Neonatal Renal Ultrasound Reference Values in Romanian Term Newborns: Correlations with Anthropometric Characteristics
Abstract
1. Introduction
2. Materials and Methods
2.1. Study Design and Population
2.2. Inclusion and Exclusion Criteria
2.3. Ultrasound Methodology
2.4. Anthropometric Measurements
2.5. Statistical Analysis
2.6. Ethical Considerations
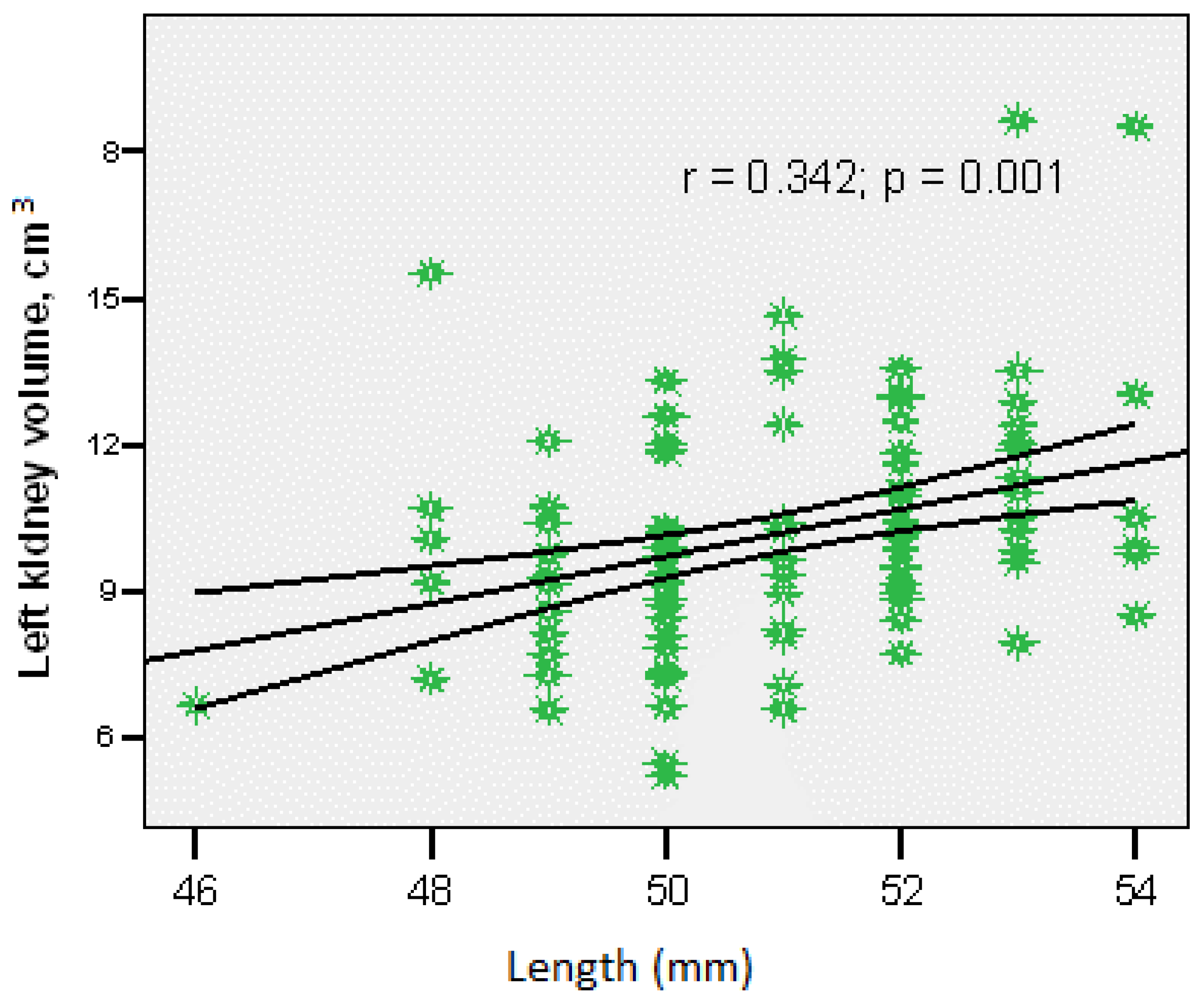
3. Results
Sex Differences
4. Discussion
- Larger, multicenter studies to establish more robust reference ranges;
- Longitudinal follow-up to assess predictive value for renal outcomes;
- Inclusion of maternal factors (hypertension, diabetes, medication use);
- Comparison with other populations to understand ethnic and demographic variations;
- Investigation of preterm infants, who may have different risk profiles.
