A Web-Based Calculator for the Prediction of Severe Neurodevelopmental Impairment in Preterm Infants Using Clinical and Imaging Characteristics
Abstract
1. Introduction
2. Materials and Methods
2.1. Patient Selection
2.2. Data Collection
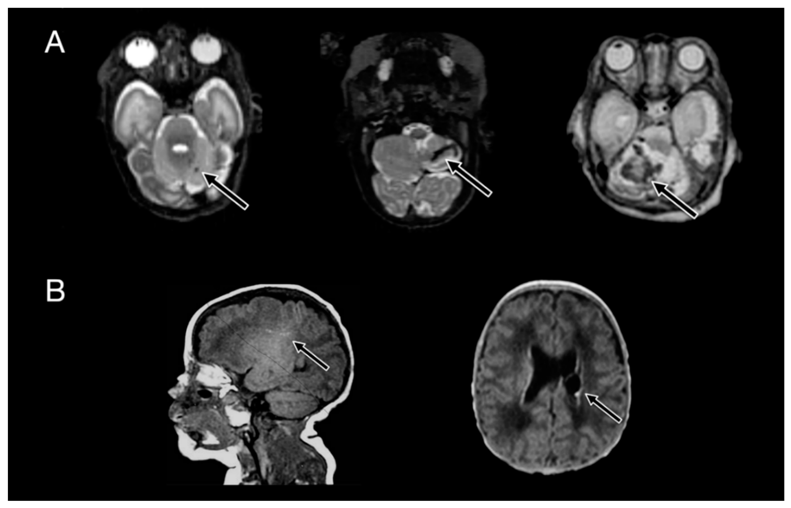
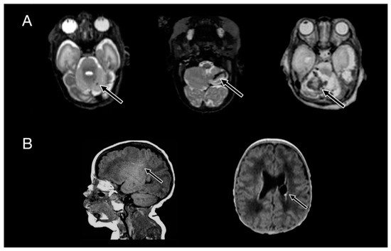
2.3. Imaging Scoring System
2.4. Statistical Approach
3. Results
3.1. Sample Characteristics
3.2. Imaging Characteristics
3.3. Clinical Logistic Regression Model
3.4. Image Scoring System
3.5. Combined Clinical and Imaging Logistic Regression Model
4. Discussion
5. Conclusions
Author Contributions
Funding
Acknowledgments
Conflicts of Interest
References
- Volpe, J.J. Neurology of the Newborn, 5th ed.; Saunders/Elsevier: Philadelphia, PA, USA, 2008; ISBN 978-1-4160-3995-2. [Google Scholar]
- Papile, L.A.; Munsick-Bruno, G.; Schaefer, A. Relationship of cerebral intraventricular hemorrhage and early childhood neurologic handicaps. J. Pediatr. 1983, 103, 273–277. [Google Scholar] [CrossRef]
- Woodward, L.J.; Anderson, P.J.; Austin, N.C.; Howard, K.; Inder, T.E. Neonatal MRI to predict neurodevelopmental outcomes in preterm infants. N. Engl. J. Med. 2006, 355, 685–694. [Google Scholar] [CrossRef] [PubMed]
- Kitai, Y.; Hirai, S.; Ohmura, K.; Ogura, K.; Arai, H. Cerebellar injury in preterm children with cerebral palsy after intraventricular hemorrhage: Prevalence and relationship to functional outcomes. Brain Dev. 2015, 37, 758–763. [Google Scholar] [CrossRef] [PubMed]
- Papile, L.A.; Burstein, J.; Burstein, R.; Koffler, H. Incidence and evolution of subependymal and intraventricular hemorrhage: A study of infants with birth weights less than 1500 gm. J. Pediatr. 1978, 92, 529–534. [Google Scholar] [CrossRef]
- De Vries, L.S.; Benders, M.J.N.L.; Groenendaal, F. Imaging the premature brain: Ultrasound or MRI? Neuroradiology 2013, 55 (Suppl. 2), 13–22. [Google Scholar] [CrossRef] [PubMed]
- Tam, E.W.Y.; Rosenbluth, G.; Rogers, E.E.; Ferriero, D.M.; Glidden, D.; Goldstein, R.B.; Glass, H.C.; Piecuch, R.E.; Barkovich, A.J. Cerebellar Hemorrhage on Magnetic Resonance Imaging in Preterm Newborns Associated with Abnormal Neurologic Outcome. J. Pediatr. 2011, 158, 245–250. [Google Scholar] [CrossRef] [PubMed]
- Kidokoro, H.; Neil, J.J.; Inder, T.E. New MR Imaging Assessment Tool to Define Brain Abnormalities in Very Preterm Infants at Term. AJNR Am. J. Neuroradiol. 2013, 34, 2208–2214. [Google Scholar] [CrossRef] [PubMed]
- Chau, V.; Synnes, A.; Grunau, R.E.; Poskitt, K.J.; Brant, R.; Miller, S.P. Abnormal brain maturation in preterm neonates associated with adverse developmental outcomes. Neurology 2013, 81, 2082–2089. [Google Scholar] [CrossRef] [PubMed]
- Brouwer, M.J.; Kersbergen, K.J.; van Kooij, B.J.M.; Benders, M.J.N.L.; van Haastert, I.C.; Koopman-Esseboom, C.; Neil, J.J.; de Vries, L.S.; Kidokoro, H.; Inder, T.E.; et al. Preterm brain injury on term-equivalent age MRI in relation to perinatal factors and neurodevelopmental outcome at two years. PLoS ONE 2017, 12, e0177128. [Google Scholar] [CrossRef] [PubMed]
