Radiographic and Clinical Results of Combined Bone and Soft-Tissue Tailored Surgeries for Hip Dislocation and Subluxation in Cerebral Palsy
Abstract
1. Introduction
2. Materials and Methods
- Level I: Walks without limitations.
- Level II: Walks with limitations.
- Level III: Walks with a hand-held mobility device.
- Level IV: Limited self-mobility, often requiring powered mobility.
- Level V: Severe limitations in head and trunk control.
- Level I: Normal hip.
- Level II: Near-normal hip.
- Level III: Dysplastic hip.
- Level IV: Subluxated hip.
- Level V: Dislocated hip.
- Level VI: Hip requiring a salvage procedure.
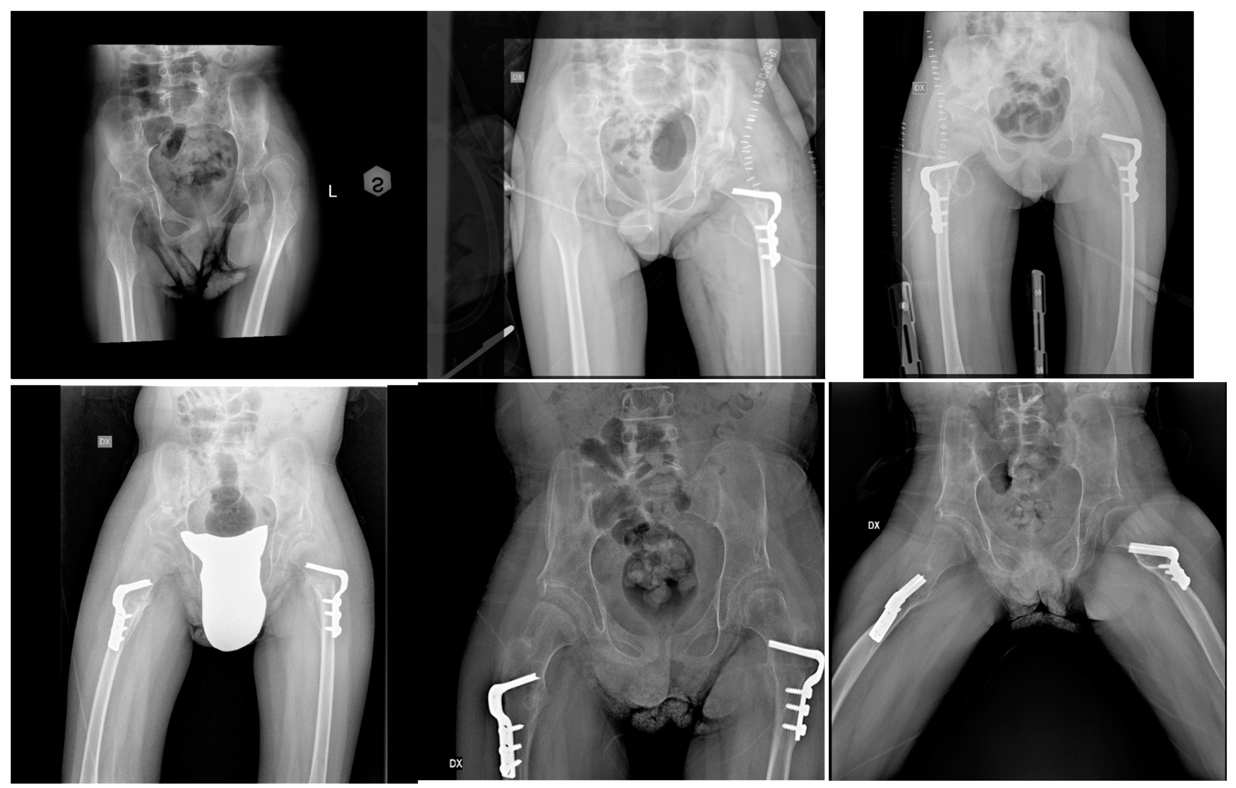
3. Results
3.1. Acetabular Index (AI)
3.2. Reimer’s Index (RI)
3.3. Neck–Shaft Angle (NSA)
3.4. Complications
- blood transfusion in 1 case (1.1%);
- wound dehiscence in 1 case (1.1%).
- hip dislocation in 6 cases (6.9%), requiring new surgery (in 84 days);
- graft resorption in 3 cases (3.4%), requiring new surgery (in 6 days) only in one case;
- infection in 1 case (1.1%), requiring removal of metal;
- hardware failure required re-surgery (in 2 days) in one case (1.1%);
- uncontrolled pain for more than 6 months from surgery in one case (1.1%), with complete resolution at the latest follow-up.
