Literature Review of Various Treatments in CNPAS and a Proposed Novel Clinical Treatment Algorithm
Abstract
1. Introduction
2. Materials and Methods
2.1. Literature Review
2.2. Retrospective Patient Data
2.3. Algorithm Development
2.4. Statistical Analysis
3. Results
3.1. Literature Review Findings
3.2. Radiographic and Clinical Analysis
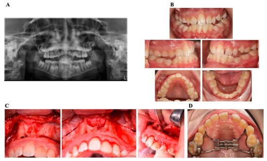
3.3. Treatment and Surgical Outcomes
3.4. Statistical Analysis
4. Discussion
5. Conclusions
Author Contributions
Funding
Institutional Review Board Statement
Informed Consent Statement
Data Availability Statement
Conflicts of Interest
References
- Douglas, B. The Relief of Vestibular Nasal Obstruction by Partial Resection of the Nasal Process of the Superior Maxilla. Plast. Reconstr. Surg. 1952, 9, 42–51. [Google Scholar]
- Ey, E.H.; Han, B.K.; Towbin, R.B.; Jaun, W.K. Bony Inlet Stenosis as a Cause of Nasal Airway Obstruction. Radiology 1988, 168, 477–479. [Google Scholar] [CrossRef] [PubMed]
- Brown, O.E.; Myer, C.M.; Manning, S.C. Congenital Nasal Pyriform Aperture Stenosis. Laryngoscope 1989, 99, 86–91. [Google Scholar] [CrossRef] [PubMed]
- Belden, C.J.; Mancuso, A.A.; Schmalfuss, I.M. CT Features of Congenital Nasal Piriform Aperture Stenosis: Initial Experience. Radiology 1999, 213, 495–501. [Google Scholar] [CrossRef]
- Smith, A.; Kull, A.; Thottam, P.; Sheyn, A. Pyriform Aperture Stenosis: A Novel Approach to Stenting. Ann. Otol. Rhinol. Laryngol. 2017, 126, 451–454. [Google Scholar] [CrossRef] [PubMed]
- Fuchs, F.; Chadelle, M.; Captier, G.; Prodhomme, O.; Faure, J.M. Solitary Median Maxillary Central Incisor Due to Nasal Pyriform Aperture Stenosis in Fetus: The First Prenatal Ultrasound Case Report. Int. J. Clin. Pediatr. Dent. 2020, 13, 295. [Google Scholar] [CrossRef] [PubMed]
- Harrison, M.; Calvert, M.L.; Longhurst, P. Solitary Maxillary Central Incisor as a New Finding in CHARGE Association: A Report of Two Cases. Int. J. Paediatr. Dent. 1997, 7, 185–189. [Google Scholar] [CrossRef]
- Nanni, L.; Ming, J.E.; Du, Y.; Hall, R.K.; Aldred, M.; Bankier, A.; Muenke, M. SHH Mutation Is Associated with Solitary Median Maxillary Central Incisor: A Study of 13 Patients and Review of the Literature. Am. J. Med. Genet. 2001, 102, 1–10. [Google Scholar] [CrossRef]
- Oberoi, S.; Vargervik, K. Velocardiofacial Syndrome with Single Central Incisor. Am. J. Med. Genet. 2005, 132, 194–197. [Google Scholar] [CrossRef]
- Baxter, D.J.G.; Shroff, M.M. Developmental Maxillofacial Anomalies. Semin. Ultrasound CT MRI 2011, 32, 555–568. [Google Scholar] [CrossRef] [PubMed]
- Lowe, L.H.; Booth, T.N.; Joglar, J.M.; Rollins, N.K. Midface Anomalies in Children. Radiographics 2000, 20, 907–922. [Google Scholar] [CrossRef]
- Gungor, A.A.; Reiersen, D.A. Balloon Dilatation for Congenital Nasal Piriform Aperture Stenosis (CNPAS): A Novel Conservative Technique. Am. J. Otolaryngol.—Head Neck Med. Surg. 2014, 35, 439–442. [Google Scholar] [CrossRef] [PubMed]
- Ha, J.; Vijayasekaran, S. Congenital Choanal Atresia and Pyriform Aperture Stenosis. Int. J. Pediatr. Otorhinolaryngol. Extra 2011, 6, 265–268. [Google Scholar] [CrossRef]