- Skiöld, B.; Vollmer, B.; Böhm, B.; Hallberg, B.; Horsch, S.; Mosskin, M.; Lagercrantz, H.; Ådén, U.; Blennow, M. Neonatal magnetic resonance imaging and outcome at age 30 months in extremely preterm infants. J. Pediatr. 2012, 160, 559–566.e1. [Google Scholar] [CrossRef] [PubMed]
- Arzoumanian, Y.; Mirmiran, M.; Barnes, P.D.; Woolley, K.; Ariagno, R.L.; Moseley, M.E.; Fleisher, B.E.; Atlas, S.W. Diffusion tensor brain imaging findings at term-equivalent age may predict neurologic abnormalities in low birth weight preterm infants. AJNR Am. J. Neuroradiol. 2003, 24, 1646–1653. [Google Scholar] [PubMed]
- Pearce, R.; Baardsnes, J. Term MRI for small preterm babies: Do parents really want to know and why has nobody asked them? Acta Paediatr. 2012, 101, 1013–1015. [Google Scholar] [CrossRef] [PubMed]
- Ho, T.; Dukhovny, D.; Zupancic, J.A.F.; Goldmann, D.A.; Horbar, J.D.; Pursley, D.M. Choosing Wisely in Newborn Medicine: Five Opportunities to Increase Value. Pediatrics 2015, 136, e482–e489. [Google Scholar] [CrossRef] [PubMed]
- Robin, X.; Turck, N.; Hainard, A.; Tiberti, N.; Lisacek, F.; Sanchez, J.-C.; Müller, M. pROC: An open-source package for R and S+ to analyze and compare ROC curves. BMC Bioinform. 2011, 12, 77. [Google Scholar] [CrossRef] [PubMed]
- Baumeister, F.A.; Hofer, M. Cerebellar hemorrhage in preterm infants with intraventricular hemorrhage: A missed diagnosis? A patient report. Clin. Pediatr. 2000, 39, 611–613. [Google Scholar] [CrossRef] [PubMed]
- Bednarek, N.; Mathur, A.; Inder, T.; Wilkinson, J.; Neil, J.; Shimony, J. Impact of therapeutic hypothermia on MRI diffusion changes in neonatal encephalopathy. Neurology 2012, 78, 1420–1427. [Google Scholar] [CrossRef] [PubMed]
- Handley, S.C.; Sun, Y.; Wyckoff, M.H.; Lee, H.C. Outcomes of extremely preterm infants after delivery room cardiopulmonary resuscitation in a population-based cohort. J. Perinatol. 2015, 35, 379–383. [Google Scholar] [CrossRef] [PubMed]
- Stevenson, D.K.; Wright, L.L.; Lemons, J.A.; Oh, W.; Korones, S.B.; Papile, L.A.; Bauer, C.R.; Stoll, B.J.; Tyson, J.E.; Shankaran, S.; et al. Very low birth weight outcomes of the National Institute of Child Health and Human Development Neonatal Research Network, January 1993 through December 1994. Am. J. Obstet. Gynecol. 1998, 179, 1632–1639. [Google Scholar] [CrossRef]
- Tam, E.W.Y.; Miller, S.P.; Studholme, C.; Chau, V.; Glidden, D.; Poskitt, K.J.; Ferriero, D.M.; Barkovich, A.J. Differential effects of intraventricular hemorrhage and white matter injury on preterm cerebellar growth. J. Pediatr. 2011, 158, 366–371. [Google Scholar] [CrossRef] [PubMed]
- Limperopoulos, C.; Soul, J.S.; Haidar, H.; Huppi, P.S.; Bassan, H.; Warfield, S.K.; Robertson, R.L.; Moore, M.; Akins, P.; Volpe, J.J.; et al. Impaired trophic interactions between the cerebellum and the cerebrum among preterm infants. Pediatrics 2005, 116, 844–850. [Google Scholar] [CrossRef] [PubMed]
- Srinivasan, L.; Allsop, J.; Counsell, S.J.; Boardman, J.P.; Edwards, A.D.; Rutherford, M. Smaller cerebellar volumes in very preterm infants at term-equivalent age are associated with the presence of supratentorial lesions. AJNR Am. J. Neuroradiol. 2006, 27, 573–579. [Google Scholar] [PubMed]
