Recurrent Osteomyelitis in a Paediatric Patient with a Novel NTRK1 Mutation: A Case Report on Congenital Insensitivity to Pain with Anhidrosis
Abstract
1. Introduction
2. Case Report
2.1. Admission to the Regional Hospital, Latvia
2.2. First Hospitalization at the Children’s Clinical University Hospital (CCUH)
2.3. Second Hospitalization at the Children’s Clinical University Hospital (CCUH)
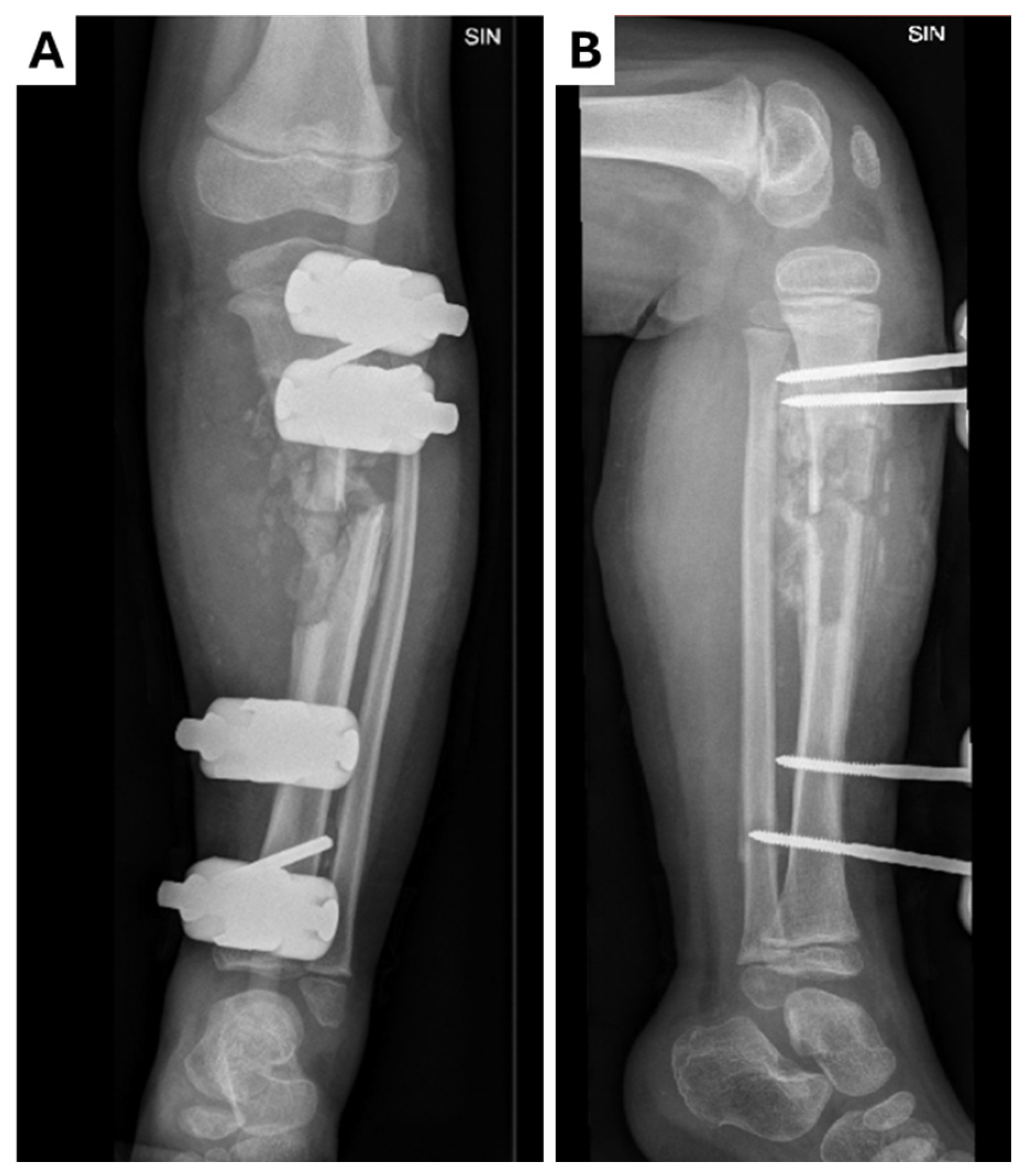
2.4. Third Hospitalization at the Children’s Clinical University Hospital (CCUH)
2.5. Fourth Hospitalization at the Children’s Clinical University Hospital (CCUH)
2.6. Fifth Hospitalization at the Children’s Clinical University Hospital (CCUH)
3. Discussion
3.1. Diagnostic and Therapeutic Patterns in CIPA Patients
3.2. Complementary Management Strategies
- Enhanced infection control using early and targeted antibiotic therapy guided by culture and sensitivity testing. Long-term suppressive antibiotic therapy and aggressive wound management, such as vacuum-assisted closure (VAC) therapy, may mitigate infection risks.
