Fatal COVID-19 in a Child with Persistence of SARS-CoV-2 Despite Extensive Multidisciplinary Treatment: A Case Report
Abstract
:1. Introduction
2. Case Report
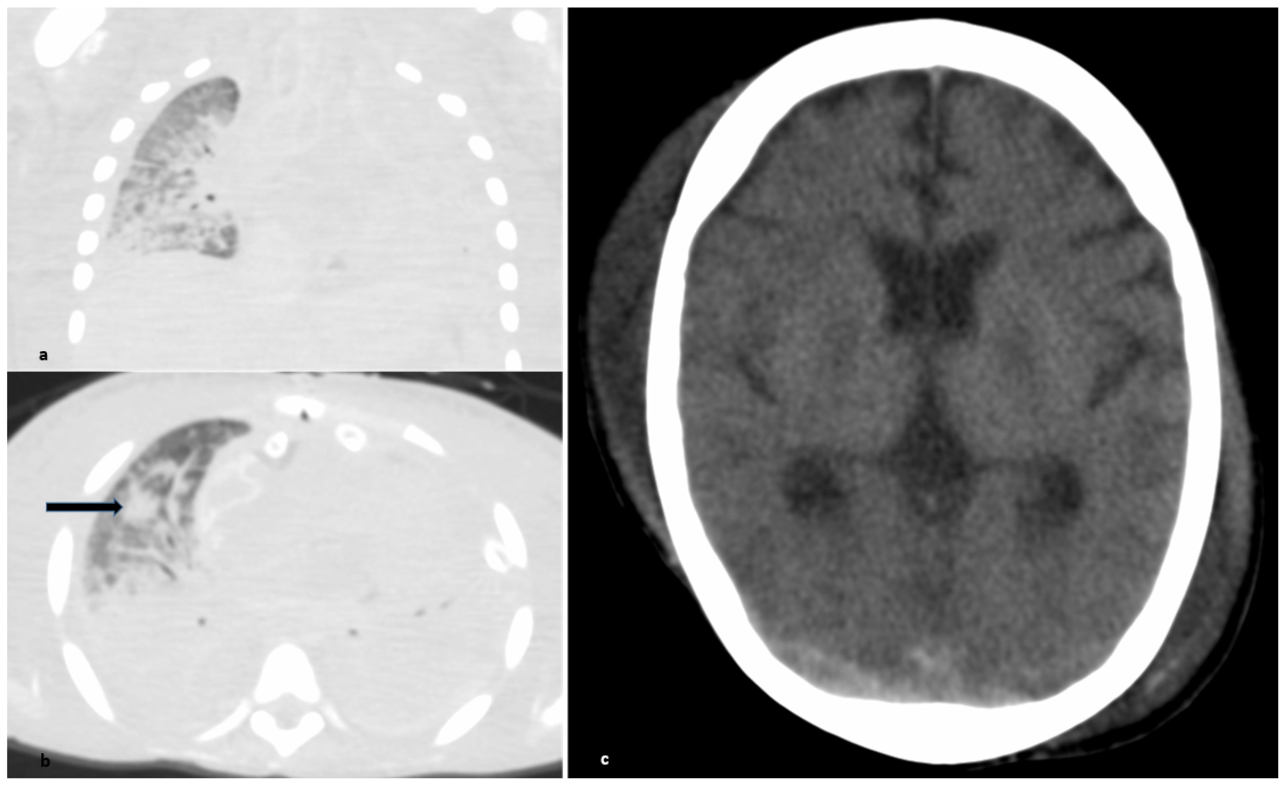
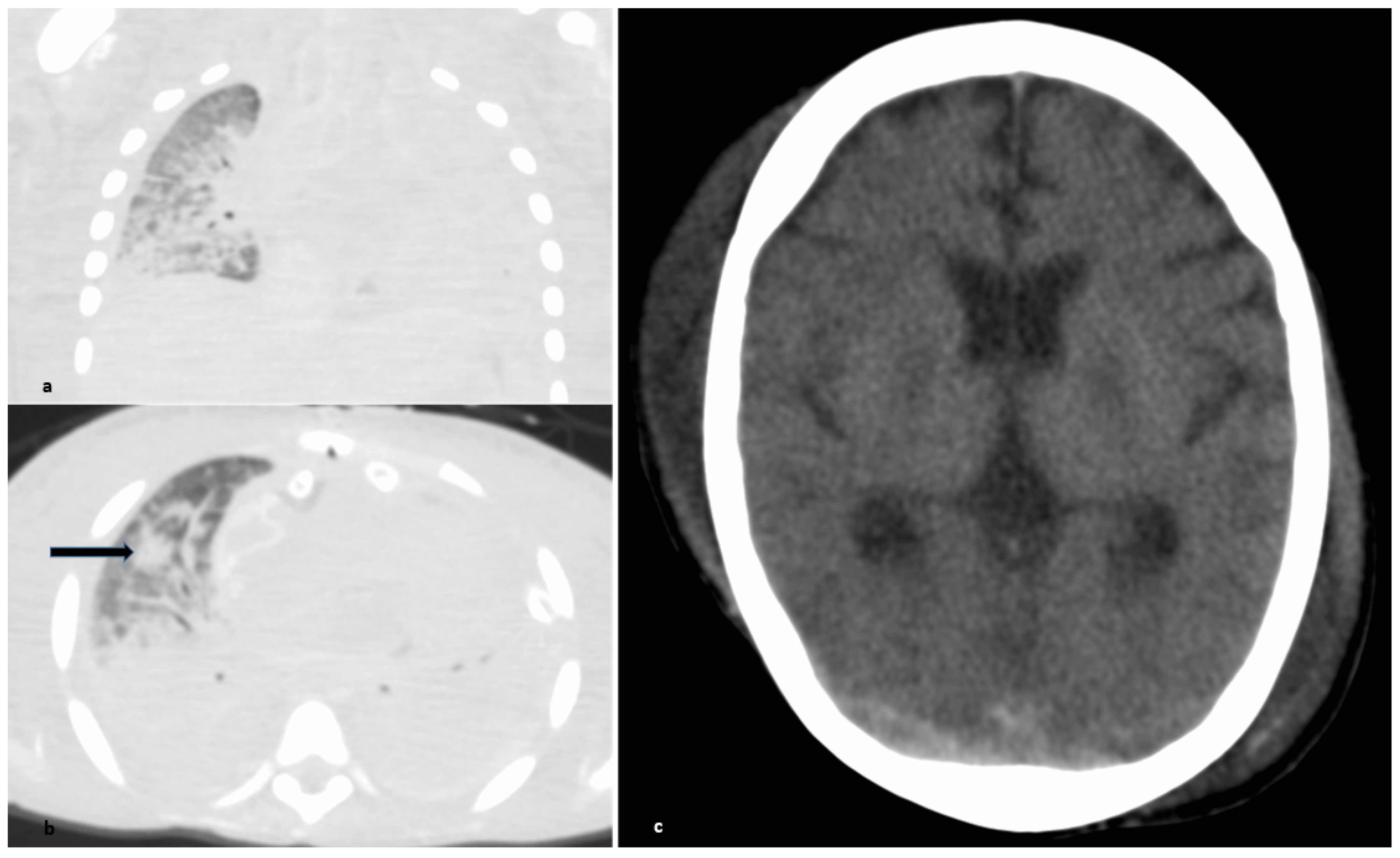
2.1. Respiratory and Cardiovascular System
2.2. Anticoagulation and Transfusion Therapy
2.3. Renal Therapy
2.4. Infection and Inflammation
2.5. Genetic Examination
3. Discussion
4. Conclusions
Supplementary Materials
Author Contributions
Funding
Institutional Review Board Statement
Informed Consent Statement
Conflicts of Interest
References
- Götzinger, F.; Santiago-García, B.; Noguera-Julián, A.; Lanaspa, M.; Lancella, L.; Carducci, F.I.C.; Gabrovska, N.; Velizarova, S.; Prunk, P.; Osterman, V.; et al. COVID-19 in children and adolescents in Europe: A multinational, multicentre cohort study. Lancet Child Adolesc. Health 2020, 4, 653–661. [Google Scholar] [CrossRef]
- García-Salido, A.; de Carlos Vicente, J.C.; Hofheinz, S.B.; Ramirez, J.B.; Barrio, M.S.; Gordillo, I.L.; Yuste, A.H.; Pardellans, C.G.; Tejedor, M.C.-M.; Labarga, B.H.; et al. Severe manifestations of SARS-CoV-2 in children and adolescents: From COVID-19 pneumonia to multisystem inflammatory syndrome: A multicentre study in pediatric intensive care units in Spain. Crit. Care 2020, 24, 666. [Google Scholar] [CrossRef]
- Dong, Y.; Mo, X.; Hu, Y.; Qi, X.; Jiang, F.; Jiang, Z.; Tong, S. Epidemiology of COVID-19 Among Children in China. Pediatrics 2020, 145, e20200702. [Google Scholar] [CrossRef] [PubMed] [Green Version]
- Bhopal, S.S.; Bagaria, J.; Olabi, B.; Bhopal, R. COVID-19 deaths in children: Comparison with all- and other causes and trends in incidence of mortality. Public Health 2020, 188, 32–34. [Google Scholar] [CrossRef]
- Bhopal, S.S.; Bagaria, J.; Olabi, B.; Bhopal, R. Children and young people remain at low risk of COVID-19 mortality. Lancet Child Adolesc. Health 2021, 5, e12–e13. [Google Scholar] [CrossRef]
- Graff, K.; Smith, C.; Silveira, L.; Jung, S.; Curran-Hays, S.; Jarjour, J.; Carpenter, L.; Pickard, K.; Mattiucci, M.; Fresia, J.E.; et al. Risk Factors for Severe COVID-19 in Children. Pediatric Infect. Dis. J. 2021, 40, e137–e145. [Google Scholar] [CrossRef]