- Intrapiromkul, J.; Northington, F.; Huisman, T.A.G.M.; Izbudak, I.; Meoded, A.; Tekes, A. Accuracy of head ultrasound for the detection of intracranial hemorrhage in preterm neonates: Comparison with brain MRI and susceptibility-weighted imaging. J. Neuroradiol. 2013, 40, 81–88. [Google Scholar] [CrossRef] [PubMed]
- Kumar, N.P.D.; Praveena, B. Mortality Profile and Timing of Death in Extremely Low Birth Weight Infants from 2013 to 2015 Admitted to Neonatal Intensive Care Unit, Government General Hospital, Anantapur. Int. J. Sci. Study 2016, 4, 114–117. [Google Scholar] [CrossRef]
- Barton, L.; Hodgman, J.E.; Pavlova, Z. Causes of death in the extremely low birth weight infant. Pediatrics 1999, 103, 446–451. [Google Scholar] [CrossRef] [PubMed]
- Stoll, B.J.; Hansen, N.I.; Bell, E.F.; Shankaran, S.; Laptook, A.R.; Walsh, M.C.; Hale, E.C.; Newman, N.S.; Schibler, K.; Carlo, W.A.; et al. Eunice Kennedy Shriver National Institute of Child Health and Human Development Neonatal Research Network Neonatal outcomes of extremely preterm infants from the NICHD Neonatal Research Network. Pediatrics 2010, 126, 443–456. [Google Scholar] [CrossRef] [PubMed]
- Steggerda, S.J.; Leijser, L.M.; Wiggers-de Bruïne, F.T.; van der Grond, J.; Walther, F.J.; van Wezel-Meijler, G. Cerebellar injury in preterm infants: Incidence and findings on US and MR images. Radiology 2009, 252, 190–199. [Google Scholar] [CrossRef] [PubMed]



| Cerebellar hemorrhage size | • >50% of cerebellar hemisphere—3 points |
| • Punctate up to <50% of cerebellar hemisphere—1 point | |
| • None—0 points | |
| Cerebellar hemorrhage laterality | • Bilateral—1 point |
| • Unilateral—0 points | |
| Intraventricular hemorrhage | • Grade III/IV—5 points |
| • Grade I/II—2 points | |
| • No IVH (intraventricular hemorrhage)—0 points | |
| White matter injury | • Multiple punctate (>2 lesions) or Cystic—5 points |
| • Isolated punctate (≤2 lesions)—2 points | |
| • None—0 points |
| Variable | No Severe Disability (n = 116) | Severe Disability (n = 38) | p Value |
|---|---|---|---|
| Gestational age, mean (SD), weeks | 26.2 (1.9) | 25.6 (1.6) | 0.08 |
| Birth weight, mean (SD), grams | 911.2 (271.4) | 821.5 (240.9) | 0.07 |
| SGA a, n (%) | 8 (7) | 5 (13) | 0.31 |
| Male sex, n (%) | 53 (46) | 19 (50) | 0.71 |
| Race | |||
| African-American | 50 (43) | 15 (39) | 0.10 |
| Asian | 5 (4) | 0 (0) | |
| Caucasian | 61 (53) | 20 (53) | |
| Hispanic | 0 (0) | 3 (8) | |
| Pre-eclampsia, n (%) | 26 (22) | 10 (26) | 0.66 |
| Chorioamnionitis, n (%) | 40 (34) | 11 (29) | 0.56 |
| Vaginal delivery, n (%) | 30 (26) | 11 (29) | 0.83 |
| Any antenatal steroids, n (%) | 102 (88) | 27 (71) | 0.02 * |
| Complete antenatal steroids, n (%) | 57 (49) | 16 (42) | 0.46 |
| Antenatal magnesium sulfate, n (%) | 75 (65) | 20 (52) | 0.25 |
| 5-min Apgar score, median (range) | 6 (0–9) | 5.5 (0–9) | 0.09 |
| Postnatal steroids, n (%) | 36 (31) | 19 (50) | 0.05 |