- Bone grafting, including vascularized fibular grafts or synthetic bone substitutes, to promote structural stability and reduce non-union risks.
- Custom orthotic solutions, such as advanced orthoses, tailored to the patient’s biomechanical needs that can improve mobility and reduce pressure ulcer and deformity risks.
- Early amputation remains controversial in the literature. Amputation decisions in CIPA patients involve a careful consideration of the patient’s and family’s preferences. Discussions should address the rationale, alternatives, and expected outcomes, providing support throughout. Risk–benefit analysis is essential, weighing benefits, such as mobility against surgical and psychological risks. Amputation may be warranted when limb salvage leads to recurrent hospitalizations and a poor quality of life. The literature indicates that while parents often resist amputation, it may become necessary as the disease progresses [26,27]. Additionally, a high risk of auto-amputation due to self-harm has been reported by others [28,29,30].
- Multidisciplinary rehabilitation that acts as a structured rehabilitation program, including physiotherapy, occupational therapy, and psychological support. It is crucial for improving functional outcomes and adaptation. Repeated surgical interventions in paediatric patients, particularly those with chronic conditions like CIPA, not only pose significant physical challenges, but also contribute to psychological distress. Studies have shown that up to 16% of children and 23% of parents develop post-traumatic stress disorder (PTSD) following paediatric surgeries. The increased risk is linked to prolonged hospital stays, multiple procedures, and insufficient psychosocial support [31].
3.3. Prognosis and Follow-Up Care
3.4. Future Directions
4. Conclusions
Author Contributions
Funding
Institutional Review Board Statement
Informed Consent Statement
Data Availability Statement
Conflicts of Interest
References
- Rosemberg, S.; Marie, S.K.; Kliemann, S. Congenital insensitivity to pain with anhidrosis (hereditary sensory and autonomic neuropathy type IV). Pediatr. Neurol 1994, 11, 50–56. [Google Scholar] [CrossRef] [PubMed]
- Isogawa, N.; Ito, K.; Lee, J.; Ikeda, M.; Ishikawa, M.; Baba, Y. A case of congenital insensitivity to pain with anhidrosis with sensitivity reactions to the electric pulp test. Pediatr. Dent. J. 2017, 27, 101–104. [Google Scholar] [CrossRef]
- Cascella, M.; Muzio, M.R.; Monaco, F.; Nocerino, D.; Ottaiano, A.; Perri, F.; Innamorato, M.A. Pathophysiology of Nociception and Rare Genetic Disorders with Increased Pain Threshold or Pain Insensitivity. Pathophysiology 2022, 29, 435–452. [Google Scholar] [CrossRef] [PubMed] [PubMed Central]
- Lee, S.T.; Lee, J.; Lee, M.; Kim, J.W.; Ki, C.S. Clinical and genetic analysis of Korean patients with congenital insensitivity to pain with anhidrosis. Muscle Nerve 2009, 40, 855–859. [Google Scholar] [CrossRef] [PubMed]
- Wang, W.B.; Cao, Y.J.; Lyu, S.S.; Zuo, R.T.; Zhang, Z.L.; Kang, Q.L. Identification of a novel mutation of the NTRK1 gene in patients with congenital insensitivity to pain with anhidrosis (CIPA). Gene 2018, 679, 253–259. [Google Scholar] [CrossRef] [PubMed]
- Indo, Y. Nerve growth factor and the physiology of pain: Lessons from congenital insensitivity to pain with anhidrosis. Clin. Genet. 2012, 82, 341–350. [Google Scholar] [CrossRef] [PubMed]
