Meningomyelocele Perioperative Management in Neonatal: Case Series
Abstract
1. Introduction
2. Clinical Cases
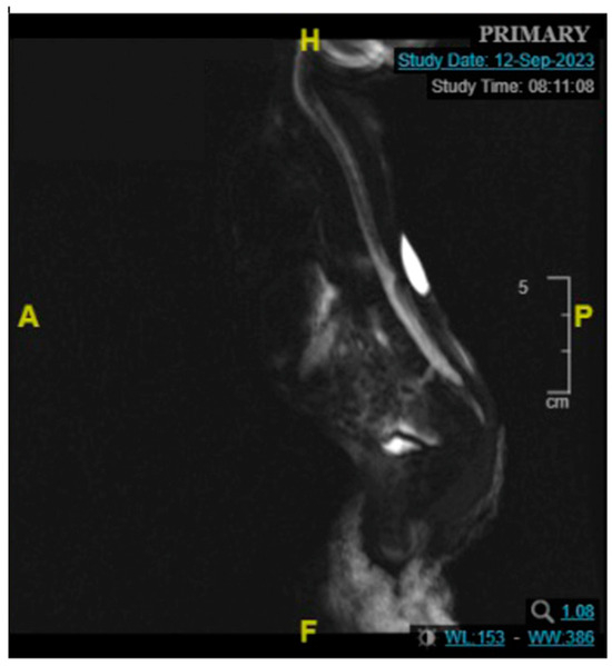
2.1. Patient 1
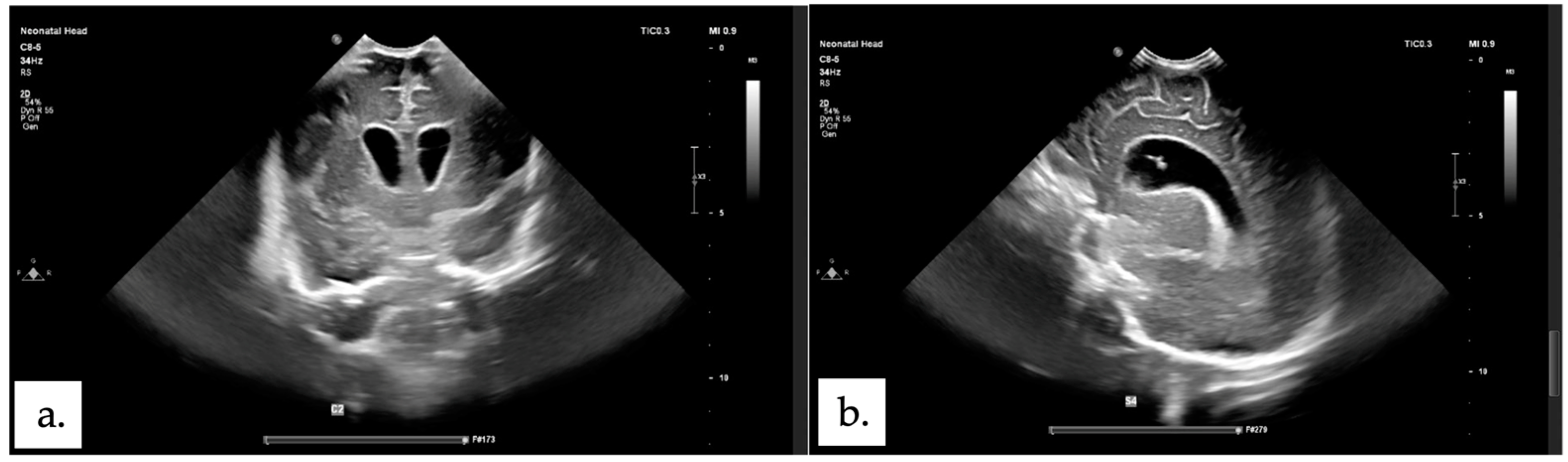
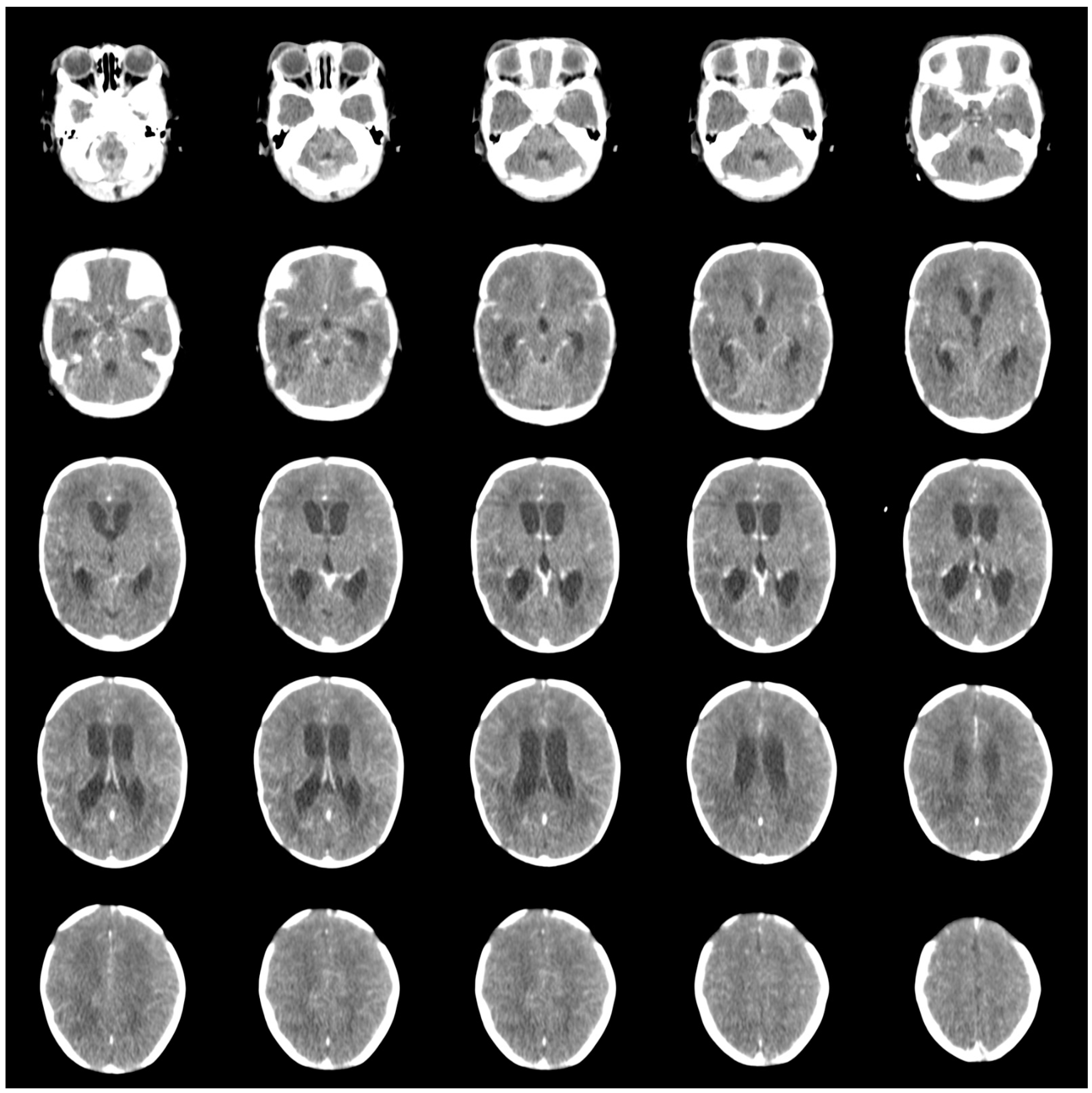
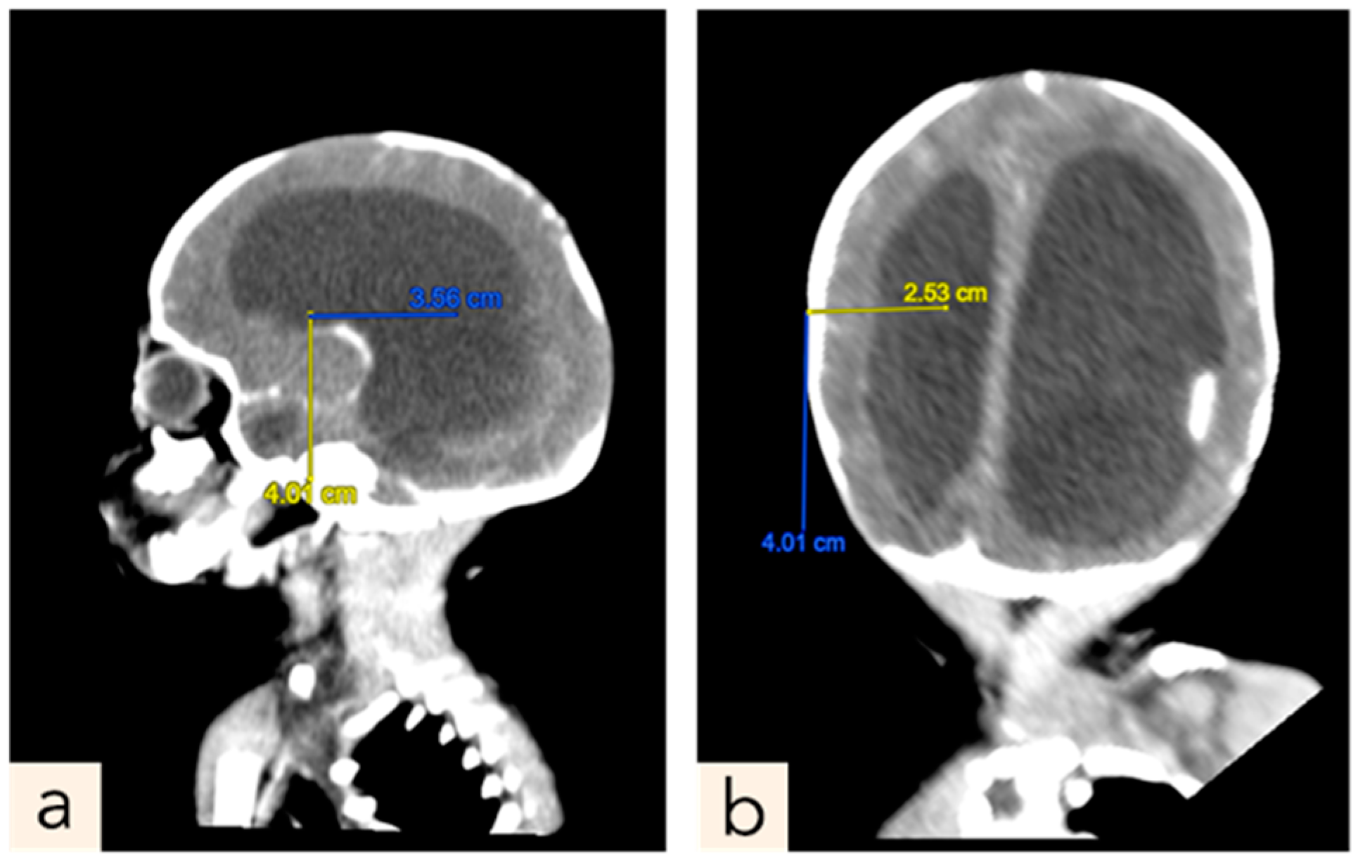
2.2. Patient 2
2.3. Patient 3
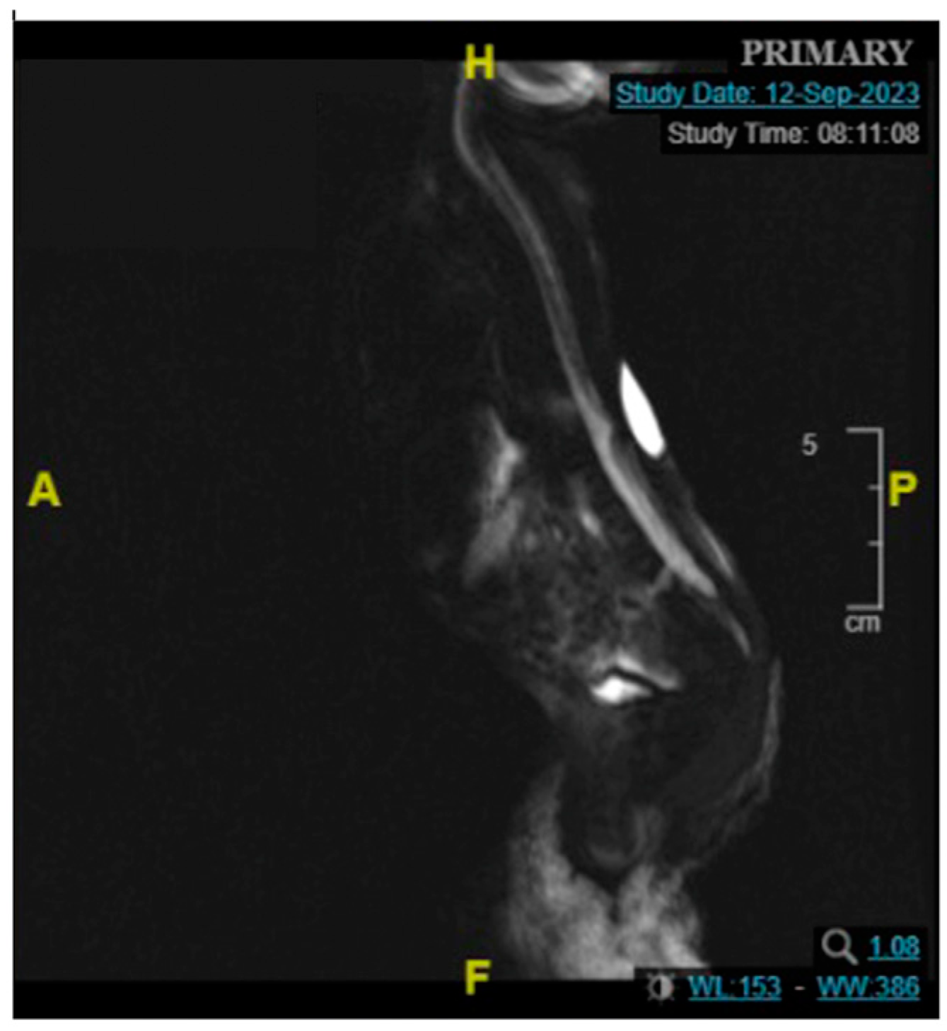
2.4. Patient 4
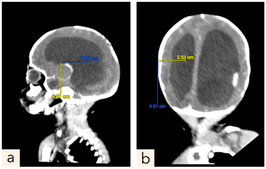
3. Discussion
4. Conclusions
Author Contributions
Funding
Institutional Review Board Statement
Informed Consent Statement
Data Availability Statement
Acknowledgments
Conflicts of Interest