- Abrams, J.Y.; Oster, M.E.; Godfred-Cato, S.E.; Bryant, B.; Datta, S.D.; Campbell, A.P.; Leung, J.W.; Tsang, C.A.; Pierce, T.J.; Kennedy, J.L.; et al. Factors linked to severe outcomes in multisystem inflammatory syndrome in children (MIS-C) in the USA: A retrospective surveillance study. Lancet Child Adolesc. Health 2021, 5, S2352–S4642. [Google Scholar] [CrossRef]
- Parekh, D.; Jeewa, A.; Tume, S.C.; Dreyer, W.J.; Pignatelli, R.; Horne, D.; Justino, H.; Qureshi, A.M. Percutaneous Mechanical Circulatory Support Using Impella Devices for Decompensated Cardiogenic Shock: A Pediatric Heart Center Experience. ASAIO J. 2018, 64, 98–104. [Google Scholar] [CrossRef] [PubMed]
- Braun, F.; Lütgehetmann, M.; Pfefferle, S.; Wong, M.N.; Carsten, A.; Lindenmeyer, M.T.; Norz, D.; Heinrich, F.; Meissner, K.; Wichmann, D.; et al. SARS-CoV-2 renal tropism associates with acute kidney injury. Lancet 2020, 396, 597–598. [Google Scholar] [CrossRef]
- Ronco, C.; Reis, T. Kidney involvement in COVID-19 and rationale for extracorporeal therapies. Nat. Rev. Nephrol. 2020, 16, 308–310. [Google Scholar] [CrossRef] [Green Version]
- Nörz, D.; Frontzek, A.; Eigner, U.; Oestereich, L.; Wichmann, D.; Kluge, S.; Fischer, N.; Aepfelbacher, M.; Pfefferle, S.; Lutgehetmann, M. Pushing beyond specifications: Evaluation of linearity and clinical performance of the cobas 6800/8800 SARS-CoV-2 RT-PCR assay for reliable quantification in blood and other materials outside recommendations. J. Clin. Virol. 2020, 132, 104650. [Google Scholar] [CrossRef] [PubMed]
- Nörz, D.; Grunwald, M.; Olearo, F.; Fischer, N.; Aepfelbacher, M.; Pfefferle, S.; Lütgehetmann, M. Evaluation of a fully automated high-throughput SARS-CoV-2 multiplex qPCR assay with built-in screening functionality for del-HV69/70- and N501Y variants such as B.1.1.7. J. Clin. Virol. 2021, 141, 104894. [Google Scholar] [CrossRef] [PubMed]
- Caturegli, G.; Cho, S.M.; White, B.; Chen, L.L. Acute Brain Injury in Infant Venoarterial Extracorporeal Membrane Oxygenation: An Autopsy Study. Pediatric Crit. Care Med. 2021, 22, 297–302. [Google Scholar] [CrossRef] [PubMed]
- Kniep, I.; Lutter, M.; Ron, A.; Edler, C.; Püschel, K.; Ittrich, H.; Heller, M.; Heinemann, A. Postmortale Bildgebung der Lunge bei COVID-19-Todesfällen [Postmortem imaging of the lung in cases of COVID-19 deaths]. Radiologe 2020, 60, 927–933. [Google Scholar] [CrossRef]