Study Limitations
5. Conclusions
Author Contributions
Funding
Institutional Review Board Statement
Informed Consent Statement
Data Availability Statement
Conflicts of Interest
Abbreviations
| GA | Gestational age |
| ANOVA | Statistical test |
| IUGR | Intrauterine growth restriction |
References
- Wisnu, G.N.P.P.; Situmorang, G.R.; Wahyudi, I.; Rodjani, A.; Fahlevi, R.; Raharja, P.A.R. Factors Affecting the Incidence of Congenital Anomaly of the Kidney and Urinary Tract: A Systematic Review and Meta-Analysis. Early Hum. Dev. 2025, 205, 106252. [Google Scholar] [CrossRef]
- Karimdzhanov, I.A.; Yakhyaeva, K.Z. Causes of Renal Pathology in Newborn. World Bull. Public. Health 2022, 17, 28–30. [Google Scholar]
- Bohilțea, R.E.; Cioca, A.M.; Dima, V.; Ducu, I.; Grigoriu, C.; Varlas, V.; Furtunescu, F. Expectant Management of PPROM Improves Neonatal Outcome—A Retrospective Study of 562 Patients. J. Clin. Med. 2021, 11, 214. [Google Scholar] [CrossRef]
- Sawaf, H.; Gudura, T.T.; Dorobisz, S.; Sandy, D.; Wang, X.; Bobart, S.A. Genetic Susceptibility to Chronic Kidney Disease: Links, Risks and Management. Int. J. Nephrol. Renov. Dis. 2023, 16, 1–15. [Google Scholar] [CrossRef]
- Hildebrandt, F. Genetic Kidney Diseases. Lancet 2010, 375, 1287–1295. [Google Scholar] [CrossRef]
- Sahwan, H.N.I.; El Gazzar, H.E.A.Y.; Alsoda, M.F.; Zannoun, M.A.S.; Shakweer, M.M.M. The Role of Routine Abdominal Ultrasound in Newborns for Detection of Renal Abnormalities. J. Med. Sci. Res. 2020, 3, 5. [Google Scholar] [CrossRef]
- Jovanović, D.; Gasic, B.; Pavlovic, S.; Naumovic, R. Correlation of Kidney Size with Kidney Function and Anthropometric Parameters in Healthy Subjects and Patients with Chronic Kidney Diseases. Ren. Fail. 2013, 35, 896–900. [Google Scholar] [CrossRef]
- Jo, W.R.; Kim, S.H.; Kim, K.W.; Suh, C.H.; Kim, J.K.; Kim, H.; Lee, J.G.; Oh, W.Y.; Choi, S.E.; Pyo, J. Correlations between Renal Function and the Total Kidney Volume Measured on Imaging for Autosomal Dominant Polycystic Kidney Disease: A Systematic Review and Meta-Analysis. Eur. J. Radiol. 2017, 95, 56–65. [Google Scholar] [CrossRef]
- Luyckx, V.A.; Bertram, J.F.; Brenner, B.M.; Fall, C.; Hoy, W.E.; Ozanne, S.E.; Vikse, B.E. Effect of Fetal and Child Health on Kidney Development and Long-Term Risk of Hypertension and Kidney Disease. Lancet 2013, 382, 273–283. [Google Scholar] [CrossRef]
- Hughson, M.; Farris, A.B.; Douglas-Denton, R.; Hoy, W.E.; Bertram, J.F. Glomerular Number and Size in Autopsy Kidneys: The Relationship to Birth Weight. Kidney Int. 2003, 63, 2113–2122. [Google Scholar] [CrossRef]
- Starr, M.C.; Hingorani, S.R. Prematurity and Future Kidney Health: The Growing Risk of Chronic Kidney Disease. Curr. Opin. Pediatr. 2018, 30, 228–235. [Google Scholar] [CrossRef]
- Alsaywid, B.; Mohammed, A.; Al Ghamdi, L.; Banjar, L. Detection of Renal Anomalies Using Antenatal and Postnatal Ultrasound. Urol. Ann. 2022, 14, 241–246. [Google Scholar] [CrossRef]
