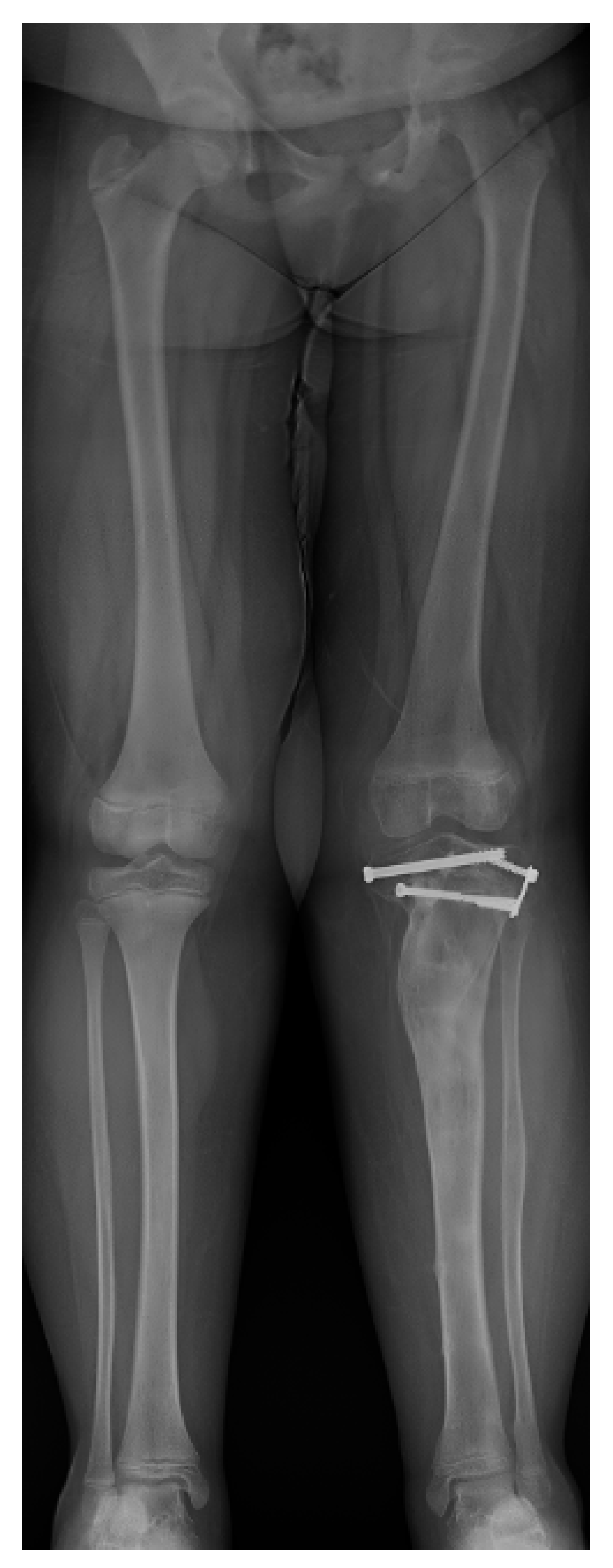
13. Osteotomies with Acute Correction
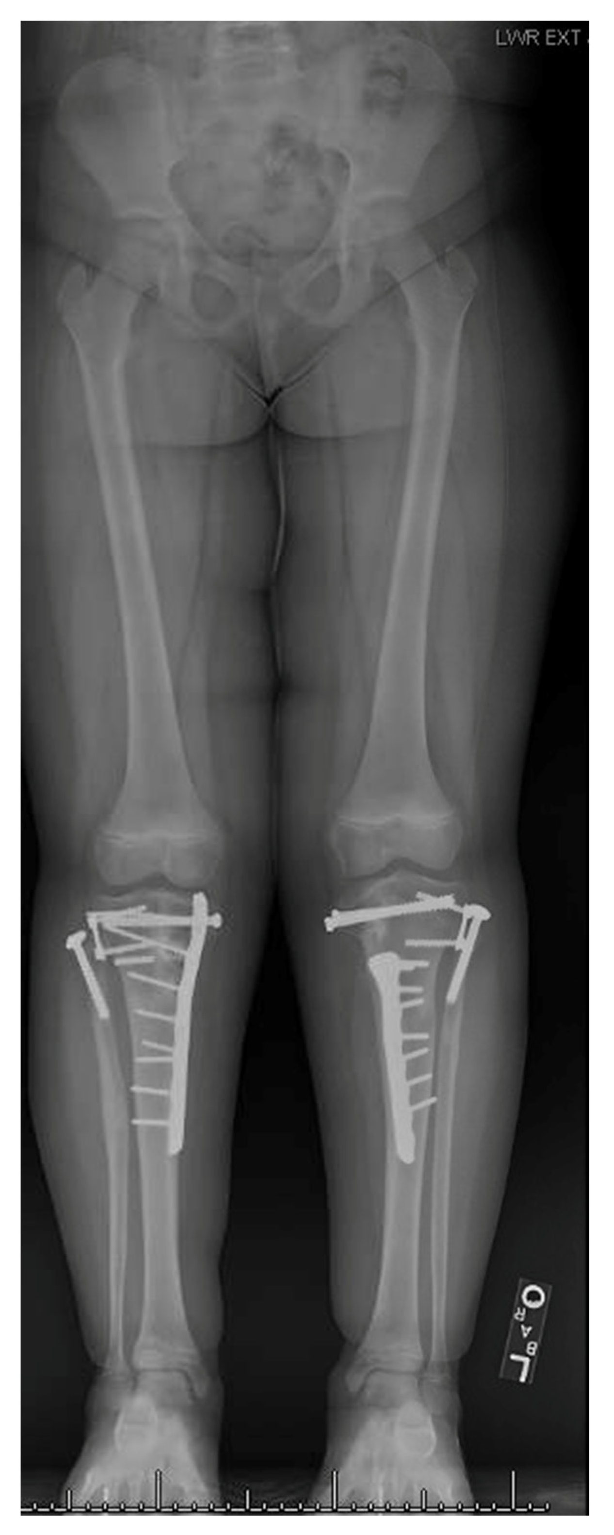
14. Hemi-Plateau Elevation Osteotomy
15. Combined Osteotomies
16. Epiphysiodesis
17. Gradual Correction with External Fixation
18. Late-Onset Tibia Vara (LOTV)
19. Conclusions
Funding
Data Availability Statement
Acknowledgments
Conflicts of Interest
References
- Sabharwal, S.; Sabharwal, S. Treatment of Infantile Blount Disease: An Update. J. Pediatr. Orthop. 2017, 37, S26–S31. [Google Scholar] [CrossRef]
- Smith, S.L.; Pugh, L.I. Treatment of Late-Onset Tibia Vara Using Afghan Percutaneous Osteotomy and Orthofix External Fixation. J. Pediatr. Orthop. 2000, 20, 5. [Google Scholar] [CrossRef]
- Erlacher, P. Deformierende prozesse der epiphysengegend bei kindern. Arch. Orthopädische Unf. -Chir. Bes. Berücksichtigung Frakturenlehre Orthopädisch Chir. Tech. 1922, 20, 81–96. [Google Scholar] [CrossRef]
- Blount, W.P. Tibia Vara Osteochondrosis Deformans Tibiae. J. Bone Jt. Surg. 1937, 19, 1–29. [Google Scholar]
- Kessel, L. Annotations on the etiology and treatment of tibia vara. J. Bone Jt. Surg. Br. Vol. 1970, 52, 93–99. [Google Scholar] [CrossRef]
- Thompson, G.H.; Carter, J.R. Late-onset tibia vara (Blount’s disease). Current concepts. Clin. Orthop. Relat. Res. 1990, 255, 24–35. [Google Scholar]
- Sabharwal, S.; Lee, J., Jr.; Zhao, C. Multiplanar Deformity Analysis of Untreated Blount Disease. J. Pediatr. Orthop. 2007, 27, 260–265. [Google Scholar] [CrossRef]
- Myers, T.G.; Fishman, M.K.; McCarthy, J.J.; Davidson, R.S.; Gaughan, J. Incidence of Distal Femoral and Distal Tibial Deformities in Infantile and Adolescent Blount Disease. J. Pediatr. Orthop. 2005, 25, 215–218. [Google Scholar] [CrossRef]
- Rivero, S.M.; Zhao, C.; Sabharwal, S. Are patient demographics different for early-onset and late-onset Blount disease? Results based on meta-analysis. J. Pediatr. Orthop. B 2015, 24, 515–520. [Google Scholar] [CrossRef]
- Sabharwal, S. Blount Disease. J. Bone Jt. Surg. Am. Vol. 2009, 91, 1758–1776. [Google Scholar] [CrossRef]
- Hofmann, A.; Jones, R.E.; Herring, J.A. Blount’s disease after skeletal maturity. J. Bone Jt. Surg. Am. Vol. 1982, 64, 1004–1009. [Google Scholar] [CrossRef]
- Ingvarsson, T.; Hägglund, G.; Ramgren, B.; Jonsson, K.; Zayer, M. Long-term results after adolescent Blount’s disease. J. Pediatr. Orthop. Part B 1997, 6, 153–156. [Google Scholar] [CrossRef]
- Zayer, M. Osteoarthritis following Blount’s disease. Int. Orthop. 1980, 4, 63–66. [Google Scholar] [CrossRef] [PubMed]
- Langenskiöld, A. Tibia vara: Osteochondrosis deformans tibiae. Blount’s disease. Clin. Orthop. Relat. Res. 1981, 158, 77–82. [Google Scholar] [CrossRef]
