Vertical Dimension Control in Two Different Treatment Protocols: Invisalign First and Bite Block—A Retrospective Study
Abstract
1. Introduction
2. Materials and Methods
- -
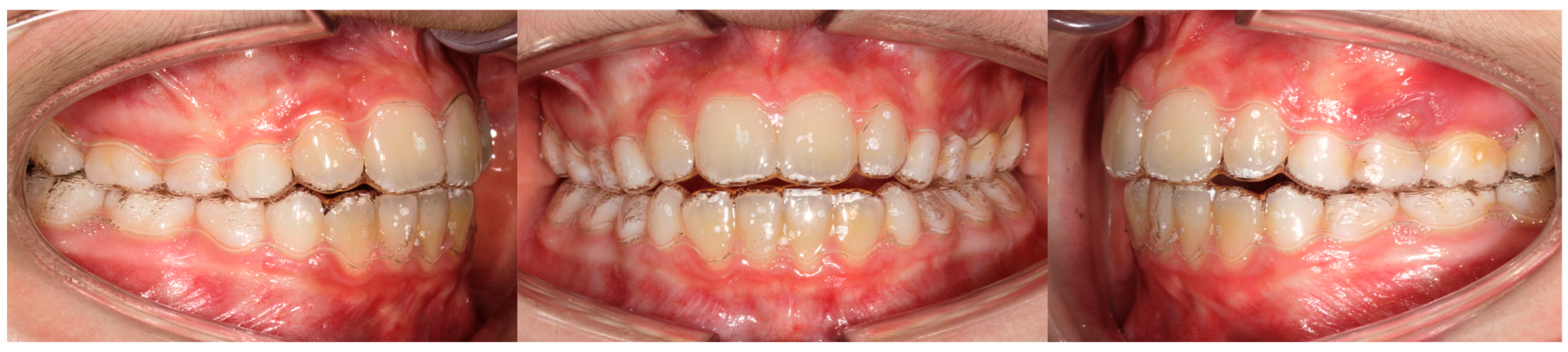
- Group IF (Invisalign First therapy), composed of 20 patients (10 females and 10 males with a mean age of 8.7 ± 2.1).
- -
- Group BB (Quad-helix and bite block), composed of 20 patients (10 females and 10 males with a mean age of 8.5 ± 1.5).
2.1. Data Measurement
- FMA angle (degrees) between the Frankfort Horizontal (Po-Or) and the mandibular plane (Go-Me);
- SN°GoGn angle between the Sella–Nasion plane and Steiner’s mandibular plane (Gonion–Gnathion);
- PF°Poccl angle between the Frankfort Horizontal (Po-Or) and the occlusal plane;
- SN°Poccl angle between the Sella–Nasion plane and the occlusal plane;
- ANS-PNS°Go-Me angle between the maxillary plane and Tweed’s mandibular plane (Gonion–Menton);
- SN°ANS-PNS angle between the Sella–Nasion plane and the maxillary plane;
- ArGo°GoMe angle between the plane of the mandibular ramus and Tweed’s mandibular plane (Gonion–Menton);
- SGo/NMe ratio of the posterior facial height (the linear distance between Sella and Gonion) and the anterior facial height (the linear distance between Nasion and Menton);
- N-ANS/ANS-Me ratio of the upper anterior facial height (the linear distance between Nasion and ANS) and the lower anterior facial height (the linear distance between ANS and Menton).