- Melamed, I.; Levy, J.; Parvari, R.; Gelfand, E.W. A novel lymphocyte signaling defect: Trk A mutation in the syndrome of congenital insensitivity to pain and anhidrosis (CIPA). J. Clin. Immunol. 2004, 24, 441–448. [Google Scholar] [CrossRef] [PubMed]
- Rochman, M.; Kartashov, A.V.; Caldwell, J.M.; Collins, M.H.; Stucke, E.M.; Kc, K.; Sherrill, J.D.; Herren, J.; Barski, A.; Rothenberg, M.E. Neurotrophic tyrosine kinase receptor 1 is a direct transcriptional and epigenetic target of IL-13 involved in allergic inflammation. Mucosal Immunol. 2015, 8, 785–798. [Google Scholar] [CrossRef] [PubMed] [PubMed Central]
- Franco, M.L.; Melero, C.; Sarasola, E.; Acebo, P.; Luque, A.; Calatayud-Baselga, I.; García-Barcina, M.; Vilar, M. Mutations in TrkA Causing Congenital Insensitivity to Pain with Anhidrosis (CIPA) Induce Misfolding, Aggregation, and Mutation-dependent Neurodegeneration by Dysfunction of the Autophagic Flux. J. Biol. Chem. 2016, 291, 21363–21374. [Google Scholar] [CrossRef]
- Ikrama, M.; Usama, M.; Haider, M.H.; Israr, S.; Humayon, M. Congenital insensitivity to pain with anhidrosis: A literature review and the advocacy for stem cell therapeutic interventions. Ther. Adv. Rare Dis. 2024, 5, 26330040241292378. [Google Scholar] [CrossRef] [PubMed] [PubMed Central]
- Yiş, U.; Mademan, I.; Kavukçu, S.; Baets, J. A novel NTRK1 mutation in a patient with congenital insensitivity to pain with anhidrosis. Acta Neurol Belg. 2015, 115, 509–511. [Google Scholar] [CrossRef] [PubMed]
- Masri, A.; Shboul, M.; Khasawneh, A.; Jadallah, R.; ALmustafa, A.; Escande-Beillard, N.; Hamamy, H.; Bakri, F.; Reversade, B. Congenital insensitivity to pain with anhidrosis syndrome: A series from Jordan. Clin. Neurol Neurosurg. 2020, 189, 105636. [Google Scholar] [CrossRef] [PubMed]
- Safari, A.; Khaledi, A.A.; Vojdani, M. Congenital Insensitivity to Pain with Anhidrosis (CIPA): A Case Report. Iran. Red. Crescent Med. J. 2011, 13, 134–138. [Google Scholar] [PubMed]
- Higashimoto, T.; Garber, M.E.; Hipp, L.; Damon, J.; Li, Q. Atypical Presentation of Congenital Insensitivity to Pain With Anhidrosis Leading to Diagnostic Odyssey. Mol. Genet. Genom. Med. 2024, 12, e70027. [Google Scholar] [CrossRef] [PubMed] [PubMed Central]
- Itmaiza, M.N.; Skafi, A.J.; Adawi, A.A.; Bael, P.R.; Ibaidi, N.M. First instance of pain in congenital pain insensitivity with anhidrosis. Clin. Neurol. Neurosurg. 2025, 249, 108775. [Google Scholar] [CrossRef] [PubMed]
- Mifsud, M.; Spiteri, M.; Camilleri, K.; Bonello, M.; Azzopardi, T.; Abela, M. The Orthopedic Manifestations of Congenital Insensitivity to Pain: A Population-based Study. Indian J. Orthop. 2019, 53, 665–673. [Google Scholar] [CrossRef] [PubMed] [PubMed Central]
- Nabiyev, V.; Kara, A.; Aksoy, M.C. Multidisciplinary assessment of congenital insensitivity to pain syndrome. Childs Nerv. Syst. 2016, 32, 1741–1744. [Google Scholar] [CrossRef] [PubMed]
- Zhang, Y.; Haga, N. Skeletal complications in congenital insensitivity to pain with anhidrosis: A case series of 14 patients and review of articles published in Japanese. J. Orthop. Sci. 2014, 19, 827–831. [Google Scholar] [CrossRef] [PubMed]