- Sperotto, F.; Friedman, K.G.; Son, M.B.F.; VanderPluym, C.J.; Newburger, J.W.; Dionne, A. Cardiac manifestations in SARS-CoV-2-associated multisystem inflammatory syndrome in children: A comprehensive review and proposed clinical approach. Eur. J. Pediatrics 2021, 180, 307–322. [Google Scholar] [CrossRef] [PubMed]
- Biever, P.; Staudacher, D.L.; Sommer, M.J.; Triebel, H.; Neukamm, M.A.; Bode, C.; Supady, A.; Lother, A. Hemoadsorption eliminates remdesivir from the circulation: Implications for the treatment of COVID-19. Pharmacol. Res. Perspect. 2021, 9, e00743. [Google Scholar] [CrossRef]
- Avantaneo, V.; de Nicolò, A.; Cusato, J.; Antonucci, M.; Manca, A.; Palermiti, A.; Waitt, C.; Walimbwa, S.; Lamorde, M.; Di Perri, G.; et al. Development and validation of a UHPLC-MS/MS method for quantification of the prodrug remdesivir and its metabolite GS-441524: A tool for clinical pharmacokinetics of SARS-CoV-2/COVID-19 and Ebola virus disease. J. Antimicrob. Chemother. 2020, 75, 1772–1777. [Google Scholar] [CrossRef]
- Nchioua, R.; Kmiec, D.; Müller, J.A.; Conzelmann, C.; Gross, R.; Swanson, C.M.; Neil, S.J.D.; Stenger, S.; Sauter, D.; Munch, J.; et al. SARS-CoV-2 Is Restricted by Zinc Finger Antiviral Protein despite Preadaptation to the Low-CpG Environment in Humans. mBio 2020, 11, e01930-20. [Google Scholar] [CrossRef]
- Bastard, P.; Rosen, L.B.; Zhang, Q.; Michailidis, E.; Hoffmann, H.-H.; Zhang, Y.; Dorgham, K.; Philippot, Q.; Rosain, J.; Beziat, V.; et al. Autoantibodies against type I IFNs in patients with life-threatening COVID-19. Science 2020, 370, eabd4585. [Google Scholar] [CrossRef]
- Zhang, S.Y.; Zhang, Q.; Casanova, J.L.; Su, H.C.; The COVID Team. Severe COVID-19 in the young and healthy: Monogenic inborn errors of immunity? Nat. Rev. Immunol. 2020, 20, 455–456. [Google Scholar] [CrossRef]
- Zhang, Q.; Bastard, P.; Liu, Z.; Le Pen, J.; Moncada-Velez, M.; Chen, J.; Ogishi, M.; Sabli, I.K.D.; Hodeib, S.; Korol, C.; et al. Inborn errors of type I IFN immunity in patients with life-threatening COVID-19. Science 2020, 370, eabd4570. [Google Scholar] [CrossRef] [PubMed]