- Veduţă, A.; Peltecu, G. Is a National Prenatal Screening Program Achievable in Romania? Obstet. Si. Ginecol. Buchar. 2017, 189–192. [Google Scholar]
- Toma, A.I. Paediatric Neurology: Standardization of Neonatal Assessment in Romania. Enfance 2023, 4, 333–338. [Google Scholar] [CrossRef]
- Nenciu, A.-E.; Neacșu, A.-V.; Crețu, O.-E.; Dîrlău, A.; Poalelungi, C.; Nastasia, Ş.; Ceauşu, I. The next Step in Monitoring—The Romanian National Congenital Anomaly Registry (RN-CAR). Ginecologia.ro. 2025, 47, 6. [Google Scholar] [CrossRef]
- Geelhoed, J.J.M.; Verburg, B.O.; Nauta, J.; Lequin, M.; Hofman, A.; Moll, H.A.; Witteman, J.C.M.; van der Heijden, A.J.; Steegers, E.A.P.; Jaddoe, V.W.V. Tracking and Determinants of Kidney Size From Fetal Life Until the Age of 2 Years: The Generation R Study. Am. J. Kidney Dis. 2009, 53, 248–258. [Google Scholar] [CrossRef]
- Calek, E.; Binder, J.; Palmrich, P.; Eibensteiner, F.; Thajer, A.; Kainz, T.; Harreiter, K.; Berger, A.; Binder, C. Effects of Intrauterine Growth Restriction (IUGR) on Growth and Body Composition Compared to Constitutionally Small Infants. Nutrients 2023, 15, 4158. [Google Scholar] [CrossRef]
- Bratan, C.A.; Gheorghe, M.; Ispas, I.; Franti, E.; Dascalu, M.; Stoicescu, S.M.; Rosca, I.; Gherghiceanu, F.; Dumitrache, D.; Nastase, L. Dunstan Baby Language Classification with CNN. In Proceedings of the 2021 International Conference on Speech Technology and Human-Computer Dialogue (SpeD), Bucharest, Romania, 13 October 2021; pp. 167–171. [Google Scholar]
- Ezeofor, S.N.; Anyanwu, G.E.; Obikili, E.N. Reference Indices for Evaluating Kidney Dimensions in Children Using Anthropometric Measurements. South Afr. J. Radiol. 2020, 24, a1882. [Google Scholar] [CrossRef] [PubMed]
- Ata Korkmaz, H.A.; Kader, Ş. Neonatal Kidney Dimensions and Medullary Pyramid Thicknesses According to the Weight, Length and Body Mass Index of Newborns. J. Pediatr. Res. 2018, 5, 177–181. [Google Scholar] [CrossRef]
- Chaudhary, P.; Arora, K.K.; Garg, S.; Patra, A.; Sahoo, S.S. Parameters Affecting the Kidney Size in Individuals without Known Renal Pathology: An Ultrasonographic Study. Maedica. J. Clin. Med. 2023, 18, 222–226. [Google Scholar] [CrossRef]
- Maria Francis, Y.; Karunakaran, B. Ultrasonographic Estimation of the Gestational Age Using the Fetal Kidney Length in the Second and Third Trimesters of Pregnancy Among South Indian Antenatal Women: A Cross-Sectional Study. Cureus 2023, 15, e41172. [Google Scholar] [CrossRef]
- Bates, C.M.; Schwaderer, A.L. Clinical Evaluation of Renal and Urinary Tract Disease. In Avery’s Diseases of the Newborn; Elsevier: Amsterdam, The Netherlands, 2018; pp. 1274–1279.e2. [Google Scholar]
- Rosca, I.; Turenschi, A.; Nicolescu, A.; Constantin, A.T.; Canciu, A.M.; Dica, A.D.; Bratila, E.; Coroleuca, C.A.; Nastase, L. Endocrine Disorders in a Newborn with Heterozygous Galactosemia, Down Syndrome and Complex Cardiac Malformation: Case Report. Medicina 2023, 59, 856. [Google Scholar] [CrossRef]