- Birch, J.G. Blount disease. J. Am. Acad. Orthop. Surg. 2013, 21, 408–418. [Google Scholar] [PubMed]
- Banwarie, R.R.; Hollman, F.; Meijs, N.; Arts, J.J.; Vroemen, P.; Moh, P.; Staal, H.M. Insight into the possible aetiologies of Blount’s disease: A systematic review of the literature. J. Pediatr. Orthop. B 2020, 29, 323–336. [Google Scholar] [CrossRef] [PubMed]
- Beskin, J.L.; Burke, S.W.; Johnston, C.E.; Roberts, J.M. Clinical Basis for a Mechanical Etiology in Adolescent Blount’s Disease; Slack Incorporated: Thorofare, NJ, USA, 1986. [Google Scholar]
- Gregosiewicz, A.; Wośko, I.; Kandzierski, G.; Drabik, Z. Double-elevating osteotomy of tibiae in the treatment of severe cases of Blount’s disease. J. Pediatr. Orthop. 1989, 9, 178–181. [Google Scholar] [CrossRef]
- Sabharwal, S.; Zhao, C.; McClemens, E. Correlation of Body Mass Index and Radiographic Deformities in Children with Blount Disease. J. Bone Jt. Surg. 2007, 89, 1275–1283. [Google Scholar] [CrossRef]
- Güven, A.; Hancili, S.; Kuru, L.I. Obesity and Increasing Rate of Infantile Blount Disease. Clin. Pediatr. 2014, 53, 539–543. [Google Scholar] [CrossRef]
- Lisenda, L.; Simmons, D.; Firth, G.B.; Ramguthy, Y.; Kebashni, T.; Robertson, A.J.F. Vitamin D Status in Blount Disease. J. Pediatr. Orthop. 2016, 36, e59–e62. [Google Scholar] [CrossRef]
- Pirpiris, M.; Jackson, K.R.; Farng, E.; Bowen, R.E.; Otsuka, N.Y. Body Mass Index and Blount Disease. J. Pediatr. Orthop. 2006, 26, 659–663. [Google Scholar] [CrossRef]
- Dietz, F.R.; Merchant, T.C. Indications for osteotomy of the tibia in children. J. Pediatr. Orthop. 1990, 10, 486–490. [Google Scholar] [CrossRef]
- Wenger, D.R.; Mickelson, M.; Maynard, J.A. The Evolution and Histopathology of Adolescent Tibia Vara. J. Pediatr. Orthop. 1984, 4, 78–88. [Google Scholar] [CrossRef] [PubMed]
- Schoenecker, P.L.; Johnston, R.; Rich, M.M.; Capelli, A.M. Elevation of the medical plateau of the tibia in the treatment of Blount disease. J. Bone Jt. Surg. Am. Vol. 1992, 74, 351–358. [Google Scholar] [CrossRef]
- Kline, S.C.; Bostrum, M.; Griffin, P.P. Femoral Varus: An Important Component in Late-Onset Blount’s Disease. J. Pediatr. Orthop. 1992, 12, 197–206. [Google Scholar] [CrossRef]
- Park, S.-S.; Gordon, J.E.; Luhmann, S.J.; Dobbs, M.B.; Schoenecker, P.L. Outcome of Hemiepiphyseal Stapling for Late-Onset Tibia Vara. J. Bone Jt. Surg. 2005, 87, 2259–2266. [Google Scholar]
- Aird, J.J.; Hogg, A.; Rollinson, P. Femoral torsion in patients with Blount’s disease: A previously unrecognised component. J. Bone Jt. Surg. Br. Vol. 2009, 91, 1388–1393. [Google Scholar] [CrossRef]
- Gordon, J.E.; Heidenreich, F.P.; Carpenter, C.J.; Kelly-Hahn, J.; Schoenecker, P.L. Comprehensive Treatment of Late-Onset Tibia Vara. J. Bone Jt. Surg. Br. Vol. 2005, 87, 1561–1570. [Google Scholar]