References
- Jimmy, N.; Adrian, K.; Patrick, L. Myelomeningocele-A literature review. Interdiscip. Neurosurg. 2020, 19, 1–4. [Google Scholar]
- Geoffrey, W.; Gabriella, D. Ruptured meningomyelocele reconstructed with rhombic flap. J. Pediatr. Surg. Case Rep. 2022, 79, 1–7. [Google Scholar]
- Demir, N.; Peker, E.; Gülşen, İ.; Ağengin, K.; Tuncer, O. Factors affecting infection development after meningomyelocele repair in newborns and the efficacy of antibiotic prophylaxis. Childs Nerv. Syst. 2015, 31, 1355–1359. [Google Scholar] [CrossRef]
- Lo, A.; Polšek, D.; Sidhu, S. Estimating the burden of neural tube defects in low-and middle-income countries. J. Glob. Health 2014, 4, 1–9. [Google Scholar] [CrossRef] [PubMed]
- Kabila, B.; Zhim, M.; Naggar, A.; El Hadad, S.; Allali, N.; Chat, L. Superinfected and Ruptured Occipital Meningocele: Case Report. Glob. Pediatr. Health 2023, 14, 1–5. [Google Scholar] [CrossRef]
- Centers for Disease Control and Prevention: Folic Acid. Available online: https://www.cdc.gov/folic-acid/about/index.html (accessed on 28 February 2024).
- Liu, J.; Li, Z.; Ye, R.; Liu, J.; Ren, A. Periconceptional folic acid supplementation and sex difference in prevention of neural tube defects and their subtypes in China: Results from a large prospective cohort study. Nutr. J. 2018, 17, 115. [Google Scholar] [CrossRef]
- Fieggan, K.; Stewart, C. Aetiology and Antenatal Diagnosis of Spina Bifida. S. Afr. Med. J. 2014, 104, 218–220. [Google Scholar] [CrossRef][Green Version]
- Press Release: 121 Million Pregnancies Are Unintended—A Global Crisis, Says New UNFPA Report. Available online: https://indonesia.unfpa.org/en/news/press-release-121-million-pregnancies-are-unintended—-global-crisis-says-new-unfpa-report (accessed on 28 February 2024).