- Obrycki, Ł.; Sarnecki, J.; Lichosik, M.; Sopińska, M.; Placzyńska, M.; Stańczyk, M.; Mirecka, J.; Wasilewska, A.; Michalski, M.; Lewandowska, W.; et al. Kidney Length Normative Values in Children Aged 0–19 Years—A Multicenter Study. Pediatr. Nephrol. 2022, 37, 1075–1085. [Google Scholar] [CrossRef] [PubMed]
- Kashaki, M.; Younesi, L.; Esmaeili, M.; Otoukesh, H.; Esmaeili, M. Assessment of the Kidney Size in Newborns. Rev. Clin. Med. 2017, 4, 160–164. [Google Scholar]
- Nandini, M.; Joshi, P.; Ranchhod, L.A.; Tapryal, N.; Sharma, J. Kidney Length in Healthy Term Neonates. Asian J. Pediatr. Nephrol. 2018, 1, 8–11. [Google Scholar]
- Oh, M.; Hwang, G.; Han, S.; Kang, H.S.; Kim, S.H.; Kim, Y.D.; Kang, K.-S.; Shin, K.-S.; Lee, M.S.; Choi, G.M.; et al. Sonographic Growth Charts for Kidney Length in Normal Korean Children: A Prospective Observational Study. J. Korean Med. Sci. 2016, 31, 1089. [Google Scholar] [CrossRef]
- Luk, W.H.; Lo, A.X.N.; Au-Yeung, A.W.S.; Liu, K.K.Y.; Woo, Y.H.; Chiang, C.C.L.; Lo, K.K.L. Renal Length Nomogram in Hong Kong Asian Children: Sonographic Measurement and Multivariable Approach. J. Paediatr. Child. Health 2010, 46, 310–315. [Google Scholar] [CrossRef]
- Esmaeili, M.; Keshaki, M.; Younesi, L.; Karimani, A.; Otukesh, H.; Esmaeili, M. Ultrasound Measurement of Kidney Dimensions in Premature Neonates. J. Pediatr. Perspect. 2020, 8, 12235–12242. [Google Scholar] [CrossRef]
- Bonsib, S.M. Renal Hypoplasia, From Grossly Insufficient to Not Quite Enough: Consideration for Expanded Concepts Based Upon the Author’s Perspective With Historical Review. Adv. Anat. Pathol. 2020, 27, 311–330. [Google Scholar] [CrossRef]
- Thomas, R.; Sanna-Cherchi, S.; Warady, B.A.; Furth, S.L.; Kaskel, F.J.; Gharavi, A.G. HNF1B and PAX2 Mutations Are a Common Cause of Renal Hypodysplasia in the CKiD Cohort. Pediatr. Nephrol. 2011, 26, 897–903. [Google Scholar] [CrossRef]
- Becker, A.M. Postnatal Evaluation of Infants with an Abnormal Antenatal Renal Sonogram. Curr. Opin. Pediatr. 2009, 21, 207–213. [Google Scholar] [CrossRef] [PubMed]
- Kikuchi, H.; Chou, C.-L.; Yang, C.-R.; Chen, L.; Jung, H.J.; Park, E.; Limbutara, K.; Carter, B.; Yang, Z.-H.; Kun, J.F.; et al. Signaling Mechanisms in Renal Compensatory Hypertrophy Revealed by Multi-Omics. Nat. Commun. 2023, 14, 3481. [Google Scholar] [CrossRef] [PubMed]
- Kim, D.-W.; Ahn, H.-G.; Kim, J.; Yoon, C.-S.; Kim, J.-H.; Yang, S. Advanced Kidney Volume Measurement Method Using Ultrasonography with Artificial Intelligence-Based Hybrid Learning in Children. Sensors 2021, 21, 6846. [Google Scholar] [CrossRef]
- Niendorf, T.; Gladytz, T.; Cantow, K.; Klein, T.; Tasbihi, E.; Velasquez Vides, J.R.; Zhao, K.; Millward, J.M.; Waiczies, S.; Seeliger, E. MRI of Kidney Size Matters. Magn. Reson. Mater. Phys. Biol. Med. 2024, 37, 651–669. [Google Scholar] [CrossRef]
- Fernandez, J.M.; Hernández-Socorro, C.R.; Robador, L.O.; Rodríguez-Esparragón, F.; Medina-García, D.; Quevedo-Reina, J.C.; Lorenzo-Medina, M.; Oliva-Dámaso, E.; Pérez-Borges, P.; Rodríguez-Perez, J.C. Ultrasound versus Magnetic Resonance Imaging for Calculating Total Kidney Volume in Patients with ADPKD: A Real-World Data Analysis. Ultrasound J. 2025, 17, 13. [Google Scholar] [CrossRef]