- Brooks, W.; Gross, R. Genu Varum in Children: Diagnosis and Treatment. J. Am. Acad. Orthop. Surg. 1995, 3, 326–335. [Google Scholar] [CrossRef] [PubMed] [Green Version]
- Davids, J.R.; Blackhurst, D.W.; Allen, B.L., Jr. Clinical evaluation of bowed legs in children. J. Pediatr. Orthop. Part B 2000, 9, 278–284. [Google Scholar] [CrossRef]
- Paley, D.; Herzenberg, J.; Tetsworth, K.; Mckie, J.; Bhave, A. Deformity Planning for Frontal and Sagittal Plane Corrective Osteotomies. Orthop. Clin. N. Am. 1994, 25, 425–465. [Google Scholar] [CrossRef]
- Salenius, P.; Vankka, E. The development of the tibiofemoral angle in children. J. Bone Jt. Surg. 1975, 57, 259–261. [Google Scholar] [CrossRef]
- Henderson, R.C.; Kemp, G.J. Assessment of the mechanical axis in adolescent tibia vara. Orthopedics 1991, 14, 313–316. [Google Scholar]
- Paley, D. Normal Lower Limb Alignment and Joint Orientation. In Principles of Deformity Correction; Paley, D., Ed.; Springer: Berlin/Heidelberg, Germany, 2002; pp. 1–18. ISBN 978-3-642-59373-4. [Google Scholar]
- Sachs, O.; Katzman, A.; Abu-Johar, E.; Eidelman, M. Treatment of Adolescent Blount Disease Using Taylor Spatial Frame with and without Fibular Osteotomy: Is There any Difference? J. Pediatr. Orthop. 2015, 35, 501–506. [Google Scholar] [CrossRef] [PubMed]
- Feldman, M.D.; Schoenecker, P.L. Use of the metaphyseal-diaphyseal angle in the evaluation of bowed legs. J. Bone Jt. Surg. Am. Vol. 1993, 75, 1602–1609. [Google Scholar] [CrossRef] [PubMed]
- Langenskiold, A. Tibia vara; (osteochondrosis deformans tibiae); a survey of 23 cases. Acta Chir. Scand. 1952, 103, 1–22. [Google Scholar]
- Levine, A.M.; Drennan, J.C. Physiological bowing and tibia vara. The metaphyseal-diaphyseal angle in the measurement of bowleg deformities. J. Bone Jt. Surg. Am. Vol. 1982, 64, 1158–1163. [Google Scholar] [CrossRef]
- Langenskiöld, A.; Riska, E.B. Tibia vara (osteochondrosis deformans tibiae): A survey of seventy-one cases. J. Bone Jt. Surg. 1964, 46, 1405–1420. [Google Scholar] [CrossRef]
- Stricker, S.J.; Edwards, P.M.; Tidwell, M.A. Langenskiöld classification of tibia vara: An assessment of interobserver variability. J. Pediatr. Orthop. 1994, 14, 152–155. [Google Scholar] [CrossRef]
- Erkus, S.; Turgut, A.; Kalenderer, O. Langenskiöld Classification for Blount Disease: Is It Reliable? Indian J. Orthop. 2019, 53, 662–664. [Google Scholar]
- Shinohara, Y.; Kamegaya, M.; Kuniyoshi, K.; Moriya, H. Natural history of infantile tibia vara. J. Bone Jt. Surg. Br. Vol. 2002, 84, 263–268. [Google Scholar] [CrossRef]
- Craig, J.G.; van Holsbeeck, M.; Zaltz, I. The utility of MR in assessing Blount disease. Skelet. Radiol. 2002, 31, 208–213. [Google Scholar] [CrossRef]