- Finger, T.; Schaumann, A.; Pennacchietti, V.; Bührer, C.; Thomale, U.W.; Schulz, M. Reduced rates of infection after myelomeningocele closure associated with standard perioperative antibiotic treatment with ampicillin and gentamicin. Child’s Nerv. Syst. 2021, 37, 545–553. [Google Scholar] [CrossRef]
- Cavalheiro, S.; da Costa, M.D.S.; Barbosa, M.M.; Dastoli, P.A.; Mendonça, J.N.; Cavalheiro, D.; Moron, A.F. Hydrocephalus in myelomeningocele. Childs Nerv. Syst. 2021, 37, 3407–3415. [Google Scholar] [CrossRef]
- Baghel, S.; Inamdar, S.A. TORCH Infection and Its Influence on High-risk Pregnancy. J. South Asian Fed. Obstet. Gynaecol. 2020, 12, 376–382. [Google Scholar] [CrossRef]
- Alsiddiky, A.; Alghnimei, N.; Alfadhil, R.; Alharbi, S.K.; Alsharidah, A.M.; Albusayes, N.; Albarrak, R.; Alsubaie, A.A. Targeted Minimally Invasive Percutaneous Posteromedial Release of Residual Clubfoot in Myelomeningocele Patients: A Report of Two Cases. Cureus 2022, 14, e27084. [Google Scholar] [CrossRef] [PubMed]
- Barbara, T.; Tomas, A.L.; Monique, O.M.; Isadora, F.T.; Emi, F.; Laila, C.A. A Practical Approach to Diagnosis of Spinal Dysraphism. Radiographics 2021, 41, 559–575. [Google Scholar]
- Sydney Children’s Hospitals Network. NSW Government. Myelomeningocele in Neonates: Pre and Post-Operative Management-GCNC-CHW-PRACTICE GUIDELINE; The Children’s Hospital at Westmead: Westmead, Australia, 2022. [Google Scholar]
- Michael, J.; Acarregui, M.D. Fluid and Electrolyte Management in the Newborn. University of Lowa Stead Family Children’s Hospital. 2022. Available online: https://uihc.org/childrens/educational-resources/fluid-management-nicu-handbook#:~:text=It%20is%20estimated%20that%20the,in%20a%20neutral%20thermal%20environment (accessed on 28 February 2024).
- Mounier, R.; Lobo, D.; Cook, F.; Martin, M.; Attias, A.; Ait-Mamar, B.; Gabriel, I.; Bekaert, O.; Bardon, J.; Nebbad, B.; et al. From the skin to the brain: Pathophysiology of colonization and infection of external ventricular drain, a prospective observational study. PLoS ONE 2015, 10, e0142320. [Google Scholar] [CrossRef]
- Blount, J.P.; George, T.M.; Koueik, J.; Iskandar, B.J. Concepts in the neurosurgical care of patients with spinal neural tube defects: An embryologic approach. Birth Defects Res. 2019, 111, 1564–1576. [Google Scholar] [CrossRef]
- The ISPN Guide to Pediatric Neurosurgery (USA): Management of Myelomeningoceles in Children. Available online: https://ispn.guide/congenital-disorders-of-the-nervous-system-in-children/myelomeningoceles-in-children-homepage/management-of-myelomeningoceles-in-children/ (accessed on 13 March 2024).
- Alamgir, K. Outcome of Myelomeningocele Repair and Early Post-operative Complications. Pak. J. Neurol. Surger. 2018, 22, 200–205. [Google Scholar]
- He, Z.; Zhou, K.; Tang, K.; Quan, Z.; Liu, S.; Su, B. Perioperative hypoalbuminemia is a risk factor for wound complications following posterior lumbar interbody fusion. J. Orthop. Surg. Res. 2020, 15, 538. [Google Scholar] [CrossRef]
- Ge, X.; Dai, X.; Ding, C.; Tian, H.; Yang, J.; Gong, J.; Zhu, W.; Li, N.; Li, J. Early Postoperative decrease of serum albumin predicts surgical outcome in patients undergoing colorectal resection. Dis. Colon Rectum 2017, 60, 326–334. [Google Scholar] [CrossRef] [PubMed]
- Dogra, S.; Malik, M.A.; Peters, N.J.; Samujh, R. Postoperative hyponatremia in neonates with esophageal atresia and tracheoesophageal fistula receiving restricted hypotonic fluids. Ann. Pediatr. Surg. 2022, 18, 72. [Google Scholar] [CrossRef]
- Overview of Postoperative Electrolyte Abnormalities. Available online: https://www.uptodate.com/contents/overview-of-postoperative-electrolyte-abnormalities#H432787986 (accessed on 28 February 2024).