| Ventilator days, median (range) | 4 (0–106) | 31.5 (1–251) | <0.01 * |
| BPD b diagnosis, n (%) | 70 (60) | 27 (71) | 0.25 |
| Inotropic medication administration, n (%) | 37 (32) | 19 (50) | 0.05 |
| Culture-positive sepsis, n (%) | 17 (15) | 10 (26) | 0.14 |
| Necrotizing enterocolitis, n (%) | 13 (11) | 6 (16) | 0.57 |
| PDA ligation, n (%) | 19 (16) | 10 (26) | 0.23 |
| Clinically apparent seizures, n (%) | 4 (3) | 3 (8) | 0.36 |
| Severe ROP, n (%) | 21 (18) | 13 (34) | 0.04 * |
| Bayley-III cognitive score, mean (SD) | 91.5 (9.8) | 73.3 (10.7) | <0.01 * |
| Bayley-III motor score, mean (SD) | 89.7 (12.3) | 65.5 (12.3) | <0.01 * |
| Bayley-III language score, mean (SD) | 89.7 (10.2) | 69.9 (13.3) | <0.01 * |
| Characteristic | No Severe Disability (n = 116) | Severe Disability (n = 38) | p Value |
|---|---|---|---|
| Any IVH, n (%) | 55 (47) | 31 (82) | <0.01 * |
| Grade III/IV IVH, n (%) | 16 (14) | 23 (61) | <0.01 * |
| Any cerebellar hemorrhage, n (%) | 26 (22) | 15 (40) | 0.06 |
| Cerebellar hemorrhage size | |||
| Large, n (%) | 6 (5) | 8 (21) | 0.03 * |
| Small, n (%) | 12 (10) | 5 (13) | |
| Punctate, n (%) | 8 (7) | 2 (5) | |
| None, n (%) | 90 (78) | 23 (61) | |
| Bilateral cerebellar hemorrhage, n (%) | 15 (13) | 9 (24) | 0.12 |
| WMI (white matter injury) | |||
| Multiple punctate or cystic, n (%) | 15 (13) | 24 (63) | <0.01 * |
| Isolated punctate, n (%) | 22 (19) | 2 (5) | |
| None, n (%) | 79 (68) | 12 (32) | |
| Any brain injury, n (%) | 77 (66) | 34 (90) | <0.01 * |
| Number of head ultrasounds, median (range) | 4 (0–28) | 8 (2–38) | <0.01 * |
| PMA at MRI | 38.2 (2.6) | 40.4 (5.7) | 0.02 * |
© 2018 by the authors. Licensee MDPI, Basel, Switzerland. This article is an open access article distributed under the terms and conditions of the Creative Commons Attribution (CC BY) license (http://creativecommons.org/licenses/by/4.0/).
Share and Cite
Vesoulis, Z.A.; El Ters, N.M.; Herco, M.; Whitehead, H.V.; Mathur, A.M. A Web-Based Calculator for the Prediction of Severe Neurodevelopmental Impairment in Preterm Infants Using Clinical and Imaging Characteristics. Children 2018, 5, 151. https://doi.org/10.3390/children5110151
Vesoulis ZA, El Ters NM, Herco M, Whitehead HV, Mathur AM. A Web-Based Calculator for the Prediction of Severe Neurodevelopmental Impairment in Preterm Infants Using Clinical and Imaging Characteristics. Children. 2018; 5(11):151. https://doi.org/10.3390/children5110151
Chicago/Turabian StyleVesoulis, Zachary A., Nathalie M. El Ters, Maja Herco, Halana V. Whitehead, and Amit M. Mathur. 2018. "A Web-Based Calculator for the Prediction of Severe Neurodevelopmental Impairment in Preterm Infants Using Clinical and Imaging Characteristics" Children 5, no. 11: 151. https://doi.org/10.3390/children5110151
APA StyleVesoulis, Z. A., El Ters, N. M., Herco, M., Whitehead, H. V., & Mathur, A. M. (2018). A Web-Based Calculator for the Prediction of Severe Neurodevelopmental Impairment in Preterm Infants Using Clinical and Imaging Characteristics. Children, 5(11), 151. https://doi.org/10.3390/children5110151