2.2. Statistical Analysis
3. Results
4. Discussion
5. Conclusions
Author Contributions
Funding
Institutional Review Board Statement
Informed Consent Statement
Data Availability Statement
Conflicts of Interest
References
- Buschang, P.H.; Jacob, H.B.; Chaffee, M.P. Vertical control in class II hyperdivergent growing patients using miniscrews implants: A pilot study. J. World Fed. Orthod. 2012, 1, e13. [Google Scholar] [CrossRef]
- Buschang, P.H.; Jacob, H.B. Mandibular rotation revisited: What makes it so important? Semin. Orthod. 2014, 20, 299–315. [Google Scholar] [CrossRef]
- Ryan, M.J.; Schneider, B.J.; BeGole, E.A.; Muhl, Z.F. Opening rotations of the mandible during and after treatment. Am. J. Orthod. Dentofac. Orthop. 1998, 114, 142–149. [Google Scholar] [CrossRef] [PubMed]
- Lu, Y.; Zhang, W.; Zhao, B.; Liu, Y. Vertical Control of a Severe Hyperdivergent Skeletal Class II Malocclusion with Steep Posterior Occlusal Plane in a Camouflage Case. Medicina 2022, 58, 1217. [Google Scholar] [CrossRef]
- Creekmore, T.D. Inhibition or stimulation of the vertical growth of the facial complex, its significance to treatment. Angle Orthod. 1967, 37, 285–297. [Google Scholar]
- Mucedero, M.; Fusaroli, D.; Franchi, L.; Pavoni, C.; Cozza, P.; Lione, R. Long-term evaluation of rapid maxillary expansion and bite-block therapy in open bite growing subjects: A controlled clinical study. Angle Orthod. 2018, 88, 523–529. [Google Scholar] [CrossRef]
- Pavoni, C.; Franchi, L.; Laganà, G.; Cozza, P. Radiographic assessment of maxillary incisor position after rapid maxillary expansion in children with clinical signs of eruption disorder. J. Orofac. Orthop. 2013, 74, 6. [Google Scholar] [CrossRef]
- Pavoni, C.; Paoloni, V.; Ghislanzoni, L.T.H.; Laganà, G.; Cozza, P. Geometric morphometric analysis of the palatal morphology in children with impacted incisors: A three-dimensional evaluation. Angle Orthod. 2017, 87, 404–408. [Google Scholar] [CrossRef]
- Jedliński, M.; Janiszewska-Olszowska, J. Stimulation of mandibular growth in animal model studies. Literature review. Forum Ortodon./Orthod. Forum 2019, 15, 285–300. [Google Scholar]
- Meier, B.; Wiemer, K.B.; Miethke, R.R. Invisalign--patient profiling. Analysis of a prospective survey. J. Orofac. Orthop. 2003, 64, 352–358. [Google Scholar] [CrossRef]
- White, D.W.; Julien, K.C.; Jacob, H.; Campbell, P.M.; Buschang, P.H. Discomfort associated with Invisalign and traditional brackets: A randomized, prospective trial. Angle Orthod. 2017, 87, 801–808. [Google Scholar] [CrossRef] [PubMed]
- Toz Ertop, M.; Cicek, O.; Erener, H.; Ozkalayci, N.; Demir Cicek, B.; Comert, F. Evaluation of the Demineralization Development around Different Types of Orthodontic Brackets. Materials 2023, 16, 984. [Google Scholar] [CrossRef] [PubMed]
- Ke, Y.; Zhu, Y.; Zhu, M. A comparison of treatment effectiveness between clear aligner and fixed appliance therapies. BMC Oral Health 2019, 19, 24. [Google Scholar] [CrossRef] [PubMed]
- Tepedino, M.; Colasante, P.; Staderini, E.; Masedu, F.; Ciavarella, D. Short-term effect of orthodontic clear aligners on muscular activity and occlusal contacts: A cohort study. Am. J. Orthod. Dentofac. Orthop. 2023, 164, 34–44. [Google Scholar] [CrossRef] [PubMed]
- Bucci, R.; Rongo, R.; Levate, C.; Michelotti, A.; Barone, S.; Razionale, A.V.; D’Antò, V. Thickness of orthodontic clear aligners after thermoforming and after 10 days of intraoral exposure: A prospective clinical study. Prog. Orthod. 2019, 20, 36. [Google Scholar] [CrossRef]