- Wilson, H.L.; Van Maele, N.; Iverson, K.C. Congenital Nasal Pyriform Aperture Stenosis Repair: A Case Series and Discussion of Postoperative Care. Otolaryngol. Case Rep. 2021, 18, 100247. [Google Scholar] [CrossRef]
- Moreddu, E.; Le Treut-Gay, C.; Triglia, J.M.; Nicollas, R. Congenital Nasal Pyriform Aperture Stenosis: Elaboration of a Management Algorithm from 25 Years of Experience. Int. J. Pediatr. Otorhinolaryngol. 2016, 83, 7–11. [Google Scholar] [CrossRef] [PubMed]
- Wormald, R.; Hinton-Bayre, A.; Bumbak, P.; Vijayasekaran, S. Congenital Nasal Pyriform Aperture Stenosis 5.7mm or Less Is Associated with Surgical Intervention: A Pooled Case Series. Int. J. Pediatr. Otorhinolaryngol. 2015, 79, 1802–1805. [Google Scholar] [CrossRef] [PubMed]
- Botti, C.; Iannella, E.; Lusetti, F.; Giordano, D.; Pernice, C.; Perano, D.; Ghidini, A. Congenital Nasal Pyriform Aperture Stenosis: Successful Management of Restenosis After Primary Surgery by Stent Placement. Ear Nose Throat J. 2022, 101, NP58–NP61. [Google Scholar] [CrossRef]
- Li, C.; Awad, M.; Maresh, A.M. A Complicated Case of Congenital Nasal Pyriform Aperture Stenosis: Use of a Long-Term Unilateral Nasal Stent. Cleft Palate-Craniofacial J. 2019, 56, 1239–1242. [Google Scholar] [CrossRef] [PubMed]
- Dhorje, N.R.; Shah, K.D.; Patel, T.; Joshi, A.A.; Bradoo, R.A. CNPAS: A Differential to Choanal Atresia. Indian J. Otolaryngol. Head Neck Surg. 2019, 71, 2133–2135. [Google Scholar] [CrossRef]
- Galeotti, A.; De Vincentiis, G.C.; Sitzia, E.; Marzo, G.; Maldonato, W.; Bompiani, G.; Chiarini Testa, M.B.; Putrino, A.; Bartuli, A.; Festa, P. Use of an Orthodontic and Otolaryngological Approach in an Infant with Holoprosencephaly. Children 2024, 11, 554. [Google Scholar] [CrossRef] [PubMed]
- Graham, M.E.; Yamashiro, D.; Skirko, J.R. Management of Midnasal Stenosis with Infant Surgically Assisted Rapid Palatal Expansion (ISARPE). Laryngoscope 2019, 129, 1211–1214. [Google Scholar] [CrossRef] [PubMed]
- Zatz, R.F.; Goldenberg, J.A.C.; Kharmandayan, V.; Gemperli, R.; Goldenberg, D.C. Congenital Nasal Pyriform Aperture Stenosis: Report of Two Cases. Eur. J. Plast. Surg. 2021, 44, 527–530. [Google Scholar] [CrossRef]
- Collares, M.V.M.; Tovo, A.H.S.; Duarte, D.W.; Schweiger, C.; Fraga, M.M. Novel Treatment of Neonates with Congenital Nasal Pyriform Aperture Stenosis. Laryngoscope 2015, 125, 2816–2819. [Google Scholar] [CrossRef]
- Merea, V.S.; Lee, A.H.Y.; Peron, D.L.; Waldman, E.H.; Grunstein, E. CPAS: Surgical Approach with Combined Sublabial Bone Resection and Inferior Turbinate Reduction without Stents. Laryngoscope 2015, 125, 1460–1464. [Google Scholar] [CrossRef] [PubMed]
- Hajem, H.; Botter, C.; Al Omani, M.; Sounthakith, V.; de Bressieux, E.; Benkhatar, H. Pyriform Aperture Enlargement for Internal Nasal Valve Obstruction in Adults: Systematic Review and Surgical Classification. Otolaryngol.—Head Neck Surg. (United States) 2021, 165, 745–750. [Google Scholar] [CrossRef] [PubMed]
- Breckpot, J.; Hermans, R.; Poorten, V.V.; Vermeesch, J.R.; Devriendt, K. Congenital Nasal Piriform Aperture Stenosis as a Rare Manifestation of Monosomy 1p36. Clin. Dysmorphol. 2010, 19, 95–97. [Google Scholar] [CrossRef]