- Au, A.K.; Ray, P.E.; McBryde, K.D.; Newman, K.D.; Weinstein, S.L.; Bell, M.J. Incidence of postoperative hyponatremia and complications in critically-ill children treated with hypotonic and normotonic solutions. J. Pediatr. 2008, 152, 33–38. [Google Scholar] [CrossRef]
- Lyke, K.E.; Obasanjo, O.O.; Williams, M.A.; O’Brien, M.; Chotani, R.; Perl, T.M. Ventriculitis complicating use of intraventricular catheters in adult neurosurgical patients. Clin. Infect. Dis. Off. Publ. Infect. Dis. Soc. Am. 2001, 33, 2028–2033. [Google Scholar] [CrossRef]
- Marreiros, H.; Loff, C.; Calado, E. Who needs surgery for pediatric myelomeningocele? A retrospective study and literature review. J. Spinal Cord Med. 2015, 38, 626–640. [Google Scholar] [CrossRef] [PubMed]
- Pillay, D.N.; Moodley, P. Profiles of patients with myelomeningocele admitted to the neonatal unit at Universitas Academic Hospital in Bloemfontein, South Africa. South Afr. J. Child Health 2023, 17, 152–156. [Google Scholar] [CrossRef]
- Mnguni, M.N.; Enicker, B.C.; Madiba, T.E. A perspective in the management of myelomeningocoele in the KwaZulu-Natal Province of South Africa. Child’s Nerv. Syst. 2020, 36, 1521–1527. [Google Scholar] [CrossRef] [PubMed]
- Pertsch, N.J.; Tang, O.Y.; Seicean, A.; Toms, S.A.; Weil, R.J. Sepsis after elective neurosurgery: Incidence, outcomes, and predictive factors. J. Clin. Neurosci. 2020, 78, 53–59. [Google Scholar] [CrossRef] [PubMed]
- Idris, B. Factors affecting the outcomes in children post-myelomeningocoele repair in north eastern peninsular Malaysia. Malays. J. Med. Sci. 2011, 18, 52–59. [Google Scholar] [PubMed]
- Chance, A.; Sandberg, D.I. Hydrocephalus in patients with closed neural tube defects. Childs Nerv. Syst. 2015, 31, 329–332. [Google Scholar] [CrossRef]
- Yamasaki, M.; Kanemura, Y. Molecular Biology of Pediatric Hydrocephalus and Hydrocephalus-related Diseases. Neurol. Med. -Chir. 2015, 55, 640–646. [Google Scholar] [CrossRef]
- Armas-Melián, K.; Iglesias, S.; Ros, B.; Martínez-León, M.I.; Arráez, M.Á. Cervical myelomeningocele with CSF leakage: A case-based review. Child’s Nerv. Syst. 2020, 36, 2615–2620. [Google Scholar] [CrossRef]
- Warf, B.C. Hydrocephalus associated with neural tube defects: Characteristics, management, and outcome in sub-Saharan Africa. Childs Nerv. Syst. 2011, 27, 1589–1594. [Google Scholar] [CrossRef]
- Timing of Shunt Insertion in Children with Neural tube Defects and Hydrocephalus: Clinical Study. Available online: http://www.turkishneurosurgery.org.tr/summary_en_doi.php3?doi=10.5137/1019-5149.JTN.26588-19.1 (accessed on 28 February 2024).