- Hartono, F.; Tanjung, C.; EBesinga, K.; Marpaung, D.; Ananditya, T.; Budisantoso, A.B. Catastrophic results due to unrecognizing of congenital insensitivity to pain with anhidrosis in children with multiple long bones fractures: A case report of 27 years follow-up of two siblings. Int. J. Surg. Case Rep. 2020, 73, 213–217. [Google Scholar] [CrossRef] [PubMed] [PubMed Central]
- Svec, A.; Feldinszka, J.; Kokavec, M. Congenital insensitivity to pain in one family. J. Pediatr. Orthop. B. 2018, 27, 369–374. [Google Scholar] [CrossRef] [PubMed]
- Rodríguez-Blanque, R.; Nielsen, L.M.; Piqueras-Sola, B.; Sánchez-García, J.C.; Cortés-Martín, C.; Reinoso-Cobo, A.; Cortés-Martín, J. A Systematic Review of Congenital Insensitivity to Pain, a Rare Disease. J. Pers. Med. 2024, 14, 570. [Google Scholar] [CrossRef] [PubMed] [PubMed Central]
- Klaitman, S.S.; Ling, G.; Kristal, E.; David, O.; Elamour, S.; Hershkovitz, E.; Ling, E. Living without pain: A 10-year study of congenital insensitivity to pain with anhidrosis. Pediatr. Res. 2024. [CrossRef] [PubMed]
- Fruchtman, Y.; Perry, Z.H.; Levy, J. Morbidity characteristics of patients with congenital insensitivity to pain with anhidrosis (CIPA). J. Pediatr. Endocrinol. Metab. 2013, 26, 325–332. [Google Scholar] [CrossRef] [PubMed]
- Kjellberg, A.; Gustafsson, R.; Antonsson, P.; Hedelin, H. A novel treatment strategy with hyperbaric oxygen of chronic osteomyelitis and pseudoarthrosis in a child with congenital hereditary sensory and autonomic neuropathy type 4 congenital insensitivity to pain with anhidrosis syndrome: A case report. J. Med. Case Rep. 2025, 19, 10. [Google Scholar] [CrossRef] [PubMed] [PubMed Central]
- Pérez-López, L.M.; Cabrera-González, M.; Gutiérrez-de la Iglesia, D.; Ricart, S.; Knörr-Giménez, G. Update Review and Clinical Presentation in Congenital Insensitivity to Pain and Anhidrosis. Case Rep. Pediatr. 2015, 2015, 589852. [Google Scholar] [CrossRef] [PubMed] [PubMed Central]
- Özkaya, A.K.; Güler, E.; Arık, E.; Namlı, A.R.; Cevizli, D.; Güngör, O. A case of congenital insensitivity to pain with anhidrosis. Turk. Pediatr. Ars. 2014, 49, 177–179. [Google Scholar] [CrossRef] [PubMed] [PubMed Central][Green Version]
- Nabyev, V.N.; Seneran, H.; Aksoy, M.C. Congenital Insensitivity to Pain Syndrome with Anhidrosis. Review of Literature. J. Pediatr. Pediatr. Med. 2018, 2, 14–20. [Google Scholar] [CrossRef][Green Version]
- Shin, J.Y.; Kim, S.W.; Roh, S.G.; Lee, N.H.; Yang, K.M. Congenital Insensitivity to Pain and Anhidrosis. Arch. Plast. Surg. 2016, 43, 95–97. [Google Scholar] [CrossRef] [PubMed] [PubMed Central]
- Rajbansh, P.; Yadav, M.; Kumar, P.; Das, A. Congenital Insensitivity to Pain with Anhidrosis: A Rare Entity. Indian Dermatol. Online J. 2020, 11, 274–277. [Google Scholar] [CrossRef] [PubMed] [PubMed Central]
- Cho, J.H.; Hwang, S.; Kwak, Y.H.; Yum, M.S.; Seo, G.H.; Koh, J.Y.; Ju, Y.S.; Yoon, J.H.; Kang, M.; Do, H.S.; et al. Clinical and genetic characteristics of three patients with congenital insensitivity to pain with anhidrosis: Case reports and a review of the literature. Mol. Genet. Genom. Med. 2024, 12, e2430. [Google Scholar] [CrossRef] [PubMed] [PubMed Central]
- Turgoose, D.P.; Kerr, S.; De Coppi, P.; Blackburn, S.; Wilkinson, S.; Rooney, N.; Martin, R.; Gray, S.; Hudson, L.D. Prevalence of traumatic psychological stress reactions in children and parents following paediatric surgery: A systematic review and meta-analysis. BMJ Paediatr. Open 2021, 5, e001147. [Google Scholar] [CrossRef] [PubMed] [PubMed Central]