- Tetsworth, K.; Paley, D. Malalignment and degenerative arthropathy. Orthop. Clin. N. Am. 1994, 25, 367–377. [Google Scholar] [CrossRef]
- Sharma, L.; Song, J.; Felson, D.T.; Cahue, S.; Shamiyeh, E.; Dunlop, D.D. The role of knee alignment in disease progression and functional decline in knee osteoarthritis. JAMA 2001, 286, 188–195. [Google Scholar] [CrossRef] [Green Version]
- Brouwer, G.M.; van Tol, A.W.; Bergink, A.P.; Belo, J.N.; Bernsen, R.M.D.; Reijman, M.; Pols, H.A.P.; Bierma-Zeinstra, S.M.A. Association between valgus and varus alignment and the development and progression of radiographic osteoarthritis of the knee. Arthritis Rheum. 2007, 56, 1204–1211. [Google Scholar] [CrossRef] [PubMed]
- Loder, R.T.; Johnston, C.E. Infantile Tibia Vara. J. Pediatr. Orthop. 1987, 7, 639–646. [Google Scholar] [CrossRef]
- Richards, B.S.; Katz, D.E.; Sims, J.B. Effectiveness of brace treatment in early infantile Blount’s disease. J. Pediatr. Orthop. 1998, 18, 374–380. [Google Scholar] [CrossRef] [PubMed]
- Luzo, M.C.d.M.; Montenegro, N.B.; Massa, B.S.F.; Angeli, L.R.A.d.; Cordeiro, F.G.; Guarniero, R. Management of infantile Blount’s disease with molded orthoses: A new perspective. Acta Ortop. Bras. 2016, 24, 85–89. [Google Scholar] [CrossRef] [Green Version]
- Paley, J.; Talor, J.; Levin, A.; Bhave, A.; Paley, D.; Herzenberg, J.E. The multiplier method for prediction of adult height. J. Pediatr. Orthop. 2004, 24, 732–737. [Google Scholar] [CrossRef]
- Stevens, P.M. Guided growth: 1933 to the present. Strateg. Trauma Limb Reconstr. 2006, 1, 29–35. [Google Scholar] [CrossRef] [Green Version]
- Hueter, C. Anatomische Studien an den Extremitätengelenken Neugeborener und Erwachsener. Arch. Pathol. Anat. Physiol. Klin. Medicin. 1863, 28, 253–281. [Google Scholar] [CrossRef]
- Volkmann, R. Chirurgische erfahrungen über knochenverbiegungen und knochenwachsthum. Arch. Pathol. Anat. Physiol. Klin. Med. 1862, 24, 512–540. [Google Scholar] [CrossRef]
- Arkin, A.M.; Katz, J.F. The effects of pressure on epiphyseal growth: The mechanism of plasticity of growing bone. J. Bone Jt. Surg. 1956, 38, 1056–1076. [Google Scholar] [CrossRef]
- Blount, W.P. Control of bone growth by epiphyseal stapling: A preliminary report. J. Bone Jt. Surg. 1949, 31, 464–478. [Google Scholar] [CrossRef]
- Funk, S.S.; Mignemi, M.E.; Schoenecker, J.G.; Lovejoy, S.A.; Mencio, G.A.; Martus, J.E. Hemiepiphysiodesis Implants for Late-onset Tibia Vara: A Comparison of Cost, Surgical Success, and Implant Failure. J. Pediatr. Orthop. 2016, 36, 29–35. [Google Scholar] [CrossRef]
- Burghardt, R.D.; Herzenberg, J.E.; Strahl, A.; Bernius, P.; Kazim, M.A. Treatment failures and complications in patients with Blount disease treated with temporary hemiepiphysiodesis: A critical systematic literature review. J. Pediatr. Orthop. B 2018, 27, 522–529. [Google Scholar] [CrossRef]