- Zabsonre, D.S.; Lankoande, H.; Zoungrana-Ouattara, C.F.; Thiombiano, A.; Ouedraogo, S.; Sanou, A.; Yameogo, P.; Kabre, A. Association of Hydrocephalus with Neural Tube Defect: Our Experience with the Surgical Treatment in One or in Two Operative Stages (on Separate Days). Pediatr. Neurosurg. 2019, 54, 1–5. [Google Scholar] [CrossRef]











| Examination | Pre-Operative | Post-Operative | Reference Range | Unit | |||||
|---|---|---|---|---|---|---|---|---|---|
| Day-1 | Day-5 | Day-8 | Day-10 | Day-18 | Day-26 | ||||
| Hemoglobin | 14.1 | 12.7 | 10.6 | 15.7 | 14.3 | 13.8 | 13.4 | 13.5–21.5 | g/dL |
| Hematocrit | 39.4 | 34.3 | 30.3 | 44.1 | 41.4 | 46 | 38.5 | 42.0–66.00 | % |
| Leukocytes | 14.39 | 29.74 | 20.59 | 32.56 | 35.82 | 10.72 | 9.05 | 13.0–38.0 | 103/uL |
| Platelets | 324 | 528 | 680 | 594 | 646 | 400 | 255 | 150–450 | 103/uL |
| C-Reactive Protein (CRP) | <0.1 | 0.1 | 1.73 | 1.84 | 2.67 | 0.3 | 0.1 | <0.3 | mg/dL |
| Random Blood Glucose | 52 | 73 | 71 | 88 | 170 | 81 | 76 | 70–140 | mg/dL |
| Sodium (Na) | 136 | 127 | 133 | 133 | 133 | 131 | 131 | 135–145 | mEq/L |
| Potassium (K) | 5.2 | 7.2 | 5.9 | 4.6 | 4.5 | 4.7 | 4.6 | 4.5–5.6 | mEq/L |
| Albumin | 3.05 | 2.9 | 2.7 | 3.2 | 3.2 | 3.0 | 3.0 | 3.8–5.4 | g/dL |
| SGOT (AST) | 28 | 15–37 | U/L | ||||||
| SGPT (ALT) | 8 | 0–55 | U/L | ||||||
| Ureum | 10.1 | 10.9–35.9 | mg/dL | ||||||
| Creatinine | 0.39 | 0.72–1.25 | mg/dL | ||||||
| Lactic acid | 2.6 | 1.1–3.7 | mmol/L | ||||||
| pH | 7.37 | 7.32–7.49 | |||||||
| pCO2 | 34.9 | 26.0–41.0 | mmHg | ||||||
| pO2 | 72.1 | 60.0–70.0 | mmHg | ||||||
| HCO3 | 20.5 | 16.0–24.0 | mmol/L | ||||||
| tCO2 | 21.6 | 23.05–27.35 | mmol/L | ||||||
| BE | −3.4 | (−2)–(+3) | mmol/L | ||||||
| SpO2 | 93.9 | 95–100 | % | ||||||
| Examination | Pre-Operative | Post-Operative | Reference Range | Unit | ||||
|---|---|---|---|---|---|---|---|---|
| Day-1 | Day-8 | Day-14 | Day-21 | Day-29 | ||||
| Hemoglobin | 16.8 | 14 | 11.5 | 11.5 | 9.3 | 11.9 | 13.5–21.5 | g/dL |
| Hematocrit | 48.9 | 40.7 | 33.5 | 33.9 | 27.6 | 35.8 | 42.0–66.00 | % |
| Leukocytes | 15,360 | 8660 | 12,340 | 23,950 | 14,940 | 15,790 | 13.0–38.0 | 103/uL |
| Platelets | 144,000 | 238,000 | 396,000 | 381,000 | 492,000 | 575,000 | 150–450 | 103/uL |
| C-Reactive Protein (CRP) | <0.1 | 0.11 | 0.47 | 1.07 | 1.11 | 0.18 | <0.3 | mg/dL |
| Random Blood Glucose | 72 | 75 | 82 | 93 | 81 | 79 | 70–140 | mg/dL |
| Sodium (Na) | 134 | 135 | 140 | 135 | 133 | 134 | 135–145 | mEq/L |
| Potassium (K) | 5.5 | 5.2 | 4.9 | 5.0 | 5.2 | 4.8 | 4.5–5.6 | mEq/L |
| Albumin | 3.4 | 3.2 | 2.22 | 3.54 | 2.8 | 3.1 | 3.8–5.4 | g/dL |
| SGOT (AST) | 31 | 15–37 | U/L | |||||
| SGPT (ALT) | 19 | 0–55 | U/L | |||||
| Ureum | 16.2 | 10.9–35.9 | mg/dL | |||||
| Creatinine | 0.78 | 0.72–1.25 | mg/dL | |||||
| Examination | Pre-Operative | Post-Operative | Reference Range | Unit | |||
|---|---|---|---|---|---|---|---|
| Day-1 | Day-4 | Day-9 | Day-19 | ||||
| Hemoglobin | 17.6 | 16.4 | 13.5 | 11.7 | 12.8 | 13.5–21.5 | g/dL |
| Hematocrit | 49.9 | 47.4 | 40.1 | 32.7 | 36 | 42.0–66.00 | % |