- Hu, J.; Zhang, A.B.; Lin, Z.; Zhou, J.N. Congenital insensitivity to pain with anhidrosis and progressing acro-osteolysis: A case report with 7-year follow-up. Chin. Med. J. (Engl.) 2006, 119, 2134–2137. [Google Scholar] [CrossRef] [PubMed]
- Zhao, S.; Zhang, X.; Zhang, M. Trends in Congenital Insensitivity to Pain with Anhidrosis: A Bibliometric Analysis from 2000 to 2021. J. Pain Res. 2022, 15, 3911–3919. [Google Scholar] [CrossRef] [PubMed] [PubMed Central]






| Genetic Variant a,b | Mutation | Zygosity | Parental Origin | Pathogenicity | Previously Reported |
|---|---|---|---|---|---|
| NM_001012331.2:c.2188-11G>A; p.? | Intronic | Heterozygous | Maternal | Likely pathogenic | [11] |
| NM_001012331.2:c.2109C>A; p.Asp703Glu | Missense | Heterozygous | Paternal | Likely pathogenic | - |
| Antibiotic | S. aureus * | S. epidermidis ** |
|---|---|---|
| Penicillin | Resistant | Resistant |
| Erythromycin | Susceptible | Susceptible |
| Clindamycin | Susceptible | Resistant |
| Ciprofloxacin | Susceptible | Susceptible at increased exposure |
| Tetracycline | Susceptible | Susceptible |
| Gentamicin | Susceptible | Susceptible |
| Trimetroprim/Sulfamethoxazole | Susceptible | Susceptible |
| Methicillin-sensitive | Yes | Not applicable |
| Levofloxacin | Not tested | Susceptible at increased exposure |
| Amikacin | Not tested | Susceptible |
| Imipenem | Not tested | Resistant |
Disclaimer/Publisher’s Note: The statements, opinions and data contained in all publications are solely those of the individual author(s) and contributor(s) and not of MDPI and/or the editor(s). MDPI and/or the editor(s) disclaim responsibility for any injury to people or property resulting from any ideas, methods, instructions or products referred to in the content. |
© 2025 by the authors. Licensee MDPI, Basel, Switzerland. This article is an open access article distributed under the terms and conditions of the Creative Commons Attribution (CC BY) license (https://creativecommons.org/licenses/by/4.0/).
Share and Cite
Gasina, L.; Jain, N.; Viksne, A.; Ozols, D.; Kakar, M.; Bergmanis, U. Recurrent Osteomyelitis in a Paediatric Patient with a Novel NTRK1 Mutation: A Case Report on Congenital Insensitivity to Pain with Anhidrosis. Children 2025, 12, 344. https://doi.org/10.3390/children12030344
Gasina L, Jain N, Viksne A, Ozols D, Kakar M, Bergmanis U. Recurrent Osteomyelitis in a Paediatric Patient with a Novel NTRK1 Mutation: A Case Report on Congenital Insensitivity to Pain with Anhidrosis. Children. 2025; 12(3):344. https://doi.org/10.3390/children12030344
Chicago/Turabian StyleGasina, Liena, Nityanand Jain, Arturs Viksne, Dzintars Ozols, Mohit Kakar, and Uldis Bergmanis. 2025. "Recurrent Osteomyelitis in a Paediatric Patient with a Novel NTRK1 Mutation: A Case Report on Congenital Insensitivity to Pain with Anhidrosis" Children 12, no. 3: 344. https://doi.org/10.3390/children12030344
APA StyleGasina, L., Jain, N., Viksne, A., Ozols, D., Kakar, M., & Bergmanis, U. (2025). Recurrent Osteomyelitis in a Paediatric Patient with a Novel NTRK1 Mutation: A Case Report on Congenital Insensitivity to Pain with Anhidrosis. Children, 12(3), 344. https://doi.org/10.3390/children12030344