- Schroerlucke, S.; Bertrand, S.; Clapp, J.; Bundy, J.; Gregg, F.O. Failure of Orthofix eight-Plate for the Treatment of Blount Disease. J. Pediatr. Orthop. 2009, 29, 57–60. [Google Scholar] [CrossRef]
- Heflin, J.A.; Ford, S.; Stevens, P. Guided growth for tibia vara (Blount’s disease). Medicine 2016, 95, e4951. [Google Scholar] [CrossRef]
- Bushnell, B.D.; May, R.; Campion, E.R.; Schmale, G.A.; Henderson, R.C. Hemiepiphyseodesis for late-onset tibia vara. J. Pediatr. Orthop. 2009, 29, 285–289. [Google Scholar] [CrossRef]
- Westberry, D.E.; Davids, J.R.; Pugh, L.I.; Blackhurst, D. Tibia vara: Results of hemiepiphyseodesis. J. Pediatr. Orthop. B 2004, 13, 374–378. [Google Scholar] [CrossRef]
- Assan, B.R.; Simon, A.; Adjadohoun, S.; Segbedji, G.G.P.; Souchet, P.; Metchioungbe, C.S.; Fiogbe, M.A.; Ilharreborde, B.; Gbenou, A.S. Guided growth vs. Tibial osteotomy at early stage of Blount disease in squelletically immature patients. J. Orthop. 2021, 25, 140–144. [Google Scholar] [CrossRef]
- Wang, D.C.; Deeney, V.; Roach, J.W.; Shah, A.J. Imaging of physeal bars in children. Pediatr. Radiol. 2015, 45, 1403–1412. [Google Scholar] [CrossRef]
- Andrade, N.; Johnston, C.E. Medial Epiphysiolysis in Severe Infantile Tibia Vara. J. Pediatr. Orthop. 2006, 26, 652–658. [Google Scholar] [CrossRef]
- Beck, C.L.; Burke, S.W.; Roberts, J.M.; Johnston, C.E., 2nd. Physeal bridge resection in infantile Blount disease. J. Pediatr. Orthop. 1987, 7, 161–163. [Google Scholar] [CrossRef]
- Laurencin, C.T.; Ferriter, P.J.; Millis, M.B. Oblique proximal tibial osteotomy for the correction of tibia vara in the young. Clin. Orthop. Relat. Res. 1996, 327, 218–224. [Google Scholar] [CrossRef]
- Davids, J.R.; Huskamp, M.; Bagley, A.M. A dynamic biomechanical analysis of the etiology of adolescent tibia vara. J. Pediatr. Orthop. 1996, 16, 461–468. [Google Scholar] [CrossRef]
- Doyle, B.S.; Volk, A.G.; Smith, C.F. Infantile Blount disease: Long-term follow-up of surgically treated patients at skeletal maturity. J. Pediatr. Orthop. 1996, 16, 469–476. [Google Scholar] [CrossRef]
- Delniotis, I.; Leidinger, B.; Kyriakou, A.; Galanis, N. Blount’s disease: The importance of early diagnosis and early treatment. Clin. Case Rep. 2019, 7, 1454–1455. [Google Scholar] [CrossRef] [Green Version]
- Kirgis, A.; Albrecht, S. Palsy of the deep peroneal nerve after proximal tibial osteotomy. An anatomical study. J. Bone Jt. Surg. 1992, 74, 1180–1185. [Google Scholar] [CrossRef]
- Calder, P.; Goodier, D.; Peek, A.C.; Timms, A.; Chin, K.F. Patterns of healing: A comparison of two proximal tibial osteotomy techniques. Strateg. Trauma Limb Reconstr. 2016, 11, 59–62. [Google Scholar] [CrossRef] [Green Version]