4. Discussion
5. Conclusions
Author Contributions
Funding
Institutional Review Board Statement
Informed Consent Statement
Data Availability Statement
Conflicts of Interest
References
- Miller, S.D.; Juricic, M.; Hesketh, K.; Mclean, L.; Magnuson, S.; Gasior, S.; Schaeffer, E.; O’Donnell, M.; Mulpuri, K. Prevention of hip displacement in children with cerebral palsy: A systematic review. Dev. Med. Child Neurol. 2017, 59, 1130–1138. [Google Scholar] [CrossRef] [PubMed]
- Scrutton, D.; Baird, G.; Smeeton, N. Hip dysplasia in bilateral cerebral palsy: Incidence and natural history in children aged 18 months to 5 years. Dev. Med. Child. Neurol. 2001, 43, 586–600. [Google Scholar] [CrossRef] [PubMed]
- Shrader, M.W.; Wimberly, L.; Thompson, R. Hip Surveillance in Children with Cerebral Palsy. J. Am. Acad. Orthop. Surg. 2019, 27, 760–768. [Google Scholar] [CrossRef] [PubMed]
- Palisano, R.J.; Rosenbaum Bartlett, D.; Livingston, M.H. Content validity of the expanded and revised Gross Motor Function Classification System. Dev. Med. Child. Neurol. 2008, 50, 744–750. [Google Scholar] [CrossRef]
- Hägglund, G.; Alriksson-Schmidt, A.; Lauge-Pedersen, H.; Rodby-Bousquet, E.; Wagner, P.; Westbom, L. Prevention of dislocation of the hip in children with cerebral palsy: 20-year results of a population-based prevention programme. Bone Jt. J. 2014, 96, 1546–1552. [Google Scholar] [CrossRef]
- Wynter, M.; Gibson, N.; Willoughby, K.L.; Love, S.; Kentish, M.; Thomason, P.; Graham, H.K. Australian hip surveillance guidelines for children with cerebral palsy: 5-year review. Dev. Med. Child. Neurol. 2015, 57, 808–820. [Google Scholar] [CrossRef]
- Pruszczynski, B.; Sees, J.; Miller, F. Risk factors for hip displacement in children with cerebral palsy: Systematic review. J. Pediatr. Orthop. 2016, 36, 829–833. [Google Scholar] [CrossRef]
- Filho, M.C.d.M.; Neves, D.L.; Abreu, F.P.; Kawamura, C.M.; dos Santos, C.A. Does the level of proximal femur rotation osteotomy influence the correction results in patients with cerebral palsy? J. Pediatr. Orthop. Part B 2013, 22, 8–13. [Google Scholar] [CrossRef]
- Battisti, N.; Cozzaglio, M.; Faccioli, S.; Perazza, S.; Groppi, A.; Menta, L.; Motta, M.; Piovesan, R.; Digennaro, G.L.; Rodocanachi, M.; et al. Prevention of hip dislocation in severe cerebral palsy (GMFCS III-IV-V): An interdisciplinary and multi-professional Care Pathway for clinical best practice implementation. Eur. J. Phys. Rehabil. Med. 2023, 59, 714. [Google Scholar] [CrossRef]
- Hägglund, G.; Lauge-Pedersen, H.; Wagner, P. Characteristics of children with hip displacement in cerebral palsy. BMC Musculoskelet. Disord. 2007, 8, 101. [Google Scholar] [CrossRef]
- Portinaro, N.; Panou, A.; Gagliano, N.; Pelillo, F. D.D.S.H.: Developmental dysplasia of the spastic hip: Strategies of management in cerebral palsy. A new suggestive algorithm. HIP Int. 2009, 19, 69–74. [Google Scholar] [CrossRef] [PubMed]
- Zakrzewski, A.M.; Bryant, A.J.; McCarthy, J.J. Can Over-containment Prevent Recurrence in Children with Cerebral Palsy and Hip Dysplasia Undergoing Hip Reconstruction? J. Pediatr. Orthop. 2022, 42, 300–306. [Google Scholar] [CrossRef] [PubMed]
- Portinaro, N.; Turati, M.; Cometto, M.; Bigoni, M.; Davids, J.R.; Panou, A. Guided Growth of the Proximal Femur for the Management of Hip Dysplasia in Children with Cerebral Palsy. J. Pediatr. Orthop. 2019, 39, e622–e628. [Google Scholar] [CrossRef] [PubMed]
- Canavese, F.; Emara, K.; Sembrano, J.N.; Bialik, V.; Aiona, M.D.; Sussman, M.D. Varus derotation osteotomy for the treatment of hip subluxation and dislocation in GMFCS level III to V patients with unilateral hip involvement. Follow-up at skeletal maturity. J. Pediatr. Orthop. 2010, 30, 357–364. [Google Scholar] [CrossRef]
- Judd, H.; Hyman, J.E. Operative treatment of the young cerebral palsy hip. J. Pediatr. Rehabil. Med. 2022, 15, 13–17. [Google Scholar] [CrossRef]
- Wagner, P.; Hägglund, G. Hip development after surgery to prevent hip dislocation in cerebral palsy: A longitudinal register study of 252 children. Acta Orthop. 2022, 93, 45–50. [Google Scholar] [CrossRef]