- Rask, H.; English, J.D.; Colville, C.; Kasper, F.K.; Gallerano, R.; Jacob, H.B. Cephalometric evaluation of changes in vertical dimension and molar position in adult non-extraction treatment with clear aligners and traditional fixed appliances. Dental Press. J. Orthod. 2021, 26, e2119360. [Google Scholar] [CrossRef]
- Lanteri, V.; Farronato, G.; Lanteri, C.; Caravita, R.; Cossellu, G. The efficacy of orthodontic treatments for anterior crowding with Invisalign compared with fixed appliances using the Peer Assessment Rating Index. Quintessence Int. 2018, 49, 581–587. [Google Scholar]
- Little, R. The Irregularity Index: A quantitative score of mandibular anterior alignment. Am. J. Othod. 1975, 68, 554–563. [Google Scholar] [CrossRef]
- Laganà, G.; Malara, A.; Lione, R.; Danesi, C.; Meuli, S.; Cozza, P. Enamel interproximal reduction during treatment with clear aligners: Digital planning versus OrthoCAD analysis. BMC Oral. Health. 2021, 21, 199. [Google Scholar] [CrossRef]
- Springate, S.D. The effect of sample size and bias on the reliability of estimates of error: A comparative study of Dahlberg’s formula. Eur. J. Orthod. 2012, 34, 158–163. [Google Scholar] [CrossRef]
- Harris, K.; Ojima, K.; Dan, C.; Upadhyay, M.; Alshehri, A.; Kuo, C.L.; Mu, J.; Uribe, F.; Nanda, R. Evaluation of open bite closure using clear aligners: A retrospective study. Prog. Orthod. 2020, 21, 23. [Google Scholar] [CrossRef] [PubMed]
- Boyd, R.L. Esthetic orthodontic treatment using the invisalign appliance for moderate to complex malocclusions. J. Dent. Educ. 2008, 72, 948–967. [Google Scholar] [CrossRef] [PubMed]
- Khosravi, R.; Cohanim, B.; Hujoel, P.; Daher, S.; Neal, M.; Liu, W.; Huang, G. Management of overbite with the Invisalign appliance. Am. J. Orthod. Dentofac. Orthop. 2017, 151, 691–699.e2. [Google Scholar] [CrossRef] [PubMed]
- Moshiri, S.; Araujo, E.A.; McCray, J.F.; Thiesen, G.; Kim, K.B. Cephalometric evaluation of adult anterior open bite non-extraction treatment with Invisalign. Dental Press. J. Orthod. 2017, 22, 30–38. [Google Scholar] [CrossRef] [PubMed]
- Garnett, B.S.; Mahood, K.; Nguyen, M.; Al-Khateeb, A.; Liu, S.; Boyd, R.; Oh, H. Cephalometric comparison of adult anterior open bite treatment using clear aligners and fixed appliances. Angle Orthod. 2019, 89, 3–9. [Google Scholar] [CrossRef]
- Gudhimella, S.; Gandhi, V.; Schiro, N.L.; Janakiraman, N. Management of Anterior Open Bite and Skeletal Class II Hyperdivergent Patient with Clear Aligner Therapy. Turk. J. Orthod. 2022, 35, 139–149. [Google Scholar] [CrossRef]
- Staderini, E.; Ventura, V.; Meuli, S.; Maltagliati, L.Á.; Gallenzi, P. Analysis of the Changes in Occlusal Plane Inclination in a Class II Deep Bite “Teen” Patient Treated with Clear Aligners: A Case Report. Int. J. Environ. Res. Public. Health 2022, 19, 651. [Google Scholar] [CrossRef]
- Iscan, H.N.; Sarisoy, L. Comparison of the effects of passive posterior bite-blocks with different construction bites on the craniofacial and dentoalveolar structures. Am. J. Orthod. Dentofac. Orthop. 1997, 112, 171–178. [Google Scholar] [CrossRef]
- Işcan, H.N.; Akkaya, S.; Koralp, E. The effects of the spring-loaded posterior bite-block on the maxillo-facial morphology. Eur. J. Orthod. 1992, 14, 54–60. [Google Scholar] [CrossRef]
- Cozza, P.; Mucedero, M.; Baccetti, T.; Franchi, L. Treatment and posttreatment effects of quad-helix/crib therapy of dentoskeletal open bite. Angle Orthod. 2007, 77, 640–645. [Google Scholar] [CrossRef]
- Kobayashi, Y.; Shundo, I.; Endo, T. Treatment effects of quad-helix on the eruption pattern of maxillary second molars. Angle Orthod. 2012, 82, 676–681. [Google Scholar] [CrossRef] [PubMed]



| Group IF | Group BB | ||