- Rab, G.T. Oblique Tibial Osteotomy for Blount’s Disease (Tibia Vara). J. Pediatr. Orthop. 1988, 8, 715–720. [Google Scholar] [CrossRef] [PubMed]
- Khermosh, O.; Wientroub, S. Serrated (W/M) Osteotomy: A New Technique for Simultaneous Correction of Angular and Torsional Deformity of the Lower Limb in Children. J. Pediatr. Orthop. B 1995, 4, 204–208. [Google Scholar] [CrossRef] [PubMed]
- Nogueira, M.P.; Paley, D. Prophylactic and Therapeutic Peroneal Nerve Decompression for Deformity Correction and Lengthening. Oper. Tech. Orthop. 2011, 21, 180–183. [Google Scholar] [CrossRef] [Green Version]
- Paley, D.; Bhatnagar, J.; Herzenberg, J.E.; Bhave, A. New procedures for tightening knee collateral ligaments in conjunction with knee realignment osteotomy. Orthop. Clin. N. Am. 1994, 25, 533–555. [Google Scholar] [CrossRef]
- Chotigavanichaya, C.; Salinas, G.; Green, T.; Moseley, C.F.; Otsuka, N.Y. Recurrence of Varus Deformity After Proximal Tibial Osteotomy in Blount Disease: Long-Term Follow-Up. J. Pediatr. Orthop. 2002, 22, 638–641. [Google Scholar] [CrossRef]
- Maré, P.H.; Thompson, D.M.; Marais, L.C. Predictive Factors for Recurrence in Infantile Blount Disease Treated With Tibial Osteotomy. J. Pediatr. Orthop. 2021, 41, e36–e43. [Google Scholar] [CrossRef]
- Ferriter, P.; Shapiro, F. Infantile tibia vara: Factors affecting outcome following proximal tibial osteotomy. J. Pediatr. Orthop. 1987, 7, 1–7. [Google Scholar] [CrossRef]
- Feldman, D.S.; Madan, S.S.; Ruchelsman, D.E.; Sala, D.A.; Lehman, W.B. Accuracy of Correction of Tibia Vara: Acute Versus Gradual Correction. J. Pediatr. Orthop. 2006, 26, 794–798. [Google Scholar] [CrossRef]
- Stanitski, D.F.; Stanitski, C.L.; Trumble, S. Depression of the medial tibial plateau in early-onset Blount disease: Myth or reality? J. Pediatr. Orthop. 1999, 19, 265–269. [Google Scholar] [CrossRef] [PubMed]
- Accadbled, F.; Laville, J.-M.; Harper, L. One-Step Treatment for Evolved Blount’s Disease. J. Pediatr. Orthop. 2003, 23, 747–752. [Google Scholar] [CrossRef]
- Gkiokas, A.; Brilakis, E. Management of neglected Blount disease using double corrective tibia osteotomy and medial plateau elevation. J. Child. Orthop. 2012, 6, 411–418. [Google Scholar] [CrossRef] [Green Version]
- Baraka, M.M.; Hefny, H.M.; Mahran, M.A.; Fayyad, T.A.; Abdelazim, H.; Nabil, A. Single-stage medial plateau elevation and metaphyseal osteotomies in advanced-stage Blount’s disease: A new technique. J. Child. Orthop. 2021, 15, 12–23. [Google Scholar] [CrossRef] [PubMed]
- Anderson, M.; Green, W.T.; Messner, M.B. Growth and predictions of growth in the lower extremities. J. Bone Jt. Surg. Am. 1963, 45-A, 1–14. [Google Scholar] [CrossRef]