| Leukocytes | 14,970 | 26,670 | 26,630 | 28,400 | 17,130 | 13.0–38.0 | 103/uL |
| Platelets | 302,000 | 628,000 | 609,000 | 614,000 | 625,000 | 150–450 | 103/uL |
| C-Reactive Protein (CRP) | 0.46 | 0.92 | 9.4 | 2.72 | 0.4 | <0.3 | mg/dL |
| Random Blood Glucose | 92 | 109 | 133 | 62 | 81 | 70–140 | mg/dL |
| Sodium (Na) | 138 | 136 | 140 | 134 | 133 | 135–145 | mEq/L |
| Potassium (K) | 5 | 4.6 | 4.9 | 5.2 | 5.2 | 4.5–5.6 | mEq/L |
| Albumin | 3.17 | 3.91 | 3.14 | 3.13 | 3.1 | 3.8–5.4 | g/dL |
| SGOT (AST) | 30 | 15–37 | U/L | ||||
| SGPT (ALT) | 9 | 0–55 | U/L | ||||
| Ureum | 15.9 | 10.9–35.9 | mg/dL | ||||
| Creatinine | 0.57 | 0.72–1.25 | mg/dL | ||||
| Examination | Pre-Operative | Post-Operative | Reference Range | Unit | |
|---|---|---|---|---|---|
| Day-1 | Day-8 | ||||
| Hemoglobin | 14.2 | 14.4 | 13.0 | 13.5–21.5 | g/dL |
| Hematocrit | 40.4 | 41 | 37.1 | 42.0–66.00 | % |
| Leukocytes | 8850 | 11,670 | 10,430 | 13.0–38.0 | 103/uL |
| Platelets | 325,000 | 313,000 | 450,000 | 150–450 | 103/uL |
| C-Reactive Protein (CRP) | <0.1 | <0.1 | <0.1 | <0.3 | mg/dL |
| Random Blood Glucose | 92 | 78 | 81 | 70–140 | mg/dL |
| Sodium (Na) | 139 | 132 | 133 | 135–145 | mEq/L |
| Potassium (K) | 5.3 | 6.1 | 5.1 | 4.5–5.6 | mEq/L |
| Albumin | 3.3 | 3.1 | 3.1 | 3.8–5.4 | g/dL |
| SGOT (AST) | 37 | 15–37 | U/L | ||
| SGPT (ALT) | 8 | 0–55 | U/L | ||
| Ureum | 12.3 | 10.9–35.9 | mg/dL | ||
| Creatinine | 0.5 | 0.72–1.25 | mg/dL | ||
Pre-Operative Management:
|
Operative Management:
|
Post-Operative Management:
|
Disclaimer/Publisher’s Note: The statements, opinions and data contained in all publications are solely those of the individual author(s) and contributor(s) and not of MDPI and/or the editor(s). MDPI and/or the editor(s) disclaim responsibility for any injury to people or property resulting from any ideas, methods, instructions or products referred to in the content. |
© 2024 by the authors. Licensee MDPI, Basel, Switzerland. This article is an open access article distributed under the terms and conditions of the Creative Commons Attribution (CC BY) license (https://creativecommons.org/licenses/by/4.0/).
Share and Cite
Suryaningrat, F.R.; Irenewati, S.; Sobana, M.; Kadi, F.A.; Primadi, A.; Yuniati, T. Meningomyelocele Perioperative Management in Neonatal: Case Series. Children 2024, 11, 1219. https://doi.org/10.3390/children11101219
Suryaningrat FR, Irenewati S, Sobana M, Kadi FA, Primadi A, Yuniati T. Meningomyelocele Perioperative Management in Neonatal: Case Series. Children. 2024; 11(10):1219. https://doi.org/10.3390/children11101219
Chicago/Turabian StyleSuryaningrat, Filla Reviyani, Sindy Irenewati, Mirna Sobana, Fiva Aprilia Kadi, Aris Primadi, and Tetty Yuniati. 2024. "Meningomyelocele Perioperative Management in Neonatal: Case Series" Children 11, no. 10: 1219. https://doi.org/10.3390/children11101219
APA StyleSuryaningrat, F. R., Irenewati, S., Sobana, M., Kadi, F. A., Primadi, A., & Yuniati, T. (2024). Meningomyelocele Perioperative Management in Neonatal: Case Series. Children, 11(10), 1219. https://doi.org/10.3390/children11101219