|---|---|---|---|
| N. | 20 | 20 | |
| Gender | M | 10 | 10 |
| F | 10 | 10 | |
| Mean age | 8.7 ± 2.1 | 8.5 ± 1.5 | |
| Time of treatment | 12 months | 12 months | |
| BB | IF | p Value | |
|---|---|---|---|
| FMA | 34° ± 1.3° | 31° ± 0.9° | ns |
| SN°GoGN | 44° ± 2.1° | 38° ± 1.9° | ns |
| Poccl ° PF | 16° ± 0.7° | 11° ± 0.6° | ns |
| N-ANS/N-SMe | 42% ± 1.3% | 43% ± 1.7% | ns |
| Sn°ANS-PNS | 9° ± 0.5° | 9° ± 0.3° | ns |
| Sn°Poccl | 26° ± 1.4° | 21° ± 1.2° | ns |
| SGo/N-Me | 57° ± 1.3 * | 59° ± 0.7° | ns |
| ArGo/GoMe | 136° ± 2.5° | 135° ± 2.2° | ns |
| ANS-PNS/GoMe | 31° ± 0.3° | 31° ± 0.6° | ns |
| BB | IF | p Value | |
|---|---|---|---|
| FMA | 33° ± 1.2° | 29 ± 0.8° | ns |
| SN°GoGN | 43° ± 1.9° | 37° ± 2.1° | ns |
| Poccl ° PF | 15° ± 0.3° | 10° ± 0.7° | ns |
| N-ANS/N-SMe | 42% ± 1.6% | 43% ± 1.2% | ns |
| Sn°ANS-PNS | 10° ± 0.7° | 9° ± 0.2° | ns |
| Sn°Poccl | 24° ± 1.1° | 20° ± 0.8° | ns |
| SGo/N-Me | 58° ± 0.9° | 60° ± 1.11° | ns |
| ArGo/GoMe | 135° ± 2.8° | 131° ± 2.1° | ns |
| ANS-PNS/GoMe | 30° ± 1° | 29° ± 0.7° | ns |
| T0 | T1 | p Value | |
|---|---|---|---|
| FMA | 34° ± 1.3° | 33° ± 1.2° | ns |
| SN°GoGN | 44° ± 2.1° | 43° ± 1.9° | * |
| Poccl ° PF | 16° ± 0.7° | 15° ± 0.3° | * |
| N-ANS/N-SMe | 42% ± 1.3% | 42% ± 1.6% | * |
| Sn°ANS-PNS | 9° ± 0.5° | 10° ± 0.7° | * |
| Sn°Poccl | 26° ± 1.4° | 24° ± 1.1° | * |
| SGo/N-Me | 57° ± 1.3 * | 58° ± 0.9° | * |
| ArGo/GoMe | 136° ± 2.5° | 135° ± 2.8° | * |
| ANS-PNS/GoMe | 31° ± 0.3° | 30° ± 1° | * |
| T0 | T1 | p Value | |
|---|---|---|---|
| FMA | 31° ± 0.9° | 29 ± 0.8° | * |
| SN°GoGN | 38° ± 1.9° | 37° ± 2.1° | * |
| Poccl ° PF | 11° ± 0.6° | 10° ± 0.7° | ns |
| N-ANS/N-SMe | 43% ± 1.7% | 43% ± 1.2% | * |
| Sn°ANS-PNS | 9° ± 0.3° | 9° ± 0.2° | ns |
| Sn°Poccl | 21° ± 1.2° | 20° ± 0.8° | * |
| SGo/N-Me | 59° ± 0.7° | 60° ± 1.11° | * |
| ArGo/GoMe | 135° ± 2.2° | 131° ± 2.1° | * |
| ANS-PNS/GoMe | 31° ± 0.6° | 29° ± 0.7° | * |
Disclaimer/Publisher’s Note: The statements, opinions and data contained in all publications are solely those of the individual author(s) and contributor(s) and not of MDPI and/or the editor(s). MDPI and/or the editor(s) disclaim responsibility for any injury to people or property resulting from any ideas, methods, instructions or products referred to in the content. |
© 2024 by the authors. Licensee MDPI, Basel, Switzerland. This article is an open access article distributed under the terms and conditions of the Creative Commons Attribution (CC BY) license (https://creativecommons.org/licenses/by/4.0/).
Share and Cite
Laganà, G.; Malara, A.; Palmacci, D.; Bollero, P.; Cozza, P. Vertical Dimension Control in Two Different Treatment Protocols: Invisalign First and Bite Block—A Retrospective Study. Children 2024, 11, 1252. https://doi.org/10.3390/children11101252
Laganà G, Malara A, Palmacci D, Bollero P, Cozza P. Vertical Dimension Control in Two Different Treatment Protocols: Invisalign First and Bite Block—A Retrospective Study. Children. 2024; 11(10):1252. https://doi.org/10.3390/children11101252
Chicago/Turabian StyleLaganà, Giuseppina, Arianna Malara, Daniel Palmacci, Patrizio Bollero, and Paola Cozza. 2024. "Vertical Dimension Control in Two Different Treatment Protocols: Invisalign First and Bite Block—A Retrospective Study" Children 11, no. 10: 1252. https://doi.org/10.3390/children11101252
APA StyleLaganà, G., Malara, A., Palmacci, D., Bollero, P., & Cozza, P. (2024). Vertical Dimension Control in Two Different Treatment Protocols: Invisalign First and Bite Block—A Retrospective Study. Children, 11(10), 1252. https://doi.org/10.3390/children11101252