- Bazak, R.; Ibrahim, A.A.; Hussein, W.K.A.; Abdelnaby, M.M.; Elwany, S. Extramucosal Pyriplasty without Stenting for Management of Pyriform Aperture Stenosis. Eur. Arch. Oto-Rhino-Laryngol. 2018, 275, 1469–1475. [Google Scholar] [CrossRef]
- Tate, J.R.; Sykes, J. Congenital Nasal Pyriform Aperture Stenosis. Otolaryngol. Clin. N. Am. 2009, 42, 521–525. [Google Scholar] [CrossRef] [PubMed]
- Valencia, M.P.; Castillo, M. Congenital and Acquired Lesions of the Nasal Septum: A Practical Guide for Differential Diagnosis. Radiographics 2008, 28, 205–223. [Google Scholar] [CrossRef] [PubMed]
- Wine, T.M.; Dedhia, K.; Chi, D.H. Congenital Nasal Pyriform Aperture Stenosis: Is There a Role for Nasal Dilation? JAMA Otolaryngol. Head Neck Surg. 2014, 140, 352–356. [Google Scholar] [CrossRef] [PubMed]
- Visvanathan, V.; Wynne, D.M. Congenital Nasal Pyriform Aperture Stenosis: A Report of 10 Cases and Literature Review. Int. J. Pediatr. Otorhinolaryngol. 2012, 76, 28–30. [Google Scholar] [CrossRef] [PubMed]
- Lee, J.J.; Bent, J.P.; Ward, R.F. Congenital Nasal Pyriform Aperture Stenosis: Non-Surgical Management and Long-Term Analysis. Int. J. Pediatr. Otorhinolaryngol. 2001, 60, 167–171. [Google Scholar] [CrossRef]
- Sesenna, E.; Leporati, M.; Brevi, B.; Oretti, G.; Ferri, A. Congenital Nasal Pyriform Aperture Stenosis: Diagnosis and Management. Ital. J. Pediatr. 2012, 38, 28. [Google Scholar] [CrossRef] [PubMed]








| Patient | Age at Treatment | Diagnosis | Initial Symptoms | Previous Interventions | First Intervention | Second Intervention |
|---|---|---|---|---|---|---|
| 1 | 11 years | Piriform aperture stenosis, nasal stenosis, single central incisor | Nasal obstruction, failed orthodontic expansion, skeletal discrepancy | Quad-Helix expansion (unsuccessful) | Planned SARPE with paramedian osteotomy | Follow-ups |
| 2 | Patient history spans from birth to 11 years old | Upper airway obstruction, adrenal insufficiency, progressive hearing loss | Cyanosis at birth, respiratory distress, sleep-related breathing difficulties | Neonatal surgery (incomplete correction), hearing aid placement | Conservative management, ENT and audiology follow-up; Late intervention: planned surgical airway expansion | Underwent SARPE at age 11; current follow-ups at age 14 |
| 3 | 3 years | Piriform aperture stenosis, single primary central incisor | Snoring, noisy breathing, recurrent respiratory infections | Nasal wall drilling for airway relief | Neonatal palatal expander planned | Possible future surgical correction if nasal obstruction worsens |
| 4 | 20 days | Pyriform aperture stenosis, postoperative complications with nasal synechiae | Respiratory distress, feeding difficulty, desaturation episodes | Sub-labial PAS correction, nasal cannula placement | Scheduled for additional surgery to release nasal adhesions | Potential additional interventions depending on airway development |
| Method | Number of Articles | Average Aperture Width (mm) | Key Outcomes |
|---|---|---|---|