- Paley, D.; Bhave, A.; Herzenberg, J.E.; Bowen, J.R. Multiplier method for predicting limb-length discrepancy. J. Bone Jt. Surg. 2000, 82, 1432. [Google Scholar] [CrossRef] [Green Version]
- Phemister, D.B. Operative arrestment of longitudinal growth of bones in the treatment of deformities. J. Bone Jt. Surg. 1933, 15, 1–15. [Google Scholar]
- Horton, G.A.; Olney, B.W. Epiphysiodesis of the lower extremity: Results of the percutaneous technique. J. Pediatr. Orthop. 1996, 16, 180–182. [Google Scholar] [CrossRef]
- Kemnitz, S.; Moens, P.; Fabry, G. Percutaneous epiphysiodesis for leg length discrepancy. J. Pediatr. Orthop. B 2003, 12, 69–71. [Google Scholar] [PubMed]
- Khoury, J.G.; Tavares, J.O.; McConnell, S.; Zeiders, G.; Sanders, J.O. Results of Screw Epiphysiodesis for the Treatment of Limb Length Discrepancy and Angular Deformity. J. Pediatr. Orthop. 2007, 27, 623–628. [Google Scholar] [CrossRef] [PubMed]
- Surdam, J.W.; Morris, C.D.; DeWeese, J.D.; Drvaric, D.M. Leg length inequality and epiphysiodesis: Review of 96 cases. J. Pediatr. Orthop. 2003, 23, 381–384. [Google Scholar] [CrossRef] [PubMed]
- Price, C.T.; Scott, D.S.; greenberg, D.A. Dynamic Axial External Fixation in the Surgical Treatment of Tibia Vara. J. Pediatr. Orthop. 1995, 15, 236–243. [Google Scholar] [CrossRef]
- Cherkashin, A.M.; Samchukov, M.L.; Birch, J.G.; Da Cunha, A.L.M. Evaluation of complications of treatment of severe Blount’s disease by circular external fixation using a novel classification scheme. J. Pediatr. Orthop. B 2015, 24, 123–130. [Google Scholar] [CrossRef]
- Ingvarsson, T.; Hägglund, G.; Ramgren, B.; Jonsson, K.; Zayer, M. Long-term results after infantile Blount’s disease. J. Pediatr. Orthop. Part B 1998, 7, 226–229. [Google Scholar] [CrossRef]
- Cooke, T.; Pichora, D.; Siu, D.; Scudamore, R.; Bryant, J. Surgical implications of varus deformity of the knee with obliquity of joint surfaces. J. Bone Jt. Surg. Br. Vol. 1989, 71, 560–565. [Google Scholar] [CrossRef] [Green Version]
- De Pablos, J.; Arbeloa-Gutierrez, L.; Arenas-Miquelez, A. Update on treatment of adolescent Blount disease. Curr. Opin. Pediatr. 2018, 30, 71–77. [Google Scholar] [CrossRef]
- Gordon, J.E.; Hughes, M.S.; Shepherd, K.; Szymanski, D.A.; Schoenecker, P.L.; Parker, L.; Uong, E.C. Obstructive sleep apnoea syndrome in morbidly obese children with tibia vara. J. Bone Jt. Surg. Br. Vol. 2006, 88, 100–103. [Google Scholar] [CrossRef] [PubMed] [Green Version]
- Montgomery, C.O.; Young, K.L.; Austen, M.; Jo, C.-H.; Blasier, R.D.; Ilyas, M. Increased Risk of Blount Disease in Obese Children and Adolescents With Vitamin D Deficiency. J. Pediatr. Orthop. 2010, 30, 879–882. [Google Scholar] [CrossRef] [PubMed]