- Pagtalunan, M.E.; Drachman, J.A.; Meyer, T.W. Methods for Estimating the Volume of Individual Glomeruli. Kidney Int. 2000, 57, 2644–2649. [Google Scholar] [CrossRef]




| Birth Weight | <2800 g | 2800–3500 g | >3500 g | FANOVA test p | <2800 g | 2800–3500 g | >3500 g | FANOVA test p |
| Dimension | Right kidney | Left kidney | ||||||
| Length (mm) | 40.8 ± 2.2 | 41.25 ± 4.2 | 43.00 ± 2.7 | 0.085 | 41.37 ± 2.3 | 41.97 ± 3.4 | 43.72 ± 2.6 | 0.026 |
| Thickness (mm) | 19.2 ± 2.8 | 19.63 ± 2.4 | 21.42 ± 2.5 | 0.004 | 19.31 ± 3.1 | 19.97 ± 2.1 | 21.34 ± 2.7 | 0.016 |
| Width (mm) | 22.5 ± 3.3 | 22.56 ± 2.3 | 23.89 ± 2.9 | 0.080 | 21.92 ± 3.0 | 22.20 ± 2.1 | 23.12 ± 3.0 | 0.230 |
| Volume (mL) | 9.47 ± 3.0 | 9.65 ± 2.4 | 11.65 ± 2.9 | 0.004 | 9.26 ± 2.5 | 9.77 ± 2.13 | 11.32 ± 2.5 | 0.006 |
| Dimensions of kidney | <50 cm | >50 cm | p | <50 cm | >50 cm | p |
| Right kidney | Left kidney | |||||
| Length (mm) | 40.60 ± 3.45 | 42.72 ± 3.68 | 0.004 | 41.46 ± 3.18 | 43.25 ± 2.98 | 0.005 |
| Thickness (mm) | 19.46 ± 2.57 | 20.70 ± 2.51 | 0.018 | 19.47 ± 2.24 | 20.91 ± 2.63 | 0.005 |
| Width (mm) | 22.64 ± 2.72 | 23.23 ± 2.63 | 0.287 | 21.96 ± 2.44 | 22.86 ± 2.69 | 0.089 |
| Volume (mL) | 9.48 ± 2.54 | 10.88 ± 2.84 | 0.013 | 9.36 ± 2.13 | 10.88 ± 2.43 | 0.002 |
Disclaimer/Publisher’s Note: The statements, opinions and data contained in all publications are solely those of the individual author(s) and contributor(s) and not of MDPI and/or the editor(s). MDPI and/or the editor(s) disclaim responsibility for any injury to people or property resulting from any ideas, methods, instructions or products referred to in the content. |
© 2025 by the authors. Licensee MDPI, Basel, Switzerland. This article is an open access article distributed under the terms and conditions of the Creative Commons Attribution (CC BY) license (https://creativecommons.org/licenses/by/4.0/).
Share and Cite
Năstase, L.; Toma, A.-I.; Dinulescu, A.; Androne, A. Neonatal Renal Ultrasound Reference Values in Romanian Term Newborns: Correlations with Anthropometric Characteristics. Children 2025, 12, 1191. https://doi.org/10.3390/children12091191
Năstase L, Toma A-I, Dinulescu A, Androne A. Neonatal Renal Ultrasound Reference Values in Romanian Term Newborns: Correlations with Anthropometric Characteristics. Children. 2025; 12(9):1191. https://doi.org/10.3390/children12091191
Chicago/Turabian StyleNăstase, Leonard, Adrian-Ioan Toma, Alexandru Dinulescu, and Adelina Androne. 2025. "Neonatal Renal Ultrasound Reference Values in Romanian Term Newborns: Correlations with Anthropometric Characteristics" Children 12, no. 9: 1191. https://doi.org/10.3390/children12091191
APA StyleNăstase, L., Toma, A.-I., Dinulescu, A., & Androne, A. (2025). Neonatal Renal Ultrasound Reference Values in Romanian Term Newborns: Correlations with Anthropometric Characteristics. Children, 12(9), 1191. https://doi.org/10.3390/children12091191