| Conservative Management | 3 | ≥6 mm | Effective for mild cases; success rates of 80–90%. |
| Sublabial Drilling | 9 | <6 mm | Gold standard for severe cases; success rates of 85–100%. |
| Balloon-Assisted Dilation | 3 | Not specified | Promising minimally invasive alternative; moderate success rates (75%). |
| Hegar or Gradual Dilation | 3 | 5–7 mm | Adjunctive method with significant symptom relief. |
| Rapid Maxillary Expansion | 3 | ~6.3 mm | Effective for moderate cases; avoids surgery. |
| Palatal Expansion (iSARPE) | 2 | <6 mm | Addresses multilevel obstructions; high success rates (87%). |
| Combined Approaches | 2 | 5.5–6 mm | Tailored to complex cases; success rates of 85–90%. |
| Patient | Oro-Pharynx T1 (mm3) | Oro-Pharynx T2 (mm3) | ΔT (%) | Nasal Airway T1 (mm3) | Nasal Airway T2 (mm3) | ΔT (%) | Aperture Width (mm) T1 | Aperture Width (mm) T2 |
|---|---|---|---|---|---|---|---|---|
| 1 | 6900 | 9598 | 39.1 | 5739 | 9125 | 59 | 8.3 | 13.9 |
| 2 | 9100 | 12,830 | 41 | 7451 | 11,996 | 61 | 6.6 | 13.7 |
| 3 | 5200 | 7238 | 39.2 | 4254 | 6636 | 56 | 3.6 | 9.1 |
| 4 | 4700 | 6627 | 41 | 3756 | 6159 | 64 | 4.9 | 9.8 |
| Average | 6475 | 9073.25 | 40.1 | 5300 | 8479 | 60 | 5.85 | 11.625 |
| p-value | 0.0083 | 0.0084 |
Disclaimer/Publisher’s Note: The statements, opinions and data contained in all publications are solely those of the individual author(s) and contributor(s) and not of MDPI and/or the editor(s). MDPI and/or the editor(s) disclaim responsibility for any injury to people or property resulting from any ideas, methods, instructions or products referred to in the content. |
© 2025 by the authors. Licensee MDPI, Basel, Switzerland. This article is an open access article distributed under the terms and conditions of the Creative Commons Attribution (CC BY) license (https://creativecommons.org/licenses/by/4.0/).
Share and Cite
Emodi, O.; Zeineh, N.; Hija, A.; Bilder, A.; Ohayon, C.; Shilo, D.; Tzemach, M.; Gazit-Rappaport, T.; Gordin, A.; Rachmiel, A.; et al. Literature Review of Various Treatments in CNPAS and a Proposed Novel Clinical Treatment Algorithm. Children 2025, 12, 250. https://doi.org/10.3390/children12020250
Emodi O, Zeineh N, Hija A, Bilder A, Ohayon C, Shilo D, Tzemach M, Gazit-Rappaport T, Gordin A, Rachmiel A, et al. Literature Review of Various Treatments in CNPAS and a Proposed Novel Clinical Treatment Algorithm. Children. 2025; 12(2):250. https://doi.org/10.3390/children12020250
Chicago/Turabian StyleEmodi, Omri, Nidal Zeineh, Ahmad Hija, Amir Bilder, Chaim Ohayon, Dekel Shilo, Miri Tzemach, Talia Gazit-Rappaport, Arie Gordin, Adi Rachmiel, and et al. 2025. "Literature Review of Various Treatments in CNPAS and a Proposed Novel Clinical Treatment Algorithm" Children 12, no. 2: 250. https://doi.org/10.3390/children12020250
APA StyleEmodi, O., Zeineh, N., Hija, A., Bilder, A., Ohayon, C., Shilo, D., Tzemach, M., Gazit-Rappaport, T., Gordin, A., Rachmiel, A., & Capucha, T. (2025). Literature Review of Various Treatments in CNPAS and a Proposed Novel Clinical Treatment Algorithm. Children, 12(2), 250. https://doi.org/10.3390/children12020250