- Gómez-Palomo, J.M.; Meschian-Coretti, S.; Esteban-Castillo, J.L.; García-Vera, J.J.; Montañez-Heredia, E. Double Level Osteotomy Assisted by 3D Printing Technology in a Patient with Blount Disease: A Case Report. J. Bone Jt. Surg. Case Connect. 2020, 10, e0477. [Google Scholar] [CrossRef]
- McIntosh, A.L.; Hanson, C.M.; Rathjen, K.E. Treatment of Adolescent Tibia Vara with Hemiepiphysiodesis: Risk Factors for Failure. J. Bone Jt. Surg. Am. Vol. 2009, 91, 2873–2879. [Google Scholar] [CrossRef]
- Ballal, M.S.; Bruce, C.E.; Nayagam, S. Correcting genu varum and genu valgum in children by guided growth: Temporary hemiepiphysiodesis using tension band plates. J. Bone Jt. Surg. Br. Vol. 2010, 92, 273–276. [Google Scholar] [CrossRef] [Green Version]
- De Pablos, J.; Alfaro, J.; Barrios, C. Treatment of adolescent Blount disease by asymmetric physeal distraction. J. Pediatr. Orthop. 1997, 17, 54–58. [Google Scholar] [CrossRef]
- De Pablos, J.; Franzreb, M. Treatment of adolescent tibia vara by asymmetrical physeal distraction. J. Bone Jt. Surg. Br. Vol. 1993, 75, 592–596. [Google Scholar] [CrossRef] [PubMed] [Green Version]
- Loder, R.T.; Schaffer, J.J.; Bardenstein, M.B. Late-Onset Tibia Vara. J. Pediatr. Orthop. 1991, 11, 162–167. [Google Scholar] [CrossRef] [PubMed]
- Janoyer, M. Blount disease. Orthop. Traumatol. Surg. Res. 2019, 105, S111–S121. [Google Scholar] [CrossRef]
- Kettelkamp, D.B.; Hillberry, B.M.; Murrish, D.E.; Heck, D.A. Degenerative Arthritis of the Knee Secondary to Fracture Malunion. Clin. Orthop. Relat. Res. 1988, 234, 159–169. [Google Scholar] [CrossRef]
- McKellop, H.A.; Llinás, A.; Sarmiento, A. Effects of tibial malalignment on the knee and ankle. Orthop. Clin. N. Am. 1994, 25, 415–423. [Google Scholar] [CrossRef]
























Publisher’s Note: MDPI stays neutral with regard to jurisdictional claims in published maps and institutional affiliations. |
© 2021 by the author. Licensee MDPI, Basel, Switzerland. This article is an open access article distributed under the terms and conditions of the Creative Commons Attribution (CC BY) license (https://creativecommons.org/licenses/by/4.0/).
Share and Cite
Robbins, C.A. Deformity Reconstruction Surgery for Blount’s Disease. Children 2021, 8, 566. https://doi.org/10.3390/children8070566
Robbins CA. Deformity Reconstruction Surgery for Blount’s Disease. Children. 2021; 8(7):566. https://doi.org/10.3390/children8070566
Chicago/Turabian StyleRobbins, Craig A. 2021. "Deformity Reconstruction Surgery for Blount’s Disease" Children 8, no. 7: 566. https://doi.org/10.3390/children8070566
APA StyleRobbins, C. A. (2021). Deformity Reconstruction Surgery for Blount’s Disease. Children, 8(7), 566. https://doi.org/10.3390/children8070566