- Lessel, D.; Schob, C.; Küry, S.; Reijnders, M.R.F.; Harel, T.; Eldomery, M.K.; Coban-Akdemir, Z.; Denecke, J.; Edvardson, S.; Colin, E.; et al. De Novo Missense Mutations in DHX30 Impair Global Translation and Cause a Neurodevelopmental Disorder. Am. J. Hum. Genet. 2017, 101, 716–724. [Google Scholar] [CrossRef] [PubMed] [Green Version]
- Meffre, E.; Iwasaki, A. Interferon deficiency can lead to severe COVID. Nature 2020, 587, 374–376. [Google Scholar] [CrossRef] [PubMed]


Publisher’s Note: MDPI stays neutral with regard to jurisdictional claims in published maps and institutional affiliations. |
© 2021 by the authors. Licensee MDPI, Basel, Switzerland. This article is an open access article distributed under the terms and conditions of the Creative Commons Attribution (CC BY) license (https://creativecommons.org/licenses/by/4.0/).
Share and Cite
Apostolidou, S.; Harbauer, T.; Lasch, P.; Biermann, D.; Hempel, M.; Lütgehetmann, M.; Pfefferle, S.; Herrmann, J.; Rüffer, A.; Reinshagen, K.; et al. Fatal COVID-19 in a Child with Persistence of SARS-CoV-2 Despite Extensive Multidisciplinary Treatment: A Case Report. Children 2021, 8, 564. https://doi.org/10.3390/children8070564
Apostolidou S, Harbauer T, Lasch P, Biermann D, Hempel M, Lütgehetmann M, Pfefferle S, Herrmann J, Rüffer A, Reinshagen K, et al. Fatal COVID-19 in a Child with Persistence of SARS-CoV-2 Despite Extensive Multidisciplinary Treatment: A Case Report. Children. 2021; 8(7):564. https://doi.org/10.3390/children8070564
Chicago/Turabian StyleApostolidou, Sofia, Theresa Harbauer, Peter Lasch, Daniel Biermann, Maja Hempel, Marc Lütgehetmann, Susanne Pfefferle, Jochen Herrmann, André Rüffer, Konrad Reinshagen, and et al. 2021. "Fatal COVID-19 in a Child with Persistence of SARS-CoV-2 Despite Extensive Multidisciplinary Treatment: A Case Report" Children 8, no. 7: 564. https://doi.org/10.3390/children8070564
APA StyleApostolidou, S., Harbauer, T., Lasch, P., Biermann, D., Hempel, M., Lütgehetmann, M., Pfefferle, S., Herrmann, J., Rüffer, A., Reinshagen, K., Kozlik-Feldmann, R., Gieras, A., Kniep, I., Oh, J., Singer, D., Ebenebe, C. U., & Kobbe, R. (2021). Fatal COVID-19 in a Child with Persistence of SARS-CoV-2 Despite Extensive Multidisciplinary Treatment: A Case Report. Children, 8(7), 564. https://doi.org/10.3390/children8070564