- Novacheck, T.F.; Gage, J.R. Orthopedic management of spasticity in cerebral palsy. Child’s Nerv. Syst. 2007, 23, 1015–1031. [Google Scholar] [CrossRef]
- Portinaro, N.M.A.; Murray, D.W.; Bhullar, T.P.S.; Benson, M.K.D. Errors in Measurement of Acetabular Index. J. Pediatr. Orthop. 1995, 15, 780–784. [Google Scholar] [CrossRef]
- Cooke, P.H.; Cole, W.G.; Carey, R.P. Dislocation of the hip in cerebral palsy. Natural history and predictability. J. Bone Jt. Surgery. Br. Vol. 1989, 71, 441–446. [Google Scholar] [CrossRef]
- Reimers, J. The Stability of the Hip in Children: A Radiological Study of the Results of Muscle Surgery in Cerebral Palsy. Acta Orthop. Scand. 1980, 51 (Suppl. S184), 1–100. [Google Scholar] [CrossRef]
- Robin, J.; Graham, H.K.; Baker, R.; Selber, P.; Simpson, P.; Symons, S.; Thomason, P. A classification system for hip disease in cerebral palsy. Dev. Med. Child Neurol. 2009, 51, 183–192. [Google Scholar] [CrossRef] [PubMed]
- Al-Ghadir, M.; Masquijo, J.J.; Guerra, L.A.; Willis, B. Combined Femoral and Pelvic Osteotomies Versus Femoral Osteotomy Alone in the Treatment of Hip Dysplasia in Children with Cerebral Palsy. J. Pediatr. Orthop. 2009, 29, 779–783. [Google Scholar] [CrossRef] [PubMed]
- Ma, N.; Tischhauser, P.; Camathias, C.; Brunner, R.; Rutz, E. Long-Term Evolution of the Hip and Proximal Femur after Hip Reconstruction in Non-Ambulatory Children with Cerebral Palsy: A Retrospective Radiographic Review. Children 2022, 9, 164. [Google Scholar] [CrossRef] [PubMed]
- Sankar, W.N.; Spiegel, D.A.; Gregg, J.R.; Sennett, B.J. Long-Term Follow-Up After One-Stage Reconstruction of Dislocated Hips in Patients with Cerebral Palsy. J. Pediatr. Orthop. 2006, 26, 1–7. [Google Scholar] [CrossRef]
- Bin Majid, O.; Alzayed, Z.S.; Saba, I.; Aournaser, A.; Valoria, R.A.; Koaban, S.; Zaabi, S.; Nogud, A.; Sharif, A.M. Outcome of Open Hip Reduction, Pelvic Osteotomy, and Varus Derotational Osteotomy in Children with Cerebral Palsy: A Retrospective Study. Cureus 2024, 16, e53996. [Google Scholar] [CrossRef]
- Min, J.J.; Kwon, S.-S.; Sung, K.H.; Lee, K.M.; Chung, C.Y.; Park, M.S. Remodelling of femoral head deformity after hip reconstructive surgery in patients with cerebral palsy. Bone Jt. J. 2021, 103, 198–203. [Google Scholar] [CrossRef]




Disclaimer/Publisher’s Note: The statements, opinions and data contained in all publications are solely those of the individual author(s) and contributor(s) and not of MDPI and/or the editor(s). MDPI and/or the editor(s) disclaim responsibility for any injury to people or property resulting from any ideas, methods, instructions or products referred to in the content. |
© 2025 by the authors. Licensee MDPI, Basel, Switzerland. This article is an open access article distributed under the terms and conditions of the Creative Commons Attribution (CC BY) license (https://creativecommons.org/licenses/by/4.0/).
Share and Cite
Beltrame, G.; Panou, A.; Peccati, A.; Tsibidakis, H.; Pelillo, F.; Portinaro, N.M. Radiographic and Clinical Results of Combined Bone and Soft-Tissue Tailored Surgeries for Hip Dislocation and Subluxation in Cerebral Palsy. Children 2025, 12, 91. https://doi.org/10.3390/children12010091
Beltrame G, Panou A, Peccati A, Tsibidakis H, Pelillo F, Portinaro NM. Radiographic and Clinical Results of Combined Bone and Soft-Tissue Tailored Surgeries for Hip Dislocation and Subluxation in Cerebral Palsy. Children. 2025; 12(1):91. https://doi.org/10.3390/children12010091
Chicago/Turabian StyleBeltrame, Giulia, Artemisia Panou, Andrea Peccati, Haridimos Tsibidakis, Francesco Pelillo, and Nicola Marcello Portinaro. 2025. "Radiographic and Clinical Results of Combined Bone and Soft-Tissue Tailored Surgeries for Hip Dislocation and Subluxation in Cerebral Palsy" Children 12, no. 1: 91. https://doi.org/10.3390/children12010091
APA StyleBeltrame, G., Panou, A., Peccati, A., Tsibidakis, H., Pelillo, F., & Portinaro, N. M. (2025). Radiographic and Clinical Results of Combined Bone and Soft-Tissue Tailored Surgeries for Hip Dislocation and Subluxation in Cerebral Palsy. Children, 12(1), 91. https://doi.org/10.3390/children12010091
